Radiological Outcomes, Complications, and the Influence of Risk Factors in PHILOS Repair of Three- and Four-Part Proximal Humerus Fractures with and Without Femoral Head Allograft: Insights from a Cohort of 116 Patients
Abstract
1. Introduction
2. Materials and Methods
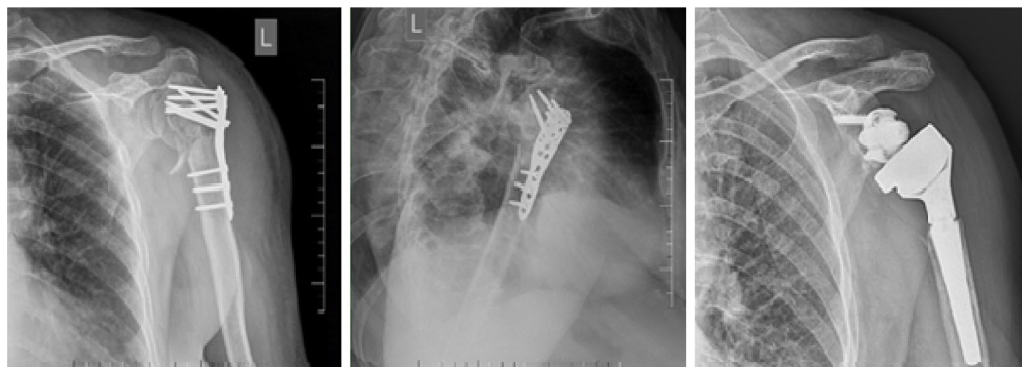
3. Results
4. Discussion
5. Conclusions
Author Contributions
Funding
Institutional Review Board Statement
Informed Consent Statement
Data Availability Statement
Conflicts of Interest
Abbreviations
| PHILOS | Proximal Humerus Internal Locking System |
| RCT | Randomized controlled trial |
| AVN | Avascular necrosis |
| DTI | Deltoid Tuberosity Index |
| HFZ | Head Fragment Size |
| ORIF | Open Reduction Internal Fixation |
| RSA | Reverse Shoulder Arthroplasty |
| AP | Antero-posterior |
| NaCl | Natriumchlorid |
| CT | Computer Tomography |
| GT | Greater Tubercle |
| FH | Femoral Head |
Appendix A

| Indications | Structural criteria | Poor bone quality (osteoporosis); large epimetaphyseal defect; calcar loss; complex fracture with humeral head impaction. |
| Advantages | Mechanical support of the medial column; reduced risk of varus collapse; prevention of secondary displacement. | |
| Disadvantages | Risk of infection; possible disease transmission; graft-versus-host reaction. | |
| Contraindications | Open fractures; oncological diseases treated with chemotherapy; systemic immune disorders; prior graft-versus-host reaction. |
References
- Heo, S.M.; Faulkner, H.; An, V.; Symes, M.; Nandapalan, H.; Sivakumar, B. Outcomes following reverse total shoulder arthroplasty vs. operative fixation for proximal humerus fractures: A systematic review and meta-analysis. Ann. R. Coll. Surg. Engl. 2024, 106, 562–568. [Google Scholar] [CrossRef] [PubMed]
- Wang, Q.; Sheng, N.; Huang, J.T.; Zhu, H.; Tuerxun, M.; Ruan, Z.; Shi, T.; Zhu, Y.; Zhang, Y.; Rui, B.; et al. Effect of Fibular Allograft Augmentation in Medial Column Comminuted Proximal Humeral Fractures: A Randomized Controlled Trial. J. Bone Joint Surg. Am. 2023, 105, 302–311. [Google Scholar] [CrossRef]
- Dasari, S.P.; Kerzner, B.; Fortier, L.M.; Rea, P.M.; Bodendorfer, B.M.; Chahla, J.; Garrigues, G.E.; Verma, N.N. Improved outcomes for proximal humerus fracture open reduction internal fixation augmented with a fibular allograft in elderly patients: A systematic review and meta-analysis. J. Shoulder Elbow Surg. 2022, 31, 884–894. [Google Scholar] [CrossRef]
- Opperman, F.L.J.; Blaas, L.S.; Pape, M.; Buijs, N.; Sterkenburg, M.V.; Yuan, J.Z.; Lameijer, C.M.; Derksen, R.J. Fibula allograft in complex three-part and four-part proximal humeral fractures in active patients, a matched case-control study. JSES Int. 2023, 17, 21–26. [Google Scholar] [CrossRef]
