Alveolar Bile and Light Chain Immunoglobulin Depositions as an Unusual Complication of Transjugular Liver Biopsy Resulting in Bilhemia in a Patient with Multiple Myeloma
Abstract
1. Introduction
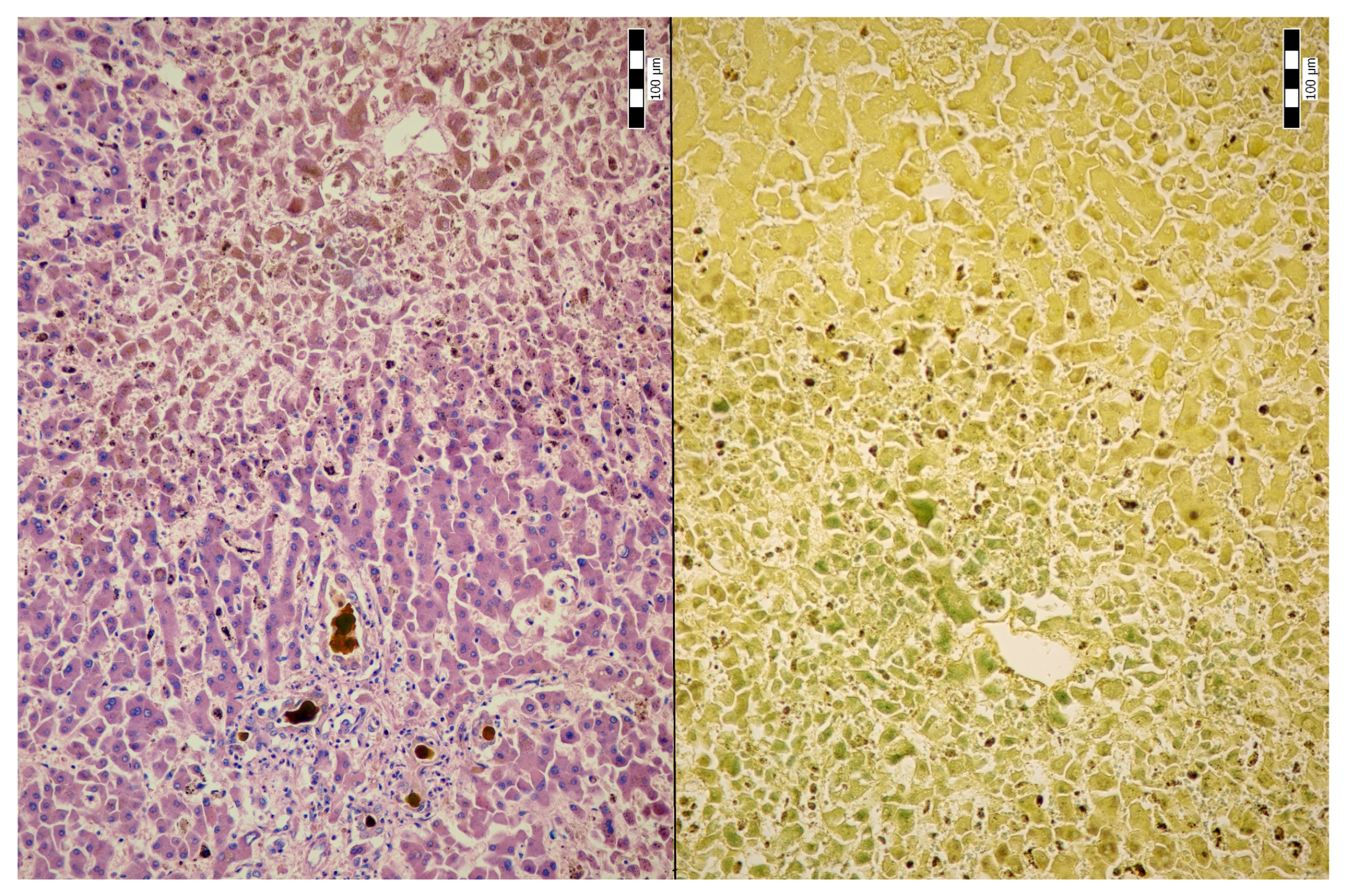
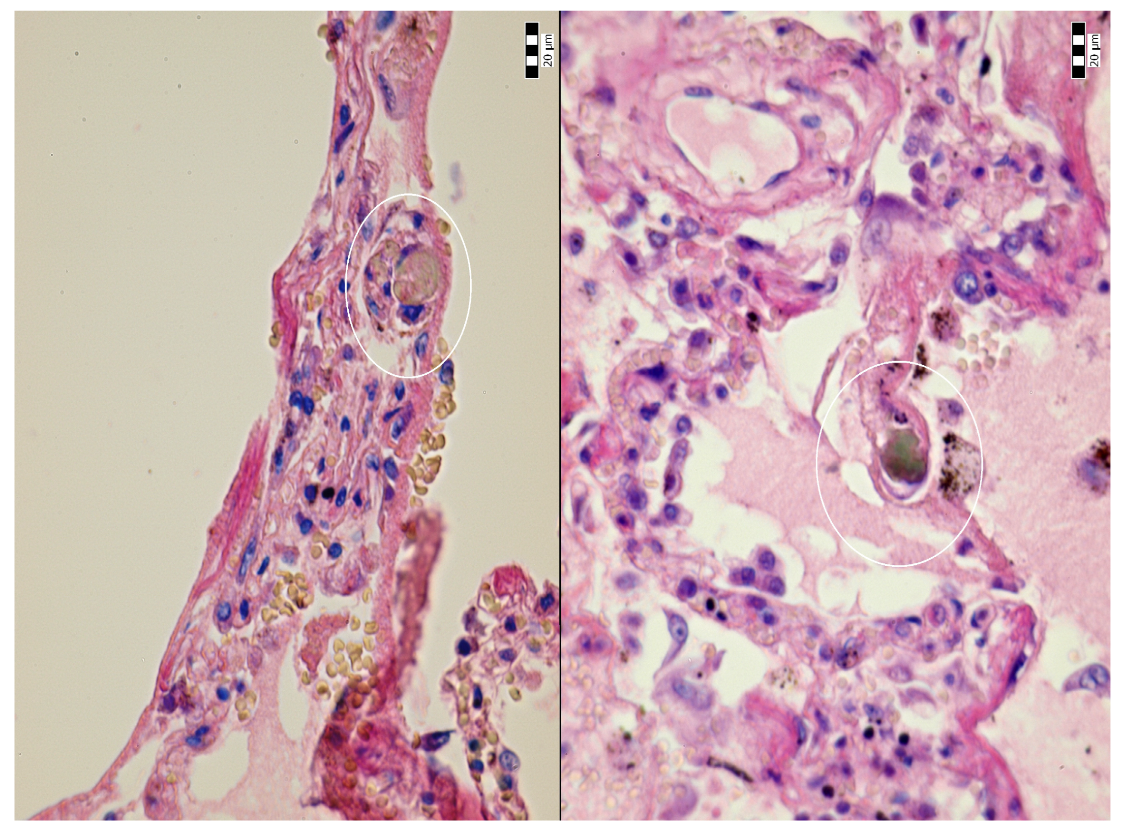
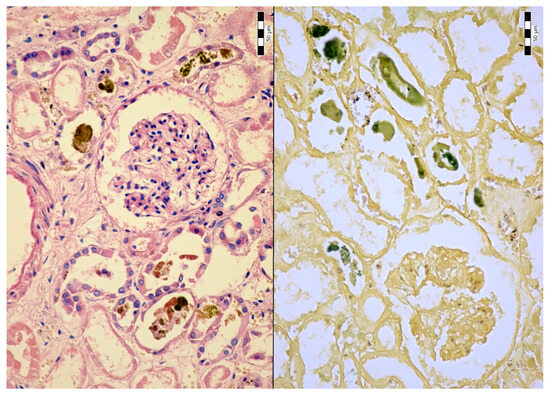
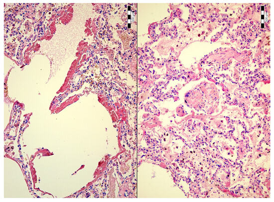
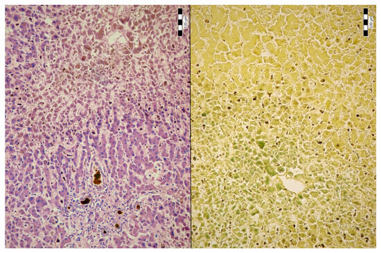
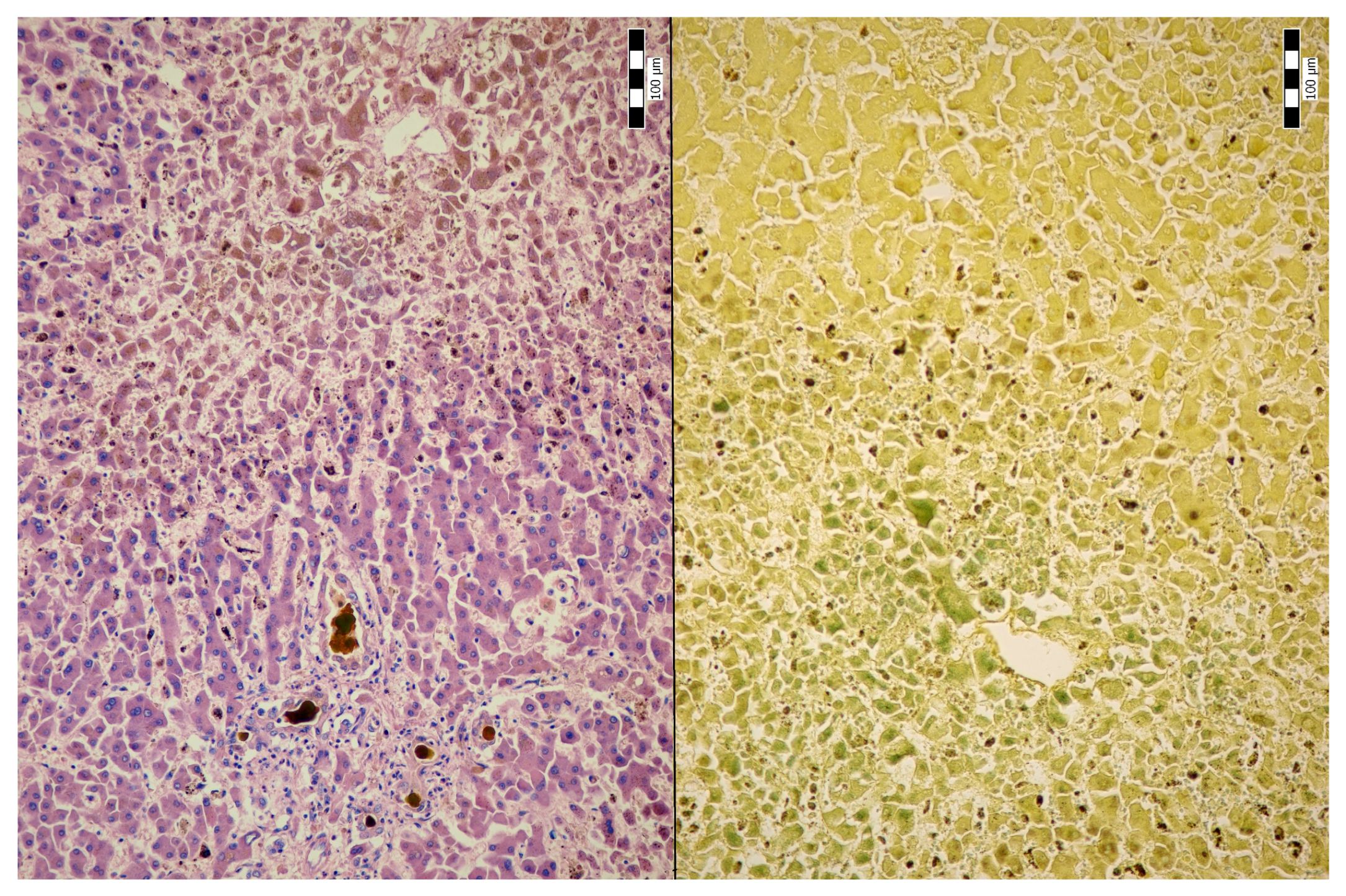
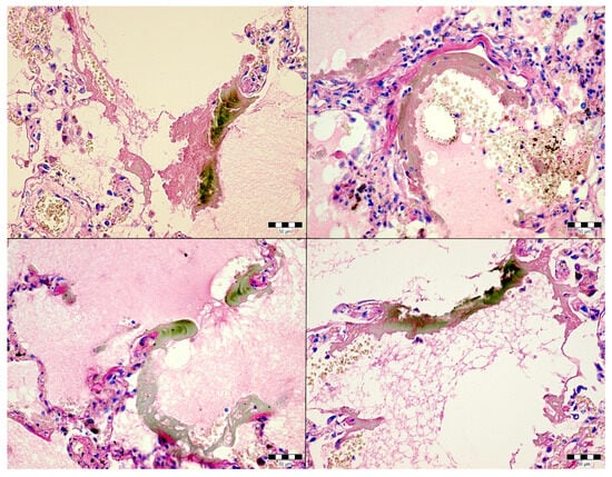
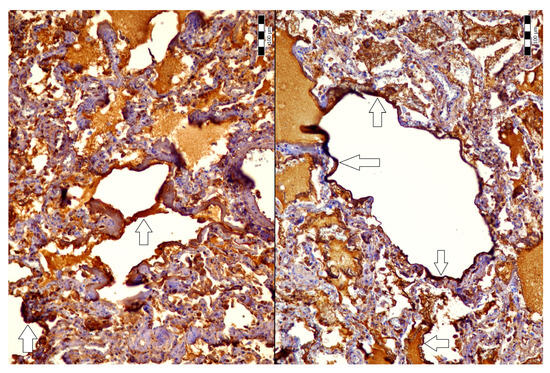
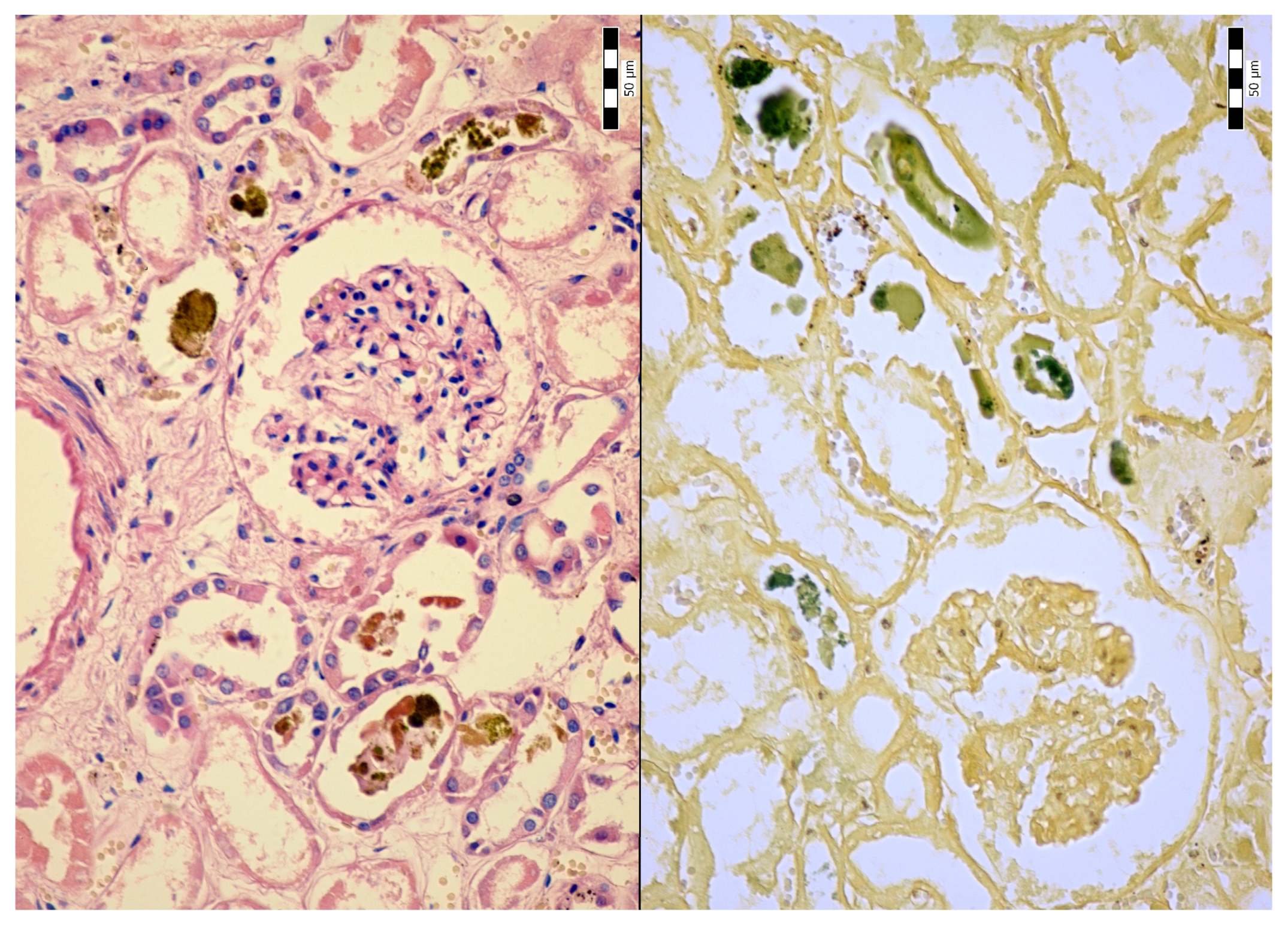
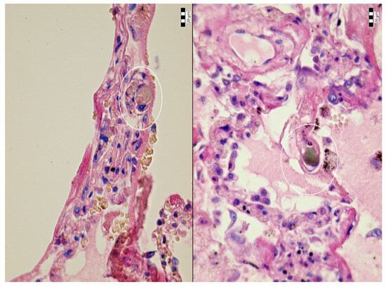
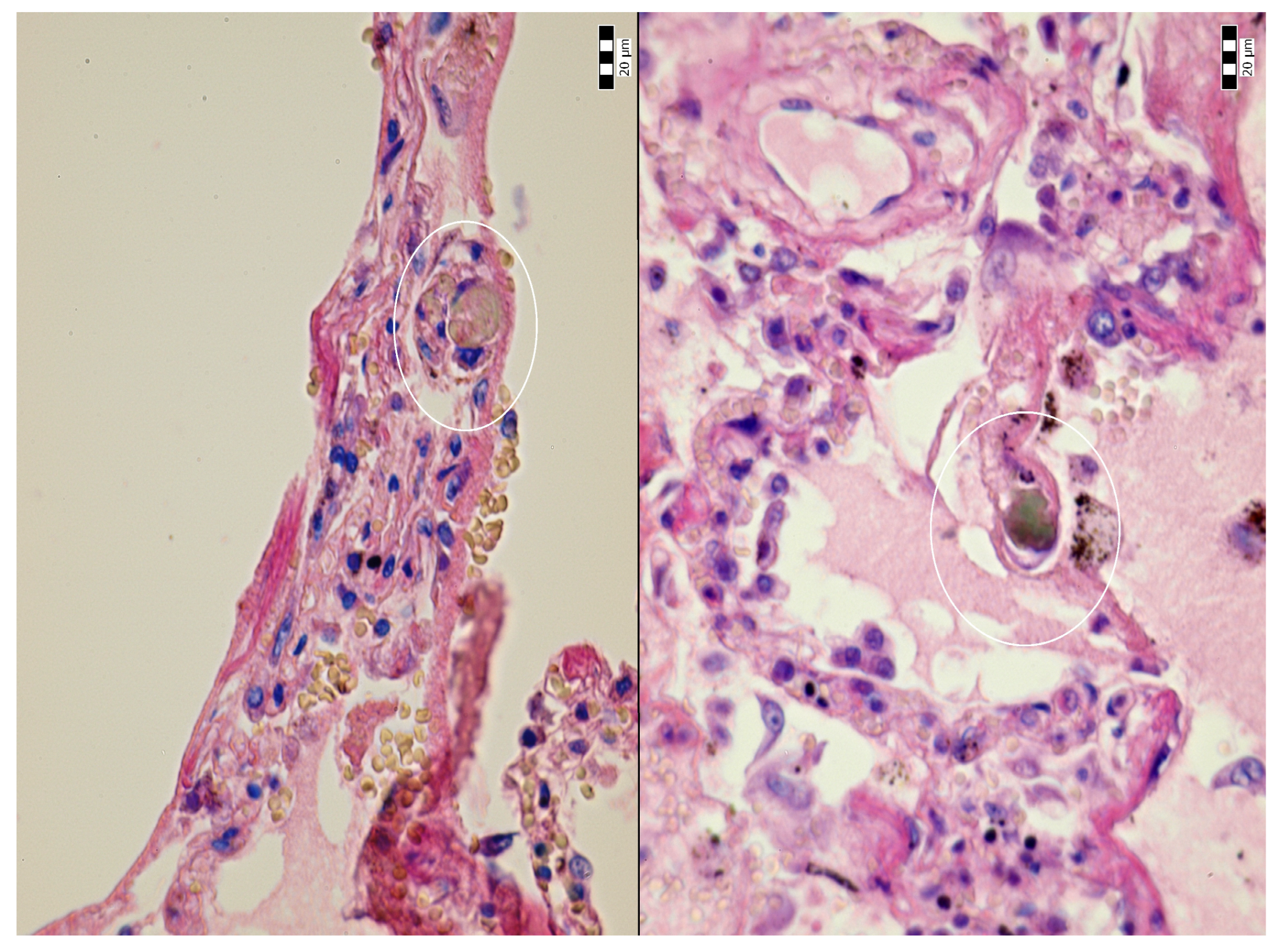
2. Case Description
3. Discussion
4. Conclusions
Author Contributions
Funding
Institutional Review Board Statement
Informed Consent Statement
Data Availability Statement
Acknowledgments
Conflicts of Interest
References
- Behrens, G.; Ferral, H. Transjugular liver biopsy. Semin. Interv. Radiol. 2012, 29, 111–117. [Google Scholar] [CrossRef] [PubMed]
- Funaki, B. Hemorrhage after transjugular liver biopsy requiring embolization. Semin. Interv. Radiol. 2009, 26, 358–360. [Google Scholar] [CrossRef] [PubMed]
- Kalambokis, G.; Manousou, P.; Vibhakorn, S.; Marelli, L.; Cholongitas, E.; Senzolo, M.; Patch, D.; Burroughs, A. Transjugular liver biopsy-indications, adequacy, quality of specimens, and complications-a systematic review. J. Hepatol. 2007, 47, 284–294. [Google Scholar] [CrossRef] [PubMed]
