Skin Cancers in People Living with Human Immunodeficiency Virus (HIV) Infection
Abstract
1. Introduction
1.1. Pathogenic Mechanisms of Immunosuppression
1.2. Drug-Induced Immunosuppression
1.3. Ultraviolet-Induced Immunosuppression
1.4. HIV-Induced Immunosuppression
1.5. The Risk of Cancers in People Living with HIV (PLWH)
2. Materials and Methods
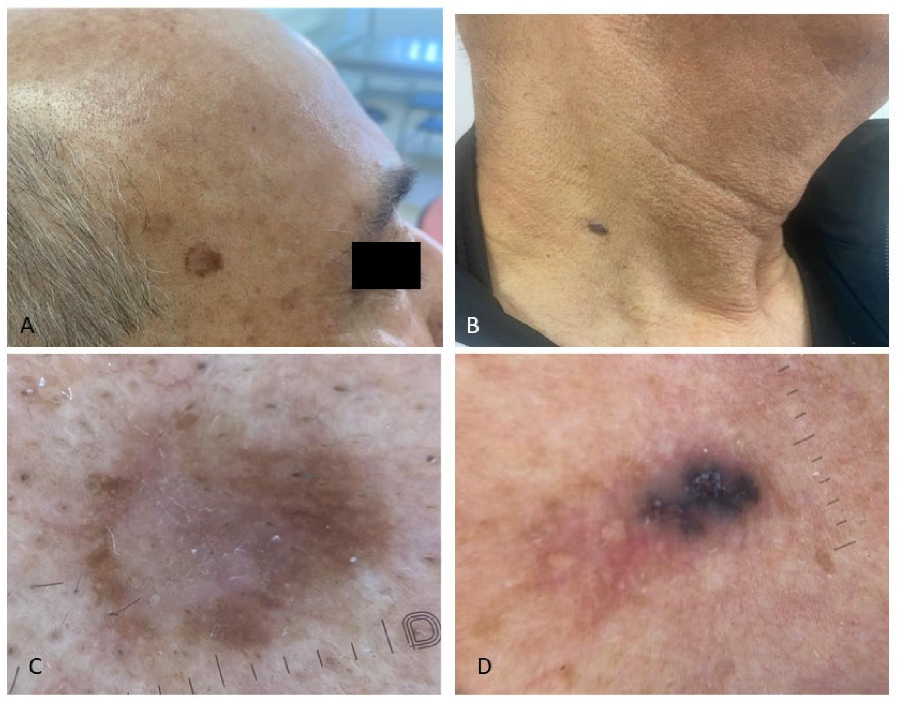
3. Results
4. Discussion
5. Conclusions
Author Contributions
Funding
Institutional Review Board Statement
Informed Consent Statement
Data Availability Statement
Conflicts of Interest
Abbreviations
| HIV | Human immunodeficiency virus |
| PLWH | People living with HIV |
| HUPs | HIV-uninfected people |
| BCC | Basal cell carcinoma |
| SCC | Squamous cell carcinoma |
| BSC | Baso-squamous carcinoma |
| DFSP | Dermatofibrosarcoma protuberans |
| AK | Actinic keratosis |
References
- McCusker, C.; Warrington, R. Primary immunodeficiency. Allergy Asthma Clin. Immunol. 2011, 7 (Suppl. 1), S11. [Google Scholar] [CrossRef]
- Daniels, P.; Muse, M.E.; Bebb, G.; Jaskolka, M.; Crane, J.S.; Bermudez, R. Evaluation and Treatment of Skin Cancer in Patients with Immunosuppression. In StatPearls [Internet]; StatPearls Publishing: Treasure Island, FL, USA, 2025. [Google Scholar]
- Sachedina, D.; Gibson, F.; Xia, E.; Walia, A.; Behara, L.; Fazelpour, S.; Mullins, H.; Francis, J.; Sahni, D. Skin cancer in renal transplant recipients: Outcomes from a safety net hospital in Boston. Int. J. Dermatol. 2024, 63, 1048–1055. [Google Scholar] [CrossRef]
- Ciccarese, G.; Trave, I.; Herzum, A.; Gariazzo, L.; Cozzani, E.; Rebora, A.; Parodi, A.; Drago, F. Dermatological infections in organ transplant recipients: A retrospective study on 222 patients. J. Eur. Acad. Dermatol. Venereol. 2019, 33, e36–e38. [Google Scholar] [CrossRef]
- Trave, I.; Ciccarese, G.; Gasparini, G.; Canta, R.; Serviddio, G.; Herzum, A.; Drago, F.; Parodi, A. Skin cancers in solid organ transplant recipients: A retrospective study on 218 patients. Transpl. Immunol. 2023, 80, 101896. [Google Scholar] [CrossRef] [PubMed]
- Deo, A.S.; Shrijana, S.U.S.; Karun, S.; Bisaria, K.; Sarkar, K. Participation of T cells in generating immune protection against cancers. Pathol. Res. Pract. 2024, 262, 155534. [Google Scholar] [CrossRef] [PubMed]
- de Visser, K.E.; Coussens, L.M. The interplay between innate and adaptive immunity regulates cancer development. Cancer Immunol. Immunother. 2005, 54, 1143–1152. [Google Scholar] [CrossRef] [PubMed]
