Role of Multiparametric Ultrasound in Predicting the IDH Mutation in Gliomas: Insights from Intraoperative B-Mode, SWE, and SMI Modalities
Abstract
1. Introduction
2. Materials and Methods
2.1. Ultrasound Examination
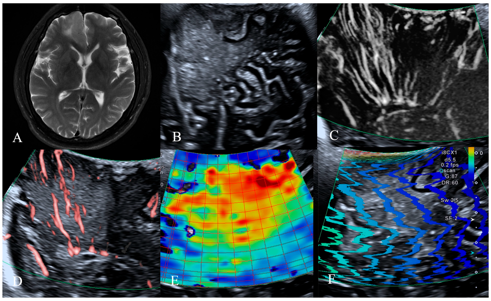
2.2. B-Mode Ultrasonography
2.3. Shear Wave Elastography (SWE)
2.4. Superb Microvascular Imaging (SMI)
2.5. Immunohistochemical Method
2.6. Statistical Methods
3. Results
3.1. Results of Intraoperative Superb Microvascular Imaging
3.2. Results of Intraoperative Shear Wave Elastography
3.3. Correlation Between IDH1 Expression and Clinical Features in Gliomas
3.4. Correlation Between IDH1 Expression and Ultrasound Features in Gliomas
4. Discussion
Author Contributions
Funding
Institutional Review Board Statement
Informed Consent Statement
Data Availability Statement
Conflicts of Interest
References
- Louis, D.N.; Perry, A.; Reifenberger, G.; von Deimling, A.; Figarella-Branger, D.; Cavenee, W.K.; Ohgaki, H.; Wiestler, O.D.; Kleihues, P.; Ellison, D.W. The 2016 World Health Organization Classification of Tumors of the Central Nervous System: A summary. Acta Neuropathol. 2016, 131, 802–820. [Google Scholar] [CrossRef]
- Gupta, M.; Djalilvand, A.; Brat, D.J. Clarifying the diffuse gliomas: An update on the morphologic features and markers that discriminate oligodendroglioma from astrocytoma. Am. J. Clin. Pathol. 2005, 124, 755–768. [Google Scholar] [CrossRef]
- Sharma, A.; Graber, J.J. Overview of prognostic factors in adult gliomas. Ann. Palliat. Med. 2021, 10, 863–874. [Google Scholar] [CrossRef] [PubMed]
- Louis, D.N.; Perry, A.; Wesseling, P.; Brat, D.J.; Cree, I.A.; Figarella-Branger, D.; Hawkins, C.; Ng, H.K.; Pfister, S.M.; Reifenberger, G.; et al. The 2021 WHO Classification of Tumors of the Central Nervous System: A summary. Neuro Oncol. 2021, 23, 1231–1251. [Google Scholar] [CrossRef] [PubMed]
- Choi, Y.; Nam, Y.; Lee, Y.S.; Kim, J.; Ahn, K.J.; Jang, J.; Shin, N.Y.; Kim, B.S.; Jeon, S.S. IDH1 mutation prediction using MR-based radiomics in glioblastoma: Comparison between manual and fully automated deep learning-based approach of tumor segmentation. Eur. J. Radiol. 2020, 128, 109031. [Google Scholar] [CrossRef]
- Lee, J.; Choi, S.H.; Kim, J.H.; Sohn, C.H.; Lee, S.; Jeong, J. Glioma grading using apparent diffusion coefficient map: Application of histogram analysis based on automatic segmentation. NMR Biomed. 2014, 27, 1046–1052. [Google Scholar] [CrossRef] [PubMed]
- Kim, M.; Jung, S.Y.; Park, J.E.; Jo, Y.; Park, S.Y.; Nam, S.J.; Kim, J.H.; Kim, H.S. Diffusion- and perfusion-weighted MRI radiomics model may predict isocitrate dehydrogenase (IDH) mutation and tumor aggressiveness in diffuse lower grade glioma. Eur. Radiol. 2020, 30, 2142–2151. [Google Scholar] [CrossRef]
- Yan, H.; Parsons, D.W.; Jin, G.; McLendon, R.; Rasheed, B.A.; Yuan, W.; Kos, I.; Batinic-Haberle, I.; Jones, S.; Riggins, G.J.; et al. IDH1 and IDH2 mutations in gliomas. N. Engl. J. Med. 2009, 360, 765–773. [Google Scholar] [CrossRef]
