Predictors of Hungry Bone Syndrome After Parathyroidectomy in Secondary Hyperparathyroidism: A Narrative Review of Bone Turnover Biomarkers and Risk Prediction Tools
Abstract
1. Introduction
2. Parathyroid Hormone Biology and Pathogenesis
2.1. Metabolism and Receptor Signaling
2.2. Parathyroid Hormone Cellular Effectors and Main Biological Effects in Bone Tissue
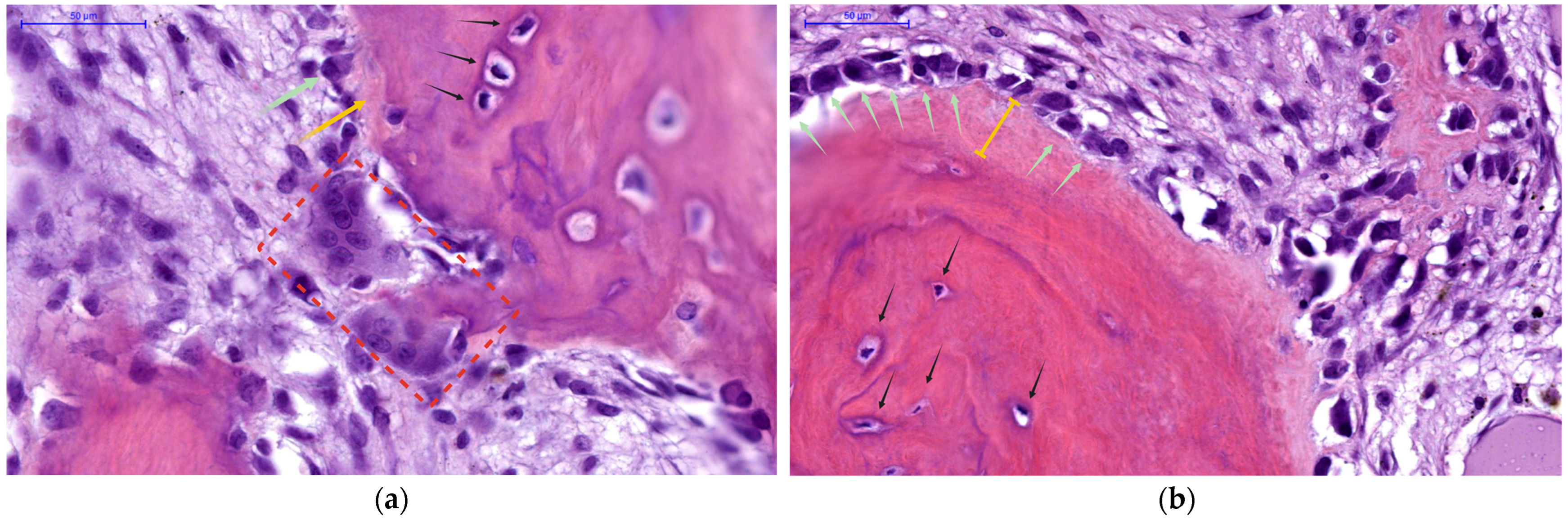
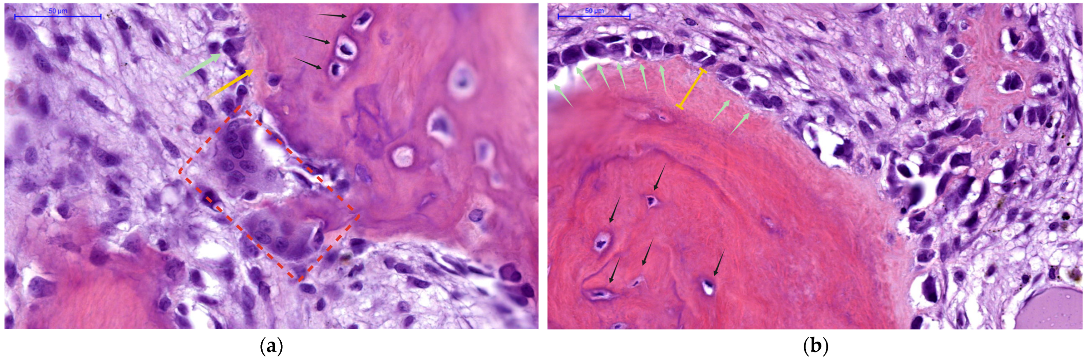
- Osteoclasts are large, multinucleated cells responsible for bone resorption, as highlighted in Figure 1a (red rectangle). These cells are formed from myeloid precursors under the influence of osteoblast/osteocyte-derived RANKL [43,44,45]. Importantly, they do not express PTH1R and therefore are only indirectly responsive to PTH, with bone-resorptive actions being entirely mediated through osteoblast-lineage cells.
- Osteoblasts, derived from MSCs, are responsible for forming new bone matrix (osteoid) and regulating its subsequent mineralization, as seen in Figure 1b (green arrows); they also orchestrate osteoclast activity by producing RANKL (and suppressing OPG) in response to sustained PTH signaling [43,44,45].
- Osteocytes (marked with black arrows in Figure 1) represent former osteoblasts that have become embedded within the mineralized bone matrix. They function as endocrine cells within bone tissue, sensing both mechanical and hormonal signals, while also upregulating and secreting regulatory factors—most notably MCP-1 and sclerostin, respectively—which in turn modulate the activity of both osteoblasts and osteoclasts [43,44,45,46]. Osteocytes express PTH1R and are primary targets of PTH action.
2.3. The Bone-Kidney Axis and Other Non-Canonical Effects in Normal Physiology
2.4. The Transition to Secondary Hyperparathyroidism in Chronic Kidney Disease
2.5. Pathogenesis of Hungry Bone Syndrome
3. Perioperative Dynamics of Bone Turnover and Serum Markers

4. Classification and Performance Metrics for Contemporary Predictors of Hungry Bone Syndrome
5. Combined Biomarker Approaches and Risk Prediction Models
5.1. Statistical Methods and Model Development
5.2. Key Multivariate Risk Prediction Models for Hungry Bone Syndrome
5.2.1. NYU Langone 2-Point Preoperative Scoring System
5.2.2. Gao Nomogram
5.2.3. Wang Nomogram
5.2.4. USRDS Risk Score
- Age < 48 years—2 points;
- Dialysis duration ≥ 5 years—1 point;
- Evidence of renal osteodystrophy—1 point;
- Kidney transplant vintage ≥ 3 years—1 point;
- Elixhauser comorbidity score ≥ 5—1 point.
