Comparison of Contrast Enhanced Magnetic Resonance Angiography to Computed Tomography in Detecting Pulmonary Arteriovenous Malformations
Abstract
1. Introduction
2. Materials and Methods
2.1. Patient Population
2.2. Trans Thoracic Contrast Echocardiography Protocol
2.3. CT Acquisition Protocol
2.4. CE-MRA Acquisition Protocol
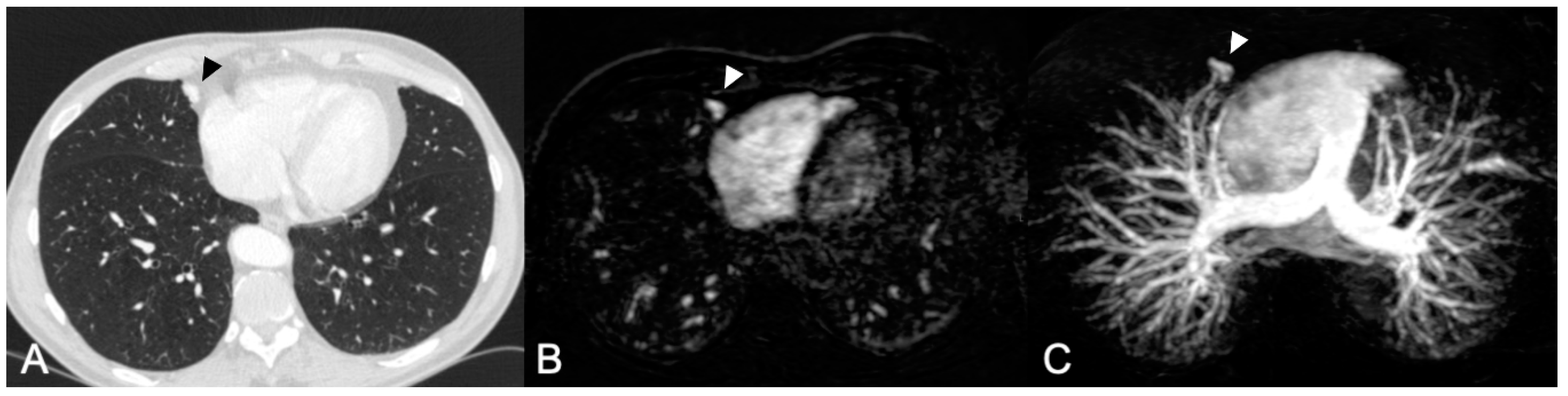
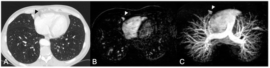
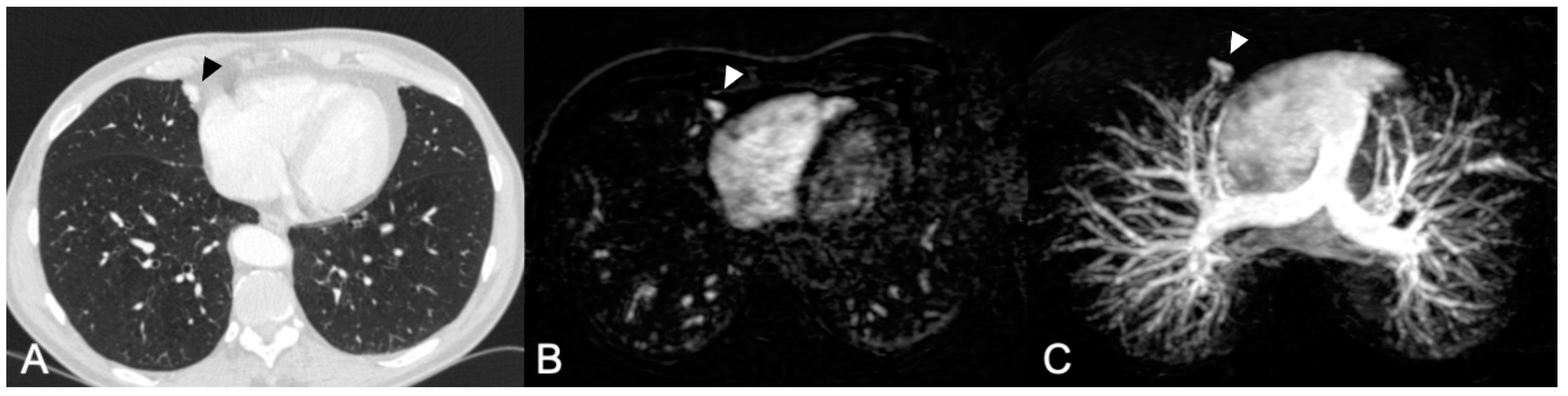
2.5. CT and CE-MRA Assessment
2.6. Statistical Analysis
3. Results
3.1. Per-Patient Analysis
3.2. Per-PAVM Analysis
4. Discussion
5. Conclusions
Author Contributions
Funding
Conflicts of Interest
References
- Cottin, V.; Chinet, T.; Lavolé, A.; Corre, R.; Marchand, E.; Reynaud-Gaubert, M.; Plauchu, H.; Cordier, J.-F. Pulmonary Arteriovenous Malformations in Hereditary Hemorrhagic Telangiectasia. Medicine 2007, 86, 1–17. [Google Scholar] [CrossRef] [PubMed]
- Shovlin, C.; Jackson, J.E.; Bamford, K.B.; Jenkins, I.H.; Benjamin, A.R.; Ramadan, H.; Kulinskaya, E. Primary determinants of ischaemic stroke/brain abscess risks are independent of severity of pulmonary arteriovenous malformations in hereditary haemorrhagic telangiectasia. Thorax 2008, 63, 259–266. [Google Scholar] [CrossRef] [PubMed]
- Faughnan, M.E.; Palda, V.A.; Garcia-Tsao, G.; Geisthoff, U.W.; McDonald, J.; Proctor, D.D.; Spears, J.; Brown, D.H.; Buscarini, E.; Chesnutt, M.S.; et al. International guidelines for the diagnosis and management of hereditary haemorrhagic telangiectasia. J. Med Genet. 2011, 48, 73–87. [Google Scholar] [CrossRef] [PubMed]
- Müller-Hülsbeck, S.; Marques, L.; Maleux, G.; Osuga, K.; Pelage, J.-P.; Wohlgemuth, W.A.; Andersen, P.E. CIRSE Standards of Practice on Diagnosis and Treatment of Pulmonary Arteriovenous Malformations. Cardiovasc. Interv. Radiol. 2019, 43, 353–361. [Google Scholar] [CrossRef] [PubMed]
- Bélanger, C.; Chartrand-Lefebvre, C.; Soulez, G.; Faughnan, M.E.; Tahir, M.R.; Giroux, M.-F.; Gilbert, P.; Perreault, P.; Bouchard, L.; Oliva, V.L.; et al. Pulmonary arteriovenous malformation (PAVM) reperfusion after percutaneous embolization: Sensitivity and specificity of non-enhanced CT. Eur. J. Radiol. 2016, 85, 150–157. [Google Scholar] [CrossRef] [PubMed]
- Letourneau-Guillon, L.; Faughnan, M.E.; Soulez, G.; Giroux, M.-F.; Oliva, V.L.; Boucher, L.-M.; Dubois, J.; Prabhudesai, V.; Therasse, E. Embolization of Pulmonary Arteriovenous Malformations with Amplatzer Vascular Plugs: Safety and Midterm Effectiveness. J. Vasc. Interv. Radiol. 2010, 21, 649–656. [Google Scholar] [CrossRef] [PubMed]
