WHO Grade II or III Solitary Fibrous Tumors (Hemangiopericytomas) of the Spine: Two Case Reports with a Comprehensive Review of the Literature
Abstract
1. Introduction
2. Case Reports
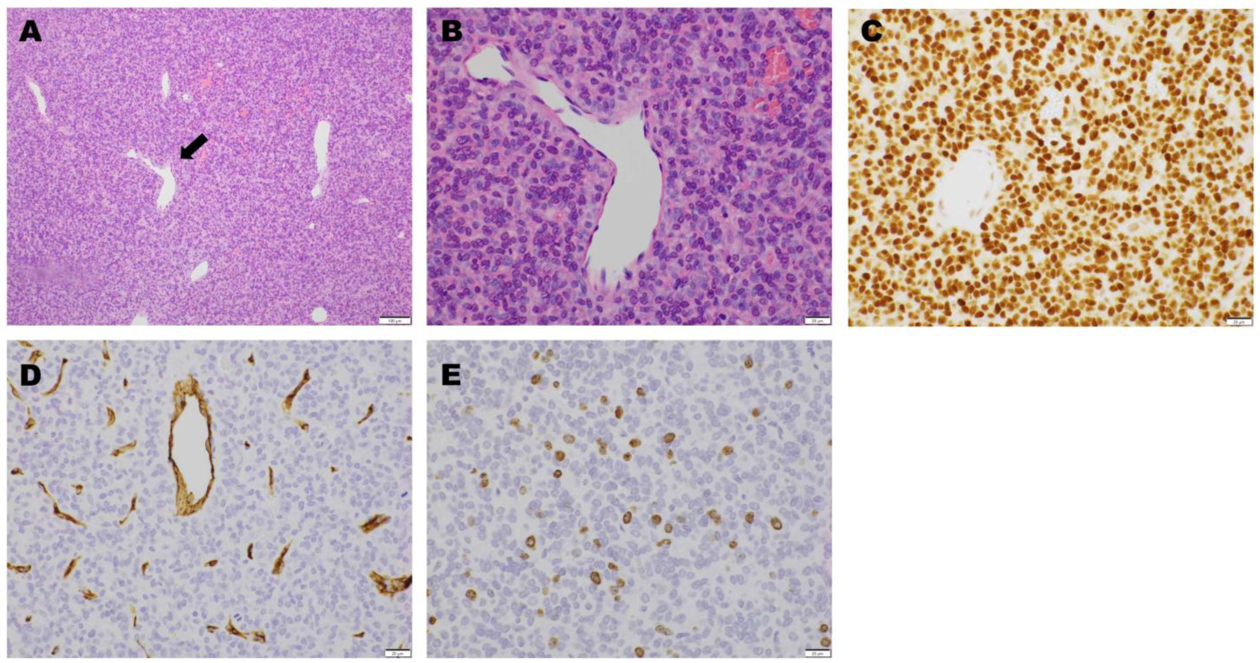
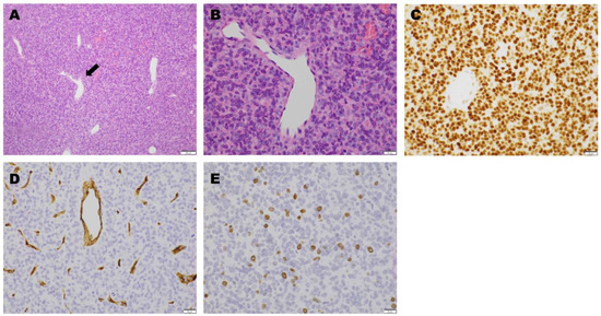
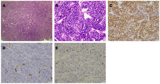
2.1. Case 1
2.2. Case 2
3. Review of the Literature
3.1. Literature Search
3.2. Summary of General and Surgical Information of Patients
3.2.1. Age and Sex
3.2.2. Spinal Level and Compartment
3.2.3. MRI Appearance and Differential Diagnosis
3.2.4. Treatment
3.2.5. Tumor Origin
3.2.6. Histopathology
3.2.7. Clinical Outcome
3.3. Comparison Between Recurrence or Metastasis Cases and Disease-Free Cases
| Outcome | ||||||||||
|---|---|---|---|---|---|---|---|---|---|---|
| Factors | All | Recurrence or Metastasis | Disease-Free | Unknown | ||||||
| Count | % | Count | % | Count | % | Count | % | p-Value | ||
| Age | 40.8 (yrs) | 39.6 (yrs) | 41.3 (yrs) | 0.61 | ||||||
| Sex | Male | 68 | 43.3 | 27 | 39.7 | 31 | 45.6 | 10 | 14.7 | 0.42 |
| Female | 60 | 38.2 | 19 | 31.7 | 30 | 50.0 | 11 | 18.3 | ||
| Unknown | 29 | 18.5 | 0 | 0.0 | 0 | 0.0 | 29 | 100.0 | ||
| Location | Occipitocervical or cervical | 43 | 27.4 | 16 | 37.2 | 12 | 27.9 | 15 | 34.8 | 0.19 |
| Cervicothoracic or thoracic | 66 | 42.0 | 15 | 22.7 | 32 | 48.5 | 19 | 28.8 | ||
| Thoracolumbar or lumbar | 32 | 20.4 | 12 | 37.5 | 12 | 37.5 | 8 | 25.0 | ||
| Lumbosacral or sacral | 14 | 8.9 | 2 | 14.3 | 4 | 28.6 | 8 | 57.1 | ||
| Unknown | 2 | 1.3 | 1 | 50.0 | 1 | 50.0 | 0 | 0.0 | ||
| Classification | Types 1–3 (intracanal) | 57 | 36.3 | 20 | 35.1 | 31 | 54.4 | 6 | 10.5 | 0.38 |
| Types 4–6 (expanding widely) | 56 | 35.7 | 23 | 41.1 | 25 | 44.6 | 8 | 14.3 | ||
| Unknown | 44 | 28.0 | 3 | 6.8 | 5 | 11.4 | 36 | 81.8 | ||
| Extent of resection | GTR | 91 | 58.0 | 20 | 22.0 | 48 | 52.7 | 23 | 25.3 | <0.0001 |
| STR or PR | 56 | 35.7 | 24 | 42.9 | 11 | 19.6 | 21 | 37.5 | ||
| Others | 10 | 6.3 | 2 | 20.0 | 2 | 20.0 | 6 | 60.0 | ||
| WHO grade | Grade II | 39 | 24.8 | 16 | 41.0 | 23 | 59.0 | 0 | 0.0 | 0.0967 |
| Grade III | 35 | 22.3 | 20 | 57.2 | 13 | 37.1 | 2 | 5.7 | ||
