Chronic Post-Traumatic Aortic Isthmus Pseudoaneurysm After Conservative Management of Grade II Injury: Why Is Continuous Follow-Up Mandatory?
Abstract
1. Introduction
2. Cases
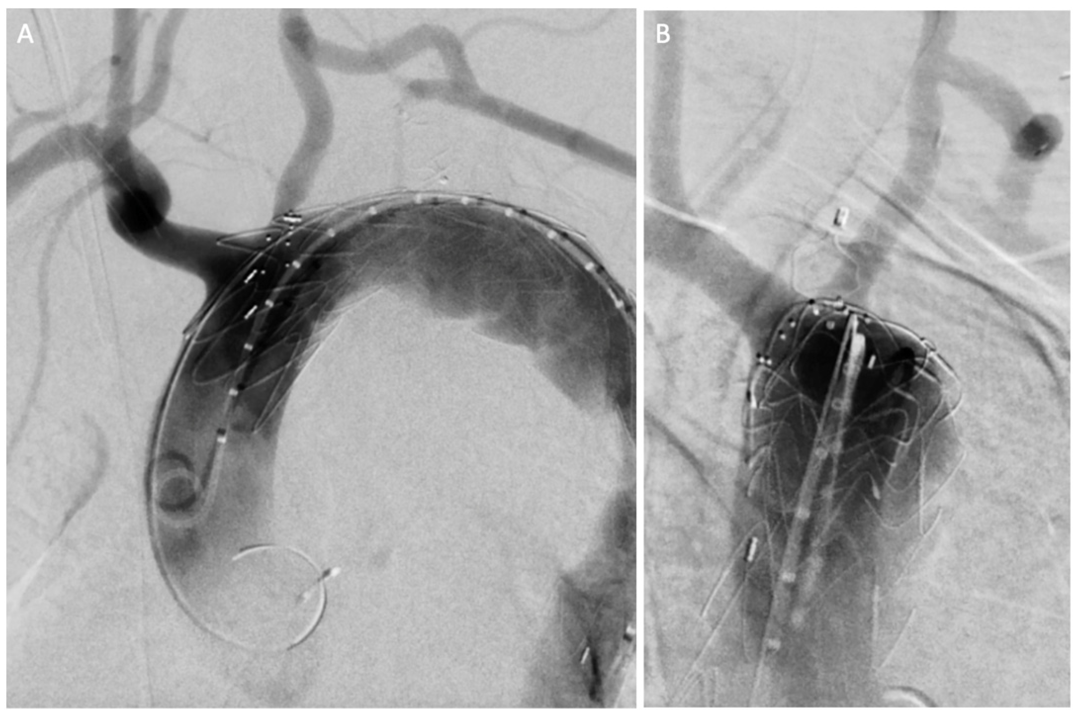
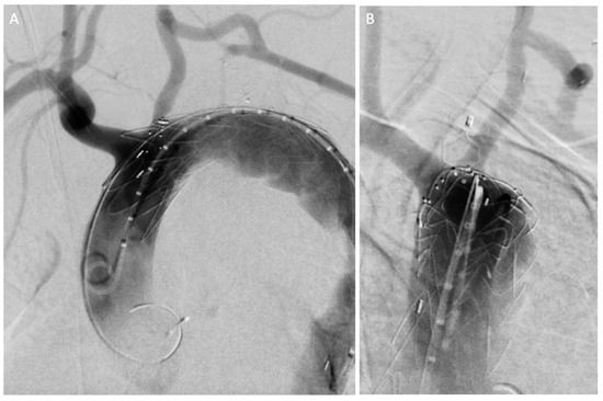
2.1. Case 1
2.2. Case 2
3. Literature Review
| Author | Age (y) | Sex | Location of the Pseudoaneurysm | Symptoms | Interval from BTAI to Pseudoaneurysm Diagnosis | Treatment |
|---|---|---|---|---|---|---|
| Moore EH et al. [6] | 30 | M | Proximal DTA | Asymptomatic (incidentally discovered on routine chest radiography) | 5 years | Open surgery |
| Ferrante SL et al. [7] | 28 | M | Aortic isthmus | NR | 8 years | Open surgery |
| McNamee CJ et al. [8] | 33 | F | Aortic isthmus | Symptomatic (unspecified) | 3 months | Open surgery |
| Albuquerque F et al. [9] | 34 | M | Ascending aorta | Asymptomatic | 12 years | Open surgery |
| Bacharach JM et al. [10] | (1) 31 (2) 27 | (1) F (2) F | (1) Aortic isthmus (2) Distal arch and proximal DTA | (1) Asymptomatic (2) Asymptomatic | (1) 16 years (2) 9 years | (1) NR (2) Conservative |
| Fidvi SA et al. [11] | 48 | M | Proximal DTA | Bilateral lower-extremity cellulitis | 31 years | NR |
| Cartier R et al. [12] | NR | F | Thoracic and abdominal aortic | NR | 10 years | TEVAR |
| Saltman AE et al. [13] | 43 | M | DTA | Chest pain | 15 years | Refused treatment |
| Rousseau H et al. [14] | 14–76 Mean 37 | 8 M, 1 F | Aortic isthmus | NR | 1 month–32 years Mean 10 years | TEVAR |
| Kaminishi Y el al [15] | (1) 40 (2) 57 | (1) M (2) M | Aortic isthmus | (1) not mentioned (2) 3-month history of hoarseness | (1) 24 years (2) 17 years | (1) Open surgery (2) Open surgery |
| Gawenda M et al. [16] | NR | NR | Aortic isthmus | Asymptomatic (incidentally discovered on routine chest radiography) | NR | TEVAR |
| Deng YB et al. [17] | 28 | M | Ascending aorta | Dyspnea and peripheral edema | 1 year | Open surgery |
| Gurkan S et al. [18] | 28 | M | DTA | 5 months persistent coughing | 6 months | Open surgery |
| Bizzarri F et al. [3] | 33 | M | DTA | Back chest pain and cough | 4 years | TEVAR |
| Fatimi SH et al. [19] | 50 | M | Aortic isthmus | 4-month history of non-productive cough | 15 years | Open surgery |
| Marcu CB et al. [20] | 59 | M | Aortic isthmus | New-onset angina pectoris | 30 years | Conservative |
| Ghaffari S et al. [21] | 19 | M | DTA | 4-month history of non-productive cough | 8 months | Open surgery |
| Pozek et al. [5] | 75 | M | DTA | Asymptomatic (incidentally discovered on routine chest radiography) | 50 years | NR |
| Nizet C et al. [22] | 34 | M | Aortic isthmus | Dysphagia | 10 years | Planned debranching procedure + TEVAR, but due to rupture during the procedure, TAR was performed |
