Primary Breast Extranodal Marginal Zone Lymphoma in Primary Sjögren Syndrome: Case Presentation and Relevant Literature
Abstract
1. Introduction
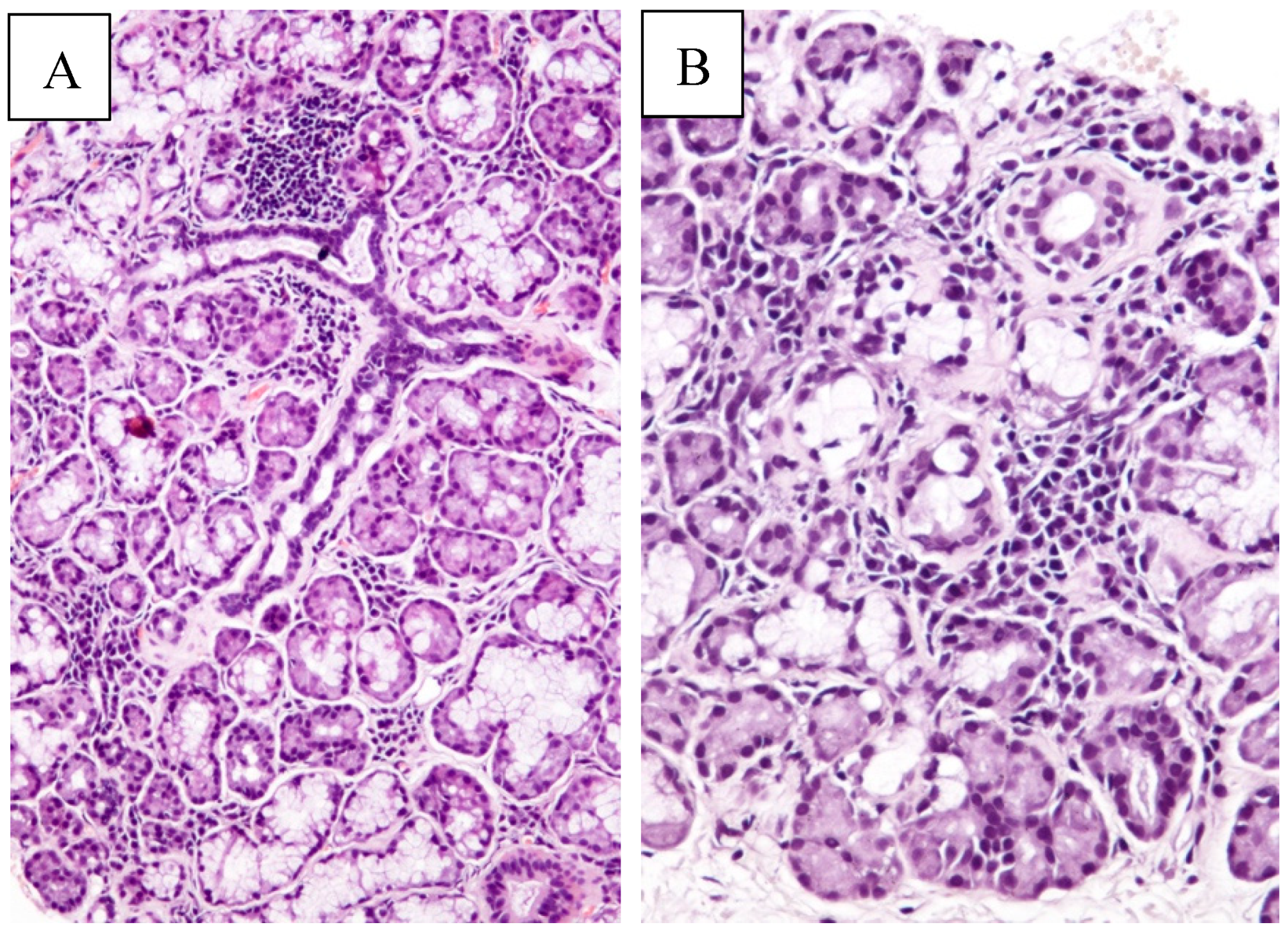
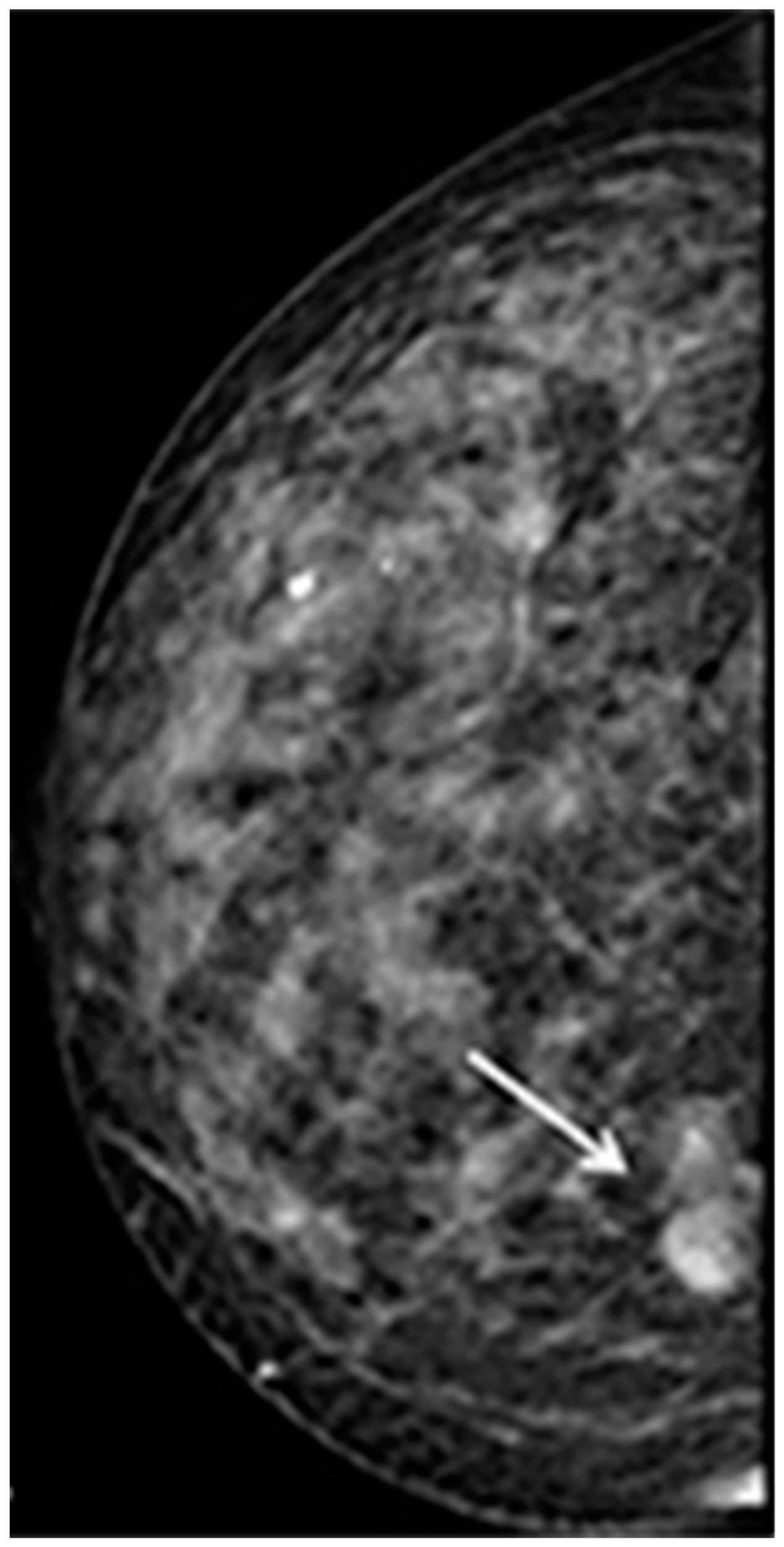
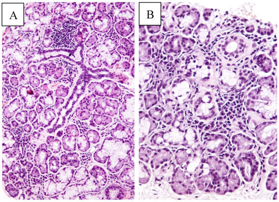
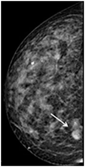
2. Case Presentation
3. Discussion
Author Contributions
Funding
Conflicts of Interest
References
- Brito-Zeron, P.; Baldini, C.; Bootsma, H.; Bowman, S.J.; Jonsson, R.; Mariette, X.; Sivils, K.; Theander, E.; Tzioufas, A.; Ramos-Casals, M. Sjogren syndrome. Nat. Rev. Dis. Primers 2016, 2, 16047. [Google Scholar] [CrossRef]
- Brito-Zeron, P.; Ramos-Casals, M.; EULAR-SS task force group. Advances in the understanding and treatment of systemic complications in Sjogren’s syndrome. Curr. Opin. Rheumatol. 2014, 26, 520–527. [Google Scholar] [CrossRef]
- Sisto, M.; Lorusso, L.; Tamma, R.; Ingravallo, G.; Ribatti, D.; Lisi, S. Interleukin-17 and -22 synergy linking inflammation and EMT-dependent fibrosis in Sjögren’s syndrome. Clin. Exp. Immunol. 2019, 198, 261–272. [Google Scholar] [CrossRef] [PubMed]
- Retamozo, S.; Brito-Zerón, P.; Ramos-Casals, M. Prognostic markers of lymphoma development in primary Sjögren syndrome. Lupus 2019, 28, 923–936. [Google Scholar] [CrossRef] [PubMed]
- Nocturne, G.; Pontarini, E.; Bombardieri, M.; Mariette, X. Lymphomas complicating primary Sjögren’s syndrome: From autoimmunity to lymphoma. Rheumatology 2019, kez052. [Google Scholar] [CrossRef] [PubMed]
- Tzioufas, A.G. B-cell lymphoproliferation in primary Sjogren’s syndrome. Clin. Exp. Rheumatol 1996, 14 (Suppl. 14), S65–S70. [Google Scholar] [PubMed]
- Royer, B.; Cazals-Hatem, D.; Sibilia, J.; Agbalika, F.; Cayuela, J.M.; Soussi, T.; Maloisel, F.; Clauvel, J.P.; Brouet, J.C.; Mariette, X. Lymphomas in patients with Sjogren’s syndrome are marginal zone B-cell neoplasms, arise in diverse extranodal and nodal sites, and are not associated with viruses. Blood 1997, 90, 766–775. [Google Scholar] [CrossRef]
- Voulgarelis, M.; Dafni, U.G.; Isenberg, D.A.; Moutsopoulos, H.M. Malignant lymphoma in primary Sjogren’s syndrome: A multicenter, retrospective, clinical study by the European Concerted Action on Sjogren’s Syndrome. Arthritis Rheum. 1999, 42, 1765–1772. [Google Scholar] [CrossRef]
