Zika Virus Epidemic in Brazil. II. Post-Mortem Analyses of Neonates with Microcephaly, Stillbirths, and Miscarriage
Abstract
1. Introduction
2. Material and Methods
2.1. Patients
2.2. Ethics Statement
2.3. Real Time RT-PCR (RT-qPCR) and Virus Isolation
2.4. Histopathology and Immunohistochemistry
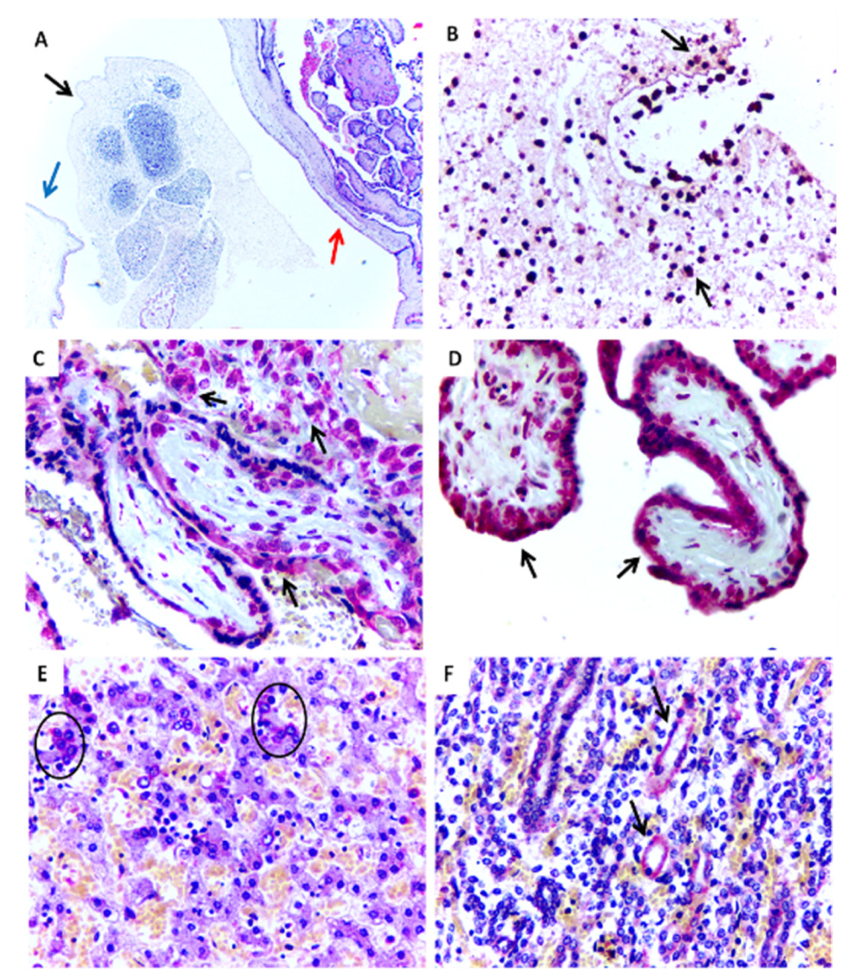
3. Results
4. Discussion
Author Contributions
Funding
Acknowledgments
Conflicts of Interest
References
- Dick, G.W.; Kitchen, S.; Haddow, A. Zika Virus (I). Isolations and serological specificity. Trans. R. Soc. Trop. Med. Hyg. 1952, 46, 509–520. [Google Scholar] [CrossRef]
- Hayes, E.B. Zika Virus Outside Africa. Emerg. Infect. Dis. 2009, 15, 1347–1350. [Google Scholar] [CrossRef] [PubMed]
- Oehler, E.; Watrin, L.; Larre, P.; Leparc-Goffart, I.; Lastere, S.; Valour, F.; Baudouin, L.; Mallet, H.; Musso, D.; Ghawche, F. Zika virus infection complicated by Guillain-Barre syndrome—Case report, French Polynesia, December 2013. Euro Surveill. 2014, 19, 7–9. [Google Scholar] [CrossRef]
- Pan American Health Organization (PAHO)/World Health Organization (WHO). Zika—Epidemiological Update, 25 August 2017; PAHO/WHO: Washington, DC, USA, 2017. [Google Scholar]
- Campos, G.S.; Bandeira, A.C.; Sardi, S.I. Zika Virus Outbreak, Bahia, Brazil. Emerg. Infect. Dis. 2015, 21, 1885–1886. [Google Scholar] [CrossRef] [PubMed]
- Zanluca, C.; de Melo, V.C.A.; Mosimann, A.L.P.; dos Santos, G.I.V.; dos Santos, C.N.D.; Luz, K. First report of autochthonous transmission of Zika virus in Brazil. Mem. Inst. Oswaldo Cruz 2015, 110, 569–572. [Google Scholar] [CrossRef]
- Faria, N.R.; Azevedo, R.S.S.; Kraemer, M.U.G.; Souza, R.; Cunha, M.S.; Hill, S.C.; Theze, J.; Bonsall, M.B.; Bowden, T.A.; Rissanen, I.; et al. Zika virus in the Americas: Early epidemiological and genetic findings. Science 2016, 352, 345–349. [Google Scholar] [CrossRef]
- Azevedo, R.S.S.; Araujo, M.T.; Martins Filho, A.J.; Oliveira, C.S.; Nunes, B.T.D.; Cruz, A.C.R.; Nascimento, A.G.P.; Medeiros, R.C.; Caldas, C.A.M.; Araujo, F.C.; et al. Zika virus epidemic in Brazil. I. Fatal disease in adults: Clinical and laboratorial aspects. J. Clin. Virol. 2016, 85, 56–64. [Google Scholar] [CrossRef]
- Pan American Health Organization (PAHO)/World Health Organization (WHO). Epidemiological Alert—Neurological Syndrome, Congenital Malformations, and Zika Virus Infection. Implications for Public Health in the Americas—1 December 2015; PAHO/WHO: Washington, DC, USA, 2015. [Google Scholar]
- Tesh, R.B. A method for the isolation and identification of dengue viruses, using mosquito cell cultures. Am. J. Trop. Med. Hyg. 1979, 28, 1053–1059. [Google Scholar] [CrossRef]
- Faye, O.; Faye, O.; Dupressoir, A.; Weidmann, M.; Ndiaye, M.; Sall, A.A. One-step RT-PCR for detection of Zika virus. J. Clin. Virol. 2008, 43, 96–101. [Google Scholar] [CrossRef]
