Success Rates of a CAD/CAM Nickel–Titanium Orthodontic Fixed Retainer
Abstract
1. Introduction
2. Materials and Methods
2.1. Material
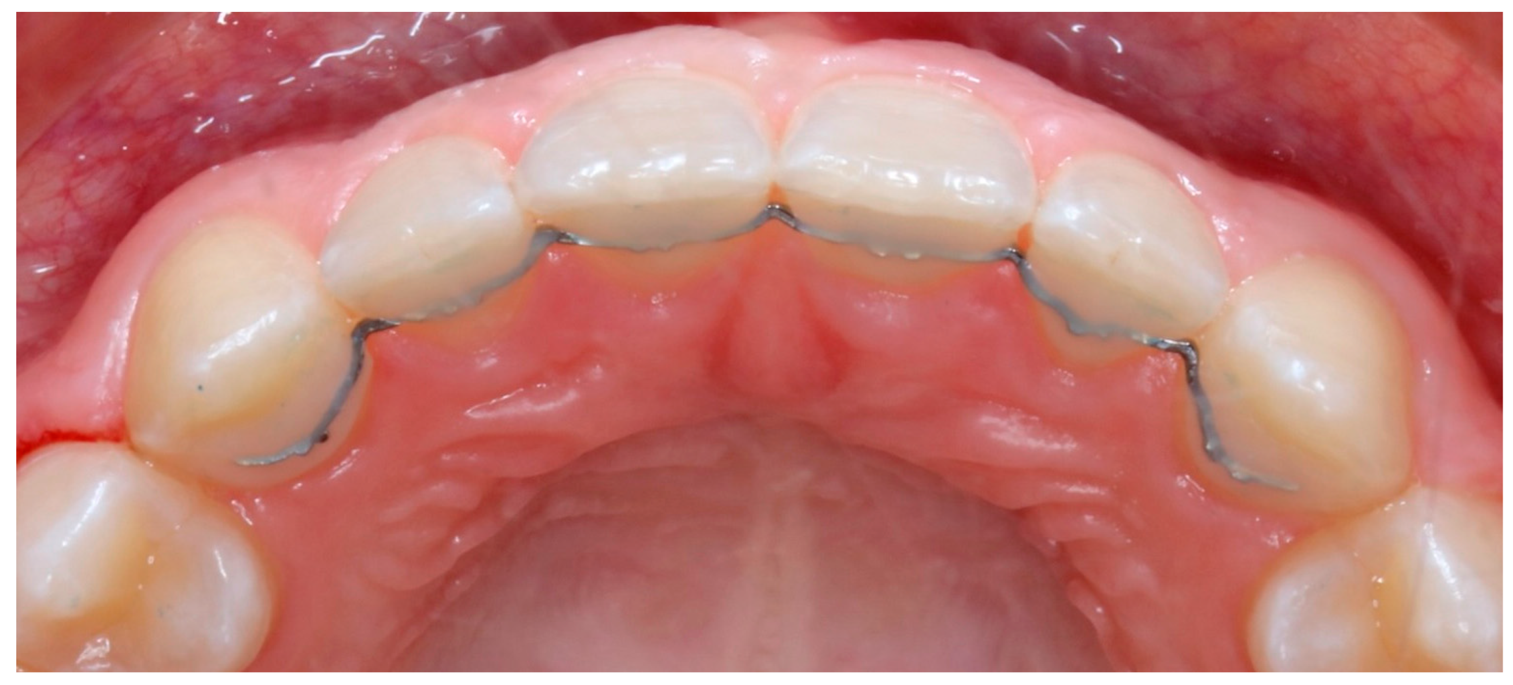
2.2. Methods
2.3. Statistical Analysis
3. Results
3.1. Sample
3.2. Mandibular Fixed Retainers
3.3. Maxillary Fixed Retainers
3.4. Fixed Retainer Failure
4. Discussion
5. Conclusions
Author Contributions
Funding
Institutional Review Board Statement
Informed Consent Statement
Data Availability Statement
Acknowledgments
Conflicts of Interest
References
- Padmos, J.A.D.; Fudalej, P.S.; Renkema, A.M. Epidemiologic study of orthodontic retention procedures. Am. J. Orthod. Dentofac. Orthop. 2018, 153, 496–504. [Google Scholar] [CrossRef] [PubMed]
- Martin, C.; Littlewood, S.J.; Millett, D.T.; Doubleday, B.; Bearn, D.; Worthington, H.V.; Limones, A. Retention procedures for stabilising tooth position after treatment with orthodontic braces (Review). Cochrane Database Syst. Rev. 2023, 2023, CD002283. [Google Scholar] [CrossRef]
- Lai, C.S.; Grossen, J.M.; Renkema, A.M.; Bronkhorst, E.; Fudalej, P.S.; Katsaros, C. Orthodontic retention procedures in Switzerland. Swiss Dent. J. 2014, 124, 655–661. [Google Scholar] [CrossRef] [PubMed]
- Aye, S.T.; Liu, S.; Byrne, E.; El-Angbawi, A. The prevalence of the failure of fixed orthodontic bonded retainers: A systematic review and meta-analysis. Eur. J. Orthod. 2023, 45, 645–661. [Google Scholar] [CrossRef] [PubMed]
- Charavet, C.; Vives, F.; Aroca, S.; Dridi, S. “Wire Syndrome” Following Bonded Orthodontic Retainers: A Systematic Review of the Literature. Healthcare 2022, 10, 379. [Google Scholar] [CrossRef] [PubMed]
- Kravitz, N.D.; Grauer, D.; Schumacher, P.; Jo, Y. min Memotain: A CAD/CAM nickel-titanium lingual retainer. Am. J. Orthod. Dentofac. Orthop. 2017, 151, 812–815. [Google Scholar] [CrossRef] [PubMed]
- Wolf, M.; Schumacher, P.; Jäger, F.; Wego, J.; Fritz, U.; Korbmacher-Steiner, H.; Jäger, A.; Schauseil, M. Novel lingual retainer created using CAD/CAM technology: Evaluation of its positioning accuracy. J. Orofac. Orthop. 2015, 76, 164–174. [Google Scholar] [CrossRef] [PubMed]
- Knaup, I.; Wagner, Y.; Wego, J.; Fritz, U.; Jäger, A.; Wolf, M. Potential impact of lingual retainers on oral health: Comparison between conventional twistflex retainers and CAD/CAM fabricated nitinol retainers: A clinical in vitro and in vivo investigation. J. Orofac. Orthop. 2019, 80, 88–96. [Google Scholar] [CrossRef] [PubMed]