- Baimpa, E.; Dahabreh, I.J.; Voulgarelis, M.; Moutsopoulos, H.M. Hematologic manifestations and predictors of lymphoma development in primary Sjogren syndrome: Clinical and pathophysiologic aspects. Medicine 2009, 88, 284–293. [Google Scholar] [CrossRef]
- Nocturne, G.; Mariette, X. Sjögren syndrome-associated lymphomas: An update on pathogenesis and management. Br. J. Haematol. 2015, 168, 317–327. [Google Scholar] [CrossRef]
- Swerdlow, S.; Campo, E.; Harris, N.; Jaffe, E.; Pileri, S.; Stein, H.; Thiele, J. WHO Classification of Tumours of Haematopoietic and Lymphoid Tissues; IARC Press: Lyon, France, 2017; ISBN 13-9789283244943-13. [Google Scholar]
- Ramírez Sepúlveda, J.I.; Kvarnstrom, M.; Eriksson, P.; Mandl, T.; Braekke Norheim, K.; Joar Johnsen, S.; Hammenfors, D.; Jonsson, M.V.; Skarstein, K.; Brun, J.G.; et al. Long-term follow-up in primary Sjogren’s syndrome reveals differences in clinical presentation between female and male patients. Biol. Sex Differ. 2017, 8, 25. [Google Scholar] [CrossRef] [PubMed]
- Ramos-Casals, M.; Solans, R.; Rosas, J.; Camps, M.T.; Gil, A.; del Pino-Montes, J.; Calvo-Alen, J.; Jiménez-Alonso, J.; Micó, M.L.; Beltrán, J.; et al. Primary Sjogren’s syndrome in men. Scand. J. Rheumatol. 2008, 37, 300–305. [Google Scholar]
- Hissourou, M., III; Zia, S.Y.; Alqatari, M.; Strauchen, J.; Bakst, R.L. Primary MALT lymphoma of the breast treated with definitive radiation. Case Rep. Hematol. 2016, 2016, 1831792. [Google Scholar] [CrossRef] [PubMed]
- Thomas, A.; Link, B.K.; Altekruse, S.; Romitti, P.A.; Schroeder, M.C. Primary Breast Lymphoma in the United States: 1975–2013. J. Natl. Cancer Inst. 2017, 109, djw294. [Google Scholar] [CrossRef] [PubMed]
- Theander, E.; Henriksson, G.; Ljungberg, O.; Mandl, T.; Manthorpe, R.; Jacobsson, L.T.H. Lymphoma and other malignancies in primary Sjogren’s syndrome: A cohort study on cancer incidence and lymphoma predictors. Ann. Rheum. Dis. 2006, 65, 796–803. [Google Scholar] [CrossRef] [PubMed]
