Tricuspid Transcatheter Edge-to-Edge Repair at a Crossroads: Prognosis-Shaping Intervention or High-Tech Palliation?
Abstract
1. Introduction
2. Pathophysiology and Clinical Burden of Severe TR
3. Limitations of Surgical Management and the Rise of Transcatheter Therapies
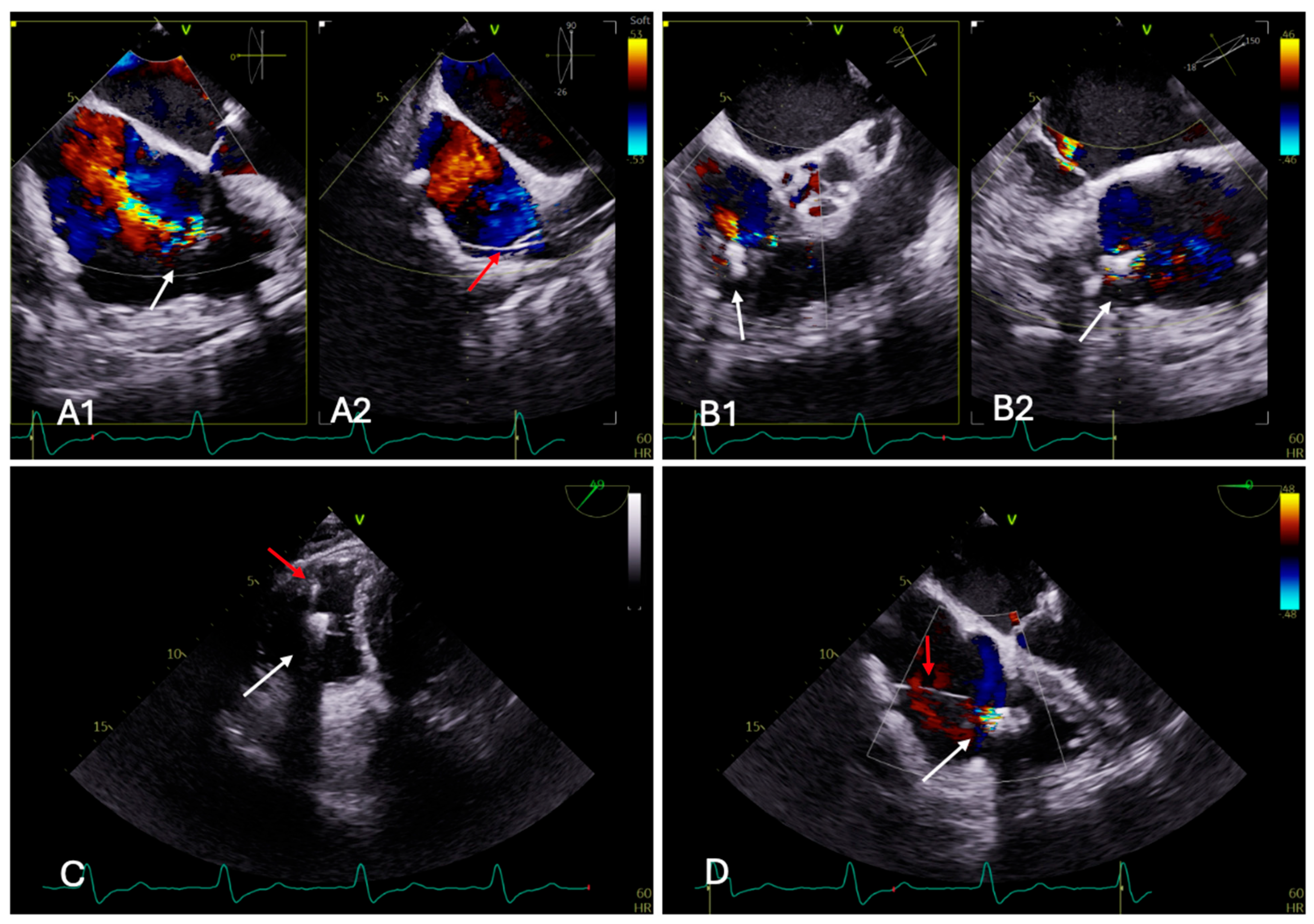
4. Evidence Base for T-TEER: Clinical Trials and Real-World Data
4.1. Randomized Controlled Trials
- a.