- Parsons, D.W.; Jones, S.; Zhang, X.; Lin, J.C.; Leary, R.J.; Angenendt, P.; Mankoo, P.; Carter, H.; Siu, I.M.; Gallia, G.L.; et al. An integrated genomic analysis of human glioblastoma multiforme. Science 2008, 321, 1807–1812. [Google Scholar] [CrossRef]
- Beiko, J.; Suki, D.; Hess, K.R.; Fox, B.D.; Cheung, V.; Cabral, M.; Shonka, N.; Gilbert, M.R.; Sawaya, R.; Prabhu, S.S.; et al. IDH1 mutant malignant astrocytomas are more amenable to surgical resection and have a survival benefit associated with maximal surgical resection. Neuro Oncol. 2014, 16, 81–91. [Google Scholar] [CrossRef]
- Wang, Y.Y.; Wang, K.; Li, S.W.; Wang, J.F.; Ma, J.; Jiang, T.; Dai, J.P. Patterns of Tumor Contrast Enhancement Predict the Prognosis of Anaplastic Gliomas with IDH1 Mutation. AJNR Am. J. Neuroradiol. 2015, 36, 2023–2029. [Google Scholar] [CrossRef]
- Wang, K.; Wang, Y.; Fan, X.; Wang, J.; Li, G.; Ma, J.; Ma, J.; Jiang, T.; Dai, J. Radiological features combined with IDH1 status for predicting the survival outcome of glioblastoma patients. Neuro Oncol. 2016, 18, 589–597. [Google Scholar] [CrossRef]
- Suchorska, B.; Schüller, U.; Biczok, A.; Lenski, M.; Albert, N.L.; Giese, A.; Kreth, F.W.; Ertl-Wagner, B.; Tonn, J.C.; Ingrisch, M. Contrast enhancement is a prognostic factor in IDH1/2 mutant, but not in wild-type WHO grade II/III glioma as confirmed by machine learning. Eur. J. Cancer 2019, 107, 15–27. [Google Scholar] [CrossRef] [PubMed]
- Song, S.S.; Yu, F.; Yan, X.T.; Piao, Y.S.; Xu, J.K.; Lu, J. Mri Prediction of Isocitrate Dehydrogenase-1 Mutation Status in Glioma. Chin. J. Med. Imaging Technol. 2019, 35, 6. [Google Scholar]
- Specchia, F.M.C.; Monticelli, M.; Zeppa, P.; Bianconi, A.; Zenga, F.; Altieri, R.; Pugliese, B.; Di Perna, G.; Cofano, F.; Tartara, F.; et al. Let Me See: Correlation between 5-ALA Fluorescence and Molecular Pathways in Glioblastoma: A Single Center Experience. Brain. Sci. 2021, 11, 795. [Google Scholar] [CrossRef] [PubMed]
- Bonada, M.; Rossi, L.F.; Carone, G.; Panico, F.; Cofano, F.; Fiaschi, P.; Garbossa, D.; Di Meco, F.; Bianconi, A. Deep Learning for MRI Segmentation and Molecular Subtyping in Glioblastoma: Critical Aspects from an Emerging Field. Biomedicines 2024, 12, 1878. [Google Scholar] [CrossRef]
- Yu, H.G.; Cheng, L.G.; Jin, Z.Q.; Liu, M.Z.; Wei, S.J.; Li, H.X. Correlation between intraoperative ultrasound manifestations and immunohistochemical molecular marker expression in glioma. Chin. J. Med. Imaging Technol. 2018, 34, 5. [Google Scholar]
- Prado-Costa, R.; Rebelo, J.; Monteiro-Barroso, J.; Preto, A.S. Ultrasound elastography: Compression elastography and shear-wave elastography in the assessment of tendon injury. Insights Imaging 2018, 9, 791–814. [Google Scholar] [CrossRef]
- Ozturk, A.; Grajo, J.R.; Dhyani, M.; Anthony, B.W.; Samir, A.E. Principles of ultrasound elastography. Abdom. Radiol. 2018, 43, 773–785. [Google Scholar] [CrossRef]
