High-Resolution CT Findings in Interstitial Lung Disease Associated with Connective Tissue Diseases: Differentiating Patterns for Clinical Practice—A Systematic Review with Meta-Analysis
Abstract
1. Introduction
1.1. Background: Brief Overview of Connective Tissue Diseases (CTDs) and the Importance of High-Resolution Computed Tomography (HRCT)
1.2. Objective of This Review
2. Materials and Methods
2.1. Data Sources and Search Strategy
2.2. Inclusion and Exclusion Criteria
2.3. Risk of Bias
2.4. Data Collection
3. Results
3.1. Search Results
3.2. Literature Review
3.3. HRCT Imaging Patterns in Connective Tissue Disorders
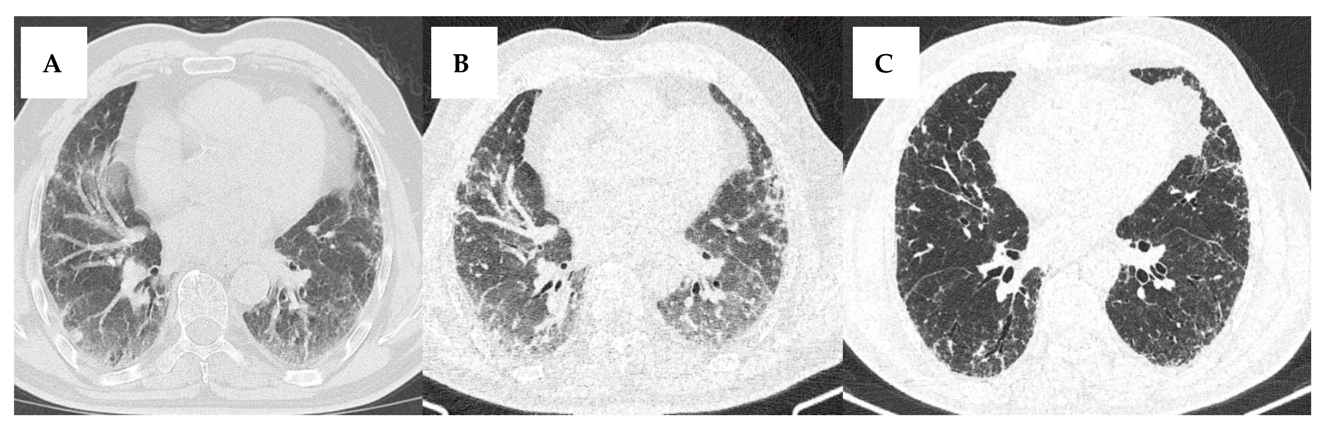
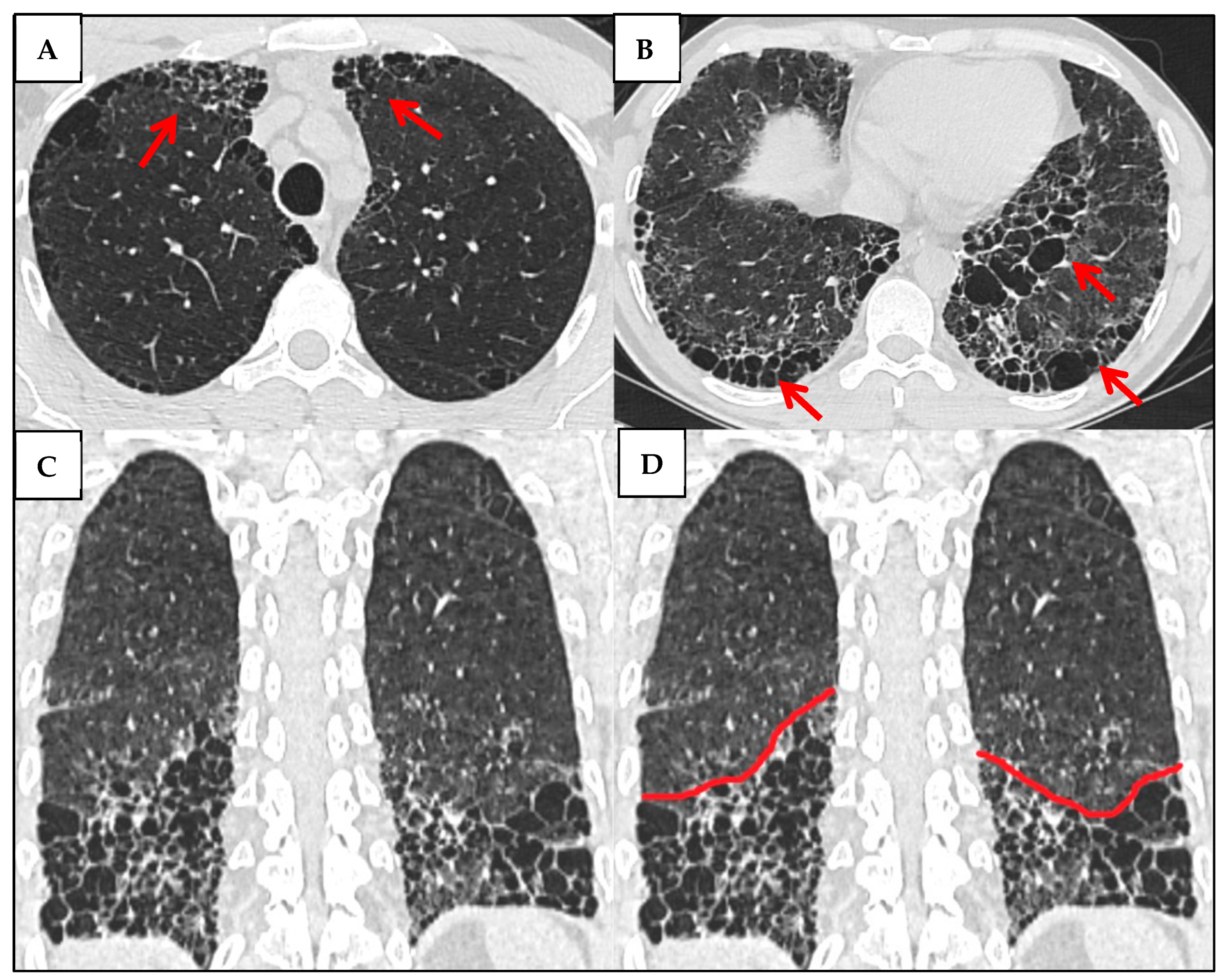
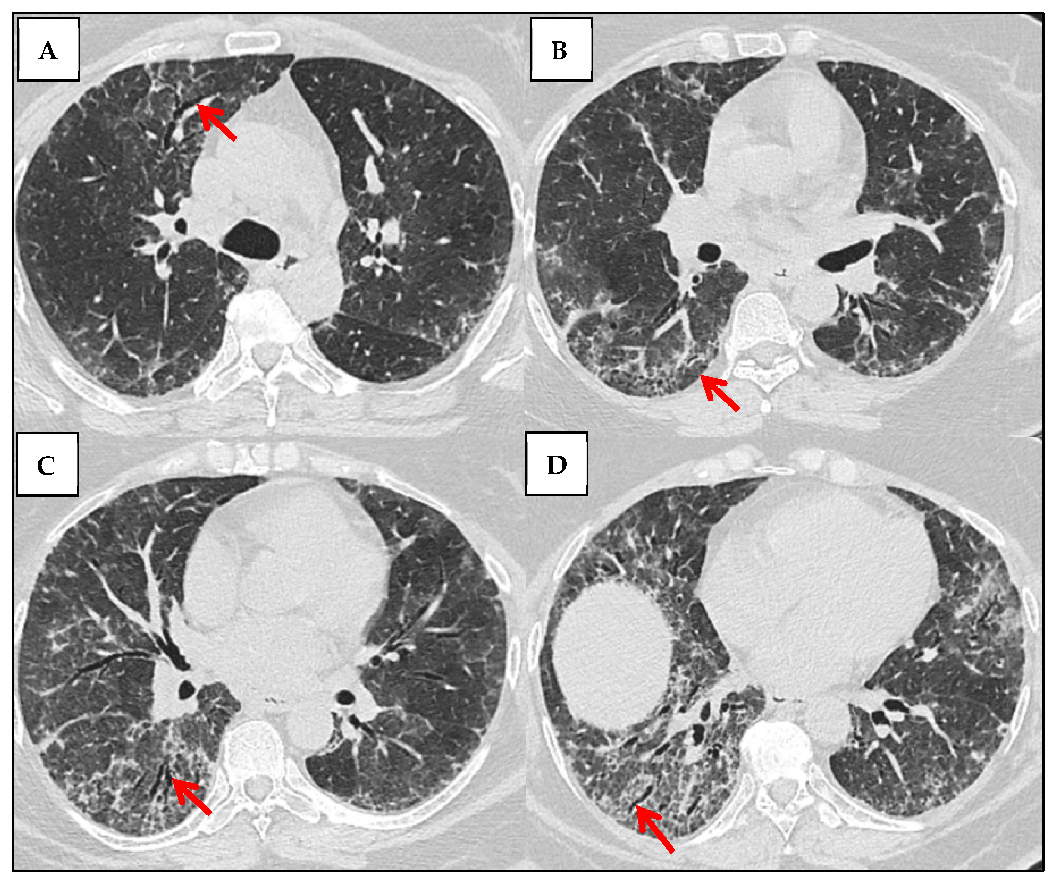
3.3.1. UIP Pattern
3.3.2. NSIP Pattern
3.3.3. OP Pattern
3.3.4. LIP Pattern
3.4. Connective Tissue Disorders
3.4.1. Systemic Sclerosis
3.4.2. Rheumatoid Arthritis
3.4.3. Sjögren’s Syndrome
3.4.4. Idiopathic Inflammatory Myopathies
3.4.5. Mixed Connective Tissue Disease
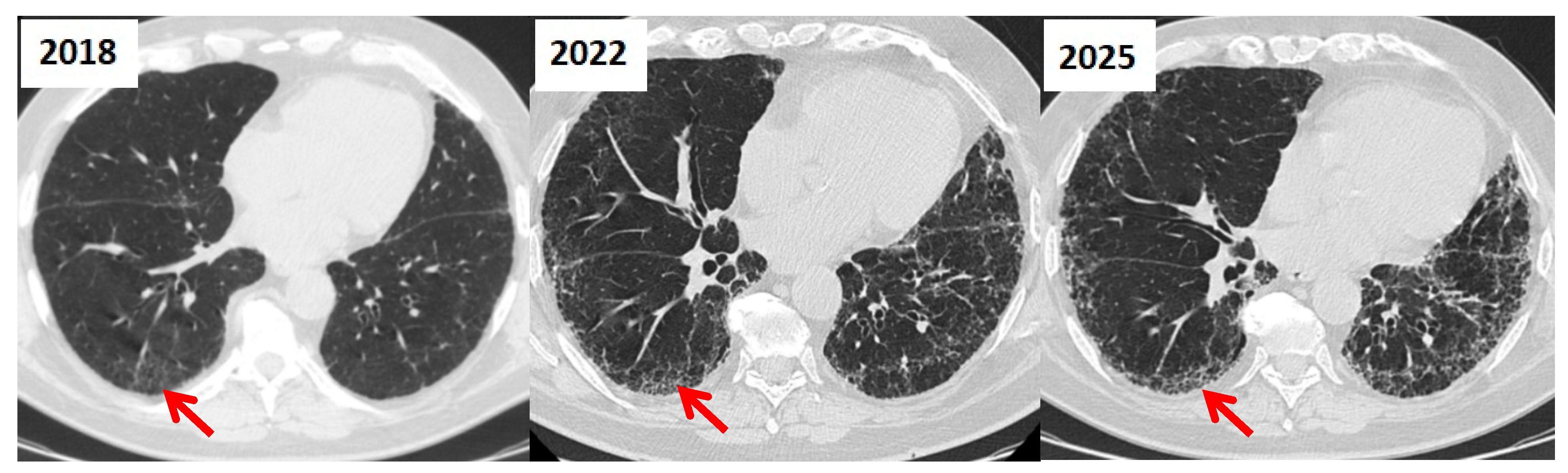
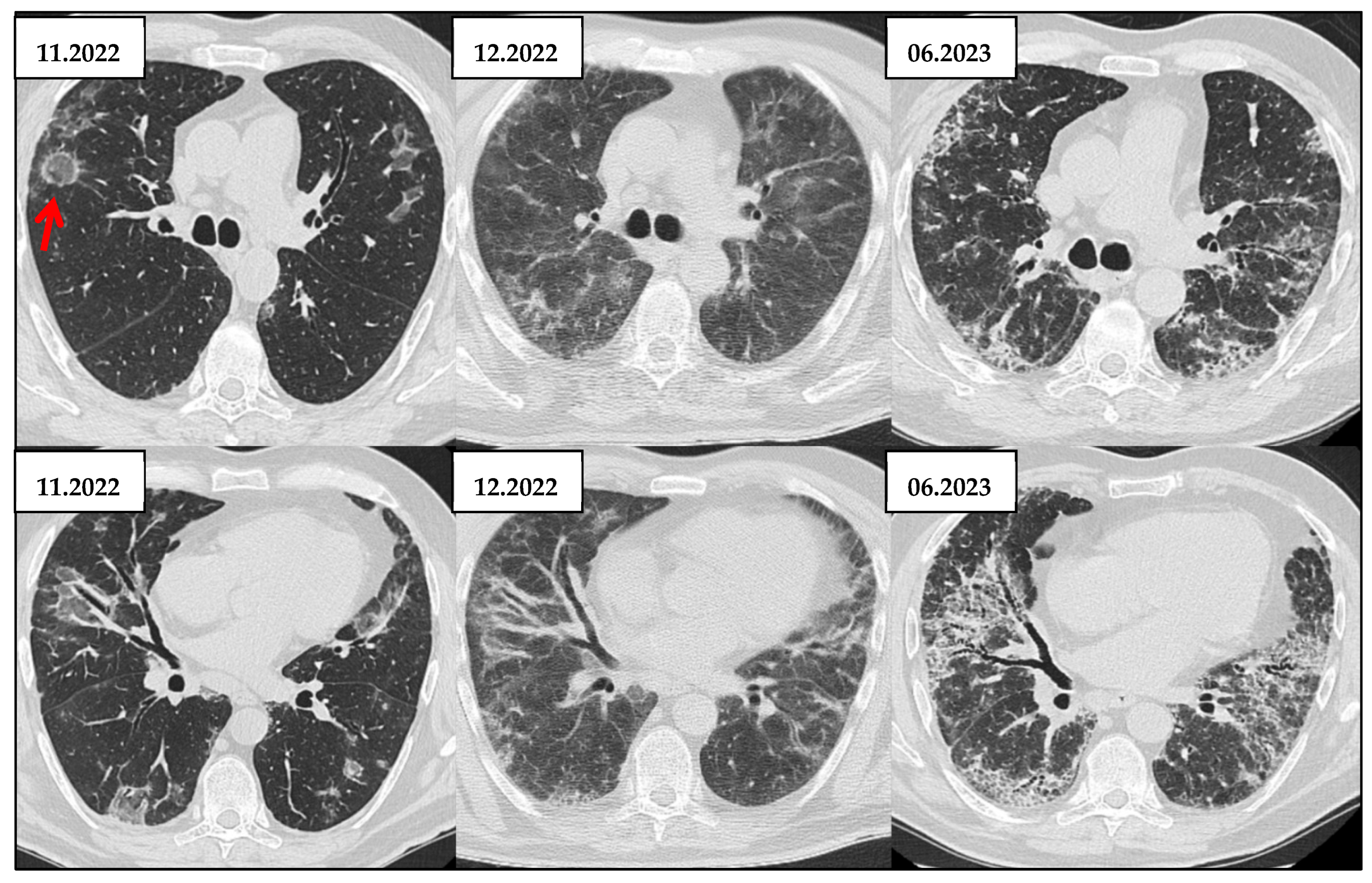
3.5. Role of HRCT in Longitudinal Assessment of CTD-ILD
4. Discussion
5. Conclusions
Supplementary Materials
Author Contributions
Funding
Institutional Review Board Statement
Informed Consent Statement
Data Availability Statement
Conflicts of Interest
Abbreviations
| A | Aorta | 
| ACPAs | Anti-citrullinated peptide antibodies | 
| ADM | Amyopathic dermatomyositis | 
| AIP | Acute interstitial pneumonia | 
| ALAT | Latin American Thoracic Association | 
| Anti-MDA5 | Anti-melanoma differentiation-associated gene 5 | 
| ARS | Aminoacyl-transfer RNA synthetases | 
| ASyS | Antisynthetase syndrome | 
| ATS | American Thoracic Society | 
| AUL | Anterior Upper Lobe | 
| BALT | Bronchus-associated lymphoid tissue | 
| BNP | Brain natriuretic peptide | 
| BSR | British Society for Rheumatology, | 
| CB | Constrictive bronchiolitis | 
| COP | Cryptogenic organizing pneumonia | 
| CRP | C-reactive protein | 
| CTD-ILDs | Connective tissue disease associated interstitial lung disease | 
| CTDs | Connective tissue diseases | 
| DAD | Diffuse alveolar damage | 
| DLCO | Diffusion capacity for carbon monoxide | 
| DM | Dermatomyositis | 
| EHC | Exuberant Honeycombing | 
| ERS | European Respiratory Society | 
| ESR | Erythrocyte sedimentation rate | 
| ESSDAI | EULAR Sjögren’s syndrome disease activity index | 
| FB | Follicular bronchiolitis | 
| FVC | Forced vital capacity | 
| GGO | Ground-glass opacities | 
| HP | Histopathological | 
| HRCT | High-resolution computed tomography | 
| IIMs | Idiopathic Inflammatory Myopathies | 
| ILD | Interstitial lung disease | 
| IMNM | Immune-mediated necrotizing myopathy | 
| iNSIP | Idiopathic NSIP | 
| IPF | Idiopathic pulmonary fibrosis | 
| JRS | The Japanese Respiratory Society | 
| lcSSc | Limited cutaneous SSc | 
| LIP | Lymphoid interstitial pneumonia | 
| MALT | Mucosa-associated lymphoid tissue | 
| MCTD | Mixed Connective Tissue Disease | 
| mMRC | Modified Medical Research Council | 
| mPAP | Mean pulmonary arterial pressure | 
| MSAs | Myositis-specific autoantibodies | 
| NOS | Newcastle–Ottawa Scale | 
| NSIP | Non-specific interstitial pneumonia | 
| NT-proBNP | N-terminal pro brain natriuretic peptide | 
| OP | Organizing pneumonia | 
| PA | Pulmonary artery | 
| PAH | Pulmonary arterial hypertension | 
| PAWP | Pulmonary arterial wedge pressure | 
| PFT | Pulmonary function tests | 
| PM | Polymyositis | 
| PRISMA | Preferred Reporting Items for Systematic Reviews and Meta-Analyses | 
| pSS | Primary Sjögren’s syndrome | 
| PVR | Pulmonary vascular resistance | 
| RA | Rheumatoid Arthritis | 
| RF | Rheumatoid factor | 
| RHC | Right heart catheterization | 
| RNP | Ribonucleoprotein | 
| RP-ILD | Rapidly progressive interstitial lung disease | 
| SE | Straight-Edge | 
| sIBM | Sporadic inclusion-body myositis | 
| SLE | Systemic Lupus Erythematosus | 
| SS | Sjögren’s syndrome | 
| SSc | Systemic Sclerosis | 
| TGF-β | Transforming growth factor-beta | 
| UIP | Usual interstitial pneumonia | 
| WHO | The World Health Organization | 
Appendix A
| Type of CTD | Study | Design | Country | n | HRCT–ILD, n (%) | Definite UIP, n (%) | Probable UIP, n (%) | Indeterminate UIP, n (%) | NSIP, n (%) | OP, n (%) | LIP, n (%) | Other, n (%) | 
|---|---|---|---|---|---|---|---|---|---|---|---|---|
| Systemic Sclerosis | Agarwal et al., 2021,  [63]  | Cross-sectional | India | 21 | 21 (100%)  | 3 (14.29%)  | 0 | 0 | 14  (66.67%)  | 4  (19.05%)  | 0 | 0 | 
| Ibrahim et al., 2020,  [64]  | Cross-sectional | Egypt | 30 | 20 (66.6%)  | 5 (25%)  | 0 | 0 | 13 (65%)  | 0 | 2 (10%)  | 0 | |
| Kaur et al., 2024, [17]  | Cross-sectional | India | 3 | 3 (100%)  | 1 (33.3%)  | 0 | 0 | 2 (66.6%)  | 0 | 0 | 0 | |
| Nurmi et al., 2023, [65]  | Retrospective | Finland | 15 | 15 (100%)  | 3 (20%)  | 1 (6.7%)  | 3 (20%)  | 2 (13.3%)  | 1 (6.7%)  | 0 | 5 (33.3%)  | |
| Oliveira et al., 2022, [2]  | Retrospective | Portugal | 26 | 26 (100%)  | 7 (27%)  | 0 | 0 | 19 (73%)  | 0 | 0 | 0 | |
| Yamakawa et al., 2020, [66]  | Retrospective | Japan | 38 | 38 (100%)  | 3 (7.89%)  | 1 (2.65%)  | 10 (26.31%)  | 24  (63.15%)  | 0 | 0 | 0 | |
| Yıldırım et al., 2019, [67]  | Retrospective | Turkey | 18 | 18 (100%)  | 9 (50%)  | Non-UIP = 9 (50%)  | ||||||
