Minimally Invasive and Navigation-Assisted Fracture Stabilization Following Traumatic Spinopelvic Dissociation
Abstract
1. Introduction
2. Anatomical Considerations and Surgical Indications
3. Natural History of Spinopelvic Dissociation
4. Evolution of Open Surgery to Minimally Invasive Techniques for Lumbopelvic Fixation
5. Techniques and Considerations in Spinopelvic Fixation: Sequence, Reduction, and Avoiding Complications
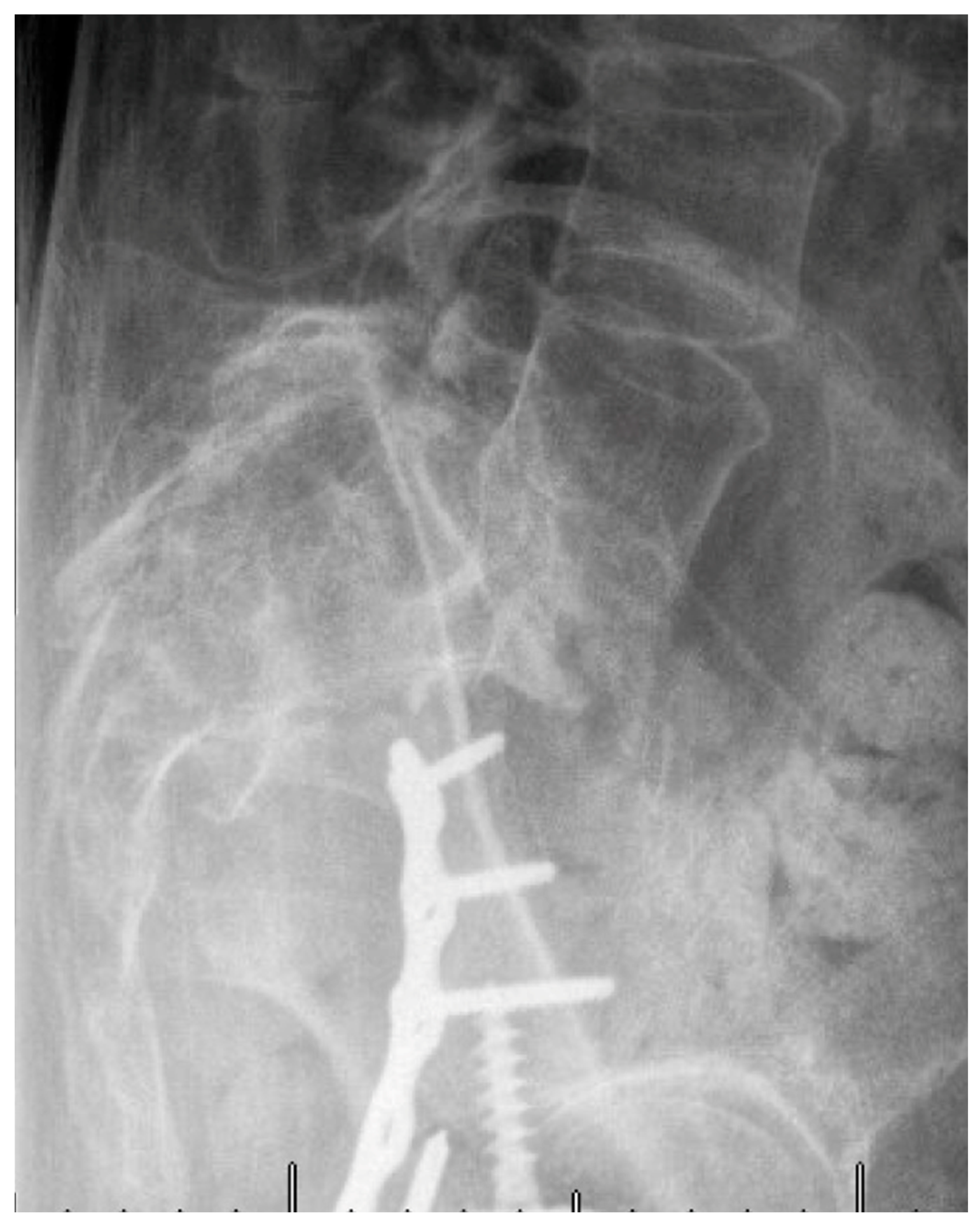
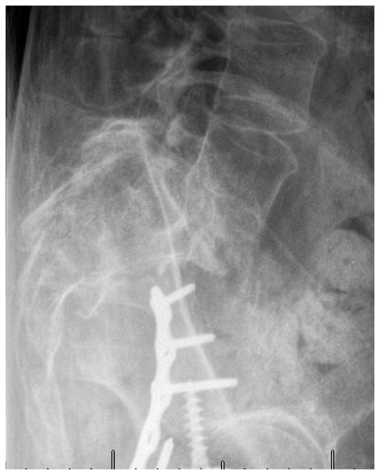
6. Spinopelvic Fixation Percutaneous Technique
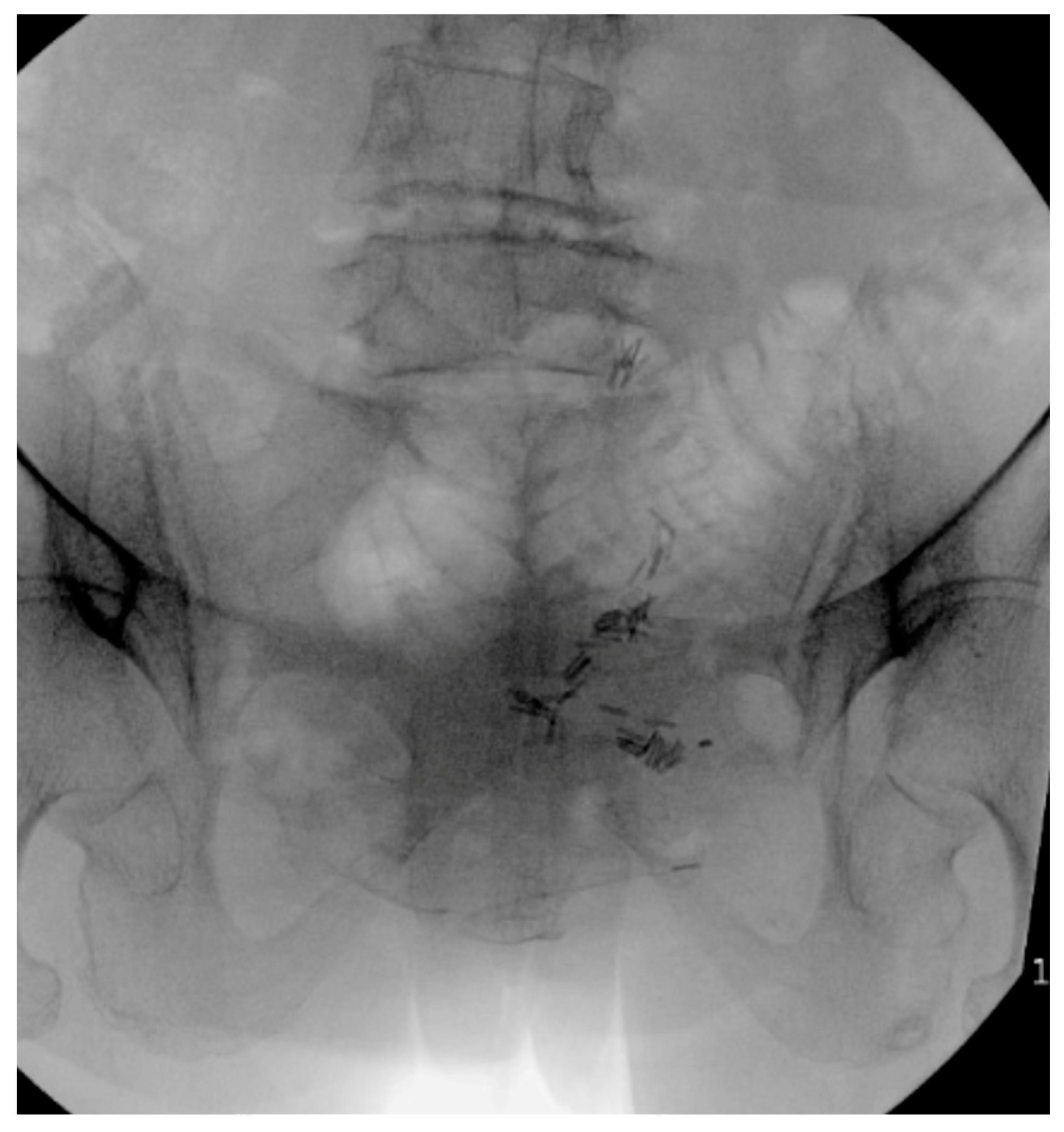
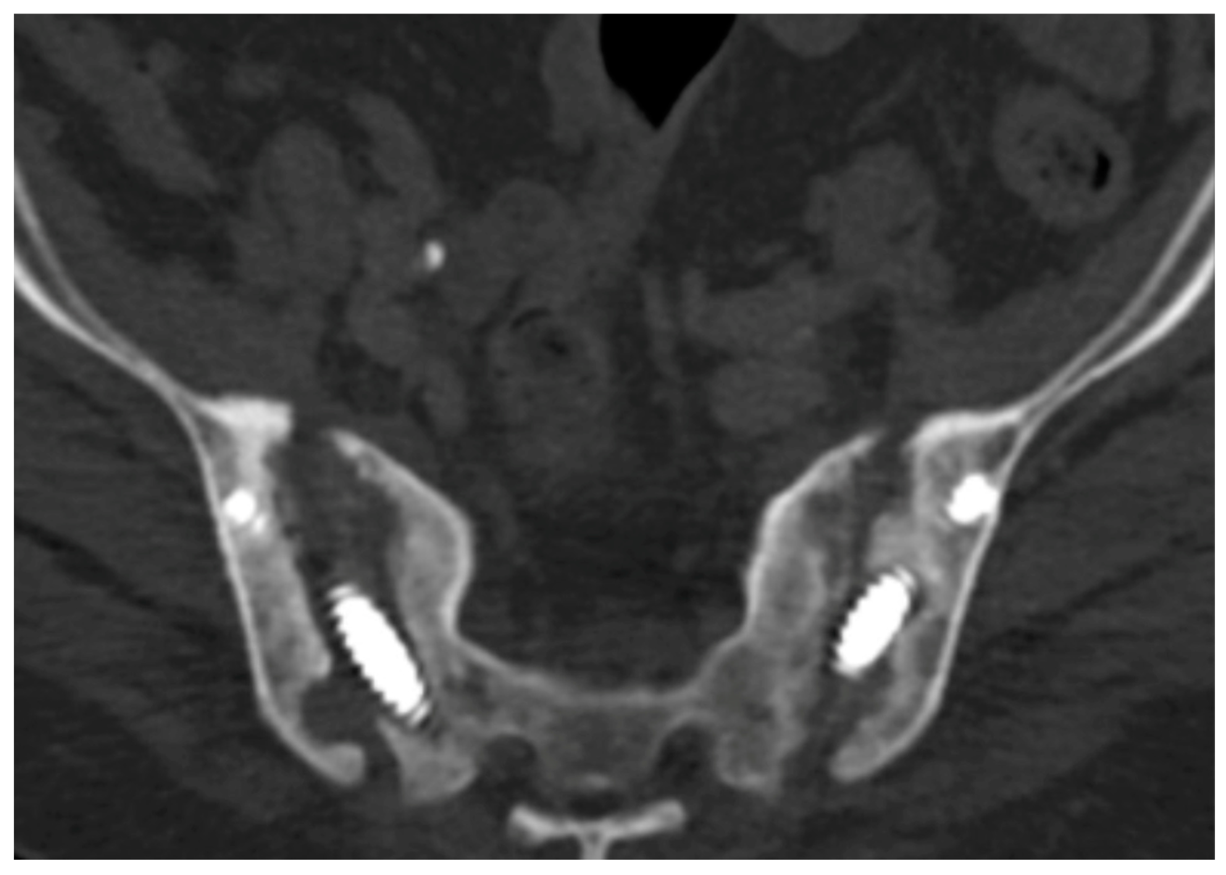
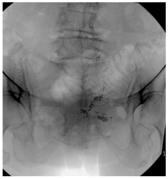
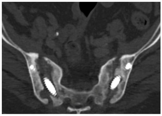
7. Tran-Sacral Percutaneous Technique
8. Discussion
9. Conclusions
Author Contributions
Funding
Institutional Review Board Statement
Informed Consent Statement
Data Availability Statement
Conflicts of Interest
Abbreviations
| MIS | Minimally Invasive Surgery |
| PSIS | Posterior Superior Iliac Spine |
| S2AI | S2-Alar-Iliac |
| SI | Sacroiliac |
| IRB | Institutional Review Board |
References
- Petryla, G.; Bobina, R.; Uvarovas, V.; Kurtinaitis, J.; Sveikata, T.; Ryliškis, S.; Kvederas, G.; Šatkauskas, I. Functional outcomes and quality of life after surgical treatment of spinopelvic dissociation: A case series with one-year follow-up. BMC Musculoskelet. Disord. 2021, 22, 795. [Google Scholar] [CrossRef] [PubMed]
- Pulido, L.C.; Meyer, M.; Reinhard, J.; Kappenschneider, T.; Grifka, J.; Weber, M. Hospital frailty risk score predicts adverse events in spine surgery. Eur. Spine J. 2022, 31, 1621–1629. [Google Scholar] [CrossRef] [PubMed]
- Chan, V.; Wilson, J.R.F.; Ravinsky, R.; Badhiwala, H.J.; Jiang, F.; Anderson, M.; Yee, A.; Wilson, R.J.; Fehlings, G.M. Frailty adversely affects outcomes of patients undergoing spine surgery: A systematic review. Spine J. 2021, 21, 988–1000. [Google Scholar] [CrossRef]
