Comprehensive Management of a Giant Left Frontal AVM Coexisting with a Bilobed PComA Aneurysm: A Case Report Highlighting Multidisciplinary Strategies and Advanced Neurosurgical Techniques
Abstract
1. Introduction
2. Case Report
2.1. Neurological Examination on Admission
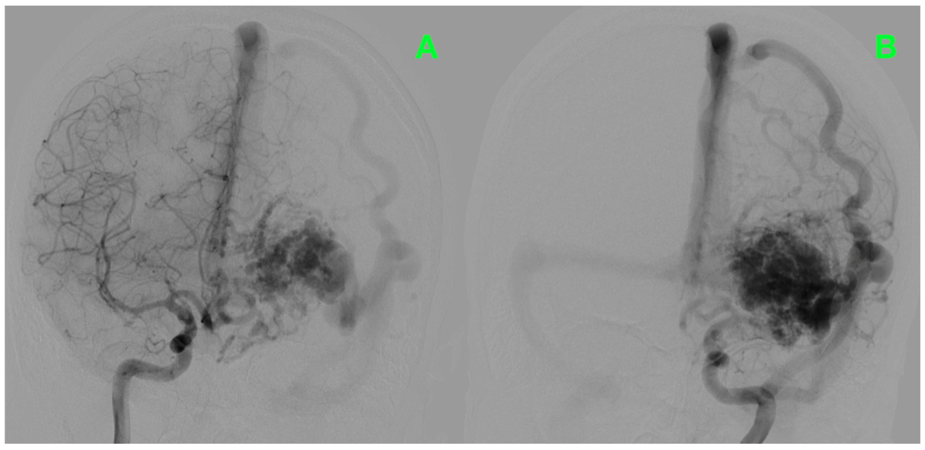
2.2. Diagnostic Workup
2.3. Clinical Impression and Decision Making
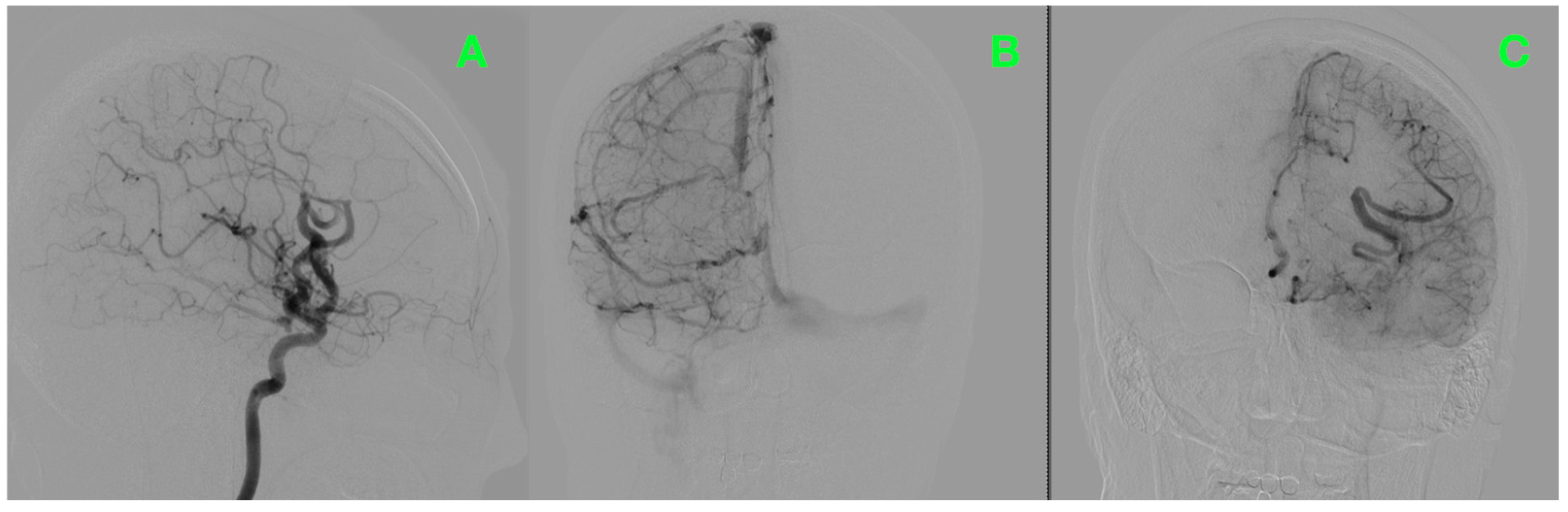
2.4. Surgical Intervention
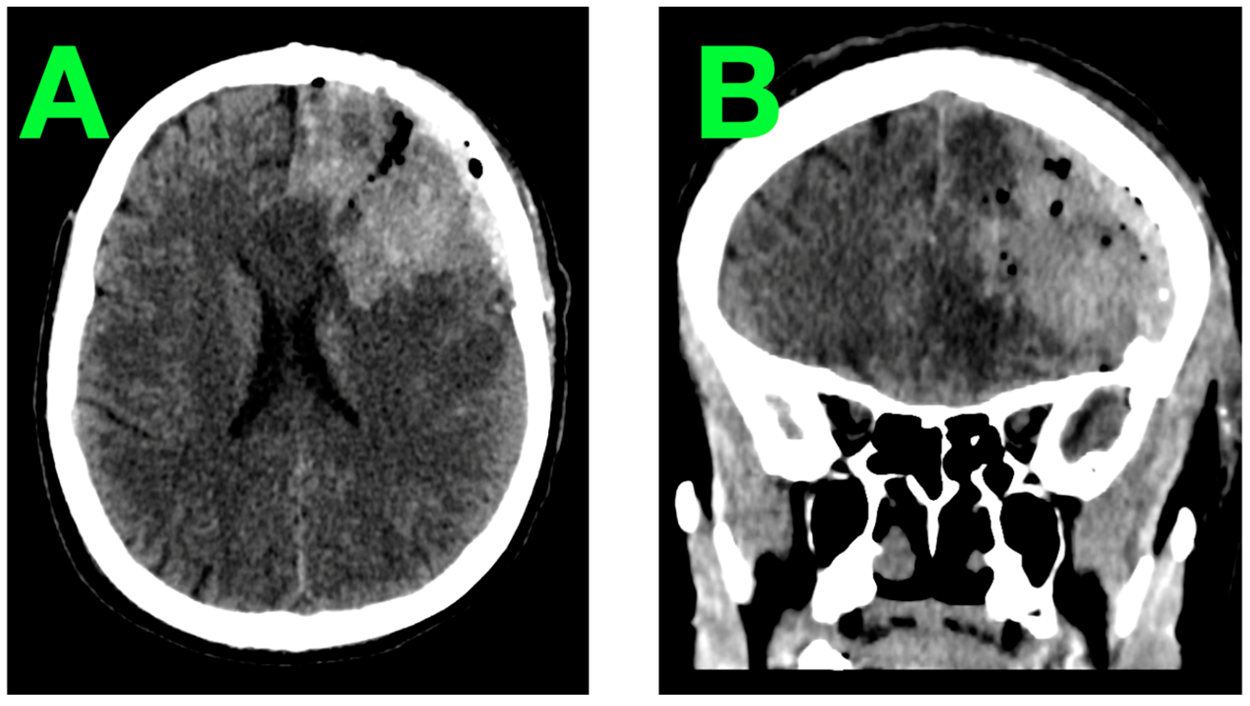
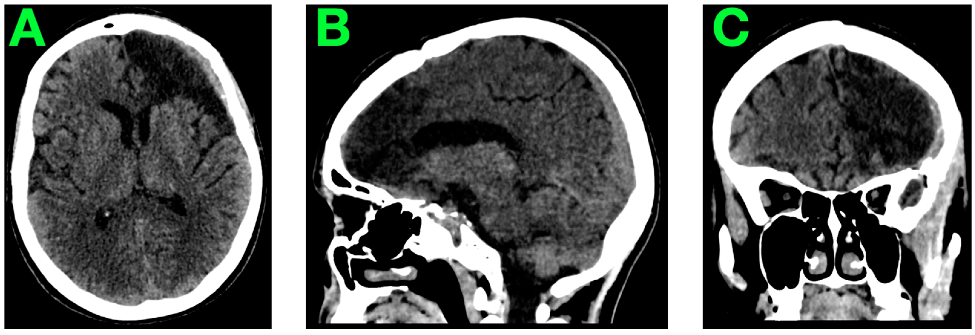
2.5. Postoperative Course
2.6. Initial Imaging and Clinical Monitoring
3. Discussion
3.1. Epidemiology and Pathophysiological Context
3.2. Advances in Imaging and Their Role in Management
3.3. Treatment Modalities and Decision Making
3.4. Postoperative Outcomes and Long-Term Considerations
3.5. Ethical Considerations and Risk Stratification
3.6. Future Directions
4. Conclusions
Author Contributions
Funding
Institutional Review Board Statement
Informed Consent Statement
Data Availability Statement
Conflicts of Interest
References
- Nico, E.; Hossa, J.; McGuire, L.S.; Alaraj, A. Rupture-Risk Stratifying Patients with Cerebral Arteriovenous Malformations Using Quantitative Hemodynamic Flow Measurements. World Neurosurg. 2023, 179, 68–76. [Google Scholar] [CrossRef]
- Samaniego, E.A.; Dabus, G.; Meyers, P.M.; Kan, P.T.; Frösen, J.; Lanzino, G.; Welch, B.G.; Volovici, V.; Gonzalez, F.; Fifi, J.; et al. Most Promising Approaches to Improve Brain AVM Management: ARISE I Consensus Recommendations. Stroke 2024, 55, 1449–1463. [Google Scholar] [CrossRef]
- Alfter, M.; Albiña-Palmarola, P.; Cimpoca, A.; Díaz-Peregrino, R.; Jans, P.; Ganslandt, O.; Kühne, D.; Henkes, H. Multi-Stage Treatment for Spetzler–Martin Grades III, IV, and V Arteriovenous Malformations: Preoperative Embolization and Microsurgical Resection in a Consecutive Series of 250 Patients. J. Clin. Med. 2023, 12, 5990. [Google Scholar] [CrossRef]
- Askarova, A.E.; Zhurkabayeva, B.D. Hemorrhagic stroke in children. J. Cent. Nerv. Syst. Dis. 2024, 16, 11795735241289913. [Google Scholar] [CrossRef]
