Mid-to Long-Term Survival of Total Knee Arthroplasty in Hemophilic Arthropathy
Abstract
1. Introduction
2. Materials and Methods
2.1. Study Design and Patients
2.2. Operation
2.3. Hematologic Care
2.4. Postoperative Care
2.5. Clinical Evaluations and Survival Rate
2.6. Statistical Analysis
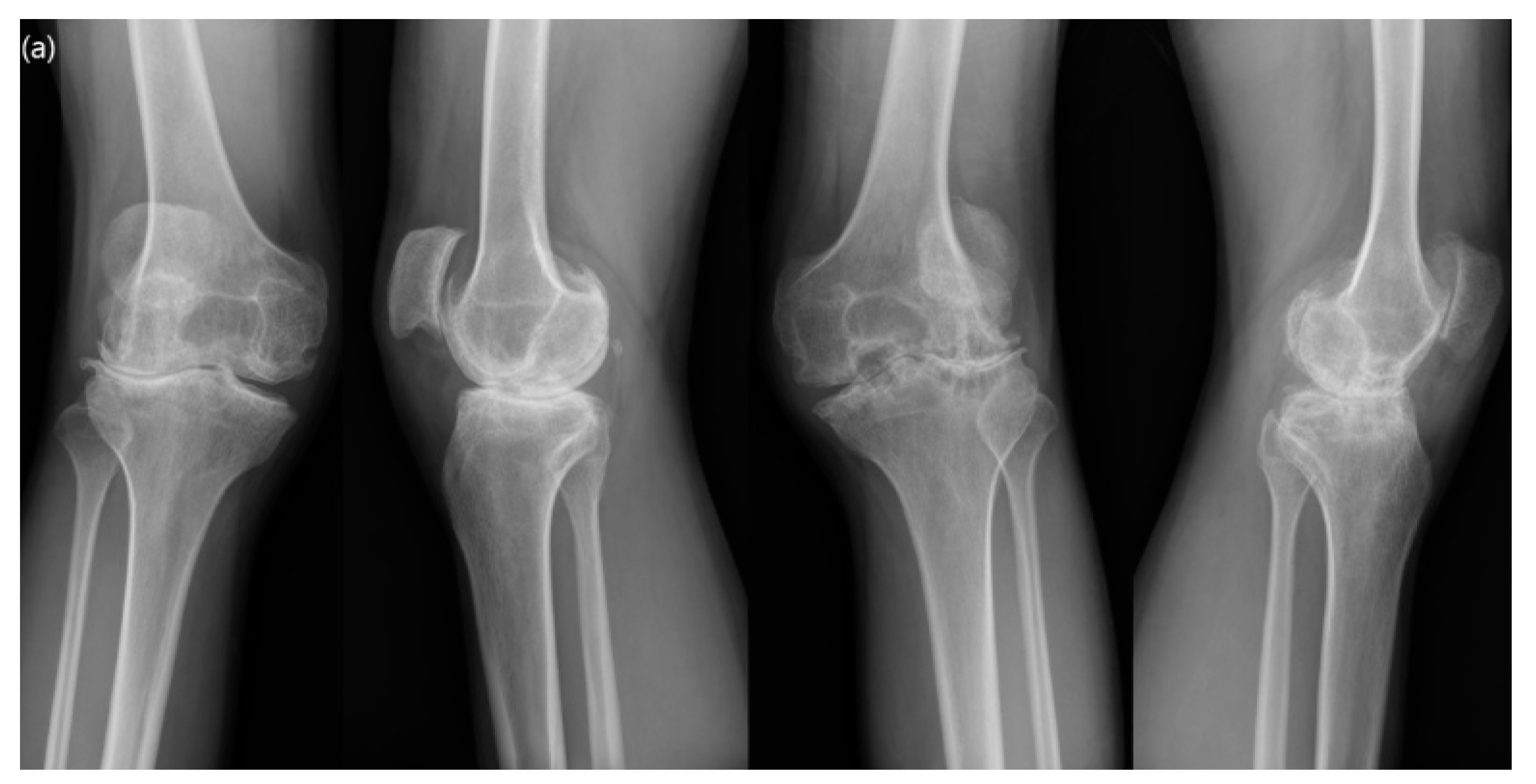
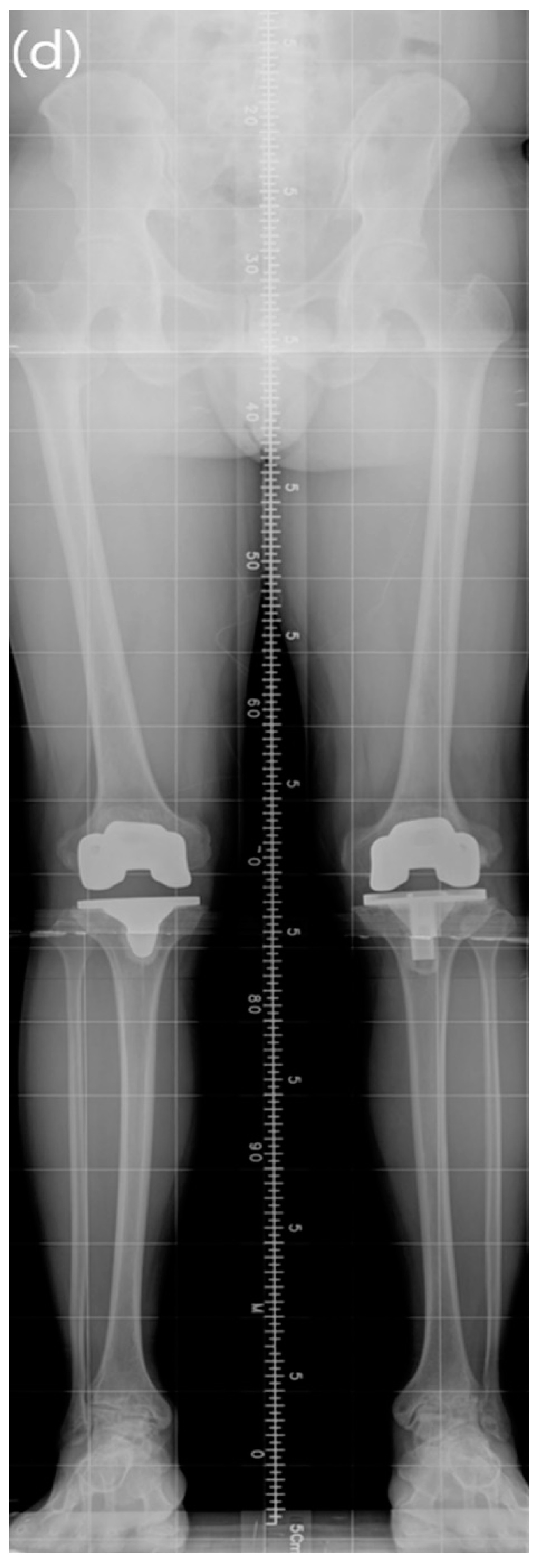
3. Results
3.1. Switch to Conventional TKA (Aborting CAS System during TKA)
3.2. Clinical Outcomes
3.3. Complications and Survival Rate
4. Discussion
5. Conclusions
Author Contributions
Funding
Conflicts of Interest
References
- Moore, M.F.; Tobase, P.; Allen, D.D. Meta-analysis: Outcomes of total knee arthroplasty in the haemophilia population. Haemophilia 2016, 22, e275–e285. [Google Scholar] [CrossRef] [PubMed]
- Rodriguez-Merchan, E. Effects of hemophilia on articulations of children and adults. Clin. Orthop. Relat. Res. 1996, 328, 7–13. [Google Scholar] [CrossRef]
- Arnold, W.D.; Hilgartner, M. Hemophilic arthropathy. Current concepts of pathogenesis and management. J. Bone Joint Surg. Am. 1977, 59, 287–305. [Google Scholar] [CrossRef] [PubMed]
- Bae, D.K.; Yoon, K.H.; Kim, H.S.; Song, S.J. Total knee arthroplasty in hemophilic arthropathy of the knee. J. Arthroplast. 2005, 20, 664–668. [Google Scholar]
- Curtis, R.; Baker, J.; Riske, B.; Ullman, M.; Niu, X.; Norton, K.; Lou, M.; Nichol, M. Young adults with hemophilia in the US: Demographics, comorbidities, and health status. Am. J. Hematol. 2015, 90, S11–S16. [Google Scholar] [CrossRef]
- Lapierre, P.B.; Guyen, O.; Chavane, H.; Lienhart, A.; Carret, J.-P.; Bejui-Hugues, J. Early to mid-term results of total knee arthroplasty in hemophilic knees: A review of 34 cases. Haemophilia 2008, 14, 402. [Google Scholar]
- Rodriguez-Merchan, E. Total knee replacement in haemophilic arthropathy. J. Bone Joint Surg. B 2007, 89, 186–188. [Google Scholar] [CrossRef]
- Panotopoulos, J.; Ay, C.; Trieb, K.; Schuh, R.; Windhager, R.; Wanivenhaus, H.A. Outcome of total knee arthroplasty in hemophilic arthropathy. J. Arthroplast. 2014, 29, 749–752. [Google Scholar] [CrossRef]
- Magone, J.B.; Dennis, D.A.; Weis, L.D. Total knee arthroplasty in chronic hemophilic arthropathy. Orthopedics 1986, 9, 653–657. [Google Scholar]