- Lanciotti, R.S.; Kosoy, O.L.; Laven, J.J.; Velez, J.O.; Lambert, A.J.; Johnson, A.J.; Stanfield, S.M.; Duffy, M.R. Genetic and Serologic Properties of Zika Virus Associated with an Epidemic, Yap State, Micronesia, 2007. Emerg. Infect. Dis. 2008, 14, 1232–1239. [Google Scholar] [CrossRef]
- Martines, R.B.; Bhatnagar, J.; de Oliveira Ramos, A.M.; Davi, H.P.F.; Iglezias, S.D.A.; Kanamura, C.T.; Keating, M.K.; Hale, G.; Silva-Flannery, L.; Muehlenbachs, A.; et al. Pathology of congenital Zika syndrome in Brazil: A case series. Lancet 2016, 388, 898–904. [Google Scholar] [CrossRef]
- Chimelli, L.; Melo, A.S.O.; Avvad-Portari, E.; Wiley, C.A.; Camacho, A.H.S.; Lopes, V.S.; Machado, H.N.; Andrade, C.V.; Dock, D.C.A.; Moreira, M.E.; et al. The spectrum of neuropathological changes associated with congenital Zika virus infection. Acta Neuropathol. 2017, 133, 983–999. [Google Scholar] [CrossRef] [PubMed]
- Azevedo, R.S.S.; de Sousa, J.R.; Araujo, M.T.F.; Martins Filho, A.J.; de Alcantara, B.N.; Araujo, F.M.C.; Queiroz, M.G.L.; Cruz, A.C.R.; Vasconcelos, B.H.B.; Chiang, J.O.; et al. In situ immune response and mechanisms of cell damage in central nervous system of fatal cases microcephaly by Zika virus. Sci. Rep. 2018, 8, 1–11. [Google Scholar] [CrossRef] [PubMed]
- de Sousa, J.R.; Azevedo, R.S.S.; Martins Filho, A.J.; de Araujo, M.T.F.; Moutinho, E.R.C.; Baldez Vasconcelos, B.C.; Cruz, A.C.R.; Oliveira, C.S.; Martins, L.C.; Baldez Vasconcelos, B.H.; et al. Correlation between apoptosis and in situ immune response in fatal cases of microcephaly caused by Zika virus. Am. J. Pathol. 2018, 188. [Google Scholar] [CrossRef] [PubMed]
- de Sousa, J.R.; da Silva Azevedo, R.D.S.; Martins Filho, A.J.; de Araujo, M.T.F.; Cruz, E.D.R.M.; Vasconcelos, B.C.B.; Cruz, A.C.R.; de Oliveira, C.S.; Martins, L.C.; Vasconcelos, B.H.B.; et al. In situ inflammasome activation results in severe damage to the central nervous system in fatal Zika virus microcephaly cases. Cytokine 2018, 111, 255–264. [Google Scholar] [CrossRef]
- Bollweg, B.C.; Silva-flannery, L.; Spivey, P.; Hale, G.L.; Hale, G.L. Optimization of commercially available Zika virus antibodies for use in a laboratory-developed immunohistochemical assay. J. Pathol. Clin. Res. 2017, 4, 19–25. [Google Scholar] [CrossRef] [PubMed]
- Pan American Health Organization (PAHO)/World Health Organization (WHO). Zika—Epidemiological Update, 8 April 2016; PAHO/WHO: Washington, DC, USA, 2016. [Google Scholar]
- PAHO/WHO-Case Definitions. Zika Resources: Case Definitions. Available online: https://www.paho.org/hq/index.php?option = com_content&view = article&id = 11117:zika-resources-case-definitions&Itemid = 41532&lang = en (accessed on 20 September 2018).
- Moore, C.A.; Staples, J.E.; Dobyns, W.B.; Pessoa, A.; Ventura, C.V.; da Fonseca, E.B.; Ribeiro, E.M.; Ventura, L.O.; Neto, N.N.; Arena, J.F.; et al. Characterizing the Pattern of Anomalies in Congenital Zika Syndrome for Pediatric Clinicians. JAMA Pediatr. 2016. [Google Scholar] [CrossRef]