- TRILUMINATE Pivotal Trial
- b.
- Tri.Fr Trial
4.2. Real-World Evidence
- a.
- Transatlantic TRILUMINATE Registry
- b.
- The bRIGHT Registry
- c.
- TriValve Registry
5. Role of RV Function and Comorbidities in Predicting Outcomes
6. Anatomical Predictors and Patient Selection
7. Current Guidelines and Future Directions
8. Conclusions
Author Contributions
Funding
Institutional Review Board Statement
Informed Consent Statement
Data Availability Statement
Conflicts of Interest
References
- Wang, N.; Fulcher, J.; Abeysuriya, N.; McGrady, M.; Wilcox, I.; Celermajer, D.; Lal, S. Tricuspid Regurgitation Is Associated with Increased Mortality Independent of Pulmonary Pressures and Right Heart Failure: A Systematic Review and Meta-Analysis. Eur. Heart J. 2019, 40, 476–484. [Google Scholar] [CrossRef] [PubMed]
- Topilsky, Y.; Maltais, S.; Medina Inojosa, J.; Oguz, D.; Michelena, H.; Maalouf, J.; Mahoney, D.W.; Enriquez-Sarano, M. Burden of Tricuspid Regurgitation in Patients Diagnosed in the Community Setting. JACC Cardiovasc. Imaging 2019, 12, 433–442. [Google Scholar] [CrossRef] [PubMed]
- Enriquez-Sarano, M.; Messika-Zeitoun, D.; Topilsky, Y.; Tribouilloy, C.; Benfari, G.; Michelena, H. Tricuspid Regurgitation Is a Public Health Crisis. Prog. Cardiovasc. Dis. 2019, 62, 447–451. [Google Scholar] [CrossRef] [PubMed]
- Topilsky, Y.; Nkomo, V.T.; Vatury, O.; Michelena, H.I.; Letourneau, T.; Suri, R.M.; Pislaru, S.; Park, S.; Mahoney, D.W.; Biner, S.; et al. Clinical Outcome of Isolated Tricuspid Regurgitation. JACC Cardiovasc. Imaging 2014, 7, 1185–1194. [Google Scholar] [CrossRef]
- Hahn, R.T.; Zamorano, J.L. The Need for a New Tricuspid Regurgitation Grading Scheme. Eur. Heart J. Cardiovasc. Imaging 2017, 18, 1342–1343. [Google Scholar] [CrossRef]
- Hahn, R.T.; Badano, L.P.; Bartko, P.E.; Muraru, D.; Maisano, F.; Zamorano, J.L.; Donal, E. Tricuspid Regurgitation: Recent Advances in Understanding Pathophysiology, Severity Grading and Outcome. Eur. Heart J. Cardiovasc. Imaging 2022, 23, 913–929. [Google Scholar] [CrossRef]
- Badano, L.P.; Muraru, D.; Enriquez-Sarano, M. Assessment of Functional Tricuspid Regurgitation. Eur. Heart J. 2013, 34, 1875–1885. [Google Scholar] [CrossRef]
- Watt, T.M.F.; Brescia, A.A.; Williams, A.M.; Bolling, S.F. Functional Tricuspid Regurgitation: Indications, Techniques, and Outcomes. Indian J. Thorac. Cardiovasc. Surg. 2020, 36, 131–139. [Google Scholar] [CrossRef]
- Schlotter, F.; Dietz, M.F.; Stolz, L.; Kresoja, K.-P.; Besler, C.; Sannino, A.; Rommel, K.-P.; Unterhuber, M.; von Roeder, M.; Delgado, V.; et al. Atrial Functional Tricuspid Regurgitation: Novel Definition and Impact on Prognosis. Circ. Cardiovasc. Interv. 2022, 15, e011958. [Google Scholar] [CrossRef]
- Yang, Y.; Chen, H.; Dong, Q.; Liao, K.; Huang, W. Severity of Functional Tricuspid Regurgitation Is Associated with Mortality in Patients with Pulmonary Hypertension in Long-Term Follow-Up. Pulm. Circ. 2023, 13, e12222. [Google Scholar] [CrossRef]