- Strauss, A.; Schmolders, J.; Friedrich, M.; Pflugmacher, R.; Müller, M.; Goldmann, G.; Oldenburg, J.; Pennekamp, P.H. Outcome after total knee arthroplasty in haemophilic patients with stiff knees. Haemophilia 2015, 21, e300–e305. [Google Scholar] [CrossRef]
- Norian, J.M.; Ries, M.D.; Karp, S.; Hambleton, J. Total knee arthroplasty in hemophilic arthropathy. J. Bone Joint Surg. Am. 2002, 84, 1138–1141. [Google Scholar] [CrossRef] [PubMed]
- Hicks, J.; Ribbans, W.J.; Buzzard, B.; Kelley, S.; Toft, L.; Torri, G.; Widel, J.D.; York, J. Infected joint replacements in HIV-positive patients with haemophilia. J. Bone Joint Surg. Br. 2001, 83, 1050–1054. [Google Scholar] [CrossRef] [PubMed][Green Version]
- Zingg, P.O.; Fucentese, S.F.; Lutz, W.; Brand, B.; Mamisch, N.; Koch, P.P. Haemophilic knee arthropathy: Long-term outcome after total knee replacement. Knee Surg. Sports Traumatol. Arthrosc. 2012, 20, 2465–2470. [Google Scholar] [CrossRef]
- Ernstbrunner, L.; Hingsammer, A.; Catanzaro, S.; Sutter, R.; Brand, B.; Wieser, K.; Fucentese, S.F. Long-term results of total knee arthroplasty in haemophilic patients: An 18-year follow-up. Knee Surg. Sports Traumatol. Arthrosc. 2017, 25, 3431–3438. [Google Scholar] [CrossRef]
- Wang, K.; Street, A.; Dowrick, A.; Liew, S. Clinical outcomes and patient satisfaction following total joint replacement in haemophilia–23-year experience in knees, hips and elbows. Haemophilia 2012, 18, 86–93. [Google Scholar] [CrossRef] [PubMed]
- Westberg, M.; Paus, A.C.; Holme, P.A.; Tjonnfjord, G.E. Haemophilic arthropathy: Long-term outcomes in 107 primary total knee arthroplasties. Knee 2014, 21, 147–150. [Google Scholar] [CrossRef]
- Yoo, M.; Cho, Y.; Kim, K.; Ramteke, A.; Chun, Y. The outcome of cementless total hip arthroplasty in haemophilic hip arthropathy. Haemophilia 2009, 15, 766–773. [Google Scholar] [CrossRef]
- Fehily, M.; Fleming, P.; O’shea, E.; Smith, O.; Smyth, H. Total knee arthroplasty in patients with severe haemophilia. Orthopedics 2002, 26, 89–91. [Google Scholar] [CrossRef][Green Version]
- Habermann, B.; Hochmuth, K.; Hovy, L.; Scharrer, I.; Kurth, A. Management of haemophilic patients with inhibitors in major orthopaedic surgery by immunadsorption, substitution of factor VIII and recombinant factor VIIa (NovoSeven®): A single centre experience. Haemophilia 2004, 10, 705–712. [Google Scholar] [CrossRef]