- Polykandriotis, E.; Zschiegner, A.; Horch, R.E.; Schürmann, M. Bone Allograft and Locking Plate for Severe Proximal Humeral Fractures: Early and Late Outcomes. Med. Sci. Monit. 2021, 27, e928982. [Google Scholar] [CrossRef] [PubMed]
- Kamikovski, I.; Wengle, L.; Sheth, U.; Nam, D. Open reduction and internal fixation of the proximal humerus with femoral head allograft augmentation “the French fry technique”. JSES Rev. Rep. Tech. 2023, 4, 438–448. [Google Scholar] [CrossRef] [PubMed]
- Halvachizadeh, S.; Berk, T.; Rauer, T.; Hierholzer, C.; Pfeifer, R.; Pape, H.C.; Allemann, F. Treatment of proximal humerus fractures in geriatric patients-Can pathological DEXA results help to guide the indication for allograft augmentation? PLoS ONE 2020, 9, e0230789. [Google Scholar] [CrossRef]
- Jamovi, Version 2.6. Computer Software. The Jamovi Project: Sydney, Australia, 2024. Available online: https://www.jamovi.org (accessed on 17 September 2024).
- R Core Team. R: A Language and Environment for Statistical Computing, Version 4.4. Computer software, R Packages Retrieved from CRAN Snapshot 2024-08-07. R Core Team: Vienna, Austria, 2024. Available online: https://cran.r-project.org (accessed on 18 December 2024).
- Klute, L.; Pfeifer, C.; Berner, A.; Alt, V.; Kerschbaum, M.; Henssler, L. Plate osteosynthesis versus non-surgical treatment in displaced proximal humerus fractures-long term functional outcome and quality of life. Eur. J. Orthop. Surg. Traumatol. 2025, 35, 174. [Google Scholar] [CrossRef]
- Matheron, G.; Mahoney, M.; Domos, P. Conservative treatment of 3- and 4-part proximal humeral fractures: Can poor outcomes be predicted? Eur. J. Orthop. Surg. Traumatol. 2024, 34, 2031–2040. [Google Scholar] [CrossRef]
- Soler-Peiro, M.; García-Martínez, L.; Aguilella, L.; Perez-Bermejo, M. Conservative treatment of 3-part and 4-part proximal humeral fractures: A systematic review. J. Orthop. Surg. Res. 2020, 15, 347. [Google Scholar] [CrossRef]
- Guity, M.R.; Hoseini-Zare, N.; Pahlevan-Fallahy, M.T.; Poursalehian, M.; Mafi, A.H.; Kachooei, A.R.; Pazoki, S.; Bagheri, N.; Mirghaderi, P. Plate osteosynthesis of proximal humerus fracture is associated with significant complications and poor functional score for patients older than 45 years: A cohort study. J. Shoulder Elbow Surg. 2025, 34, 1455–1462. [Google Scholar] [CrossRef]
- Sheng, N.; Wang, Q.; Xing, F.; Wang, J.; Chen, Y.; Xiang, Z. Allografts are not necessary for displaced proximal humeral fractures in patients less than 65 years old, a retrospective cohort study. Injury 2023, 54, 110861. [Google Scholar] [CrossRef]
- Oldrini, L.M.; Feltri, P.; Albanese, J.; Marbach, F.; Filardo, G.; Candrian, C. PHILOS Synthesis for Proximal Humerus Fractures Has High Complications and Reintervention Rates: A Systematic Review and Meta-Analysis. Life 2022, 12, 311. [Google Scholar] [CrossRef]
