Percutaneous Treatment of Traumatic A3 Burst Fractures of the Thoracolumbar Junction Without Neurological Impairment: The Role of Timing and Characteristics of Fragment Blocks on Ligamentotaxis Efficiency
Abstract
1. Introduction
2. Materials and Methods
2.1. Study Design
2.2. Patient Sample
2.3. Radiological Data
- Spinal canal area (SCA): the area of the spinal canal at the level of maximum bone fragment retropulsion.
- Anterior vertebral height (AVH) (mm): the distance between the antero-superior and antero-inferior edge of the fractured vertebra, measured at the level of the anterior vertebral body wall.
- Posterior vertebral height (PVH) (mm): the distance between the postero-superior and postero-inferior edge of the fractured vertebra, measured at the level of the posterior vertebral body wall.
- Local kyphotic angle (LKA): the angle formed by a line drawn along the superior end plate, considering the apex of the protruded fragment, and the inferior end plate of the fractured vertebra.
- Position of the fragment block: evaluated on the axial plane at CT scan; the posterior wall of the fractured vertebra at the level of the spinal canal was divided into three equal sectors, defining the fragment as lateral (left or right), paramedian (middle-left/-right), or median.
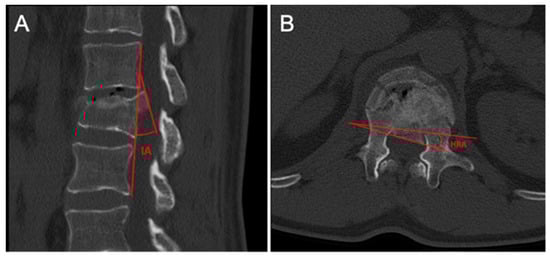
- Inversion angle (IA): measured on the sagittal plane at the point of maximum protrusion of the fragment, it is defined as the intersection angle between the tangent line to the “ideal” posterior vertebral wall and the line to the posterior margin of the bone fragment.
- Horizontal rotation angle (HRA): measured on the axial plane at the point of maximum stenosis, it is defined as the intersection angle between the line tangent to the posterior “ideal” vertebral wall and the line to the posterior margin of the intracanalar fragment.
- % ratio of fragment/vertebra height: the ratio between the height of the bone fragment, measured at its maximum diameter on the sagittal plane, and the assumed “normal” height of the injured vertebra for the individual patient, calculated as the average heights of the vertebrae above and below the site of injury.
- % ratio of fragment/vertebra width: the ratio between the width of the bone fragment, measured at its maximum diameter on the axial plane, and the assumed “normal” transverse diameter of the vertebral canal of the injured vertebra for the individual patient, calculated as the average transverse diameters of the vertebrae above and below the site of injury.
2.4. Surgical Technique
2.5. Statistical Analysis
3. Results
4. Discussion
5. Conclusions
Author Contributions
Funding
Institutional Review Board Statement
Informed Consent Statement
Data Availability Statement
Conflicts of Interest
Abbreviations
References
- Zileli, M.; Sharif, S.; Fornari, M. Incidence and Epidemiology of Thoracolumbar Spine Fractures: WFNS Spine Committee Recommendations. Neurospine 2021, 18, 704–712. [Google Scholar] [CrossRef]
