A Multi-Dimensional Systematic Review of Minimally Invasive Bunion Surgery (MIBS)
Abstract
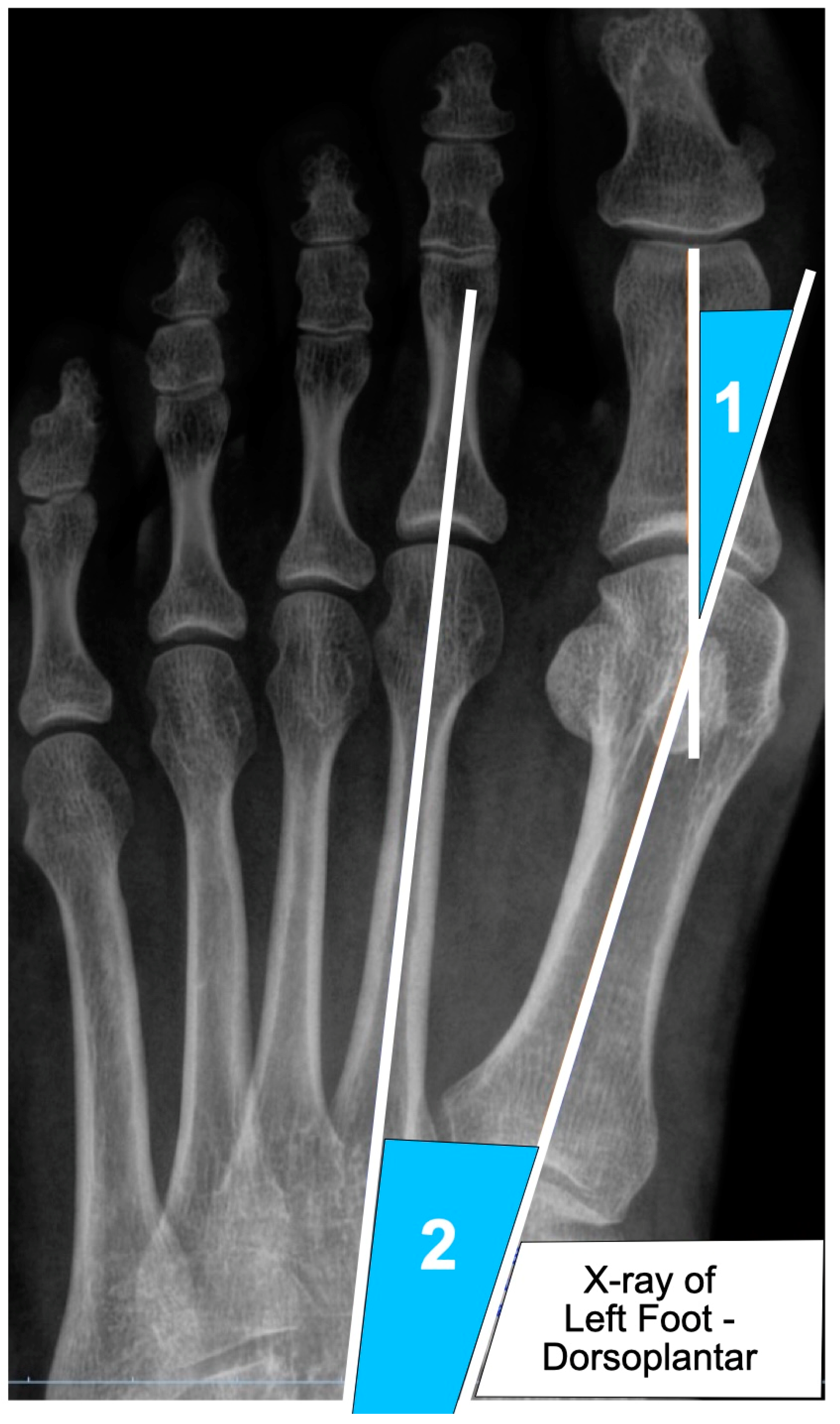
1. Introduction
- What are the long-term outcomes of MIBS in terms of correction stability, recurrence rates, and joint functionality?
- How does MIBS for bunion correction affect patient satisfaction, quality of life, and return to daily activities and footwear compared to traditional surgery techniques?
- From a healthcare economics perspective, how cost-effective is MIBS when considering surgical time, recovery period, complication rates, and long-term efficacy compared to conventional surgical approaches?
