Clinical and Histological Outcomes of Autologous Dentin Matrix in Post-Extraction Alveolar Healing: A Pilot Randomized Clinical Trial
Abstract
1. Introduction
2. Materials and Methods
2.1. Study Design
2.2. Participants
2.3. Surgical Procedure
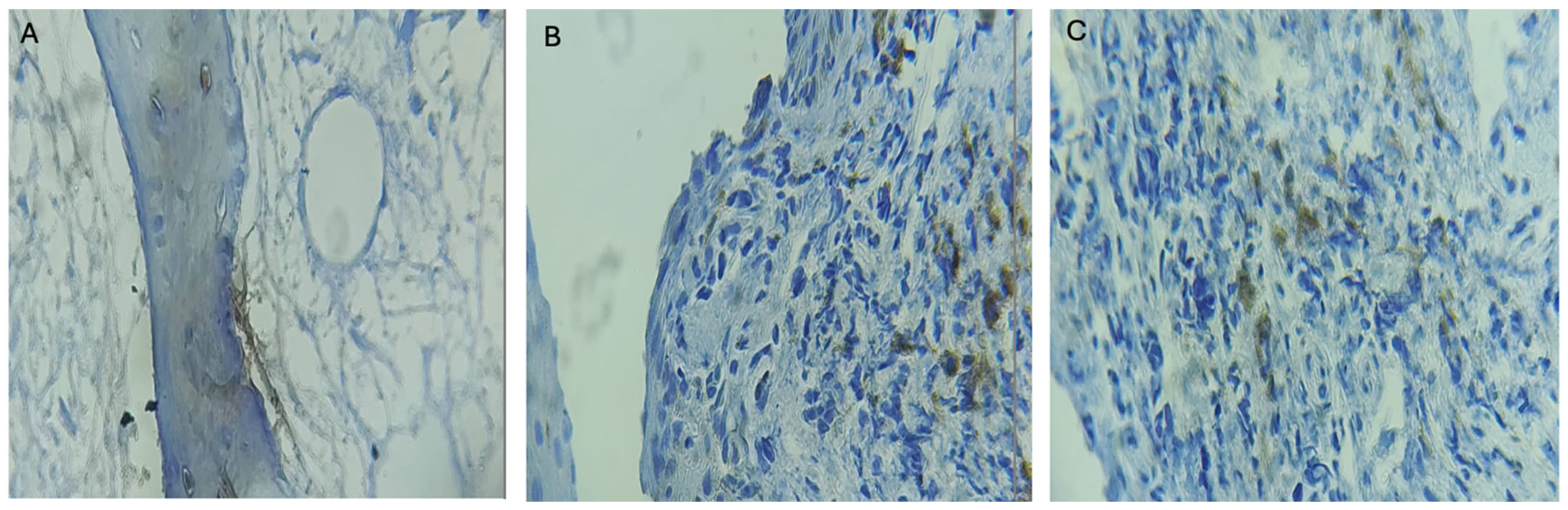
2.4. Histological Analysis
2.5. Immunohistochemical Analysis
2.6. Statistical Analyses
3. Results
3.1. Study Population and Sample Distribution
3.2. Histological Findings
3.3. Immunohistochemistry BMP4 Expression
4. Discussion
5. Conclusions
Author Contributions
Funding
Institutional Review Board Statement
Informed Consent Statement
Data Availability Statement
Acknowledgments
Conflicts of Interest
Abbreviations
| ARP | Alveolar Ridge Preservation |
| ADM | Autologous Dentin Matrix |
| DDM | Demineralized Dentin Matrix |
| PRF | Platelet-Rich Fibrin |
| BMP | Bone Morphogenetic Protein |
| BMP4 | Bone Morphogenetic Protein 4 |
| CBCT | Cone Beam Computed Tomography |
| ASA | American Society of Anesthesiologists |
| PMNLs | Polymorphonuclear Leukocytes |
| H&E | Hematoxylin and Eosin |
| IHC | Immunohistochemistry |
| TGF-β | Transforming Growth Factor Beta |
References
- Huang, Q.; Han, L.; Wang, R.; Guan, Q.; Wang, H.; Yang, Y.; Du, D.; Wang, Y.; Shi, Y.; Chai, J.; et al. Electrospun Nanofibers Loaded with Concentrated Growth Factors and Nanohydroxyapatite for the Healing of Alveolar Bone in Tooth Extraction Wounds. ACS Biomater. Sci. Eng. 2025, 11, 5975–5990. [Google Scholar] [CrossRef]
- Shin, H.J.; Park, J.-Y.; Tien, H.K.; Strauss, F.-J.; Cha, J.-K.; Lee, J.-S. In Vivo Experimental Study Comparing Alveolar Ridge Preservation versus Guided Bone Regeneration after Unassisted Socket Healing at Intact and Damaged Sites in Narrow Alveolar Ridges. J. Periodontol. 2025, 96, 279–289. [Google Scholar] [CrossRef]
- Chen, X.; Zeng, Y.; Zhou, X.; Hui, A.; Hao, L. Anatomical Changes in Alveolar Bone Structure Following the Extraction of the Mandibular Second Molar Using CBCT Measurements. Sci. Rep. 2025, 15, 17789. [Google Scholar] [CrossRef]
- García-González, S.; Galve-Huertas, A.; Aboul-Hosn Centenero, S.; Mareque-Bueno, S.; Satorres-Nieto, M.; Hernández-Alfaro, F. Volumetric Changes in Alveolar Ridge Preservation with a Compromised Buccal Wall: A Systematic Review and Meta-Analysis. Med. Oral Patol. Oral Cir. Bucal 2020, 25, e565–e575. [Google Scholar] [CrossRef] [PubMed]
- Hu, K.-F.; Lin, Y.-C.; Huang, Y.-T.; Chou, Y.-H. A Retrospective Cohort Study of How Alveolar Ridge Preservation Affects the Need of Alveolar Ridge Augmentation at Posterior Tooth Implant Sites. Clin. Oral Investig. 2021, 25, 4643–4649. [Google Scholar] [CrossRef]
- Lee, J.; Yun, J.; Kim, J.-J.; Koo, K.-T.; Seol, Y.-J.; Lee, Y.-M. Retrospective Study of Alveolar Ridge Preservation Compared with No Alveolar Ridge Preservation in Periodontally Compromised Extraction Sockets. Int. J. Implant. Dent. 2021, 7, 23. [Google Scholar] [CrossRef] [PubMed]
- Grawish, M.E.; Grawish, L.M.; Grawish, H.M.; Grawish, M.M.; Holiel, A.A.; Sultan, N.; El-Negoly, S.A. Demineralized Dentin Matrix for Dental and Alveolar Bone Tissues Regeneration: An Innovative Scope Review. Tissue Eng. Regen. Med. 2022, 19, 687–701. [Google Scholar] [CrossRef]
