Artificial Intelligence as a Diagnostic Tool in Preoperative Surgical Planning for Early Non-Small Cell Lung Cancer: A Single-Center Experience
Abstract
1. Introduction
2. Materials and Methods
2.1. Patients
- Patients who received neoadjuvant therapy before surgery;
- Patients with early NSCLC who underwent another type of surgery;
- Patients who underwent VATS or open approach lobectomy for early NSCLC in whom the condition of R0 resection is not achieved, or do not belong to the early stage of NSCLC, i.e., in patients with a patohistological findings that corresponds to another type of primary lung malignancy that does not belong to NSCLC, metastatic disease in the lungs of another primary location or tumors of benign etiology.
2.2. Data Collection
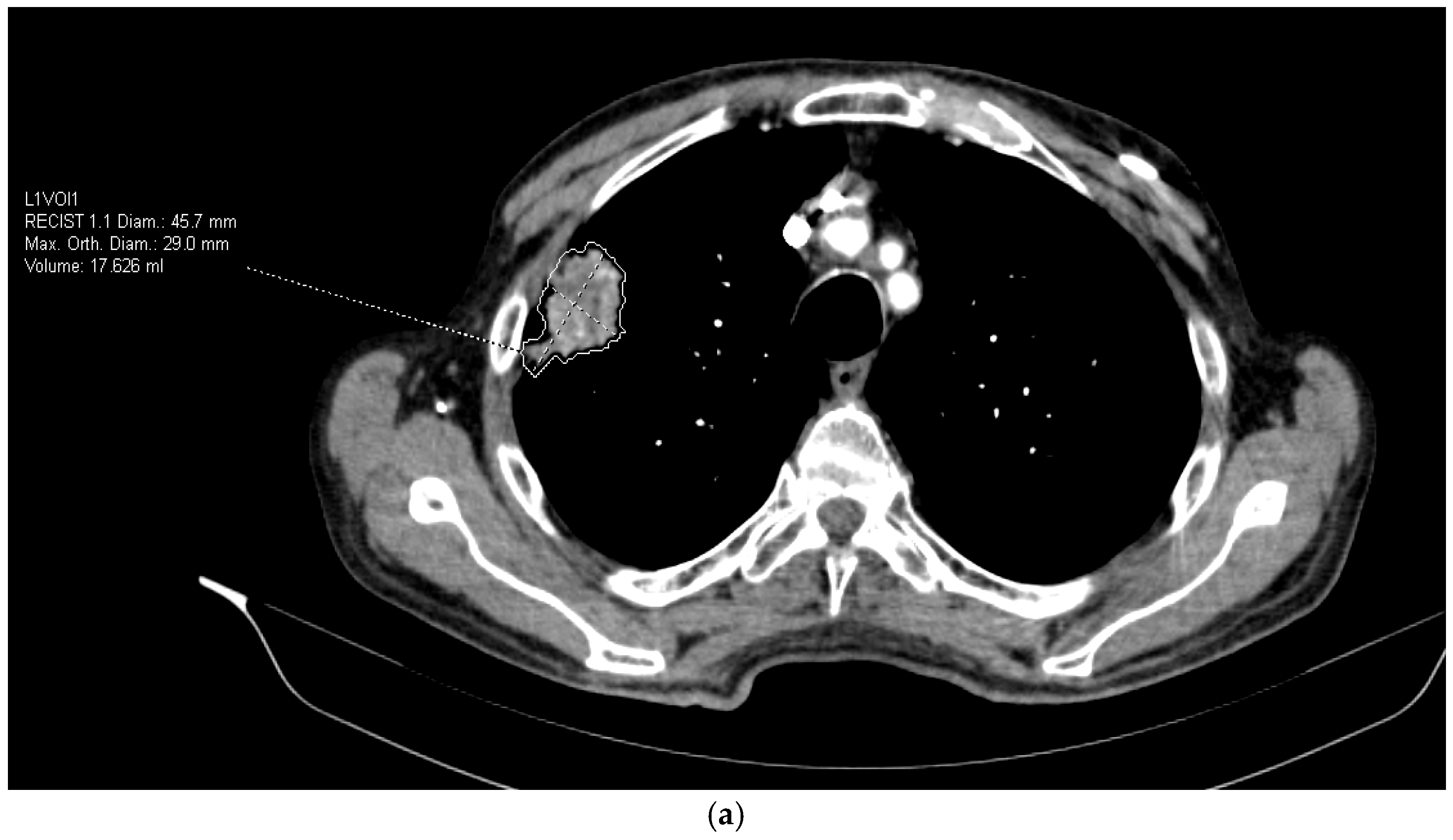
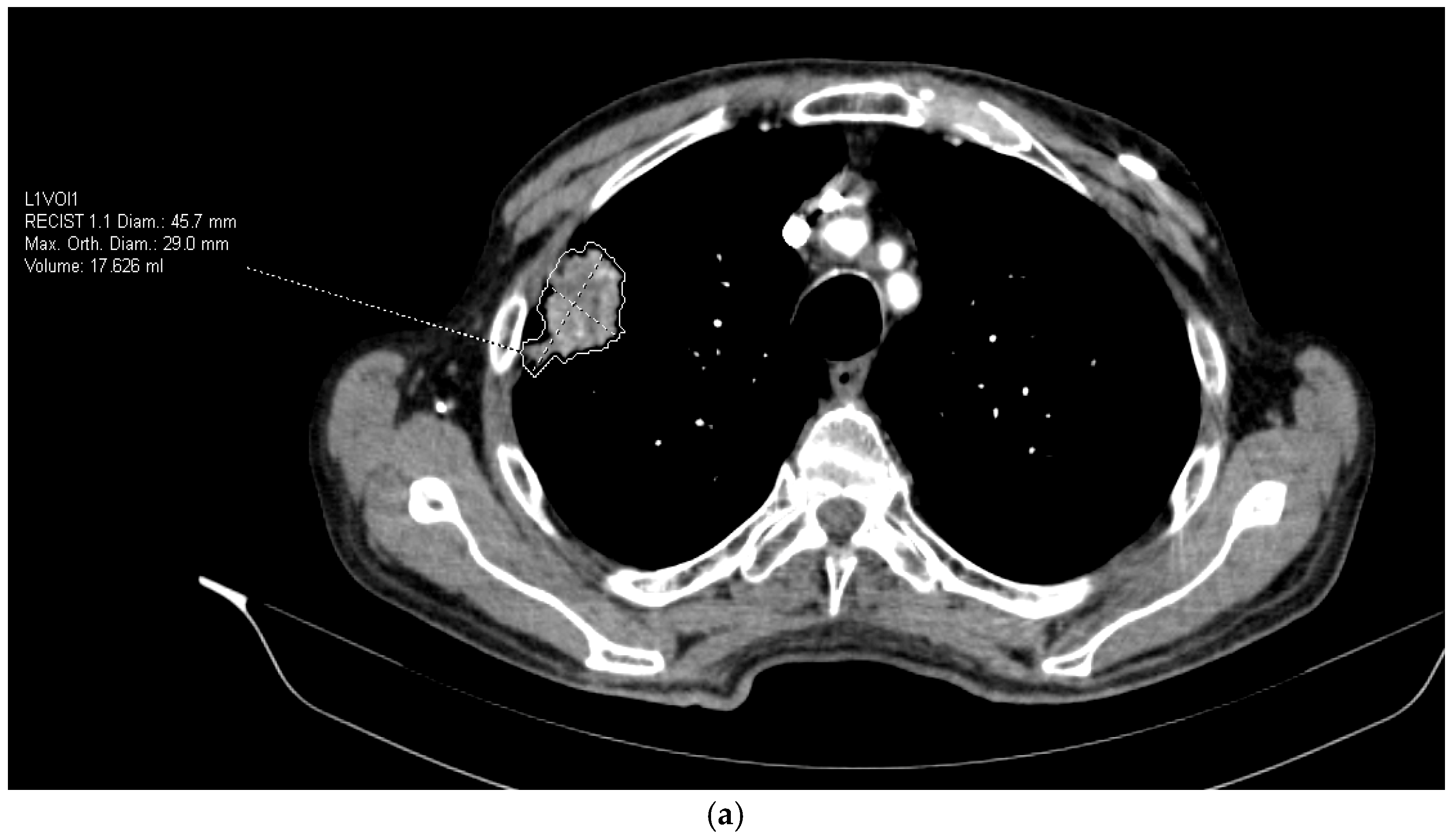
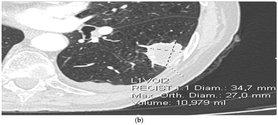
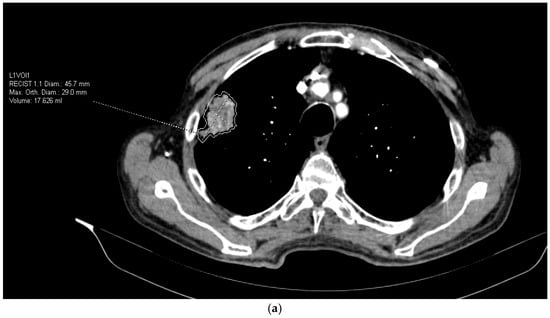
2.3. Radiomics Extraction from CT Images
- Lesion morphology: maximum diameter (mm), volume (mm3), shape irregularity;
- Texture features: mean attenuation, entropy, skewness, kurtosis, gray-level co-occurrence metrics;
- Lymph node characteristics: hypervascular, round, >10 mm short axis as criteria for a pathological process;
- Lymphovascular tumor invasion characteristics: distortion of lymphatic and blood vessels or direct infiltration thereof.
2.4. Model Development
2.5. Model Evaluation and Validation
2.6. Statistical Analysis
2.7. Ethical Aspects
3. Results
4. Discussion
5. Conclusions
Author Contributions
Funding
Institutional Review Board Statement
Informed Consent Statement
Data Availability Statement
Conflicts of Interest
References
- International Agency for Research on Cancer World Health Organization. Global Cancer Observatory: Cancer Today. Available online: https://gco.iarc.who.int/today (accessed on 10 August 2025).
- Xie, X.; Li, X.; Tang, W.; Xie, P.; Tan, X. Primary tumor location in lung cancer: The evaluation and administration. Chin. Med. J. 2021, 135, 127–136. [Google Scholar] [CrossRef]
- Khan, J.A.; Albalkhi, I.; Garatli, S.; Migliore, M. Recent Advancements in Minimally Invasive Surgery for Early Stage Non-Small Cell Lung Cancer: A Narrative Review. J. Clin. Med. 2024, 13, 3354. [Google Scholar] [CrossRef]