5.2.5. XGBoost Machine-Learning Model
6. Clinical Implementation, Guidelines, and Risk-Stratified Management Protocols
6.1. Clinical Practice Guidelines for Post-Parathyroidectomy Management
6.2. Risk-Stratified Management Protocols
6.2.1. Prophylactic Calcium Supplementation Strategies
6.2.2. Monitoring Frequency Based on Risk Level
6.2.3. ICU Admission Criteria
6.2.4. Vitamin D Supplementation Protocols
6.3. Implementation Strategies in Clinical Practice
7. Conclusions
Author Contributions
Funding
Conflicts of Interest
Abbreviations
| AAES | American Association of Endocrine Surgeons |
| ALP | Alkaline phosphatase |
| AUC | Area under curve |
| BALP | Bone-specific alkaline phosphatase |
| BMD | Bone mineral density |
| BTMs | Bone turnover markers |
| cAMP | Cyclic adenosine monophosphate |
| CaSR | Calcium-sensing receptor |
| CKD | Chronic kidney disease |
| CKD-MBD | Chronic kidney disease-mineral and bone disorder |
| CPTHR | C-terminal parathyroid hormone receptor |
| CTX | C-terminal telopeptide |
| EMR | Electronic medical record |
| ESRD | End-stage renal disease |
| FGF-23 | Fibroblast growth factor-23 |
| GFR | Glomerular filtration rate |
| HBS | Hungry bone syndrome |
| ICU | Intensive care unit |
| iPTH | Intact parathyroid hormone |
| IV | Intravenous |
| KDIGO | Kidney Disease: Improving Global Outcomes |
| KDOQI | Kidney Disease Outcomes Quality Initiative |
| LASSO | Least Absolute Shrinkage and Selection Operator |
| MCP-1 | Monocyte chemoattractant protein-1 |
| ML | Machine learning |
| MSCs | Mesenchymal stem cells |
| NPV | Negative predictive value |
| NTX | N-terminal telopeptide |
| NYU | New York University |
| OPG | Osteoprotegerin |
| OR | Odds ratio |
| P1NP | Procollagen type I N-terminal propeptide |
| PHPT | Primary hyperparathyroidism |
| PKA | Protein kinase A |
| PKC | Protein kinase C |
| PPV | Positive predictive value |
| PTH | Parathyroid hormone |
| PTH1R | Parathyroid hormone/parathyroid hormone-related peptide receptor type 1 |
| PTHrP | Parathyroid hormone-related peptide |
| PTX | Parathyroidectomy |
| RANKL | Receptor activator of nuclear factor kappa-B ligand |
| ROC | Receiver operating characteristic |
| SHAP | SHapley Additive exPlanations |
| SHPT | Secondary hyperparathyroidism |
| TRAP-5b | Tartrate-resistant acid phosphatase 5b |
| USRDS | United States Renal Data System |
| VDRs | Vitamin D receptors |
| XGBoost | Extreme Gradient Boosting |
References
- Joy, M.S.; Karagiannis, P.C.; Peyerl, F.W. Outcomes of Secondary Hyperparathyroidism in Chronic Kidney Disease and the Direct Costs of Treatment. J. Manag. Care Pharm. 2007, 13, 397–411. [Google Scholar] [CrossRef]
- Tentori, F.; Blayney, M.J.; Albert, J.M.; Gillespie, B.W.; Kerr, P.G.; Bommer, J.; Young, E.W.; Akizawa, T.; Akiba, T.; Pisoni, R.L.; et al. Mortality Risk for Dialysis Patients with Different Levels of Serum Calcium, Phosphorus, and PTH: The Dialysis Outcomes and Practice Patterns Study (DOPPS). Am. J. Kidney Dis. 2008, 52, 519–530. [Google Scholar] [CrossRef]
- Zheng, C.-M.; Zheng, J.-Q.; Wu, C.-C.; Lu, C.-L.; Shyu, J.-F.; Yung-Ho, H.; Wu, M.-Y.; Chiu, I.-J.; Wang, Y.-H.; Lin, Y.-F.; et al. Bone Loss in Chronic Kidney Disease: Quantity or Quality? Bone 2016, 87, 57–70. [Google Scholar] [CrossRef]
- KDIGO 2017 Clinical Practice Guideline Update for the Diagnosis, Evaluation, Prevention, and Treatment of Chronic Kidney Disease–Mineral and Bone Disorder (CKD-MBD). Kidney Int. Suppl. 2017, 7, 1–59. [CrossRef]
- Schneider, R.; Slater, E.P.; Karakas, E.; Bartsch, D.K.; Schlosser, K. Initial Parathyroid Surgery in 606 Patients with Renal Hyperparathyroidism. World J. Surg. 2012, 36, 318–326. [Google Scholar] [CrossRef] [PubMed]
- Lau, W.L.; Obi, Y.; Kalantar-Zadeh, K. Parathyroidectomy in the Management of Secondary Hyperparathyroidism. Clin. J. Am. Soc. Nephrol. 2018, 13, 952–961. [Google Scholar] [CrossRef] [PubMed]
- Witteveen, J.E.; van Thiel, S.; Romijn, J.A.; Hamdy, N.A. Hungry Bone Syndrome: Still a Challenge in the Post-Operative Management of Primary Hyperparathyroidism: A Systematic Review of the Literature. Eur. J. Endocrinol. 2013, 168, R45–R53. [Google Scholar] [CrossRef] [PubMed]
- Madorin, C.; Owen, R.P.; Fraser, W.D.; Pellitteri, P.K.; Radbill, B.; Rinaldo, A.; Seethala, R.R.; Shaha, A.R.; Silver, C.E.; Suh, M.Y.; et al. The Surgical Management of Renal Hyperparathyroidism. Eur. Arch. Otorhinolaryngol. 2012, 269, 1565–1576. [Google Scholar] [CrossRef]
- Kim, S.M.; Long, J.; Montez-Rath, M.E.; Leonard, M.B.; Norton, J.A.; Chertow, G.M. Rates and Outcomes of Parathyroidectomy for Secondary Hyperparathyroidism in the United States. Clin. J. Am. Soc. Nephrol. 2016, 11, 1260–1267. [Google Scholar] [CrossRef]
- Carsote, M.; Nistor, C. Forestalling Hungry Bone Syndrome after Parathyroidectomy in Patients with Primary and Renal Hyperparathyroidism. Diagnostics 2023, 13, 1953. [Google Scholar] [CrossRef]
- Tai, Y.-L.; Shen, H.-Y.; Nai, W.-H.; Fu, J.-F.; Wang, I.-K.; Huang, C.-C.; Weng, C.-H.; Lee, C.-C.; Huang, W.-H.; Yang, H.-Y.; et al. Hungry Bone Syndrome after Parathyroid Surgery. Hemodial. Int. 2023, 27, 134–145. [Google Scholar] [CrossRef] [PubMed]
- Mehta, R.; Rao, K.N.; Nagarkar, N.M.; Ghosh, A.; Sakale, H. Hungry Bone Syndrome Following Parathyroidectomy: A Comprehensive Systematic Review of Risk Factors. Indian. J. Surg. 2024, 86, 27–39. [Google Scholar] [CrossRef]
- Cozzolino, M.; Ciceri, P.; Volpi, E.M.; Olivi, L.; Messa, P.G. Pathophysiology of Calcium and Phosphate Metabolism Impairment in Chronic Kidney Disease. Blood Purif. 2009, 27, 338–344. [Google Scholar] [CrossRef] [PubMed]
- Cunningham, J.; Locatelli, F.; Rodriguez, M. Secondary Hyperparathyroidism: Pathogenesis, Disease Progression, and Therapeutic Options. Clin. J. Am. Soc. Nephrol. 2011, 6, 913–921. [Google Scholar] [CrossRef]
- Goodman, W.G.; Quarles, L.D. Development and Progression of Secondary Hyperparathyroidism in Chronic Kidney Disease: Lessons from Molecular Genetics. Kidney Int. 2008, 74, 276–288. [Google Scholar] [CrossRef]