- Ciccarese, G.; Drago, F.; Herzum, A.; Atzori, L.; Dattola, A.; Galluzzo, M.; Maronese, C.; Patrizi, A.; Piraccini, B.M.; Recalcati, S.; et al. Anti-Herpes zoster vaccination in patients with dermatologic diseases: A position statement from the Italian SIDeMaST group of sexually transmitted, infectious and tropical diseases. Ital. J. Dermatol. Venerol. 2024, 159, 375–379. [Google Scholar] [CrossRef]
- Huo, Z.; Li, C.; Xu, X.; Ge, F.; Wang, R.; Wen, Y.; Peng, H.; Wu, X.; Liang, H.; Peng, G.; et al. Cancer Risks in Solid Organ Transplant Recipients: Results from a Comprehensive Analysis of 72 Cohort Studies. Oncoimmunology 2020, 9, 1848068. [Google Scholar] [CrossRef]
- Dillibabu, T.; Laprise, C.; Nicolau, B.; Madathil, S. Risk of cancer among adult solid organ transplant recipients in Quebec, Canada: 1997–2016. BMC Cancer 2025, 25, 1004. [Google Scholar] [CrossRef]
- Mittal, A.; Colegio, O.R. Skin Cancers in Organ Transplant Recipients. Am. J. Transplant. 2017, 17, 2509–2530. [Google Scholar] [CrossRef]
- Starace, M.; Rapparini, L.; Cedirian, S. Skin Malignancies Due to Anti-Cancer Therapies. Cancers 2024, 16, 1960. [Google Scholar] [CrossRef]
- Karampinis, E.; Koumaki, D.; Sgouros, D.; Nechalioti, P.M.; Toli, O.; Pappa, G.; Papadakis, M.; Georgopoulou, K.E.; Schulze-Roussaki, A.V.; Kouretas, D. Non-Melanoma Skin Cancer: Assessing the Systemic Burden of the Disease. Cancers 2025, 17, 703. [Google Scholar] [CrossRef] [PubMed]
- Coffin, J.M.; Hughes, S.H.; Varmus, H.E. Immunopathogenic Mechanisms of HIV Infection. In Retroviruses; Cold Spring Harbor Laboratory Press: Cold Spring Harbor, NY, USA, 1997. Available online: https://www.ncbi.nlm.nih.gov/books/NBK19451/ (accessed on 1 July 2025).
- Makgoo, L.; Mosebi, S.; Mbita, Z. Long noncoding RNAs (lncRNAs) in HIV-mediated carcinogenesis: Role in cell homeostasis, cell survival processes and drug resistance. Noncoding RNA Res. 2022, 7, 184–196. [Google Scholar] [CrossRef]
- Tolomeo, M.; Cascio, A. The Complex Dysregulations of CD4 T Cell Subtypes in HIV Infection. Int. J. Mol. Sci. 2024, 25, 7512. [Google Scholar] [CrossRef] [PubMed]
- Ciccarese, G.; Drago, F.; Copello, F.; Bodini, G.; Rebora, A.; Parodi, A. Study on the impact of sexually transmitted infections on Quality of Life, mood and sexual function. Ital. J. Dermatol. Venerol. 2021, 156, 686–691. [Google Scholar] [CrossRef] [PubMed]
- Omar, A.; Marques, N.; Crawford, N. Cancer and HIV: The Molecular Mechanisms of the Deadly Duo. Cancers 2024, 16, 546. [Google Scholar] [CrossRef]
- Yarchoan, R.; Uldrick, T.S. HIV-Associated Cancers and Related Diseases. N. Engl. J. Med. 2018, 378, 1029–1041. [Google Scholar] [CrossRef]
- National Cancer Institute Dictionary. Available online: https://www.cancer.gov/publications/dictionaries/cancer-terms/def/aids-defining-cancer (accessed on 14 August 2025).