- Panagiotopoulos, E.; Stefanou, M.-I.; Magoufis, G.; Safouris, A.; Kargiotis, O.; Psychogios, K.; Vassilopoulou, S.; Theodorou, A.; Chondrogianni, M.; Bakola, E.; et al. Prevalence, diagnosis and management of intracranial atherosclerosis in White populations: A narrative review. Neurol. Res. Pract. 2024, 6, 54. [Google Scholar] [CrossRef]
- Deshmukh, A.S.; Priola, S.M.; Katsanos, A.H.; Scalia, G.; Alves, A.C.; Srivastava, A.; Hawkes, C. The Management of Intracranial Aneurysms: Current Trends and Future Directions. Neurol. Int. 2024, 16, 74–94. [Google Scholar] [CrossRef]
- Chauvet, G.; El Aouni, M.C.; Magro, E.; Sabardu, O.; Ben Salem, D.; Gentric, J.-C.; Ognard, J. Diagnostic Accuracy of Non-Contrast-Enhanced Time-Resolved MR Angiography to Assess Angioarchitectural Classification Features of Brain Arteriovenous Malformations. Diagnostics 2024, 14, 1656. [Google Scholar] [CrossRef]
- de Oliveira Souza, N.V.; Lima, V.M.; Rouchaud, A.; Saleme, S.; Mounayer, C. Transvenous embolization of brain arteriovenous malformations featuring multiple draining veins with 4D-DSA: A case series and technical insights. J. NeuroInterv. Surg. 2025, jnis-2024-022335. [Google Scholar] [CrossRef] [PubMed]
- Renedo, D.; Rivier, C.A.; Koo, A.B.; Sujijantarat, N.; Clocchiatti-Tuozzo, S.; Wu, K.; Torres-Lopez, V.M.; Huo, S.; Gunel, M.; de Havenon, A.; et al. APOE ε4 and Intracerebral Hemorrhage in Patients with Brain Arteriovenous Malformation. JAMA Netw. Open 2024, 7, e2355368. [Google Scholar] [CrossRef] [PubMed]
- Miron, I.; Prună, V.M.; Visarion, D.M.; Petrescu, G.E.D.; Gorgan, R.M. Natural History and Predictors for Hemorrhage in Supratentorial Brain Arteriovenous Malformations. J. Clin. Med. J. Clin. Med. 2024, 13, 3760. [Google Scholar] [CrossRef]
- Huang, P.-W.; Peng, S.-J.; Pan, D.H.-C.; Yang, H.-C.; Tsai, J.-T.; Shiau, C.-Y.; Su, I.-C.; Chen, C.-J.; Wu, H.-M.; Lin, C.-J.; et al. Vascular compactness of unruptured brain arteriovenous malformation predicts risk of hemorrhage after stereotactic radiosurgery. Sci. Rep. 2024, 14, 4011. [Google Scholar] [CrossRef]
- Li, X.; Su, F.; Yuan, Q.; Chen, Y.; Liu, C.-Y.; Fan, Y. Advances in differential diagnosis of cerebrovascular diseases in magnetic resonance imaging: A narrative review. Quant. Imaging Med. Surg. 2023, 13, 2712–2734. [Google Scholar] [CrossRef]