- Baldini, C.; Pepe, P.; Luciano, N.; Ferro, F.; Talarico, R.; Grossi, S.; Tavoni, A.; Bombardieri, S. A clinical prediction rule for lymphoma development in primary Sjögren’s syndrome. J. Rheumatol. 2012, 39, 804–808. [Google Scholar] [CrossRef] [PubMed]
- Ludmir, E.B.; Milgrom, S.A.; Pinnix, C.C.; Gunther, J.R.; Westin, J.; Fayad, L.E.; Khoury, J.D.; Medeiros, L.J.; Dabaja, B.S.; Nastoupil, L.J. Emerging Treatment Strategies for Primary Breast Extranodal Marginal Zone Lymphoma of Mucosa-associated Lymphoid Tissue. Clin. Lymphoma Myeloma Leuk. 2019, 19, 244–250. [Google Scholar] [CrossRef]
- Koganti, S.B.; Lozada, A.; Curras, E.; Shah, A. Marginal zone lymphoma of the breast—A diminished role for surgery. Int. J. Surg. Case Rep. 2016, 25, 4–6. [Google Scholar] [CrossRef][Green Version]
- Wiseman, C.; Liao, K.T. Primary lymphoma of the breast. Cancer 1972, 29, 1705–1712. [Google Scholar] [CrossRef]
- Kim, S.H.; Ezekiel, M.P.; Kim, R.Y. Primary lymphoma of the breast. Am. J. Clin. Oncol. 1999, 22, 381–383. [Google Scholar] [CrossRef]
- Shapiro, C.M.; Mansur, D. Bilateral primary breast lymphoma. Am. J. Clin. Oncol. 2001, 24, 85–86. [Google Scholar] [CrossRef] [PubMed]
- Martinelli, G.; Ryan, G.; Seymour, J.F.; Nassi, L.; Steffanoni, S.; Alietti, A.; Calabrese, L.; Pruneri, G.; Santoro, L.; Kuper-Hommel, M.; et al. Primary follicular and marginal-zone lymphoma of the breast: Clinical features, prognostic factors and outcome: A study by the International Extranodal Lymphoma Study Group. Ann. Oncol. 2009, 20, 1993–1999. [Google Scholar] [CrossRef]
- Solimando, A.G.; Annese, T.; Tamma, R.; Ingravallo, G.; Maiorano, E.; Vacca, A.; Specchia, G.; Ribatti, D. New Insights into Diffuse Large B-Cell Lymphoma Pathobiology. Cancers 2020, 12, 1869. [Google Scholar] [CrossRef] [PubMed]
- Bizjak, M.; Selmi, C.; Praprotnik, S.; Bruck, O.; Perricone, C.; Ehrenfeld, M.; Shoenfeld, Y. Silicone implants and lymphoma: The role of inflammation. J. Autoimmun. 2015, 65, 64–73. [Google Scholar] [CrossRef] [PubMed]
- Vasaitis, L.; Nordmark, G.; Theander, E.; Backlin, C.; Smedby, K.E.; Askling, J.; Rönnblom, L.; Sundström, C.; Baecklund, E. Population-based study of patients with primary Sjögren’s syndrome and lymphoma: Lymphoma subtypes, clinical characteristics, and gender differences. Scand. J. Rheumatol. 2020, 49, 225–232. [Google Scholar] [CrossRef] [PubMed]