| Borderline between grade II and III | 2 | 1.3 | 1 | 50.0 | 1 | 50.0 | 0 | 0.0 | ||
| Unknown | 81 | 51.6 | 10 | 12.1 | 25 | 30.1 | 48 | 57.8 | ||
| Adjuvant radiotherapy (GTR) | GTR | 47 | 60.3 | 8 | 17.0 | 27 | 57.5 | 12 | 25.5 | 0.3 |
| GTR + RT | 31 | 39.7 | 10 | 32.2 | 19 | 61.3 | 2 | 6.5 | ||
| Adjuvant radiotherapy (STR or PR) | STR or PR | 25 | 45.5 | 7 | 28.0 | 6 | 24.0 | 12 | 48.0 | 0.21 |
| STR or PR + RT | 30 | 54.5 | 15 | 50.0 | 5 | 16.7 | 10 | 33.3 | ||
| Factors | Odds Ratio | 95% Confidence Interval | p-Value |
|---|---|---|---|
| Age | 0.99 | 0.95–1.03 | 0.57 |
| Sex (male) | 1.46 | 0.48–4.49 | 0.5 |
| Location | |||
| Occipitocervical or cervical | 3.39 | 0.89–12.90 | 0.07 |
| Cervicothoracic or thoracic | Reference | ||
| Thoracolumbar or lumbar | 1.8 | 0.40–8.11 | 0.44 |
| Lumbosacral or sacral | 0.53 | 0.02–16.40 | 0.71 |
| Classification (types 4–6) | 1.54 | 0.49–4.84 | 0.46 |
| Extent of resection (STR or PR) | 6.35 | 1.77–22.77 | 0.0045 |
| Adjuvant radiotherapy (without radiotherapy) | 0.68 | 0.22–2.17 | 0.52 |
| WHO grade III | 1.69 | 0.53–5.50 | 0.38 |
4. Discussion
5. Conclusions
Supplementary Materials
Author Contributions
Funding
Institutional Review Board Statement
Informed Consent Statement
Data Availability Statement
Conflicts of Interest
Abbreviations
| SFT | solitary fibrous tumor |
| HPC | hemangiopericytoma |
| CNS WHO | World Health Organization Classification of Tumors of the Central Nervous System |
| CT | computed tomography |
| MRI | magnetic resonance imaging |
| GTR | gross total resection |
| FU | Follow-up |
| yrs | years |
| mos | months |
| M | male |
| F | female |
| RT | radiotherapy |
| STR | subtotal resection |
| PR | partial resection |
| NR | not reported |
| mets | metastasis |
| Chemo | chemotherapy |
References
- Louis, D.N.; Perry, A.; Reifenberger, G.; von Deimling, A.; Figarella-Branger, D.; Cavenee, W.K.; Ohgaki, H.; Wiestler, O.D.; Kleihues, P.; Ellison, D.W. The 2016 World Health Organization Classification of Tumors of the Central Nervous System: A Summary. Acta Neuropathol. 2016, 131, 803–820. [Google Scholar] [CrossRef]