- Baek, W.; Park, S.Y.; Kim, Y. Impact of frailty on the outcomes of patients undergoing degenerative spine surgery: A systematic review and meta-analysis. BMC Geriatr. 2023, 23, 771. [Google Scholar] [CrossRef] [PubMed]
- Veronesi, F.; Borsari, V.; Martini, L.; Visani, A.; Gasbarrini, A.; Brodano, G.B.; Fini, M. The impact of frailty on spine surgery: Systematic review on 10 years clinical studies. Aging. Dis. 2021, 12, 625–645. [Google Scholar] [CrossRef] [PubMed]
- Mazur, M.D.; Ravindra, V.M.; Schmidt, M.H.; Mazur, M.D.; Ravindra, V.M.; Schmidt, M.H.; Brodke, D.S.; Lawrence, B.D.; Riva-Cambrin, J.; Dailey, A.T. Unplanned reoperation after lumbopelvic fixation with S-2 alar-iliac screws or iliac bolts. J. Neurosurg. Spine 2015, 23, 67–76. [Google Scholar] [CrossRef]
- Tsai, Y.T.; Chou, Y.C.; Wu, C.C.; Yeh, T.T. Traditional versus Minimally Invasive Spinopelvic Fixation for Sacral Fracture Treatment in Vertically Unstable Pelvic Fractures. J. Pers. Med. 2022, 12, 262. [Google Scholar] [CrossRef] [PubMed]
- Hathi, K.; Bigney, E.; Richardson, E.; Alugo, T.; El-Mughayyar, D.; Vandewint, A.; Manson, N.; Abraham, E.; Small, C.; Thomas, K.; et al. Minimally invasive vs. open surgery for lumbar spinal stenosis in patients with diabetes—A canadian spine outcomes and research network study. Glob. Spine J. 2023, 13, 1602–1611. [Google Scholar] [CrossRef]
- Pearson, J.M.; Niemeier, T.E.; McGwin, G.; Rajaram Manoharan, S. Spinopelvic dissociation: Comparison of outcomes of percutaneous versus open fixation strategies. Adv. Orthop. 2018, 2018, 5023908. [Google Scholar] [CrossRef]
- Chou, D.; Mundis, G.; Wang, M.; Fu, M.K.; Shaffrey, C.; Okonkwo, D.; Kanter, A.; Eastlack, R.; Nguyen, S.; Deviren, V.; et al. Minimally invasive surgery for mild-to-moderate adult spinal deformities: Impact on intensive care unit and hospital stay. World Neurosurg. 2019, 127, e649–e655. [Google Scholar] [CrossRef] [PubMed]
- Lee, L.; Idris, Z.; Beng, T.; Young, T.; Chek, W.; Abdullah, J.; Hieng, W. Outcomes of minimally invasive surgery compared to open posterior lumbar instrumentation and fusion. Asian J. Neurosurg. 2017, 12, 620–637. [Google Scholar] [CrossRef] [PubMed]