- Foo, M.Y.; Lee, W.P.; Seah, C.M.J.; Kam, C.; Tan, S.M. Primary breast lymphoma: A single-centre experience. Cancer Rep. (Hoboken) 2019, 2, e1140. [Google Scholar] [CrossRef] [PubMed]
- Pérez, F.F.; Lavernia, J.; Aguiar-Bujanda, D.; Miramón, J.; Gumá, J.; Álvarez, R.; Gómez-Codina, J.; Arroyo, F.G.; Llanos, M.; Marin, M.; et al. Primary Breast Lymphoma: Analysis of 55 Cases of the Spanish Lymphoma Oncology Group. Clin. Lymphoma Myeloma Leuk. 2017, 17, 186–191. [Google Scholar] [CrossRef] [PubMed]
- Avilés, A.; Delgado, S.; Nambo, M.J.; Neri, N.; Murillo, E.; Cleto, S. Primary breast lymphoma: Results of a controlled clinical trial. Oncology 2005, 69, 256–260. [Google Scholar] [CrossRef]
- Shiboski, C.H.; Shiboski, S.C.; Seror, R.; Criswell, L.A.; Labetoulle, M.; Lietman, T.M.; Rasmussen, A.; Scofield, H.; Vitali, C.; Bowman, S.J.; et al. International Sjögren’s Syndrome Criteria Working Group. 2016 American College of Rheumatology/European League Against Rheumatism classification criteria for primary Sjögren’s syndrome: A consensus and data-driven methodology involving three international patient cohorts. Ann. Rheum. Dis. 2017, 76, 9–16. [Google Scholar] [CrossRef] [PubMed]
- Zintzaras, E.; Voulgarelis, M.; Moutsopoulos, H.M. The risk of lymphoma development in autoimmune diseases: A meta-analysis. Arch. Intern. Med. 2005, 165, 2337–2344. [Google Scholar] [CrossRef]
- Alsadi, A.; Lin, D.; Alnajar, H.; Brickman, A.; Martyn, C.; Gattuso, P. Hematologic Malignancies Discovered on Investigation of Breast Abnormalities. South Med. J. 2017, 110, 614–620. [Google Scholar] [CrossRef] [PubMed]
- Lyou, C.Y.; Yang, S.K.; Choe, D.H.; Lee, B.H.; Kim, K.H. Mammographic and sonographic findings of primary breast lymphoma. Clin. Imaging 2007, 31, 234–238. [Google Scholar] [CrossRef] [PubMed]
- Nicholas, S.; Richard, G.B. Sonoelastography of Breast Lymphoma. Ultrasound Q. 2016, 32, 208–211. [Google Scholar] [CrossRef]
- Santra, A.; Kumar, R.; Reddy, R.; Halanaik, D.; Kumar, R.; Bal, C.S.; Malhotra, A. FDG PET-CT in the management of primary breast lymphoma. Clin. Nucl. Med. 2009, 34, 848–853. [Google Scholar] [CrossRef]