- Ma, H.; Sun, J.; Ma, X.; Yang, Z.; Sun, H.; Cao, D.; Si, L.; Zhao, P.; Qiao, Z. Retrospective analysis of open reduction and locking plate fixation in three and four part proximal humeral fractures with efficacy and complications. Sci. Rep. 2025, 15, 23081. [Google Scholar] [CrossRef]
- Wang, Y.; Li, J.; Men, Y.; Wei, W. Intrinsic Cortical Property Analysis of the Medial Column of Proximal Humerus. Orthop. Surg. 2023, 15, 793–800. [Google Scholar] [CrossRef] [PubMed]
- Cosic, F.; Kirzner, N.; Edwards, E.; Page, R.; Kimmel, L.; Gabbe, B. Factors associated with failure of locking plate fixation in proximal humerus fractures. Injury 2025, 56, 112024. [Google Scholar] [CrossRef]
- Euler, S.A.; Kralinger, F.S.; Hengg, C.; Wambacher, M.; Blauth, M. Allograft augmentation in proximal humerus fractures. Oper. Orthop. Traumatol. 2016, 28, 153–163. [Google Scholar] [CrossRef] [PubMed]
- Etemad-Rezaie, A.; Dienes, S.; Gohal, C.; Politis-Barber, V.; Searle, S.; Nam, D.; Sheth, U. Bone grafting augmentation choices in complex proximal humerus fractures: A systematic review. J. Orthop. 2024, 59, 97–105. [Google Scholar] [CrossRef]
- Chang, H.H.; Lim, J.R.; Lee, K.H.; An, H.; Yoon, T.H.; Chun, Y.M. The biomechanical effect of fibular strut grafts on humeral surgical neck fractures with laterall wall cominution. Sci. Rep. 2023, 13, 3744. [Google Scholar] [PubMed]
- Nie, W.; Wang, Z.; Gu, F.; Xu, S.; Yue, Y.; Shao, A.; Sun, K. Effects of fibular strut augmentation for the open reduction and internal fixation of proximal humeral fractures: A systematic review and meta-analysis. J. Ortop. Surg. Res 2022, 17, 322. [Google Scholar]
- Xu, J.; Zhang, C.; Wang, T. Avascular necrosis in proximal humeral fractures in patients treated with operative fixation: A meta-analysis. J. Orthop. Surg. Res. 2014, 27, 31. [Google Scholar] [CrossRef]
- Fazzari, F.; Canton, G.; Giraldi, G.; Falcioni, N.; Clocchiatti, S.; Rasio, N.; Murena, L. Avascular necrosis of humeral head after proximal humerus fracture: Comparison between classification systems in predicting necrosis risk. Acta Biomed. 2023, 94, e2023089. [Google Scholar]
- Neviaser, A.S.; Hettrich, C.M.; Beamer, B.S.; Dines, J.S.; Lorich, D.G. Endosteal strut augment reduces complications associated with proximal humeral locking plates. Clin. Orthop. Relat. Res. 2011, 469, 3300–3306. [Google Scholar] [CrossRef] [PubMed]
- Da Silva, T.; Ehrhard, D.B.; Chuchuy, T.M.; Knop, C.; Merkle, T. Predictive value of the deltoid tuberosity index for assessing the risk of screw cut-out. Obere Extrem. 2023, 18, 106–112. [Google Scholar] [CrossRef]
- Da Silva, T.; Barkow, R.P.; Richter, M.; Koja, S.; Zumzansen, V.Y.; Knop, C.; Merkle, T.P. How reliable is the Deltoid Tuberosity Index? Assessing intra- and interobserver variability and the influence of humeral rotation. Eur. J. Orthop. Surg. Traumatol. 2025, 35, 240. [Google Scholar] [CrossRef] [PubMed]