| Rheumatoid arthritis | Agarwal et al., 2021,  [63]  | Cross-sectional | India | 26 | 26 (100%)  | 10  (38.47%)  | 0 | 0 | 8 (30.77%)  | 4  (15.38%)  | 0 | 4 (15.38%)  | 
| Kaur et al., 2024, [17]  | Cross-sectional | India | 4 | 4 (100%)  | 2 (50%)  | 0 | 0 | 2 (50%)  | 0 | 0 | 0 | |
| Kim et al., 2020, [68]  | Retrospective | Korea | 153 | 153 (100%)  | 59 (38.6%)  | Non UIP = 94  (61.4%)  | ||||||
| Lee et al., 2021,  [40]  | Retrospective/prospective | Korea | 60 | 60 (100%)  | 31 (51.67%) | 0 | 0 | 18 (30%)  | 0 | 0 | 11 (18.33%)  | |
| Nurmi et al., 2016,  [43]  | Retrospective | Finland | 59 | 59 (100%)  | 35 (59.34%) | 0 | 0 | 8 (13.55%)  | 7 (11.86) | 0 | 9 (15.25%)  | |
| Nurmi et al., 2023,  [65]  | Retrospective | Finland | 71 | 71 (100%)  | 37 (52.1%)  | 5 (7%)  | 0 | 7 (9.9%)  | 9 (12.7%) | 0 | 13 (18.3%)  | |
| Oh et al., 2022, [69]  | Retrospective | Korea | 158 | 144 (91.13%) | 53 (36.8%)  | Non UIP = 91 (63.2%) | ||||||
| Oliveira et al., 2022, [2]  | Retrospective | Portugal | 15 | 15 (100%)  | 8 (53.34%)  | 0 | 0 | 6 (40%)  | 0 | 0 | 1 (6.66%)  | |
| Ren et al., 2023, [39]  | Retrospective | China | 154 | 67 (43.5%)  | 41 (61.2%)  | 0 | 0 | 10 (14.9%)  | 2 (3%)  | 0 | 14 (20.9%)  | |
| Yamakawa et al., 2019, [70]  | Retrospective | Japan | 96 | 96 (100%)  | 20 (21%)  | 19 (20%)  | 29 (30%)  | 13 (14%)  | 6 (6%)  | 0 | 9 (9%)  | |
| Yang et al., 2019, [71]  | Retrospective | Korea | 77 | 67 (87%)  | 32 (47.7%)  | 0 | 0 | 17 (25.4%)  | 13 (19.4%) | 2 (3%)  | 3 (4.5%)  | |
| Yıldırım et al., 2019, [67]  | Retrospective | Turkey | 28 | 28 (100%)  | 8 (28.6%)  | Non UIP = 20 (71.4%) | ||||||
| Yunt et al., 2017, [72]  | Retrospective | USA | 385 | 292 (75.84%) | 100 (34.28%) | 23 (7.87%)  | 0 | 35 (11.98%) | 4 (1.36%) | 4  (1.36%)  | 126 (43.15%)  | |
| Sjögren’s Syndrome | Agarwal et al., 2021, [63]  | Cross-sectional | India | 16 | 16 (100%)  | 2 (12.50%)  | 0 | 0 | 7 (43.75%)  | 5 (31.25) | 1  (6.25%)  | 1 (6.25%)  | 
| Gao et al., 2018, [50]  | Retrospective | China | 165 | 69 (41.81%)  | 11 (15.95%) | 0 | 13 (18.8%)  | 27 (39.13%) | 1 (1.44%) | 12  (17.4%)  | 5 (7.24%)  | |
| Kim et al., 2021, [5]  | Retrospective | Korea | 62 | 62 (100%)  | 24 (38.75%) | 26 (41.9%)  | 0 | 7 (11.29%)  | 1 (1.61%) | 4  (6.45%)  | 0 | |
| Nurmi et al., 2023, [65]  | Retrospective | Finland | 11 | 11 (100%)  | 1 (9.1%)  | 1 (9.09%)  | 1 (9.09%)  | 2 (18.18%)  | 3 (27.27) | 0 | 3 (27.27%)  | |
| Yldırım et al., 2019, [67]  | Retrospective | Turkey | 9 | 9 (100%)  | 1 (11.1%)  | Non UIP = 8  (88.9%)  | ||||||
| Idiopathic Inflammatory Myopathies | Abel et al., 2023, [53]  | Retrospective | France | 72 | 58 (80.55%)  | 4 (6.9%)  | 0 | 0 | 29 (50%)  | 3 (5.17%) | 0 | 22 (37.93%)  | 
| Agarwal et al., 2021, [63]  | Cross-sectional | India | 4 | 4 (100%)  | 0 | 0 | 0 | 1 (25%)  | 0 | 0 | 3 (75%)  | |
| Chen et al., 2019, [73]  | Retrospective | China | 20 | 20 (100%)  | 0 | 0 | 0 | 11 (55%)  | 9 (45%)  | 0 | 0 | |
| Chen et al., 2023, [56]  | Retrospective | China/Japan | 308 | 308 (100%)  | 2 (0.65%)  | 0 | 0 | 87 (28.25%) | 142 (46.1%) | 0 | 77 (25%)  | |
| Nurmi et al., 2023, [65]  | Retrospective | Finland | 15 | 15 (100%)  | 1 (6.7%)  | 1 (6.7%)  | 1 (6.7%)  | 2 (13.3%)  | 5 (33.3%) | 0 | 5 (33.3%)  | |
| Oliveira et al., 2022, [2]  | Retrospective | Portugal | 5 | 5 (100%)  | 2 (40%)  | 0 | 0 | 3 (60%)  | 0 | 0 | 0 | |
| Vojinovic et al., 2021, [74]  | Retrospective | Italy | 165 | 47 (28.48%)  | 6 (12.84%)  | 0 | 9 (19.14%)  | 15 (31.92%)  | 9 (19.1%) | 0 | 8 (17%)  | |
| Yamakawa et al., 2020, [66]  | Retrospective | Japan | 24 | 24 (100%)  | 1 (4%)  | 2 (8%)  | 5 (21%)  | 16 (67%)  | 0 | 0 | 0 | |
| Zanatta et al., 2023, [75]  | Retrospective | Italy/France | 253 | 78 (30.83%)  | 22 (28%)  | 0 | 0 | 39 (50%)  | 17 (22%)  | 0 | 0 | |
| Mixed Connective Tissue Disease | Agarwal et al., 2021, [63]  | Cross-sectional | India | 18 | 18 (100%)  | 3  (16.67%)  | 0 | 0 | 10 (55.56%) | 4 (22.22) | 0 | 1 (5.55%)  | 
| Nurmi et al., 2023, [65]  | Retrospective | Finland | 7 | 7 (100%)  | 1  (14.28%)  | 1 (14.28%)  | 1 (14.28%)  | 1 (14.28%)  | 0 | 0 | 3 (42.88%)  | |
| Oliveira et al., 2022, [2]  | Retrospective | Portugal | 7 | 7 (100%)  | 2  (29%)  | 0 | 0 | 5 (71%)  | 0 | 0 | 0 | |
| Shan and Ge, 2024, [58]  | Retrospective | China | 59 | 39 (66.1%)  | 8  (20.5%)  | 0 | 0 | 31 (79.5%)  | 0 | 0 | 0 | 
References
- Palmucci, S.; Galioto, F.; Fazio, G.; Ferlito, A.; Cancemi, G.; Di Mari, A.; Sambataro, G.; Sambataro, D.; Zanframundo, G.; Mauro, L.A.; et al. Clinical and radiological features of lung disorders related to connective-tissue diseases: A pictorial essay. Insights Imaging 2022, 13, 108. [Google Scholar] [CrossRef]
 - Oliveira, R.P.; Ribeiro, R.; Melo, L.; Grima, B.; Oliveira, S.; Alves, J.D. Connective tissue disease-associated interstitial lung disease. Pulmonology 2022, 28, 113–118. [Google Scholar] [CrossRef]
 - Mehrjardi, M.Z.; Kahkouee, S.; Pourabdollah, M. Radio-pathological correlation of organizing pneumonia (OP): A pictorial review. Br. J. Radiol. 2017, 90, 20160723. [Google Scholar] [CrossRef] [PubMed]