- Guibal, A.; Boularan, C.; Bruce, M.; Vallin, M.; Pilleul, F.; Walter, T.; Scoazec, J.Y.; Boublay, N.; Dumortier, J.; Lefort, T. Evaluation of shearwave elastography for the characterisation of focal liver lesions on ultrasound. Eur. Radiol. 2013, 23, 1138–1149. [Google Scholar] [CrossRef]
- Hong, S.; Woo, O.H.; Shin, H.S.; Hwang, S.Y.; Cho, K.R.; Seo, B.K. Reproducibility and diagnostic performance of shear wave elastography in evaluating breast solid mass. Clin. Imaging 2017, 44, 42–45. [Google Scholar] [CrossRef]
- Samir, A.E.; Dhyani, M.; Anvari, A.; Prescott, J.; Halpern, E.F.; Faquin, W.C.; Stephen, A. Shear-Wave Elastography for the Preoperative Risk Stratification of Follicular-patterned Lesions of the Thyroid: Diagnostic Accuracy and Optimal Measurement Plane. Radiology 2015, 277, 565–573. [Google Scholar] [CrossRef]
- Chauvet, D.; Imbault, M.; Capelle, L.; Demene, C.; Mossad, M.; Karachi, C.; Boch, A.L.; Gennisson, J.L.; Tanter, M. In Vivo Measurement of Brain Tumor Elasticity Using Intraoperative Shear Wave Elastography. Ultraschall. Med. 2016, 37, 584–590. [Google Scholar] [CrossRef]
- Yin, L.; Cheng, L.; Wang, F.; Zhu, X.; Hua, Y.; He, W. Application of intraoperative B-mode ultrasound and shear wave elastography for glioma grading. Quant. Imaging Med. Surg. 2021, 11, 2733–2743. [Google Scholar] [CrossRef]
- Xiao, X.Y.; Chen, X.; Guan, X.F.; Wu, H.; Qin, W.; Luo, B.M. Superb microvascular imaging in diagnosis of breast lesions: A comparative study with contrast-enhanced ultrasonographic microvascular imaging. Br. J. Radiol. 2016, 89, 20160546. [Google Scholar] [CrossRef] [PubMed]
- Ahn, H.S.; Lee, J.B.; Seo, M.; Park, S.H.; Choi, B.I. Distinguishing benign from malignant thyroid nodules using thyroid ultrasonography: Utility of adding superb microvascular imaging and elastography. Radiol. Med. 2018, 123, 260–270. [Google Scholar] [CrossRef] [PubMed]
- Cai, S.; Wang, H.; Zhang, X.; Zhang, L.; Zhu, Q.; Sun, Q.; Li, J.; Jiang, Y. Superb Microvascular Imaging Technology Can Improve the Diagnostic Efficiency of the BI-RADS System. Front. Oncol. 2021, 11, 634752. [Google Scholar] [CrossRef] [PubMed]
- Fu, Z.; Zhang, J.; Lu, Y.; Wang, S.; Mo, X.; He, Y.; Wang, C.; Chen, H. Clinical Applications of Superb Microvascular Imaging in the Superficial Tissues and Organs: A Systematic Review. Acad. Radiol. 2021, 28, 694–703. [Google Scholar] [CrossRef]
- Gitto, S.; Messina, C.; Chianca, V.; Tuscano, B.; Lazzara, A.; Corazza, A.; Pedone, L.; Albano, D.; Sconfienza, L.M. Superb microvascular imaging (SMI) in the evaluation of musculoskeletal disorders: A systematic review. Radiol. Med. 2020, 125, 481–490. [Google Scholar] [CrossRef]
- World Medical, A. World Medical Association Declaration of Helsinki: Ethical principles for medical research involving human subjects. JAMA 2013, 310, 2191–2194. [Google Scholar] [CrossRef]