- Zhang, J.; Zhou, S.; Cai, F.; Ma, Y. Efficacy of proximal humeral internal locking system combined with allogenic femoral head bone grafts for complex osteoporotic proximal humeral fracture. Int. J. Clin. Exp. Med. 2019, 12, 8847–8854. [Google Scholar]
- Cheng, H.Y.; Liang, C.W.; Wang, J.H.; Kuo, Y.R.; Ko, P.Y.; Chuang, C.H.; Wu, T.W. The effect of augmentation choice for logking plate fixation in proximal humerus fracture osteosynthesis: A systematic review and meta-analysis. J. Orthop. Traumatol. 2025, 17, 47. [Google Scholar] [CrossRef] [PubMed]




| Variables | Overall | PHILOS | PHILOS + FH Allograft | p-Value | Statistical Tests |
|---|---|---|---|---|---|
| Number of patients | 116 | 84 (72%) | 32 (28%) | ||
| Age | 69 ± 10.1 | 65 ± 10.8 | p = 0.714 | χ2 test | |
| Sex | p = 0.569 | Chi-square test | |||
| Men | 41 (35%) | 31 | 10 | ||
| Women | 75 (65%) | 53 | 22 | ||
| Neer Classification | p ˂ 0.001 | Chi-square test | |||
| 3-part | 42 | 39/84 (46%) | 3/32 (9%) | ||
| 4-part | 74 | 45/84 (54%) | 29/32 (91%) | ||
| Dislocation | |||||
| Valgus | 65 (56%) | ||||
| Varus | 33 (28%) | ||||
| PHILOS− Position | |||||
| Optimal | 112 (97%) | ||||
| Suboptimal | 4 (3%) | p = 0.906 | |||
| Reposition | |||||
| Tuberculum majus | |||||
| Anatomical | 103 | 75 (89%) | 28 (87%) | ||
| Non-anatomical | 13 | 9 (11%) | 4 (13%) | p = 0.785 | χ2 test |
| Calcar humeri | |||||
| Anatomical | 102 | 78 (93%) | 24 (75%) | χ2 test | |
| Non-anatomical | 14 | 6 (7%) | 8 (25%) | p = 0.008 | |
| Duration of the surgery (min) | 86.0 ± 31.9 | 101.3 ± 21.3 | p = 0.004 | χ2 test | |
| Timing of surgery (days) | 3.5 ± 2.9 | 4.7 ± 2.4 | p = 0.007 | WMW-test | |
| Complications | |||||
| AVN | 4 (3.5%) | 2 (2%) | 2 (6%) | p = 0.307 | Chi-square test |
| Head collapse | 9 (8%) | 2 (2%) | 7 (22%) | p = 0.001 | Chi-square test |
| Cut-out | 6 (5%) | 0 (0%) | 6 (19%) | p ˂ 0.001 | Chi-square test |
| Screw-loosening | 5 (4%) | 2 (2%) | 3 (9%) | p = 0.097 | Chi-square test |
| Reoperation | 8 (7%) | 4 (5%) | 4 (13%) | p = 0.142 | Chi-square test |
| Infection | 3 (2.5%) | 1 (1%) | 2 (6%) | ||
| Pseudoathrosis | 1 (1%) | 1 (1%) | 0 (0%) | ||
| Reoperation RSA | 6 (5%) | 3 (4%) | 3 (9%) |
| Observed Variables | Avascular Necrosis | Head Collapse | Cut-Out | Greater Tubercle Redislocation | Nonunion | Infection | ||||||||||||
|---|---|---|---|---|---|---|---|---|---|---|---|---|---|---|---|---|---|---|
| AVN | NO-AVN | p-Value | HC | NO-HC | p-Value | Cut-Out | NO-Cut-Out | p-Value | GT Redisloc. | NO-GT Redisloc. | p-Value | Nonunion | NO-Nonunion | p-Value | Infection | NO-Infection | p-Value | |