| Pourafkari et al. [23] | 52 | F | Ascending aorta | Asymptomatic | 2 years | Open surgery |
| Karangelis D et al. [24] | 48 | M | Aortic isthmus | Asymptomatic (incidentally discovered on routine chest radiography) | 20 years | Open surgery |
| Azizi Z et al. [25] | 29 | F | Aortic arch | Sinus tachycardia, and cough (compressive effect) | 2 years | Open surgery |
| Al-Adawi et al. [26] | (1) 37 (2) 37 (3) 29 | (1) M (2) F (3) M | (1) Proximal DTA (2) Aortic isthmus (3) DTA | (1) Asymptomatic (2) Asymptomatic (3) Asymptomatic | (1) 18 years (2) 9 years (3) 6 years | (1) TEVAR (2) TEVAR (3) Refused treatment |
| Current Case-1 | 48 | M | Aortic arch | Cough | 25 years | Hybrid (ET + TEVAR) |
| Current Case-2 | 46 | M | Aortic arch | Asymptomatic | 21 years | Hybrid (carotid-subclavian bypass + TEVAR) |
4. Discussion
5. Conclusions
6. Limitations
Supplementary Materials
Author Contributions
Funding
Institutional Review Board Statement
Informed Consent Statement
Conflicts of Interest
References
- Andersen, C.A. Functional and survival outcomes in traumatic blunt thoracic aortic injuries: An analysis of the National Trauma Databank. J. Vasc. Surg. 2009, 49, 988–994. [Google Scholar]
- Azizzadeh, A.; Keyhani, K.; Miller, C.C., 3rd; Coogan, S.M.; Safi, H.J.; Estrera, A.L. Blunt traumatic aortic injury: Initial experience with endovascular repair. J. Vasc. Surg. 2009, 49, 1403–1408. [Google Scholar] [CrossRef] [PubMed]
- Bizzarri, F.; Mattia, C.; Ricci, M.; Chirichilli, I.; Santo, C.; Rose, D.; Muzzi, L.; Pugliese, G.; Frati, G.; Sartini, P.; et al. Traumatic aortic arch false aneurysm after blunt chest trauma in a motocross rider. J. Cardiothorac. Surg. 2008, 3, 23. [Google Scholar] [CrossRef] [PubMed] [PubMed Central]
- Bennett, D.E.; Cherry, J.K. The natural history of traumatic aneurysms of the aorta. Surgery 1967, 61, 516–523. [Google Scholar] [PubMed]
- Pozek, I.; Hurt, C.J.; Stern, E.J. Chronic posttraumatic pseudoaneurysm of the thoracic aorta. Curr. Probl. Diagn. Radiol. 2012, 41, 126–127. [Google Scholar] [CrossRef] [PubMed]
- Moore, E.; Webb, W.; Verrier, E.; Broaddus, C.; Gamsu, G.; Amparo, E.; Higgins, C. MRI of chronic posttraumatic false aneurysms of the thoracic aorta. Am. J. Roentgenol. 1984, 143, 1195–1196. [Google Scholar] [CrossRef] [PubMed][Green Version]
- Ferrante, S.L.; Gurney, J.W.; Schreiman, J.S.; Frick, M.P. A calcified vascular mediastinal mass. J. Am. Board Fam. Pract. 1989, 2, 272–274. [Google Scholar]
- McNamee, C.J.; Knight, J.L. Bronchogenic cyst masquerading as a chronic post-traumatic pseudoaneurysm of the aortic isthmus. Can. J. Surg. 1992, 35, 552–554. [Google Scholar] [PubMed]