- Vangipuram, R.; Tyring, S.K. AIDS-Associated Malignancies. Cancer Treat. Res. 2019, 177, 1–21. [Google Scholar]
- National Cancer Institute. Non-AIDS-Defining Cancer. Available online: https://www.cancer.gov/publications/dictionaries/cancer-terms/def/non-aids-defining-cancer (accessed on 14 August 2025).
- Ciccarese, G.; Drago, F.; Broccolo, F.; Pastorino, A.; Pizzatti, L.; Atzori, L.; Pilloni, L.; Santinelli, D.; Urbani, A.; Parodi, A.; et al. Oncoviruses and melanomas: A retrospective study and literature review. J. Med. Virol. 2023, 95, e27924. [Google Scholar] [CrossRef]
- Bautista, J.; Lopez-Cortes, A. Oncogenic viruses rewire the epigenome in human cancer. Front. Cell. Infect. Microbiol. 2025, 15, 1617198. [Google Scholar] [CrossRef]
- Spano, J.P.; Costagliola, D.; Katlama, C.; Mounier, N.; Oksenhendler, E.; Khayat, D. AIDS-related malignancies: State of the art and therapeutic challenges. J. Clin. Oncol. 2008, 26, 4834–4842. [Google Scholar] [CrossRef]
- Mathoma, A.; Sartorius, B.; Mahomed, S. The Trends and Risk Factors of AIDS- Defining Cancers and Non-AIDS-Defining Cancers in Adults Living with and without HIV: A Narrative Review. J. Cancer Epidemiol. 2024, 2024, 7588928. [Google Scholar] [CrossRef]
- Piselli, P.; Tavelli, A.; Cimaglia, C.; Muccini, C.; Bandera, A.; Marchetti, G.C.; Torti, C.; Mazzotta, V.; Pipitò, L.; Caioli, A.; et al. Cancer incidence in people with HIV in Italy: Comparison of the ICONA COHORT with general population data. Int. J. Cancer 2025, 157, 1142–1153. [Google Scholar] [CrossRef] [PubMed]
- Vaccher, E.; Serraino, D.; Carbone, A.; De Paoli, P. The evolving scenario of non-AIDS-defining cancers: Challenges and opportunities of care. Oncologist 2014, 19, 860–867. [Google Scholar] [CrossRef] [PubMed]
- Zhao, H.; Shu, G.; Wang, S. The risk of non-melanoma skin cancer in HIV-infected patients: New data and meta-analysis. Int. J. STD AIDS 2016, 27, 568–575. [Google Scholar] [CrossRef] [PubMed]
- Latini, A.; Alei, L.; Magri, F.; Eibenschutz, L.; Cota, C.; Dona’, M.G.; Cameli, N.; Cristaudo, A.; Zaccarelli, M. Nonmelanoma skin cancer and melanoma in HIV-1-infected patients. AIDS 2020, 34, 1570–1572. [Google Scholar] [CrossRef]
- Anastasia, A.; Mazzucco, W.; Pipitò, L.; Fruscione, S.; Gaudiano, R.; Trizzino, M.; Zarcone, M.; Cascio, A. Malignancies in people living with HIV: A 25-years observational study from a tertiary hospital in Italy. J. Infect. Public Health 2025, 18, 102661. [Google Scholar] [CrossRef]
- Guiraud, V.; Naizet, A.; Khan, H.; Benhafoun, G.; Hernandez, P.; Piccin, L.; Pichon, A.; Leng, A.L.; Yousfi, L.; Gautheret-Dejean, A. Fourth-Generation HIV Rapid Tests: Enhanced Sensitivity and Reduced Diagnostic Window for HIV-1 Primary Infection Screening. J. Med. Virol. 2024, 96, e70044. [Google Scholar] [CrossRef]
- Magnoni, C.; De Santis, G.; Fraccalvieri, M.; Bellini, P.; Portincasa, A.; Giacomelli, L.; Papa, G. Integra in Scalp Reconstruction After Tumor Excision: Recommendations From a Multidisciplinary Advisory Board. J. Craniofac. Surg. 2019, 30, 2416–2420. [Google Scholar] [CrossRef]
- Weld, E.D. Limits of Detection and Limits of Infection: Quantitative HIV Measurement in the Era of U = U. J. Appl. Lab. Med. 2021, 6, 324–326. [Google Scholar] [CrossRef]