 - Wuyts, L.L.; Camerlinck, M.; de Surgeloose, D.; Vermeiren, L.; Ceulemans, D.; Clukers, J.; Slabbynck, H. Comparison between the ATS/ERS/JRS/ALAT criteria of 2011 and 2018 for usual Interstitial Pneumonia on HRCT: A cross-sectional study. Br. J. Radiol. 2021, 94, 20201159. [Google Scholar] [CrossRef] [PubMed]
 - Kim, Y.J.; Choe, J.; Kim, H.J.; Song, J.W. Long-term clinical course and outcome in patients with primary Sjögren syndrome-associated interstitial lung disease. Sci. Rep. 2021, 11, 12827. [Google Scholar] [CrossRef]
 - Zhao, J.; Long, Y.; Li, S.; Li, X.; Zhang, Y.; Hu, J.; Han, L.; Ren, L. Use of artificial intelligence algorithms to analyse systemic sclerosis-interstitial lung disease imaging features. Rheumatol. Int. 2024, 44, 2027–2041. [Google Scholar] [CrossRef]
 - Page, M.J.; McKenzie, J.E.; Bossuyt, P.M.; Boutron, I.; Hoffmann, T.C.; Mulrow, C.D.; Shamseer, L.; Tetzlaff, J.M.; Akl, E.A.; Brennan, S.E.; et al. The PRISMA 2020 statement: An updated guideline for reporting systematic reviews. BMJ 2021, 372, 71. [Google Scholar] [CrossRef]
 - Paulin, F.; Babini, A.; Mamani, M.; Mercado, J.; Caro, F. Practical Approach to the Evaluation and Management of Rheumatoid Arthritis-Interstitial Lung Disease Based on its Proven and Hypothetical Mechanisms. Rev. Investig. Clin. Organo Hosp. Enfermedades Nutr. 2017, 69, 235–242. [Google Scholar] [CrossRef]
 - Ledda, R.E.; Campochiaro, C. High resolution computed tomography in systemic sclerosis: From diagnosis to follow-up. Rheumatol. Immunol. Res. 2024, 5, 166–174. [Google Scholar] [CrossRef] [PubMed]
 - Ruaro, B.; Baratella, E.; Confalonieri, P.; Wade, B.; Marrocchio, C.; Geri, P.; Busca, A.; Pozzan, R.; Andrisano, A.G.; Cova, M.A.; et al. High-Resolution Computed Tomography: Lights and Shadows in Improving Care for SSc-ILD Patients. Diagnostics 2021, 11, 1960. [Google Scholar] [CrossRef]
 - Almeida, R.F.; Watte, G.; Marchiori, E.; Altmayer, S.; Pacini, G.S.; Barros, M.C.; Paza Junior, A.; Runin, A.S.; Salem, M.C.G.G.; Hochhegger, B. High resolution computed tomography patterns in interstitial lung disease (ILD): Prevalence and prognosis. J. Bras. Pneumol. Publicacao Soc. Bras. Pneumol. E Tisilogia 2020, 46, e20190153. [Google Scholar] [CrossRef]
 - Cottin, V.; Valenzuela, C. Diagnostic approach of fibrosing interstitial lung diseases of unknown origin. Presse Medicale Paris Fr. 1983 2020, 49, 104021. [Google Scholar] [CrossRef] [PubMed]
 - Torres, P.P.T.E.S.; Rabahi, M.F.; Moreira, M.A.D.C.; Escuissato, D.L.; Meirelles, G.S.P.; Marchiori, E. Importance of chest HRCT in the diagnostic evaluation of fibrosing interstitial lung diseases. J. Bras. Pneumol. 2021, 47, e20200096. [Google Scholar] [CrossRef]
 - Raghu, G.; Remy-Jardin, M.; Richeldi, L.; Thomson, C.C.; Inoue, Y.; Johkoh, T.; Kreuter, M.; Lynch, D.A.; Maher, T.M.; Martinez, F.J.; et al. Idiopathic Pulmonary Fibrosis (an Update) and Progressive Pulmonary Fibrosis in Adults: An Official ATS/ERS/JRS/ALAT Clinical Practice Guideline. Am. J. Respir. Crit. Care Med. 2022, 205, e18–e47. [Google Scholar] [CrossRef]
 - Torres, P.P.T.S.; Rabahi, M.F.; Moreira, M.A.C.; Meirelles, G.S.P.; Marchiori, E. Usual interstitial pneumonia: Typical, possible, and “inconsistent” patterns. J. Bras. Pneumol. 2017, 43, 393–398. [Google Scholar] [CrossRef]
 - Hodnett, P.A.; Naidich, D.P. Fibrosing interstitial lung disease: A practical high-resolution computed tomography-based approach to diagnosis and management and a review of the literature. Am. J. Respir. Crit. Care Med. 2013, 188, 141–149. [Google Scholar] [CrossRef]
 - Kaur, A.; Mohi, J.K.; Threja, M.; Singh, S. Radiological Evaluation Of Interstitial Lung Diseases On High-Resolution Computed Tomography In Tertiary Care Center Of North India. Asian J. Pharm. Clin. Res. 2024, 17, 83–88. [Google Scholar] [CrossRef]
 - Belloli, E.A.; Beckford, R.; Hadley, R.; Flaherty, K.R. Idiopathic non-specific interstitial pneumonia. Respirology 2016, 21, 259–268. [Google Scholar] [CrossRef]
 - Raghu, G.; Meyer, K.C. Cryptogenic organising pneumonia: Current understanding of an enigmatic lung disease. Eur. Respir. Rev. 2021, 30, 210094. [Google Scholar] [CrossRef]
 - Cherian, S.V.; Patel, D.; Machnicki, S.; Naidich, D.; Stover, D.; Travis, W.D.; Brown, K.K.; Naidich, J.J.; Mahajan, A.; Esposito, M.; et al. Algorithmic Approach to the Diagnosis of Organizing Pneumonia: A Correlation of Clinical, Radiologic, and Pathologic Features. Chest 2022, 162, 156–178. [Google Scholar] [CrossRef] [PubMed]
 - La Rocca, G.; Ferro, F.; Sambataro, G.; Elefante, E.; Fonzetti, S.; Fulvio, G.; Navarro, I.; Mosca, M.; Baldini, C. Primary-Sjogren’s-Syndrome-Related Interstitial Lung Disease: A Clinical Review Discussing Current Controversies. J. Clin. Med. 2023, 12, 3428. [Google Scholar] [CrossRef]
 - Hare, S.S.; Souza, C.A.; Bain, G.; Seely, J.M.; Frcpc; Gomes, M.M.; Quigley, M. The radiological spectrum of pulmonary lymphoproliferative disease. Br. J. Radiol. 2012, 85, 848–864. [Google Scholar] [CrossRef] [PubMed]
 - Egashira, R.; Kondo, T.; Hirai, T.; Kamochi, N.; Yakushiji, M.; Yamasaki, F.; Irie, H. CT Findings of Thoracic Manifestations of Primary Sjögren Syndrome: Radiologic-Pathologic Correlation. RadioGraphics 2013, 33, 1933–1949. [Google Scholar] [CrossRef] [PubMed]
 - Amorim, F.G.; Dos Santos, E.R.; Yuji Verrastro, C.G.; Kayser, C. Quantitative chest computed tomography predicts mortality in systemic sclerosis: A longitudinal study. PLoS ONE 2024, 19, e0310892. [Google Scholar] [CrossRef]
