Long-Term Oro-Dental Effects of Chemotherapy in a Pediatric Patient: A Case Study and a Proposed Oral Care Protocol
Abstract
1. Introduction
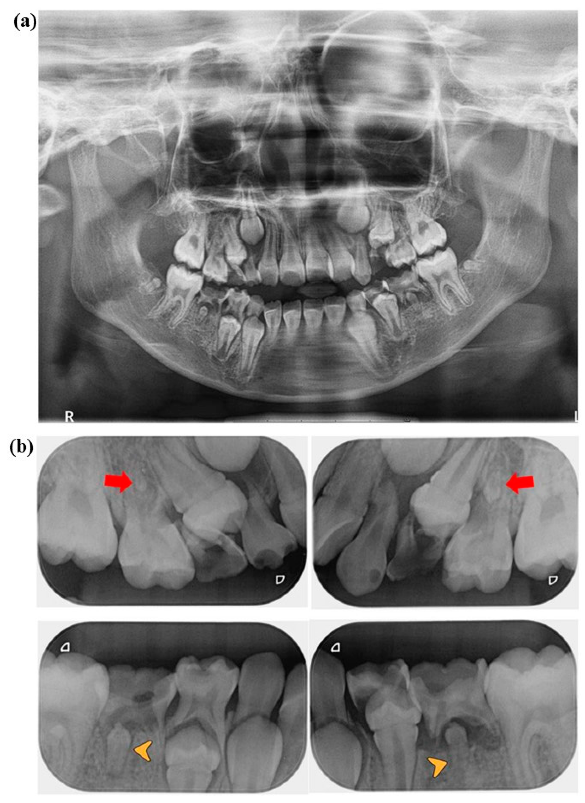
2. Case Presentation
3. Oral Care Protocol for CMT Patients
3.1. Pre-CMT Period
- Oral Examination Including Radiographic Examination
- Caries Risk Assessment and Prevention Plan
- Creation of a Personalized Treatment Plan Based on the Individual Patient’s Situation
- Discussion with Parents/Caretakers and Patient About Dental Care
- Routine Oral Care Instructions (For Home Use)
- 6.
- Physician Consultation
- 7.
- Dental Treatment [13]
- All dental treatment should be completed before beginning CMT. If that is impossible, temporary restorations can be placed, and non-acute dental treatment can be delayed until the patient’s hematological status is stable (see also Section 3.2, number 3).
- Plan treatments by prioritizing symptomatic caries, lesions, or those at risk of irreversible pulpitis, removing infections, eliminating sources of soft tissue irritation, extracting hopeless teeth, and refilling faulty restorations. Trauma from dental procedures such as tooth removal or restoration with a stainless-steel crown could damage the oral mucosa or alveolar bone (the bone that supports the tooth), increasing the risk of bleeding and infection.
- Endodontic treatment in primary teeth should be evaluated and treated before initiating CMT. Some studies suggest that caries and pulpal lesions should be extracted to prevent furcation infections in primary teeth, which could be life-threatening during CMT. Failure of the pulpal treatment could occur during the immunosuppression period.
- Endodontic treatment in permanent teeth with symptoms should be completed in one visit, and the success of the treatment should be assessed at least one week before initiating CMT. If symptoms are present, treatment may be delayed until the patient’s hematological status is stable (see also Section 3.2, number 3). Optional treatments include pulpectomy or extraction.
- Orthodontic appliances and space maintainers should be evaluated to ensure they do not irritate soft tissue and to maintain good oral hygiene. Orthodontic treatment can start at least 2 years after the completion of cancer therapy and being declared cancer-free.
- Teeth with a poor prognosis for periodontal lesions, such as those with furcation involvement, infection, and mobility, should be extracted.
- Primary teeth with mobility due to natural exfoliation may remain in the oral cavity if the patient is asymptomatic and maintains good oral hygiene (no dental plaque).