- Beckmann, M.G.; Bahr, M.J.; Hadem, J.; Bredt, M.; Wedemeyer, H.; Schneider, A.S.; Kubicka, S.; Manns, M.P.; Strassburg, C.P.; Wedemeyer, J. Clinical relevance of transjugular liver biopsy in comparison with percutaneous and laparoscopic liver biopsy. Gastroenterol. Res. Pract. 2009, 2009, 947014. [Google Scholar] [CrossRef]
- Roskovicova, V.; Katuchova, J.; Madarova, N.; Lenart, M.; Kicka, M.; Gajdzik, T.; Knazovicky, M.; Veseliny, E.; Radonak, J. Risk factors for post-ERCP complications. Bratisl. Lek. Listy 2024, 125, 544–550. [Google Scholar] [CrossRef]
- Navuluri, R.; Ahmed, O. Complications of transjugular biopsies. Semin. Interv. Radiol. 2015, 32, 42–48. [Google Scholar] [CrossRef][Green Version]
- García-Compean, D.; Cortés, C. Transjugular liver biopsy. An update. Ann. Hepatol. 2004, 3, 100–103. [Google Scholar] [CrossRef]
- Sue, M.J.; Lee, E.W.; Saab, S.; McWilliams, J.P.; Durazo, F.; El-Kabany, M.; Kaldas, F.; Busuttil, R.W.; Kee, S.T. Transjugular liver biopsy: Safe even in patients with severe coagulopathies and multiple biopsies. Clin. Transl. Gastroenterol. 2019, 10, e00063. [Google Scholar] [CrossRef]
- Gurakuqi, G.C.; Stadlbauer, V.; Portugaller, H.R.; Högenauer, C.; Trauner, M.; Stauber, R.E. Fatal hemobilia resulting from an iatrogenic arteriobiliary fistula as a rare complication of transjugular liver biopsy. Eur. J. Gastroenterol. Hepatol. 2008, 20, 83–86. [Google Scholar] [CrossRef]