- Regidor, D.L.; Kovesdy, C.P.; Mehrotra, R.; Rambod, M.; Jing, J.; McAllister, C.J.; Van Wyck, D.; Kopple, J.D.; Kalantar-Zadeh, K. Serum Alkaline Phosphatase Predicts Mortality among Maintenance Hemodialysis Patients. J. Am. Soc. Nephrol. 2008, 19, 2193–2203. [Google Scholar] [CrossRef]
- Whyte, M.P. Hypophosphatasia: An Overview For 2017. Bone 2017, 102, 15–25. [Google Scholar] [CrossRef]
- Ureña, P.; Hruby, M.; Ferreira, A.; Ang, K.S.; de Vernejoul, M.C. Plasma Total versus Bone Alkaline Phosphatase as Markers of Bone Turnover in Hemodialysis Patients. J. Am. Soc. Nephrol. 1996, 7, 506–512. [Google Scholar] [CrossRef]
- Haarhaus, M.; Monier-Faugere, M.-C.; Magnusson, P.; Malluche, H.H. Bone Alkaline Phosphatase Isoforms in Hemodialysis Patients with Low Versus Non-Low Bone Turnover: A Diagnostic Test Study. Am. J. Kidney Dis. 2015, 66, 99–105. [Google Scholar] [CrossRef]
- Lehmann, G.; Ott, U.; Kaemmerer, D.; Schuetze, J.; Wolf, G. Bone Histomorphometry and Biochemical Markers of Bone Turnover in Patients with Chronic Kidney Disease Stages 3–5. Clin. Nephrol. 2008, 70, 296–305. [Google Scholar] [CrossRef]
- Ge, Y.; Yang, G.; Wang, N.; Zha, X.; Yu, X.; Mao, H.; Sun, B.; Zeng, M.; Zhang, B.; Xing, C. Bone Metabolism Markers and Hungry Bone Syndrome after Parathyroidectomy in Dialysis Patients with Secondary Hyperparathyroidism. Int. Urol. Nephrol. 2019, 51, 1443–1449. [Google Scholar] [CrossRef]
- Pal, R.; Gautam, A.; Bhadada, S.K. Role of Bisphosphonates in the Prevention of Postoperative Hungry Bone Syndrome in Primary Hyperparathyroidism: A Meta-Analysis and Need for Randomized Controlled Trials. Drug Res. 2021, 71, 108–109. [Google Scholar] [CrossRef]
- Wang, M.; Chen, B.; Zou, X.; Wei, T.; Gong, R.; Zhu, J.; Li, Z. A Nomogram to Predict Hungry Bone Syndrome After Parathyroidectomy in Patients with Secondary Hyperparathyroidism. J. Surg. Res. 2020, 255, 33–41. [Google Scholar] [CrossRef]
- Ho, L.-Y.; Wong, P.-N.; Sin, H.-K.; Wong, Y.-Y.; Lo, K.-C.; Chan, S.-F.; Lo, M.-W.; Lo, K.-Y.; Mak, S.-K.; Wong, A.K.-M. Risk Factors and Clinical Course of Hungry Bone Syndrome after Total Parathyroidectomy in Dialysis Patients with Secondary Hyperparathyroidism. BMC Nephrol. 2017, 18, 12. [Google Scholar] [CrossRef]
- Bergwitz, C.; Jüppner, H. Regulation of Phosphate Homeostasis by PTH, Vitamin D, and FGF23. Annu. Rev. Med. 2010, 61, 91–104. [Google Scholar] [CrossRef] [PubMed]
- Habener, J.F.; Potts, J.T.; Rich, A. Pre-Proparathyroid Hormone. Evidence for an Early Biosynthetic Precursor of Proparathyroid Hormone. J. Biol. Chem. 1976, 251, 3893–3899. [Google Scholar] [CrossRef] [PubMed]
- Centeno, P.P.; Herberger, A.; Mun, H.-C.; Tu, C.; Nemeth, E.F.; Chang, W.; Conigrave, A.D.; Ward, D.T. Phosphate Acts Directly on the Calcium-Sensing Receptor to Stimulate Parathyroid Hormone Secretion. Nat. Commun. 2019, 10, 4693. [Google Scholar] [CrossRef] [PubMed]
- Shimada, T.; Hasegawa, H.; Yamazaki, Y.; Muto, T.; Hino, R.; Takeuchi, Y.; Fujita, T.; Nakahara, K.; Fukumoto, S.; Yamashita, T. FGF-23 Is a Potent Regulator of Vitamin D Metabolism and Phosphate Homeostasis. J. Bone Min. Res. 2004, 19, 429–435. [Google Scholar] [CrossRef]
- Galitzer, H.; Ben-Dov, I.Z.; Silver, J.; Naveh-Many, T. Parathyroid Cell Resistance to Fibroblast Growth Factor 23 in Secondary Hyperparathyroidism of Chronic Kidney Disease. Kidney Int. 2010, 77, 211–218. [Google Scholar] [CrossRef]
- Razzaque, M.S. The FGF23–Klotho Axis: Endocrine Regulation of Phosphate Homeostasis. Nat. Rev. Endocrinol. 2009, 5, 611–619. [Google Scholar] [CrossRef]
- Leiker, A.J.; Yen, T.W.F.; Eastwood, D.C.; Doffek, K.M.; Szabo, A.; Evans, D.B.; Wang, T.S. Factors That Influence Parathyroid Hormone Half-Life: Are New Intraoperative Criteria Needed? JAMA Surg. 2013, 148, 602. [Google Scholar] [CrossRef] [PubMed]
- D’Amour, P. Circulating PTH Molecular Forms: What We Know and What We Don’t. Kidney Int. Suppl. 2006, 102, S29–S33. [Google Scholar] [CrossRef] [PubMed]
- Evenepoel, P.; Bover, J.; Ureña Torres, P. Parathyroid Hormone Metabolism and Signaling in Health and Chronic Kidney Disease. Kidney Int. 2016, 90, 1184–1190. [Google Scholar] [CrossRef] [PubMed]
- Divieti, P.; Geller, A.I.; Suliman, G.; Jüppner, H.; Bringhurst, F.R. Receptors Specific for the Carboxyl-Terminal Region of Parathyroid Hormone on Bone-Derived Cells: Determinants of Ligand Binding and Bioactivity. Endocrinology 2005, 146, 1863–1870. [Google Scholar] [CrossRef]
- Pioszak, A.A.; Xu, H.E. Molecular Recognition of Parathyroid Hormone by Its G Protein-Coupled Receptor. Proc. Natl. Acad. Sci. USA 2008, 105, 5034–5039. [Google Scholar] [CrossRef]
- Swarthout, J.T.; D’Alonzo, R.C.; Selvamurugan, N.; Partridge, N.C. Parathyroid Hormone-Dependent Signaling Pathways Regulating Genes in Bone Cells. Gene 2002, 282, 1–17. [Google Scholar] [CrossRef]
- Silva, B.C.; Bilezikian, J.P. Parathyroid Hormone: Anabolic and Catabolic Actions on the Skeleton. Curr. Opin. Pharmacol. 2015, 22, 41–50. [Google Scholar] [CrossRef]
- Bellido, T.; Ali, A.A.; Gubrij, I.; Plotkin, L.I.; Fu, Q.; O’Brien, C.A.; Manolagas, S.C.; Jilka, R.L. Chronic Elevation of Parathyroid Hormone in Mice Reduces Expression of Sclerostin by Osteocytes: A Novel Mechanism for Hormonal Control of Osteoblastogenesis. Endocrinology 2005, 146, 4577–4583. [Google Scholar] [CrossRef]
- Cejka, D.; Herberth, J.; Branscum, A.J.; Fardo, D.W.; Monier-Faugere, M.-C.; Diarra, D.; Haas, M.; Malluche, H.H. Sclerostin and Dickkopf-1 in Renal Osteodystrophy. Clin. J. Am. Soc. Nephrol. 2011, 6, 877. [Google Scholar] [CrossRef]
- Hu, L.; Chen, W.; Qian, A.; Li, Y.-P. Wnt/β-Catenin Signaling Components and Mechanisms in Bone Formation, Homeostasis, and Disease. Bone Res. 2024, 12, 39. [Google Scholar] [CrossRef]
- Leupin, O.; Kramer, I.; Collette, N.M.; Loots, G.G.; Natt, F.; Kneissel, M.; Keller, H. Control of the SOST Bone Enhancer by PTH Using MEF2 Transcription Factors. J. Bone Miner. Res. 2007, 22, 1957–1967. [Google Scholar] [CrossRef] [PubMed]
- Vall, H.; Patel, P.; Parmar, M. Teriparatide. In StatPearls; StatPearls Publishing: Treasure Island, FL, USA, 2025. Available online: http://www.ncbi.nlm.nih.gov/books/NBK559248/ (accessed on 10 October 2025).