- Li, X.; Xiang, S.; Li, G. Application of artificial intelligence in brain arteriovenous malformations: Angioarchitectures, clinical symptoms and prognosis prediction. Interv. Neuroradiol. 2024, 15910199241238798. [Google Scholar] [CrossRef] [PubMed]
- Huang, C.-W.; Lee, C.-H.; Chung, K.-C.; Tsuei, Y.-S. Feasibility and workflow analysis of IV-DSA-based augmented reality-guided brain arteriovenous malformation resection in a hybrid operating room: I-Flow tailored method. J. NeuroInterv. Surg. 2023. [Google Scholar] [CrossRef]
- Puustinen, S.; Vrzáková, H.; Hyttinen, J.; Rauramaa, T.; Fält, P.; Hauta-Kasari, M.; Bednarik, R.; Koivisto, T.; Rantala, S.; Fraunberg, M.v.U.z.; et al. Hyperspectral Imaging in Brain Tumor Surgery—Evidence of Machine Learning-Based Performance. World Neurosurg. 2023, 175, e614–e635. [Google Scholar] [CrossRef]
- Regmi, M.M.; Li, Y.B.; Wang, Y.; Liu, W.; Dai, Y.; Liu, S.; Ma, K.M.; Pan, L.M.; Gan, J.B.; Liu, H.; et al. Intraoperative fluorescence redefining neurosurgical precision. Int. J. Surg. Lond. Engl. 2024, 111, 998–1013. [Google Scholar] [CrossRef]
- Brunozzi, D.; McGuire, L.S.; Hossa, J.; Atwal, G.; Charbel, F.T.; Alaraj, A. Preoperative embolization of brain arteriovenous malformation and efficacy in intraoperative blood loss reduction: A quantitative study. J. NeuroInterv. Surg. 2024, 16, 541–547. [Google Scholar] [CrossRef]
- Zhang, B.; Qi, J.; Chen, P.; Sun, B.; Ling, Y.; Wu, Q.; Xu, S.; Wu, P.; Shi, H. Deliberately Staged Combined Endovascular Embolization and Subsequent Microsurgery Resection for the Treatment of Cerebral Arteriovenous Malformations. World Neurosurg. 2023, 178, e254–e264. [Google Scholar] [CrossRef]
- Letchuman, V.; Mittal, A.M.; Gupta, H.R.; Ampie, L.; Raper, D.; Armonda, R.A.; Sheehan, J.P.; Kellogg, R.T.; Park, M.S. The Era of Onyx Embolization: A Systematic and Literature Review of Preoperative Embolization Before Stereotactic Radiosurgery for the Management of Cerebral Arteriovenous Malformations. World Neurosurg. 2023, 170, 90–98. [Google Scholar] [CrossRef]
- Pal, A.; Blanzy, J.; Gómez, K.J.R.; Preul, M.C.; Vernon, B.L. Liquid Embolic Agents for Endovascular Embolization: A Review. Gels 2023, 9, 378. [Google Scholar] [CrossRef] [PubMed]