- Kandolf, L.; Peris, K.; Malvehy, J.; Mosterd, K.; Heppt, M.V.; Fargnoli, M.C.; Berking, C.; Arenberger, P.; Bylaite-Bučinskiene, M.; Del Marmol, V.; et al. European consensus-based interdisciplinary guideline for diagnosis, treatment and prevention of actinic keratoses, epithelial UV-induced dysplasia and field cancerization on behalf of European Association of Dermato-Oncology, European Dermatology Forum, European Academy of Dermatology and Venereology and Union of Medical Specialists (Union Européenne des Médecins Spécialistes). J. Eur. Acad. Dermatol. Venereol. 2024, 38, 1024–1047. [Google Scholar]
- Keung, E.Z.; Gershenwald, J.E. The eighth edition American Joint Committee on Cancer (AJCC) melanoma staging system: Implications for melanoma treatment and care. Expert. Rev. Anticancer Ther. 2018, 18, 775–784. [Google Scholar] [CrossRef] [PubMed]
- Elder, D.E.; Barnhill, R.L.; Eguchi, M.; Elmore, J.G.; Kerr, K.F.; Knezevich, S. Melanoma in situ and low-risk pT1a melanoma: Need for new diagnostic terminology. Clin. Dermatol. 2025, 43, 315–322. [Google Scholar] [CrossRef] [PubMed]
- Mårdh, O.; Quinten, C.; Kuchukhidze, G.; Seguy, N.; Dara, M.; Amato-Gauci, A.J.; Pharris, A.; ECDC/WHO HIV Surveillance network. HIV among women in the WHO European Region—Epidemiological trends and predictors of late diagnosis, 2009–2018. Euro. Surveill. 2019, 24, 1900696. [Google Scholar] [CrossRef]
- Regine, V.; Pugliese, L.; Ferri, M.; Santaquilani, M.; Suligoi, B. Aggiornamento Delle Nuove Diagnosi di Infezione da Hiv e Dei Casi di Aids in Italia al 31 Dicembre 2023. Not. Ist. Super. Sanità 2024, 37, 3–59. [Google Scholar]
- Crow, L.D.; Jambusaria-Pahlajani, A.; Chung, C.L.; Baran, D.A.; Lowenstein, S.E.; Abdelmalek, M.; Ahmed, R.L.; Anadkat, M.J.; Arcasoy, S.M.; Berg, D.; et al. Initial skin cancer screening for solid organ transplant recipients in the United States: Delphi method development of expert consensus guidelines. Transpl. Int. 2019, 32, 1268–1276. [Google Scholar] [CrossRef]
- Korzeniowski, P.; Griffith, C.; Young, P.A. Update on skin cancer prevention modalities and screening protocols in solid organ transplant recipients: A scoping review. Arch. Dermatol. Res. 2024, 317, 52. [Google Scholar] [CrossRef]
- Cordaro, A.; Dobbs, T.D.; Gibson, J.A.; Whitaker, S.; Whitaker, I.S. Skin cancer screening in organ transplant centres in the United Kingdom: A national survey. Eur. J. Dermatol. 2020, 30, 372–376. [Google Scholar] [CrossRef]
- Asgari, M.M.; Ray, G.T.; Quesenberry, C.P., Jr.; Katz, K.A.; Silverberg, M.J. Association of Multiple Primary Skin Cancers With Human Immunodeficiency Virus Infection, CD4 Count, and Viral Load. JAMA Dermatol. 2017, 153, 892–896. [Google Scholar] [CrossRef]
- Crum-Cianflone, N.; Hullsiek, K.H.; Satter, E.; Marconi, V.; Weintrob, A.; Ganesan, A.; Barthel, R.V.; Fraser, S.; Agan, B.K. Cutaneous malignancies among HIV-infected persons. Arch. Intern. Med. 2009, 169, 1130–1138. [Google Scholar] [CrossRef]
- Omland, S.H.; Ahlström, M.G.; Gerstoft, J.; Pedersen, G.; Mohey, R.; Pedersen, C.; Kronborg, G.; Larsen, C.S.; Kvinesdal, B.; Gniadecki, R.; et al. Risk of skin cancer in patients with HIV: A Danish nationwide cohort study. J. Am. Acad. Dermatol. 2018, 79, 689–695. [Google Scholar] [CrossRef]