- Dohan, A.; Guerrache, Y.; Dautry, R.; Boudiaf, M.; Ledref, O.; Sirol, M.; Soyer, P. Major complications due to transjugular liver biopsy: Incidence, management and outcome. Diagn. Interv. Imaging 2015, 96, 571–577. [Google Scholar] [CrossRef]
- Fnon, N.F.; Seleim, H.M.; Abdel-Wahab, M.S.; Sobh, Z.K. Bile pulmonary embolism-related sudden death following an abdominal firearm injury: An autopsy case report and review of literature. Forensic Sci. Med. Pathol. 2021, 17, 493–497. [Google Scholar] [CrossRef] [PubMed]
- Sandblom, P.; Jakobsson, B.; Lindgren, H.; Lunderquist, A. Fatal bilhemia. Surgery 2000, 127, 354–357. [Google Scholar] [CrossRef] [PubMed]
- Brown, C.Y.; Walsh, G.C. Fatal bile embolism following liver biopsy. Ann. Intern. Med. 1952, 36, 1529–1533. [Google Scholar] [CrossRef] [PubMed]
- Kihira, T.; Konishi, T.; Shiraishi, T.; Yatani, R.; Nakano, T. Fatal bile pulmonary embolism following percutaneous transhepatic cholangiodrainage: Case report and literature review. Angiology 1993, 44, 725–730. [Google Scholar] [CrossRef]
- Brozinsky, S.; DeSoto-Lapaix, F.; Jimenez, F.A.; Ostrowitz, A. Bile emboli: A complication of PTD. J. Clin. Gastroenterol. 1981, 3, 135–137. [Google Scholar] [CrossRef]