- Woodward, C.S.; Pyeritz, R.E.; Chittams, J.L.; Trerotola, S.O. Treated Pulmonary Arteriovenous Malformations: Patterns of Persistence and Associated Retreatment Success. Radiology 2013, 269, 919–926. [Google Scholar] [CrossRef] [PubMed]
- Tau, N.; Atar, E.; Mei-Zahav, M.; Bachar, G.N.; Dagan, T.; Birk, E.; Bruckheimer, E. Amplatzer Vascular Plugs Versus Coils for Embolization of Pulmonary Arteriovenous Malformations in Patients with Hereditary Hemorrhagic Telangiectasia. Cardiovasc. Interv. Radiol. 2016, 39, 1110–1114. [Google Scholar] [CrossRef] [PubMed]
- Stein, E.J.; Chittams, J.L.; Miller, M.; Trerotola, S.O. Persistence in Coil-Embolized Pulmonary Arteriovenous Malformations with Feeding Artery Diameters of 3 mm or Less: A Retrospective Single-Center Observational Study. J. Vasc. Interv. Radiol. 2017, 28, 442–449. [Google Scholar] [CrossRef] [PubMed]
- Brinjikji, W.; Latino, G.A.; Parvinian, A.; Gauthier, A.; Pantalone, R.; Yamaki, V.; Apala, D.R.; Prabhudesai, V.; Cyr, V.; Chartrand-Lefèbvre, C.; et al. Diagnostic Yield of Rescreening Adults for Pulmonary Arteriovenous Malformations. J. Vasc. Interv. Radiol. 2019, 30, 1982–1987. [Google Scholar] [CrossRef] [PubMed]
- Hanneman, K.; Faughnan, M.E.; Prabhudesai, V. Cumulative Radiation dose in Patients with Hereditary Hemorrhagic Telangiectasia and Pulmonary Arteriovenous Malformations. Can. Assoc. Radiol. J. 2014, 65, 135–140. [Google Scholar] [CrossRef] [PubMed]
- Singh, R.; Digumarthy, S.R.; Muse, V.V.; Kambadakone, A.R.; Blake, M.A.; Tabari, A.; Hoi, Y.; Akino, N.; Angel, E.; Madan, R.; et al. Image Quality and Lesion Detection on Deep Learning Reconstruction and Iterative Reconstruction of Submillisievert Chest and Abdominal CT. Am. J. Roentgenol. 2020, 214, 566–573. [Google Scholar] [CrossRef] [PubMed]
- Velthuis, S.; Buscarini, E.; Mager, J.J.; Vorselaars, V.M.; Van Gent, M.W.; Gazzaniga, P.; Manfredi, G.; Danesino, C.; Diederik, A.L.; Vos, J.A.; et al. Predicting the size of pulmonary arteriovenous malformations on chest computed tomography: A role for transthoracic contrast echocardiography. Eur. Respir. J. 2014, 44, 150–159. [Google Scholar] [CrossRef] [PubMed]