- Peng, Y.; Zhang, L.; Shi, T.; Lv, H.; Zhang, L.; Tang, P. Relationship between fracture-relevant parameters of thoracolumbar burst fractures and the reduction of intra-canal fracture fragment. J. Orthop. Surg. Res. 2015, 10, 131. [Google Scholar] [CrossRef] [PubMed]
- Tanasansomboon, T.; Kittipibul, T.; Limthongkul, W.; Yingsakmongkol, W.; Kotheeranurak, V.; Singhatanadgige, W. Thoracolumbar Burst Fracture without Neurological Deficit: Review of Controversies and Current Evidence of Treatment. World Neurosurg. 2022, 162, 29–35. [Google Scholar] [CrossRef]
- Schnake, K.J.; Schroeder, G.D.; Vaccaro, A.R.; Oner, C. AOSpine Classification Systems (Subaxial, Thoracolumbar). J. Orthop. Trauma 2017, 31 (Suppl. 4), S14–S23. [Google Scholar] [CrossRef] [PubMed]
- Peev, N.; Zileli, M.; Sharif, S.; Arif, S.; Brady, Z. Indications for Nonsurgical Treatment of Thoracolumbar Spine Fractures: WFNS Spine Committee Recommendations. Neurospine 2021, 18, 713–724. [Google Scholar] [CrossRef] [PubMed]
- Sharif, S.; Shaikh, Y.; Yaman, O.; Zileli, M. Surgical Techniques for Thoracolumbar Spine Fractures: WFNS Spine Committee Recommendations. Neurospine 2021, 18, 667–680. [Google Scholar] [CrossRef]
- Tan, T.; Huang, M.S.; Rutges, J.; Marion, T.E.; Fitzgerald, M.; Hunn, M.K.; Tee, J. Rate and Predictors of Failure in the Conservative Management of Stable Thoracolumbar Burst Fractures: A Systematic Review and Meta-Analysis. Glob. Spine J. 2022, 12, 1254–1266. [Google Scholar] [CrossRef]
- Sanchez, J.A.S.; Sharif, S.; Costa, F.; Rangel, J.A.I.R.; Anania, C.D.; Zileli, M. Early Management of Spinal Cord Injury: WFNS Spine Committee Recommendations. Neurospine 2020, 17, 759–784. [Google Scholar] [CrossRef]
- Rampersaud, Y.R.; Anderson, P.A.; Dimar, J.R., 2nd; Fisher, C.G.; Spine Trauma Study Group and Degenerative Spine Study Group. Spinal Adverse Events Severity System, version 2 (SAVES-V2): Inter- and intraobserver reliability assessment. J. Neurosurg. Spine 2016, 25, 256–263. [Google Scholar] [CrossRef]
- Vaccaro, A.R.; Lehman, R.A., Jr.; Hurlbert, R.J.; Anderson, P.A.; Harris, M.; Hedlund, R.; Harrop, J.; Dvorak, M.; Wood, K.; Fehlings, M.G.; et al. A new classification of thoracolumbar injuries: The importance of injury morphology, the integrity of the posterior ligamentous complex, and neurologic status. Spine 2005, 30, 2325–2333. [Google Scholar] [CrossRef]
- McCormack, T.; Karaikovic, E.; Gaines, R.W. The load sharing classification of spine fractures. Spine 1994, 19, 1741–1744. [Google Scholar] [CrossRef] [PubMed]
- Grenier, N.; Greselle, J.F.; Vital, J.M.; Kien, P.; Baulny, D.; Broussin, J.; Senegas, J.; Caille, J.M. Normal and disrupted lumbar longitudinal ligaments: Correlative MR and anatomic study. Radiology 1989, 171, 197–205. [Google Scholar] [CrossRef]
- Alan, N.; Donohue, J.; Ozpinar, A.; Agarwal, N.; Kanter, A.S.; Okonkwo, D.O.; Hamilton, D.K. Load-Sharing Classification Score as Supplemental Grading System in the Decision-Making Process for Patients with Thoracolumbar Injury Classification and Severity 4. Neurosurgery 2021, 89, 428–434. [Google Scholar] [CrossRef]
- Pneumaticos, S.G.; Karampinas, P.K.; Triantafilopoulos, G.; Koufos, S.; Polyzois, V.; Vlamis, J. Evaluation of TLICS for thoracolumbar fractures. Eur. Spine J. 2016, 25, 1123–1127. [Google Scholar] [CrossRef] [PubMed]