- Myung, J.K.; Cho, H.J.; Park, C.K.; Kim, S.K.; Phi, J.H.; Park, S.H. IDH1 mutation of gliomas with long-term survival analysis. Oncol. Rep. 2012, 28, 1639–1644. [Google Scholar] [CrossRef][Green Version]
- Ichimura, K.; Pearson, D.M.; Kocialkowski, S.; Backlund, L.M.; Chan, R.; Jones, D.T.; Collins, V.P. IDH1 mutations are present in the majority of common adult gliomas but rare in primary glioblastomas. Neuro Oncol. 2009, 11, 341–347. [Google Scholar] [CrossRef] [PubMed]
- Lemasson, B.; Valable, S.; Farion, R.; Krainik, A.; Rémy, C.; Barbier, E.L. In vivo imaging of vessel diameter, size, and density: A comparative study between MRI and histology. Magn. Reson. Med. 2013, 69, 18–26. [Google Scholar] [CrossRef] [PubMed]
- Kellner, E.; Breyer, T.; Gall, P.; Muller, K.; Trippel, M.; Staszewski, O.; Stein, F.; Saborowski, O.; Dyakova, O.; Urbach, H.; et al. MR evaluation of vessel size imaging of human gliomas: Validation by histopathology. J. Magn. Reson. Imaging 2015, 42, 1117–1125. [Google Scholar] [CrossRef] [PubMed]
- Kiselev, V.G.; Strecker, R.; Ziyeh, S.; Speck, O.; Hennig, J. Vessel size imaging in humans. Magn. Reson. Med. 2005, 53, 553–563. [Google Scholar] [CrossRef]
- Li, S.H.; Shen, N.X.; Wu, D.; Zhang, J.; Zhang, J.X.; Jiang, J.J.; Zhu, W.Z. A Comparative Study Between Tumor Blood Vessels and Dynamic Contrast-enhanced MRI for Identifying Isocitrate Dehydrogenase Gene 1 (IDH1) Mutation Status in Glioma. Curr. Med. Sci. 2022, 42, 650–657. [Google Scholar] [CrossRef]
- Guo, H.; Kang, H.; Tong, H.; Du, X.; Liu, H.; Tan, Y.; Yang, Y.; Wang, S.; Zhang, W. Microvascular characteristics of lower-grade diffuse gliomas: Investigating vessel size imaging for differentiating grades and subtypes. Eur. Radiol. 2019, 29, 1893–1902. [Google Scholar] [CrossRef]
- Kickingereder, P.; Sahm, F.; Radbruch, A.; Wick, W.; Heiland, S.; Deimling, A.; Bendszus, M.; Wiestler, B. IDH mutation status is associated with a distinct hypoxia/angiogenesis transcriptome signature which is non-invasively predictable with rCBV imaging in human glioma. Sci. Rep. 2015, 5, 16238. [Google Scholar] [CrossRef]
- Brendle, C.; Hempel, J.M.; Schittenhelm, J.; Skardelly, M.; Tabatabai, G.; Bender, B.; Ernemann, U.; Klose, U. Glioma Grading and Determination of IDH Mutation Status and ATRX loss by DCE and ASL Perfusion. Clin. Neuroradiol. 2018, 28, 421–428. [Google Scholar] [CrossRef]
- Pepin, K.M.; McGee, K.P.; Arani, A.; Lake, D.S.; Glaser, K.J.; Manduca, A.; Parney, I.F.; Ehman, R.L.; Huston, J., 3rd. MR Elastography Analysis of Glioma Stiffness and IDH1-Mutation Status. AJNR Am. J. Neuroradiol. 2018, 39, 31–36. [Google Scholar] [CrossRef]
- Stadlbauer, A.; Zimmermann, M.; Kitzwogerer, M.; Oberndorfer, S.; Rossler, K.; Dorfler, A.; Buchfelder, M.; Heinz, G. MR Imaging-derived Oxygen Metabolism and Neovascularization Characterization for Grading and IDH Gene Mutation Detection of Gliomas. Radiology 2017, 283, 799–809. [Google Scholar] [CrossRef]