- Miranda-Filho, D.D.B.; Martelli, C.M.T.; Ximenes, R.A.D.A.; Araújo, T.V.B.; Rocha, M.A.W.; Ramos, R.C.F.; Dhalia, R.; França, R.F.D.O.; Marques Júnior, E.T.D.A.; Rodrigues, L.C. Initial Description of the Presumed Congenital Zika Syndrome. Am. J. Public Health 2016, 106, 598–600. [Google Scholar] [CrossRef] [PubMed]
- Heymann, D.L.; Hodgson, A.; Sall, A.A.; Freedman, D.O.; Staples, J.E.; Althabe, F.; Baruah, K.; Mahmud, G.; Kandun, N.; Vasconcelos, P.F.C.; et al. Zika virus and microcephaly: Why is this situation a PHEIC? Lancet 2016, 387, 719–721. [Google Scholar] [CrossRef]
- Calvet, G.; Aguiar, R.S.; Melo, A.S.O.; Sampaio, S.A.; de Filippis, I.; Fabri, A.; Araujo, E.S.M.; de Sequeira, P.C.; de Mendonça, M.C.L.; de Oliveira, L.; et al. Detection and sequencing of Zika virus from amniotic fluid of fetuses with microcephaly in Brazil: A case study. Lancet Infect. Dis. 2016, 16, 653–660. [Google Scholar] [CrossRef]
- Oliveira Melo, A.S.; Malinger, G.; Ximenes, R.; Szejnfeld, P.O.; Alves Sampaio, S.; Bispo de Filippis, A.M. Zika virus intrauterine infection causes fetal brain abnormality and microcephaly: Tip of the iceberg? Ultrasound Obstet. Gynecol. 2016, 47, 6–7. [Google Scholar] [CrossRef] [PubMed]
- Schuler-Faccini, L.; Ribeiro, E.M.; Feitosa, I.M.L.; Horovitz, D.D.G.; Cavalcanti, D.P.; Pessoa, A.; Doriqui, M.J.R.; Neri, J.I.; de Pina Neto, J.M.; Wanderley, H.Y.C.; et al. Possible Association Between Zika Virus Infection and Microcephaly—Brazil, 2015. MMWR. Morb. Mortal. Wkly. Rep. 2016, 65, 59–62. [Google Scholar] [CrossRef] [PubMed]
- Mlakar, J.; Korva, M.; Tul, N.; Popović, M.; Poljšak-Prijatelj, M.; Mraz, J.; Kolenc, M.; Resman Rus, K.; Vesnaver Vipotnik, T.; Fabjan Vodušek, V.; et al. Zika Virus Associated with Microcephaly. N. Engl. J. Med. 2016, 374, 951–958. [Google Scholar] [CrossRef] [PubMed]
- Arzuza-Ortega, L.; Polo, A.; Pérez-Tatis, G.; López-García, H.; Parra, E.; Pardo-Herrera, L.C.; Rico-Turca, A.M.; Villamil-Gómez, W.; Rodríguez-Morales, A.J. Fatal Sickle Cell Disease and Zika Virus Infection in Girl from Colombia. Emerg. Infect. Dis. 2016, 22, 925–927. [Google Scholar] [CrossRef]
- Monath, T.P.; Vasconcelos, P.F.C. Yellow fever. J. Clin. Virol. 2015, 64, 160–173. [Google Scholar] [CrossRef]
- Quaresma, J.A.S.; Barros, V.L.R.S.; Fernandes, E.R.; Pagliari, C.; Takakura, C.; da Costa Vasconcelos, P.F.; de Andrade, H.F.; Duarte, M.I.S. Reconsideration of histopathology and ultrastructural aspects of the human liver in yellow fever. Acta Trop. 2005, 94, 116–127. [Google Scholar] [CrossRef]
- Pagliari, C.; Quaresma, J.A.S.; Fernandes, E.R.; Stegun, F.W.; Brasil, R.A.; de Andrade, H.F.; Barros, V.; Vasconcelos, P.F.C.; Duarte, M.I.S. Immunopathogenesis of dengue hemorrhagic fever: Contribution to the study of human liver lesions. J. Med. Virol. 2014, 86, 1193–1197. [Google Scholar] [CrossRef]
- Pagliari, C.; Simões Quaresma, J.A.; Kanashiro-Galo, L.; de Carvalho, L.V.; Vitoria, W.O.; da Silva, W.L.F.; Penny, R.; Vasconcelos, B.C.B.; da Costa Vasconcelos, P.F.; Duarte, M.I.S. Human kidney damage in fatal dengue hemorrhagic fever results of glomeruli injury mainly induced by IL17. J. Clin. Virol. 2016, 75, 16–20. [Google Scholar] [CrossRef] [PubMed]