- Galloo, X.; Dietz, M.F.; Fortuni, F.; Prihadi, E.A.; Cosyns, B.; Delgado, V.; Bax, J.J.; Ajmone Marsan, N. Prognostic Implications of Atrial vs. Ventricular Functional Tricuspid Regurgitation. Eur. Heart J. Cardiovasc. Imaging 2023, 24, 733–741. [Google Scholar] [CrossRef] [PubMed]
- Iliescu, Ș.; Voroneanu, L.; Covic, A.M.; Scripcariu, D.V.; Stătescu, C.; Covic, A.C. Tricuspid Regurgitation Associated with Implantable Cardiac Devices: A Double-Edged Sword. J. Clin. Med. 2024, 13, 5543. [Google Scholar] [CrossRef] [PubMed]
- Wrobel, J.M.; Kirchner, J.; Friedrichs, K.; Gietzen, T.; Althoff, J.; Hasse, C.; von Stein, P.; Wörmann, J.; von Stein, J.; Curio, J.; et al. Cardiac Implantable Electronic Device Carriers Undergoing Transcatheter Tricuspid Valve Annuloplasty: Real-World Insights. Clin. Res. Cardiol. 2025, 114, 878–891. [Google Scholar] [CrossRef] [PubMed]
- Wanner, P.M.; Filipovic, M. The Right Ventricle-You May Forget It, but It Will Not Forget You. J. Clin. Med. 2020, 9, 432. [Google Scholar] [CrossRef]
- Haddad, F.; Doyle, R.; Murphy, D.J.; Hunt, S.A. Right Ventricular Function in Cardiovascular Disease, Part II: Pathophysiology, Clinical Importance, and Management of Right Ventricular Failure. Circulation 2008, 117, 1717–1731. [Google Scholar] [CrossRef]
- Suc, G.; Mesnier, J.; Cailliau, A.; Habib, M.; Delhomme, C.; Arangalage, D.; Himbert, D.; Ducrocq, G.; Brochet, E.; Vahanian, A.; et al. Survival Outcomes in Isolated Severe Tricuspid Regurgitation According to Therapeutic Modalities: A Systematic Review and Meta-Analysis. Open Heart 2025, 12, e002986. [Google Scholar] [CrossRef]
- Barbato, R.; Loreni, F.; Ferrisi, C.; Mastroianni, C.; D’Ascoli, R.; Nenna, A.; Bergonzini, M.; Jawabra, M.; Strumia, A.; Carassiti, M.; et al. Isolated Tricuspid Regurgitation: When Is Surgery Appropriate? A State-of-the-Art Narrative Review. J. Clin. Med. 2025, 14, 5063. [Google Scholar] [CrossRef]
- Axtell, A.L.; Bhambhani, V.; Moonsamy, P.; Healy, E.W.; Picard, M.H.; Sundt, T.M.; Wasfy, J.H. Surgery Does Not Improve Survival in Patients With Isolated Severe Tricuspid Regurgitation. J. Am. Coll. Cardiol. 2019, 74, 715–725. [Google Scholar] [CrossRef]
- Zack, C.J.; Fender, E.A.; Chandrashekar, P.; Reddy, Y.N.V.; Bennett, C.E.; Stulak, J.M.; Miller, V.M.; Nishimura, R.A. National Trends and Outcomes in Isolated Tricuspid Valve Surgery. J. Am. Coll. Cardiol. 2017, 70, 2953–2960. [Google Scholar] [CrossRef]
- Dreyfus, J.; Flagiello, M.; Bazire, B.; Eggenspieler, F.; Viau, F.; Riant, E.; Mbaki, Y.; Bohbot, Y.; Eyharts, D.; Senage, T.; et al. Isolated Tricuspid Valve Surgery: Impact of Aetiology and Clinical Presentation on Outcomes. Eur. Heart J. 2020, 41, 4304–4317. [Google Scholar] [CrossRef]
- Abbott Receives FDA Approval for TriClip™, First-of-Its-Kind Device to Repair Leaky Tricuspid Heart Valve. Available online: https://abbott.mediaroom.com/2024-04-02-Abbott-Receives-FDA-Approval-for-TriClip-TM-,-First-of-Its-Kind-Device-to-Repair-Leaky-Tricuspid-Heart-Valve (accessed on 14 December 2025).