- Kamigaichi, A.; Hamada, A.; Tsutani, Y. Segmentectomy for patients with early-stage pure-solid non-small cell lung cancer. Front. Oncol. 2023, 13, 1287088. [Google Scholar] [CrossRef]
- Xu, Z.; Ma, Z.; Zhao, F.; Li, J.; Kong, R.; Li, S.; Jiang, J.; Kang, H.; Liu, D. Choice of wedge resection for selected T1a/bN0M0 non-small cell lung cancer. Sci. Rep. 2024, 14, 24206. [Google Scholar] [CrossRef]
- Li, J.; Wang, Y.; Li, J.; Cao, S.; Che, G. Meta-analysis of Lobectomy and Sublobar Resection for Stage I Non-small Cell Lung Cancer with Spread Through Air Spaces. Clin. Lung Cancer 2022, 23, 208–213. [Google Scholar] [CrossRef]
- Dai, Z.Y.; Shen, C.; Wang, X.; Wang, F.Q.; Wang, Y. Could less be enough: Sublobar resection vs. lobectomy for clinical stage IA non-small cell lung cancer patients with visceral pleural invasion or spread through air spaces. Int. J. Surg. 2025, 111, 2675–2685. [Google Scholar] [CrossRef] [PubMed]
- Chen, L.; Chen, B.; Zhao, Z.; Shen, L. Using artificial intelligence based imaging to predict lymph node metastasis in non-small cell lung cancer: A systematic review and meta-analysis. Quant. Imaging Med. Surg. 2024, 14, 7496–7512. [Google Scholar] [CrossRef] [PubMed]
- Lococo, F.; Ghaly, G.; Flamini, S.; Campanella, A.; Chiappetta, M.; Bria, E.; Vita, E.; Tortora, G.; Evangelista, J.; Sassorossi, C.; et al. Artificial intelligence applications in personalizing lung cancer management: State of the art and future perspectives. J. Thorac. Dis. 2024, 16, 7096–7110. [Google Scholar] [CrossRef] [PubMed]
- Masood, A.; Sheng, B.; Li, P.; Hou, X.; Wei, X.; Qin, J.; Feng, D. Computer-Assisted Decision Support System in Pulmonary Cancer detection and stage classification on CT images. J. Biomed. Inform. 2018, 79, 117–128. [Google Scholar] [CrossRef]
- Cheung, E.Y.W.; Kwong, V.H.Y.; Ng, K.C.F.; Lui, M.K.Y.; Li, V.T.W.; Lee, R.S.T.; Ham, W.K.P.; Chu, E.S.M. Overall Staging Prediction for Non-Small Cell Lung Cancer (NSCLC): A Local Pilot Study with Artificial Neural Network Approach. Cancers 2025, 17, 523. [Google Scholar] [CrossRef]
- Libling, W.A.; Korn, R.; Weiss, G.J. Review of the use of radiomics to assess the risk of recurrence in early-stage non-small cell lung cancer. Transl. Lung Cancer Res. 2023, 12, 1575–1589. [Google Scholar] [CrossRef]