- Lim, J.H.; Kim, M.J. Considerations for the Use of Stereotactic Radiosurgery to Treat Large Arteriovenous Malformations. Biomedicines 2024, 12, 2003. [Google Scholar] [CrossRef] [PubMed]
- Kim, M.J.; Jung, H.H.; Kim, Y.B.; Chang, J.H.; Chang, J.W.; Park, K.Y.; Chang, W.S. Comparison of Single-Session, Neoadjuvant, and Adjuvant Embolization Gamma Knife Radiosurgery for Arteriovenous Malformation. Neurosurgery 2023, 92, 986–997. [Google Scholar] [CrossRef] [PubMed]
- Young, M.; Muram, S.; Enriquez-Marulanda, A.; Pettersson, S.D.; Taussky, P.; Aghdam, N.; Ogilvy, C.S. Embolization Prior to Radiosurgery in Treatment of Arteriovenous Malformations: Defining Radiosurgery Target Dose with Nidal Volume Reduction. World Neurosurg. 2024, 188, e583–e590. [Google Scholar] [CrossRef]
- Ozden, M.; Erdogan, K.; Bozkurt, M. Surgery in Intracerebral Arteriovenous Malformations: The Role of Preoperative Embolization. Turk. Neurosurg. 2023, 33, 1078–1085. [Google Scholar] [CrossRef]
- Cheng, J.; Song, B.; He, L.; Yan, K.; Shen, L.; Hu, K.; Zhen, Y. Hybrid Operating Room for the Treatment of Spetzler-Martin Grade III-V Brain Arteriovenous Malformation: An Institutional Experience. Turk. Neurosurg. 2024, 34, 872–878. [Google Scholar] [CrossRef] [PubMed]
- Wang, Y.; Wei, H.; Wang, Y.; Zhu, C.; Li, R.; Cheng, M. Hemodynamic relationship with angioarchitecture of cerebral arteriovenous malformation and changes after embolization: A pilot study by 4D flow MR. Quant. Imaging Med. Surg. 2024, 14, 8798–8810. [Google Scholar] [CrossRef] [PubMed]
- Iwaki, K.; Arimura, K.; Nishimura, A.; Iihara, K. Decompression surgery for pure arterial malformations in a 15 year old with acute, progressive visual impairment: Illustrative case. J. Neurosurg. Case Lessons 2021, 1, CASE2037. [Google Scholar] [CrossRef] [PubMed]
- Vats, A.; Naik, S.; Bhoi, S.; Mishra, B.; Sahoo, B.; Nayak, M.K. Pure arterial malformation: Reports of two rare cases. J. Neurosci. Rural Pract. 2024, 15, 515–518. [Google Scholar] [CrossRef]
- Etame, A.B.; Bentley, J.N.; Pandey, A.S. Acute expansion of an asymptomatic posterior communicating artery aneurysm resulting in oculomotor nerve palsy. Case Rep. 2013, 2013, bcr2013010134. [Google Scholar] [CrossRef] [PubMed]