- Nickenig, G.; Kowalski, M.; Hausleiter, J.; Braun, D.; Schofer, J.; Yzeiraj, E.; Rudolph, V.; Friedrichs, K.; Maisano, F.; Taramasso, M.; et al. Transcatheter Treatment of Severe Tricuspid Regurgitation With the Edge-to-Edge MitraClip Technique. Circulation 2017, 135, 1802–1814. [Google Scholar] [CrossRef] [PubMed]
- Nickenig, G.; Weber, M.; Lurz, P.; von Bardeleben, R.S.; Sitges, M.; Sorajja, P.; Hausleiter, J.; Denti, P.; Trochu, J.-N.; Näbauer, M.; et al. Transcatheter Edge-to-Edge Repair for Reduction of Tricuspid Regurgitation: 6-Month Outcomes of the TRILUMINATE Single-Arm Study. Lancet 2019, 394, 2002–2011. [Google Scholar] [CrossRef] [PubMed]
- Kodali, S.; Hahn, R.T.; Eleid, M.F.; Kipperman, R.; Smith, R.; Lim, D.S.; Gray, W.A.; Narang, A.; Pislaru, S.V.; Koulogiannis, K.; et al. Feasibility Study of the Transcatheter Valve Repair System for Severe Tricuspid Regurgitation. J. Am. Coll. Cardiol. 2021, 77, 345–356. [Google Scholar] [CrossRef] [PubMed]
- Lurz, P.; Stephan von Bardeleben, R.; Weber, M.; Sitges, M.; Sorajja, P.; Hausleiter, J.; Denti, P.; Trochu, J.-N.; Nabauer, M.; Tang, G.H.L.; et al. Transcatheter Edge-to-Edge Repair for Treatment of Tricuspid Regurgitation. J. Am. Coll. Cardiol. 2021, 77, 229–239. [Google Scholar] [CrossRef]
- Kodali, S.K.; Hahn, R.T.; Davidson, C.J.; Narang, A.; Greenbaum, A.; Gleason, P.; Kapadia, S.; Miyasaka, R.; Zahr, F.; Chadderdon, S.; et al. 1-Year Outcomes of Transcatheter Tricuspid Valve Repair. J. Am. Coll. Cardiol. 2023, 81, 1766–1776. [Google Scholar] [CrossRef]
- Sorajja, P.; Whisenant, B.; Hamid, N.; Naik, H.; Makkar, R.; Tadros, P.; Price, M.J.; Singh, G.; Fam, N.; Kar, S.; et al. Transcatheter Repair for Patients with Tricuspid Regurgitation. N. Engl. J. Med. 2023, 388, 1833–1842. [Google Scholar] [CrossRef]
- Kar, S.; Makkar, R.R.; Whisenant, B.K.; Hamid, N.; Naik, H.; Tadros, P.; Price, M.J.; Singh, G.; Schwartz, J.G.; Kapadia, S.; et al. Two-Year Outcomes of Transcatheter Edge-to-Edge Repair for Severe Tricuspid Regurgitation: The TRILUMINATE Pivotal Randomized Controlled Trial. Circulation 2025, 151, 1630–1638. [Google Scholar] [CrossRef]
- Donal, E.; Dreyfus, J.; Leurent, G.; Coisne, A.; Leroux, P.-Y.; Ganivet, A.; Sportouch, C.; Lavie-Badie, Y.; Guerin, P.; Rouleau, F.; et al. Transcatheter Edge-to-Edge Repair for Severe Isolated Tricuspid Regurgitation: The Tri.Fr Randomized Clinical Trial. JAMA 2025, 333, 124–132. [Google Scholar] [CrossRef]
- von Bardeleben, R.S.; Lurz, P.; Sorajja, P.; Ruf, T.; Hausleiter, J.; Sitges, M.; Da Rocha e Silva, J.; Näbauer, M.; Weber, M.; Tang, G.H.L.; et al. Two-Year Outcomes for Tricuspid Repair With a Transcatheter Edge-to-Edge Valve Repair From the Transatlantic TRILUMINATE Trial. Circ. Cardiovasc. Interv. 2023, 16, e012888. [Google Scholar] [CrossRef]
- Lurz, P.; Besler, C.; Schmitz, T.; Bekeredjian, R.; Nickenig, G.; Möllmann, H.; von Bardeleben, R.S.; Schmeisser, A.; Atmowihardjo, I.; Estevez-Loureiro, R.; et al. Short-Term Outcomes of Tricuspid Edge-to-Edge Repair in Clinical Practice. J. Am. Coll. Cardiol. 2023, 82, 281–291. [Google Scholar] [CrossRef]