- Esmende, S.M.; Shah, K.N.; Daniels, A.H. Spinopelvic fixation. J. Am. Acad. Orthop. Surg. 2018, 26, 396–401. [Google Scholar] [CrossRef] [PubMed]
- Kaiser, S.P.; Gardner, M.J.; Liu, J.; Routt, M.L.C.; Morshed, S. Anatomic determinants of sacral dysmorphism and implications for safe iliosacral screw placement. J. Bone Jt. Surg. 2014, 96, e120. [Google Scholar] [CrossRef] [PubMed]
- Woods, D.; Koerner, J.; Strage, K.; Chu, X.; Simon, V.; Hadeed, M.; Heare, A.; Parry, J.; Mauffrey, C. Defining sacral dysmorphism: What size corridor precludes transsacral screw placement. J. Orthop. Trauma 2022, 36, 498–502. [Google Scholar] [CrossRef]
- Matityahu, A.; Kahler, D.; Krettek, C.; Stöckle, U.; Grutzner, P.A.; Messmer, P.; Ljungqvist, J.; Gebhard, F. Three-dimensional navigation is more accurate than two-dimensional navigation or conventional fluoroscopy for percutaneous sacroiliac screw fixation in the dysmorphic sacrum: A randomized multicenter study. J. Orthop. Trauma 2014, 28, 707–710. [Google Scholar] [CrossRef] [PubMed]
- Chou, D.T.S.; El-Daly, I.; Ranganathan, A.; Montgomery, A.; Culpan, P.; Bates, P. Spinopelvic dissociation: A retrospective case study and review of treatment controversies. J. Am. Acad. Orthop. Surg. 2018, 26, E302–E312. [Google Scholar] [CrossRef]
- Altwaijri, N.A.; Abdulaziz, M.; Bhat, R.; Ellafi, A.; Alhabdan, K.A. Spinopelvic dissociation case report and literature review. Cureus 2023, 15, e39750. [Google Scholar] [CrossRef] [PubMed]
- Aljinović, J.; Barun, B.; Poljičanin, A.; Kero, D.; Matijaca, M.; Dujmović, D.; Marinović, I. The odds of one-year mortality in bedridden geriatric patients discharged from acute rehabilitation ward are increased eightfold if the patients have three or more complications. J. Clin. Med. 2024, 13, 537. [Google Scholar] [CrossRef] [PubMed]