- How do patient-specific factors such as age, sex, severity of deformity, and comorbidities influence the outcomes of MIBS?
- What are the most effective rehabilitation and recovery protocols for MIBS, and how do they compare to those recommended after traditional bunion surgery?
- What are the most common complications associated with MIBS, and what strategies can be implemented to minimize these risks?
2. Materials and Methods
2.1. Search Strategies
- Aim 1: (long-term outcomes OR stability OR correction stability);
- Aim 2: (patient satisfaction OR quality of life);
- Aim 3: (cost-effectiveness OR economic evaluation);
- Aim 4: (patient-specific factors OR demographics OR comorbidities) AND (surgical success OR outcomes);
- Aim 5: (rehabilitation OR recovery protocols OR postoperative care);
- Aim 6: (complications OR adverse events OR management).
2.2. Inclusion and Exclusion Criteria
2.3. Data Extraction and Quality Assessment
- Level I: High-quality RCTs with strong methodology and controls, or high-quality evidence from systematic reviews or meta-analyses of RCTs.
- Level II: Lesser-quality RCTs, prospective cohort studies with a comparison group, or systematic reviews of Level II studies.
- Level III: Retrospective cohort studies with comparison groups, case–control studies, or systematic reviews of Level III studies.
- Level IV: Case series or retrospective studies without comparison or control groups, often descriptive in nature.
- Level V: Expert opinions, narrative reviews, or theoretical/basic science research without clinical validation.
3. Results
3.1. Synopsis of Reviewed Articles
3.2. Aim 1—Long-Term Outcomes: Correction Stability, Recurrence Rates, and Joint Functionality
3.3. Aim 2—Patient Satisfaction and Quality of Life
3.4. Aim 3—Cost-Effectiveness
3.5. Aim 4—Role of Patient-Specific Factors
3.6. Aim 5—Rehabilitation and Recovery Protocols
3.7. Aim 6—Incidence and Management of Complications
4. Discussion
4.1. Long-Term Outcomes and Stability of Correction
4.2. Patient Satisfaction and Quality of Life
4.3. Cost-Effectiveness
4.4. Role of Patient-Specific Factors
4.5. Rehabilitation and Recovery Protocols
4.6. Complications and Safety Profile
4.7. Strengths, Limitations, and Future Directions
5. Conclusions
Author Contributions
Funding
Institutional Review Board Statement
Informed Consent Statement
Data Availability Statement
Conflicts of Interest
Abbreviations
| AOFAS | American Orthopedic Foot and Ankle Society |
| CI | Confidence Interval |
| HVA | Hallux Valgus Angle |
| IMA | Intermetatarsal Angle |
| MIBS | Minimally Invasive Bunion Surgery |
| MOXFQ | Manchester Oxford Foot Questionnaire |
| MTP | Metatarsophalangeal |
| OR | Odds Ratio |
| PRISMA | Preferred Reporting Items for Systematic Reviews and Meta-Analyses |
| RCT | Randomized Clinical Trial |
| RR | Risk Ratio |
| SMD | Standardized Mean Difference |
References
- Ray, J.J.; Friedmann, A.J.; Hanselman, A.E.; Vaida, J.; Dayton, P.D.; Hatch, D.J.; Smith, B.; Santrock, R.D. Hallux valgus. Foot Ankle Orthop. 2019, 4, 2473011419838500. [Google Scholar] [CrossRef] [PubMed]
- Institute for Quality and Efficiency in Health Care (IQWiG). Overview: Bunions. InformedHealth.org—NCBI Bookshelf. Available online: https://www.ncbi.nlm.nih.gov/books/NBK513134/ (accessed on 29 July 2024).