- Schroeder, G.D.; Kepler, C.K.; Koerner, J.D.; Oner, F.C.; Fehlings, M.G.; Aarabi, B.; Dvorak, M.F.; Reinhold, M.; Kandziora, F.; Bellabarba, C.; et al. A Worldwide Analysis of the Reliability and Perceived Importance of an Injury to the Posterior Ligamentous Complex in AO Type A Fractures. Global Spine J. 2015, 5, 378–382. [Google Scholar] [CrossRef]
- Vaccaro, A.R.; Schroeder, G.D.; Kepler, C.K.; Cumhur Oner, F.; Vialle, L.R.; Kandziora, F.; Koerner, J.D.; Kurd, M.F.; Reinhold, M.; Schnake, K.J.; et al. The surgical algorithm for the AOSpine thoracolumbar spine injury classification system. Eur. Spine J. 2015, 25, 1087–1094. [Google Scholar] [CrossRef]
- Jeong, W.J.; Kim, J.W.; Seo, D.K.; Lee, H.J.; Kim, J.Y.; Yoon, J.P.; Min, W.K. Efficiency of ligamentotaxis using PLL for thoracic and lumbar burst fractures in the load-sharing classification. Orthopedics 2013, 36, e567–e574. [Google Scholar] [CrossRef]
- Mueller, L.A.; Mueller, L.P.; Schmidt, R.; Forst, R.; Rudig, L. The phenomenon and efficiency of ligamentotaxis after dorsal stabilization of thoracolumbar burst fractures. Arch. Orthop. Trauma Surg. 2006, 126, 364–368. [Google Scholar] [CrossRef] [PubMed]
- Jaiswal, N.K.; Kumar, V.; Puvanesarajah, V.; Dagar, A.; Prakash, M.; Dhillon, M.; Dhatt, S.S. Necessity of Direct Decompression for Thoracolumbar Junction Burst Fractures with Neurological Compromise. World Neurosurg. 2020, 142, e413–e419. [Google Scholar] [CrossRef]
- Ge, C.M.; Wang, Y.R.; Jiang, S.D.; Jiang, L.S. Thoracolumbar burst fractures with a neurological deficit treated with posterior decompression and interlaminar fusion. Eur. Spine J. 2011, 20, 2195–2201. [Google Scholar] [CrossRef]
- Whang, P.G.; Vaccaro, A.R. Thoracolumbar fracture: Posterior instrumentation using distraction and ligamentotaxis reduction. J. Am. Acad. Orthop. Surg. 2007, 15, 695–701. [Google Scholar] [CrossRef] [PubMed]
- Van Middendorp, J.J.; Patel, A.A.; Schuetz, M.; Joaquim, A.F. The precision, accuracy and validity of detecting posterior ligamentous complex injuries of the thoracic and lumbar spine: A critical appraisal of the literature. Eur. Spine J. 2013, 22, 461–474. [Google Scholar] [CrossRef] [PubMed]
- Schroeder, G.D.; Harrop, J.S.; Vaccaro, A.R. Thoracolumbar Trauma Classification. Neurosurg. Clin. N. Am. 2017, 28, 23–29. [Google Scholar] [CrossRef] [PubMed]
- Chen, F.; Shi, T.; Li, Y.; Wang, H.; Luo, F.; Hou, T. Multiple parameters for evaluating posterior longitudinal ligaments in thoracolumbar burst fractures. Orthopade 2019, 48, 420–425. [Google Scholar] [CrossRef]
- Hu, Z.; Zhou, Y.; Li, N.; Xie, X. Correlations between posterior longitudinal ligament status and size of bone fragment in thoracolumbar burst fractures. Int. J. Clin. Exp. Med. 2015, 8, 2754–2759. [Google Scholar]
- Kato, S.; Murray, J.C.; Kwon, B.K.; Schroeder, G.D.; Vaccaro, A.R.; Fehlings, M.G. Does Surgical Intervention or Timing of Surgery Have an Effect on Neurological Recovery in the Setting of a Thoracolumbar Burst Fracture? J. Orthop. Trauma 2017, 31 (Suppl. 4), S38–S43. [Google Scholar] [CrossRef]