- Legroux-Gérot, I.; Strouk, G.; Parquet, A.; Goodemand, J.; Gougeon, F.; Duquesnoy, B. Total knee arthroplasty in hemophilic arthropathy. Joint Bone Spine 2003, 70, 22–32. [Google Scholar] [CrossRef]
- Silva, M.; Luck, J.V., Jr. Long-term results of primary total knee replacement in patients with hemophilia. J. Bone Joint Surg. Am. 2005, 87, 85–91. [Google Scholar] [CrossRef] [PubMed]
- Jager, K.J.; Van Dijk, P.C.; Zoccali, C.; Dekker, F.W. The analysis of survival data: The Kaplan–Meier method. Kidney Int. 2008, 74, 560–565. [Google Scholar] [CrossRef] [PubMed]
- Rand, J.A.; Trousdale, R.T.; Ilstrup, D.M.; Harmsen, W.S. Factors affecting the durability of primary total knee prostheses. J. Bone Joint Surg. Am. 2003, 85, 259–265. [Google Scholar] [CrossRef] [PubMed]
- Ritter, M. The Anatomical Graduated Component total knee replacement: A long-term evaluation with 20-year survival analysis. J. Bone Joint Surg. Br. 2009, 91, 745–749. [Google Scholar] [CrossRef] [PubMed]
- Khaw, F.; Kirk, L.; Morris, R.; Gregg, P. A randomised, controlled trial of cemented versus cementless press-fit condylar total knee replacement: Ten-year survival analysis. J. Bone Joint Surg. Br. 2002, 84, 658–666. [Google Scholar] [CrossRef]
- Meehan, J.P.; Danielsen, B.; Kim, S.H.; Jamali, A.A.; White, R.H. Younger age is associated with a higher risk of early periprosthetic joint infection and aseptic mechanical failure after total knee arthroplasty. J. Bone Joint Surg. Am. 2014, 96, 529–535. [Google Scholar] [CrossRef]
- Santos Silva, M.; Rodrigues-Pinto, R.; Rodrigues, C.; Morais, S.; Costa e Castro, J. Long-term results of total knee arthroplasty in hemophilic arthropathy. J. Orthop. Surg. 2019, 27, 1–6. [Google Scholar] [CrossRef]
- Innocenti, M.; Civinini, R.; Carulli, C.; Villano, M.; Linari, S.; Morfini, M. A modular total knee arthroplasty in haemophilic arthropathy. Knee 2007, 14, 264–268. [Google Scholar] [CrossRef]
- Rodriguez-Merchan, E.C. Special features of total knee replacement in hemophilia. Expert Rev. Hematol. 2013, 6, 637–642. [Google Scholar] [CrossRef]
- Cheng, T.; Zhao, S.; Peng, X.; Zhang, X. Does computer-assisted surgery improve postoperative leg alignment and implant positioning following total knee arthroplasty? A meta-analysis of randomized controlled trials? Knee Surg. Sports Traumatol. Arthrosc. 2012, 20, 1307–1322. [Google Scholar] [CrossRef]