- Roddy, E. Epidemiology and impact of hallux valgus: More than just bunions. J. Foot Ankle Res. 2011, 4, 1. [Google Scholar] [CrossRef]
- Barg, A.; Harmer, J.R.; Presson, A.P.; Zhang, C.; Lackey, M.; Saltzman, C.L. Unfavorable outcomes following surgical treatment of hallux valgus deformity. J. Bone Jt. Surg. 2018, 100, 1563–1573. [Google Scholar] [CrossRef] [PubMed]
- Özdemir, E.; Aynardi, M. Minimally Invasive Bunion Surgery for Hallux Valgus: A surgical Technique. SurgiColl 2024, 2, 1–5. [Google Scholar] [CrossRef]
- Mann, R.A. Bunion Surgery: Decision Making. Orthopedics 1990, 13, 951–957. [Google Scholar] [CrossRef]
- Nair, A.; Bence, M.; Saleem, J.; Yousaf, A.; Al-Hilfi, L.; Kunasingam, K. A Systematic review of open and minimally invasive surgery for treating recurrent hallux valgus. Surg. J. 2022, 8, e350–e356. [Google Scholar] [CrossRef]
- Cody, E.A.; Caolo, K.; Ellis, S.J.; Johnson, A.H. Early radiographic outcomes of minimally invasive chevron bunionectomy compared to the modified lapidus procedure. Foot Ankle Orthop. 2022, 7, 247301142211121. [Google Scholar] [CrossRef]
- Patel, R.; Siddiqui, N.; Dreyer, M.A.; Lam, K.; Ayyagari, V.; Onica, A. Radiographic and Cadaveric Analysis of Minimally Invasive bunionectomy Osteotomy Position—“MIS Bunion Sweet Spot”. Foot Ankle Spec. 2022, 17, 358–364. [Google Scholar] [CrossRef]
- Blitz, N.M. New minimally invasive bunion surgery. Clin. Podiatr. Med. Surg. 2024, 42, 11–31. [Google Scholar] [CrossRef]
- Kadakia, A.R.; Smerek, J.P.; Myerson, M.S. Radiographic results after percutaneous distal metatarsal osteotomy for correction of hallux valgus deformity. Foot Ankle Int. 2007, 28, 355–360. [Google Scholar] [CrossRef]
- Page, M.J.; Moher, D.; Bossuyt, P.M.; Boutron, I.; Hoffmann, T.C.; Mulrow, C.D.; Shamseer, L.; Tetzlaff, J.M.; Akl, E.A.; Brennan, S.E.; et al. PRISMA 2020 explanation and elaboration: Updated guidance and exemplars for reporting systematic reviews. BMJ 2021, 372, n160. [Google Scholar] [CrossRef] [PubMed]
- Wright, J.; Swiontkowski, M.; Heckman, J. Introducing levels of evidence to the journal. Orthop. Trauma Dir. 2011, 9, 27–28. [Google Scholar] [CrossRef]
- Baumann, A.N.; Walley, K.C.; Anastasio, A.T.; Gong, D.C.; Talusan, P.G. Learning curve associated with minimally invasive surgery for hallux valgus: A systematic review. Foot Ankle Surg. 2023, 29, 560–565. [Google Scholar] [CrossRef] [PubMed]
- Biz, C.; Crimì, A.; Fantoni, I.; Tagliapietra, J.; Ruggieri, P. Functional and radiographic outcomes of minimally invasive intramedullary nail device (MIIND) for moderate to severe hallux valgus. Foot Ankle Int. 2020, 42, 409–424. [Google Scholar] [CrossRef]
- Brogan, K.; Lindisfarne, E.; Akehurst, H.; Farook, U.; Shrier, W.; Palmer, S. Minimally invasive and open distal chevron osteotomy for mild to moderate hallux valgus. Foot Ankle Int. 2016, 37, 1197–1204. [Google Scholar] [CrossRef]
- Carlucci, S.; Cafruni, V.M.; Alberti, M.; Verbner, J.M.; Santini-Araujo, M.G.; Conti, L.A.; Sotelano, P.; Carrasco, N.M. Is obesity a risk factor in percutaneous hallux valgus surgery? Foot Ankle Surg. 2020, 27, 577–580. [Google Scholar] [CrossRef]
- Del Vecchio, J.J.; Ghioldi, M.E. Evolution of minimally invasive surgery in hallux valgus. Foot Ankle Clin. 2019, 25, 79–95. [Google Scholar] [CrossRef]
- Jeuken, R.M.; Schotanus, M.G.M.; Kort, N.P.; Deenik, A.; Jong, B.; Hendrickx, R.P.M. Long-term follow-up of a randomized controlled trial comparing scarf to chevron osteotomy in hallux valgus correction. Foot Ankle Int. 2016, 37, 687–695. [Google Scholar] [CrossRef]