- Extractions should be scheduled at least 10 to 14 days before starting CMT. Use atraumatic procedures during the extraction to allow for adequate healing and reduce the risk of systemic complications [4].
3.2. During-CMT Period
- Continue Providing Patient with Routine Oral Care Instructions to Prevent Mucositis, Potential Oral Complications, and Reduce Medical Complications During CMT [4]
- Discuss Emergency Treatment Plans with the Physician for Medical Support Before Any Dental Procedures. Elective Dental Treatments Should Be Postponed Until the Patient’s Hematological Status Is Stable
- The Dentist Should Receive the Patient’s ANC and Platelet Count Before Planning the Treatment for Each Visit. It Is Important to Be Aware of the Risk of Bacteremia and Excessive Bleeding in CMT Patients. AAPD Reported That for Pediatric Patients Receiving Immunosuppressive Therapy and/or Head and Neck Radiation, the Standard Regimen Does Not Include Antibiotic Prophylaxis for Noninvasive (Non-Bleeding) Procedures. For Invasive Procedures, the Patient’s ANC and Platelet Count Should Be Evaluated as Follows [13]:
- More than 2000/mm3: No need for antibiotic prophylaxis.
- 1000 to 2000/mm3: Clinical judgment depends on the patient’s health status. If infection is present at the site of treatment, the patient’s oncologist should be consulted regarding antibiotic prophylaxis before use.
- Less than 1000/mm3: Treatment only in case of emergency under consultation with the oncologist and using antibiotic treatment before the dental procedure.
- More than 60,000/ mm3: No antibiotic prophylaxis needed.
- Less than 60,000/mm3: Avoid invasive procedures. In case of emergency, the oncologist should be consulted regarding treatment with invasive procedures before proceeding.
- 4.
- Preventive Oral Health Planning
3.3. Post-CMT Period [13]
- Continue Providing Routine Oral Care Instructions
- Continue Communicating with Parents (Caretakers) and Patients About Potential Acute and Long-Term Side Effects of CMT on Dental Development
- Preventive Oral Health Planning
4. Materials and Methods
4.1. Collected Teeth
4.2. Histology Fixation, Staining, and Examination
4.3. Counting Cells and Measuring Pre-Dentin Layer
5. Results
6. Discussion
7. Conclusions
Author Contributions
Funding
Institutional Review Board Statement
Informed Consent Statement
Data Availability Statement
Acknowledgments
Conflicts of Interest
References
- Huang, J.; Chan, S.C.; Ngai, C.H.; Lok, V.; Zhang, L.; Lucero-Prisno, D.E., 3rd; Xu, W.; Zheng, Z.J.; Elcarte, E.; Withers, M.; et al. Global incidence, mortality and temporal trends of cancer in children: A joinpoint regression analysis. Cancer Med. 2023, 12, 1903–1911. [Google Scholar] [CrossRef] [PubMed]
- Bidwell, S.S.; Peterson, C.C.; Demanelis, K.; Zarins, K.R.; Meza, R.; Sriplung, H.; Wiangnon, S.; Chotsampancharoen, T.; Chitapanarux, I.; Pongnikorn, D.; et al. Childhood cancer incidence and survival in Thailand: A comprehensive population-based registry analysis, 1990–2011. Pediatr. Blood Cancer 2019, 66, 27428. [Google Scholar] [CrossRef]