- Lurz, P.; Rommel, K.-P.; Schmitz, T.; Bekeredjian, R.; Nickenig, G.; Möllmann, H.; von Bardeleben, R.S.; Schmeisser, A.; Atmowihardjo, I.; Estevez-Loureiro, R.; et al. Real-World 1-Year Results of Tricuspid Edge-to-Edge Repair From the bRIGHT Study. J. Am. Coll. Cardiol. 2024, 84, 607–616. [Google Scholar] [CrossRef] [PubMed]
- Taramasso, M.; Hahn, R.T.; Alessandrini, H.; Latib, A.; Attinger-Toller, A.; Braun, D.; Brochet, E.; Connelly, K.A.; Denti, P.; Deuschl, F.; et al. The International Multicenter TriValve Registry: Which Patients Are Undergoing Transcatheter Tricuspid Repair? JACC Cardiovasc. Interv. 2017, 10, 1982–1990. [Google Scholar] [CrossRef] [PubMed]
- Taramasso, M.; Alessandrini, H.; Latib, A.; Asami, M.; Attinger-Toller, A.; Biasco, L.; Braun, D.; Brochet, E.; Connelly, K.A.; Denti, P.; et al. Outcomes After Current Transcatheter Tricuspid Valve Intervention: Mid-Term Results From the International TriValve Registry. JACC Cardiovasc. Interv. 2019, 12, 155–165. [Google Scholar] [CrossRef] [PubMed]
- Schlotter, F.; Miura, M.; Kresoja, K.-P.; Alushi, B.; Alessandrini, H.; Attinger-Toller, A.; Besler, C.; Biasco, L.; Braun, D.; Brochet, E.; et al. Outcomes of Transcatheter Tricuspid Valve Intervention by Right Ventricular Function: A Multicentre Propensity-Matched Analysis. EuroIntervention 2021, 17, e343–e352. [Google Scholar] [CrossRef]
- Schlotter, F.; Stolz, L.; Kresoja, K.-P.; von Stein, J.; Fortmeier, V.; Koell, B.; Rottbauer, W.; Kassar, M.; Schöber, A.; Goebel, B.; et al. Tricuspid Regurgitation Disease Stages and Treatment Outcomes After Transcatheter Tricuspid Valve Repair. JACC Cardiovasc. Interv. 2025, 18, 339–348. [Google Scholar] [CrossRef]
- Kresoja, K.-P.; Lauten, A.; Orban, M.; Rommel, K.-P.; Alushi, B.; Besler, C.; Braun, D.; Unterhuber, M.; Stangl, K.; Landmesser, U.; et al. Transcatheter Tricuspid Valve Repair in the Setting of Heart Failure with Preserved or Reduced Left Ventricular Ejection Fraction. Eur. J. Heart Fail. 2020, 22, 1817–1825. [Google Scholar] [CrossRef]
- Tanaka, T.; Vogelhuber, J.; Öztürk, C.; Silaschi, M.; Bakhtiary, F.; Zimmer, S.; Nickenig, G.; Weber, M.; Sugiura, A. Eligibility for Transcatheter Tricuspid Valve Interventions in Patients With Tricuspid Regurgitation. JACC Cardiovasc. Interv. 2024, 17, 2732–2744. [Google Scholar] [CrossRef]
- Besler, C.; Orban, M.; Rommel, K.-P.; Braun, D.; Patel, M.; Hagl, C.; Borger, M.; Nabauer, M.; Massberg, S.; Thiele, H.; et al. Predictors of Procedural and Clinical Outcomes in Patients With Symptomatic Tricuspid Regurgitation Undergoing Transcatheter Edge-to-Edge Repair. JACC Cardiovasc. Interv. 2018, 11, 1119–1128. [Google Scholar] [CrossRef]
- Stolz, L.; Doldi, P.M.; Kresoja, K.-P.; Bombace, S.; Koell, B.; Kassar, M.; Kirchner, J.; Weckbach, L.T.; Ludwig, S.; Stocker, T.J.; et al. Applying the TRILUMINATE Eligibility Criteria to Real-World Patients Receiving Tricuspid Valve Transcatheter Edge-to-Edge Repair. JACC Cardiovasc. Interv. 2024, 17, 535–548. [Google Scholar] [CrossRef]
- Dreyfus, J.; Audureau, E.; Bohbot, Y.; Coisne, A.; Lavie-Badie, Y.; Bouchery, M.; Flagiello, M.; Bazire, B.; Eggenspieler, F.; Viau, F.; et al. TRI-SCORE: A New Risk Score for in-Hospital Mortality Prediction after Isolated Tricuspid Valve Surgery. Eur. Heart J. 2022, 43, 654–662. [Google Scholar] [CrossRef]