- Çakır, M.S.; Guzelbey, T.; Kınacı, E.; Sevinc, M.M.; Kilickesmez, O. Delayed bilhemia complicating percutaneous transhepatic biliary drainage: Successful treatment with primary coil embolization. Radiol. Case Rep. 2018, 14, 269–272. [Google Scholar] [CrossRef]
- Balogh, K. Pulmonary bile emboli. Sequelae of iatrogenic trauma. Arch. Pathol. Lab. Med. 1984, 108, 814–816. [Google Scholar]
- Siddiqui, J.; Jaffe, P.E.; Aziz, K.; Forouhar, F.; Sheppard, R.; Covault, J.; Bonkovsky, H.L. Fatal air and bile embolism after percutaneous liver biopsy and ERCP. Gastrointest. Endosc. 2005, 61, 153–157. [Google Scholar] [CrossRef]
- Schmidt-Mutter, C.; Breining, T.; Gangi, A.; Canela, E.; Jourdan, I.; Mutter, D.; Dupeyron, J.P. Fatal bile pulmonary embolism after radiofrequency treatment of a hepatocellular carcinoma. Surg. Endosc. 2003, 17, 2028–2031. [Google Scholar]
- Jusufi, M.S.; Makridis, G.; Feyerabend, B.; Oldhafer, K.J. First report of a late lethal pulmonary biliary embolism following hepatic microwave ablation. Visc. Med. 2021, 37, 550–554. [Google Scholar] [CrossRef]
- Turk, E.; Temir, Z.G.; Karkiner, A.; Memis, A.; Topalak, O.; Evciler, H.; Ucan, B.; Karaca, I. Bilhemia, an unusual complication after blunt liver trauma in a child: Case report and review of the literature. Eur. J. Pediatr. Surg. 2010, 20, 212–214. [Google Scholar] [CrossRef] [PubMed]
- Malgoire, J.Y.; Lardière-Deguelte, S.; Piardi, T.; Amroun, K.; Renard, Y.; de Mestier, L.; Kianmanesh, R. Bilhemia: A rare complication of hepatic blunt trauma, non-interventional Management and present aspect. J. Trauma Treat. 2015, 4, 1000259. [Google Scholar]