- Dominiak, M.; Hnitecka, S.; Olchowy, C.; Olchowy, A.; Gedrange, T. Analysis of Alveolar Ridge Width in an Area of Central Lower Incisor Using Cone-Beam Computed Tomography In Vivo. Ann. Anat.-Anat. Anz. 2021, 236, 151699. [Google Scholar] [CrossRef]
- Majzoub, J.; Ravida, A.; Starch-Jensen, T.; Tattan, M.; Suárez-López del Amo, F. The Influence of Different Grafting Materials on Alveolar Ridge Preservation: A Systematic Review. J. Oral Maxillofac. Res. 2019, 10, e6. [Google Scholar] [CrossRef]
- Faria-Almeida, R.; Astramskaite-Januseviciene, I.; Puisys, A.; Correia, F. Extraction Socket Preservation with or without Membranes, Soft Tissue Influence on Post Extraction Alveolar Ridge Preservation: A Systematic Review. J. Oral Maxillofac. Res. 2019, 10, e5. [Google Scholar] [CrossRef]
- Ahmed, N.; Gopalakrishna, V.; Shetty, A.; Nagraj, V.; Imran, M.; Kumar, P. Efficacy of PRF vs. PRF + Biodegradable Collagen Plug in Post-Extraction Preservation of Socket. J. Contemp. Dent. Pract. 2019, 20, 1323–1328. [Google Scholar]
- Di Stefano, D.A.; Arosio, P.; Cinci, L.; Pieri, L. Ridge Preservation Using an Innovative Enzyme-Deantigenic Equine Bone Paste: A Case Report with 36-Month Follow-Up. J. Contemp. Dent. Pract. 2019, 20, 1229–1234. [Google Scholar] [CrossRef]
- López Sacristán, H.; del Canto Pingarrón, M.; Alobera Gracia, M.A.; de Elío Oliveros, J.; Díaz Pedrero, R.; Seco-Calvo, J. Use of Autologous Tooth-Derived Material as a Graft in the Post-Extraction Socket. Split-Mouth Study with Radiological and Histological Analysis. BMC Oral Health 2024, 24, 832. [Google Scholar] [CrossRef]
- Xie, H.; Ruan, S.; Zhao, M.; Long, J.; Ma, X.; Guo, J.; Lin, X. Preparation and Characterization of 3D Hydroxyapatite/Collagen Scaffolds and Its Application in Bone Regeneration with Bone Morphogenetic Protein-2. RSC Adv. 2023, 13, 23010–23020. [Google Scholar] [CrossRef]
- Heubel, B.; Nohe, A. The Role of BMP Signaling in Osteoclast Regulation. J. Dev. Biol. 2021, 9, 24. [Google Scholar] [CrossRef] [PubMed]
- Wysłouch, E.; Sipika, A.; Grabowska-Jasik, N.; Tyrakowski, M.; Kaczmarzyk, T.; Szuta, M. Use of Autologous Dentin Matrix in Bone Defects Augmentation—A Literature Review. Folia Medica Cracoviensia 2024, 64, 87–91. [Google Scholar] [CrossRef] [PubMed]
- Bordukalo-Nikšić, T.; Kufner, V.; Vukičević, S. The Role of BMPs in the Regulation of Osteoclasts Resorption and Bone Remodeling: From Experimental Models to Clinical Applications. Front. Immunol. 2022, 13, 869422. [Google Scholar] [CrossRef]
- Hinck, A.P.; Mueller, T.D.; Springer, T.A. Structural Biology and Evolution of the TGF-β Family. Cold Spring Harb. Perspect. Biol. 2016, 8, a022103. [Google Scholar] [CrossRef]
- Urist, M.R.; Strates, B.S. Bone Morphogenetic Protein. J. Dent. Res. 1971, 50, 1392–1406. [Google Scholar] [CrossRef] [PubMed]
- Zhou, L.; Wang, J.; Mu, W. BMP-2 Promotes Fracture Healing by Facilitating Osteoblast Differentiation and Bone Defect Osteogenesis. Am. J. Transl. Res. 2023, 15, 6751–6759. [Google Scholar]
