A Multimodal Eye Assessment in Psoriatic Arthritis Patients sine-Psoriasis: Evidence for a Potential Association with Systemic Inflammation †
Abstract
1. Introduction
2. Materials and Methods
2.1. Study Population
2.2. Rheumatologic Assessment
2.3. Ophthalmological Assessment
2.4. Perimetry, Fundus Perimetry, and Spectral Domain Optical Coherence Tomography
2.5. Statistical Analysis
3. Results
3.1. Patients Population
3.2. Ophthalmological Examinations in PsA Patients
3.3. Standard Automated Perimetry
3.4. Fundus Perimetry
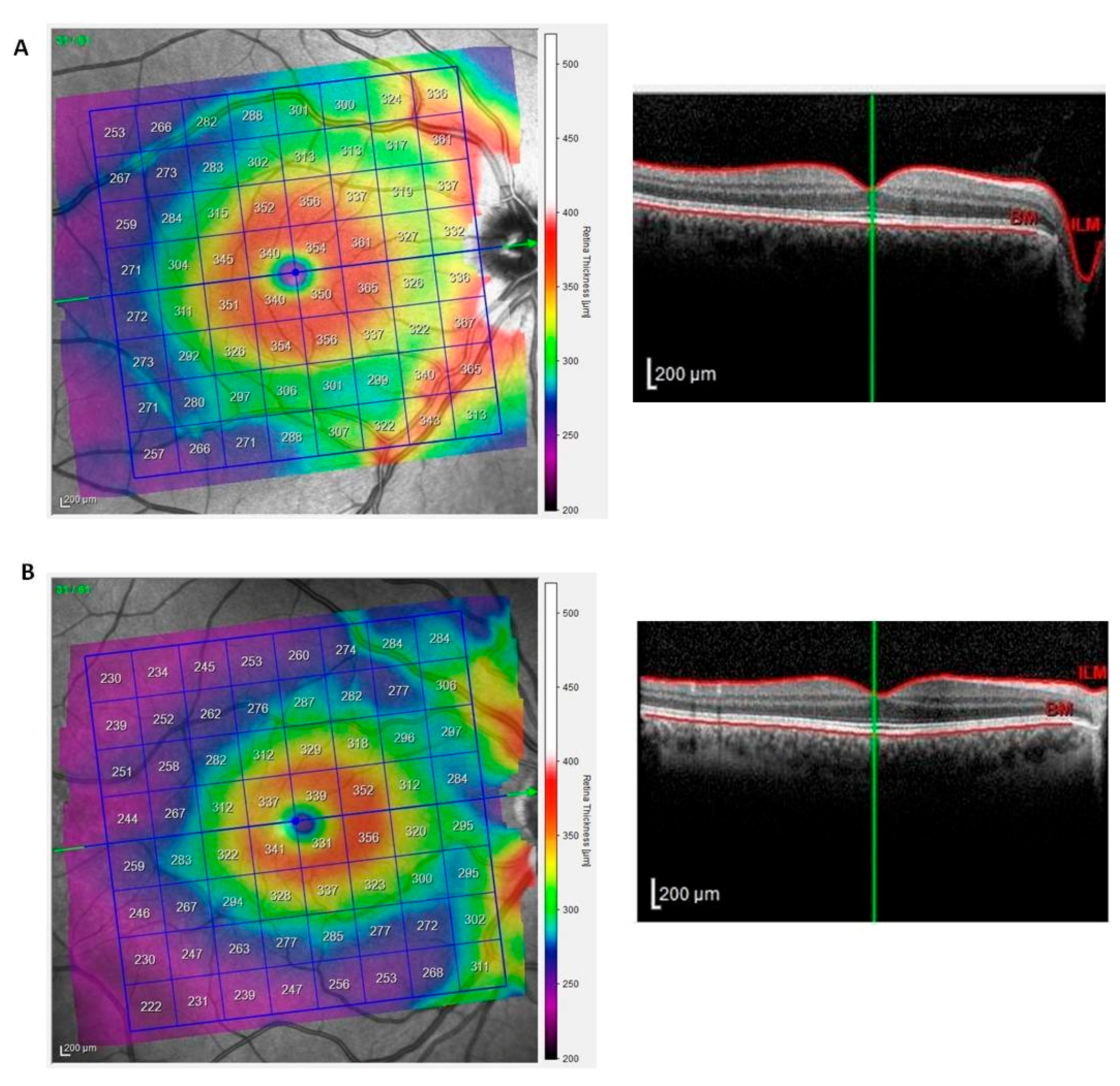
3.5. Spectral-Domain Optical Coherence Tomography
4. Discussion
Author Contributions
Funding
Conflicts of Interest
References
- Chimenti, M.S.; Ballanti, E.; Perricone, C.; Cipriani, P.; Giacomelli, R.; Perricone, R. Immunomodulation in psoriatic arthritis: Focus on cellular and molecular pathways. Autoimmun. Rev. 2013, 12, 599–606. [Google Scholar] [CrossRef]
- Ritchlin, C.T.; Colbert, R.A.; Gladman, D.D. Psoriatic Arthritis. New Engl. J. Med. 2017, 25, 2095–2096. [Google Scholar] [CrossRef]
- Chimenti, M.S.; Ortolan, A.; Lorenzin, M.; Triggianese, P.; Talamonti, M.; Costa, L.; Caso, F.; Favero, M.; Teoli, M.; Galluzzo, M.; et al. Effectiveness and safety of ustekinumab in naïve or TNF-inhibitors failure psoriatic arthritis patients: A 24-month prospective multicentric study. Clin. Rheumatol. 2018, 37, 397–405. [Google Scholar] [CrossRef]
- Napolitano, M.; Caso, F.; Scarpa, R.; Megna, M.; Patrì, A.; Balato, N.; Costa, L. Psoriatic arthritis and psoriasis: Differential diagnosis. Clin. Rheumatol. 2016, 35, 1893–1901. [Google Scholar] [CrossRef]
- Scarpa, R.; Caso, F.; Costa, L.; Peluso, R.; Del Puente, A.; Olivieri, I. Psoriatic Disease 10 Years Later. J. Rheumatol. 2017, 44, 1298–1301. [Google Scholar] [CrossRef] [PubMed]
- Peluso, R.; Iervolino, S.; Vitiello, M.; Bruner, V.; Lupoli, G.; Di Minno, M.N. Extra-articular manifestations in psoriatic arthritis patients. Clin. Rheumatol. 2015, 34, 745–753. [Google Scholar] [CrossRef] [PubMed]
- Cantini, F.; Nannini, C.; Cassarà, E.; Kaloudi, O.; Niccoli, L. Uveitis in Spondyloarthritis: An Overview. J. Rheumatol. 2015, 93, 27–29. [Google Scholar] [CrossRef]
- Aragona, E.; Rania, L.; Postorino, E.I.; Interdonato, A.; Giuffrida, R.; Cannavò, S.P.; Puzzolo, D.; Aragona, P. Tear film and ocular surface assessment in psoriasis. Br. J. Ophthalmol. 2018, 102, 302–308. [Google Scholar] [CrossRef] [PubMed]
- Demir, H.D.; Kalkan, G.; Kurt, S.; Güneş, A.; Sezer, E.; Erkorkmaz, Ü. Relationship between retinal sensitivity and disease activity in patients with psoriasis vulgaris. Clinics 2015, 70, 14–17. [Google Scholar] [CrossRef]