- Collins, G.S.; Moons, K.G.M.; Dhiman, P.; Riley, R.D.; Beam, A.L.; Van Calster, B.; Ghassemi, M.; Liu, X.; Reitsma, J.B.; van Smeden, M.; et al. TRIPOD+AI statement: Updated guidance for reporting clinical prediction models that use regression or machine learning methods. BMJ 2024, 385, e078378. [Google Scholar] [CrossRef]
- Murakami, J.; Ueda, K.; Tanaka, T.; Kobayashi, T.; Hamano, K. Grading of Emphysema Is Indispensable for Predicting Prolonged Air Leak After Lung Lobectomy. Ann. Thorac. Surg. 2018, 105, 1031–1037. [Google Scholar] [CrossRef]
- Sato, S.; Nakamura, M.; Shimizu, Y.; Goto, T.; Koike, T.; Ishikawa, H.; Tsuchida, M. The impact of emphysema on surgical outcomes of early-stage lung cancer: A retrospective study. BMC Pulm. Med. 2019, 19, 73. [Google Scholar] [CrossRef]
- Pompili, C.; Falcoz, P.E.; Salati, M.; Szanto, Z.; Brunelli, A. A risk score to predict the incidence of prolonged air leak after video-assisted thoracoscopic lobectomy: An analysis from the European Society of Thoracic Surgeons database. J. Thorac. Cardiovasc. Surg. 2017, 153, 957–965. [Google Scholar] [CrossRef] [PubMed]
- Stirling, R.G.; Chau, C.; Shareh, A.; Zalcberg, J.; Fischer, B.M. Effect of Follow-Up Surveillance After Curative-Intent Treatment of NSCLC on Detection of New and Recurrent Disease, Retreatment, and Survival: A Systematic Review and Meta-Analysis. J. Thorac. Oncol. 2021, 5, 784–797. [Google Scholar] [CrossRef] [PubMed]
- Leivaditis, V.; Maniatopoulos, A.A.; Lausberg, H.; Mulita, F.; Papatriantafyllou, A.; Liolis, E.; Beltsios, E.; Adamou, A.; Kontodimopoulos, N.; Dahm, M. Artificial Intelligence in Thoracic Surgery: A Review Bridging Innovation and Clinical Practice for the Next Generation of Surgical Care. J. Clin. Med. 2025, 14, 2729. [Google Scholar] [CrossRef]
- Lee, D.; Yoon, S.N. Application of Artificial Intelligence-Based Technologies in the Healthcare Industry: Opportunities and Challenges. Int. J. Environ. Res. Public Health 2021, 18, 271. [Google Scholar] [CrossRef] [PubMed]
- Lundervold, A.S.; Lundervold, A. An Overview of Deep Learning in Medical Imaging Focusing on MRI. Z. Med. Phys. 2019, 29, 102–127. [Google Scholar] [CrossRef]