- Gipson, G.R.; Goebel, E.J.; Hart, K.N.; Kappes, E.C.; Kattamuri, C.; McCoy, J.C.; Thompson, T.B. Structural Perspective of BMP Ligands and Signaling. Bone 2020, 140, 115549. [Google Scholar] [CrossRef]
- Elmasry, K.; Habib, S.; Moustafa, M.; Al-Shabrawey, M. Bone Morphogenetic Proteins and Diabetic Retinopathy. Biomolecules 2021, 11, 593. [Google Scholar] [CrossRef] [PubMed]
- Ye, D.; Liu, Y.; Pan, H.; Feng, Y.; Lu, X.; Gan, L.; Wan, J.; Ye, J. Insights into Bone Morphogenetic Proteins in Cardiovascular Diseases. Front. Pharmacol. 2023, 14, 1125642. [Google Scholar] [CrossRef]
- Tsuji, K.; Cox, K.; Bandyopadhyay, A.; Harfe, B.D.; Tabin, C.J.; Rosen, V. BMP4 Is Dispensable for Skeletogenesis and Fracture-Healing in the Limb. J. Bone Jt. Surg. 2008, 90, 14–18. [Google Scholar] [CrossRef]
- Pan, Y.; Jiang, Z.; Ye, Y.; Zhu, D.; Li, N.; Yang, G.; Wang, Y. Role and Mechanism of BMP4 in Regenerative Medicine and Tissue Engineering. Ann. Biomed. Eng. 2023, 51, 1374–1389. [Google Scholar] [CrossRef] [PubMed]
- De Angelis, N.; Denegri, L.; Miron, I.C.; Yumang, C.; Pesce, P.; Baldi, D.; Delucchi, F.; Bagnasco, F.; Menini, M. Antibiotic Prescription for the Prevention of Postoperative Complications After Third-Molar Extractions: A Systematic Review. Dent. J. 2025, 13, 107. [Google Scholar] [CrossRef]
- El-Sioufi, I.; Oikonomou, I.; Koletsi, D.; Bobetsis, Y.A.; Madianos, P.N.; Vassilopoulos, S. Clinical Evaluation of Different Alveolar Ridge Preservation Techniques after Tooth Extraction: A Randomized Clinical Trial. Clin. Oral Investig. 2023, 27, 4471–4480. [Google Scholar] [CrossRef]
- Avila-Ortiz, G.; Chambrone, L.; Vignoletti, F. Effect of Alveolar Ridge Preservation Interventions Following Tooth Extraction: A Systematic Review and Meta-analysis. J. Clin. Periodontol. 2019, 46, 195–223. [Google Scholar] [CrossRef]
- Atieh, M.A.; Alsabeeha, N.H.; Payne, A.G.; Ali, S.; Faggion, C.M.J.; Esposito, M. Interventions for Replacing Missing Teeth: Alveolar Ridge Preservation Techniques for Dental Implant Site Development. Cochrane Database Syst. Rev. 2021, 2021, 4. [Google Scholar] [CrossRef]
- Kalsi, A.S.; Kalsi, J.S.; Bassi, S. Alveolar Ridge Preservation: Why, When and How. Br. Dent. J. 2019, 227, 264–274. [Google Scholar] [CrossRef]
- Alenazi, A.; Abdullah Alotaibi, A.; Aljaeidi, Y.; Raqe Alqhtani, N. The Need for Socket Preservation: A Systematic Review. J. Med. Life 2022, 15, 309–312. [Google Scholar] [CrossRef]
- Santos, W.Y.; Benito-Ramal, E.; Toledano-Serrabona, J.; Sánchez-Garcés, M.Á. Efficacy of Bone Morphogenetic Protein in Comparison with Autogenous Bone in Regeneration of Ameloblastoma Bone Defects. A Systematic Review. Med. Oral Patol. Oral Cir. Bucal 2024, 29, e782–e790. [Google Scholar] [CrossRef]
- Bibbo, C.; Nelson, J.; Ehrlich, D.; Rougeux, B. Bone Morphogenetic Proteins. Clin. Podiatr. Med. Surg. 2015, 32, 35–43. [Google Scholar] [CrossRef]
- Um, I.-W.; Ku, J.-K.; Kim, Y.-K.; Lee, B.-K.; Leem, D.H. Histological Review of Demineralized Dentin Matrix as a Carrier of RhBMP-2. Tissue Eng. Part B Rev. 2020, 26, 284–293. [Google Scholar] [CrossRef]