- Knapik, M.; Okoń, K.; Ulatowska-Białas, M. Fatal pulmonary bile embolism associated with acute pancreatitis—A case report and review of the literature. Pol. J. Pathol. 2024, 75, 54–57. [Google Scholar] [CrossRef] [PubMed]
- Zhang, M.; Valentino, M.A. Bilhemia: A rare complication of transjugular intraheptic portosytemic shunt. ACG Case Rep. J. 2015, 3, 60–62. [Google Scholar] [CrossRef]
- Breznik, S.; Slanič, A.; Ivanecz, A.; Lučev, J. Bilhemia after percutaneous liver tumor core biopsy with the percutaneous embolization of bilio-venous fistula with coils and onyx. Cureus 2024, 16, e61414. [Google Scholar] [CrossRef]
- Asad, S.F.; Singh, S.; Ahmad, A.; Khan, N.U.; Hadi, S.M. Prooxidant and antioxidant activities of bilirubin and its metabolic precursor biliverdin: A structure-activity study. Chem. Biol. Interact. 2001, 137, 59–74. [Google Scholar] [CrossRef]
- Zheng, Z.; Chang, Z.; Chen, Y.; Li, J.; Huang, T.; Huang, Y.; Fan, Z.; Gao, J. Total bilirubin is associated with all-cause mortality in patients with acute respiratory distress syndrome: A retrospective study. Ann. Transl. Med. 2022, 10, 1160. [Google Scholar] [CrossRef]
- Zhai, R.; Sheu, C.C.; Su, L.; Gong, M.N.; Tejera, P.; Chen, F.; Wang, Z.; Convery, M.P.; Thompson, B.T.; Christiani, D.C. Serum bilirubin levels on ICU admission are associated with ARDS development and mortality in sepsis. Thorax 2009, 64, 784–790. [Google Scholar] [CrossRef]