- Boyle, W.J.; Simonet, W.S.; Lacey, D.L. Osteoclast Differentiation and Activation. Nature 2003, 423, 337–342. [Google Scholar] [CrossRef] [PubMed]
- Kitaura, H.; Marahleh, A.; Ohori, F.; Noguchi, T.; Shen, W.-R.; Qi, J.; Nara, Y.; Pramusita, A.; Kinjo, R.; Mizoguchi, I. Osteocyte-Related Cytokines Regulate Osteoclast Formation and Bone Resorption. Int. J. Mol. Sci. 2020, 21, 5169. [Google Scholar] [CrossRef] [PubMed]
- Hofbauer, L.C.; Khosla, S.; Dunstan, C.R.; Lacey, D.L.; Boyle, W.J.; Riggs, B.L. The Roles of Osteoprotegerin and Osteoprotegerin Ligand in the Paracrine Regulation of Bone Resorption. J. Bone Miner. Res. 2000, 15, 2–12. [Google Scholar] [CrossRef]
- Siddiqui, J.A.; Johnson, J.; Le Henaff, C.; Bitel, C.L.; Tamasi, J.A.; Partridge, N.C. Catabolic Effects of Human PTH (1-34) on Bone: Requirement of Monocyte Chemoattractant Protein-1 in Murine Model of Hyperparathyroidism. Sci. Rep. 2017, 7, 15300. [Google Scholar] [CrossRef]
- Bellido, T.; Saini, V.; Pajevic, P.D. Effects of PTH on Osteocyte Function. Bone 2013, 54, 250–257. [Google Scholar] [CrossRef]
- Hoenderop, J.G.J.; Nilius, B.; Bindels, R.J.M. Calcium Absorption across Epithelia. Physiol. Rev. 2005, 85, 373–422. [Google Scholar] [CrossRef]
- Forster, I.C.; Hernando, N.; Biber, J.; Murer, H. Proximal Tubular Handling of Phosphate: A Molecular Perspective. Kidney Int. 2006, 70, 1548–1559. [Google Scholar] [CrossRef]
- Young, K.; Beggs, M.R.; Grimbly, C.; Alexander, R.T. Regulation of 1 and 24 Hydroxylation of Vitamin D Metabolites in the Proximal Tubule. Exp. Biol. Med. 2022, 247, 1103–1111. [Google Scholar] [CrossRef]
- Areco, V.A.; Kohan, R.; Talamoni, G.; Tolosa de Talamoni, N.G.; Peralta López, M.E. Intestinal Ca2+ Absorption Revisited: A Molecular and Clinical Approach. World J. Gastroenterol. 2020, 26, 3344–3364. [Google Scholar] [CrossRef]
- Mihoc, T.; Latcu, S.; Secasan, C.; Dema, V.; Cumpanas, A.; Şelaru, M.; Pirvu, C.; Valceanu, A.; Zara, F.; Dumitru, C.-S.; et al. Pancreatic Morphology, Immunology, and the Pathogenesis of Acute Pancreatitis. Biomedicines 2024, 12, 2627. [Google Scholar] [CrossRef]
- Fadda, G.Z.; Akmal, M.; Lipson, L.G.; Massry, S.G. Direct Effect of Parathyroid Hormone on Insulin Secretion from Pancreatic Islets. Am. J. Physiol. 1990, 258, E975–E984. [Google Scholar] [CrossRef] [PubMed]
- Calvi, L.M.; Adams, G.B.; Weibrecht, K.W.; Weber, J.M.; Olson, D.P.; Knight, M.C.; Martin, R.P.; Schipani, E.; Divieti, P.; Bringhurst, F.R.; et al. Osteoblastic Cells Regulate the Haematopoietic Stem Cell Niche. Nature 2003, 425, 841–846. [Google Scholar] [CrossRef] [PubMed]
- Dumitru, C.-S.; Raica, M. A Splice Form of VEGF, a Potential Anti-Angiogenetic Form of Head and Neck Squamous Cell Cancer Inhibition. Int. J. Mol. Sci. 2024, 25, 8855. [Google Scholar] [CrossRef]
- Vornic, I.; Buciu, V.; Furau, C.; Gaje, P.; Ceauşu, R.; Dumitru, C.-S.; Barb, A.; Novacescu, D.; Cumpanas, A.; Latcu, S.; et al. Oxidative Stress and Placental Pathogenesis: A Contemporary Overview of Potential Biomarkers and Emerging Therapeutics. Int. J. Mol. Sci. 2024, 25, 12195. [Google Scholar] [CrossRef]
- Latcu, S.C.; Novacescu, D.; Buciu, V.-B.; Dumitru, C.-S.; Ceausu, R.A.; Raica, M.; Cut, T.G.; Ilina, R.; Malita, D.C.; Tarta, C.; et al. The Cavernous Nerve Injury Rat Model: A Pictorial Essay on Post-Radical Prostatectomy Erectile Dysfunction Research. Life 2023, 13, 2337. [Google Scholar] [CrossRef]
- Jono, S.; Nishizawa, Y.; Shioi, A.; Morii, H. Parathyroid Hormone–Related Peptide as a Local Regulator of Vascular Calcification. Arterioscler. Thromb. Vasc. Biol. 1997, 17, 1135–1142. [Google Scholar] [CrossRef]
- De Francisco, A.L.M.; Cobo, M.A.; Setien, M.A.; Rodrigo, E.; Fresnedo, G.F.; Unzueta, M.T.; Amado, J.A.; Ruiz, J.C.; Arias, M.; Rodriguez, M. Effect of Serum Phosphate on Parathyroid Hormone Secretion during Hemodialysis. Kidney Int. 1998, 54, 2140–2145. [Google Scholar] [CrossRef]
- Hocher, B.; Armbruster, F.P.; Stoeva, S.; Reichetzeder, C.; Grön, H.J.; Lieker, I.; Khadzhynov, D.; Slowinski, T.; Roth, H.J. Measuring Parathyroid Hormone (PTH) in Patients with Oxidative Stress—Do We Need a Fourth Generation Parathyroid Hormone Assay? PLoS ONE 2012, 7, e40242. [Google Scholar] [CrossRef]
- Novacescu, D.; Latcu, S.C.; Bardan, R.; Daminescu, L.; Cumpanas, A.A. Contemporary Biomarkers for Renal Transplantation: A Narrative Overview. J. Pers. Med. 2023, 13, 1216. [Google Scholar] [CrossRef]
- Novacescu, D.; Feciche, B.O.; Cumpanas, A.A.; Bardan, R.; Rusmir, A.V.; Bitar, Y.A.; Barbos, V.I.; Cut, T.G.; Raica, M.; Latcu, S.C. Contemporary Clinical Definitions, Differential Diagnosis, and Novel Predictive Tools for Renal Cell Carcinoma. Biomedicines 2022, 10, 2926. [Google Scholar] [CrossRef]
- Created in Biorender. Available online: https://BioRender.com/fjnjwqa (accessed on 7 October 2025).