- Jung, G.-U.; Jeon, T.-H.; Kang, M.-H.; Um, I.-W.; Song, I.-S.; Ryu, J.-J.; Jun, S.-H. Volumetric, Radiographic, and Histologic Analyses of Demineralized Dentin Matrix Combined with Recombinant Human Bone Morphogenetic Protein-2 for Ridge Preservation: A Prospective Randomized Controlled Trial in Comparison with Xenograft. Appl. Sci. 2018, 8, 1288. [Google Scholar] [CrossRef]
- Um, I.-W.; Jun, S.-H.; Yun, P.-Y.; Kim, Y.-K. Histological Comparison of Autogenous and Allogenic Demineralized Dentin Matrix Loaded with Recombinant Human Bone Morphogenetic Protein-2 for Alveolar Bone Repair: A Preliminary Report. J. Hard Tissue Biol. 2017, 26, 417–424. [Google Scholar] [CrossRef]
- Fernandes, A.; de Abreu, F.; Fernandes, M.; Alves, J. Demineralized Human Dentin Matrix as an Osteoinductor in the Dental Socket: An Experimental Study in Wistar Rats. Int. J. Oral Maxillofac. Implants 2020, 35, 910–916. [Google Scholar] [CrossRef]
- Kim, B.-J.; Kim, S.-K.; Lee, J.-H. Bone Regeneration of Demineralized Dentin Matrix with Platelet-Rich Fibrin and Recombinant Human Bone Morphogenetic Protein-2 on the Bone Defects in Rabbit Calvaria. Maxillofac. Plast. Reconstr. Surg. 2021, 43, 34. [Google Scholar] [CrossRef]
- Fahmy, B.; Mohammed, S.; Melek, L. Evaluation of a dual socket preservation technique followed by delayed dental implant placement (controlled clinical and radiographic study). Alex. Dent. J. 2023, 48, 1–8. [Google Scholar] [CrossRef]
- Bao, J.; Fu, X.; Wu, Y.; Yang, S.; Ren, X.; Fang, X.; Yuan, Q.; Xie, Z.; Seriwatanachai, D. The Healing Capacity and Osteogenesis Pattern of Demineralized Dentin Matrix (DDM)-Fibrin Glue (FG) Compound. Sci. Rep. 2023, 13, 13140. [Google Scholar] [CrossRef]
- Kabir, M.A.; Murata, M.; Kusano, K.; Akazawa, T.; Shibata, T. Autogenous Demineralized Dentin Graft for Third Molar Socket Regeneration—A Case Report. Dentistry 2015, 5, 9–13. [Google Scholar] [CrossRef]
- Kim, Y.; Ku, J.-K.; Um, I.-W.; Seok, H.; Leem, D.H. Impact of Autogenous Demineralized Dentin Matrix on Mandibular Second Molar after Third Molar Extraction: Retrospective Study. J. Funct. Biomater. 2022, 14, 4. [Google Scholar] [CrossRef]
- Murata, M.; Kabir, M.A.; Hirose, Y.; Ochi, M.; Okubo, N.; Akazawa, T.; Kashiwazaki, H. Histological Evidences of Autograft of Dentin/Cementum Granules into Unhealed Socket at 5 Months after Tooth Extraction for Implant Placement. J. Funct. Biomater. 2022, 13, 66. [Google Scholar] [CrossRef]
- Kim, E.-S.; Lee, I.-K.; Kang, J.-Y.; Lee, E.-Y. Various Autogenous Fresh Demineralized Tooth Forms for Alveolar Socket Preservation in Anterior Tooth Extraction Sites: A Series of 4 Cases. Maxillofac. Plast. Reconstr. Surg. 2015, 37, 27. [Google Scholar] [CrossRef]
- Picone, A.; Castro, F.; Falcão, A.; Medina, J.G.; Minetti, E.; Fernandes, J.C.H.; Fernandes, G.V.O. Autogenous Tooth Graft Biomaterial in Guided Bone Regeneration: A Comprehensive Review. Surgeries 2024, 5, 929–947. [Google Scholar] [CrossRef]
- Brunello, G.; Zanotti, F.; Scortecci, G.; Sapoznikov, L.; Sivolella, S.; Zavan, B. Dentin Particulate for Bone Regeneration: An In Vitro Study. Int. J. Mol. Sci. 2022, 23, 9283. [Google Scholar] [CrossRef]
- Um, I.-W.; Lee, J.-K.; Kim, J.-Y.; Kim, Y.-M.; Bakhshalian, N.; Jeong, Y.K.; Ku, J.-K. Allogeneic Dentin Graft: A Review on Its Osteoinductivity and Antigenicity. Materials 2021, 14, 1713. [Google Scholar] [CrossRef] [PubMed]