- Roser, C.; Hilgenfeld, T.; Sen, S.; Badrow, T.; Zingler, S.; Heiland, S.; Bendszus, M.; Lux, C.J.; Juerchott, A. Evaluation of magnetic resonance imaging artifacts caused by fixed orthodontic CAD/CAM retainers—An in vitro study. Clin. Oral Investig. 2021, 25, 1423–1431. [Google Scholar] [CrossRef] [PubMed]
- Roser, C.J.; Hilgenfeld, T.; Saleem, M.A.; Rückschloß, T.; Heiland, S.; Bendszus, M.; Lux, C.J.; Juerchott, A. In vivo assessment of artefacts in MRI images caused by conventional twistflex and various fixed orthodontic CAD/CAM retainers. J. Orofac. Orthop. 2022, 85, 279–288. [Google Scholar] [CrossRef] [PubMed]
- Roser, C.J.; Rues, S.; Erber, R.; Hodecker, L.; Lux, C.J.; Bauer, C.A.J. Tooth mobility restriction by multistranded and CAD/CAM retainers—An in vitro study. Eur. J. Orthod. 2024, 46, cjad076. [Google Scholar] [CrossRef] [PubMed]
- Jowett, A.C.; Littlewood, S.J.; Hodge, T.M.; Dhaliwal, H.K.; Wu, J. CAD/CAM nitinol bonded retainer versus a chairside rectangular-chain bonded retainer: A multicentre randomised controlled trial. J. Orthod. 2023, 50, 55–68. [Google Scholar] [CrossRef] [PubMed]
- Kartal, Y.; Kaya, B.; Polat-Özsoy, Ö. Comparative evaluation of periodontal effects and survival rates of Memotain and five-stranded bonded retainers: A prospective short-term study. J. Orofac. Orthop. 2021, 82, 32–41. [Google Scholar] [CrossRef] [PubMed]
- Gelin, E.; Seidel, L.; Bruwier, A.; Albert, A.; Charavet, C. Innovative customized CAD/CAM nickel-titanium lingual retainer versus standard stainless-steel lingual retainer: A randomized controlled trial. Korean J. Orthod. 2020, 50, 373–382. [Google Scholar] [CrossRef] [PubMed]
- Pullisaar, H.; Cattaneo, P.M.; Gera, A.; Sankiewicz, M.; Bilińska, M.; Vandevska-Radunovic, V.; Cornelis, M.A. Stability, survival, patient satisfaction, and cost-minimization of CAD/CAM versus conventional multistranded fixed retainers in orthodontic patients: A 2-year follow-up of a two-centre randomized controlled trial. Eur. J. Orthod. 2024, 46, cjae006. [Google Scholar] [CrossRef] [PubMed]