- Tsujimoto, T.; Kanayama, M.; Suda, K.; Oha, F.; Komatsu, M.; Shimamura, Y.; Tanaka, M.; Ukeba, D.; Hasegawa, Y.; Hashimoto, T.; et al. Perioperative complications of open spine surgery in older adults over 90 years of age. Spine Surg. Relat. Res. 2022, 6, 664–670. [Google Scholar] [CrossRef]
- Liu, Z.; Xu, G.; Xu, L.; Zhang, Y.; Huang, Y. Perioperative cardiac complications in patients over 80 years of age with coronary artery disease undergoing noncardiac surgery: The incidence and risk factors. Clin. Interv. Aging. 2020, 15, 1181–1191. [Google Scholar] [CrossRef] [PubMed]
- Welch, C.; McCluskey, L.; Wilson, D.; Chapman, E.G.; Jackson, A.T.; Treml, J.; Davis, D.; Cunningham, E.; Copeland, C.; Quinn, T.; et al. Delirium is prevalent in older hospital inpatients and associated with adverse outcomes: Results of a prospective multi-centre study on world delirium awareness day. BMC Med. 2019, 17, 229. [Google Scholar] [CrossRef]
- Shabtai, L.; Andras, L.M.; Portman, M.; Shabtai, L.; Andras, L.M.; Portman, M.; Harris, L.R.; Choi, P.D.; Tolo, V.T.; Skaggs, D.L. Sacral alar iliac (SAI) screws fail 75% less frequently than iliac screws in neuromuscular scoliosis. J. Pediatr. Orthop. 2017, 37, e470–e475. [Google Scholar] [CrossRef] [PubMed]
- DePasse, J.M.; Valdes, M.; Palumbo, M.A.; Daniels, A.H.; Eberson, C.P. S-1 alar/iliac screw technique for spinopelvic fixation. J. Neurosurg. Spine. 2018, 28, 543–547. [Google Scholar] [CrossRef] [PubMed]
- Luo, Y.; Li, Y.; He, L.; Yi, C. S2-alar-iliac screw fixation versus iliac screw fixation in the treatment of sacral fractures. J. Investig. Surg. 2022, 35, 1224–1230. [Google Scholar] [CrossRef] [PubMed]
- Godolias, P.; Plümer, J.; Cibura, C.; Dudda, M.; Schildhauer, T.A.; Chapman, J.R. Posterior pelvic ring injuries, lumbosacral junction instabilities and stabilization techniques for spinopelvic dissociation: A narrative review. Arch. Orthop. Trauma. Surg. 2024, 144, 1627–1635. [Google Scholar] [CrossRef] [PubMed]