- Kim, K.-I.; Ramteke, A.A.; Bae, D.-K. Navigation-assisted minimal invasive total knee arthroplasty in patients with extra-articular femoral deformity. J. Arthroplast. 2010, 25, e17–e22. [Google Scholar] [CrossRef] [PubMed]
- Kim, S.J.; MacDonald, M.; Hernandez, J.; Wixson, R.L. Computer assisted navigation in total knee arthroplasty: Improved coronal alignment. J. Arthroplast. 2005, 20, 123–131. [Google Scholar] [CrossRef] [PubMed]
- Song, E.-K.; Seon, J.-K.; Yim, J.-H.; Netravali, N.A.; Bargar, W.L. Robotic-assisted TKA reduces postoperative alignment outliers and improves gap balance compared to conventional TKA. Clin. Orthop. Relat. Res. 2013, 471, 118–126. [Google Scholar] [CrossRef] [PubMed]
- Panjwani, T.R.; Mullaji, A.; Doshi, K.; Thakur, H. Comparison of functional outcomes of computer-assisted vs conventional total knee arthroplasty: A systematic review and meta-analysis of high-quality, prospective studies. J. Arthroplast. 2019, 34, 586–593. [Google Scholar] [CrossRef]
- Ouanezar, H.; Franck, F.; Jacquel, A.; Pibarot, V.; Wegrzyn, J. Does computer-assisted surgery influence survivorship of cementless total knee arthroplasty in patients with primary osteoarthritis? A 10-year follow-up study. Knee Surg. Sports Traumatol. Arthrosc. 2016, 24, 3448–3456. [Google Scholar] [CrossRef]
- Kalairajah, Y.; Simpson, D.; Cossey, A.J.; Verrall, G.M.; Spriggins, A.J. Blood loss after total knee replacement: Effects of computer-assisted surgery. J. Bone Joint Surg. Br. 2005, 87, 1480–1482. [Google Scholar] [CrossRef]
- Hinarejos, P.; Corrales, M.; Matamalas, A.; Bisbe, E.; Caceres, E. Computer-assisted surgery can reduce blood loss after total knee arthroplasty. Knee Surg. Sports Traumatol. Arthrosc. 2009, 17, 356–360. [Google Scholar] [CrossRef]
- Cho, K.Y.; Kim, K.I.; Khurana, S.; Cho, S.W.; Kang, D.G. Computer-navigated total knee arthroplasty in haemophilic arthropathy. Haemophilia 2013, 19, 259–266. [Google Scholar] [CrossRef]
- Kim, K.I.; Kim, D.K.; Juh, H.S.; Khurana, S.; Rhyu, K.H. Robot-assisted total knee arthroplasty in haemophilic arthropathy. Haemophilia 2016, 22, 446–452. [Google Scholar] [CrossRef]
- Chun, Y.S.; Kim, K.I.; Cho, Y.J.; Kim, Y.H.; Yoo, M.C.; Rhyu, K.H. Causes and patterns of aborting a robot-assisted arthroplasty. J. Arthroplast. 2011, 26, 621–625. [Google Scholar] [CrossRef]