- Lee, M.; Jang, M.; Jo, J.; Yu, B.; Lee, G.; Lee, J.; Lee, S.; Jeon, Y.; Choi, K. Hyperbilirubinemia as a risk factor for mortality and morbidity in trauma patients. J. Clin. Med. 2023, 12, 4203. [Google Scholar] [CrossRef]
- Herrero, R.; Sánchez, G.; Asensio, I.; López, E.; Ferruelo, A.; Vaquero, J.; Moreno, L.; de Lorenzo, A.; Bañares, R.; Lorente, J.A. Liver-lung interactions in acute respiratory distress syndrome. Intensive Care Med. Exp. 2020, 8, 48. [Google Scholar] [CrossRef]
- Vella, F.S.; Simone, B.; Giannelli, G.; Pesolo, M.; Ingravallo, G.; Gentile, A.; Antonaci, S. Case of multiple myeloma mimicking an infectious disease with fever, intrahepatic cholestasis, renal failure, and pulmonary insufficiency. Am. J. Hematol. 2003, 72, 38–42. [Google Scholar] [CrossRef] [PubMed]
- Meijer, W.G.; Van Marwijk Kooy, M.; Laddé, B.E. A patient with multiple myeloma and respiratory insufficiency due to accumulation of paraprotein in the alveolar space. Br. J. Haematol. 1994, 87, 663–665. [Google Scholar] [CrossRef] [PubMed]
- Xie, Z.; Ghosh, C.C.; Patel, R.; Iwaki, S.; Gaskins, D.; Nelson, C.; Jones, N.; Greipp, P.R.; Parikh, S.M.; Druey, K.M. Vascular endothelial hyperpermeability induces the clinical symptoms of Clarkson disease (the systemic capillary leak syndrome). Blood 2012, 119, 4321–4332. [Google Scholar] [CrossRef] [PubMed]