- Ryall, S.; Tabori, U.; Hawkins, C. Pediatric low-grade glioma in the era of molecular diagnostics. Acta Neuropathol. Commun. 2020, 8, 30. [Google Scholar] [CrossRef] [PubMed]
- Little, J.W.; Miller, C.S.; Rhodus, N.L. Little and Falace’s Dental Management of the Medically Compromised Patient, 9th ed.; Elsevier: Maryland Heights, MO, USA, 2018; pp. 480–514. [Google Scholar]
- Juneja, A.; Sultan, A.; Iqbal, S. Exploring the presence of dental anomalies as a consequence of treatment of malignancy: A case report. J. Oral. Biol. Craniofacial Res. 2020, 10, 135–137. [Google Scholar] [CrossRef]
- Jodłowska, A.; Pająk, J.; Postek-Stefańska, L. Microdontia after chemotherapy in a patient treated for neuroblastoma: Histopathological findings. Dent. Med. Probl. 2018, 55, 343–349. [Google Scholar] [CrossRef]
- Pedersen, L.; Clausen, N.; Schrøder, H.; Schmidt, M.; Poulsen, S. Microdontia and hypodontia of premolars and permanent molars in childhood cancer survivors after chemotherapy. Int. J. Paediatr. Dent. 2012, 22, 239–243. [Google Scholar] [CrossRef]
- Radhika, R.P.; Ongole, R.; Banerjee, S.; Prasad, K.; George, L.S.; George, A.; Nayak, B.S. Oral Care Protocol for Chemotherapy- and Radiation Therapy-Induced Oral Complications in Cancer Patients: Study Protocol. Asia Pac. J. Oncol. Nurs. 2019, 6, 417–423. [Google Scholar] [CrossRef]
- Cheng, K.K.; Molassiotis, A.; Chang, A.M.; Wai, W.C.; Cheung, S.S. Evaluation of an oral care protocol intervention in the prevention of chemotherapy-induced oral mucositis in paediatric cancer patients. Eur. J. Cancer 2001, 37, 2056–2063. [Google Scholar] [CrossRef] [PubMed]
- Ferrández-Pujante, A.; Pérez-Silva, A.; Serna-Muñoz, C.; Fuster-Soler, J.L.; Galera-Miñarro, A.M.; Cabello, I.; Ortiz-Ruiz, A.J. Prevention and Treatment of Oral Complications in Hematologic Childhood Cancer Patients: An Update. Children 2022, 9, 566. [Google Scholar] [CrossRef] [PubMed]
- Chan, J.; Filippi, F.; Filippi, C. Clinical guidance for maintaining oral hygiene in patients undergoing chemotherapy or radiation therapy: A scoping review. Swiss Dent. J. 2023, 133, 368–379. [Google Scholar] [CrossRef]
- Alkhuwaiter, S. Parents’ Awareness and Oral Health Care Measures of Pediatric Patients Receiving Chemotherapy. J. Pediatr. Dent. 2021, 7, 1–8. [Google Scholar] [CrossRef]
- American Academy of Pediatric Dentistry. Dental Management of Pediatric Patients Receiving Chemotherapy, Hematopoietic Cell Transplantation, and/or Radiation Therapy. In The Reference Manual of Pediatric Dentistry; American Academy of Pediatric Dentistry: Chicago, IL, USA, 2024; Volume 1, pp. 545–553. [Google Scholar]
- Cell Counts: Histology Guidance (SXHL288). Available online: https://learn5.open.ac.uk/mod/resource/view.php?id=178 (accessed on 8 January 2025).