- Cenicante, J.; Botelho, J.; Machado, V.; Mendes, J.J.; Mascarenhas, P.; Alcoforado, G.; Santos, A. The Use of Autogenous Teeth for Alveolar Ridge Preservation: A Literature Review. Appl. Sci. 2021, 11, 1853. [Google Scholar] [CrossRef]
- Kanazirski, N.; Kanazirska, P. Auto-Tooth Bone Graft Material for Reconstruction of Bone Defects in the Oral Region: Case Reports. Folia Med. 2022, 64, 162–168. [Google Scholar] [CrossRef] [PubMed]
- Ku, J.-K.; Um, I.-W.; Jun, M.-K.; Kim, I. Dentin-Derived-Barrier Membrane in Guided Bone Regeneration: A Case Report. Materials 2021, 14, 2166. [Google Scholar] [CrossRef]
- Shin, Y.; Kim, Y.-K.; Um, I.-W. Long-Term Evaluation of Autogenous Demineralized Dentin Matrix: A Retrospective 7-Year Clinical Study. J. Dent. Implant Res. 2020, 39, 17–23. [Google Scholar] [CrossRef]
- Santos, A.; Botelho, J.; Machado, V.; Borrecho, G.; Proença, L.; Mendes, J.J.; Mascarenhas, P.; Alcoforado, G. Autogenous Mineralized Dentin versus Xenograft Granules in Ridge Preservation for Delayed Implantation in Post-extraction Sites: A Randomized Controlled Clinical Trial with an 18 Months Follow-up. Clin. Oral Implant. Res. 2021, 32, 905–915. [Google Scholar] [CrossRef]
- Kim, Y.-K.; Bang, K.-M.; Murata, M.; Mitsugi, M.; Um, I.-W. Retrospective Clinical Study of Allogenic Demineralized Dentin Matrix for Alveolar Bone Repair. J. Hard Tissue Biol. 2017, 26, 95–102. [Google Scholar] [CrossRef]
- Sánchez-Labrador, L.; Martín-Ares, M.; Ortega-Aranegui, R.; López-Quiles, J.; Martínez-González, J.M. Autogenous Dentin Graft in Bone Defects after Lower Third Molar Extraction: A Split-Mouth Clinical Trial. Materials 2020, 13, 3090. [Google Scholar] [CrossRef]
- Sapoznikov, L.; Humphrey, M. Progress in Dentin-Derived Bone Graft Materials: A New Xenogeneic Dentin-Derived Material with Retained Organic Component Allows for Broader and Easier Application. Cells 2024, 13, 1806. [Google Scholar] [CrossRef] [PubMed]
- Kim, Y.-J.; Lee, J.-Y.; Kim, J.-E.; Park, J.-C.; Shin, S.-W.; Cho, K.-S. Ridge Preservation Using Demineralized Bone Matrix Gel with Recombinant Human Bone Morphogenetic Protein-2 After Tooth Extraction: A Randomized Controlled Clinical Trial. J. Oral Maxillofac. Surg. 2014, 72, 1281–1290. [Google Scholar] [CrossRef] [PubMed]
- Scheyer, E.; Lipton, D.; McGuire, M.; Calahan, B.; Demetter, R.; Mealey, B. Histologic Evaluation of RhBMP-2 in an Extraction Site Model in the Esthetic Zone: A Series of 16 Cases Preparing for Implant Placement. Int. J. Periodontics Restor. Dent. 2020, 40, 171–179. [Google Scholar] [CrossRef] [PubMed]
- Um, I.-W.; Hwang, S.-H.; Kim, Y.-K.; Kim, M.-Y.; Jun, S.-H.; Ryu, J.-J.; Jang, H.-S. Demineralized Dentin Matrix Combined with Recombinant Human Bone Morphogenetic Protein-2 in Rabbit Calvarial Defects. J. Korean Assoc. Oral Maxillofac. Surg. 2016, 42, 90. [Google Scholar] [CrossRef]
- Son, C.; Choi, M.S.; Park, J.-C. Different Responsiveness of Alveolar Bone and Long Bone to Epithelial-Mesenchymal Interaction-Related Factor. JBMR Plus 2020, 4, e10382. [Google Scholar] [CrossRef]