- Naik, A.H.; Wani, M.A.; Wani, K.A.; Laway, B.A.; Malik, A.A.; Shah, Z.A. Intraoperative Parathyroid Hormone Monitoring in Guiding Adequate Parathyroidectomy. Indian J. Endocrinol. Metab. 2018, 22, 410–416. [Google Scholar] [CrossRef] [PubMed]
- Khan, Z.F.; Lew, J.I. Intraoperative Parathyroid Hormone Monitoring in the Surgical Management of Sporadic Primary Hyperparathyroidism. Endocrinol. Metab. 2019, 34, 327–339. [Google Scholar] [CrossRef] [PubMed]
- de la Cruz Rodríguez, I.E.; García Montesinos, E.S.; Rodríguez-Delgado, M.F.; Vargas Ortega, G.; Hernández, L.B.; Zubieta, V.M.; Avendaño, V.H.; Virla, B.G. Delayed Calcium Normalization after Successful Parathyroidectomy in Primary Hyperparathyroidism. Case Rep. Endocrinol. 2021, 2021, 5556977. [Google Scholar] [CrossRef] [PubMed]
- Mittendorf, E.A.; Merlino, J.I.; McHenry, C.R. Post-Parathyroidectomy Hypocalcemia: Incidence, Risk Factors, and Management. Am. Surg. 2004, 70, 114–119, discussion 119–120. [Google Scholar] [CrossRef]
- Pokhrel, B.; Leslie, S.W.; Levine, S.N. Primary Hyperparathyroidism. In StatPearls; StatPearls Publishing: Treasure Island, FL, USA, 2025. [Google Scholar]
- Friedman, E.A. Consequences and Management of Hyperphosphatemia in Patients with Renal Insufficiency. Kidney Int. 2005, 67, S1–S7. [Google Scholar] [CrossRef]
- Farrington, K.; Varghese, Z.; Baillod, R.A.; Fernando, O.N.; Moorhead, J.F. Hypophosphataemia after Parathyroidectomy in Chronic Renal Failure. Br. Med. J. (Clin. Res. Ed.) 1982, 284, 856–858. [Google Scholar] [CrossRef]
- Guo, C.Y.; Holland, P.A.; Jackson, B.F.; Hannon, R.A.; Rogers, A.; Harrison, B.J.; Eastell, R. Immediate Changes in Biochemical Markers of Bone Turnover and Circulating Interleukin-6 after Parathyroidectomy for Primary Hyperparathyroidism. Eur. J. Endocrinol. 2000, 142, 451–459. [Google Scholar] [CrossRef]
- Boudou, P.; Ibrahim, F.; Cormier, C.; Sarfati, E.; Souberbielle, J.-C. Potential Utility of High Preoperative Levels of Serum Type I Collagen Markers in Postmenopausal Women with Primary Hyperparathyroidism with Respect to Their Short-Term Variations after Parathyroidectomy. J. Bone Min. Metab. 2009, 27, 240–246. [Google Scholar] [CrossRef]
- Rajeev, P.; Movseysan, A.; Baharani, A. Changes in Bone Turnover Markers in Primary Hyperparathyroidism and Response to Surgery. Ann. R. Coll. Surg. Engl. 2017, 99, 559–562. [Google Scholar] [CrossRef]
- Nowak, Z.; Konieczna, M.; Wesołowski, P.; Baczyński, D.; Saracyn, M.; Wańkowicz, Z. Tartrate Resistant Acid Phosphatase (TRACP 5b) as a Resorption Marker in Patients with Secondary Hyperparathyroidism Treated with Cinacalcet. Bone 2008, 43, S36–S37. [Google Scholar] [CrossRef]
- Yajima, A.; Ogawa, Y.; Takahashi, H.E.; Tominaga, Y.; Inou, T.; Otsubo, O. Changes of Bone Remodeling Immediately after Parathyroidectomy for Secondary Hyperparathyroidism. Am. J. Kidney Dis. 2003, 42, 729–738. [Google Scholar] [CrossRef]
- Kongsaree, N.; Thanyajaroen, T.; Dechates, B.; Therawit, P.; Mahikul, W.; Ngaosuwan, K. Skeletal Effect of Parathyroidectomy on Patients with Primary Hyperparathyroidism: A Systematic Review and Meta-Analysis. J. Clin. Endocrinol. Metab. 2024, 109, e1922–e1935. [Google Scholar] [CrossRef]
- Abdelhadi, M.; Nordenström, J. Bone Mineral Recovery after Parathyroidectomy in Patients with Primary and Renal Hyperparathyroidism. J. Clin. Endocrinol. Metab. 1998, 83, 3845–3851. [Google Scholar] [CrossRef] [PubMed]
- Peng, X.; Xia, X.; Li, Z.; Cheng, F.; Zhu, X. Factors Influencing the Development of Bone Starvation Syndrome after Total Parathyroidectomy in Patients with Renal Hyperparathyroidism. Front. Surg. 2022, 9, 963231. [Google Scholar] [CrossRef] [PubMed]
- Caldwell, M.; Laux, J.; Clark, M.; Kim, L.; Rubin, J. Persistently Elevated PTH After Parathyroidectomy at One Year: Experience in a Tertiary Referral Center. J. Clin. Endocrinol. Metab. 2019, 104, 4473–4480. [Google Scholar] [CrossRef] [PubMed]
- Mizrachi, A.; Gilat, H.; Bachar, G.; Feinmesser, R.; Shpitzer, T. Elevated Parathyroid Hormone Levels after Parathyroidectomy for Primary Hyperparathyroidism. Head. Neck 2009, 31, 1456–1460. [Google Scholar] [CrossRef]
- Sprague, S.M.; Bellorin-Font, E.; Jorgetti, V.; Carvalho, A.B.; Malluche, H.H.; Ferreira, A.; D’Haese, P.C.; Drüeke, T.B.; Du, H.; Manley, T.; et al. Diagnostic Accuracy of Bone Turnover Markers and Bone Histology in Patients with CKD Treated by Dialysis. Am. J. Kidney Dis. 2016, 67, 559–566. [Google Scholar] [CrossRef]
- Guañabens, N.; Filella, X.; Monegal, A.; Gómez-Vaquero, C.; Bonet, M.; Buquet, D.; Casado, E.; Cerdá, D.; Erra, A.; Martinez, S.; et al. Reference Intervals for Bone Turnover Markers in Spanish Premenopausal Women. Clin. Chem. Lab. Med. (CCLM) 2016, 54, 293–303. [Google Scholar] [CrossRef]
- Cavalier, E. Bone Markers and Chronic Kidney Diseases. J. Lab. Precis. Med. 2018, 3, 2–6. [Google Scholar] [CrossRef]
- Salam, S.; Gallagher, O.; Gossiel, F.; Paggiosi, M.; Khwaja, A.; Eastell, R. Diagnostic Accuracy of Biomarkers and Imaging for Bone Turnover in Renal Osteodystrophy. J. Am. Soc. Nephrol. 2018, 29, 1557. [Google Scholar] [CrossRef] [PubMed]
- Evenepoel, P.; Cavalier, E.; D’Haese, P.C. Biomarkers Predicting Bone Turnover in the Setting of CKD. Curr. Osteoporos. Rep. 2017, 15, 178–186. [Google Scholar] [CrossRef] [PubMed]
- Ramesh, S.; Vekaria, S.; Fisher, J.C.; Wright, K.; Underwood, H.; Prescott, J.; Allendorf, J.; Patel, K.N.; Suh, I.; Sum, M. A Novel Risk Score to Predict Hungry Bone Syndrome After Parathyroidectomy for Renal Hyperparathyroidism. Endocr. Pr. 2023, 29, 890–896. [Google Scholar] [CrossRef] [PubMed]
- Gao, D.; Liu, Y.; Cui, W.; Lu, X.; Lou, Y. A Nomogram Prediction Model for Hungry Bone Syndrome in Dialysis Patients with Secondary Hyperparathyroidism after Total Parathyroidectomy. Eur. J. Med. Res. 2024, 29, 208. [Google Scholar] [CrossRef]