 - Varga, J.; Abraham, D. Systemic sclerosis: A prototypic multisystem fibrotic disorder. J. Clin. Investig. 2007, 117, 557–567. [Google Scholar] [CrossRef]
 - Cottin, V.; Hirani, N.A.; Hotchkin, D.L.; Nambiar, A.M.; Ogura, T.; Otaola, M.; Skowasch, D.; Park, J.S.; Poonyagariyagorn, H.K.; Wuyts, W.; et al. Presentation, diagnosis and clinical course of the spectrum of progressive-fibrosing interstitial lung diseases. Eur. Respir. Rev. 2018, 27, 180076. [Google Scholar] [CrossRef]
 - Steele, R.; Hudson, M.; Lo, E.; Baron, M.; The Canadian Scleroderma Research Group. Clinical decision rule to predict the presence of interstitial lung disease in systemic sclerosis. Arthritis Care Res. 2012, 64, 519–524. [Google Scholar] [CrossRef] [PubMed]
 - Biciusca, V.; Rosu, A.; Stan, S.I.; Cioboata, R.; Biciusca, T.; Balteanu, M.A.; Florescu, C.; Camen, G.C.; Cimpeanu, O.; Bumbea, A.M.; et al. A Practical Multidisciplinary Approach to Identifying Interstitial Lung Disease in Systemic Autoimmune Rheumatic Diseases: A Clinician’s Narrative Review. Diagnostics 2024, 14, 2674. [Google Scholar] [CrossRef]
 - Denton, C.P.; De Lorenzis, E.; Roblin, E.; Goldman, N.; Alcacer-Pitarch, B.; Blamont, E.; Buch, M.H.; Carulli, M.; Cotton, C.; Del Galdo, F.; et al. The 2024 British Society for Rheumatology guideline for management of systemic sclerosis. Rheumatology 2024, 63, 2956–2975. [Google Scholar] [CrossRef]
 - Khanna, S.A.; Nance, J.W.; Suliman, S.A. Detection and Monitoring of Interstitial Lung Disease in Patients with Systemic Sclerosis. Curr. Rheumatol. Rep. 2022, 24, 166–173. [Google Scholar] [CrossRef]
 - Assassi, S.; Tumuluri, S.; Levin, R.W. Interstitial lung disease in patients with systemic sclerosis: What can we learn from the SENSCIS trial? Clin. Exp. Rheumatol. 2023, 41, 1713–1719. [Google Scholar] [CrossRef]
 - Joy, G.M.; Arbiv, O.A.; Wong, C.K.; Lok, S.D.; Adderley, N.A.; Dobosz, K.M.; Johannson, K.A.; Ryerson, C.J. Prevalence, imaging patterns and risk factors of interstitial lung disease in connective tissue disease: A systematic review and meta-analysis. Eur. Respir. Rev. 2023, 32, 220210. [Google Scholar] [CrossRef]
 - Petelytska, L.; Bonomi, F.; Cannistrà, C.; Fiorentini, E.; Peretti, S.; Torracchi, S.; Bernardini, P.; Coccia, C.; De Luca, R.; Economou, A.; et al. Heterogeneity of determining disease severity, clinical course and outcomes in systemic sclerosis-associated interstitial lung disease: A systematic literature review. RMD Open 2023, 9, e003426. [Google Scholar] [CrossRef] [PubMed]
 - Xanthouli, P.; Echampati, I.; Lorenz, H.-M.; Heussel, C.P.; Benjamin, N. Respiratory involvement in connective tissue diseases. Eur. J. Intern. Med. 2024, 120, 11–16. [Google Scholar] [CrossRef] [PubMed]
 - Shlobin, O.A.; Adir, Y.; Barbera, J.A.; Cottin, V.; Harari, S.; Jutant, E.-M.; Pepke-Zaba, J.; Ghofrani, H.-A.; Channick, R. Pulmonary hypertension associated with lung diseases. Eur. Respir. J. 2024, 64, 2401200. [Google Scholar] [CrossRef] [PubMed]
 - Coghlan, J.G.; Denton, C.P.; Grünig, E.; Bonderman, D.; Distler, O.; Khanna, D.; Müller-Ladner, U.; Pope, J.E.; Vonk, M.C.; Doelberg, M.; et al. Evidence-based detection of pulmonary arterial hypertension in systemic sclerosis: The DETECT study. Ann. Rheum. Dis. 2014, 73, 1340–1349. [Google Scholar] [CrossRef]
 - Bastos, A.D.L.; Corrêa, R.D.A.; Ferreira, G.A. Tomography patterns of lung disease in systemic sclerosis. Radiol. Bras. 2016, 49, 316–321. [Google Scholar] [CrossRef]
 - Ahuja, J.; Arora, D.; Kanne, J.P.; Henry, T.S.; Godwin, J.D. Imaging of Pulmonary Manifestations of Connective Tissue Diseases. Radiol. Clin. N. Am. 2016, 54, 1015–1031. [Google Scholar] [CrossRef]
 - Ren, J.; Ding, Y.; Zhao, J.; Sun, Y. Impact of cigarette smoking on rheumatoid arthritis-associated lung diseases: A retrospective case control study on clinical and radiological features and prognosis. Rheumatol. Int. 2023, 43, 293–301. [Google Scholar] [CrossRef]
 - Lee, J.S.; Kim, G.-H.J.; Ha, Y.-J.; Kang, E.H.; Lee, Y.J.; Goldin, J.G.; Lee, E.Y. The extent and diverse trajectories of longitudinal changes in rheumatoid arthritis interstitial lung diseases using quantitative hrct scores. J. Clin. Med. 2021, 10, 3812. [Google Scholar] [CrossRef]
 - Qiu, M.; Jiang, J.; Nian, X.; Wang, Y.; Yu, P.; Song, J.; Zou, S. Factors associated with mortality in rheumatoid arthritis-associated interstitial lung disease: A systematic review and meta-analysis. Respir. Res. 2021, 22, 264. [Google Scholar] [CrossRef] [PubMed]
 - Wang, D.; Zhang, J.; Lau, J.; Wang, S.; Taneja, V.; Matteson, E.L.; Vassallo, R. Mechanisms of lung disease development in rheumatoid arthritis. Nat. Rev. Rheumatol. 2019, 15, 581–596. [Google Scholar] [CrossRef] [PubMed]
 - Nurmi, H.M.; Purokivi, M.K.; Kärkkäinen, M.S.; Kettunen, H.-P.; Selander, T.A.; Kaarteenaho, R.L. Variable course of disease of rheumatoid arthritis-associated usual interstitial pneumonia compared to other subtypes. BMC Pulm. Med. 2016, 16, 107. [Google Scholar] [CrossRef]
 - Augustine, A.; Robinson Vimala, L.; Irodi, A.; Mathew, J.; Pakkal, M. Diagnostic Value of Connective Tissue Disease Related CT Signs in Usual Interstitial Pneumonia Pattern of Interstitial Lung Disease. Indian J. Radiol. Imaging 2023, 33, 70–75. [Google Scholar] [CrossRef] [PubMed]