- Lee, C.Y.; Chen, H.C.; Lin, H.W.; Huang, J.Y.; Lin, T.L.; Yang, C.H.; Yeh, C.B.; Lin, H.Y.; Yang, S.F. Increased risk of keratopathy after psoriasis: A nationwide population-based study. PLoS ONE 2018, 13, e0201285. [Google Scholar] [CrossRef]
- Ghalamkarpour, F.; Baradaran-Rafii, A.; Sadoughi, M.M.; Abdollahimajd, F.; Younespour, S.; Zargari, O.; Rudolph, R.I. Ocular findings in patients with psoriasis: Is it related to the side effects of treatment or to psoriasis itself? A case-control study. J. Dermatol. Treat. 2020, 31, 27–32. [Google Scholar] [CrossRef]
- Chiricozzi, A.; Cannizzaro, M.V.; Salandri, G.A.; Marinari, B.; Pitocco, R.; Dattola, A.; Regine, F.; Saraceno, R.; Bianchi, L.; Chimenti, S.; et al. Increased levels of IL-17 in tear fluid of moderate-to-severe psoriatic patients is reduced by adalimumab therapy. J. Eur. Acad. Dermatol. Venereol. 2016, 30, e128–e129. [Google Scholar] [CrossRef] [PubMed]
- Czompa, L.; Barta, Z.; Ziad, H.; Nemeth, G.; Rentka, A.; Aszalos, Z.; Zold, E.; Gesztelyi, R.; Zsuga, J.; Szodoray, P.; et al. Corneal Manifestations of Inflammatory Bowel Disease. Semin. Ophthalmol. 2019, 34, 543–550. [Google Scholar] [CrossRef] [PubMed]
- Veale, D.; Rogers, S.; Fitzgerald, O. Immunolocalization of adhesion molecules in psoriatic arthritis, psoriatic and normal skin. Br. J. Dermatol. 1995, 132, 32–38. [Google Scholar] [CrossRef] [PubMed]
- Mathalone, N.; Lahat, N.; Rahat, M.A.; Bahar-Shany, K.; Oron, Y.; Geyer, O. The involvement of matrix metalloproteinases 2 and 9 in rat retinal ischemia. Graefe’s Arch. Clin. Exp. Ophthalmol. 2007, 245, 725–732. [Google Scholar] [CrossRef]
- Abdulaal, M.; Haddad, N.M.; Sun, J.K.; Silva, P.S. The Role of Plasma Kallikrein-Kinin Pathway in the Development of Diabetic Retinopathy: Pathophysiology and Therapeutic Approaches. Semin. Ophthalmol. 2016, 31, 19–24. [Google Scholar] [CrossRef] [PubMed]
- Midena, E.; Vujosevic, S.; Cavarzeran, F. Microperimetry Study Group. Normal values for fundus perimetry with the microperimeter MP1. Ophthalmology 2010, 117, 1571–1576. [Google Scholar] [CrossRef]
- Cesareo, M.; Ciuffoletti, E.; Martucci, A.; Sebastiani, J.; Sorge, R.P.; Lamantea, E.; Garavaglia, B.; Ricci, F.; Cusumano, A.; Nucci, C.; et al. Assessment of the retinal posterior pole in dominant optic atrophy by spectral-domain optical coherence tomography and microperimetry. PLoS ONE 2017, 12, e0174560. [Google Scholar] [CrossRef]