- Zhang, W.; Ewan, P.W.; Lachmann, P.J. The paraproteins in systemic capillary leak syndrome. Clin. Exp. Immunol. 1993, 93, 424–429. [Google Scholar] [CrossRef]
- Yu, P.; Zhang, J.; Tian, W.; Kang, Y. Confirmed Cryoglobulinemia and Hyperviscosity Syndrome Secondary to Multiple Myeloma-IgA Kappa from Routine Blood Test: A Case Report. Clin. Lab. 2020, 66, 1145–1148. [Google Scholar] [CrossRef]









Disclaimer/Publisher’s Note: The statements, opinions and data contained in all publications are solely those of the individual author(s) and contributor(s) and not of MDPI and/or the editor(s). MDPI and/or the editor(s) disclaim responsibility for any injury to people or property resulting from any ideas, methods, instructions or products referred to in the content. |
© 2025 by the authors. Licensee MDPI, Basel, Switzerland. This article is an open access article distributed under the terms and conditions of the Creative Commons Attribution (CC BY) license (https://creativecommons.org/licenses/by/4.0/).
Share and Cite
Farkašová Iannaccone, S.; Dražilová, S.; Matěj, R.; Takáčová, M.; Bohuš, P.; Jarčuška, P.; Šmirjáková, A.; Ginelliová, A.; Fröhlichová, L.; Pataky, Š.; et al. Alveolar Bile and Light Chain Immunoglobulin Depositions as an Unusual Complication of Transjugular Liver Biopsy Resulting in Bilhemia in a Patient with Multiple Myeloma. J. Clin. Med. 2025, 14, 1871. https://doi.org/10.3390/jcm14061871