- Jeyaseelan, L.; Malagelada, F. Minimally Invasive Hallux Valgus Surgery—A Systematic Review and Assessment of state of the art. Foot Ankle Clin. 2020, 25, 345–359. [Google Scholar] [CrossRef]
- Ji, L.; Wang, K.; Ding, S.; Sun, C.; Sun, S.; Zhang, M. Minimally Invasive vs. Open Surgery for Hallux Valgus: A Meta-Analysis. Front. Surg. 2022, 9, 843410. [Google Scholar] [CrossRef]
- Lausé, G.E.; Miller, C.P.; Smith, J.T. Minimally invasive foot and ankle surgery: A primer for orthopaedic surgeons. J. Am. Acad. Orthop. Surg. 2023, 31, 122–131. [Google Scholar] [CrossRef] [PubMed]
- Lewis, T.L.; Ray, R.; Gordon, D.J. Minimally invasive surgery for severe hallux valgus in 106 feet. Foot Ankle Surg. 2022, 28, 503–509. [Google Scholar] [CrossRef] [PubMed]
- Lewis, T.L.; Ray, R.; Gordon, D.J. Time to maximum clinical improvement following minimally invasive chevron and Akin osteotomies (MICA) in hallux valgus surgery. Foot Ankle Surg. 2022, 28, 928–934. [Google Scholar] [CrossRef] [PubMed]
- Lewis, T.L.; Robinson, P.W.; Ray, R.; Dearden, P.M.C.; Goff, T.A.J.; Watt, C.; Lam, P. Five-Year follow-up of Third-Generation percutaneous chevron and akin osteotomies (PECA) for hallux valgus. Foot Ankle Int. 2023, 44, 104–117. [Google Scholar] [CrossRef]
- Lewis, T.L.; Robinson, P.W.; Ray, R.; Goff, T.A.J.; Dearden, P.M.C.; Whitehouse, M.R.; Lam, P.; Dracopoulos, G. The learning curve of Third-Generation Percutaneous chevron and akin Osteotomy (PECA) for hallux valgus. J. Foot Ankle Surg. 2022, 62, 162–167. [Google Scholar] [CrossRef]
- Lu, J.; Zhao, H.; Liang, X.; Ma, Q. Comparison of minimally invasive and traditionally open surgeries in correction of hallux valgus: A Meta-Analysis. J. Foot Ankle Surg. 2020, 59, 801–806. [Google Scholar] [CrossRef]
- Maffulli, N.; Longo, U.G.; Marinozzi, A.; Denaro, V. Hallux valgus: Effectiveness and safety of minimally invasive surgery. A systematic review. Br. Med. Bull. 2010, 97, 149–167. [Google Scholar] [CrossRef]
- Mazzotti, A.; Zielli, S.O.; Giacomo, C.; Artioli, E.; Arceri, A.; Abdi, P.; Langone, L.; Faldini, C. Combined distal metatarsal and akin osteotomies for concomitant metatarsophalangeal and interphalangeal hallux valgus: Clinical and radiological outcomes. J. Foot Ankle Surg. 2024, 63, 366–371. [Google Scholar] [CrossRef]
- Merc, M.; Fokter, S.K.; Sha, I.I. Learning curve in relation to radiation exposure, procedure duration and complications rate for Minimally Invasive Chevron Akin (MICA) osteotomy. BMC Musculoskelet. Disord. 2023, 24, 575. [Google Scholar] [CrossRef]
- Miranda, M.A.M.; Martins, C.; Cortegana, I.M.; Campos, G.; Pérez, M.F.M.; Oliva, X.M. Complications on Percutaneous hallux valgus Surgery: A Systematic review. J. Foot Ankle Surg. 2020, 60, 548–554. [Google Scholar] [CrossRef]
- Oliva, F.; Longo, U.G.; Maffulli, N. Minimally invasive hallux valgus correction. Orthop. Clin. N. Am. 2009, 40, 525–530. [Google Scholar] [CrossRef] [PubMed]
- Stewart, M.S.; Bettin, C.C.; Ramsey, M.T.; Ishikawa, S.N.; Murphy, G.A.; Richardson, D.R.; Tolley, E.A. Effect of obesity on outcomes of forefoot surgery. Foot Ankle Int. 2016, 37, 483–487. [Google Scholar] [CrossRef] [PubMed]
- Toepfer, A.; Strässle, M. The percutaneous learning curve of 3rd generation minimally-invasive Chevron and Akin osteotomy (MICA). Foot Ankle Surg. 2022, 28, 1389–1398. [Google Scholar] [CrossRef] [PubMed]