- Luu, Y.T.; Luo, Q.; Horner, M.J.; Shiels, M.; Engels, E.A.; Sargen, M.R. Risk of Nonkeratinocyte Skin Cancers in People Living with HIV during the Era of Antiretroviral Therapy. J. Investig. Dermatol. 2023, 143, 588–595.e3. [Google Scholar] [CrossRef]
- Reinhart, J.P.; Leslie, K.S. Skin cancer risk in people living with HIV: A call for action. Lancet HIV 2024, 11, e60–e62. [Google Scholar] [CrossRef]
- Silverberg, M.J.; Leyden, W.; Warton, E.M.; Quesenberry, C.P., Jr.; Engels, E.A.; Asgari, M.M. HIV infection status, immunodeficiency, and the incidence of non-melanoma skin cancer. J. Natl. Cancer Inst. 2013, 105, 350–360. [Google Scholar] [CrossRef]
- Venanzi Rullo, E.; Maimone, M.G.; Fiorica, F.; Ceccarelli, M.; Guarneri, C.; Berretta, M.; Nunnari, G. Non-Melanoma Skin Cancer in People Living with HIV: From Epidemiology to Clinical Management. Front. Oncol. 2021, 11, 689789. [Google Scholar] [CrossRef] [PubMed]
- Dervenis, V. The Role of HPV in the Development of Cutaneous Squamous Cell Carcinoma-Friend or Foe? Cancers 2025, 17, 1195. [Google Scholar] [CrossRef] [PubMed]
- Smola, S. Human Papillomaviruses and Skin Cancer. Adv. Exp. Med. Biol. 2020, 1268, 195–209. [Google Scholar] [PubMed]
- Kosche, C.; Chio, M.T.W.; Arron, S.T. Skin cancer and HIV. Clin. Dermatol, 2023; in press. [Google Scholar] [CrossRef]
- Sapadin, A.N.; Gelfand, J.M.; Howe, K.L.; Phelps, R.G.; Grand, D.; Rudikoff, D. Dermatofibrosarcoma protuberans in two patients with acquired immunodeficiency syndrome. Cutis 2000, 65, 85–88. [Google Scholar]
- Lin, L.; Li, T.S. Multidisciplinary collaborative integrated management of increasingly prominent HIV complications in the post-cART era. HIV. Med. 2020, 21, 683–691. [Google Scholar] [CrossRef]



| Patient’s Features | People Living with HIV (%) | HIV Negative Subjects (%) | p Value |
|---|---|---|---|
| Overall | 91 | 91 | |
| Sex | 0.000061 | ||
| Male | 71 (78.8%) | 45 (49.4%) | |
| Female | 20 (21.2%) | 46 (50.6%) | |
| Mean age (range, standard deviation) | 52.3 (30–80, ±12.0) | 49.9 (19–84, ±17.8) | |
| Age | 0.099946 | ||
| ≤50 | 34 (37.3%) | 45 (49.4%) | |
| ≥50 | 57 (62.7%) | 46 (50.6%) | |
| Phototype | |||
| II | 46 (50.6%) | 41 (45.1%) | 0.458108 |
| III | 39 (42.9%) | 49 (53.8%) | 0.137993 |
| IV | 4 (4.3%) | 1 (1.1%) | 0.053949 |
| V-VI | 2 (2.2%) | 0 (0%) | |
| Melanoma family history | 0.096795 | ||
| yes | 1 (1.1%) | 5 (5.4%) | |
| no | 90 (98.9%) | 86 (94.6%) | |
| Photodamage | 0.656423 | ||
| yes | 45 (49.4%) | 48 (52.7%) | |
| no | 46 (50.6%) | 43 (47.3%) | |
| Photosensitizing drugs >5 years | 0.850814 | ||
| yes | 17 (18.7%) | 18 (19.8%) | |
| no | 74 (81.3%) | 73 (80.2%) | |
| Immunosuppressive drugs | 0.173685 | ||
| yes | 1 (1.1%) | 4 (4.4%) | |
| no | 90 (98.9%) | 87 (95.6%) | |
| Counting nevi | 0.671814 | ||
| <50 | 77 (84.6%) | 79 (86.8%) | |
| >50 | 14 (15.4%) | 12 (13.2%) | |
| Antiretroviral therapy | |||
| yes | 89 (97.8%) | ||
| no | 2 (2.2%) |
| People Living with HIV (%) | HIV Negative Subjects (%) | p Value | |
|---|---|---|---|
| Detection of precancerous skin lesions (n° of patients) | 0.823468 | ||
| yes | 11 (12%) | 12 (13.2%) | |