- Guttman, M.P.; Larouche, J.; Lyons, F.; Nathens, A.B. Early fixation of traumatic spinal fractures and the reduction of complications in the absence of neurological injury: A retrospective cohort study from the American College of Surgeons Trauma Quality Improvement Program. J. Neurosurg. Spine 2020, 34, 117–126. [Google Scholar] [CrossRef]
- O’Boynick, C.P.; Kurd, M.F.; Darden, B.V., 2nd; Vaccaro, A.R.; Fehlings, M.G. Timing of surgery in thoracolumbar trauma: Is early intervention safe? Neurosurg. Focus. 2014, 37, E7. [Google Scholar] [CrossRef]
- Xing, D.; Chen, Y.; Ma, J.X.; Song, D.H.; Wang, J.; Yang, Y.; Feng, R.; Lu, J.; Ma, X.L. A methodological systematic review of early versus late stabilization of thoracolumbar spine fractures. Eur. Spine J. 2013, 22, 2157–2166. [Google Scholar] [CrossRef]
- Zaed, I.; Bossi, B.; Ganau, M.; Tinterri, B.; Giordano, M.; Chibbaro, S. Current state of benefits of Enhanced Recovery After Surgery (ERAS) in spinal surgeries: A systematic review of the literature. Neurochirurgie 2022, 68, 61–68. [Google Scholar] [CrossRef]
- Dimar, N., Jr.; Glassman, S.D.; Raque, G.H.; Zhang, Y.P.; Shields, C.B. The influence of spinal canal narrowing and timing of decompression on neurologic recovery after spinal cord contusion in a rat model. Spine 1999, 24, 1623–1633. [Google Scholar] [CrossRef] [PubMed]




| N | |
|---|---|
| Patient sample | |
| Sex (M), n (%) | 5 (55.56%) |
| Age (years), mean ± SD | 52.22 ± 13.73 |
| BMI (Kg/m2), mean ± SD | 27.66 ± 3.96 |
| Fracture level, n (%) | |
| L1 | 8 (88.89%) |
| L2 | 1 (11.11%) |
| Mechanism of injury, n (%) | |
| Fall > 3 m | 7 (77.78%) |
| Road traffic accident | 2 (22.22%) |
| NRS | |
| Pre-operative, mean ± SD | 6.22 ± 1.09 |
| Post-operative, mean ± SD | 2.22 ± 1.20 |
| Delta, mean ± SD (95%CI) | −4 ± 0.87 (−4.67; −3.33) |
| Length of stay, mean ± SD | 7.33 ± 5.45 |
| Surgical details | |
| Fixed levels | |
| Fracture site not involved | 4 (44.44%) |
| Fracture site—1 screw | 1 (11.11%) |
| Fracture site—2 screws | 4 (44.44%) |
| Surgical time (minutes), mean ± SD | 109.22 ± 16.69 |
| Timing (>72 h), n (%) | 4 (44.44%) |
| Fragment block parameters | |
| IA | |
| Pre, mean ± SD | 24.34 ± 11.16 |
| Post, mean ± SD | 18.97 ± 12.07 |
| Delta, mean ± SD (95%CI) | −5.37 ± 4.97 (−9.19; −1.55) |
| p pre–post | 0.004 |
| HRA | |
| Pre, mean ± SD | 10.19 ± 5.30 |
| Post, mean ± SD | 6.19 ± 4.75 |
| Delta, mean ± SD (95%CI) | −4.00 ± 3.61 (−6.77; −1.22) |
| p pre–post | 0.004 |
| % ratio of fragment/vertebra height, mean ± SD | 45.1 ± 5.3 (41.0; 49.2) |
| % ratio of fragment/vertebra width, mean ± SD | 61.0 ± 18.8 (46.5; 75.5) |
| Delta SCA | Delta LKA | |||
|---|---|---|---|---|
| rho | p | rho | p | |
| IA pre | −0.6012 | 0.0868 | 0.3969 | 0.2902 |
| HRA pre | 0.1440 | 0.7116 | −0.1248 | 0.7491 |
| % ratio of fragment/vertebra height | 0.6816 | 0.0432 | −0.5527 | 0.1227 |
| % ratio of fragment/vertebra width | −0.0020 | 0.9959 | −0.1233 | 0.7521 |
| Fragment Position | 0.7261 | 0.7261 | ||
| Lateral | 53.6 | −3.96 | ||
| Paramedian | 29.8 ± 15.5 | −3.92 ± 1.68 | ||
| Median | 38.6 ± 25.4 | −2.61 ± 1.78 |