| Case | State | Category | Lifetime | Sex | Date Birth (m/d/y) | Date Death (m/d/y) | Gestational Age | Maternal DOS | Maternal Symptoms | Case Information | Material |
|---|---|---|---|---|---|---|---|---|---|---|---|
| 1 | ES | Fetus (Miscarriage) | NA | NA | 12/24/2015 | 12/24/2015 | 8 weeks | No symptoms | No symptoms | Ultrasound (8 weeks) detected retained dead fetus. Fetal skull disproportionately smaller than the trunk | fetus, placenta |
| 2 | RN | Stillbirth | NA | M | 01/12/2016 | 01/12/2016 | 34 weeks (Preterm) | Unknown | Unknown | Macroscopic aspects: brain malformed, dilated lateral ventricles and the absence of the cerebellum; absence of nasal bone, clubfoot; bilateral cubital fold; absence of scrotum; hypoplastic penis; bilateral cryptorchidism | brain, liver, kidney, lung |
| 3 | PE | Stillbirth | NA | F | 12/16/2015 | 12/16/2015 | 40 weeks (At term) | Unknown | Urinary tract infection treated during pregnancy | Microcephaly detected at birth | brain, liver, spleen, heart, kidney, lung, placenta |
| 4 | RN | Newborn | 2 h | M | 11/14/2015 | 11/14/2015 | Unknown | First trimester | Symptoms suggestive of Zika infection | Newborn with microcephaly, large anterior fontanel, nasopalatine cleft, low-set ears, ginodactyly, clubfoot | brain, liver, kidney, lung |
| 5 | RN | Newborn | 6 h | F | 11/17/2015 | 11/17/2015 | 40 weeks (At term) | Before confirmation of pregnancy | General symptoms of viral disease and rash | Microcephaly with ventriculomegaly, arthrogryposis, pulmonary hypoplasia, atrial septal defect | brain, liver, kidney, lung |
| 6 | RN | Newborn | 14 h | M | 01/07/2016 | 01/07/2016 | Unknown | Unknown | Unknown | Newborn with microcephaly (CP = 32 cm) and hydrocephalus, arthrogryposis. Macroscopic pulmonary hypoplasia, reduced brain tissue, cerebellar hypoplasia, abdominal testis, thoracolumbar scoliosis | brain, liver, kidney, lung |
| 7 | CE | Newborn | 1 day | M | 12/16/2015 | 12/17/2015 | Unknown | Unknown | Unknown | Microcephaly | brain, liver, spleen, heart, kidney, lung, placenta, umbilical cord |
| 8 | CE | Newborn | 2 days | M | 12/30/2015 | 12/31/2015 | Unknown | Unknown | Unknown | Microcephaly | brain, liver, spleen, heart, kidney, lung |
| 9 | PB | Newborn | 1 day | M | 12/26/2015 | 12/26/2015 | 28 weeks (Preterm) | First trimester | Fever and rash | Ultrasound (22 weeks) detected microcephaly, clubfoot, agenesis of fingers. Newborn with microcephaly (CP = 21 cm) and deformities of the hands and feet were observed. Macroscopy: decreased lungs and brain; lung, liver, pancreas, spleen and gut with a wine-like appearance | brain, liver, spleen, heart, kidney, lung |
| 10 | CE | Newborn | 5 min | F | 11/18/2015 | 11/18/2015 | 29 weeks (Preterm) | First trimester | Fever, myalgia, joint pain, and rash | Newborn with microcephaly and arthrogryposis, and possible esophageal atresia | blood, CSF, urine, brain, liver, spleen, thymus, heart, kidney, lung |