- Praz, F.; Borger, M.A.; Lanz, J.; Marin-Cuartas, M.; Abreu, A.; Adamo, M.; Ajmone Marsan, N.; Barili, F.; Bonaros, N.; Cosyns, B.; et al. 2025 ESC/EACTS Guidelines for the Management of Valvular Heart Disease. Eur. Heart J. 2025, 46, 4635–4736. [Google Scholar] [CrossRef] [PubMed]
- Stocker, T.J.; Geisler, T.; Rottbauer, W.; Lubos, E.; Frerker, C.; Schofer, N.; Frank, J.; von Bardeleben, R.S.; Kister, T.; Osteresch, R.; et al. Rationale and Design of the TRIC-I-HF-DZHK24 (TRICuspid Intervention in Heart Failure) Trial. Eur. J. Heart Fail. 2025, 27, 1895–1904. [Google Scholar] [CrossRef] [PubMed]
- Hahn, R.T.; Makkar, R.; Thourani, V.H.; Makar, M.; Sharma, R.P.; Haeffele, C.; Davidson, C.J.; Narang, A.; O’Neill, B.; Lee, J.; et al. Transcatheter Valve Replacement in Severe Tricuspid Regurgitation. N. Engl. J. Med. 2025, 392, 115–126. [Google Scholar] [CrossRef] [PubMed]
- Chen, X.; Zhu, D.; Su, M.; Chen, X.; Yan, P.; Wen, H.; Wang, B.; Dong, N.; Pan, X.; Wang, Y. First-in-Man Experience of a New Transcatheter Edge-to-Edge Repair System Neoblazar in Patients With Severe Tricuspid Regurgitation. Cardiol. Discov. 2024, 4, 160–166. [Google Scholar] [CrossRef]
- Asmarats, L.; Perlman, G.; Praz, F.; Hensey, M.; Chrissoheris, M.P.; Philippon, F.; Ofek, H.; Ye, J.; Puri, R.; Pibarot, P.; et al. Long-Term Outcomes of the FORMA Transcatheter Tricuspid Valve Repair System for the Treatment of Severe Tricuspid Regurgitation: Insights From the First-in-Human Experience. JACC Cardiovasc. Interv. 2019, 12, 1438–1447. [Google Scholar] [CrossRef]
- Xu, H.; Chen, M.; Wang, Z.; Huo, J.; Li, J.; He, F.; Husanova, F.; Li, H.; Zhou, D.; Zhang, X.; et al. Mid-Term Outcomes of K-Clip Transcatheter Tricuspid Annuloplasty System in Patients With Severe Functional Tricuspid Regurgitation. JACC Cardiovasc. Interv. 2024, 17, 2796–2807. [Google Scholar] [CrossRef]
- Kodali, S.; Hahn, R.T.; Makkar, R.; Makar, M.; Davidson, C.J.; Puthumana, J.J.; Zahr, F.; Chadderdon, S.; Fam, N.; Ong, G.; et al. Transfemoral Tricuspid Valve Replacement and One-Year Outcomes: The TRISCEND Study. Eur. Heart J. 2023, 44, 4862–4873. [Google Scholar] [CrossRef]
- Zhang, Y.; Lu, F.; Li, W.; Chen, S.; Li, M.; Zhang, X.; Pan, C.; Qiao, F.; Zhou, D.; Pan, W.; et al. A First-in-Human Study of Transjugular Transcatheter Tricuspid Valve Replacement with the LuX-Valve Plus System. EuroIntervention 2023, 18, e1088–e1089. [Google Scholar] [CrossRef]
- Estévez-Loureiro, R.; Sánchez-Recalde, A.; Amat-Santos, I.J.; Cruz-González, I.; Baz, J.A.; Pascual, I.; Mascherbauer, J.; Abdul-Jawad Altisent, O.; Nombela-Franco, L.; Pan, M.; et al. 6-Month Outcomes of the TricValve System in Patients With Tricuspid Regurgitation: The TRICUS EURO Study. JACC Cardiovasc. Interv. 2022, 15, 1366–1377. [Google Scholar] [CrossRef]
- Cruz-González, I.; Martín-Moreiras, J.; López-Tejero, S. Trillium: A New Treatment for Severe Tricuspid Regurgitation. Rev. Esp. Cardiol (Engl. Ed.) 2023, 76, 750. [Google Scholar] [CrossRef]