- Zhang, S.; Li, X.; Qi, Y.; Ma, X.; Qiao, S.; Cai, H.; Zhao, B.C.; Jiang, H.B.; Lee, E.-S. Comparison of Autogenous Tooth Materials and Other Bone Grafts. Tissue Eng. Regen. Med. 2021, 18, 327–341. [Google Scholar] [CrossRef]
- Korsch, M.; Alt, K.W.; Mock, F.R. Frozen Stored Teeth: Autogenous Dentin as an Alternative Augmentation Material in Dentistry. Bioengineering 2023, 10, 456. [Google Scholar] [CrossRef] [PubMed]
- Dogan, A.; Alper Gultekin, B.; Yalcin, S.; Cinar, C.; Tore, C.; Coskun, Z. The Use of Autogenous Particulate Dentin Graft Materials at Insufficient Bone Areas—Case Series. Clin. Oral Implant. Res. 2018, 29, 443. [Google Scholar] [CrossRef]
- Pohl, S.; Binderman, I.; Tomac, J. Maintenance of Alveolar Ridge Dimensions Utilizing an Extracted Tooth Dentin Particulate Autograft and Platelet-Rich Fibrin: A Retrospective Radiographic Cone-Beam Computed Tomography Study. Materials 2020, 13, 1083. [Google Scholar] [CrossRef]
- Elfana, A.; El-Kholy, S.; Saleh, H.A.; Fawzy El-Sayed, K. Alveolar Ridge Preservation Using Autogenous Whole-tooth versus Demineralized Dentin Grafts: A Randomized Controlled Clinical Trial. Clin. Oral Implant. Res. 2021, 32, 539–548. [Google Scholar] [CrossRef]
- Valdec, S.; Pasic, P.; Soltermann, A.; Thoma, D.; Stadlinger, B.; Rücker, M. Alveolar Ridge Preservation with Autologous Particulated Dentin—A Case Series. Int. J. Implant. Dent. 2017, 3, 12. [Google Scholar] [CrossRef] [PubMed]
- Xhaferi, B.; Petreska, M.; Xheladini, A.; Papic, I. Use of Mineralized Dentin Graft in Augmentation of Different Indication Areas in the Jaw Bones. Stomatol. Glas. Srb. 2021, 68, 113–121. [Google Scholar] [CrossRef]
- Minetti, E.; Gianfreda, F.; Palermo, A.; Bollero, P. Autogenous Dentin Particulate Graft for Alveolar Ridge Augmentation with and without Use of Collagen Membrane: Preliminary Histological Analysis on Humans. Materials 2022, 15, 4319. [Google Scholar] [CrossRef] [PubMed]
- Cervera-Maillo, J.M.; Morales-Schwarz, D.; Morales-Melendez, H.; Mahesh, L.; Calvo-Guirado, J.L. Autologous Tooth Dentin Graft: A Retrospective Study in Humans. Medicina 2021, 58, 56. [Google Scholar] [CrossRef]
- Marković, L.; Smojver, I.; Marko, V.; Katanec, T.; Pelivan, I.; Gabrić, D. Dentin Particulate Autograft for Alveolar Ridge Augmentation—A Pilot Clinical Study. Clin. Oral Implant. Res. 2020, 31, 232. [Google Scholar] [CrossRef]
- Minetti, E.; Palermo, A.; Malcangi, G.; Inchingolo, A.D.; Mancini, A.; Dipalma, G.; Inchingolo, F.; Patano, A.; Inchingolo, A.M. Dentin, Dentin Graft, and Bone Graft: Microscopic and Spectroscopic Analysis. J. Funct. Biomater. 2023, 14, 272. [Google Scholar] [CrossRef]
- Andrade, C.; Camino, J.; Nally, M.; Quirynen, M.; Martínez, B.; Pinto, N. Combining Autologous Particulate Dentin, L-PRF, and Fibrinogen to Create a Matrix for Predictable Ridge Preservation: A Pilot Clinical Study. Clin. Oral Investig. 2020, 24, 1151–1160. [Google Scholar] [CrossRef]
- Melek, L.N.; El Said, M.M. Evaluation of “Autogenous Bioengineered Injectable PRF—Tooth Graft” Combination (ABIT) in Reconstruction of Maxillary Alveolar Ridge Defects: CBCT Volumetric Analysis. Saudi J. Dent. Res. 2017, 8, 86–96. [Google Scholar] [CrossRef]