- Cardoso, D.V.; Veljkovic, A.; Wing, K.; Penner, M.; Gagne, O.; Younger, A. Cohort comparison of radiographic correction and complications between minimal invasive and open lapidus procedures for hallux valgus. Foot Ankle Int. 2022, 43, 1277–1284. [Google Scholar] [CrossRef]


| Ref. | Authors | Year | Level of Evidence | Study Type | Journal | Article Title |
|---|---|---|---|---|---|---|
| [14] | Baumann et al. | 2023 | I | Systematic Review | Foot and Ankle Surgery | Learning curve associated with minimally invasive surgery for hallux valgus |
| [15] | Biz et al. | 2021 | IV | Case Series | Foot & Ankle International | Functional and Radiographic Outcomes of MIIND for Moderate to Severe Hallux Valgus |
| [16] | Brogan et al. | 2016 | III | Retrospective Cohort Study | Foot & Ankle International | Minimally Invasive and Open Distal Chevron Osteotomy for Mild to Moderate Hallux Valgus |
| [17] | Carlucci et al. | 2021 | III | Retrospective Cohort Study | Foot and Ankle Surgery | Is obesity a risk factor in percutaneous hallux valgus surgery? |
| [18] | Del Vecchio et al. | 2020 | I | Systematic Review | Foot and Ankle Clinics | Evolution of Minimally Invasive Surgery in Hallux Valgus |
| [19] | Jeuken et al. | 2016 | II | Randomized Controlled Trial | Foot & Ankle International | Long-term Follow-up Comparing Scarf to Chevron Osteotomy in Hallux Valgus Correction |
| [20] | Jeyaseelan et al. | 2020 | III | Systematic Review | Foot and Ankle Clinics | Minimally Invasive Hallux Valgus Surgery—A Systematic Review |
| [21] | Ji et al. | 2022 | II | Systematic Review and Meta-Analysis | Frontiers in Surgery | Minimally Invasive vs. Open Surgery for Hallux Valgus: A Meta-Analysis |
| [22] | Lausé et al. | 2023 | V | Narrative Review | Journal of the American Academy of Orthopaedic Surgeons | Minimally Invasive Foot and Ankle Surgery: A Primer for Orthopaedic Surgeons |
| [23] | Lewis et al. | 2022 | IV | Case Series | Foot and Ankle Surgery | Minimally invasive surgery for severe hallux valgus in 106 feet |
| [24] | Lewis et al. | 2022 | IV | Case Series | Foot and Ankle Surgery | Time to maximum clinical improvement following minimally invasive chevron and Akin osteotomies (MICA) in hallux valgus surgery |
| [25] | Lewis et al. | 2023 | III | Retrospective Cohort | Foot & Ankle International | Five-Year Follow-up of Third-Generation Percutaneous Chevron and Akin Osteotomies (PECA) for Hallux Valgus |
| [26] | Lewis et al. | 2023 | III | Retrospective Cohort | The Journal of Foot and Ankle Surgery | The Learning Curve of Third-Generation Percutaneous Chevron and Akin Osteotomy (PECA) for Hallux Valgus |
| [27] | Lu et al. | 2020 | II | Systematic Review and Meta-Analysis | The Journal of Foot and Ankle Surgery | Comparison of Minimally Invasive and Traditionally Open Surgeries in Correction of Hallux Valgus: A Meta-Analysis |
| [28] | Maffulli et al. | 2011 | III | Systematic Review | British Medical Bulletin | Hallux valgus: effectiveness and safety of minimally invasive surgery. A systematic review |
| [29] | Mazzotti et al. | 2024 | IV | Retrospective Observational Case Series | The Journal of Foot and Ankle Surgery | Combined Distal Metatarsal and Akin Osteotomies for Concomitant Metatarsophalangeal and Interphalangeal Hallux Valgus: Clinical and Radiological Outcomes |
