Correlation Between Nasal Anatomical Variants and SNOT-22 in Patients Affected by Odontogenic Sinusitis: A Retrospective Study
Abstract
1. Introduction
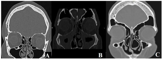
- NSD and nasal spurs can lead to lateral narrowing of the middle turbinate and compression of the middle meatus, resulting in impaired ventilation and facial pain. Additionally, a septal spur may compress the inferior turbinate, which is innervated by branches of the maxillary nerve, causing intermittent pain that varies with the degree of turbinate hypertrophy.
- CB is defined as the pneumatization of the middle turbinate. It can obstruct the air passage by blocking the middle nasal meatus or cause mucosal edema, inflammation, drying, and headaches by impeding the ethmoid infundibulum.
- PMT refers to an abnormal curvature of the middle turbinate, in which the convex surface faces laterally instead of medially. This abnormality can obstruct the drainage pathway of the middle meatus.
2. Materials and Methods
2.1. Study Design and Data Collection
- Adults over 18 years of age;
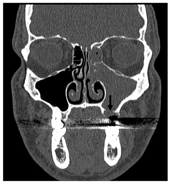
- Diagnosis of OS with CT scan or nasal endoscopy and clinical history (OS appears due to inflammation of the mucosa of the maxillary sinus characterized by two or more symptoms, one of which must be nasal obstruction or nasal discharge associated with pain or facial pressure and/or reduction or loss of smell for at least 12 weeks as a result of Schneiderian membrane perforation through dentoalveolar pathology [2]);
- Patients who performed ESS. Patients who are candidates for surgery are those who have not responded to conservative medical therapy or odontogenic treatments and have suffered a relapse of disease.
2.2. -22 and -8 Items Sino-Nasal Outcome Test (SNOT-22 and SNOT-8)
2.3. Lund-Mackay Score (LMS)
2.4. Statistical Analysis
3. Results
4. Discussion
4.1. Correlation Between Quality of Life and OS
4.2. Correlation Between Anatomical Nose Variations and Maxillary Sinus Fungal Ball
4.3. Correlation Between Anatomical Nose Variations and LMS
4.4. Correlation Between Quality of Life and LMS
4.5. Limits of This Study and Future Prospective Studies
4.6. Author Recommendation Guide in Cases of OS
- Medical therapy to treat the infection;
- Dental visit with treatment of the dental problem;
- Wait for about 1 month and see if OS regresses or if there are relapses of the pathology;
- In cases of failure of dental and medical therapy or in cases of recurrence of the disease, endoscopic nasal surgery (ESS) is always recommended;
- Multidisciplinary collaboration is mandatory.
5. Conclusions
Author Contributions
Funding
Institutional Review Board Statement
Informed Consent Statement
Data Availability Statement
Conflicts of Interest
References
- Goyal, V.K.; Ahmad, A.; Turfe, Z.; Peterson, E.I.; Craig, J.R. Predicting Odontogenic Sinusitis in Unilateral Sinus Disease: A Prospective, Multivariate Analysis. Am. J. Rhinol. Allergy 2021, 35, 164–171. [Google Scholar] [CrossRef] [PubMed]
- Martu, C.; Martu, M.A.; Maftei, G.A.; Diaconu-Popa, D.A.; Radulescu, L. Odontogenic Sinusitis: From Diagnosis to Treatment Possibilities—A Narrative Review of Recent Data. Diagnostics 2022, 12, 1600. [Google Scholar] [CrossRef] [PubMed]
- Sabatino, L.; Pierri, M.; Iafrati, F.; Di Giovanni, S.; Moffa, A.; De Benedetto, L.; Passarelli, P.C.; Casale, M. Odontogenic Sinusitis from Classical Complications and Its Treatment: Our Experience. Antibiotics 2023, 12, 390. [Google Scholar] [CrossRef]