- Işıl Çekiç, N.; Ferhan, E.; Bağdagül Helvacioğlu, K. The Permanent Maxillary and Mandibular Premolar Teeth. In Dental Anatomy; Bağdagül Helvacioğlu, K., Ed.; IntechOpen: London, UK, 2018; Chapter 2. [Google Scholar]
- Satoh, H.; Uesugi, Y.; Kawabata, T.; Mori, K.; Fujii, F.; Kashimoto, Y.; Kajimura, T.; Furuhama, K. Morphological classification of dental lesions induced by various antitumor drugs in mice. Toxicol. Pathol. 2001, 29, 292–299. [Google Scholar] [CrossRef]
- Poulopoulos, A.; Papadopoulos, P.; Andreadis, D. Chemotherapy: Oral side effects and dental interventions -a review of the literature. Stomatol. Dis. Sci. 2017, 1, 35–49. [Google Scholar] [CrossRef]
- Hallett, K.B.; Alexander, S.; Wilson, M.; Munns, C.; Cameron, A.C.; Widmer, R.P. 12—Medically compromised children. In Handbook of Pediatric Dentistry, 4th ed.; Cameron, A.C., Widmer, R.P., Eds.; Mosby: Maryland Heights, MO, USA, 2013; pp. 329–383. [Google Scholar]
- Berkovitz, B.K.B.; Holland, G.R.; Moxham, B.J. Development of the dentitions. In Oral Anatomy, Histology and Embryology, 5th ed.; Berkovitz, B.K.B., Holland, G.R., Moxham, B.J., Eds.; Elsevier: Shanghai, China, 2018; pp. 421–441. [Google Scholar]
- Gören, K.; Bulut, G.; Ertuğrul, F.; Ören, H.; Demirağ, B.; Demiral, A.; Aksoylar, S.; Kamer, E.S.; Ellidokuz, H.; Olgun, N. Long-term Dental Anomalies after Pediatric Cancer Treatment in Children. Turk. J. Haematol. 2019, 36, 155–161. [Google Scholar] [CrossRef]
- Nanci, A. Physioligical tooth movement: Eruption and shedding. In Ten Cate’s Oral Histology, 9th ed.; Nanci, A., Ed.; Elsevier: Shanghai, China, 2018; pp. 218–235. [Google Scholar]
- Koussoulakou, D.S.; Margaritis, L.H.; Koussoulakos, S.L. A curriculum vitae of teeth: Evolution, generation, regeneration. Int. J. Biol. Sci. 2009, 5, 226–243. [Google Scholar] [CrossRef]
- Scheiwiller, M.; Oeschger, E.S.; Gkantidis, N. Third molar agenesis in modern humans with and without agenesis of other teeth. PeerJ 2020, 8, e10367. [Google Scholar] [CrossRef]
- Meade, M.J.; Dreyer, C.W. Tooth agenesis: An overview of diagnosis, aetiology and management. Jpn. Dent. Sci. Rev. 2023, 59, 209–218. [Google Scholar] [CrossRef] [PubMed]
- Schonberger, S.; Shapira, Y.; Pavlidi, A.M.; Finkelstein, T. Prevalence and Patterns of Permanent Tooth Agenesis among Orthodontic Patients—Treatment Options and Outcome. Appl. Sci. 2022, 12, 12252. [Google Scholar] [CrossRef]
- Nanci, A. Enamel: Composition, Formation, and Structure. In Ten Cate’s Oral Histology, 9th ed.; Nanci, A., Ed.; Elsevier: Shanghai, China, 2018; pp. 118–156. [Google Scholar]
- Salifu, N.; Segbefia, C.I.; Alhassan, Y.; Renner, L.A.; Tette, E.M.A. Short-term chemotherapy-related complications and undernutrition in children diagnosed with cancer at Korle Bu Teaching Hospital, Accra, Ghana: A prospective cohort study. PLoS ONE 2024, 19, e0301208. [Google Scholar] [CrossRef] [PubMed]
- Jayam, C.; Bandlapalli, A.; Patel, N.; Choudhary, R.S. Chronological hypoplasia: Aesthetic management. BMJ Case Rep. 2014, 6, bcr2013202892. [Google Scholar] [CrossRef]
- Seow, W. Developmental defects of enamel and dentine: Challenges for basic science research and clinical management. Aust. Dent. J. 2014, 59, 143–154. [Google Scholar] [CrossRef] [PubMed]