| Age/Years | 64 (±5.2) | 65.1 (±13.6) | 0.867 | 66.8 (±7.5) | 65 (±13.8) | 0.697 | 66.3 (±10.3) | 65 (±13.5) | 0.818 | 62.6 (±9.0) | 65.2 (±13.5) | 0.67 | 69 | 65 (±13.4) | 0.771 | 65.7 (±9.1) | 65.1 (±13.5) | 0.941 |
| Sex | 0.091 | 0.391 | 0.441 | 0.824 | 0.458 | 0.25 | ||||||||||||
| Female | 1 (1%) | 74 (99%) | 7 (9%) | 68 (91%) | 3 (4%) | 72 (96%) | 3 (4%) | 72 (96%) | 1 (1%) | 74 (99%) | 1 (1%) | 74 (99%) | ||||||
| Male | 3 (7%) | 38 (93%) | 2 (5%) | 39 (95%) | 3 (7%) | 38 (93%) | 2 (5%) | 39 (95%) | 0 (0%) | 41 (100%) | 2 (5%) | 39 (95%) | ||||||
| Neer Classification of Proximal Humerus Fracture | 0.295 | 0.485 | 1.000 | 0.652 | 1.000 | 0.552 | ||||||||||||
| 3 parts fractures | 0 (0%) | 42 (100%) | 2 (5%) | 40 (95%) | 2 (5%) | 40 (95%) | 1 (2%) | 41 (98%) | 1 (2%) | 41 (98%) | 1 (2%) | 41 (98%) | ||||||
| 4 part fractures | 4 (5%) | 70 (95%) | 7 (10%) | 67 (90%) | 4 (5%) | 70 (95%) | 4 (5%) | 70 (95%) | 0 (0%) | 74 (100%) | 2 (3%) | 72 (97%) | ||||||
| Timing of the Surgery/Days | 4.3 (±0.06) | 3.8 (±2.9) | 0.746 | 4.4 (±2.4) | 3.8 (±2.9) | 0.485 | 5.0 (±2.2) | 3.7 (±2.9) | 0.291 | 5.2 (±1.1) | 3.8 (±2.9) | 0.263 | 2 | 3.8 (±2.8) | 0.523 | 6.5 (±0.7) | 3.8 (±2.8) | 0.176 |
| Interruption of the Medial Hinge/ Calcar Loss | 0.944 | 0.02 | 0.112 | 0.027 | 0.299 | 0.518 | ||||||||||||
| Present | 2 (3%) | 58 (97%) | 8 (13%) | 52 (87%) | 5 (8%) | 55 (92%) | 5 (8%) | 55 (92%) | 0 (0%) | 60 (100%) | 1 (2%) | 59 (98%) | ||||||
| Missing | 2 (4%) | 54 (96%) | 1 (2%) | 55 (98%) | 1 (2%) | 55 (98%) | 0 (0%) | 56 (100%) | 1 (2%) | 55 (98%) | 2 (4%) | 54 (96%) | ||||||
| Comminution of Greater Tubercle | 0.203 | 0.005 | 0.005 | 0.01 | 0.257 | 0.12 | ||||||||||||
| Present | 3 (6%) | 48 (94%) | 8 (16%) | 43 (84%) | 6 (12%) | 45 (88%) | 5 (10%) | 46 (90%) | 1 (2%) | 50 (98%) | 0 (0%) | 51 (100%) | ||||||
| Missing | 1 (2%) | 64 (98%) | 1 (2%) | 64 (98%) | 0 (0%) | 65 (100%) | 0 (0%) | 65 (100%) | 0 (0%) | 65 (100%) | 3 (5%) | 62 (95%) | ||||||
| Varus-Valgus Deformity | 0.799 | 1.000 | 0.604 | 0.356 | 1.000 | 1.000 | ||||||||||||
| Missing | 1 (6%) | 17 (94%) | 1 (6%) | 17 (94%) | 0 (0%) | 18 (100%) | 0 (0%) | 18 (100%) | 0 (0%) | 18 (100%) | 0 (0%) | 18 (100%) | ||||||
| Valgus | 2 (3%) | 63 (97%) | 5 (8%) | 60 (92%) | 5 (8%) | 60 (92%) | 2 (3%) | 63 (97%) | 1 (2%) | 64 (98%) | 2 (3%) | 63 (97%) | ||||||
| Varus | 1 (3%) | 32 (97%) | 3 (9%) | 30 (91%) | 1 (3%) | 32 (97%) | 3 (9%) | 30 (91%) | 0 (0%) | 33 (100%) | 1 (3%) | 32 (97%) | ||||||
| Bone Graft | 0.307 | <0.001 | <0.001 | 0.007 | 0.535 | 0.125 | ||||||||||||
| Allograft augmentation | 2 (6%) | 30 (94%) | 7 (22%) | 25 (78%) | 6 (19%) | 26 (81%) | 4 (13%) | 28 (87%) | 0 (0%) | 32 (100%) | 2 (6%) | 30 (94%) | ||||||
| Without allograft augmentation | 2 (2%) | 82 (98%) | 2 (2%) | 82 (98%) | 0 (0%) | 84 (100%) | 1 (1%) | 83 (99%) | 1 (1%) | 83 (99%) | 1 (1%) | 83 (99%) | ||||||