- Novoa-Parra, C.D.; Sanjuan-Cerveró, R.; Franco-Ferrando, N.; Larrainzar-Garijo, R.; Egea-Castro, G.; Lizaur-Utrilla, A. Complications of computer-assisted navigation in total knee replacement: Retrospective cohort of eight hundred and seventy eight consecutive knees. Int. Orthop. 2020. [Google Scholar] [CrossRef] [PubMed]
- Mattsson, Å. Hemophilia and the family: Life-long challenges and adaptation. Scand. J. Haematol. Suppl. 1984, 33, 65–74. [Google Scholar] [CrossRef] [PubMed]
- Salk, L.; Hilgartner, M.; Granich, B. The psycho-social impact of hemophilia on the patient and his family. Soc. Sci. Med. 1972, 6, 491–505. [Google Scholar] [CrossRef]
- Oishi, C.S.; Elliott, M.L.; Colwell, C.W., Jr. Recurrent hemarthrosis following a total knee arthroplasty. J. Arthroplast. 1995, 10, S56–S58. [Google Scholar] [CrossRef]
- Worland, R.L.; Jessup, D.E. Recurrent hemarthrosis after total knee arthroplasty. J. Arthroplast. 1996, 11, 977–978. [Google Scholar] [CrossRef]
- Ohdera, T.; Tokunaga, M.; Hiroshima, S.; Yoshimoto, E.; Matsuda, S. Recurrent hemarthrosis after knee joint arthroplasty: Etiology and treatment. J. Arthroplast. 2004, 19, 157–161. [Google Scholar] [CrossRef]
- Rodriguez-Merchan, E.; Wiedel, J. Total knee arthroplasty in HIV-positive haemophilic patients. Haemophilia 2002, 8, 387–392. [Google Scholar] [CrossRef]
- Goddard, N.; Mann, H.; Lee, C. Total knee replacement in patients with end-stage haemophilic arthropathy: 25-year results. J. Bone Joint Surg. Br. 2010, 92, 1085–1089. [Google Scholar] [CrossRef]
- Chevalier, Y.; Dargaud, Y.; Lienhart, A.; Chamouard, V.; Negrier, C. Seventy-two total knee arthroplasties performed in patients with haemophilia using continuous infusion. Vox Sang. 2013, 104, 135–143. [Google Scholar] [CrossRef]
- Rodríguez-Merchán, E.C. Total knee arthroplasty in hemophilic arthropathy. Am. J. Orthop. 2015, 44, E503–E507. [Google Scholar]
- Solimeno, L.P.; Mancuso, M.E.; Pasta, G.; Santagostino, E.; Perfetto, S.; Mannucci, P.M. Factors influencing the long-term outcome of primary total knee replacement in haemophiliacs: A review of 116 procedures at a single institution. Br. J. Haematol. 2009, 145, 227–234. [Google Scholar] [CrossRef] [PubMed]




| Patient Details | |
|---|---|
| Total number | 102 knees (76 patients) |
| Lost to follow up <5 years | 20 knees (17 patients) |
| Deceased within 5 years after TKA | 4 knees (3 patients) |
| Included in the current study | 78 knees (56 patients) |