| 11 | CE | Newborn | 1 day | F | 12/16/2015 | 12/17/2015 | 36 weeks (Preterm) | Unknown | Unknown | Cesarean delivery for breech presentation, with the presence of meconium. Detected microcephaly (CP = 31 cm) and arthrogryposis. X-ray shows right diaphragmatic hernia | brain, liver, spleen, heart, kidney, lung |
| 12 | CE | Newborn | 1 day | F | 12/22/2015 | 12/22/2015 | At term | Second trimester | Fever and rash | Detected microcephaly (CP = 30 cm) and bilateral ventriculomegaly on 35 weeks of gestational age. | serum, placenta |
| Case | Category | Gestational Age | Lifetime | Material | Results | ||
|---|---|---|---|---|---|---|---|
| Histopathology | IHC | RT-qPCR | |||||
| 1 | Fetus (Miscarriage) | 8 weeks | NA | Fetus | Fetal tissue inside the yolk sac with necrotic lesions, but no observed inflammatory reaction | Pos | NR |
| Placenta | Membrane and deciduous with necrosis, neutrophils and mononuclear cells. Areas with hyaline, mononuclear infiltrate, calcification foci, and abundant fibrinoid material | Pos | NR | ||||
| 2 | Stillbirth | 34 weeks (preterm) | NA | Brain | Tissue edema, vasocongestion in meninges. Nervous tissue with vascular proliferation, necrosis or apoptosis, gliosis, calcification multiple, edema. There are few neurons | Pos | Pos |
| Liver | Autolysis | Pos | Pos | ||||
| Kidney | Vasocongestion. Renal tubes with autolysis | Pos | Pos | ||||
| Lung | Lung immaturity, presence of keratinized cells in alveolar spaces with amniotic fluid, and other areas with atelectasis; vessels with thickened walls | Pos | Pos | ||||
| 3 | Stillbirth | 40 weeks (At term) | NA | Brain | Edema and diffuse vasocongestion, neuronal apoptosis | Pos | NR |
| Liver | Intense sinusoidal vasocongestion, macrovacuolar steatosis, little inflammatory infiltration of macrophages and plasma cells in portal tract. | Pos | NR | ||||
| Spleen | Vasocongestion | Neg | NR | ||||
| Heart | No changes | Neg | NR | ||||
| Kidney | Intense vasocongestion | Pos | NR | ||||
| Lung | Vasocongestion, presence of amniotic fluid and meconium in alveoli, bronchi, and bronchioles, suggestive of fetal distress | Neg | NR | ||||
| Placenta | Membranes preserved with multiple foci of calcification, fibrin, and vasocongestion | Neg | NR | ||||
| 4 | Newborn | Unknown | 2 h | Brain | Structure preserved but with edema and vasocongestion. | Pos | Neg |
| Liver | Intense vasocongestion and focal erythropoiesis. Focal microvacuolar steatosis in some hepatocytes. No portal inflammatory reaction | Pos | Pos | ||||
| Kidney | Diffuse vasocongestion and renal pelvis bleeding | Pos | Neg | ||||
| Lung | Structure preserved with few areas of alveolar bleeding and vasocongestion | Neg | Neg | ||||
| 5 | Newborn | 40 weeks (At term) | 6 h | Brain | Edema, vasocongestion, degenerative neural lesions (vacuolization of nucleus) | Pos | Pos |