| Medial Hinge Restoration | 0.071 | 0.012 | 0.002 | 0.110 | 1.000 | 0.038 | ||||||||||||
| Calcar anatomical restoration | 2 (5%) | 100 (98%) | 5 (5%) | 97 (95%) | 2 (2%) | 100 (98%) | 3 (3%) | 99 (97%) | 1 (1%) | 101 (99%) | 1 (1%) | 101 (99%) | ||||||
| No-calcar anatomical restoration | 2 (17%) | 12 (83%) | 4 (29%) | 10 (71%) | 4 (29%) | 10 (71%) | 2 (14%) | 12 (86%) | 0 (0%) | 14 (100%) | 2 (14%) | 12 (86%) | ||||||
| Risk Factors | Complications Overall | AVN | Head Collapse | Reoperations |
|---|---|---|---|---|
| DTI | p = 0.119 | p = 0.383 | p = 0.749 | p = 0.198 |
| HFZ | p = 0.325 | p = 0.413 | p = 0.191 | p = 0.770 |
Disclaimer/Publisher’s Note: The statements, opinions and data contained in all publications are solely those of the individual author(s) and contributor(s) and not of MDPI and/or the editor(s). MDPI and/or the editor(s) disclaim responsibility for any injury to people or property resulting from any ideas, methods, instructions or products referred to in the content. |
© 2026 by the authors. Licensee MDPI, Basel, Switzerland. This article is an open access article distributed under the terms and conditions of the Creative Commons Attribution (CC BY) license.
Share and Cite
Cibula, Z.; Cipkala, M.; Sammoudi, D.; Grendar, M.; Cervencova, M. Radiological Outcomes, Complications, and the Influence of Risk Factors in PHILOS Repair of Three- and Four-Part Proximal Humerus Fractures with and Without Femoral Head Allograft: Insights from a Cohort of 116 Patients. J. Clin. Med. 2026, 15, 910. https://doi.org/10.3390/jcm15020910
Cibula Z, Cipkala M, Sammoudi D, Grendar M, Cervencova M. Radiological Outcomes, Complications, and the Influence of Risk Factors in PHILOS Repair of Three- and Four-Part Proximal Humerus Fractures with and Without Femoral Head Allograft: Insights from a Cohort of 116 Patients. Journal of Clinical Medicine. 2026; 15(2):910. https://doi.org/10.3390/jcm15020910
Chicago/Turabian StyleCibula, Zoltan, Milan Cipkala, Diaa Sammoudi, Marian Grendar, and Monika Cervencova. 2026. "Radiological Outcomes, Complications, and the Influence of Risk Factors in PHILOS Repair of Three- and Four-Part Proximal Humerus Fractures with and Without Femoral Head Allograft: Insights from a Cohort of 116 Patients" Journal of Clinical Medicine 15, no. 2: 910. https://doi.org/10.3390/jcm15020910
APA StyleCibula, Z., Cipkala, M., Sammoudi, D., Grendar, M., & Cervencova, M. (2026). Radiological Outcomes, Complications, and the Influence of Risk Factors in PHILOS Repair of Three- and Four-Part Proximal Humerus Fractures with and Without Femoral Head Allograft: Insights from a Cohort of 116 Patients. Journal of Clinical Medicine, 15(2), 910. https://doi.org/10.3390/jcm15020910