- Planer, D.; Beeri, R.; Danenberg, H.D. First-in-Human Transcatheter Tricuspid Valve Repair: 30-Day Follow-Up Experience With the Mistral Device. JACC Cardiovasc. Interv. 2020, 13, 2091–2096. [Google Scholar] [CrossRef]


| Study | Design/N | Device | Key Outcomes |
|---|---|---|---|
| TRILUMINATE Pivotal RCT [27] | RCT (TEER vs. OMT)/n = 350 | TriClip | 87% achieved TR ≤ moderate at 30 days; significant QoL improvement (KCCQ + 12.3); no difference in mortality or HFH |
| TRILUMINATE Pivotal—2-year [28] | RCT follow-up/n = 285 | TriClip | Durable TR reduction (84% ≤ moderate); sustained functional benefit; similar mortality between groups |
| Tri.Fr Trial [29] | RCT (T-TEER + OMT vs. OMT)/n = 404 | TEER (TriClip/PASCAL) | Higher clinical composite response (74.1% vs. 40.6%); significant symptom and QoL improvement; no mortality difference |
| Transatlantic TRILUMINATE Registry [30] | Prospective registry/n = 85 | TriClip | ~60% TR ≤ moderate at 2 years; improved functional capacity; 49% reduction in HF hospitalizations |
| bRIGHT Registry [31,32] | Real-world registry/n = 511 | TriClip | 99% procedural success; marked NYHA and QoL improvement; 1-year mortality 15.1%, driven by residual TR |
| TriValve Registry [33,34] | International registry/n ≈ 470 | Mixed: mainly TEER | Procedural success associated with improved survival and fewer HF hospitalizations |
| Schlotter et al. [35] | Multicenter propensity-matched cohort/n = 684 | TEER devices | Survival benefit limited to mid-range RV function (TAPSE 13–17 mm) |
| EuroTR Investigators [36] | Large multinational registry/n = 1885 | TEER vs. conservative | Mortality benefit confined to intermediate disease stage (HR 0.73) |
| Kresoja et al. [37] | Cohort study/n = 111 | TEER | Greater benefit in HFpEF; no survival benefit in HFrEF |
| Domain | Predictor | Effect on Outcomes |
|---|---|---|
| Right Ventricular Function [35] | Mid-range RV function (TAPSE 13–17 mm) | Greatest survival benefit after TEER |
| Severe RV dysfunction | Symptomatic benefit only; little prognostic gain | |
| Disease Stage (EuroTR) [36] | Intermediate stage | Significant survival benefit (HR 0.73) |
| Early or advanced stages | No survival advantage vs. conservative management | |
| Left Ventricular Function [37] | HFpEF | Better clinical outcomes & HFH reduction |
| HFrEF | Less benefit; no clear survival impact | |
| Anatomy [38] | Small RA volume | Favorable |
| Limited leaflet tethering | Higher procedural success | |
| Coaptation gap >7–10 mm | Strong predictor of failure | |
| TR jet non-anteroseptal | Lower success likelihood | |
| Leads [38] | Pacing lead in non-commissural position | Favors TEER feasibility |
| Procedural Success [40] | Achieving TR ≤ moderate | Strongly predicts survival (HR~0.20) |
| Risk Scores [41] | Low/intermediate TRI-SCORE | Benefit from TEER or surgery |
| High TRI-SCORE | No benefit vs. conservative therapy |
| Domain | What T-TEER Improves (Evidence) | What Remains Limited |
|---|---|---|
| Symptoms | Large, consistent improvements in NYHA class, PGA, QoL [27,28,29] | Not curative in advanced RV failure |
| Quality of Life | TRILUMINATE: KCCQ + 12.3 points; bRIGHT: +19 points [27,28] | Benefit declines with severe RV dysfunction |