- Al-Abdulwahhab, A.H.; Al-Sharydah, A.M.; Al-Suhibani, S.S.; Almulhim, A.S.; Al-Dhafeeri, O.M.; Al-Jubran, S.A. A ruptured posterior communicating artery aneurysm presenting as tentorial and spinal isolated subdural hemorrhage: A case report and literature review. BMC Neurol. 2020, 20, 102. [Google Scholar] [CrossRef]
- Yasuda, T.; Maki, Y.; Ishibashi, R.; Kurosaki, Y.; Chin, M.; Yamagata, S. Distal posterior inferior cerebellar artery aneurysm with cerebellar arteriovenous malformation treated by open surgery: A case report. Chin. Neurosurg. J. 2019, 5, 15. [Google Scholar] [CrossRef] [PubMed]
- Toader, C.; Radoi, M.P.; Ilie, M.-M.; Covache-Busuioc, R.-A.; Buica, V.; Glavan, L.-A.; Covlea, C.-A.; Corlatescu, A.D.; Costin, H.-P.; Crivoi, C.; et al. Clinical Presentations and Treatment Approaches in a Retrospective Analysis of 128 Intracranial Arteriovenous Malformation Cases. Brain Sci. 2024, 14, 1136. [Google Scholar] [CrossRef]







| Reference | Age | Gender | Vascular Anomalies | Presentation | Intervention | Outcome |
|---|---|---|---|---|---|---|
| [27] | 15 | Male | Pure arterial malformation (PAM) of PComA compressing optic tract | Progressive visual field impairment | Microsurgical clipping of PComA | Symptom progression ceased; gradual visual improvement |
| [28] | 16 | Female | PAM involving left PCA and PComA; associated with hippocampal dysplasia | Uncontrolled seizures | Conservative management with anti-seizure medications | Seizure-free at one-year follow-up |
| [29] | 40 | Male | PAM involving right supraclinoid ICA and right pericallosal artery; non-visualization of left ICA | Intermittent headaches; transient aphasia | Conservative management | Symptomatic improvement at four-month follow-up |
| [30] | 60 | Female | Ruptured PComA aneurysm presenting as isolated subdural hematoma | Acute headache; altered consciousness | Surgical clipping of aneurysm | Favorable recovery post-surgery |
| [31] | 35 | Male | Distal PICA aneurysm associated with cerebellar AVM | Sudden onset headache; cerebellar signs | Endovascular coiling of aneurysm; surgical resection of AVM | Successful obliteration of aneurysm and AVM; good recovery |