 - Luppi, F.; Manfredi, A.; Faverio, P.; Andersen, M.B.; Bono, F.; Pagni, F.; Salvarani, C.; Bendstrup, E.; Sebastiani, M. The usual Interstitial pneumonia pattern in autoimmune rheumatic diseases. BMC Pulm. Med. 2023, 23, 501. [Google Scholar] [CrossRef]
 - Flament, T.; Bigot, A.; Chaigne, B.; Henique, H.; Diot, E.; Marchand-Adam, S. Pulmonary manifestations of Sjögren’s syndrome. Eur. Respir. Rev. 2016, 25, 110–123. [Google Scholar] [CrossRef]
 - Lee, A.S.; Scofield, R.H.; Hammitt, K.M.; Gupta, N.; Thomas, D.E.; Moua, T.; Ussavarungsi, K.; St Clair, E.W.; Meehan, R.; Dunleavy, K.; et al. Consensus Guidelines for Evaluation and Management of Pulmonary Disease in Sjögren’s. Chest 2021, 159, 683–698. [Google Scholar] [CrossRef]
 - Mariette, X.; Criswell, L.A. Primary Sjögren’s Syndrome. N. Engl. J. Med. 2018, 378, 931–939. [Google Scholar] [CrossRef]
 - Berardicurti, O.; Marino, A.; Genovali, I.; Navarini, L.; D’Andrea, S.; Currado, D.; Rigon, A.; Arcarese, L.; Vadacca, M.; Giacomelli, R. Interstitial Lung Disease and Pulmonary Damage in Primary Sjögren’s Syndrome: A Systematic Review and Meta-Analysis. J. Clin. Med. 2023, 12, 2586. [Google Scholar] [CrossRef]
 - Gao, H.; Zhang, X.-W.; He, J.; Zhang, J.; An, Y.; Sun, Y.; Jia, R.-L.; Li, S.-G.; Zhang, L.-J.; Li, Z.-G. Prevalence, risk factors, and prognosis of interstitial lung disease in a large cohort of Chinese primary Sjögren syndrome patients: A case-control study. Medicine 2018, 97, e11003. [Google Scholar] [CrossRef]
 - Findlay, A.R.; Goyal, N.A.; Mozaffar, T. An overview of polymyositis and dermatomyositis. Muscle Nerve 2015, 51, 638–656. [Google Scholar] [CrossRef]
 - Papiris, S.A.; Manali, E.D.; Kolilekas, L.; Kagouridis, K.; Maniati, M.; Borie, R.; Pradere, P.; Crestani, B.; Bouros, D. Investigation of Lung Involvement in Connective Tissue Disorders. Respiration 2015, 90, 2–24. [Google Scholar] [CrossRef]
 - Abel, A.; Lazaro, E.; Ralazamahaleo, M.; Pierrisnard, E.; Suzon, B.; Bonnet, F.; Mercié, P.; Macey, J.; Agossou, M.; Viallard, J.-F.; et al. Phenotypic Profiles Among 72 Caucasian and Afro-Caribbean Patients with Antisynthetase Syndrome Involving Anti-PL7 or Anti-PL12 Autoantibodies. Eur. J. Intern. Med. 2023, 115, 104–113. [Google Scholar] [CrossRef] [PubMed]
 - Kuwana, M.; Gil-Vila, A.; Selva-O’Callaghan, A. Role of autoantibodies in the diagnosis and prognosis of interstitial lung disease in autoimmune rheumatic disorders. Ther. Adv. Musculoskelet. Dis. 2021, 13, 1759720X211032457. [Google Scholar] [CrossRef]
 - Panagopoulos, P.; Goules, A.; Hoffmann-Vold, A.M.; Matteson, E.L.; Tzioufas, A. Natural history and screening of interstitial lung disease in systemic autoimmune rheumatic disorders. Ther. Adv. Musculoskelet. Dis. 2021, 13, 1759720X211037519. [Google Scholar] [CrossRef]
 - Chen, X.; Jiang, W.; Jin, Q.; Peng, Q.; Zhang, L.; Lin, S.; Lu, X.; Liu, M.; Wang, Y.; Song, A.; et al. Clinical, radiological and pathological features of anti-MDA5 antibody-associated interstitial lung disease. RMD Open 2023, 9, e003150. [Google Scholar] [CrossRef] [PubMed]
 - Marie, I.; Hatron, P.Y.; Dominique, S.; Cherin, P.; Mouthon, L.; Menard, J.-F. Short-term and long-term outcomes of interstitial lung disease in polymyositis and dermatomyositis: A series of 107 patients. Arthritis Rheum. 2011, 63, 3439–3447. [Google Scholar] [CrossRef]
 - Shan, X.; Ge, Y. Interstitial Lung Disease in Patients with Mixed Connective Tissue Disease: A Retrospective Study. Int. J. Gen. Med. 2024, 17, 2091–2099. [Google Scholar] [CrossRef]
 - Silvério-António, M.; Martins-Martinho, J.; Melo, A.T.; Guimarães, F.; Dourado, E.; Oliveira, D.; Lopes, J.; Saraiva, A.; Gago, A.; Correia, M.; et al. Predictors of Interstitial Lung Disease in Mixed Connective Tissue Disease. J. Clin. Med. 2023, 12, 7481. [Google Scholar] [CrossRef]
 - Mira-Avendano, I.; Abril, A.; Burger, C.D.; Dellaripa, P.F.; Fischer, A.; Gotway, M.B.; Lee, A.S.; Lee, J.S.; Matteson, E.L.; Yi, E.S.; et al. Interstitial Lung Disease and Other Pulmonary Manifestations in Connective Tissue Diseases. Mayo Clin. Proc. 2019, 94, 309–325. [Google Scholar] [CrossRef]
 - Johnson, S.R.; Bernstein, E.J.; Bolster, M.B.; Chung, J.H.; Danoff, S.K.; George, M.D.; Khanna, D.; Guyatt, G.; Mirza, R.D.; Aggarwal, R.; et al. 2023 American College of Rheumatology (ACR)/American College of Chest Physicians (CHEST) Guideline for the Screening and Monitoring of Interstitial Lung Disease in People with Systemic Autoimmune Rheumatic Diseases. Arthritis Care Res. 2024, 76, 1070–1082. [Google Scholar] [CrossRef]
 - Morais, A.; Duarte, A.C.; Fernandes, M.O.; Borba, A.; Ruano, C.; Marques, I.D.; Calha, J.; Branco, J.C.; Pereira, J.M.; Salvador, M.J.; et al. Early detection of interstitial lung disease in rheumatic diseases: A joint statement from the Portuguese Pulmonology Society, the Portuguese Rheumatology Society, and the Portuguese Radiology and Nuclear Medicine Society. Pulmonology 2025, 31, 2416840. [Google Scholar] [CrossRef]
 - Agarwal, M.; Gupta, M.L.; Deokar, K.; Shadrach, B.J.; Bharti, N.; Sonigra, M. Clinico-radiological profile of connective tissue disease related-interstitial lung diseases from a tertiary care centre of India: A cross sectional study. Monaldi Arch. Chest Dis. 2021, 91. [Google Scholar] [CrossRef]