- Tran, G.; Rucker, R.; Foley, P.; Bankhead, B.; Adel, S.M.; Kim, K.B. Relapse and failure rates between CAD/CAM and conventional fixed retainers: A 2-year follow-up of a randomized controlled clinical trial. Eur. J. Orthod. 2024, 46, cjad079. [Google Scholar] [CrossRef] [PubMed]
- Çokakoğlu, S.; Adanur-Atmaca, R.; Çakır, M.; Öztürk, F. Stability and failure rate during 3 years of fixed retention: A follow-up of an randomized clinical trial on adolescents with four different lingual retainers. Orthod. Craniofacial Res. 2024, 27, 251–258. [Google Scholar] [CrossRef] [PubMed]
- Adanur-Atmaca, R.; Çokakoglu, S.; Öztürk, F. Effects of different lingual retainers on periodontal health and stability. Angle Orthod. 2021, 91, 468–476. [Google Scholar] [CrossRef] [PubMed]
- Renkema, A.M.; Renkema, A.; Bronkhorst, E.; Katsaros, C. Long-term effectiveness of canine-to-canine bonded flexible spiral wire lingual retainers. Am. J. Orthod. Dentofac. Orthop. 2011, 139, 614–621. [Google Scholar] [CrossRef] [PubMed]


| Maxillary Arch (n) | Mandibular Arch (n) | Total (n (%)) | |
|---|---|---|---|
| Lateral incisor to lateral incisor | 40 | - | 40 (12%) |
| Canine to canine | 114 | 166 | 280 (83%) |
| Premolar to premolar | 8 | 10 | 18 (5%) |
| Total (n (%)) | 162 (48%) | 176 (52%) | 338 (100%) |
| First Premolar | Canine | Lateral Incisor | Central Incisor | |
|---|---|---|---|---|
| Total number of teeth | 20 | 352 | 352 | 352 |
| Teeth with no event; number (%) | 20 (100%) | 342 (97.2%) | 334 (94.9%) | 334 (94.9%) |
| Teeth with debonding event; number (%) | 0 (0%) | 10 (2.8%) | 18 (5.1%) | 18 (5.1%) |
| First Premolar | Canine | Lateral Incisor | Central Incisor | |
|---|---|---|---|---|
| Total number of teeth | 20 | 352 | 352 | 352 |
| Teeth with no event; number (%) | 16 (80%) | 343 (97.5%) | 340 (96.6%) | 328 (93.2%) |
| Teeth with debonding; number (%) | 1 (5%) | 4 (1.1%) | 8 (2.3%) | 17 (4.8%) |
| Teeth with wire breakage; number (%) | 1 (5%) | 1 (0.3%) | 0 (0%) | 3 (0.9%) |
| Teeth with wire loss; number (%) | 2 (10%) | 4 (1.1%) | 4 (1.1%) | 4 (1.1%) |
| First Premolar | Canine | Lateral Incisor | Central Incisor | |
|---|---|---|---|---|
| Total number of teeth | 16 | 244 | 324 | 324 |
| Teeth with no event; number (%) | 15 (94%) | 229 (93.9%) | 307 (94.8%) | 307 (94.8%) |
| Teeth with debonding; number (%) | 1 (6%) | 7 (2.9%) | 9 (2.8%) | 11 (3.4%) |