Farkašová Iannaccone S, Dražilová S, Matěj R, Takáčová M, Bohuš P, Jarčuška P, Šmirjáková A, Ginelliová A, Fröhlichová L, Pataky Š, et al. Alveolar Bile and Light Chain Immunoglobulin Depositions as an Unusual Complication of Transjugular Liver Biopsy Resulting in Bilhemia in a Patient with Multiple Myeloma. Journal of Clinical Medicine. 2025; 14(6):1871. https://doi.org/10.3390/jcm14061871
Chicago/Turabian StyleFarkašová Iannaccone, Silvia, Sylvia Dražilová, Radoslav Matěj, Miroslava Takáčová, Peter Bohuš, Peter Jarčuška, Adriána Šmirjáková, Alžbeta Ginelliová, Lucia Fröhlichová, Štefan Pataky, and et al. 2025. "Alveolar Bile and Light Chain Immunoglobulin Depositions as an Unusual Complication of Transjugular Liver Biopsy Resulting in Bilhemia in a Patient with Multiple Myeloma" Journal of Clinical Medicine 14, no. 6: 1871. https://doi.org/10.3390/jcm14061871
APA StyleFarkašová Iannaccone, S., Dražilová, S., Matěj, R., Takáčová, M., Bohuš, P., Jarčuška, P., Šmirjáková, A., Ginelliová, A., Fröhlichová, L., Pataky, Š., Kička, M., Szamosi, Z., & Farkaš, D. (2025). Alveolar Bile and Light Chain Immunoglobulin Depositions as an Unusual Complication of Transjugular Liver Biopsy Resulting in Bilhemia in a Patient with Multiple Myeloma. Journal of Clinical Medicine, 14(6), 1871. https://doi.org/10.3390/jcm14061871