- Aerts, H.J.; Velazquez, E.R.; Leijenaar, R.T.; Parmar, C.; Grossmann, P.; Carvalho, S.; Bussink, J.; Monshouwer, R.; Haibe-Kains, B.; Rietveld, D.; et al. Decoding tumour phenotype by noninvasive imaging using a quantitative radiomics approach. Nat. Commun. 2014, 5, 4006, Erratum in Nat. Commun. 2014, 5, 4644. [Google Scholar] [CrossRef]
- Yue, X.; Cui, J.; Huang, S.; Liu, W.; Qi, J.; He, K.; Li, T. An interpretable radiomics-based machine learning model for predicting reverse left ventricular remodeling in STEMI patients using late gadolinium enhancement of myocardial scar. Eur. Radiol. 2025, 35, 6302–6312. [Google Scholar] [CrossRef]
- Zhan, Y.; Song, F.; Zhang, W.; Gong, T.; Zhao, S.; Lv, F. Prediction of benign and malignant pulmonary nodules using preoperative CT features: Using PNI-GARS as a predictor. Front. Immunol. 2024, 15, 1446511. [Google Scholar] [CrossRef]
- Coroller, T.P.; Grossmann, P.; Hou, Y.; Velazquez, E.R.; Leijenaar, R.T.H.; Hermann, G.; Lambin, P.; Haibe-Kains, B.; Mak, R.H.; Aerts, H.J.W.L. CT-based radiomic signature predicts distant metastasis in lung adenocarcinoma. Clin. Cancer Res. 2015, 21, 4744–4753. [Google Scholar] [CrossRef] [PubMed]
- Osarogiagbon, R.U.; Yu, X. Mediastinal lymph node examination and survival in resected early-stage non-small-cell lung cancer in the surveillance, epidemiology, and end results database. J. Thorac. Oncol. 2012, 12, 1798–1806. [Google Scholar] [CrossRef]
- Xia, Y.; Zhang, B.; Zhang, H.; Li, W.; Wang, K.P.; Shen, H. Evaluation of lymph node metastasis in lung cancer: Who is the chief justice? J. Thorac. Dis. 2015, 7, S231–S237. [Google Scholar] [CrossRef] [PubMed]
- Ziyade, S.; Pinarbasili, N.B.; Ziyade, N.; Akdemir, O.C.; Sahin, F.; Soysal, Ö.; Toker, A. Determination of standard number, size and weight of mediastinal lymph nodes in postmortem examinations: Reflection on lung cancer surgery. J. Cardiothorac. Surg. 2013, 8, 94. [Google Scholar] [CrossRef] [PubMed]
- Shimada, Y.; Kudo, Y.; Maehara, S.; Fukuta, K.; Masuno, R.; Park, J.; Ikeda, N. Artificial intelligence-based radiomics for the prediction of nodal metastasis in early-stage lung cancer. Sci. Rep. 2023, 13, 1028. [Google Scholar] [CrossRef]