- Hu, Y.; Chen, Y.; Wang, J.; Kang, J.J.; Shen, D.D.; Jia, Z.Z. Non-Invasive Estimation of Glioma IDH1 Mutation and VEGF Expression by Histogram Analysis of Dynamic Contrast-Enhanced MRI. Front. Oncol. 2020, 10, 593102. [Google Scholar] [CrossRef]
- Miroshnikova, Y.A.; Mouw, J.K.; Barnes, J.M.; Pickup, M.W.; Lakins, J.N.; Kim, Y.; Lobo, K.; Persson, A.I.; Reis, G.F.; McKnight, T.R.; et al. Tissue mechanics promote IDH1-dependent HIF1alpha-tenascin C feedback to regulate glioblastoma aggression. Nat. Cell. Biol. 2016, 18, 1336–1345. [Google Scholar] [CrossRef]
- Shmelev, M.E.; Farniev, V.M.; Shved, N.A.; Kumeiko, V.V. Nanomechanical Signatures in Glioma Cells Depend on CD44 Distribution in IDH1 Wild-Type but Not in IDH1R132H Mutant Early-Passage Cultures. Int. J. Mol. Sci. 2023, 24, 4056. [Google Scholar] [CrossRef] [PubMed]


| HGG | LGG | p Value | |
|---|---|---|---|
| Age | 55.6 ± 14.6 | 43.6 ± 12.4 | 0.004 * |
| Sex (n, %) | 0.762 | ||
| Female | 12 (25.0%) | 8 (16.3%) | |
| Male | 18 (37.5%) | 10 (20.8%) | |
| Tumor location (n, %) | 1.000 | ||
| Frontal | 17 (35.4) | 9 (18.8%) | |
| Temporal | 4 (8.3%) | 5 (10.4%) | |
| Parietal | 2 (4.2%) | 1 (2.1%) | |
| Frontoparietal | 1 (2.1%) | 2 (4.2%) | |
| Frontotemporal | 2 (4.2%) | 1 (2.1%) | |
| Occipital | 1 (2.1%) | 0 (0.0%) | |
| Parietooccipital | 2 (4.2%) | 0 (0.0%) | |
| Paracele | 1 (2.1%) | 2 (4.2%) | |
| Total (n, %) | 30 (62.5%) | 18 (37.5%) |
| HGG (n, %) | LGG (n, %) | p Value | |
|---|---|---|---|
| Morphology | 0.632 | ||
| Regular | 10 (20.8%) | 4 (8.3%) | |
| Irregular | 20 (41.7%) | 14 (29.2%) | |
| Boundary | 0.178 | ||
| Clear | 14 (29.2%) | 12 (25.0%) | |
| Unclear | 16 (33.3%) | 6 (12.5%) | |
| Depth | 0.751 | ||
| ≤2 cm | 26 (54.2%) | 15 (31.3%) | |
| >2 cm | 4 (8.3%) | 3 (6.3%) | |
| Tumor size | 0.940 | ||
| ≤5 cm | 17 (35.4%) | 10 (20.8%) | |
| >5 cm | 13 (27.1%) | 8 (16.7%) | |
| Peritumoral edema | 0.048 * | ||
| None | 4 (8.3%) | 8 (16.7%) | |
| ≤2 cm | 13 (27.1%) | 6 (12.5%) | |
| >2 cm | 13 (27.1%) | 4 (8.3%) | |
| Cystic change | 0.084 | ||
| Available | 16 (33.3%) | 5 (10.4%) | |
| None | 14 (29.2%) | 13 (27.1%) | |
| Calcification | 0.105 | ||
| Available | 3 (6.3%) | 6 (12.5%) | |
| None | 27 (56.3%) | 12 (25.0%) | |
| Total | 30 (62.5%) | 18 (37.5%) |
| HGG (n, %) | LGG (n, %) | p Value | |
|---|---|---|---|
| Tumor Vessels | 0.001 * | ||
| Dilated and bent vessels | 18 (37.5%) | 2 (4.2%) | |
| Straight and branching vessels | 7 (14.6%) | 13 (27.1%) | |
| Avascular | 5 (10.4%) | 3 (6.3%) | |
| Vessels Around the Tumor | 0.001 * | ||
| Distorted and surrounding vessels | 20 (41.7%) | 2 (4.2%) | |
| Straight and penetrating vessels | 6 (12.5%) | 9 (18.8%) | |
| Normal cerebral vessels | 4 (8.3%) | 7 (14.6%) | |
| Total | 30 (62.5%) | 18 (37.5%) |
| LGG (kPa) | HGG (kPa) | t’ | p Value | |
|---|---|---|---|---|
| Intratumoral tissue | 23.4 ± 11.6 | 12.1 ± 13.7 | 2.937 | 0.005 * |