- Macchi, A.; Giorli, A.; Cantone, E.; Carlotta Pipolo, G.; Arnone, F.; Barbone, U.; Bertazzoni, G.; Bianchini, C.; Ciofalo, A.; Cipolla, F.; et al. Sense of smell in chronic rhinosinusitis: A multicentric study on 811 patients. Front. Allergy 2023, 4, 1083964. [Google Scholar] [CrossRef] [PubMed] [PubMed Central]
- Mehra, P.; Jeong, D. Maxillary sinusitis of odontogenic origin. Curr. Allergy Asthma Rep. 2009, 9, 238–243. [Google Scholar] [PubMed]
- Alghamdi, F.S.; Albogami, D.; Alsurayhi, A.S.; Alshibely, A.Y.; Alkaabi, T.H.; Alqurashi, L.M.; Alahdal, A.A.; Saber, A.A.; Almansouri, O.S. Nasal Septal Deviation: A Comprehensive Narrative Review. Cureus 2022, 14, e31317. [Google Scholar]
- Kar, M.; Altıntaş, M. The incidence of concha bullosa: A retrospective radiologic study. Eur. Arch. Otorhinolaryngol. 2023, 280, 731–735. [Google Scholar]
- Ozcan, K.M.; Selcuk, A.; Özcan, I.; Akdogan, O.; Dere, H. Anatomical variations of nasal turbinates. J. Craniofac Surg. 2008, 19, 1678–1682. [Google Scholar] [CrossRef]
- Calhoun, K.; Waggenspack, G.; Simpson, C.; Hokanson, J.; Bailey, B. CT Evaluation of the Paranasal Sinuses in Symptomatic and Asymptomatic Populations. Otolaryngol-Head Neck Surg. 1991, 104, 480–483. [Google Scholar]
- Cascio, F.; Gazia, F.; D’Alcontres, F.S.; Felippu, A.W.D.; Migliorato, A.; Rizzo, G.; Palmeri, S.; Felippu, A.W.D.; Lucanto, M.C.; Costa, S.; et al. The centripetal endoscopic sinus surgery in patients with cystic fibrosis: A preliminary study. Am. J. Otolaryngol. 2023, 44, 103912. [Google Scholar]
- Hopkins, C.; Gillett, S.; Slack, R.; Lund, V.J.; Browne, J.P. Psychometric validity of the 22-item Sinonasal Outcome Test. Clin. Otolaryngol. 2009, 34, 447–454. [Google Scholar] [CrossRef] [PubMed]
- Dispenza, F.; Immordino, A.; De Stefano, A.; Sireci, F.; Lorusso, F.; Salvago, P.; Martines, F.; Gallina, S. The prognostic value of subjective nasal symptoms and SNOT-22 score in middle ear surgery. Am. J. Otolaryngol. 2022, 43, 103480. [Google Scholar] [CrossRef] [PubMed]
- Galletti, C.; Sireci, F.; Stilo, G.; Barbieri, M.A.; Messina, G.; Manzella, R.; Portelli, D.; Zappalà, A.G.; Diana, M.; Frangipane, S.; et al. Mepolizumab in chronic rhinosinusitis with nasal polyps: Real life data in a multicentric Sicilian experience. Am. J. Otolaryngol. 2025, 46, 104597. [Google Scholar] [CrossRef] [PubMed]
- La Mantia, I.; Ragusa, M.; Grigaliute, E.; Cocuzza, S.; Radulesco, T.; Calvo-Henriquez, C.; Saibene, A.M.; Riela, P.M.; Lechien, J.R.; Fakhry, N.; et al. Sensibility, specificity, and accuracy of the Sinonasal Outcome Test 8 (SNOT-8) in patients with chronic rhinosinusitis (CRS): A cross-sectional cohort study. Eur. Arch. Otorhinolaryngol. 2023, 280, 3259–3264. [Google Scholar] [CrossRef]
- Atlas, S.J.; Metson, R.B.; Singer, D.E.; Wu, Y.A.; Gliklich, R.E. Validity of a new healthrelated quality of life instrument for patients with chronic sinusitis. Laryngoscope 2005, 115, 846–854. [Google Scholar] [CrossRef]
- Patel, N.A.; Ferguson, B.J. Odontogenic sinusitis: An ancient but under-appreciated cause of maxillary sinusitis. Curr. Opin. Otolaryngol. Head. Neck Surg. 2012, 20, 24–28. [Google Scholar] [PubMed]
- Vagish Kumar, L.S. Rhinosinusitis in oral medicine and dentistry. Aust. Dent. J. 2015, 60, 134–135. [Google Scholar] [CrossRef]
- Gaudin, R.A.; Hoehle, L.P.; Smeets, R.; Heiland, M.; Caradonna, D.S.; Gray, S.T.; Sedaghat, A.R. Impact of odontogenic chronic rhinosinusitis on general health-related quality of life. Eur. Arch. Otorhinolaryngol. 2018, 275, 1477–1482. [Google Scholar] [CrossRef]