| Liver | Subcapsular bleeding, hepatocyte edema, macro and microvacuolar steatosis, inflammatory infiltrate in portal area and sinusoids | Neg | Neg | ||||
| Kidney | Glomerular immaturity, hemorrhagic foci and vasocongestion | Neg | Neg | ||||
| Lung | Interstitial pneumonia, alveolar bleeding and intense vasocongestion; hemorrhagic pleuritis | Neg | Neg | ||||
| 6 | Newborn | Unknown | 14 h | Brain | Necrosis, calcification, gliosis, edema, neuroapoptosis and intense vasocongestion in the cortical layer; perivascular lymphocytic infiltrate; dilatation of ventricles (ventriculomegaly) | Pos | Pos |
| Liver | Hepatocytes with discreet and sparse macrovesicular steatosis. Sinusoidal intense vasocongestion. No portal inflammatory reaction | Neg | Neg | ||||
| Kidney | Vasocongestion | Neg | Neg | ||||
| Lung | Edema, alveoli bleeding, and vasocongestion | Pos | Neg | ||||
| 7 | Newborn | Unknown | 1 day | Brain | Meningeal thickening with vascularization intense, hyperemia, edema, lymphocytic inflammatory infiltrate; nervous tissue with edema, perivascular lymphocytic infiltrate, vasocongestion intense, and neuronal necrosis | Pos | Pos |
| Liver | Erythropoiesis and sinusoidal congestion | Neg | Pos | ||||
| Spleen | Vasocongestion | Neg | Pos | ||||
| Heart | No changes | Neg | Pos | ||||
| Kidney | Diffuse vascular congestion | Neg | Pos | ||||
| Lung | Vasocongestion, alveolar collapse; Bronchi and interstitial septa with lymphocytic infiltrate | Neg | Pos | ||||
| 8 | Newborn | Unknown | 2 days | Placenta | No changes. Maturity corresponding to 3rd trimester of pregnancy | Neg | NR |
| Umbilical cord | Normal aspect | Neg | NR | ||||
| Brain | Edema, vasocongestion and vascular proliferation, neuronal necrosis, focal depopulation, and calcifications | Pos | Neg | ||||
| Liver | Vasocongestion, hepatic steatosis macro and microvacuolar, erythropoiesis foci; inflammatory reaction in portal tract | Pos | Neg | ||||
| Spleen | Vasocongestion | Pos | Neg | ||||
| Heart | Muscle fibers with vacuolated aspect | Pos | Neg | ||||
| Kidney | Vasocongestion intense, predominantly in medullar area | Pos | Neg | ||||
| Lung | Vasocongestion, alveoli containing granular and acidophilus material, and desquamated epithelial cells, suggesting amniotic fluid aspiration and fetal distress | Pos | Neg | ||||
| 9 | Newborn | 28 weeks (preterm) | 1 day | Brain | Multiple calcifications in cortical layer. Edema, necrosis, vascular proliferation, gliosis foci, neuronal depopulation, and residual neurons with necrosis. | Pos | Pos |
| Liver | Focal erythropoiesis; partial autolysis of hepatocytes | Pos | Neg | ||||
| Spleen | Autolysis | Neg | Neg | ||||
| Kidney | No changes | Pos | Pos | ||||
| Lung | Large areas collapsed with acidophilus material brown-dark color, suggesting amniotic fluid and meconium aspiration and fetal distress | Neg | Pos | ||||
| 10 | Newborn | 29 weeks (preterm) | 5 min | Blood | NA | NA | Neg |