- Zhang, H.; Liao, M.; Guo, Q.; Chen, J.; Wang, S.; Liu, S.; Xiao, F. Predicting N2 lymph node metastasis in presurgical stage I-II non-small cell lung cancer using multiview radiomics and deep learning method. Med. Phys. 2023, 50, 2049–2060. [Google Scholar] [CrossRef]
- Kajiyama, A.; Ito, K.; Watanabe, H.; Mizumura, S.; Watanabe, S.I.; Yatabe, Y.; Gomi, T.; Kusumoto, M. Consistency and prognostic value of preoperative staging and postoperative pathological staging using 18F-FDG PET/MRI in patients with non-small cell lung cancer. Ann. Nucl. Med. 2022, 36, 1059–1072. [Google Scholar] [CrossRef]
- Sung, S.Y.; Kwak, Y.K.; Lee, S.W.; Jo, I.Y.; Park, J.K.; Kim, K.S.; Lee, K.Y.; Kim, Y.S. Lymphovascular Invasion Increases the Risk of Nodal and Distant Recurrence in Node-Negative Stage I-IIA Non-Small-Cell Lung Cancer. Oncology 2018, 95, 156–162. [Google Scholar] [CrossRef]
- Wang, J.; Yang, Y.; Xie, Z.; Mao, G.; Gao, C.; Niu, Z.; Ji, H.; He, L.; Zhu, X.; Shi, H.; et al. Predicting Lymphovascular Invasion in Non-small Cell Lung Cancer Using Deep Convolutional Neural Networks on Preoperative Chest CT. Acad. Radiol. 2024, 31, 5237–5247. [Google Scholar] [CrossRef] [PubMed]
- Hosseini, S.A.; Hajianfar, G.; Ghaffarian, P.; Seyfi, M.; Hosseini, E.; Aval, A.H.; Servaes, S.; Hanaoka, M.; Rosa-Neto, P.; Chawla, S.; et al. PET radiomics-based lymphovascular invasion prediction in lung cancer using multiple segmentation and multi-machine learning algorithms. Phys. Eng. Sci. Med. 2024, 47, 1613–1625. [Google Scholar] [CrossRef]
- Wang, J.; Zheng, Z.; Zhang, Y.; Tan, W.; Li, J.; Xing, L.; Sun, X. 18F-FDG PET/CT radiomics for prediction of lymphovascular invasion in patients with early stage non-small cell lung cancer. Front. Oncol. 2023, 13, 1185808. [Google Scholar] [CrossRef] [PubMed]
- Kitazawa, S.; Wijesinghe, A.I.; Maki, N.; Yanagihara, T.; Saeki, Y.; Kobayashi, N.; Kikuchi, S.; Goto, Y.; Ichimura, H.; Sato, Y. Predicting Respiratory Complications Following Lobectomy Using Quantitative CT Measures of Emphysema. Int. J. Chron. Obstruct. Pulmon. Dis. 2021, 16, 2523–2531. [Google Scholar] [CrossRef] [PubMed]










| Patient Characteristics | Open Surgery | VATS | p |
|---|---|---|---|
| Gender | |||
| Male | 15 (51.7%) | 12 (54.5%) | 0.842 |
| Female | 14 (48.3%) | 10 (45.5%) | |
| Age * | 70 (56–82) | 70 (36–80) | 0.871 |
| Smoking | |||