 - Ibrahim, I.M.H.; Gamal, S.M.; Salama, A.M.; Khairy, M.A. Systemic sclerosis: Correlation between lung abnormalities on high-resolution computed tomography (HRCT) and pulmonary function tests (PFTs). Egypt. J. Radiol. Nucl. Med. 2020, 51, 98. [Google Scholar] [CrossRef]
 - Nurmi, H.M.; Elfving, P.K.; Kettunen, H.-P.; Suoranta, S.-K.; Järvinen, H.M.I.; Kuittinen, V.A.E.; Purokivi, M.K.; Kaarteenaho, R.L.; Koskela, H.O. Inflammatory myositis-associated interstitial lung disease can be distinguished from that associated with other connective tissue diseases. J. Thorac. Dis. 2023, 15, 311–322. [Google Scholar] [CrossRef] [PubMed]
 - Yamakawa, H.; Ogura, T.; Sato, S.; Nishizawa, T.; Kawabe, R.; Oba, T.; Kato, A.; Horikoshi, M.; Akasaka, K.; Amano, M.; et al. The potential utility of anterior upper lobe honeycomb-like lesion in interstitial lung disease associated with connective tissue disease. Respir. Med. 2020, 172, 106125. [Google Scholar] [CrossRef]
 - Yildirim, F.; Türk, M.; Bitik, B.; Erbas, G.; Köktürk, N.; Haznedaroglu, S.; Türktas, H. Comparison of clinical courses and mortality of connective tissue disease-associated interstitial pneumonias and chronic fibrosing idiopathic interstitial pneumonias. Kaohsiung J. Med. Sci. 2019, 35, 365–372. [Google Scholar] [CrossRef]
 - Kim, H.C.; Lee, J.S.; Lee, E.Y.; Ha, Y.-J.; Chae, E.J.; Han, M.; Cross, G.; Barnett, J.; Joseph, J.; Song, J.W. Risk prediction model in rheumatoid arthritis-associated interstitial lung disease. Respirology 2020, 25, 1257–1264. [Google Scholar] [CrossRef]
 - Oh, J.H.; Kim, G.H.J.; Cross, G.; Barnett, J.; Jacob, J.; Hong, S.; Song, J.W. Automated quantification system predicts survival in rheumatoid arthritis-associated interstitial lung disease. Rheumatology 2022, 61, 4702–4710. [Google Scholar] [CrossRef]
 - Yamakawa, H.; Sato, S.; Tsumiyama, E.; Nishizawa, T.; Kawabe, R.; Oba, T.; Kamikawa, T.; Horikoshi, M.; Akasaka, K.; Amano, M.; et al. Predictive factors of mortality in rheumatoid arthritis-associated interstitial lung disease analysed by modified HRCT classification of idiopathic pulmonary fibrosis according to the 2018 ATS/ERS/JRS/ALAT criteria. J. Thorac. Dis. 2019, 11, 5247–5257. [Google Scholar] [CrossRef] [PubMed]
 - Yang, J.A.; Lee, J.S.; Park, J.K.; Lee, E.B.; Song, Y.W.; Lee, E.Y. Clinical characteristics associated with occurrence and poor prognosis of interstitial lung disease in rheumatoid arthritis. Korean J. Intern. Med. 2019, 34, 434–441. [Google Scholar] [CrossRef] [PubMed]
 - Yunt, Z.X.; Chung, J.H.; Hobbs, S.; Fernandez-Perez, E.R.; Olson, A.L.; Huie, T.J.; Keith, R.C.; Janssen, W.J.; Goldstein, B.L.; Lynch, D.A.; et al. High resolution computed tomography pattern of usual interstitial pneumonia in rheumatoid arthritis-associated interstitial lung disease: Relationship to survival. Respir. Med. 2017, 126, 100–104. [Google Scholar] [CrossRef] [PubMed]
 - Chen, F.; Zuo, Y.; Li, S.; Shi, J.; Wang, G.; Shu, X. Clinical characteristics of dermatomyositis patients with isolated anti-Ro-52 antibody associated rapid progressive interstitial lung disease: Data from the largest single Chinese center. Respir. Med. 2019, 155, 127–132. [Google Scholar] [CrossRef]
 - Vojinovic, T.; Cavazzana, I.; Ceruti, P.; Fredi, M.; Modina, D.; Berlendis, M.; Franceschini, F. Predictive Features and Clinical Presentation of Interstitial Lung Disease in Inflammatory Myositis. Clin. Rev. Allergy Immunol. 2021, 60, 87–94. [Google Scholar] [CrossRef] [PubMed]
 - Zanatta, E.; Cocconcelli, E.; Castelli, G.; Giraudo, C.; Fraia, A.S.; De Zorzi, E.; Gatto, M.; Ienna, L.; Treppo, E.; Malandrino, D.; et al. Interstitial lung disease with and without progressive fibrosing phenotype in patients with idiopathic inflammatory myopathies: Data from a large multicentric cohort. RMD Open 2023, 9, e003121. [Google Scholar] [CrossRef] [PubMed]
 














| Inclusion Criteria | Exclusion Criteria | 
|---|---|
| Studies that were published in English between 2015 and 2024; | Studies written in languages other than English or published before 2015; | 
| Trials involving adult participants (18 years and older); | Publications involving individuals under the age of 18; | 
| Investigations conducted on human subjects; | Investigations conducted on non-human subjects; | 
| Research specifically investigating CTD-ILDs; | Studies focusing on pathologies other than CTD-ILDs or including unrelated associated conditions; | 
| Publications utilizing HRCT as the primary imaging method; | Research utilizing imaging methods other than HRCT. | 
| Original studies with retrospective, prospective, or cross-sectional designs that provide extractable data. | Articles that are reviews, editorials, commentaries, case reports, or do not present original research data. | 
| IIM | MCTD | RA | SS | SSC | p # | |
| Definite UIP (%) | 0.067 0.00090 to 0.26  n = 9 (a)  | 0.19  n = 4  | 0.48  0.36 to 0.53 n = 13 (a)  | 0.13  n = 5  | 0.25  0.11 to 0.42 n = 7  | 0.0004 | 
| Probable UIP (%) | 0.00  0.00 to 0.058 n = 9  | 0.00  n = 4  | 0.00  0.00 to 0.075 n = 10  | 0.045  n = 4  | 0.00  0.00 to 0.059 n = 6  | 0.7547 | 
| Indeterminate UIP (%) | 0.00  0.00 to 0.17 n = 9  | 0.00  n = 4  | 0.00  0.00 to 0.00 n = 10  | 0.045  n = 4  | 0.00  0.00 to 0.25 n = 6  | 0.7347 | 