- Minetti, E.; Taschieri, S.; Corbella, S. Autologous Deciduous Tooth-Derived Material for Alveolar Ridge Preservation: A Clinical and Histological Case Report. Case Rep. Dent. 2020, 2020, 2936878. [Google Scholar] [CrossRef]
- Kuperschlag, A.; Keršytė, G.; Kurtzman, G.M.; Horowitz, R.A. Autogenous Dentin Grafting of Osseous Defects Distal to Mandibular Second Molars After Extraction of Impacted Third Molars. Compend. Contin. Educ. Dent. 2020, 41, 76. [Google Scholar] [PubMed]
- Tommasato, G.; Piano, S.; Casentini, P.; De Stavola, L.; Chiapasco, M. Digital Planning and Bone Regenerative Technologies: A Narrative Review. Clin. Oral Implant. Res. 2024, 35, 906–921. [Google Scholar] [CrossRef]
- Cochran, D.L.; Cobb, C.M.; Bashutski, J.D.; Chun, Y.-H.P.; Lin, Z.; Mandelaris, G.A.; McAllister, B.S.; Murakami, S.; Rios, H.F. Emerging Regenerative Approaches for Periodontal Reconstruction: A Consensus Report from the AAP Regeneration Workshop. J. Periodontol. 2015, 86, S153–S156. [Google Scholar] [CrossRef] [PubMed]
- Inchingolo, F.; Hazballa, D.; Inchingolo, A.D.; Malcangi, G.; Marinelli, G.; Mancini, A.; Maggiore, M.E.; Bordea, I.R.; Scarano, A.; Farronato, M.; et al. Innovative Concepts and Recent Breakthrough for Engineered Graft and Constructs for Bone Regeneration: A Literature Systematic Review. Materials 2022, 15, 1120. [Google Scholar] [CrossRef] [PubMed]
- Mazzucchi, G.; Lollobrigida, M.; Lamazza, L.; Serafini, G.; Di Nardo, D.; Testarelli, L.; De Biase, A. Autologous Dentin Graft after Impacted Mandibular Third Molar Extraction to Prevent Periodontal Pocket Formation—A Split-Mouth Pilot Study. Materials 2022, 15, 1431. [Google Scholar] [CrossRef]
- Ding, T.; Kang, W.; Li, J.; Yu, L.; Ge, S. An in Situ Tissue Engineering Scaffold with Growth Factors Combining Angiogenesis and Osteoimmunomodulatory Functions for Advanced Periodontal Bone Regeneration. J. Nanobiotechnol. 2021, 19, 247. [Google Scholar] [CrossRef]
- Łosiewicz, B.; Osak, P.; Nowińska, D.; Maszybrocka, J. Developments in Dental Implant Surface Modification. Coatings 2025, 15, 109. [Google Scholar] [CrossRef]


| Material | Osteocytes | Inflammatory Cells (PMNL) | Osteoblast | Bone Graft Material | ||||||||||||
| Absence (n) | % | Presence (n) | % | Absence (n) | % | Presence (n) | % | Absence (n) | % | Presence (n) | % | Absence (n) | % | Presence (n) | % | |
| Control | 0 | 0.0% | 8 | 28.6% | 0 | 0.0% | 8 | 28.6% | 1 | 3.6% | 7 | 25.0% | 2 | 7.1% | 6 | 21.4% |
| ADM | 1 | 3.6% | 6 | 21.4% | 2 | 7.1% | 5 | 17.9% | 1 | 3.6% | 6 | 21.4% | 3 | 10.7% | 4 | 14.3% |
| ADM + PRF | 1 | 3.6% | 5 | 17.9% | 1 | 3.6% | 5 | 17.9% | 3 | 10.7% | 3 | 10.7% | 3 | 10.7% | 3 | 10.7% |
| Xenograft | 1 | 3.6% | 6 | 21.4% | 2 | 7.1% | 5 | 17.9% | 1 | 3.6% | 6 | 21.4% | 1 | 3.6% | 6 | 21.4% |
| Total | 3 | 10.7% | 25 | 89.3% | 5 | 17.9% | 23 | 82.1% | 6 | 21.4% | 22 | 78.6% | 9 | 32.1% | 19 | 67.9% |
| p-value | 0.713 | 0.417 | 0.294 | 0.483 | ||||||||||||
| Material | Osteoid Material | Collagen Fibres | Vascular Components | Osteoclast | ||||||||||||
| Absence (n) | % | Presence (n) | % | Absence (n) | % | Presence (n) | % | Absence (n) | % | Presence (n) | % | Absence (n) | % | Presence (n) | % | |