- Hoang, J.T.; Yang, R.; Shah, Z.A.; Spigel, J.J.; Pippen, J.E. Clinico-radiologic features and management of hematological tumors in the breast: A case series. Breast Cancer 2019, 26, 244–248. [Google Scholar] [CrossRef] [PubMed]
- Bilir, B.E.; Atile, N.S.; Bilir, B.; Guldiken, S.; Tuncbilek, N.; Puyan, F.O.; Sezer, A.; Coskun, I. A metabolic syndrome case presenting with lymphocytic mastitis. Breast Care (Basel) 2012, 7, 493–495. [Google Scholar] [CrossRef]
- Chougule, A.; Bal, A.; Das, A.; Singh, G. IgG4 related sclerosing mastitis: Expanding the morphological spectrum of IgG4 related diseases. Pathology 2015, 47, 27–33. [Google Scholar] [CrossRef]
- Boudova, L.; Kazakov, D.V.; Sima, R.; Vanecek, T.; Torlakovic, E.; Lamovec, J.; Kutzner, H.; Szepe, P.; Plank, L.; Bouda, J.; et al. Cutaneous lymphoid hyperplasia and other lymphoid infiltrates of the breast nipple: A retrospective clinicopathologic study of fifty-six patients. Am. J. Dermatopathol. 2005, 27, 375–386. [Google Scholar] [CrossRef]
- De Vita, S.; Gandolfo, S. Predicting lymphoma development in patients with Sjögren’s syndrome. Expert Rev. Clin. Immunol. 2019, 15, 929–938. [Google Scholar] [CrossRef]
- Voulgarelis, M.; Skopouli, F.N. Clinical, immunologic, and molecular factors predicting lymphoma development in Sjogren’s syndrome patients. Clin. Rev. Allergy Immunol. 2007, 32, 265–274. [Google Scholar] [CrossRef]
- González López, A.; Del Riego, J.; Martín, A.; Rodríguez, A.; Javier Andreu, F.; Piernas, S.; Sentís, M. Bilateral MALT Lymphoma of the Breast. Breast J. 2017, 23, 471–473. [Google Scholar] [CrossRef] [PubMed]
- Belfeki, N.; Bellefquih, S.; Bourgarit, A. Breast MALT lymphoma and AL amyloidosis complicating Sjögren’s syndrome. BMJ Case Rep. 2019, 12, e227581. [Google Scholar] [CrossRef] [PubMed]
- Kambouchner, M.; Godmer, P.; Guillevin, L.; Raphaël, M.; Droz, D.; Martin, A. Low grade marginal zone B cell lymphoma of the breast associated with localised amyloidosis and corpora amylacea in a woman with long standing primary Sjögren’s syndrome. J. Clin. Pathol. 2003, 56, 74–77. [Google Scholar] [CrossRef] [PubMed]