| Nonsmoker | 2 (6.9%) | 1 (4.8%) | 0.754 |
| Smoker | 27 (93.1%) | 20 (95.2%) | |
| Lung function | |||
| FEV1 (%) * | 92.5 (59.0–139.0) | 96.0 (79.0–155.0) | 0.070 |
| FEV1 (liters) * | 2.32 (1.32–3.12) | 2.45 (1.78–4.69) | 0.123 |
| FVC (%) * | 106.5 (89.0–145.0) | 125.0 (90.0–389.0) | 0.009 |
| TIFF (%) * | 68.79 ± 10.06 | 68.06 ± 10.66 | 0.812 |
| DLCO (%) ** | 67.5 ± 17.6 | 77.6 ± 23.3 | 0.075 |
| KCO (%) ** | 71.2 ± 20.3 | 77.9 ± 24.2 | 0.389 |
| Comorbidities * | 1 (1–5) | 3 (1–5) | 0.038 |
| Length of hospitalization (days) * | 7 (4–33) | 3 (2–8) | <0.001 |
| Number of resected lymph nodes * | 9 (2–23) | 7.5 (2–32) | 0.667 |
| Postoperative complications, yes | 6 (20.7%) | 4 (19.1%) | 0.866 |
| Air leak, yes | 2 (6.9%) | 0 (0%) | 0.503 |
| Empyema, yes | 1 (100%) | 0 | 1.000 |
| Pneumonia, yes | 1 (100%) | 0 | 1.000 |
| Wound dehiscence, yes | 1 (50%) | 1 (50%) | 1.000 |
| Patient Characteristics | Overall Cohort | Open Surgery | VATS | p |
|---|---|---|---|---|
| Emphysema | ||||
| No | 25 (49%) | 13 (44.8%) | 12 (54.5%) | 0.492 |
| Yes | 26 (51%) | 16 (55.2%) | 10 (45.4%) | |
| Diameter of the tumor * | 35.4 (15.8–102.6) | 35.6 (15.8–72.0) | 34.6 (17.8–102.6) | 0.588 |
| Volume of the tumor * | 11.468 (1.565–217.276) | 11.588 (1.565–158.455) | 11.935 (1.851–217.276) | 0.985 |
| Pathological lymph nodes | ||||
| No | 33 (64.7%) | 19 (65.5%) | 14 (63.6%) | 0.889 |
| Yes | 18 (35.3%) | 10 (34.5%) | 8 (36.4%) | |
| Lymphovascular invasion | ||||
| No | 38 (74.5%) | 22 (75.8%) | 16 (72.7%) | 0.799 |
| Yes | 13 (25.5%) | 7 (24.2%) | 6 (27.3%) | |
| Satellite lesion (same lobe) | ||||
| No | 41 (80.4%) | 24 (82.8%) | 17 (77.3%) | 0.625 |
| Yes | 10 (19.6%) | 5 (17.2%) | 5 (22.7%) | |
| Satellite lesion, other lobe | ||||
| No | 49 (96%) | 28 (96.6%) | 21 (95.5%) | 1.000 |
| Yes | 2 (4%) | 1 (3.4%) | 1 (4.5%) | |
| Patient Characteristics | Overall Cohort | Open Surgery | VATS | p |
|---|---|---|---|---|
| Pathological lymph nodes | ||||
| No | 46 (90.2%) | 25 (86.2%) | 21 (95.5%) | 0.271 |
| Yes | 5 (9.8%) | 4 (13.8%) | 1 (4.5%) | |
| Tumor size, largest diameter (mm) * | 36.7 ± 13.5 | 38.9 ± 12.8 | 35.6 ± 14.3 | 0.184 |
| Lymphovascular invasion | ||||
| No | 27 (54%) | 12 (41.4%) | 15 (71.4%) | 0.035 |