- Saiz, A.M.; Kellam, P.J.; Amin, A.; Arambula, Z.; Rashiwala, A.; Gary, L.J.; Warner, J.S.; Routt, M.; Eastman, G.J. Percutaneous sacral screw fixation alone sufficient for mildly displaced U-type sacral fractures with preserved osseous fixation pathways. Eur. J. Orthop. Surg. Traumatol. 2024, 34, 3523–3527. [Google Scholar] [CrossRef] [PubMed]
- Gardner, M.J.; Routt, M.L.C. Transiliac-transsacral screws for posterior pelvic stabilization. J. Orthop. Trauma 2011, 25, 378–384. [Google Scholar] [CrossRef] [PubMed]
- Ziran, N.; Collinge, C.A.; Smith, W.; Matta, J.M. Trans-sacral screw fixation of posterior pelvic ring injuries: Review and expert opinion. Patient Saf. Surg. 2022, 16, 24. [Google Scholar] [CrossRef] [PubMed]
- Schildhauer, T.A.; Bellabarba, C.; Nork, S.E.; Barei, D.P.; Routt, M.L.C.; Chapman, J.R. Decompression and lumbopelvic fixation for sacral fracture-dislocations with spino-pelvic dissociation. J. Orthop. Trauma 2006, 20, 447–457. [Google Scholar] [CrossRef]
- Patel, A.; Runner, R.P.; Bellamy, J.T.; Rhee, J.M. A reproducible and reliable localization technique for lumbar spine surgery that minimizes unintended-level exposure and wrong-level surgery. Spine J. 2019, 19, 773–780. [Google Scholar] [CrossRef] [PubMed]
- Yu, T.; Jiao, J.H.; Wang, Y.; Wang, Q.Y.; Jiang, W.B.; Wang, Z.H.; Wu, M.F. Robot-assisted versus navigation-assisted screw placement in spinal vertebrae. Int. Orthop. 2023, 47, 527–532. [Google Scholar] [CrossRef]
- Molliqaj, G.; Schatlo, B.; Alaid, A.; Solomiichuk, V.; Rohde, V.; Schaller, K.; Tessitore, E. Accuracy of robot-guided versus freehand fluoroscopy-assisted pedicle screw insertion in thoracolumbar spinal surgery. Neurosurg. Focus 2017, 42, E14. [Google Scholar] [CrossRef]
- Katsevman, G.A.; Spencer, R.D.; Daffner, S.D.; Bhatia, S.; Marsh, A.R.; France, C.J.; Cui, S.; Dekeseredy, P.; Sedney, L.C. Robotic-navigated percutaneous pedicle screw placement has less facet joint violation than fluoroscopy-guided percutaneous screws. World Neurosurg. 2021, 151, e731–e737. [Google Scholar] [CrossRef] [PubMed]