- Loke, S.C.; Tan, A.W.K.; Dalan, R.; Leow, M.K.-S. Pre-Operative Serum Alkaline Phosphatase as a Predictor for Hypocalcemia Post-Parathyroid Adenectomy. Int. J. Med. Sci. 2012, 9, 611–616. [Google Scholar] [CrossRef]
- Ko, W.-C.; Liu, C.-L.; Lee, J.-J.; Liu, T.-P.; Wu, C.-J.; Cheng, S.-P. Osteocalcin Is an Independent Predictor for Hungry Bone Syndrome After Parathyroidectomy. World J. Surg. 2020, 44, 795–802. [Google Scholar] [CrossRef]
- Martlı, H.F.; Saylam, B.; Er, S.; Yücel, Ç.; Tez, M. Evaluation of Preoperative Procollagen Type 1 N-Terminal Peptide and Collagen Type 1 C-Telopeptide Levels in the Prediction of Postoperative Hypocalcemia in Patients Undergoing Parathyroidectomy Due to Primary Hyperparathyroidism. Langenbecks Arch. Surg. 2023, 408, 71. [Google Scholar] [CrossRef]
- Singh, S.; Grabner, A.; Yanucil, C.; Schramm, K.; Czaya, B.; Krick, S.; Czaja, M.J.; Bartz, R.; Abraham, R.; Di Marco, G.S.; et al. Fibroblast Growth Factor 23 Directly Targets Hepatocytes to Promote Inflammation in Chronic Kidney Disease. Kidney Int. 2016, 90, 985–996. [Google Scholar] [CrossRef]
- Gutierrez, O.; Isakova, T.; Rhee, E.; Shah, A.; Holmes, J.; Collerone, G.; Jüppner, H.; Wolf, M. Fibroblast Growth Factor-23 Mitigates Hyperphosphatemia but Accentuates Calcitriol Deficiency in Chronic Kidney Disease. J. Am. Soc. Nephrol. 2005, 16, 2205–2215. [Google Scholar] [CrossRef]
- Puliani, G.; Hasenmajer, V.; Spaziani, M.; Frusone, F.; Tarantino, C.; Angelini, F.; Vincenzi, L.; Lubrano, R.; Marcellino, A.; Biffoni, M.; et al. Case Report: Prolonged and Severe Hungry Bone Syndrome after Parathyroidectomy in X-Linked Hypophosphatemia. Front. Endocrinol. 2025, 15, 1496386. [Google Scholar] [CrossRef]
- Yu, E.W.; Kumbhani, R.; Siwila-Sackman, E.; Leder, B.Z. Acute Decline in Serum Sclerostin in Response to PTH Infusion in Healthy Men. J. Clin. Endocrinol. Metab. 2011, 96, E1848–E1851. [Google Scholar] [CrossRef]
- Mause, S.F.; Deck, A.; Hennies, M.; Kaesler, N.; Evenepoel, P.; Boisvert, W.A.; Janssen, U.; Brandenburg, V.M. Validation of Commercially Available ELISAs for the Detection of Circulating Sclerostin in Hemodialysis Patients. Discoveries 2016, 4, e55. [Google Scholar] [CrossRef]
- Novacescu, D.; Cut, T.G.; Cumpanas, A.A.; Bratosin, F.; Ceausu, R.A.; Raica, M. Novel Expression of Thymine Dimers in Renal Cell Carcinoma, Demonstrated through Immunohistochemistry. Biomedicines 2022, 10, 2673. [Google Scholar] [CrossRef]
- Novacescu, D.; Cut, T.G.; Cumpanas, A.A.; Latcu, S.C.; Bardan, R.; Ferician, O.; Secasan, C.-C.; Rusmir, A.; Raica, M. Evaluating Established Roles, Future Perspectives and Methodological Heterogeneity for Wilms’ Tumor 1 (WT1) Antigen Detection in Adult Renal Cell Carcinoma, Using a Novel N-Terminus Targeted Antibody (Clone WT49). Biomedicines 2022, 10, 912. [Google Scholar] [CrossRef]
- Amjad, W.; Ginzberg, S.P.; Passman, J.E.; Heintz, J.; Kelz, R.R.; Wachtel, H. Predictive Risk Score for Postparathyroidectomy Hungry Bone Syndrome in Patients with Secondary Hyperparathyroidism. J. Clin. Endocrinol. Metab. 2024, 109, 603–610. [Google Scholar] [CrossRef] [PubMed]
- Chai, Y.; Yuan, N.; Yin, J.; Shen, B.; Sun, L.; Zhang, L.; Yin, L.; Wang, X.; Luo, F.; Luo, C. Machine Learning-Based Predictive Model for Hungry Bone Syndrome Following Parathyroidectomy in Secondary Hyperparathyroidism. Front. Endocrinol. 2025, 16, 1635451. [Google Scholar] [CrossRef] [PubMed]
- Kritmetapak, K.; Kongpetch, S.; Chotmongkol, W.; Raruenrom, Y.; Sangkhamanon, S.; Pongchaiyakul, C. Incidence of and Risk Factors for Post-Parathyroidectomy Hungry Bone Syndrome in Patients with Secondary Hyperparathyroidism. Ren. Fail. 2020, 42, 1118–1126. [Google Scholar] [CrossRef] [PubMed]
- Chandran, M.; Bilezikian, J.P.; Salleh, N.M.; Ying, H.; Lau, J.; Lee, J.; deJong, M.C.; Chan Maung, A.; Parameswaran, R. Hungry Bone Syndrome Following Parathyroidectomy for Primary Hyperparathyroidism in a Developed Country in the Asia Pacific. A Cohort Study. Osteoporos. Sarcopenia 2022, 8, 11–16. [Google Scholar] [CrossRef]
- He, C.; Zhang, Y.; Li, L.; Cheng, G.; Zhang, W.; Tang, Y.; Wang, C. Risk Factor Analysis and Prediction of Severe Hypocalcemia after Total Parathyroidectomy without Auto-Transplantation in Patients with Secondary Hyperparathyroidism. Int. J. Endocrinol. 2023, 2023, 1901697. [Google Scholar] [CrossRef]
- Cao, R.; Jiang, H.; Liang, G.; Zhang, W. Dynamic Nomogram for Predicting Hungry Bone Syndrome before Parathyroidectomy. Endocrine 2024, 83, 196–204. [Google Scholar] [CrossRef]
- Wang, Y.; Wei, B.; Zhao, T.; Shen, H.; Liu, X.; Wang, J.; Wang, Q.; Shen, R.; Feng, D. Machine Learning-Based Prediction Models for Parathyroid Carcinoma Using Pre-Surgery Cognitive Function and Clinical Features. Sci. Rep. 2023, 13, 19007. [Google Scholar] [CrossRef]
- Wilhelm, S.M.; Wang, T.S.; Ruan, D.T.; Lee, J.A.; Asa, S.L.; Duh, Q.-Y.; Doherty, G.M.; Herrera, M.F.; Pasieka, J.L.; Perrier, N.D.; et al. The American Association of Endocrine Surgeons Guidelines for Definitive Management of Primary Hyperparathyroidism. JAMA Surg. 2016, 151, 959–968. [Google Scholar] [CrossRef]
- Ketteler, M.; Block, G.A.; Evenepoel, P.; Fukagawa, M.; Herzog, C.A.; McCann, L.; Moe, S.M.; Shroff, R.; Tonelli, M.A.; Toussaint, N.D.; et al. Executive Summary of the 2017 KDIGO Chronic Kidney Disease-Mineral and Bone Disorder (CKD-MBD) Guideline Update: What’s Changed and Why It Matters. Kidney Int 2017, 92, 26–36. [Google Scholar] [CrossRef] [PubMed]
- Adult Haemodialysis Patients Undergoing Parathyroidectomy (Guidelines)|Right Decisions. Available online: https://rightdecisions.scot.nhs.uk/tam-treatments-and-medicines-nhs-highland/adult-therapeutic-guidelines/renal-disorders/adult-haemodialysis-patients-undergoing-parathyroidectomy-guidelines/ (accessed on 10 October 2025).