- Jackson, C.L.; Huber, J.F. Correlated Applied Anatomy of the Bronchial Tree and Lungs with a System of Nomenclature. Dis. Chest 1943, 9, 319–326. [Google Scholar] [CrossRef]
- R Core Team. R: A Language and Environment for Statistical Computing; R Foundation for Statistical Computing: Vienna, Austria, 2014. [Google Scholar]
- Schneider, G.; Uder, M.; Koehler, M.; Kirchin, M.A.; Massmann, A.; Buecker, A.; Geisthoff, U. MR Angiography for Detection of Pulmonary Arteriovenous Malformations in Patients with Hereditary Hemorrhagic Telangiectasia. Am. J. Roentgenol. 2008, 190, 892–901. [Google Scholar] [CrossRef] [PubMed]
- Ohno, Y.; Hatabu, H.; Takenaka, D.; Adachi, S.; Hirota, S.; Sugimura, K. Contrast-enhanced MR perfusion imaging and MR angiography: Utility for management of pulmonary arteriovenous malformations for embolotherapy. Eur. J. Radiol. 2002, 41, 136–146. [Google Scholar] [CrossRef]
- Kawai, T.; Shimohira, M.; Kan, H.; Hashizume, T.; Ohta, K.; Kurosaka, K.; Muto, M.; Suzuki, K.; Shibamoto, Y. Feasibility of Time-Resolved MR Angiography for Detecting Recanalization of Pulmonary Arteriovenous Malformations Treated with Embolization with Platinum Coils. J. Vasc. Interv. Radiol. 2014, 25, 1339–1347. [Google Scholar] [CrossRef] [PubMed]
- Himohira, M.; Kawai, T.; Hashizume, T.; Ohta, K.; Nakagawa, M.; Ozawa, Y.; Sakurai, K.; Shibamoto, Y. Reperfusion Rates of Pulmonary Arteriovenous Malformations after Coil Embolization: Evaluation with Time-Resolved MR Angiography or Pulmonary Angiography. J. Vasc. Interv. Radiol. 2015, 26, 856–864. [Google Scholar] [CrossRef] [PubMed]
- Hamamoto, K.; Matsuura, K.; Chiba, E.; Okochi, T.; Tanno, K.; Tanaka, O. Feasibility of Non-contrast-enhanced MR Angiography Using the Time-SLIP Technique for the Assessment of Pulmonary Arteriovenous Malformation. Magn. Reson. Med. Sci. 2016, 15, 253–265. [Google Scholar] [CrossRef] [PubMed][Green Version]

| Total | 53 |
|---|---|
| Female | 29 (55) |
| Male | 24 (45) |
| Age (y) | 47 ± 16 |
| HHT | 52 (98) |
| Eng | 36 (68) |
| Alk | 5 (9) |
| SMAD 4 | 3 (6) |
| Unknown * | 8 (15) |
| Idiopathic | 1 (2) |
| PAVMs per patient | |
| 0 | 9 (17) |
| 1 | 15 (28) |
| 2–5 | 19 (36) |
| >5 | 10 (19) |
| Reader 1 | CT + | CT − | Total |
|---|---|---|---|
| CE-MRA + | 22 | 1 | 23 |
| CE-MRA − | 2 | 28 | 30 |
| Total | 24 | 29 | 53 |
| Reader 2 | CT + | CT − | Total |
| CE-MRA + | 22 | 11 | 33 |
| CE-MRA − | 2 | 18 | 20 |
| Total | 24 | 29 | 53 |