- Elder, B.D.; Lo, S.F.L.; Holmes, C.; Goodwin, R.C.; Kosztowski, A.T.; Lina, A.I.; Locke, E.J.; Witham, F.T. The biomechanics of pedicle screw augmentation with cement. Spine J. 2015, 15, 1432–1445. [Google Scholar] [CrossRef] [PubMed]
- Liu, Z.-j.; Hu, Y.-c.; Tian, W.; Jin, X.; Qi, H.-t.; Sun, Y.-x.; Jia, J. Robot-aided minimally invasive lumbopelvic fixation in treatment of traumatic spinopelvic dissociation. Orthop. Surg. 2021, 13, 563–572. [Google Scholar] [CrossRef] [PubMed]
- Umegaki, H. Hospital-associated complications in frail older adults. Nagoya J. Med. Sci. 2024, 86, 181–188. [Google Scholar] [CrossRef]
- Picano, E.; Piccaluga, E.; Padovani, R.; Traino, C.A.; Andreassi, M.G.; Guagliumi, G. Risks related to fluoroscopy radiation associated with electrophysiology procedures. J. Atr. Fibrillation 2014, 7, 1044. [Google Scholar] [PubMed]
- Shillingford, J.N.; Laratta, J.L.; Park, P.J.; Lombardi, J.M.; Tuchman, A.; Saifi, C.; Lehman, R.A., Jr.; Lenke, L.G. Human versus robot: A propensity-matched analysis of the accuracy of free hand versus robotic guidance for placement of S2 alar-iliac (S2AI) screws. Spine 2018, 43, E1297–E1304. [Google Scholar] [CrossRef]
- Sclafani, J.A.; Kim, C.W. Complications associated with the initial learning curve of minimally invasive spine surgery: A systematic review. Clin. Orthop. Relat. Research 2014, 472, 1711–1717. [Google Scholar] [CrossRef]
- Ezeokoli, E.U.; Pfennig, M.; John, J.; Gupta, R.; Khalil, J.G.; Park, D.K. Index surgery cost of fluoroscopic freehand versus robotic-assisted pedicle screw placement in lumbar instrumentation: An age, sex, and approach-matched cohort comparison. J. Am. Acad. Orthop. Surg. Glob. Res. Rev. 2022, 6, e22. [Google Scholar] [CrossRef]
- Ramanathan, S.; Rapp, A.; Perez-Cruet, M.; Fahim, D.K. Long-term reoperation rates after open versus minimally invasive spine surgery for degenerative lumbar disease: Five year follow-up of 2130 patients. World Neurosurg. 2023, 171, e126–e136. [Google Scholar] [CrossRef] [PubMed]