| Functional Capacity | ↑ 6MWD; improved exercise tolerance [27,28,29] | Less improvement in late-stage TR |
| TR Severity | Robust reduction (≥80% achieve ≤moderate TR in trials) [27,28,29] | Recurrence more common with large coaptation gaps |
| Heart Failure Hospitalizations | Transatlantic TRILUMINATE: almost 49% [30] | RCTs show no significant reduction vs. OMT yet |
| Mortality | Signal of benefit in intermediate RV disease & mid-range TAPSE [35,36] | No proven mortality reduction in RCTs |
| Organ Congestion (renal/hepatic) | Some reverse remodeling reported [30,31,32] | Persistent congestion in advanced disease |
| Overall Categorization | Disease-modifying signals in selected patients’ subgroups [35,36,37] | Primarily palliative in late-stage TR |
| Study | Identifier | Design/Population | Purpose |
|---|---|---|---|
| CLASP II TR | NCT04097145 | Randomized (PASCAL vs. OMT) | Evaluate impact on mortality & HF hospitalizations |
| TRICI-HF (DZHK-24) | NCT04634266 | RCT in HF population | Assess TEER in HF with significant TR |
| TRACE-NL | NL81645.100.22 | National trial | Refine patient selection and real-world outcomes |
| European T-TEER Registry | NCT06307262 | Multinational prospective registry | Long-term durability, safety, anatomical predictors |
| Impact of TR Correction on Gut–Liver Axis | NCT06902922 | Mechanistic clinical study | Evaluate systemic organ effects of TR reduction |
Disclaimer/Publisher’s Note: The statements, opinions and data contained in all publications are solely those of the individual author(s) and contributor(s) and not of MDPI and/or the editor(s). MDPI and/or the editor(s) disclaim responsibility for any injury to people or property resulting from any ideas, methods, instructions or products referred to in the content. |
© 2026 by the authors. Licensee MDPI, Basel, Switzerland. This article is an open access article distributed under the terms and conditions of the Creative Commons Attribution (CC BY) license.
Share and Cite
Mitsis, A.; Ioannides, M.; Rotos, C.; Kadoglou, N.P.E.; Eftychiou, C. Tricuspid Transcatheter Edge-to-Edge Repair at a Crossroads: Prognosis-Shaping Intervention or High-Tech Palliation? J. Clin. Med. 2026, 15, 443. https://doi.org/10.3390/jcm15020443
Mitsis A, Ioannides M, Rotos C, Kadoglou NPE, Eftychiou C. Tricuspid Transcatheter Edge-to-Edge Repair at a Crossroads: Prognosis-Shaping Intervention or High-Tech Palliation? Journal of Clinical Medicine. 2026; 15(2):443. https://doi.org/10.3390/jcm15020443
Chicago/Turabian StyleMitsis, Andreas, Marios Ioannides, Christis Rotos, Nikolaos P. E. Kadoglou, and Christos Eftychiou. 2026. "Tricuspid Transcatheter Edge-to-Edge Repair at a Crossroads: Prognosis-Shaping Intervention or High-Tech Palliation?" Journal of Clinical Medicine 15, no. 2: 443. https://doi.org/10.3390/jcm15020443
APA StyleMitsis, A., Ioannides, M., Rotos, C., Kadoglou, N. P. E., & Eftychiou, C. (2026). Tricuspid Transcatheter Edge-to-Edge Repair at a Crossroads: Prognosis-Shaping Intervention or High-Tech Palliation? Journal of Clinical Medicine, 15(2), 443. https://doi.org/10.3390/jcm15020443