- King, R.L.; Goodlad, J.R.; Calaminici, M.; Dotlic, S.; Montes-Moreno, S.; Oschlies, I.; Ponzoni, M.; Traverse-Glehen, A.; Ott, G.; Ferry, J.A. Lymphomas arising in immune-privileged sites: Insights into biology, diagnosis, and pathogenesis. Virchows Arch. 2020, 476, 647–665. [Google Scholar] [CrossRef] [PubMed]




Publisher’s Note: MDPI stays neutral with regard to jurisdictional claims in published maps and institutional affiliations. |
© 2020 by the authors. Licensee MDPI, Basel, Switzerland. This article is an open access article distributed under the terms and conditions of the Creative Commons Attribution (CC BY) license (http://creativecommons.org/licenses/by/4.0/).
Share and Cite
Ingravallo, G.; Maiorano, E.; Moschetta, M.; Limongelli, L.; Mastropasqua, M.G.; Agazzino, G.F.; De Ruvo, V.; Tarantino, P.; Favia, G.; Capodiferro, S. Primary Breast Extranodal Marginal Zone Lymphoma in Primary Sjögren Syndrome: Case Presentation and Relevant Literature. J. Clin. Med. 2020, 9, 3997. https://doi.org/10.3390/jcm9123997
Ingravallo G, Maiorano E, Moschetta M, Limongelli L, Mastropasqua MG, Agazzino GF, De Ruvo V, Tarantino P, Favia G, Capodiferro S. Primary Breast Extranodal Marginal Zone Lymphoma in Primary Sjögren Syndrome: Case Presentation and Relevant Literature. Journal of Clinical Medicine. 2020; 9(12):3997. https://doi.org/10.3390/jcm9123997
Chicago/Turabian StyleIngravallo, Giuseppe, Eugenio Maiorano, Marco Moschetta, Luisa Limongelli, Mauro Giuseppe Mastropasqua, Gisella Franca Agazzino, Vincenzo De Ruvo, Paola Tarantino, Gianfranco Favia, and Saverio Capodiferro. 2020. "Primary Breast Extranodal Marginal Zone Lymphoma in Primary Sjögren Syndrome: Case Presentation and Relevant Literature" Journal of Clinical Medicine 9, no. 12: 3997. https://doi.org/10.3390/jcm9123997
APA StyleIngravallo, G., Maiorano, E., Moschetta, M., Limongelli, L., Mastropasqua, M. G., Agazzino, G. F., De Ruvo, V., Tarantino, P., Favia, G., & Capodiferro, S. (2020). Primary Breast Extranodal Marginal Zone Lymphoma in Primary Sjögren Syndrome: Case Presentation and Relevant Literature. Journal of Clinical Medicine, 9(12), 3997. https://doi.org/10.3390/jcm9123997