| NSIP (%) | 0.50  0.25 to 0.59 n = 9  | 0.63  n = 4  | 0.20  0.13 to 0.36 n = 10  | 0.29  n = 4  | 0.66  0.23 to 0.72 n = 6  | 0.0240 | 
| OP (%) | 0.19  0.00 to 0.43 n = 9  | 0.00  n = 4  | 0.045  0.00 to 0.14 n = 10  | 0.14  n = 4  | 0.00  0.00 to 0.17 n = 6  | 0.2283 | 
| LIP (%) | 0.00  0.00 to 0.00 n = 9 (a)  | 0.00  n = 4 (b)  | 0.00  0.00 to 0.0071 n = 10  | 0.064  n = 4 (a)(b)  | 0.00  0.00 to 0.081 n = 6  | 0.0158 | 
| Other (%) | 0.17  0.00 to 0.37 n = 9  | 0.028  n = 4  | 0.18  0.079 to 0.52 n = 13  | 0.072  n = 5  | 0.00  0.00 to 0.42 n = 7  | 0.3303 | 
| UIP | NSIP | LIP | OP | |
|---|---|---|---|---|
| Bilateral | Yes | Yes | Yes | Yes | 
| Apicobasal gradient | Yes | Yes | Yes | - | 
| Peripheral | Yes | Yes * | - | Yes | 
| Peribronchovascular | - | Yes | Yes | Yes | 
| Honeycombing | Yes | Minimal | - | - | 
| Ground-glass | Minimal | Yes | Yes | Yes | 
| Bronchiectasis | Yes | Yes | - | - | 
| Nodules | - | - | Yes | Yes | 
| Cysts | - | - | Yes | - | 
| Consolidation | - | - | - | Yes | 
| Category | Key Characteristics | References | 
|---|---|---|
| Epidemiology | - Rare disease: ~10 cases/million/year - Female predominance (4:1) - Onset between ages 30–70  | [1,26] | 
| ILD | - Leading cause of death in SSc (≈ 1/3 of SSc-related mortality) - 64% by HRCT vs. 22% by chest X-ray, demonstrating HRCT’s superior sensitivity  | [26,27] | 
| Risk Factors for ILD in SSc | - Anti-SCL-70 and speckled ANA positivity - Anti-TRIM21 positivity - Male gender - African American race - Diffuse cutaneous form - Early disease (first 5–7 years) - Elevated acute phase reactants  | [28] | 
| Clinical Presentation | - Asymptomatic in early/mild stages - Later: exertional dyspnea, persistent dry cough, “velcro” crackles  | [1,10] | 
| Physiological Findings | - Restrictive ventilatory dysfunction - Decreased DLCO  | [1] | 
| Diagnostic Recommendations | - 2024 BSR guideline recommends baseline HRCT for all newly diagnosed SSc patients - PFTs alone may miss early-stage ILD - HRCT is essential for early detection  | [29,30] | 
| HRCT Patterns | - NSIP (~45–75%): ground-glass opacities, lower lobe predominance - UIP (~20–25%): honeycombing, traction bronchiectasis, worse prognosis - OP (~30%) - Other patterns (~5%)  | [32] | 
| Pulmonary Arterial Hypertension | - Prevalence up to 15%—SSc has the highest PAH risk among CTDs - Risk factors: advanced age, lcSSc subtype, disease duration >3 yrs, low DLCO (FVC/DLCO > 1.6), anti-centromere antibodies, elevated BNP/NT-proBNP, uric acid, telangiectasias - HRCT findings: pulmonary artery diameter ≥29 mm, PA/A ratio >1, right heart chambers dilation  | [34,35] | 
| Esophageal Involvement | - Affects ~90% of SSc patients - Early sign on HRCT: dilated esophageal lumen (1.2–4 cm, mean 2.3 cm) - Can lead to aspiration pneumonia due to dysmotility and reflux  | [10,37] | 
| Lung Cancer Risk | - Increased incidence in SSc (~10.7%) - SSc smokers have a 7-fold increased risk of lung cancer compared to non-SSc smokers  | [37] | 
| Category | Key Characteristics | References | 
|---|---|---|
| Epidemiology | - 0.5 to 1% of the adult population - female-to-male ratio of about 2–3:1 - 25–50 years of age  | [38] | 
| ILD | - Clinically evident ILD occurs in ~10% of RA patients; up to 30% show subclinical ILD on HRCT - RA-ILD is more prevalent in men. - x3 increase in mortality  | [8,40] | 
| Risk Factors for ILD in RA | - Risk increases with age - Male sex - Smoking history (>25 pack-years) - High RA activity with RF and anti-CCP positivity - Longer disease duration  | [42] | 
| Clinical Presentation | - Exertional dyspnea, dry cough, and velcro crackles  - In some cases, ILD may precede joint symptoms - Diagnosis may be incidental on HRCT.  | [28,43] | 
| Diagnostic Recommendations | - HRCT—not for everyone at baseline - Risk-based approaches  | [42] | 
| HRCT Patterns | - UIP is the most common pattern (~40–60%)—strong negative prognostic marker - NSIP (~15–25%) - OP and mixed types less frequent. (<20%)  | [43] | 
| Distinctive HRCT Signs | - Anterior upper lobe (AUL) sign  - Straight-edge (SE) sign - Exuberant honeycombing (EHC)  | [45] | 
| Pulmonary Nodules | - Occur in ~20% of RA patients. 0.5–5 cm, peripherally within the mid and upper pulmonary zones - More commonly in men, smokers, and those with subcutaneous nodules or high RF titers - Cavitation and complications like pneumothorax may occur  | [38] | 
| Small Airways Disease | - Constrictive bronchiolitis (CB)—irreversible airflow limitation, seen on HRCT as mosaic attenuation, air trapping, bronchial wall thickening and centrilobular nodules - Follicular bronchiolitis (FB) presents with centrilobular nodules, tree-in-bud pattern and ground-glass opacities in a peribronchial distribution—responds to steroids  | [38] | 
| Category | Key Characteristics | References | 
|---|---|---|
| Epidemiology | - 3.9–5.3 per 100,000 person-years.  - strong female predominance (9–13:1). - mean diagnosis age of ~56.  | [46] | 
| ILD | - occurs in ~16% of pSS patients. - subclinical HRCT abnormalities are found in up to 65% of asymptomatic individuals.  | [47] | 
| Risk factors for ILD in pSS | - older age, male sex, smoking history, high ESSDAI score, long disease duration, elevated inflammatory markers (CRP, ESR), autoantibody positivity (Anti-Ro/SSA, especially Ro-52; Anti-La/SSB), and hypergammaglobulinemia. | [21,32,49] | 