- Simuntis, R.; Vaitkus, J.; Kubilius, R.; Padervinskis, E.; Tušas, P.; Leketas, M.; Šiupšinskienė, N.; Vaitkus, S. Comparison of Sino-Nasal Outcome Test 22 Symptom Scores in Rhinogenic and Odontogenic Sinusitis. Am. J. Rhinol. Allergy 2019, 33, 44–50. [Google Scholar] [CrossRef]
- Cascio, F.; Basile, G.A.; Debes Felippu, A.W.; Debes Felippu, A.W.; Trimarchi, F.; Militi, D.; Portaro, S.; Bramanti, A. A dental implant dislocated in the ethmoidal sinus: A case report. Heliyon 2020, 6, e03977. [Google Scholar]
- Doo, J.G.; Min, H.K.; Choi, G.W.; Kim, S.W.; Min, J.Y. Analysis of predisposing factors in unilateral maxillary sinus fungal ball: The predictive role of odontogenic and anatomical factors. Rhinology 2022, 60, 377–383. [Google Scholar] [CrossRef]
- Şahin, B.; Çomoğlu, Ş.; Sönmez, S.; Değer, K.; Keleş Türel, M.N. Paranasal Sinus Fungus Ball, Anatomical Variations and Dental Pathologies: Is There Any Relation? Turk. Arch. Otorhinolaryngol. 2022, 60, 23–28. [Google Scholar]
- Liu, L.; Chen, Q.; Pan, M.; Yang, Y. Roles of Anatomical Abnormalities in Localized and Diffuse Chronic Rhinosinusitis. Indian. J. Otolaryngol. Head. Neck Surg. 2023, 75 (Suppl. S1), 966–972. [Google Scholar]
- Niknami, M.; Emami, E.; Mozaffari, A.; Sharifian, H.; Safari, S. Correlation between the Opacification Degree of Paranasal Sinuses on CT, Clinical Symptoms and Anatomical Variations of the Nose and Paranasal Sinuses in Patients with Chronic Rhinosinusitis. Front. Dent. 2021, 18, 33. [Google Scholar] [CrossRef]
- Kaygusuz, A.; Haksever, M.; Akduman, D.; Aslan, S.; Sayar, Z. Sinonasal anatomical variations: Their relationship with chronic rhinosinusitis and effect on the severity of disease-a computerized tomography assisted anatomical and clinical study. Indian. J. Otolaryngol. Head. Neck Surg. 2014, 66, 260–266. [Google Scholar]
- Bhagat, R.; Maan, A.S.; Sharma, K.K.; Chander, R. Combined Radiological and Endoscopic Evaluation of Sino Nasal Anatomical Variations in Patients of Chronic Rhinosinusitis: A North Indian Study. Indian. J. Otolaryngol. Head. Neck Surg. 2023, 75, 2155–2162. [Google Scholar]
- Schalek, P.; Hart, L.; Fuksa, J.; Guha, A. Quality of life in CRSwNP: Evaluation of ACCESS and Lund-Mackay computed tomography scores versus the QoL questionnaire. Eur. Arch. Otorhinolaryngol. 2022, 279, 5721–5725. [Google Scholar]
- Hopkins, C.; Browne, J.P.; Slack, R.; Lund, V.; Brown, P. The Lund-Mackay staging system for chronic rhinosinusitis: How is it used and what does it predict? Otolaryngol. Head. Neck Surg. 2007, 137, 555–561. [Google Scholar]
- Sireci, F.; Lorusso, F.; Martines, F.; Salvago, P.; Immordino, A.; Dispenza, F.; Gallina, S.; Canevari, F.R. Guide to the management of complications in endoscopic sinus surgery (ESS). Adv. Health Dis. 2021, 37, 159–176. [Google Scholar]
- Craig, J.R.; Tataryn, R.W.; Saibene, A.M. The Future of Odontogenic Sinusitis. Otolaryngol. Clin. N. Am. 2024, 57, 1173–1181. [Google Scholar]
- Craig, J.R.; Saibene, A.M.; Felisati, G. Sinusitis Management in Odontogenic Sinusitis. Otolaryngol. Clin. N. Am. 2024, 57, 1157–1171. [Google Scholar]
- Baumann, I.; Baumann, H. A new classification of septal deviations. Rhinology 2007, 45, 220–223. [Google Scholar]
- Andrianakis, A.; Moser, U.; Wolf, A.; Kiss, P.; Holzmeister, C.; Andrianakis, D.; Tomazic, P.V. Gender-specific differences in feasibility of pre-lacrimal window approach. Sci. Rep. 2021, 11, 7791. [Google Scholar]