| Peritumoral tissue | 13.2 ± 4.6 | 10.4 ± 3.6 | 2.305 | 0.026 * |
| t’ | 3.499 | 0.644 | ||
| p value | 0.001 * | 0.524 |
| Mutant Type (n, %) | Wild Type (n, %) | p Value | |
|---|---|---|---|
| Morphology | 0.654 | ||
| Regular | 9 (18.8%) | 9 (18.8%) | |
| Irregular | 13 (27.1%) | 17 (35.4%) | |
| Boundary | 0.516 | ||
| Clear | 16 (33.3%) | 21 (43.8%) | |
| Unclear | 6 (12.5%) | 5 (10.4%) | |
| Depth | 0.687 | ||
| ≤2 cm | 18 (37.5%) | 23 (47.9%) | |
| >2 cm | 4 (8.3%) | 3 (6.3%) | |
| Tumor size | 0.422 | ||
| ≤5 cm | 11 (22.9%) | 16 (33.3%) | |
| >5 cm | 11 (22.9%) | 10 (20.8%) | |
| Peritumoral edema | 0.036 * | ||
| None | 11 (22.9%) | 6 (12.5%) | |
| ≤2 cm | 9 (18.8%) | 10 (20.8%) | |
| >2 cm | 2 (4.2%) | 10 (20.8%) | |
| Cystic change | 0.715 | ||
| Available | 9 (18.8%) | 12 (25.0%) | |
| None | 13 (27.1%) | 14 (29.2%) | |
| Calcification | 0.181 | ||
| Available | 8 (16.7%) | 4 (8.3%) | |
| None | 14 (29.2%) | 22 (45.8%) | |
| Tumor Vessels | 0.002 * | ||
| Dilated and bent vessels | 3 (6.3%) | 17 (35.4%) | |
| Straight and branching vessels | 13 (27.1%) | 7 (14.6%) | |
| Avascular | 6 (12.5%) | 2 (4.2%) | |
| Vessels Around the Tumor | 0.001 * | ||
| Distorted and surrounding vessels | 4 (8.3%) | 18 (37.5%) | |
| Straight and penetrating vessels | 12 (25.0%) | 3 (6.3%) | |
| Normal cerebral vessels | 6 (12.5%) | 5 (10.4%) | |
| Intratumoral Young’s modulus | 17.8 ± 10.3 | 15.1 ± 16.6 | 0.514 |
| Total (n, %) | 22 (45.8%) | 26 (54.2%) |
| OR (95%CI) | p Value | |
|---|---|---|
| Tumor Vessels | ||
| Straight and branching vessels and Avascular | 1.00 | |
| Dilated and bent vessels | 0.118 (0.020–0.682) | 0.017 * |
| Vessels Around the Tumor | ||
| Straight and penetrating vessels and Normal cerebral vessels | 1.00 | |
| Distorted and surrounding vessels | 0.123 (0.018–0.828) | 0.031 * |
| Peritumoral edema | ||
| None | 1.00 | |
| ≤2 cm | 3.061 (0.381–24.601) | 0.293 |
| >2 cm | 0.314 (0.035–2.784) | 0.298 |
| LGG | p Value | HGG | p Value | |||
|---|---|---|---|---|---|---|
| Mutant Type | Wild Type | Mutant Type | Wild Type | |||
| Morphology | 1.000 | 0.236 | ||||
| Regular | 3 (6.3%) | 1 (2.1%) | 6 (12.5%) | 8 (16.7%) | ||
| Irregular | 10 (20.8%) | 4 (8.3%) | 3 (6.3%) | 13 (27.1%) | ||
| Boundary | 1.00 | 0.694 | ||||
| Clear | 9 (18.8%) | 3 (6.3%) | 5 (10.4%) | 9 (18.8%) | ||
| Unclear | 4 (8.3%) | 2 (4.2%) | 4 (8.3%) | 12 (25.0%) | ||
| Depth | 1.000 | 1.000 | ||||
| ≤2 cm | 11 (22.9%) | 4 (8.3%) | 7 (14.6%) | 19 (39.6%) | ||
| >2 cm | 2 (4.2%) | 1 (2.1%) | 2 (4.2%) | 2 (4.2%) | ||
| Tumor size | 0.314 | 1.000 | ||||
| ≤5 cm | 6 (12.5%) | 4 (8.3%) | 5 (10.4%) | 12 (25.0%) | ||
| >5 cm | 7 (14.6%) | 1 (2.1%) | 4 (8.3%) | 9 (18.8%) | ||
| Peritumoral edema | 1.000 | 0.498 | ||||
| None | 10 (20.8%) | 3 (6.3%) | 1 (2.1%) | 3 (6.3%) | ||
| ≤2 cm | 3 (6.3%) | 2 (4.2%) | 6 (12.5%) | 8 (16.7%) | ||
| >2 cm | 0 (0.0%) | 0 (0.0%) | 2 (4.2%) | 9 (18.8%) | ||