| Clinical presentation | - dyspnea, cough (with or without sputum), and chest pain. - symptom severity ranges from asymptomatic to severe respiratory compromise.  | [47] | 
| Diagnostic recommendations | - chest X-ray and PFT.  - HRCT when pulmonary involvement is suspected.  | [21,47] | 
| HRCT patterns | - NSIP (42%) is most common, followed by UIP (11%), and OP/LIP (4% each).  - some studies report higher LIP prevalence (up to 17.4%). - mixed patterns (e.g., NSIP + OP/LIP) are also frequently observed.  | [21,50] | 
| Other pulmonary involvement | - cystic lung disease (more common in pSS than other CTDs),  - airway-centered abnormalities (centrilobular nodules, tree-in-bud), bronchiectasis, air trapping, mosaic attenuation—often linked to follicular or constrictive bronchiolitis.  | [21,46,47,48] | 
| Category | Key Characteristics | References | 
|---|---|---|
| Epidemiology | - DM and PM are rare disorders—annual incidence of less than 10 cases per million individuals. - ILD—19–40% of cases (Incidence in DM: 1011/100,000 patient-years; in PM: 831/100,000 patient-years).  | [52,55] | 
| Classification | - IIMs include PM, DM, sIBM, nonspecific myositis, IMNM and ADM, Antisynthetase syndrome (ASyS) | [51,53] | 
| Clinical Presentation | - proximal muscle weakness, elevated serum levels of muscle enzymes, myopathy, inflammatory infiltrates within muscle tissue, myositis-specific autoantibodies.  - DM: Gottron’s papules, heliotrope rash and mechanic’s hands - ASyS: ILD, myositis, non-erosive seronegative arthritis, Raynaud’s phenomenon, mechanic’s hands, persistent fever and anti-ARS antibodies  | [52,53,54] | 
| Risk Factors for ILD in IIMs | - older age, Black race, elevated ESR/CRP, longer disease duration, presence of dyspnea/cough at diagnosis. - anti-MDA5 and anti-PL7/PL12 linked with severe or RP-ILD.  | [32,56] | 
| Diagnostic Recommendations | - all IIMs patients should undergo HRCT and pulmonary function tests at baseline and autoantibody testing. | [55] | 
| HRCT Patterns | - NSIP 40%, UIP 20%, and OP 20% (according to this review). - combination of NSIP/OP can be seen. - AIP with HP findings of DAD is seen in acute RP-ILD.  | [53,55] | 
| Category | Key Characteristics | References | 
|---|---|---|
| Diagnosis | - positive anti-U1 RNP autoantibodies; - at least two clinical features: Raynaud’s phenomenon, synovitis, inflammatory myopathy or sclerodactyly  | [52] | 
| Pulmonary Involvement | - ILD and PAH;  - ILD prevalence ranges from 27.4% to 78%; - PAH prevalence ranges from 14 to 60%.  | [58,60] | 
| ILD Risk Factors | - older age, Raynaud’s phenomenon, dysphagia, elevated CRP, anti-Ro52 autoantibodies, and capillaroscopic abnormalities such as giant capillaries | [59] | 
| HRCT Patterns | - predominantly NSIP, followed by UIP - in our review, UIP was observed in nearly 50% of cases, NSIP in approximately 40%, and OP in about 5%  | [32,59] | 
| Other Thoracic Manifestations | - serositis occurs in 6–50%;  - pleural effusions typically exudative, transient, and self-limited  | [60] | 
Disclaimer/Publisher’s Note: The statements, opinions and data contained in all publications are solely those of the individual author(s) and contributor(s) and not of MDPI and/or the editor(s). MDPI and/or the editor(s) disclaim responsibility for any injury to people or property resulting from any ideas, methods, instructions or products referred to in the content.  | 
© 2025 by the authors. Licensee MDPI, Basel, Switzerland. This article is an open access article distributed under the terms and conditions of the Creative Commons Attribution (CC BY) license (https://creativecommons.org/licenses/by/4.0/).
Share and Cite
Drimus, J.C.; Duma, R.C.; Trăilă, D.; Mogoșan, C.D.; Manolescu, D.L.; Fira-Mladinescu, O. High-Resolution CT Findings in Interstitial Lung Disease Associated with Connective Tissue Diseases: Differentiating Patterns for Clinical Practice—A Systematic Review with Meta-Analysis. J. Clin. Med. 2025, 14, 6164. https://doi.org/10.3390/jcm14176164
Drimus JC, Duma RC, Trăilă D, Mogoșan CD, Manolescu DL, Fira-Mladinescu O. High-Resolution CT Findings in Interstitial Lung Disease Associated with Connective Tissue Diseases: Differentiating Patterns for Clinical Practice—A Systematic Review with Meta-Analysis. Journal of Clinical Medicine. 2025; 14(17):6164. https://doi.org/10.3390/jcm14176164
Chicago/Turabian StyleDrimus, Janet Camelia, Robert Cristian Duma, Daniel Trăilă, Corina Delia Mogoșan, Diana Luminița Manolescu, and Ovidiu Fira-Mladinescu. 2025. "High-Resolution CT Findings in Interstitial Lung Disease Associated with Connective Tissue Diseases: Differentiating Patterns for Clinical Practice—A Systematic Review with Meta-Analysis" Journal of Clinical Medicine 14, no. 17: 6164. https://doi.org/10.3390/jcm14176164
APA StyleDrimus, J. C., Duma, R. C., Trăilă, D., Mogoșan, C. D., Manolescu, D. L., & Fira-Mladinescu, O. (2025). High-Resolution CT Findings in Interstitial Lung Disease Associated with Connective Tissue Diseases: Differentiating Patterns for Clinical Practice—A Systematic Review with Meta-Analysis. Journal of Clinical Medicine, 14(17), 6164. https://doi.org/10.3390/jcm14176164
        