| no | 80 (88%) | 79 (86.8%) | |
| Detection of skin cancers (n° of patients) | 0.78751 | ||
| yes | 7 (7.6%) | 8 (8.7%) | |
| no | 84 (92.4%) | 83 (91.3%) |
| People Living with HIV (PLWH) with Skin Cancers | |||||
|---|---|---|---|---|---|
| Patient N° | Sex | Age | N° of Skin Cancers Histologically Confirmed | Type of Skin Cancer/Cancers | Site of Skin Cancers |
| 1 | M | 48 | 1 | BCC | face |
| 2 | M | 40 | 1 | DFSP | trunk |
| 3 | M | 75 | 4 | 2 MM, 1 BCC, 1 BSC | 2 trunk, neck, face |
| 4 | M | 54 | 1 | KS | head |
| 5 | M | 62 | 2 | 2 SCC | 2 trunk |
| 6 | M | 34 | 1 | KS | trunk |
| 7 | M | 63 | 1 | BCC | neck |
| Total N° of cancers | 53.7 | 11 | 3 BCC, 2 MM, 2 SCC, 2 KS, 1 BSC, 1 DPFP | 6 trunk, 5 head-neck region | |
| HIV Uninfected Subjects (HUPs) with Skin Cancers | |||||
| Patient N° | Sex | Age | N° of Skin Cancers Histologically Confirmed | Type of Skin Cancer/Cancers | Site of Skin Cancers |
| 1 | M | 66 | 1 | BCC | lower limb |
| 2 | M | 82 | 1 | BCC | upper limb |
| 3 | M | 76 | 2 | 2 BCC | head |
| 4 | M | 65 | 1 | MM | trunk |
| 5 | M | 42 | 1 | MM | trunk |
| 6 | M | 82 | 1 | BCC | trunk |
| 7 | M | 48 | 1 | BCC | trunk |
| 8 | M | 84 | 1 | KS | lower limb |
| Total N° of cancers | 68.1 | 9 | 6 BCC, 2 MM, 1 KS | 4 trunk, 3 limbs, 1 head | |
Disclaimer/Publisher’s Note: The statements, opinions and data contained in all publications are solely those of the individual author(s) and contributor(s) and not of MDPI and/or the editor(s). MDPI and/or the editor(s) disclaim responsibility for any injury to people or property resulting from any ideas, methods, instructions or products referred to in the content. |
© 2025 by the authors. Licensee MDPI, Basel, Switzerland. This article is an open access article distributed under the terms and conditions of the Creative Commons Attribution (CC BY) license (https://creativecommons.org/licenses/by/4.0/).
Share and Cite
Ciccarese, G.; Cecchino, L.R.; Lembo, F.; Ferrara, S.; Grillo, C.; Pizzulli, C.; Di Tullio, P.; Romita, P.; Foti, C.; Sanguedolce, F.; et al. Skin Cancers in People Living with Human Immunodeficiency Virus (HIV) Infection. J. Clin. Med. 2025, 14, 6447. https://doi.org/10.3390/jcm14186447
Ciccarese G, Cecchino LR, Lembo F, Ferrara S, Grillo C, Pizzulli C, Di Tullio P, Romita P, Foti C, Sanguedolce F, et al. Skin Cancers in People Living with Human Immunodeficiency Virus (HIV) Infection. Journal of Clinical Medicine. 2025; 14(18):6447. https://doi.org/10.3390/jcm14186447
Chicago/Turabian StyleCiccarese, Giulia, Liberato Roberto Cecchino, Fedele Lembo, Sergio Ferrara, Chiara Grillo, Cristina Pizzulli, Piergiorgio Di Tullio, Paolo Romita, Caterina Foti, Francesca Sanguedolce, and et al. 2025. "Skin Cancers in People Living with Human Immunodeficiency Virus (HIV) Infection" Journal of Clinical Medicine 14, no. 18: 6447. https://doi.org/10.3390/jcm14186447
APA StyleCiccarese, G., Cecchino, L. R., Lembo, F., Ferrara, S., Grillo, C., Pizzulli, C., Di Tullio, P., Romita, P., Foti, C., Sanguedolce, F., Parisi, D., Drago, F., Portincasa, A., & Lo Caputo, S. (2025). Skin Cancers in People Living with Human Immunodeficiency Virus (HIV) Infection. Journal of Clinical Medicine, 14(18), 6447. https://doi.org/10.3390/jcm14186447