- Pfau, M.; Lindner, M.; Müller, P.L.; Birtel, J.; Finger, R.P.; Harmening, W.M.; Fleckenstein, M.; Holz, F.G.; Schmitz-Valckenberg, S. Effective Dynamic Range and Retest Reliability of Dark-Adapted Two-Color Fundus-Controlled Perimetry in Patients With Macular Diseases. Investig. Ophthalmol. Vis. Sci. 2017, 58, BIO158–BIO167. [Google Scholar] [CrossRef]
- Taylor, W.; Gladman, D.; Helliwell, P.; Marchesoni, A.; Mease, P.; Mielants, H. Classification criteria for psoriatic arthritis: Development of new criteria from a large international study. Arthritis Rheum. 2006, 54, 2665–2673. [Google Scholar] [CrossRef]
- Jonas, J.B.; Bergua, A.; Schmitz-Valckenberg, P.; Papastathopoulos, K.I.; Budde, W.M. Ranking of optic disc variables for detection of glaucomatous optic nerve damage. Investig. Ophthalmol. Vis. Sci. 2000, 41, 1764–1773. [Google Scholar]
- Daltroy, L.H.; Larson, M.G.; Roberts, W.N.; Liang, M.H. A modification of the health assessment questionnaire for the spondyloarthropathies. J. Rheumatol. 1990, 17, 946–950. [Google Scholar] [PubMed]
- Chimenti, M.S.; Triggianese, P.; Conigliaro, P.; Tonelli, M.; Gigliucci, G.; Novelli, L.; Teoli, M.; Perricone, R. A 2-year observational study on treatment targets in psoriatic arthritis patients treated with TNF inhibitors. Clin. Rheumatol. 2017, 36, 2253–2260. [Google Scholar] [CrossRef] [PubMed]
- Chimenti, M.S.; Caso, F.; Alivernini, S.; De Martino, E.; Costa, L.; Tolusso, B.; Triggianese, P.; Conigliaro, P.; Gremese, E.; Scarpa, R.; et al. Amplifying the concept of psoriatic arthritis: The role of autoimmunity in systemic psoriatic disease. Autoimmun. Rev. 2019, 18, 565–575. [Google Scholar] [CrossRef] [PubMed]
- Fenga, C.; Aragona, P.; Di Nola, C.; Spinella, R. Comparison of ocular surface disease index and tear osmolarity as markers of ocular surface dysfunction in video terminal display workers. Am. J. Ophthalmol. 2014, 158, 41–48. [Google Scholar] [CrossRef]
- Mackor, A.J.; van Bijsterveld, O.P. Tear function parameters in keratoconjunctivitis sicca with and without the association of Sjögren’s syndrome. Ophthalmologica 1988, 196, 169–174. [Google Scholar] [CrossRef]
- Aragona, P.; Rania, L.; Roszkowska, A.M.; Spinella, R.; Postorino, E.; Puzzolo, D.; Micali, A. Effects of amino acids enriched tears substitutes on the cornea of patients with dysfunctional tear syndrome. Acta Ophthalmol. 2013, 91, e437–e444. [Google Scholar] [CrossRef]
- Birt, C.M.; Shin, D.H.; Samudrala, V.; Hughes, B.A.; Kim, C.; Lee, D. Analysis of reliability indices from Humphrey visual field tests in an urban glaucoma population. Ophthalmology 1997, 104, 1126–1130. [Google Scholar] [CrossRef]