| [30] | Merc et al. | 2023 | IV | Retrospective Observational Case Series | BMC Musculoskeletal Disorders | Learning curve in relation to radiation exposure, procedure duration and complications rate for Minimally Invasive Chevron Akin (MICA) osteotomy |
| [31] | Miranda et al. | 2021 | III | Systematic Review | The Journal of Foot and Ankle Surgery | Complications on Percutaneous Hallux Valgus Surgery: A Systematic Review |
| [32] | Oliva et al. | 2009 | V | Narrative Review | Orthopedic Clinics of North America | Minimally Invasive Hallux Valgus Correction |
| [33] | Stewart et al. | 2016 | III | Retrospective Cohort Study | American Orthopaedic Foot & Ankle Society | Effect of Obesity on Outcomes of Forefoot Surgery |
| [34] | Toepfer et al. | 2022 | IV | Retrospective Observational Case Series | Foot and Ankle Surgery | The percutaneous learning curve of 3rd generation minimally-invasive Chevron and Akin osteotomy (MICA) |
| [35] | Vieira Cardoso et al. | 2022 | III | Retrospective Cohort Study | Foot & Ankle International | Cohort Comparison of Radiographic Correction and Complications Between Minimal Invasive and Open Lapidus Procedures for Hallux Valgus |
| Ref. | Authors/Year | Level of Evidence | Follow-Up (Mean Months) | HVA at Last Follow-Up (Mean ± SD) | IMA at Last Follow-Up (Mean ± SD) | Recurrence Rate (%) |
|---|---|---|---|---|---|---|
| [15] | Biz et al. (2021) | IV | 97 | 12.2 ± 8.2 | 6.4 ± 3.3 | 6% |
| [19] | Jeuken et al. (2016) | II | 165.6 | 19.8 | 8.3 | 73% |
| [26] | Lewis et al. (2023) | III | 66.8 | 7.8 ± 5.1 | 6.0 ± 2.6 | 7.7% |
| [27] | Lu et al. (2020) | II | - | Excellent–Good radiographic angular results: MIBS > Open OR = 6.28; CI 3.20 to 12.32 (p < 0.01) | - | |
| Ref. | Authors/Year | Level of Evidence | Follow-Up (Mean Months) | Patient Satisfaction (%) | AOFAS (0–100) | MOXFQ (0–100) |
|---|---|---|---|---|---|---|
| [15] | Biz et al. (2021) | IV | 97 | 87% | 90.5 | - |
| [19] | Jeuken et al. (2016) | II | 165.6 | 64% | MIBS = Open (p = 0.540) | MIBS = Open (p = 0.634) |
| [20] | Jeyaseelan et al. (2020) | III | 30.2 | MIBS > Open 87–94% | Improved from 18.1 to 66.1 | - |
| [21] | Ji et al. (2022) | II | - | MIBS > Open RR = 1.15; CI 1.05 to 1.27 (p = 0.002) | MIBS > Open SMD = 0.45; CI 0.03–0.87 (p = 0.04) | - |
| [23] | Lewis et al. (2022) | IV | 24 | - | - | 6.3 |
| [24] | Lewis et al. (2022) | IV | 24 | - | - | 6.7 |
| [25] | Lewis et al. (2023) | III | 66.8 | 77.4% | - | 10.1 |
| [27] | Lu et al. (2020) | II | - | 52.6% | - | - |
| Ref. | Authors/Year | Level of Evidence | Follow-Up (Mean Months) | Surgical Time (Mean Minutes) | Recovery Period (Days in Hospital) | Complication Rates (%) |
|---|---|---|---|---|---|---|
| [14] | Baumann et al. (2023) | I | - | 58.7 | - | 3.3–17% |
| [20] | Jeyaseelan et al. (2020) | III | - | - | - | 4–19% |
| [21] | Ji et al. (2022) | II | - | MIBS < Open SMD = −2.81; CI −3.55 to −2.07 (p < 0.001) | - | MIBS = Open RR = 1.09; CI 0.77 to 1.56) (p = 0.02) |
| [25] | Lewis et al. (2023) | III | - | 62.6 | - | 8.6% |
| [27] | Lu et al. (2020) | II | - | - | MIBS = Open SMD = −3.09; CI −7.98 to 1.80 (p = 0.22) | MIBS = Open OR = 0.67; CI 0.24 to 1.91 (p = 0.45) |
| [28] | Maffulli et al. (2011) | III | 25.9 | - | 1.3 | 12.2% |
| [29] | Mazzotti et al. (2024) | IV | 27.1 | 16.5 | - | 7.1% |
| [30] | Merc et al. (2023) | IV | - | 47.0 | - | 22% |
| [34] | Toepfer et al. (2022) | IV | - | 46.8 | - | 0.1% |
| Ref. | Authors/Year | Level of Evidence | Follow-Up (Mean Months) | Effect of Severity of Deformity | Effect of Patient Sex | Effect of Diabetes Status |