| Teeth with wire breakage; number (%) | 0 (0%) | 1 (0.4%) | 1 (0.3%) | 0 (0%) |
| Teeth with wire loss; number (%) | 0 (0%) | 2 (0.8%) | 2 (0.6%) | 2 (0.6%) |
| Teeth with displacement; number (%) | 0 (0%) | 5 (2.0%) | 5 (1.5) | 4 (1.2%) |
| First Premolar | Canine | Lateral Incisor | Central Incisor | |
|---|---|---|---|---|
| Total number of teeth | 16 | 244 | 324 | 324 |
| Teeth with no event; number (%) | 13 (81.3%) | 235 (96.3%) | 308 (95.1%) | 300 (92.6%) |
| Teeth with debonding; number (%) | 1 (6.2%) | 2 (0.8%) | 9 (2.8%) | 17 (5.3%) |
| Teeth with wire breakage; number (%) | 0 (0%) | 1 (0.4%) | 1 (0.3%) | 1 (0.3%) |
| Teeth with wire loss; number (%) | 2 (12.5%) | 6 (2.5%) | 6 (1.8%) | 6 (1.8%) |
| Teeth with displacement; number (%) | 0 (0%) | 0 (0%) | 0 (0%) | 0 (0%) |
Disclaimer/Publisher’s Note: The statements, opinions and data contained in all publications are solely those of the individual author(s) and contributor(s) and not of MDPI and/or the editor(s). MDPI and/or the editor(s) disclaim responsibility for any injury to people or property resulting from any ideas, methods, instructions or products referred to in the content. |
© 2025 by the authors. Licensee MDPI, Basel, Switzerland. This article is an open access article distributed under the terms and conditions of the Creative Commons Attribution (CC BY) license (https://creativecommons.org/licenses/by/4.0/).
Share and Cite
Huanca Ghislanzoni, L.; Durgnat, C.; Antonarakis, G.S. Success Rates of a CAD/CAM Nickel–Titanium Orthodontic Fixed Retainer. J. Clin. Med. 2025, 14, 8762. https://doi.org/10.3390/jcm14248762
Huanca Ghislanzoni L, Durgnat C, Antonarakis GS. Success Rates of a CAD/CAM Nickel–Titanium Orthodontic Fixed Retainer. Journal of Clinical Medicine. 2025; 14(24):8762. https://doi.org/10.3390/jcm14248762
Chicago/Turabian StyleHuanca Ghislanzoni, Luis, Candice Durgnat, and Gregory S. Antonarakis. 2025. "Success Rates of a CAD/CAM Nickel–Titanium Orthodontic Fixed Retainer" Journal of Clinical Medicine 14, no. 24: 8762. https://doi.org/10.3390/jcm14248762
APA StyleHuanca Ghislanzoni, L., Durgnat, C., & Antonarakis, G. S. (2025). Success Rates of a CAD/CAM Nickel–Titanium Orthodontic Fixed Retainer. Journal of Clinical Medicine, 14(24), 8762. https://doi.org/10.3390/jcm14248762