- Wong, E.N.; Mackey, D.A.; Morgan, W.H.; Chen, F.K. Intersession test-retest variability of conventional and novel parameters using the MP-1 microperimeter. Clin. Ophthalmol. 2015, 10, 29–42. [Google Scholar] [CrossRef]
- Schuman, J.S.; Pedut-Kloizman, T.; Hertzmark, E.; Hee, M.R.; Wilkins, J.R.; Coker, J.G.; Puliafito, C.A.; Fujimoto, J.G.; Swanson, E.A. Reproducibility of nerve fiber layer thickness measurements using optical coherence tomography. Ophthalmology 1996, 103, 1889–1898. [Google Scholar] [CrossRef]
- Papoutsaki, M.; Costanzo, A.; Chimenti, M.S.; Chimenti, S. Adalimumab for the treatment of severe psoriasis and psoriatic arthritis. Expert Opin. Biol. Ther. 2008, 8, 363–370. [Google Scholar] [CrossRef] [PubMed]
- Fusi-Rubiano, W.; Mukherjee, C.; Lane, M.; Tsaloumas, M.D.; Glover, N.; Kidess, A.; Denniston, A.K.; Palmer, H.E.; Manna, A.; Morjaria, R. Treating Diabetic Macular Oedema (DMO): Real world UK clinical outcomes for the 0.19mg Fluocinolone Acetonide intravitreal implant (Iluvien™) at 2 years. BMC Ophthalmol. 2018, 18, 62. [Google Scholar] [CrossRef] [PubMed]
- Gella, L.; Raman, R.; Kulothungan, V.; Pal, S.S.; Ganesan, S.; Srinivasan, S.; Sharma, T. Color vision abnormalities in type II diabetes: Sankara Nethralaya Diabetic Retinopathy Epidemiology and Molecular Genetics Study II report no 2. Indian J. Ophthalmol. 2017, 65, 989–994. [Google Scholar] [PubMed]
- Bruscolini, A.; Abbouda, A.; Locuratolo, N.; Restivo, L.; Trimboli, P.; Romanelli, F. Dry Eye Syndrome in Non-Exophthalmic Graves’ Disease. Semin. Ophthalmol. 2015, 30, 372–376. [Google Scholar] [CrossRef] [PubMed]
- Chimenti, M.S.; Sunzini, F.; Fiorucci, L.; Botti, E.; Fonti, G.L.; Conigliaro, P.; Triggianese, P.; Costa, L.; Caso, F.; Giunta, A.; et al. Potential Role of Cytochrome c and Tryptase in Psoriasis and Psoriatic Arthritis Pathogenesis: Focus on Resistance to Apoptosis and Oxidative Stress. Front. Immunol. 2018, 9, 2363. [Google Scholar] [CrossRef]
- Conigliaro, P.; Triggianese, P.; Draghessi, G.; Canofari, C.; Aloe, G.; Chimenti, M.S.; Valeri, C.; Nucci, C.; Perricone, R.; Cesareo, M. Evidence for the Detection of Subclinical Retinal Involvement in Systemic Lupus Erythematosus and Sjögren Syndrome: A Potential Association with Therapies. Int. Arch. Allergy Immunol. 2018, 177, 45–56. [Google Scholar] [CrossRef]
- Milner, M.S.; Beckman, K.A.; Luchs, J.I.; Allen, Q.B.; Awdeh, R.M.; Berdahl, J.; Boland, T.S.; Buznego, C.; Gira, J.P.; Goldberg, D.F.; et al. Dysfunctional tear syndrome: Dry eye disease and associated tear film disorders—New strategies for diagnosis and treatment. Curr. Opin. Ophthalmol. 2017, 27 (Suppl. 1), 3–47. [Google Scholar] [CrossRef]