- Collignon, A.M.; Vergnes, J.N.; Germa, A.; Azogui, S.; Breinig, S.; Hollande, C.; Bonnet, A.L.; Nabet, C. Factors and Mechanisms Involved in Acquired Developmental Defects of Enamel: A Scoping Review. Front. Pediatr. 2022, 10, 836708. [Google Scholar] [CrossRef] [PubMed]
- Goho, C. Chemoradiation therapy: Effect on dental development. Pediatr. Dent. 1993, 15, 6–12. [Google Scholar] [PubMed]
- Akita, H.; Kagayama, M.; Sato, R. Light and electron microscopy of the effects of colchicine and vinblastine on maturing rat ameloblasts in vivo. Arch. Oral. Biol. 1983, 28, 263–271. [Google Scholar] [CrossRef] [PubMed]
- Sasaki, T.; Garant, P.R. Structure and organization of odontoblasts. Anat. Rec. 1996, 245, 235–249. [Google Scholar] [CrossRef]
- Miake, Y.; Katakura, A.; Moriguchi, M.; Yamaguchi, Y.; Yanagisawa, T. Investigation of Structure of Dentin Formative Disturbances Caused by Antineoplastic Agents. J. Hard Tissue Biol. 2007, 16, 131–138. [Google Scholar] [CrossRef][Green Version]
- Seklecki, S.; Jakovljević, A.; Lovren, M. The effect of vincristine on dental pulp of experimental animals. Stomatol. Glas. Srb. 1991, 37, 349–356. [Google Scholar] [PubMed]
- Epstein, J.B.; Miaskowski, C. Oral Pain in the Cancer Patient. JNCI Monogr. 2019, 53, 45–53. [Google Scholar] [CrossRef] [PubMed]
- Van Damme, N.; Van Hecke, A.; Remue, E.; Van den Bussche, K.; Moore, Z.; Gefen, A.; Verhaeghe, S.; Beeckman, D. Physiological processes of inflammation and edema initiated by sustained mechanical loading in subcutaneous tissues: A scoping review. Wound Repair. Regen. 2020, 28, 242–265. [Google Scholar] [CrossRef]
- Pohl, S.; Akamp, T.; Smeda, M.; Uderhardt, S.; Besold, D.; Krastl, G.; Galler, K.M.; Buchalla, W.; Widbiller, M. Understanding dental pulp inflammation: From signaling to structure. Front. Immunol. 2024, 15, 1474466. [Google Scholar] [CrossRef]








Disclaimer/Publisher’s Note: The statements, opinions and data contained in all publications are solely those of the individual author(s) and contributor(s) and not of MDPI and/or the editor(s). MDPI and/or the editor(s) disclaim responsibility for any injury to people or property resulting from any ideas, methods, instructions or products referred to in the content. |
© 2025 by the authors. Licensee MDPI, Basel, Switzerland. This article is an open access article distributed under the terms and conditions of the Creative Commons Attribution (CC BY) license (https://creativecommons.org/licenses/by/4.0/).
Share and Cite
Puwanun, S.; Kriangkrai, R. Long-Term Oro-Dental Effects of Chemotherapy in a Pediatric Patient: A Case Study and a Proposed Oral Care Protocol. J. Clin. Med. 2025, 14, 603. https://doi.org/10.3390/jcm14020603
Puwanun S, Kriangkrai R. Long-Term Oro-Dental Effects of Chemotherapy in a Pediatric Patient: A Case Study and a Proposed Oral Care Protocol. Journal of Clinical Medicine. 2025; 14(2):603. https://doi.org/10.3390/jcm14020603
Chicago/Turabian StylePuwanun, Sasima, and Rungarun Kriangkrai. 2025. "Long-Term Oro-Dental Effects of Chemotherapy in a Pediatric Patient: A Case Study and a Proposed Oral Care Protocol" Journal of Clinical Medicine 14, no. 2: 603. https://doi.org/10.3390/jcm14020603
APA StylePuwanun, S., & Kriangkrai, R. (2025). Long-Term Oro-Dental Effects of Chemotherapy in a Pediatric Patient: A Case Study and a Proposed Oral Care Protocol. Journal of Clinical Medicine, 14(2), 603. https://doi.org/10.3390/jcm14020603