| Mean follow up (years) a, (range) | 10.2 ± 2.22 (5.2–13.4) |
| Age (years) a, (range) | 38.7 ± 8.3 (26–69) |
| Hemophilia type (A/B) | 70 knees/8 knees |
| Severity (severe/moderate) | 75 knees/3 knees |
| Factor VIII inhibitor positive (%) | 6 knees (7.7) |
| HIV positive (%) | 1 knee (1.3) |
| HCV positive (%) | 55 knees (70.5) |
| Type of Prosthesis | Implant | Number of Knees (PS/CR) | |
|---|---|---|---|
| Computer-assisted surgery | Computer-navigated | Triathlon®, Stryker PFC®, Depuy | 14 (17.9)/6 (7.7) 13 (16.7)/1 (1.3) |
| Robot-assisted | Nexgen®, Zimmer Duracon®, Howmedica | 19 (24.4)/2 (2.6) 0/11 (14.1) | |
| Conventional | Vanguard®, Biomet | 12 (15.4)/0- | |
| Type | No. (%) of Knees | Types of Factor Replacement | No. (%) of Knees | Total Amount of Coagulation Factor Concentrates b (IU/Kg) | |
|---|---|---|---|---|---|
| Operation Day 0–3 | Operation Day 4–7 | ||||
| A | 70 (89.7) | Greenmono® Monoclate-P® Novoseven® c Kogentate® | 51 (65.4) 11 (14.1) 6 (7.7) 2 (2.6) | 375.0 ± 87.4 360.6 ± 93.7 126.0 ± 37.4 445.1 ± 87.1 | 225.7 ± 59.5 222.8 ± 100.5 103.7 ± 29.6 221.6 ± 4.5 248.1 ± 92.5 |
| B | 8 (10.3) | Benefix® | 8 (10.3) | 511.4 ± 131.7 | |
| Total | 78 (100) | 78 (100) | |||
| Preoperative | Last Follow Up | p-Value b | |
|---|---|---|---|
| Clinical score | |||
| AKS knee score | 32.1 ± 5.9 | 85.7 ± 13.8 | <0.001 |
| AKS function score | 41.5 ± 9.5 | 83.3 ± 14.1 | <0.001 |
| SF-36 physical score | 25.4 ± 14.8 | 72.2 ± 14.0 | <0.001 |
| SF-36 mental score | 36.8 ± 20.5 | 72.9 ± 12.9 | <0.001 |
| Functional outcome | |||
| Flexion contracture (°) | 19.0 ± 12.4 | 3.8 ± 6.6 | <0.001 |
| Range of motion (°) | 64.2 ± 37.9 | 84.2 ± 32.7 | <0.001 |
| The overall result | |||
| Excellent, n (%) | – | 51 (65.4) | <0.001 |
| Good, n (%) | – | 24 (30.8) | <0.001 |
| Fair, n (%) | 18 (23.1) | 2 (2.6) | <0.001 |
| poor, n (%) | 60 (76.9) | 1 (1.3) | <0.001 |
| Preoperative | Last Follow Up | p-Value b | |
|---|---|---|---|
| Clinical score | |||
| AKS knee score | 30.7 ± 7.3 | 82.0 ± 21.6 | <0.001 |
| AKS function score | 40.5 ± 8.8 | 81.2 ± 22.0 | <0.001 |
| SF-36 physical score | 24.4 ± 7.6 | 71.9 ± 9.1 | <0.001 |
| SF-36 mental score | 36.2 ± 14.4 | 72.5 ± 11.7 | <0.001 |
| Functional outcome | |||
| Flexion contracture (°) | 19.2 ± 10.7 | 4.3 ± 4.2 | <0.001 |
| Range of motion (°) | 56.7 ± 31.4 | 73.3 ± 37.9 | <0.001 |
| The overall result | |||