- Conigliaro, P.; Cesareo, M.; Chimenti, M.S.; Triggianese, P.; Canofari, C.; Aloe, G.; Nucci, C.; Perricone, R. Evaluation of retinal microvascular density in patients affected by systemic lupus erythematosus: An optical coherence tomography angiography study. Ann. Rheum. Dis. 2019, 78, 287–289. [Google Scholar] [CrossRef]
- Graceffa, D.; Amorosi, B.; Maiani, E.; Bonifati, C.; Chimenti, M.S.; Perricone, R.; Di Carlo, A. Capillaroscopy in psoriatic and rheumatoid arthritis: A useful tool for differential diagnosis. Arthritis 2013, 2013, 957480. [Google Scholar] [CrossRef]
- Won, J.Y.; Kim, S.E.; Park, Y.H. Effect of age and sex on retinal layer thickness and volume in normal eyes. Medicine 2016, 95, e5441. [Google Scholar] [CrossRef]
- van der Wijk, A.E.; Canning, P.; van Heijningen, R.P.; Vogels, I.M.C.; van Noorden, C.J.F.; Klaassen, I.; Schlingemann, R.O. Glucocorticoids exert differential effects on the endothelium in an in vitro model of the blood-retinal barrier. Acta Ophthalmol. 2019, 97, 214–224. [Google Scholar] [CrossRef] [PubMed]
- Rieger, G. The importance of the precorneal tear film for the quality of optical imaging. Br. J. Ophthalmol. 1992, 76, 157–158. [Google Scholar] [CrossRef] [PubMed]
- Özyol, P.; Özyol, E.; Karalezli, A. Evaluation of Visual Field Test Parameters after Artificial Tear Administration in Patients with Glaucoma and Dry Eye. Semin. Ophthalmol. 2018, 33, 320–324. [Google Scholar] [CrossRef] [PubMed]
- Kocabeyoglu, S.; Mocan, M.C.; Bozkurt, B.; Irkec, M. Effect of artificial tears on automated visual field testing in patients with glaucoma and dry eye. Can. J. Ophthalmol. 2013, 48, 110–114. [Google Scholar] [CrossRef]
- Yenice, O.; Temel, A.; Orüm, O. The effect of artificial tear administration on visual field testing in patients with glaucoma and dry eye. Eye 2007, 21, 214–217. [Google Scholar] [CrossRef]
- Chimenti, M.S.; Perricone, C.; Novelli, L.; Caso, F.; Costa, L.; Bogdanos, D.; Conigliaro, P.; Triggianese, P.; Ciccacci, C.; Borgiani, P.; et al. Interaction between microbiome and host genetics in psoriatic arthritis. Autoimmun. Rev. 2018, 17, 276–283. [Google Scholar] [CrossRef]
- Chimenti, M.S.; Triggianese, P.; Nuccetelli, M.; Terracciano, C.; Crisanti, A.; Guarino, M.D.; Bernardini, S.; Perricone, R. Auto-reactions, autoimmunity and psoriatic arthritis. Autoimmun. Rev. 2015, 14, 1142–1146. [Google Scholar] [CrossRef]





| Multimodal Assessment | PsA (n = 40) | HC (n = 35) | |
|---|---|---|---|
| BCVA (logMAR) | 0.01 ± 0.1 | 0.01 ± 0.03 | |
| Dry Eye | OSDI score ≥ 13 | 24/60 | 0/0 |