- Albuquerque, F.C.; Krasna, M.J.; McLaughlin, J.S. Chronic, traumatic pseudoaneurysm of the ascending aorta. Ann. Thorac. Surg. 1992, 54, 980–982. [Google Scholar] [CrossRef] [PubMed]
- Bacharach, J.M.; Garratt, K.N.; Rooke, T.W. Chronic traumatic thoracic aneurysm: Report of two cases with the question of timing for surgical intervention. J. Vasc. Surg. 1993, 17, 780–783. [Google Scholar] [CrossRef] [PubMed][Green Version]
- Fidvi, S.A.; Kroop, S.A.; Klein, S.A. Posttraumatic thoracic splenosis and chronic aortic pseudoaneurysm. J. Thorac. Imaging 1999, 14, 300–302. [Google Scholar] [CrossRef] [PubMed]
- Cartier, R.; Bui, B.; Poirier, N.; Searle, N.; Gôte, G.; Cartier, B.; Hudon, G. Post-traumatic thoracic pseudoaneurysm repair with an endoluminal expandable stent. Can. J. Cardiol. 1999, 15, 223–225. [Google Scholar] [PubMed]
- E Saltman, A.; Svensson, L.G. Chronic traumatic aortic pseudoaneurysm: Resolution with observation. Ann. Thorac. Surg. 1999, 67, 240–241. [Google Scholar] [CrossRef] [PubMed]
- Rousseau, H.; Soula, P.; Perreault, P.; Bui, B.; Janne d’Othée, B.; Massabuau, P.; Meites, G.; Concina, P.; Mazerolles, M.; Joffre, F.; et al. Delayed treatment of traumatic rupture of the thoracic aorta with endoluminal covered stent. Circulation 1999, 99, 498–504. [Google Scholar] [CrossRef] [PubMed]
- Kaminishi, Y.; Saito, T.; Kato, M.; Kamisawa, O.; Misawa, Y.; Fuse, K. Successful surgical treatment of chronic traumatic thoracic aneurysm in two patients. Jpn. J. Thorac. Cardiovasc. Surg. 2002, 50, 375–377. [Google Scholar] [CrossRef] [PubMed]
- Gawenda, M.; Landwehr, P.; Brunkwall, J. Stent-graft replacement of chronic traumatic aneurysm of the thoracic aorta after blunt chest trauma. J. Cardiovasc. Surg. 2002, 43, 705–709. [Google Scholar]
- Deng, Y.-B.; Li, C.-L.; Chang, Q. Chronic traumatic pseudoaneurysm of the ascending aorta causing right ventricular inflow obstruction. Circ. J. 2003, 67, 359–361. [Google Scholar] [CrossRef] [PubMed][Green Version]
- Gurkan, S.; Sunar, H.; Canbaz, S.; Duran, E. Late manifestation of a pseudoaneurysm in the descending thoracic aorta. Vasa 2006, 35, 112–114. [Google Scholar] [CrossRef] [PubMed]
- Fatimi, S.H.; Khan, A.; Shuja, F.; A Javed, M.; Ahmad, U. Chronic cough secondary to post-traumatic pseudoaneurysm of the descending thoracic aorta. Heart Lung Circ. 2008, 17, 59. [Google Scholar] [CrossRef] [PubMed]
- Marcu, C.B.; Nijveldt, R.; Van Rossum, A.C. Unsuspected chronic traumatic aortic pseudoaneurysm—What to do about it. Late post-traumatic aortic pseudoaneurysm. Can. J. Cardiol. 2008, 24, 143–144. [Google Scholar] [CrossRef] [PubMed] [PubMed Central]
- Ghaffari, S.; Parvizi, R.; Pourafkari, L. Delayed presentation of posttraumatic aortic false aneurysm with chronic cough. Am. J. Med. Sci. 2009, 338, 525–526. [Google Scholar] [CrossRef] [PubMed]