| CSF | NA | NA | Pos | ||||
| Urine | NA | NA | Neg | ||||
| Brain | NR | NR | Pos | ||||
| Liver | NR | NR | Neg | ||||
| Spleen | NR | NR | Neg | ||||
| Thymus | NR | NR | Neg | ||||
| Heart | NR | NR | Pos | ||||
| Kidney | NR | NR | Pos | ||||
| Lung | NR | NR | Pos | ||||
| 11 | Newborn | 36 weeks (preterm) | 1 day | Brain | Meningeal thickening with abundant vascularization, vasocongestion, mononuclear infiltrate, edema. Cortical with neuronal depopulation, disorganization, neuronal satelitosis, focal gliosis, vascular proliferation, hyperemia, and intense edema | Pos | Pos |
| Liver | Sinusoidal congestion and edema of hepatocytes | Pos | Pos | ||||
| Spleen | Vasocongestion | Neg | Pos | ||||
| Heart | No changes | Pos | Pos | ||||
| Kidney | Vasocongestion | Pos | Pos | ||||
| Lung | Vasocongestion | Neg | Pos | ||||
| 12 | Newborn | At term | 1 day | Serum | NA | NA | Pos |
| Placenta | Membranes preserved. Chorionic villi vascularized with calcification foci | Pos | Pos | ||||
© 2018 by the authors. Licensee MDPI, Basel, Switzerland. This article is an open access article distributed under the terms and conditions of the Creative Commons Attribution (CC BY) license (http://creativecommons.org/licenses/by/4.0/).
Share and Cite
Azevedo, R.S.S.; Araujo, M.T.; Oliveira, C.S.; Martins Filho, A.J.; Nunes, B.T.D.; Henriques, D.F.; Silva, E.V.P.; Carvalho, V.L.; Chiang, J.O.; Martins, L.C.; et al. Zika Virus Epidemic in Brazil. II. Post-Mortem Analyses of Neonates with Microcephaly, Stillbirths, and Miscarriage. J. Clin. Med. 2018, 7, 496. https://doi.org/10.3390/jcm7120496
Azevedo RSS, Araujo MT, Oliveira CS, Martins Filho AJ, Nunes BTD, Henriques DF, Silva EVP, Carvalho VL, Chiang JO, Martins LC, et al. Zika Virus Epidemic in Brazil. II. Post-Mortem Analyses of Neonates with Microcephaly, Stillbirths, and Miscarriage. Journal of Clinical Medicine. 2018; 7(12):496. https://doi.org/10.3390/jcm7120496
Chicago/Turabian StyleAzevedo, Raimunda S. S., Marialva T. Araujo, Consuelo S. Oliveira, Arnaldo Jorge Martins Filho, Bruno T. D. Nunes, Daniele F. Henriques, Eliana V. P. Silva, Valéria L. Carvalho, Jannifer O. Chiang, Lívia C. Martins, and et al. 2018. "Zika Virus Epidemic in Brazil. II. Post-Mortem Analyses of Neonates with Microcephaly, Stillbirths, and Miscarriage" Journal of Clinical Medicine 7, no. 12: 496. https://doi.org/10.3390/jcm7120496
APA StyleAzevedo, R. S. S., Araujo, M. T., Oliveira, C. S., Martins Filho, A. J., Nunes, B. T. D., Henriques, D. F., Silva, E. V. P., Carvalho, V. L., Chiang, J. O., Martins, L. C., Vasconcelos, B. C. B., Sousa, J. R., Araujo, F. M. C., Ribeiro, E. M., Castro, A. R. P., De Queiroz, M. G. L., Verotti, M. P., Nunes, M. R. T., Cruz, A. C. R., ... Vasconcelos, P. F. C. (2018). Zika Virus Epidemic in Brazil. II. Post-Mortem Analyses of Neonates with Microcephaly, Stillbirths, and Miscarriage. Journal of Clinical Medicine, 7(12), 496. https://doi.org/10.3390/jcm7120496