| Yes | 23 (46%) | 17 (58.6%) | 6 (28.6%) | |
Disclaimer/Publisher’s Note: The statements, opinions and data contained in all publications are solely those of the individual author(s) and contributor(s) and not of MDPI and/or the editor(s). MDPI and/or the editor(s) disclaim responsibility for any injury to people or property resulting from any ideas, methods, instructions or products referred to in the content. |
© 2025 by the authors. Licensee MDPI, Basel, Switzerland. This article is an open access article distributed under the terms and conditions of the Creative Commons Attribution (CC BY) license (https://creativecommons.org/licenses/by/4.0/).
Share and Cite
Garabinovic, Z.; Savic, M.; Colic, N.; Rakocevic, J.; Ercegovac, M.; Mitrovic, M.; Lukic, K.; Vukmirovic, J.; Vasic Madzarevic, J.; Stevanovic, S.; et al. Artificial Intelligence as a Diagnostic Tool in Preoperative Surgical Planning for Early Non-Small Cell Lung Cancer: A Single-Center Experience. J. Clin. Med. 2025, 14, 7609. https://doi.org/10.3390/jcm14217609
Garabinovic Z, Savic M, Colic N, Rakocevic J, Ercegovac M, Mitrovic M, Lukic K, Vukmirovic J, Vasic Madzarevic J, Stevanovic S, et al. Artificial Intelligence as a Diagnostic Tool in Preoperative Surgical Planning for Early Non-Small Cell Lung Cancer: A Single-Center Experience. Journal of Clinical Medicine. 2025; 14(21):7609. https://doi.org/10.3390/jcm14217609
Chicago/Turabian StyleGarabinovic, Zeljko, Milan Savic, Nikola Colic, Jelena Rakocevic, Maja Ercegovac, Milos Mitrovic, Katarina Lukic, Jelica Vukmirovic, Jelena Vasic Madzarevic, Stefan Stevanovic, and et al. 2025. "Artificial Intelligence as a Diagnostic Tool in Preoperative Surgical Planning for Early Non-Small Cell Lung Cancer: A Single-Center Experience" Journal of Clinical Medicine 14, no. 21: 7609. https://doi.org/10.3390/jcm14217609
APA StyleGarabinovic, Z., Savic, M., Colic, N., Rakocevic, J., Ercegovac, M., Mitrovic, M., Lukic, K., Vukmirovic, J., Vasic Madzarevic, J., Stevanovic, S., Bisevac Peric, G., Bubanja, M., & Pavic, A. (2025). Artificial Intelligence as a Diagnostic Tool in Preoperative Surgical Planning for Early Non-Small Cell Lung Cancer: A Single-Center Experience. Journal of Clinical Medicine, 14(21), 7609. https://doi.org/10.3390/jcm14217609