- Nizet, C.; Van Damme, H.; Boesmans, E.; Lavigne, J.-P.; Creemers, E.; Defraigne, J.-O. Chronic False Aneurysm after a Healed Rupture of the Aortic Isthmus: TEVAR, Hybrid Surgery, or Open Arch Repair? Ann. Vasc. Surg. 2016, 31, 205.e11–205.e16. [Google Scholar] [CrossRef] [PubMed]
- Pourafkari, L.; Ghaffari, S.; Nasiri, B.; Toufan, M.; Nader, N.D. Chronic traumatic pseudoaneurysm of the ascending aorta. Kardiol. Pol. 2016, 74, 600. [Google Scholar] [CrossRef] [PubMed][Green Version]
- Karangelis, D.; Tzertzemelis, D.; Demis, A.; Panagiotou, M. Late in-hospital Rupture of a Chronic Post-traumatic Pseudoaneurysm. Heart Views 2018, 19, 146–149. [Google Scholar] [CrossRef] [PubMed] [PubMed Central]
- Azizi, Z.; Alipour, P.; Terricabras, M.; Khaykin, Y. Pseudoaneurysm of thoracic aorta presenting as inappropriate sinus tachycardia: A case report. J. Med. Case Rep. 2019, 13, 1–5. [Google Scholar] [CrossRef] [PubMed]
- Al-Adawi, S.S.; Naiem, A.; Abdelhady, I.; Al-Sukaiti, R.; Al-Hajeri, M.; Stephen, E.; Al-Shamsi, S.; Al-Wahaibi, K. Chronic Blunt Traumatic Thoracic Aortic Injuries: Report of three cases from Oman. Sultan Qaboos Univ. Med. J. 2021, 21, e120–e123. [Google Scholar] [CrossRef] [PubMed] [PubMed Central]
- Teixeira, P.G.R.; Inaba, K.; Barmparas, G.; Georgiou, C.; Toms, C.; Noguchi, T.T.; Rogers, C.; Sathyavagiswaran, L.; Demetriades, D. Blunt thoracic aortic injuries: An autopsy study. J. Trauma. 2011, 70, 197–202. [Google Scholar] [CrossRef] [PubMed]
- Isselbacher, E.M.; Preventza, O.; Black, J.H., 3rd; Augoustides, J.G.; Beck, A.W.; Bolen, M.A.; Braverman, A.C.; Bray, B.E.; Brown-Zimmerman, M.M.; Chen, E.P.; et al. 2022 ACC/AHA Guideline for the Diagnosis and Management of Aortic Disease: A Report of the American Heart Association/American College of Cardiology Joint Committee on Clinical Practice Guidelines. Circulation 2022, 146, E334–E482. [Google Scholar] [CrossRef] [PubMed] [PubMed Central]
- Trust, M.D.; Teixeira, P.G. Blunt Trauma of the Aorta, Current Guidelines. Cardiol. Clin. 2017, 35, 441–451. [Google Scholar] [CrossRef] [PubMed]
- Lee, W.A.; Matsumura, J.S.; Mitchell, R.S.; Farber, M.A.; Greenberg, R.K.; Azizzadeh, A.; Murad, M.H.; Fairman, R.M. Endovascular repair of traumatic thoracic aortic injury: Clinical practice guidelines of the Society for Vascular Surgery. J. Vasc. Surg. 2011, 53, 187–192. [Google Scholar] [CrossRef] [PubMed]
- Gaffey, A.C.; Zhang, J.; Saka, E.; Quatromoni, J.G.; Glaser, J.; Kim, P.; Szeto, W.; Kalapatapu, V. Natural History of Nonoperative Management of Grade II Blunt Thoracic Aortic Injury. Ann. Vasc. Surg. 2020, 65, 124–129. [Google Scholar] [CrossRef]