| Per Patient Analysis | Per PAVM Analysis | |||
|---|---|---|---|---|
| CE-MRA Reader 1 | CE-MRA Reader 2 | CE-MRA Reader 1 | CE-MRA Reader 2 | |
| Sensitivity | 92 (73–99) | 92 (73–99) | 96 (85–99) | 93 (82–99) |
| Specificity | 97 (82–100) | 62 (42–79) | 99 (98–100) | 96 (95–97) |
| NPV | 93 (78–99) | 90 (68–99) | 100 (99–100) | 100 (99–100) |
| PPV | 96 (78–100) | 67 (48–82) | 86 (73–94) | 56 (44–67) |
| Reader 1 | CT + | CT − | Total |
|---|---|---|---|
| CE-MRA + | 43 | 7 | 50 |
| CE-MRA − | 2 | 902 | 904 |
| Total | 45 | 909 | 954 |
| Reader 2 | CT + | CT − | Total |
| CE-MRA + | 42 | 33 | 75 |
| CE-MRA − | 3 | 876 | 879 |
| Total | 45 | 909 | 954 |
Publisher’s Note: MDPI stays neutral with regard to jurisdictional claims in published maps and institutional affiliations. |
© 2020 by the authors. Licensee MDPI, Basel, Switzerland. This article is an open access article distributed under the terms and conditions of the Creative Commons Attribution (CC BY) license (http://creativecommons.org/licenses/by/4.0/).
Share and Cite
Van den Heuvel, D.A.F.; Post, M.C.; Koot, W.; Kelder, J.C.; Van Es, H.W.; Snijder, R.J.; Vos, J.-A.; Mager, J.J. Comparison of Contrast Enhanced Magnetic Resonance Angiography to Computed Tomography in Detecting Pulmonary Arteriovenous Malformations. J. Clin. Med. 2020, 9, 3662. https://doi.org/10.3390/jcm9113662
Van den Heuvel DAF, Post MC, Koot W, Kelder JC, Van Es HW, Snijder RJ, Vos J-A, Mager JJ. Comparison of Contrast Enhanced Magnetic Resonance Angiography to Computed Tomography in Detecting Pulmonary Arteriovenous Malformations. Journal of Clinical Medicine. 2020; 9(11):3662. https://doi.org/10.3390/jcm9113662
Chicago/Turabian StyleVan den Heuvel, Daniel A.F., Marco C. Post, Ward Koot, Johannes C. Kelder, Hendrik W. Van Es, Repke J. Snijder, Jan-Albert Vos, and Johannes J. Mager. 2020. "Comparison of Contrast Enhanced Magnetic Resonance Angiography to Computed Tomography in Detecting Pulmonary Arteriovenous Malformations" Journal of Clinical Medicine 9, no. 11: 3662. https://doi.org/10.3390/jcm9113662
APA StyleVan den Heuvel, D. A. F., Post, M. C., Koot, W., Kelder, J. C., Van Es, H. W., Snijder, R. J., Vos, J.-A., & Mager, J. J. (2020). Comparison of Contrast Enhanced Magnetic Resonance Angiography to Computed Tomography in Detecting Pulmonary Arteriovenous Malformations. Journal of Clinical Medicine, 9(11), 3662. https://doi.org/10.3390/jcm9113662