| Fracture Level Included | Fracture Level Not Included | p | |
|---|---|---|---|
| N | 5 | 4 | |
| LKA delta | −3.61 ± 2.08 | −3.34 ± 1.10 | 1.000 |
| SCA delta | 46.7 ± 13.2 | 46.3 ± 24.8 | 0.905 |
| Timing < 72 h | Timing > 72 h | p | |
|---|---|---|---|
| N | 5 | 4 | |
| SCA | |||
| Pre, mean ± SD | 234.2 ± 41.2 | 249.6 ± 32.5 | 0.562 |
| Post, mean ± SD | 294.6 ± 46.1 | 278.6 ± 27.9 | 0.564 |
| Delta, mean ± SD (95%CI) | 60.5 ± 7.0 (51.8; 69.1) | 29.0 ± 7.2 (17.5; 40.6) | 0.016 |
| LKA | |||
| Pre, mean ± SD | 11.71 ± 5.62 | 13.73 ± 0.65 | 0.504 |
| Post, mean ± SD | 7.06 ± 5.52 | 11.68 ± 1.05 | 0.147 |
| Delta, mean ± SD (95%CI) | −4.65 ± 1.06 (−5.97; −3.33) | −2.04 ± 0.70 (−3.16; −0.93) | 0.004 |
Disclaimer/Publisher’s Note: The statements, opinions and data contained in all publications are solely those of the individual author(s) and contributor(s) and not of MDPI and/or the editor(s). MDPI and/or the editor(s) disclaim responsibility for any injury to people or property resulting from any ideas, methods, instructions or products referred to in the content. |
© 2025 by the authors. Licensee MDPI, Basel, Switzerland. This article is an open access article distributed under the terms and conditions of the Creative Commons Attribution (CC BY) license (https://creativecommons.org/licenses/by/4.0/).
Share and Cite
De Robertis, M.; Anselmi, L.; Baram, A.; Tropeano, M.P.; Morenghi, E.; Ajello, D.; Cracchiolo, G.; Capo, G.; Tomei, M.; Ortolina, A.; et al. Percutaneous Treatment of Traumatic A3 Burst Fractures of the Thoracolumbar Junction Without Neurological Impairment: The Role of Timing and Characteristics of Fragment Blocks on Ligamentotaxis Efficiency. J. Clin. Med. 2025, 14, 2772. https://doi.org/10.3390/jcm14082772
De Robertis M, Anselmi L, Baram A, Tropeano MP, Morenghi E, Ajello D, Cracchiolo G, Capo G, Tomei M, Ortolina A, et al. Percutaneous Treatment of Traumatic A3 Burst Fractures of the Thoracolumbar Junction Without Neurological Impairment: The Role of Timing and Characteristics of Fragment Blocks on Ligamentotaxis Efficiency. Journal of Clinical Medicine. 2025; 14(8):2772. https://doi.org/10.3390/jcm14082772
Chicago/Turabian StyleDe Robertis, Mario, Leonardo Anselmi, Ali Baram, Maria Pia Tropeano, Emanuela Morenghi, Daniele Ajello, Giorgio Cracchiolo, Gabriele Capo, Massimo Tomei, Alessandro Ortolina, and et al. 2025. "Percutaneous Treatment of Traumatic A3 Burst Fractures of the Thoracolumbar Junction Without Neurological Impairment: The Role of Timing and Characteristics of Fragment Blocks on Ligamentotaxis Efficiency" Journal of Clinical Medicine 14, no. 8: 2772. https://doi.org/10.3390/jcm14082772
APA StyleDe Robertis, M., Anselmi, L., Baram, A., Tropeano, M. P., Morenghi, E., Ajello, D., Cracchiolo, G., Capo, G., Tomei, M., Ortolina, A., Fornari, M., & Brembilla, C. (2025). Percutaneous Treatment of Traumatic A3 Burst Fractures of the Thoracolumbar Junction Without Neurological Impairment: The Role of Timing and Characteristics of Fragment Blocks on Ligamentotaxis Efficiency. Journal of Clinical Medicine, 14(8), 2772. https://doi.org/10.3390/jcm14082772