Disclaimer/Publisher’s Note: The statements, opinions and data contained in all publications are solely those of the individual author(s) and contributor(s) and not of MDPI and/or the editor(s). MDPI and/or the editor(s) disclaim responsibility for any injury to people or property resulting from any ideas, methods, instructions or products referred to in the content. |
© 2025 by the authors. Licensee MDPI, Basel, Switzerland. This article is an open access article distributed under the terms and conditions of the Creative Commons Attribution (CC BY) license (https://creativecommons.org/licenses/by/4.0/).
Share and Cite
Toader, C.; Serban, M.; Covache-Busuioc, R.-A.; Radoi, M.P.; Ciurea, A.V.; Dobrin, N. Comprehensive Management of a Giant Left Frontal AVM Coexisting with a Bilobed PComA Aneurysm: A Case Report Highlighting Multidisciplinary Strategies and Advanced Neurosurgical Techniques. J. Clin. Med. 2025, 14, 1232. https://doi.org/10.3390/jcm14041232
Toader C, Serban M, Covache-Busuioc R-A, Radoi MP, Ciurea AV, Dobrin N. Comprehensive Management of a Giant Left Frontal AVM Coexisting with a Bilobed PComA Aneurysm: A Case Report Highlighting Multidisciplinary Strategies and Advanced Neurosurgical Techniques. Journal of Clinical Medicine. 2025; 14(4):1232. https://doi.org/10.3390/jcm14041232
Chicago/Turabian StyleToader, Corneliu, Matei Serban, Razvan-Adrian Covache-Busuioc, Mugurel Petrinel Radoi, Alexandru Vlad Ciurea, and Nicolaie Dobrin. 2025. "Comprehensive Management of a Giant Left Frontal AVM Coexisting with a Bilobed PComA Aneurysm: A Case Report Highlighting Multidisciplinary Strategies and Advanced Neurosurgical Techniques" Journal of Clinical Medicine 14, no. 4: 1232. https://doi.org/10.3390/jcm14041232
APA StyleToader, C., Serban, M., Covache-Busuioc, R.-A., Radoi, M. P., Ciurea, A. V., & Dobrin, N. (2025). Comprehensive Management of a Giant Left Frontal AVM Coexisting with a Bilobed PComA Aneurysm: A Case Report Highlighting Multidisciplinary Strategies and Advanced Neurosurgical Techniques. Journal of Clinical Medicine, 14(4), 1232. https://doi.org/10.3390/jcm14041232