- Chindris, A.-M.; Desai, K.; Ozgursoy, S.K.; Heckman, M.G.; Casler, J.D. A Parathyroid Hormone–Guided Calcium and Calcitriol Supplementation Protocol Reduces Hypocalcemia-Related Readmissions Following Total Thyroidectomy. Endocr. Pract. 2023, 29, 260–265. [Google Scholar] [CrossRef] [PubMed]
- Wong, J.; Fu, W.H.; Lim, E.L.A.; Ng, C.F.J.; Choong, H.L. Hungry Bone Syndrome after Parathyroidectomy in End-Stage Renal Disease Patients: Review of an Alkaline Phosphatase-Based Treatment Protocol. Int. Urol. Nephrol. 2020, 52, 557–564. [Google Scholar] [CrossRef] [PubMed]
- Wang, L.; Zhang, X.; Hu, F.; Yuan, H.; Gao, Z.; He, L.; Zou, S. Impact of Enhanced Recovery after Surgery Program for Hungry Bone Syndrome in Patients on Maintenance Hemodialysis Undergoing Parathyroidectomy for Secondary Hyperparathyroidism. Ann. Surg. Treat. Res. 2022, 103, 264–270. [Google Scholar] [CrossRef]
- Ferreira, J.L.; De Brito Marques, F.; Freire, L.; Soares, V.; Guerreiro, L.; Silva, S.; Guedes, C. Intensive Calcium Monitoring Improves Outcomes on Hungry Bone Syndrome in Hyperparathyroidism. Endocr. Regul. 2021, 55, 30–41. [Google Scholar] [CrossRef]
- Cartwright, C.; Anastasopoulou, C. Hungry Bone Syndrome. In StatPearls; StatPearls Publishing: Treasure Island, FL, USA, 2025. [Google Scholar]
- Delos Santos, R.; Rossi, A.; Coyne, D.; Maw, T.T. Management of Post-Transplant Hyperparathyroidism and Bone Disease. Drugs 2019, 79, 501–513. [Google Scholar] [CrossRef]
- Holick, M.F.; Binkley, N.C.; Bischoff-Ferrari, H.A.; Gordon, C.M.; Hanley, D.A.; Heaney, R.P.; Murad, M.H.; Weaver, C.M.; Endocrine Society. Evaluation, Treatment, and Prevention of Vitamin D Deficiency: An Endocrine Society Clinical Practice Guideline. J. Clin. Endocrinol. Metab. 2011, 96, 1911–1930. [Google Scholar] [CrossRef]
- Shoback, D.M.; Bilezikian, J.P.; Costa, A.G.; Dempster, D.; Dralle, H.; Khan, A.A.; Peacock, M.; Raffaelli, M.; Silva, B.C.; Thakker, R.V.; et al. Presentation of Hypoparathyroidism: Etiologies and Clinical Features. J. Clin. Endocrinol. Metab. 2016, 101, 2300–2312. [Google Scholar] [CrossRef]
- Barraud, S.; Lopez, A.G.; Sokol, E.; Menegaux, F.; Briet, C. Chapter 14: Post Surgical Follow-up of Primary Hyperparathyroidism. Ann Endocrinol 2025, 86, 101703. [Google Scholar] [CrossRef]
- Stack, B.C.; Bimston, D.N.; Bodenner, D.L.; Brett, E.M.; Dralle, H.; Orloff, L.A.; Pallota, J.; Snyder, S.K.; Wong, R.J.; Randolph, G.W. American Association of Clinical Endocrinologists And American College of Endocrinology Disease State Clinical Review: Postoperative Hypoparathyroidism—Definitions and Management. Endocr. Pr. 2015, 21, 674–685. [Google Scholar] [CrossRef]


| Type | Name | Predictive Threshold | Performance Metrics | Specific Considerations | Limitations | |
|---|---|---|---|---|---|---|
| Traditional Biomarkers | Regulatory | intact (i)PTH | >1000 pg/mL | Sensitivity: 100%; Specificity: 94.1%; Accuracy: 96.8%; PPV: 93.8–100%; NPV: 100% [86]. | Part of 2-point scoring system (NYU). Mean PTH (2167.2 pg/mL) ↑ in HBS. Validated in CKD-associated SHPT (n = 33). | Pre-PTX calcimimetic therapy may ↓ PTH levels. Inter-assay variability (2–3× for the same sample). Possible “uremic PTH” resistance (↓ bone tissue responsiveness). |
| >2433.1 pg/mL | AUC: 0.873; (95% CI: 0.785–0.961) [87]. | Extremely ↑ threshold in Chinese dialysis patients (n = 75). Higher threshold needed for Asians. | ||||
| Formation | Total ALP | >150 U/L | +PTH > 1000 pg/mL: Sensitivity: 100% Specificity: 94.1%; Accuracy: 96.8% [86]. | ↓ threshold for screening. Part of validated NYU 2-point score. Simple bedside calculation: ALP > 150 + PTH > 1000 = high PPV (~94%) for HBS. | Non-specific: Includes hepatic sources. Population variations: Different optimal thresholds dependent on ethnicity and disease severity. Requires additional validation in more diverse demographics. Very ↑ thresholds (~250–300 U/L) generally improve specificity, albeit with the price of lowering sensitivity = missing milder cases. | |
| >199.5 U/L | Sensitivity: 80.85%; Specificity: 82.61%; AUC: 0.871 [78]. | Independent predictor in multivariate analysis (threshold from pooled data). Supported by a meta-analysis, yet inter-study heterogeneity exists. | ||||
| >289.5 U/L | AUC: 0.926; (95% CI: 0.871–0.980) [87]. | Highest single marker performance reported. Validated in a dialysis SHPT cohort (n = 75). | ||||
| >340 U/L | Sensitivity: 100%; Specificity: 95%; PPV: 100% [88]. | Protective if <340 U/L in PHPT (n = 29). Threshold may be too high for SHPT (most CKD patients never reach such levels pre-op). | ||||
| ↑ Pre-PTX mean | Δ HBS vs. non-HBS: 415 vs. 221 U/L (OR ≈ 1.005 per unit ↑; p = 0.008) [24,89]. | ALP difference is clinically significant (≈2 × ↑ in HBS). Independent predictor in SHPT (n = 62). Wide range between groups: ↑ values strongly indicate HBS, but moderate ones may need context (bone vs. liver origin). | ||||
| Minerals | Ca2+ (corrected) | <2.44 mmol/L * (≈9.5 mg/dL) | ↓ Mean pre-PTX in HBS vs. non-HBS: 2.44 vs. 2.60 mmol/L (p = 0.001) [24]. | ↓ Pre-op Ca2+ = ↑ HBS risk, i.e., depleted skeletal stores and active uptake favor post-op “Ca2+ crash”. Consistently predictive for HBS (n = 62); part of risk models. Early post-op Ca2+ decline velocity = a rapid drop further flags onset. | Influenced by dialysis prescription, nutritional status, and vitamin D therapy. Diagnostic criterion post-PTX—consequence rather than predictor –, yet here the magnitude of the drop is what counts. Best interpreted alongside PTH and ALP for HBS risk assessment. | |
| Δ ≈ −0.96 mg/dL | Pre-PTX mean Ca2+ HBS vs. non-HBS (p = 0.004) [86]. | ↑ Pre-PTX Ca2+ is protective. HBS cases start ~1.0 mg/dL lower in baseline Ca2+ on average, e.g., 9.6 vs. 10.4 mg/dL (n = 36, p = 0.01). In dialysis cases (n = 33), ↓ Ca2+ was one of the only significant pre-PTX predictors for HBS. Moderate stand-alone PV: HBS with normal baseline Ca2+, especially in adynamic bone disease. | ||||
| PO43− | Δ ≈ +3.5 mg/dL | Pre-PTX mean PO43−: HBS vs. non-HBS (p < 0.001) [86]. | Noted primarily in non-CKD settings—e.g., in PHPT, HBS patients had ↑ PO43−. In SHPT, PO43− reflects severity, but has not shown strong HBS PV. Pre-PTX ↑ PO43− may predict HBS risk. In dialysis patients, despite HBS cases having ↑ mean PO43−, when accounting for PTH and ALP, PO43− was not an independent HBS predictor. | Dialysis-dependent changes. PO43− binders affect levels. Most dialysis patients present with ↑ PO43−, limiting discriminatory power in CKD-SHPT. Not reliable as a sole predictor—inconsistent HBS PV. | ||
| Novel | Formation | BALP | >42 μg/L * | Sensitivity: 79%; Specificity: 82%; AUC: 0.80–0.85 [23]. | More specific than total ALP. Less biological variability than PTH. Independent predictor in Wang nomogram (n = 114). Peaks ~2 weeks post-PTX (after Ca2+ nadir), indicating continued osteoblastic activity. Useful when ALP accumulation is a concern (liver disease or dialysis ineligibility). | ↑ costs/↓ availability of assays have prevented widespread clinical adoption. |
| P1NP (intact) | >80 μg/L * | No HBS PV in CKD-SHPT reported. Only one PHPT study: p = 0.427 [90]. | Minimal circadian variation. Normal range: 15–80 μg/L. A sensitive formation marker in osteoporosis. Promising direction, despite not correlating with HBS risk thus far, in CKD-SHPT. | Not validated for HBS. KDIGO: not recommended in CKD. Accurately reflects osteogenesis activity. | ||