| Population N (%); M ± SD | |
|---|---|
| Gender | |
| Male | 45/70 (64.3%) |
| Female | 25/70 (35.7%) |
| Age | 48.15 ± 12.84 |
| SNOT-22 | 48.1 ± 20.1 |
| SNOT-8 | 26.3 ± 8.5 |
| LMS | 5.1 ± 1.6 |
| Surgery | |
| Maxillectomy | 70 (100%) |
| Ethmoidectomy | 32/70 (45.7%) |
| Frontal senectomy | 25/70 (35.7%) |
| Septoplasty | 32/70 (45.7%) |
| Plastic of Middle Turbinate | 53/70 (75.7%) |
| Tooth extraxtion | 42/70 (60%) |
| N (%) | M (±SD) SNOT 22 | Odd Ratio | 95% Confidence Interval | p Value | |
|---|---|---|---|---|---|
| NSD isolated | 16 (22.8%) | 53.25 (±6.9) | 1.01 | 0.97–1.06 | 0.42 |
| CB or PMT isolated | 24 (34.2%) | 45.33 (±16.3) | 0.98 | 0.95–1.02 | 0.98 |
| NSD with CB or PMT | 16 (22.8%) | 71.12 (±10.1) | 1.34 | 1.03–1.73 | 0.02 |
| N (%) | M (±SD) SNOT-8 | Odd Ratio | 95% Confidence Interval | p Value | |
|---|---|---|---|---|---|
| NSD isolated | 16 (22.8%) | 28.62 (±4.4) | 1.04 | 0.94–1.15 | 0.39 |
| CB or PMT isolated | 24 (34.2%) | 27.33 (±7.1) | 1.02 | 0.93–1.11 | 0.61 |
| NSD and CB or PMT | 16 (22.8%) | 32.25 (±7.5) | 1.17 | 1.00–1.37 | 0.04 |
| N (%) | M (±SD) LMS | Odd Ratio | 95% Confidence Interval | p Value | |
|---|---|---|---|---|---|
| NSD isolated | 16 (22.8%) | 5.05 (±1.6) | 1.41 | 0.86–2.32 | 0.16 |
| CB or PMT isolated | 24 (34.2%) | 5.75 (±1.1) | 1.03 | 1.06–1.56 | 0.88 |
| NSD and CB or PMT | 16 (22.8%) | 6 (±2.1) | 1.15 | 0.86–2.61 | 0.12 |
Disclaimer/Publisher’s Note: The statements, opinions and data contained in all publications are solely those of the individual author(s) and contributor(s) and not of MDPI and/or the editor(s). MDPI and/or the editor(s) disclaim responsibility for any injury to people or property resulting from any ideas, methods, instructions or products referred to in the content. |
© 2025 by the authors. Licensee MDPI, Basel, Switzerland. This article is an open access article distributed under the terms and conditions of the Creative Commons Attribution (CC BY) license (https://creativecommons.org/licenses/by/4.0/).
Share and Cite
Sireci, F.; Cascio, F.; Lorusso, F.; Gazia, F.; Immordino, A.; Gallina, S.; Campofiorito, V.; Comparetto, A.; Gerardi, I.; Dispenza, F. Correlation Between Nasal Anatomical Variants and SNOT-22 in Patients Affected by Odontogenic Sinusitis: A Retrospective Study. J. Clin. Med. 2025, 14, 2337. https://doi.org/10.3390/jcm14072337
Sireci F, Cascio F, Lorusso F, Gazia F, Immordino A, Gallina S, Campofiorito V, Comparetto A, Gerardi I, Dispenza F. Correlation Between Nasal Anatomical Variants and SNOT-22 in Patients Affected by Odontogenic Sinusitis: A Retrospective Study. Journal of Clinical Medicine. 2025; 14(7):2337. https://doi.org/10.3390/jcm14072337
Chicago/Turabian StyleSireci, Federico, Filippo Cascio, Francesco Lorusso, Francesco Gazia, Angelo Immordino, Salvatore Gallina, Valerio Campofiorito, Andrea Comparetto, Ignazio Gerardi, and Francesco Dispenza. 2025. "Correlation Between Nasal Anatomical Variants and SNOT-22 in Patients Affected by Odontogenic Sinusitis: A Retrospective Study" Journal of Clinical Medicine 14, no. 7: 2337. https://doi.org/10.3390/jcm14072337
APA StyleSireci, F., Cascio, F., Lorusso, F., Gazia, F., Immordino, A., Gallina, S., Campofiorito, V., Comparetto, A., Gerardi, I., & Dispenza, F. (2025). Correlation Between Nasal Anatomical Variants and SNOT-22 in Patients Affected by Odontogenic Sinusitis: A Retrospective Study. Journal of Clinical Medicine, 14(7), 2337. https://doi.org/10.3390/jcm14072337