| Schirmer test ≤ 5 mm | 18/45 | 0/0 | |
| BUT < 10 sec | 23/57.5 *** | 3/8.6 | |
| Dry eye | 30/75 **** | 3/8.6 | |
| Standard perimetry | Fixation errors (median; min–max) | 5.00; 0.00–21.42 | 5.88; 0.00–18.75 |
| False positive (median; min–max) | 0.50; 0.00–7.00 | 1.00; 0.00–7.00 | |
| False negative (median; min–max) | 0.00; 0.00–8.00 | 0.00; 0.00–8.00 | |
| Mean deviation (dB) | −1.92 ± 1.75 **** | −0.06 ± 0.77 | |
| PSD (dB) | 1.42 ± 0.5 ** | 1.1 ± 0.37 | |
| VFI (range %) | 98–100 | 98–100 | |
| Fundus perimetry | Differential light sensitivity (dB) | 14.7 ± 3.4 **** | 17.44 ± 1.38 |
| Mean defect (dB) | −3.3 ± 2.43 **** | −1.25 ± 0.94 | |
| SD OCT | Posterior Pole (µm) -superior hemifields -inferior hemifields -total scan | 295.7 ± 16.18 294.4 ± 13.6 292.9 ± 13.24 | 297.3± 6.37 297.6 ± 6.41 297.3 ± 7.03 |
© 2020 by the authors. Licensee MDPI, Basel, Switzerland. This article is an open access article distributed under the terms and conditions of the Creative Commons Attribution (CC BY) license (http://creativecommons.org/licenses/by/4.0/).
Share and Cite
Chimenti, M.S.; Triggianese, P.; Salandri, G.; Conigliaro, P.; Canofari, C.; Caso, F.; Costa, L.; Nucci, C.; Aiello, F.; Cesareo, M.; et al. A Multimodal Eye Assessment in Psoriatic Arthritis Patients sine-Psoriasis: Evidence for a Potential Association with Systemic Inflammation. J. Clin. Med. 2020, 9, 719. https://doi.org/10.3390/jcm9030719
Chimenti MS, Triggianese P, Salandri G, Conigliaro P, Canofari C, Caso F, Costa L, Nucci C, Aiello F, Cesareo M, et al. A Multimodal Eye Assessment in Psoriatic Arthritis Patients sine-Psoriasis: Evidence for a Potential Association with Systemic Inflammation. Journal of Clinical Medicine. 2020; 9(3):719. https://doi.org/10.3390/jcm9030719
Chicago/Turabian StyleChimenti, Maria Sole, Paola Triggianese, Giorgia Salandri, Paola Conigliaro, Claudia Canofari, Francesco Caso, Luisa Costa, Carlo Nucci, Francesco Aiello, Massimo Cesareo, and et al. 2020. "A Multimodal Eye Assessment in Psoriatic Arthritis Patients sine-Psoriasis: Evidence for a Potential Association with Systemic Inflammation" Journal of Clinical Medicine 9, no. 3: 719. https://doi.org/10.3390/jcm9030719
APA StyleChimenti, M. S., Triggianese, P., Salandri, G., Conigliaro, P., Canofari, C., Caso, F., Costa, L., Nucci, C., Aiello, F., Cesareo, M., & Perricone, R. (2020). A Multimodal Eye Assessment in Psoriatic Arthritis Patients sine-Psoriasis: Evidence for a Potential Association with Systemic Inflammation. Journal of Clinical Medicine, 9(3), 719. https://doi.org/10.3390/jcm9030719