| Cystic change | 0.522 | 0.704 | ||||
| Available | 3 (6.3%) | 0 (0.0%) | 6 (12.5%) | 12 | ||
| None | 10 (20.8%) | 5 (10.4%) | 3 (6.3%) | 9 (18.8%) | ||
| Calcification | 1.000 | 0.207 | ||||
| Available | 6 (12.5%) | 3 (6.3%) | 2 (4.2%) | 1 (2.1%) | ||
| None | 7 (14.6%) | 2 (4.2%) | 7 (14.6%) | 20 (41.7%) | ||
| Tumor Vessels | 0.109 | 0.109 | ||||
| Dilated and bent vessels | 0 (0.0%) | 2 (4.2%) | 3 (6.3%) | 15 (31.3%) | ||
| Straight and branching vessels | 10 (20.8%) | 2 (4.2%) | 3 (6.3%) | 4 (8.3%) | ||
| Avascular | 3 (6.3%) | 1 (2.1%) | 3 (6.3%) | 2 (4.2%) | ||
| Vessels Around the Tumor | 0.061 | 0.103 | ||||
| Distorted and surrounding vessels | 0 (0.0%) | 2 (4.2%) | 4 (8.3%) | 16 (33.3%) | ||
| Straight and penetrating vessels | 8 (16.7%) | 1 (2.1%) | 4 (8.3%) | 2 (4.2%) | ||
| Normal cerebral vessels | 5 (10.4%) | 2 (4.2%) | 1 (2.1%) | 3 (6.3%) | ||
| Intratumoral elasticity values of SWE | 27.0 ± 11.3 | 14.2 ± 6.5 | 0.031 * | 12.5 ± 9.2 | 11.9 ± 15.5 | 0.904 |
| Total (n, %) | 13 (27.1%) | 5 (10.4%) | 9 (18.8%) | 21 (43.8%) | ||
Disclaimer/Publisher’s Note: The statements, opinions and data contained in all publications are solely those of the individual author(s) and contributor(s) and not of MDPI and/or the editor(s). MDPI and/or the editor(s) disclaim responsibility for any injury to people or property resulting from any ideas, methods, instructions or products referred to in the content. |
© 2025 by the authors. Licensee MDPI, Basel, Switzerland. This article is an open access article distributed under the terms and conditions of the Creative Commons Attribution (CC BY) license (https://creativecommons.org/licenses/by/4.0/).
Share and Cite
Cai, S.; Xing, H.; Wang, Y.; Wang, Y.; Ma, W.; Jiang, Y.; Li, J.; Wang, H. Role of Multiparametric Ultrasound in Predicting the IDH Mutation in Gliomas: Insights from Intraoperative B-Mode, SWE, and SMI Modalities. J. Clin. Med. 2025, 14, 6264. https://doi.org/10.3390/jcm14176264
Cai S, Xing H, Wang Y, Wang Y, Ma W, Jiang Y, Li J, Wang H. Role of Multiparametric Ultrasound in Predicting the IDH Mutation in Gliomas: Insights from Intraoperative B-Mode, SWE, and SMI Modalities. Journal of Clinical Medicine. 2025; 14(17):6264. https://doi.org/10.3390/jcm14176264
Chicago/Turabian StyleCai, Siman, Hao Xing, Yuekun Wang, Yu Wang, Wenbin Ma, Yuxin Jiang, Jianchu Li, and Hongyan Wang. 2025. "Role of Multiparametric Ultrasound in Predicting the IDH Mutation in Gliomas: Insights from Intraoperative B-Mode, SWE, and SMI Modalities" Journal of Clinical Medicine 14, no. 17: 6264. https://doi.org/10.3390/jcm14176264
APA StyleCai, S., Xing, H., Wang, Y., Wang, Y., Ma, W., Jiang, Y., Li, J., & Wang, H. (2025). Role of Multiparametric Ultrasound in Predicting the IDH Mutation in Gliomas: Insights from Intraoperative B-Mode, SWE, and SMI Modalities. Journal of Clinical Medicine, 14(17), 6264. https://doi.org/10.3390/jcm14176264