|---|---|---|---|---|---|---|
| [15] | Biz et al. (2021) | IV | 97 | Milder severity was associated with better surgical outcomes and patient satisfaction. | Female sex was observed to be associated with effective correction of the HVA after surgery and its persistence over time. | - |
| [17] | Carlucci et al. (2021) | III | 29 | - | - | - |
| [27] | Lu et al. (2020) | II | - | Greater severity of deformity leads to poor MIBS outcomes. | - | - |
| [28] | Maffulli et al. (2011) | III | 25.9 | - | - | - |
| [33] | Stewart et al. (2016) | III | - | - | - | Diabetic patients had significantly higher rates of infection. |
| Ref. | Authors/Year | Level of Evidence | Follow-Up (Mean Months) | Time Until Weight-Bearing | Time Until Physical Therapy |
|---|---|---|---|---|---|
| [16] | Brogan et al. (2016) | III | 24–58 | Heel weight-bearing: immediately Full weight-bearing: 4 weeks | - |
| [18] | Del Vecchio et al. (2020) | I | - | With postoperative rigid shoe: immediately | - |
| [32] | Oliva et al. (2009) | V | - | With postoperative rigid shoe: immediately | Immediately |
| [35] | Vieira Cardoso et al. (2022) | III | 29 | Heel weight-bearing: immediately Full weight-bearing: 2 weeks | Immediately |
| Ref. | Authors/Year | Level of Evidence | Follow-Up (Mean Months) | Complication Rates (%) | Recurrence Rates (%) | Joint Stiffness |
|---|---|---|---|---|---|---|
| [15] | Biz et al. (2021) | IV | 97 | 15% | 6% | - |
| [16] | Brogan et al. (2016) | III | 24–58 | MIBS = Open (p > 0.5) | MIBS = Open (p = 1.00) | MIBS = Open (p = 0.67) |
| [22] | Lausé et al. (2023) | V | - | 7.8% | - | - |
| [27] | Lu et al. (2020) | II | - | MIBS = Open (p = 0.45) | - | - |
| [28] | Maffulli et al. (2011) | III | 25.9 | 12.2% | - | - |
| [30] | Merc et al. (2023) | IV | - | 22% | 2% | 1% |
| [31] | Miranda et al. (2021) | III | 42.3 | 23.0% | 15.2% | 18.5% |
| [35] | Vieira Cardoso et al. (2022) | III | 29 | 10.6% | 4.3% | - |
Disclaimer/Publisher’s Note: The statements, opinions and data contained in all publications are solely those of the individual author(s) and contributor(s) and not of MDPI and/or the editor(s). MDPI and/or the editor(s) disclaim responsibility for any injury to people or property resulting from any ideas, methods, instructions or products referred to in the content. |
© 2025 by the authors. Licensee MDPI, Basel, Switzerland. This article is an open access article distributed under the terms and conditions of the Creative Commons Attribution (CC BY) license (https://creativecommons.org/licenses/by/4.0/).
Share and Cite
Lonati, D.; Kannegieter, E.; McHugh, D. A Multi-Dimensional Systematic Review of Minimally Invasive Bunion Surgery (MIBS). J. Clin. Med. 2025, 14, 2757. https://doi.org/10.3390/jcm14082757
Lonati D, Kannegieter E, McHugh D. A Multi-Dimensional Systematic Review of Minimally Invasive Bunion Surgery (MIBS). Journal of Clinical Medicine. 2025; 14(8):2757. https://doi.org/10.3390/jcm14082757
Chicago/Turabian StyleLonati, Danielle, Ewan Kannegieter, and Douglas McHugh. 2025. "A Multi-Dimensional Systematic Review of Minimally Invasive Bunion Surgery (MIBS)" Journal of Clinical Medicine 14, no. 8: 2757. https://doi.org/10.3390/jcm14082757
APA StyleLonati, D., Kannegieter, E., & McHugh, D. (2025). A Multi-Dimensional Systematic Review of Minimally Invasive Bunion Surgery (MIBS). Journal of Clinical Medicine, 14(8), 2757. https://doi.org/10.3390/jcm14082757