| Control | 3 | 10.7% | 5 | 17.9% | 3 | 10.7% | 5 | 17.9% | 5 | 17.9% | 3 | 10.7% | 4 | 14.3% | 4 | 14.3% |
| ADM | 4 | 14.3% | 3 | 10.7% | 3 | 10.7% | 4 | 14.3% | 4 | 14.3% | 3 | 10.7% | 6 | 21.4% | 1 | 3.6% |
| ADM + PRF | 2 | 7.1% | 4 | 14.3% | 4 | 14.3% | 2 | 7.1% | 3 | 10.7% | 3 | 10.7% | 4 | 14.3% | 2 | 7.1% |
| Xenograft | 2 | 7.1% | 5 | 17.9% | 2 | 7.1% | 5 | 17.9% | 2 | 7.1% | 5 | 17.9% | 3 | 10.7% | 4 | 14.3% |
| Total | 11 | 39.3% | 17 | 60.7% | 12 | 42.9% | 16 | 57.1% | 14 | 50.0% | 14 | 50.0% | 17 | 60.7% | 11 | 39.3% |
| p-value | 0.712 | 0.559 | 0.587 | 0.355 | ||||||||||||
| Materials | BMP4 | Total | % | |||
|---|---|---|---|---|---|---|
| Negative | % | Positive | % | |||
| Control | 3 | 10.7% | 5 | 17.9% | 8 | 28.6% |
| ADM | 2 | 7.1% | 4 | 14.3% | 6 | 21.4% |
| ADM + PRF | 0 | 0.0% | 6 | 21.4% | 6 | 21.4% |
| Xenograft | 4 | 14.3% | 4 | 14.3% | 8 | 28.6% |
| Total | 9 | 32.1% | 19 | 67.9% | 28 | 100.0% |
| p-value | 0.2487 | |||||
| Materials | Intensity | Total | % | |||
|---|---|---|---|---|---|---|
| Weak | % | Moderate | % | |||
| Control | 5 | 26.3% | 0 | 0.0% | 5 | 26.3% |
| ADM | 4 | 21.1% | 0 | 0.0% | 4 | 21.1% |
| ADM + PRF | 4 | 21.1% | 2 | 10.5% | 6 | 31.6% |
| Xenograft | 4 | 21.1% | 0 | 0.0% | 4 | 21.1% |
| Total | 17 | 89.5% | 2 | 10.5% | 19 | 100.0% |
| p-value | 0.1100 | |||||
Disclaimer/Publisher’s Note: The statements, opinions and data contained in all publications are solely those of the individual author(s) and contributor(s) and not of MDPI and/or the editor(s). MDPI and/or the editor(s) disclaim responsibility for any injury to people or property resulting from any ideas, methods, instructions or products referred to in the content. |
© 2026 by the authors. Licensee MDPI, Basel, Switzerland. This article is an open access article distributed under the terms and conditions of the Creative Commons Attribution (CC BY) license.
Share and Cite
Jáquez, M.; Algar, J.; Collins, J.R.; Hernández, G.; Aragoneses, J.M. Clinical and Histological Outcomes of Autologous Dentin Matrix in Post-Extraction Alveolar Healing: A Pilot Randomized Clinical Trial. J. Clin. Med. 2026, 15, 606. https://doi.org/10.3390/jcm15020606
Jáquez M, Algar J, Collins JR, Hernández G, Aragoneses JM. Clinical and Histological Outcomes of Autologous Dentin Matrix in Post-Extraction Alveolar Healing: A Pilot Randomized Clinical Trial. Journal of Clinical Medicine. 2026; 15(2):606. https://doi.org/10.3390/jcm15020606
Chicago/Turabian StyleJáquez, Massiel, Juan Algar, James Rudolph Collins, Gleny Hernández, and Juan Manuel Aragoneses. 2026. "Clinical and Histological Outcomes of Autologous Dentin Matrix in Post-Extraction Alveolar Healing: A Pilot Randomized Clinical Trial" Journal of Clinical Medicine 15, no. 2: 606. https://doi.org/10.3390/jcm15020606
APA StyleJáquez, M., Algar, J., Collins, J. R., Hernández, G., & Aragoneses, J. M. (2026). Clinical and Histological Outcomes of Autologous Dentin Matrix in Post-Extraction Alveolar Healing: A Pilot Randomized Clinical Trial. Journal of Clinical Medicine, 15(2), 606. https://doi.org/10.3390/jcm15020606