- Heemskerk, J.L.; Oluwadara, A.O.; Clifton, W.; Quiñones-Hinojosa, A.; Abode-Iyamah, K.O. Long-term clinical outcome of minimally invasive versus open single-level transforaminal lumbar interbody fusion for degenerative lumbar diseases: A meta-analysis. Spine J. 2021, 21, 2049–2065. [Google Scholar] [CrossRef] [PubMed]










Disclaimer/Publisher’s Note: The statements, opinions and data contained in all publications are solely those of the individual author(s) and contributor(s) and not of MDPI and/or the editor(s). MDPI and/or the editor(s) disclaim responsibility for any injury to people or property resulting from any ideas, methods, instructions or products referred to in the content. |
© 2025 by the authors. Licensee MDPI, Basel, Switzerland. This article is an open access article distributed under the terms and conditions of the Creative Commons Attribution (CC BY) license (https://creativecommons.org/licenses/by/4.0/).
Share and Cite
Girgis, M.Y.; Tang, A.; Pheasant, M.S.; Koury, K.L.; Jung, M.T.; Chen, T. Minimally Invasive and Navigation-Assisted Fracture Stabilization Following Traumatic Spinopelvic Dissociation. J. Clin. Med. 2025, 14, 1289. https://doi.org/10.3390/jcm14041289
Girgis MY, Tang A, Pheasant MS, Koury KL, Jung MT, Chen T. Minimally Invasive and Navigation-Assisted Fracture Stabilization Following Traumatic Spinopelvic Dissociation. Journal of Clinical Medicine. 2025; 14(4):1289. https://doi.org/10.3390/jcm14041289
Chicago/Turabian StyleGirgis, Mina Y., Alex Tang, Michael S. Pheasant, Kenneth L. Koury, Michael T. Jung, and Tan Chen. 2025. "Minimally Invasive and Navigation-Assisted Fracture Stabilization Following Traumatic Spinopelvic Dissociation" Journal of Clinical Medicine 14, no. 4: 1289. https://doi.org/10.3390/jcm14041289
APA StyleGirgis, M. Y., Tang, A., Pheasant, M. S., Koury, K. L., Jung, M. T., & Chen, T. (2025). Minimally Invasive and Navigation-Assisted Fracture Stabilization Following Traumatic Spinopelvic Dissociation. Journal of Clinical Medicine, 14(4), 1289. https://doi.org/10.3390/jcm14041289