| Excellent, n (%) | – | 4 (66.6) | <0.001 |
| Good, n (%) | – | 2 (33.3) | <0.001 |
| Fair, n (%) | – | – | <0.001 |
| poor, n (%) | 6 (100) | – | <0.001 |
| Preoperative | Last Follow Up | p-Value b | |
|---|---|---|---|
| Lower limb alignment | |||
| Varus knee (n = 33) (°) | −6.92 ± 3.71 (−0.7 to −16.6) | −0.90 ± 2.73 (−5.3 to 4.77) | <0.001 |
| Valgus knee (n = 45) (°) | 6.57 ± 5.20 (0.3 to 19.3) | 0.62 ± 2.47 (−2.52 to 4.35) | <0.001 |
| Complication | Number of Knees (%) | Management |
|---|---|---|
| Hemarthrosis | 4 (5.1) | Arthroscopic lavage Incision and drainage Extra dosing of coagulation factors |
| Stiffness | 2 (2.6) | Manipulation under anesthesia |
| Periprosthetic fracture | 2 (2.6) | Internal fixation |
| Wound dehiscence | 1 (1.3) | Secondary closure |
| PJI | 2 (2.6) | Two-stage revision TKA |
| Implant loosening | 1 (1.3) | Revision TKA |
| Study | Number of Knees | Mean Follow Up (Years) | Infection Rate (%) | Loosening Rate (%) | 10-Year Survival Rate (%) |
|---|---|---|---|---|---|
| Wang et al. [15] (2012) | 40 | 11.8 | 12.5 | 2.5 | 83 |
| Westberg et al. [16] (2014) | 107 | 11.2 | 6.5 | 13.1 | 88 |
| Santos Silva [27] (2019) | 18 | 11.3 | 11.2 | 0 | 94.3 |
| Current study | 78 | 10.2 | 2.6 | 1.3 | 97 |
© 2020 by the authors. Licensee MDPI, Basel, Switzerland. This article is an open access article distributed under the terms and conditions of the Creative Commons Attribution (CC BY) license (http://creativecommons.org/licenses/by/4.0/).
Share and Cite
Bae, J.-K.; Kim, K.-I.; Lee, S.-H.; Yoo, M.-C. Mid-to Long-Term Survival of Total Knee Arthroplasty in Hemophilic Arthropathy. J. Clin. Med. 2020, 9, 3247. https://doi.org/10.3390/jcm9103247
Bae J-K, Kim K-I, Lee S-H, Yoo M-C. Mid-to Long-Term Survival of Total Knee Arthroplasty in Hemophilic Arthropathy. Journal of Clinical Medicine. 2020; 9(10):3247. https://doi.org/10.3390/jcm9103247
Chicago/Turabian StyleBae, Jung-Kwon, Kang-Il Kim, Sang-Hak Lee, and Myung-Chul Yoo. 2020. "Mid-to Long-Term Survival of Total Knee Arthroplasty in Hemophilic Arthropathy" Journal of Clinical Medicine 9, no. 10: 3247. https://doi.org/10.3390/jcm9103247
APA StyleBae, J.-K., Kim, K.-I., Lee, S.-H., & Yoo, M.-C. (2020). Mid-to Long-Term Survival of Total Knee Arthroplasty in Hemophilic Arthropathy. Journal of Clinical Medicine, 9(10), 3247. https://doi.org/10.3390/jcm9103247