| Osteocalcin | NE | Mixed results: ↓ Pre-PTX in HBS; OR: 1.001 per ng/mL for ↑ hospital stay; ↑ Post-PTX: 264 → 478 ng/mL (p < 0.001) [89]. | ↑ Osteocalcin = ↑ bone turnover. Independent pre-PTX predictor for ↑HBS hospitalization, alongside ALP, in large dialysis cohort (n = 260). Dual marker (formation + resorption). Significant surge post-PTX, reflecting osteoblast activity boom. | Significant circadian variation (morning fasting sample). Vitamin K dependent. Accumulates in ESRD. | ||
| Resorption | CTX/NTX | NE | No HBS PV in CKD-SHPT reported. HBS vs. non-HBS: CTX (p = 0.110); NTX (p = 0.273) [21]. | Normal range: CTX 0–0.3 μg/L; NTX 15.1–36.4 μg/L. Pre-PTX CTX: 6.0 (4.86, 6.0) μg/L; Pre-PTX NTX: 1200.0 (1057.75, 1232.2) μg/L Post-PTX: CTX ↓ significantly to 1.56 μg/L (p < 0.001); NTX did not (p = 0.794)—possibly due to hemodialysis. ↑ threshold suggests severe turnover. ~78% drop at 6–12 months post-PTX, mirroring the decline in bone resorption activity. | Limited utility in CKD—renal clearance: ↑ CTX/NTX with ↓ GFR. ↑ biological variability + ↑ circadian variations (morning fasting sample). Results differ by HPT subtype. NTX affected by hemodialysis (56.6% ↓/session). | |
| TRAP-5b | >10–15 U/L * | ↑ Pre-PTX in HBS vs. non-HBS: 12.44 vs. 6.24 IU/L (p = 0.001, n = 115); Marked post-PTX ↓: 7.20 ± 4.11 IU/L (p < 0.001) [21]. | Normal range: 3.25 ± 0.59 U/L. Pre-PTX mean: 11.89 ± 6.30 IU/L. Specific to osteoclastic activity. Post-PTX, prompt drop (~40% in 3 days) as bone resorption abates. Correlated with pre-PTX iPTH (r = 0.783, p < 0.001) and IV Ca2+ supplementation dose (r = 0.445, p < 0.001). Despite univariate significance, not an independent HBS predictor when accounting for ALP and Ca2+. | Not affected by renal clearance (metabolized by liver)—maintains reliability in ESRD. Still considered only a research marker for CKD patients. No validated HBS cutoff to date (insufficient data). More studies needed to define predictive thresholds. | ||
| Regulatory | FGF-23 | NE | Research use only. No HBS-specific data. | Markedly ↑ in CKD (100–1000× ULN) [91], due to PO43− retention [92]. May ↓ post-PTX in SHPT, as PO43− normalizes. A case of tertiary HPT in X-linked hypophosphatemia noted severe HBS despite inherently ↑ FGF-23 levels [93]. | Very costly, specialized assay. Not widely accessible. Unclear utility: Δ among HPT subtypes. So far, not used for HBS risk stratification. | |
| Sclerostin | NE | Discriminates turnover. No HBS-specific metrics. | ↑ in CKD (3–5× ULN in dialysis patients) [39]. Suppressed by chronically ↑ PTH—sclerostin levels lower than they would be; hence levels tend to ↑ after PTX removes suppression (in CKD-MBD) [94]. May correlate with bone pain (limited CKD evidence). | Up to 4× assay variability between platforms [7,95]. Research marker currently—not used clinically for HBS prediction. |
| Model Components | Scoring/Calculation | Risk Categories | Performance | Validation | |
|---|---|---|---|---|---|
| NYU 2-Pt. Score [86] | ALP > 150 U/L (1 pt.); PTH > 1000 pg/mL (1 pt.). | Total score: 0–2 points. | 0: Low risk; 1: High risk; 2: Very high risk. | Accuracy: 96.8%; Sensitivity: 100%; Specificity: 94%; PPV (1 pt.): 93.8%; PPV (2 pts.): 100%; NPV (0 pts.): 100%. | Internal validation: Boruta + Logistic Regression. Small, single-center (n = 33). Informal external validation. |
| Gao Nomogram [87] | iPTH (continuous); ALP (continuous). | Logit(P) = −0.253 + 0.0095 × ALP + 0.00105 × iPTH. | Continuous risk probability (0–100%). | C-index: 0.943 (0.892–0.994); AUC (iPTH): 0.873; AUC (ALP): 0.926; H-L: χ2 = 3.405, p = 0.474; Cutoffs: iPTH 2433.1 pg/mL, ALP 289.5 U/L. | Internal bootstrap validation (1000 iterations); Single center (n = 75); Excellent calibration. |
| Wang Nomogram [24] | Continuous values for: iPTH; BALP; Corrected Ca2+; Gland weight (g). | Visual Nomogram. | Continuous risk probability (0–100%). | Outperforms single predictors: Nomogram AUC ≈ 0.920 > 0.844 (iPTH); 0.776 (BALP); 0.701 (weight); 0.655 (Ca2+). | Internal bootstrap validation (1000 iterations); Single center (n = 114); HBS: 76.3%. No large external validation study until now. |
| USRDS Risk Score [98] | Age < 48 years (+2 pts.); Dialysis ≥ 5 years (+1 pt.); Renal osteodystrophy (+1 pt.); Kidney transplant vintage ≥3 years (+1 pt.); Elixhauser score ≥5 (+1 pt.). | Weighted β-coefficients: 0–6 pts. | 0: ~8% risk; 1–2: 12–18%; 3–4: 26–35%; 5–6: ~44%. | Accuracy: 46.5%; Sensitivity: 75.6%; Specificity: 40.7%; PPV: 20.3%; NPV: 89.3%. | 75% training, 25% validation; National registry (n = 17,074). HBS rates: from 8% (0 pts.) to 44% (6 pts.). ↑ ICU admissions in HBS: 33.5% vs. 24.6% (p < 0.001). |
| XGBoost ML [99] | Continuous values for: Age; Corrected Ca2+; ALP; Pre-PTX PTH; %PTH = PTH decay between Pre-PTX vs. at skin closure. | ML algorithm + SHAP | Low-risk: <20%; Moderate-risk: 20–35%; High-risk: ≥35% | AUC: 0.878 (0.779–0.973); F1 score: 0.871 (for the validation cohort); Sensitivity: 87.1%; Specificity: 81.8%. | 70% training, 30% validation; Single center (n = 181); Factor selection: Logistic regression + Boruta algorithm. Available as Web application. |
Disclaimer/Publisher’s Note: The statements, opinions and data contained in all publications are solely those of the individual author(s) and contributor(s) and not of MDPI and/or the editor(s). MDPI and/or the editor(s) disclaim responsibility for any injury to people or property resulting from any ideas, methods, instructions or products referred to in the content. |
© 2025 by the authors. Licensee MDPI, Basel, Switzerland. This article is an open access article distributed under the terms and conditions of the Creative Commons Attribution (CC BY) license (https://creativecommons.org/licenses/by/4.0/).
Share and Cite
Coman, A.; Tarta, C.; Isaic, A.; Marian, M.; Olariu, S.; Ardelean, A.; Macovei-Oprescu, A.-M.; Roland, F.; Pupca, G.-N.; Latcu, S.; et al. Predictors of Hungry Bone Syndrome After Parathyroidectomy in Secondary Hyperparathyroidism: A Narrative Review of Bone Turnover Biomarkers and Risk Prediction Tools. J. Clin. Med. 2025, 14, 7849. https://doi.org/10.3390/jcm14217849
Coman A, Tarta C, Isaic A, Marian M, Olariu S, Ardelean A, Macovei-Oprescu A-M, Roland F, Pupca G-N, Latcu S, et al. Predictors of Hungry Bone Syndrome After Parathyroidectomy in Secondary Hyperparathyroidism: A Narrative Review of Bone Turnover Biomarkers and Risk Prediction Tools. Journal of Clinical Medicine. 2025; 14(21):7849. https://doi.org/10.3390/jcm14217849
Chicago/Turabian StyleComan, Adina, Cristi Tarta, Alexandru Isaic, Marco Marian, Sorin Olariu, Andrei Ardelean, Anca-Monica Macovei-Oprescu, Fazakas Roland, Gheorghe-Nanu Pupca, Silviu Latcu, and et al. 2025. "Predictors of Hungry Bone Syndrome After Parathyroidectomy in Secondary Hyperparathyroidism: A Narrative Review of Bone Turnover Biomarkers and Risk Prediction Tools" Journal of Clinical Medicine 14, no. 21: 7849. https://doi.org/10.3390/jcm14217849
APA StyleComan, A., Tarta, C., Isaic, A., Marian, M., Olariu, S., Ardelean, A., Macovei-Oprescu, A.-M., Roland, F., Pupca, G.-N., Latcu, S., Suciu, C. S., & Murariu, M. (2025). Predictors of Hungry Bone Syndrome After Parathyroidectomy in Secondary Hyperparathyroidism: A Narrative Review of Bone Turnover Biomarkers and Risk Prediction Tools. Journal of Clinical Medicine, 14(21), 7849. https://doi.org/10.3390/jcm14217849