- Arbabi, C.N.; DuBose, J.; Charlton-Ouw, K.; Starnes, B.W.; Saqib, N.; Quiroga, E.; Miller, C.; Azizzadeh, A.; Afifi, R.; McNutt, M.; et al. Outcomes and practice patterns of medical management of blunt thoracic aortic injury from the Aortic Trauma Foundation global registry. J. Vasc. Surg. 2022, 75, 625–631. [Google Scholar] [CrossRef]
- De Freitas, S.; Joyce, D.; Yang, Y.; Dunphy, K.; Walsh, S.; Fatima, J. Systematic Review and Meta-Analysis of Nonoperative Management for SVS Grade II Blunt Traumatic Aortic Injury. Ann. Vasc. Surg. 2024, 98, 220–227. [Google Scholar] [CrossRef] [PubMed]
- Harris, D.G.; Rabin, J.; Bhardwaj, A.; June, A.S.; Oates, C.P.; Garrido, D.; Toursavadkohi, S.; Khoynezhad, A.; Crawford, R.S. Nonoperative Management of Traumatic Aortic Pseudoaneurysms. Ann. Vasc. Surg. 2016, 35, 75–81. [Google Scholar] [CrossRef] [PubMed]
- Pang, D.; Hildebrand, D.; Bachoo, P. Thoracic endovascular repair (TEVAR) versus open surgery for blunt traumatic thoracic aortic injury. Cochrane Database Syst. Rev. 2019, 2, CD006642. [Google Scholar] [CrossRef]
- Gennai, S.; Leone, N.; Mezzetto, L.; Veraldi, G.F.; Santi, D.; Spaggiari, G.; Resch, T.; Silingardi, R. Systematic review and meta-analysis of long-term reintervention following thoracic endovascular repair for blunt traumatic aortic injury. J. Vasc. Surg. 2023, 78, 540–547.e4. [Google Scholar] [CrossRef] [PubMed]
- Czerny, M.; Schmidli, J.; Adler, S.; Van Den Berg, J.C.; Bertoglio, L.; Carrel, T.; Chiesa, R.; Clough, R.E.; Eberle, B.; Etz, C.; et al. Current options and recommendations for the treatment of thoracic aortic pathologies involving the aortic arch: An expert consensus doc-ument of the European Association for Cardio-Thoracic surgery (EACTS) and the European Society for Vascular Surgery (ESVS). Eur. J. Cardiothorac. Surg. 2019, 55, 133–162. [Google Scholar]
- Sica, S.; Pratesi, G.; Rossi, G.; Ferraresi, M.; Lovato, L.; Volpe, P.; Fadda, G.F.; Ferri, M.; Rizza, A.; D’Oria, M.; et al. Proximal sealing in the aortic arch for inner curve disease using the custom Relay scalloped and fenestrated stent graft. J. Vasc. Surg. 2024, 80, 1317–1325.e2. [Google Scholar] [CrossRef] [PubMed]
- Spath, P.; Campana, F.; Tsilimparis, N.; Gallitto, E.; Pini, R.; Faggioli, G.; Caputo, S.; Gargiulo, M. Outcomes of Fenestrated and Branched Endografts for Partial and Total Endovascular Repair of the Aortic Arch—A Systematic Review and Meta-Analysis. Eur. J. Vasc. Endovasc. Surg. 2024, 67, 106–116. [Google Scholar] [CrossRef] [PubMed]
- Xenos, E.S.; Abedi, N.N.; Davenport, D.L.; Minion, D.J.; Hamdallah, O.; Sorial, E.E.; Endean, E.D. Meta-analysis of endovascular vs open repair for traumatic descending thoracic aortic rupture. J. Vasc. Surg. 2008, 48, 1343–1351. [Google Scholar] [CrossRef]






| Number of Patients n/37 (%) | |
|---|---|
| Sex * | |
| Male | 28/36 (77.7) |
| Female | 8/36 (22.2) |
| Age | Range 19–76 years |
| Location | |
| Ascending aorta | 2 (5.4) |
| Aortic arch | 8 (21.6) |
| Descending thoracic aorta | 27 (73) |
| Clinical presentation (one of more of the following) | |
| Asymptomatic/incidentally discovered | 12 (32.4) |
| Pain | 3 (8.1) |
| Cough | 6 (16.2) |
| Other or not reported | 18 (48.6) |
| Management strategies | |
| Conservative | 4 (10.8) |
| Endovascular repair | 14 (37.8) |
| Open repair | 14 (37.8) |
| Hybrid repair | 2 (5.4) |
| Not reported | 3 (8.1) |
Disclaimer/Publisher’s Note: The statements, opinions and data contained in all publications are solely those of the individual author(s) and contributor(s) and not of MDPI and/or the editor(s). MDPI and/or the editor(s) disclaim responsibility for any injury to people or property resulting from any ideas, methods, instructions or products referred to in the content. |
© 2025 by the authors. Licensee MDPI, Basel, Switzerland. This article is an open access article distributed under the terms and conditions of the Creative Commons Attribution (CC BY) license (https://creativecommons.org/licenses/by/4.0/).
Share and Cite
Sica, S.; Tinelli, G.; Borghese, O.; Dimri, M.; Dvir, M.; Minelli, F.; Rizza, A.; Bruno, P.; Massetti, M.; Tshomba, Y. Chronic Post-Traumatic Aortic Isthmus Pseudoaneurysm After Conservative Management of Grade II Injury: Why Is Continuous Follow-Up Mandatory? J. Clin. Med. 2025, 14, 1133. https://doi.org/10.3390/jcm14041133
Sica S, Tinelli G, Borghese O, Dimri M, Dvir M, Minelli F, Rizza A, Bruno P, Massetti M, Tshomba Y. Chronic Post-Traumatic Aortic Isthmus Pseudoaneurysm After Conservative Management of Grade II Injury: Why Is Continuous Follow-Up Mandatory? Journal of Clinical Medicine. 2025; 14(4):1133. https://doi.org/10.3390/jcm14041133
Chicago/Turabian StyleSica, Simona, Giovanni Tinelli, Ottavia Borghese, Manav Dimri, May Dvir, Fabrizio Minelli, Antonio Rizza, Piergiorgio Bruno, Massimo Massetti, and Yamume Tshomba. 2025. "Chronic Post-Traumatic Aortic Isthmus Pseudoaneurysm After Conservative Management of Grade II Injury: Why Is Continuous Follow-Up Mandatory?" Journal of Clinical Medicine 14, no. 4: 1133. https://doi.org/10.3390/jcm14041133
APA StyleSica, S., Tinelli, G., Borghese, O., Dimri, M., Dvir, M., Minelli, F., Rizza, A., Bruno, P., Massetti, M., & Tshomba, Y. (2025). Chronic Post-Traumatic Aortic Isthmus Pseudoaneurysm After Conservative Management of Grade II Injury: Why Is Continuous Follow-Up Mandatory? Journal of Clinical Medicine, 14(4), 1133. https://doi.org/10.3390/jcm14041133