- Louis, D.N.; Perry, A.; Wesseling, P.; Brat, D.J.; Cree, I.A.; Figarella-Branger, D.; Hawkins, C.; Ng, H.K.; Pfister, S.M.; Reifenberger, G.; et al. The 2021 WHO Classification of Tumors of the Central Nervous System: A Summary. Neuro Oncol. 2021, 23, 1231–1251. [Google Scholar] [CrossRef] [PubMed]
- Bisceglia, M.; Galliani, C.; Giannatempo, G.; Lauriola, W.; Bianco, M.; D’Angelo, V.; Pizzolitto, S.; Vita, G.; Pasquinelli, G.; Magro, G.; et al. Solitary Fibrous Tumor of the Central Nervous System: A 15-Year Literature Survey of 220 Cases (August 1996–July 2011). Adv. Anat. Pathol. 2011, 18, 356–392. [Google Scholar] [CrossRef] [PubMed]
- Mena, H.; Ribas, J.L.; Pezeshkpour, G.H.; Cowan, D.N.; Parisi, J.E. Hemangiopericytoma of the Central Nervous System: A Review of 94 Cases. Hum. Pathol. 1991, 22, 84–91. [Google Scholar] [CrossRef]
- Kinslow, C.J.; Rajpara, R.; Wu, C.C.; Bruce, S.S.; Canoll, P.D.; Wang, S.H.; Sonabend, A.M.; Sheth, S.A.; McKhann, G.M.; Sisti, M.B.; et al. Invasiveness Is Associated with Metastasis and Decreased Survival in Hemangiopericytoma of the Central Nervous Syste. J. Neurooncol. 2017, 133, 409–417. [Google Scholar] [CrossRef] [PubMed]
- Ijiri, K.; Yuasa, S.; Yone, K.; Matsunaga, S.; Ryoki, Y.; Taniguchi, N.; Yonezawa, S.; Komiya, S. Primary Epidural Hemangiopericytoma in the Lumbar Spine: A Case Report. Spine 2002, 27, E189–E192. [Google Scholar] [CrossRef]
- Kinslow, C.J.; Bruce, S.S.; Rae, A.I.; Sheth, S.A.; McKhann, G.M.; Sisti, M.B.; Bruce, J.N.; Sonabend, A.M.; Wang, T.J.C. Solitary-Fibrous Tumor/Hemangiopericytoma of the Central Nervous System: A Population-Based Study. J. Neurooncol. 2018, 138, 173–182. [Google Scholar] [CrossRef]
- Boyett, D.; Kinslow, C.J.; Bruce, S.S.; Sonabend, A.M.; Rae, A.I.; McKhann, G.M.; Sisti, M.B.; Bruce, J.N.; Cheng, S.K.; Wang, T.J.C. Spinal Location Is Prognostic of Survival for Solitary-Fibrous Tumor/Hemangiopericytoma of the Central Nervous System. J. Neurooncol. 2019, 143, 457–464. [Google Scholar] [CrossRef]
- Schirger, A.; Uihlein, A.; Parker, H.L.; Kernohan, J.W. Hemangiopericytoma Recurring after 26 Years; Report of Case. Proc. Staff Meet. Mayo Clin. 1958, 33, 347–352. [Google Scholar]
- Kruse, F. Hemangiopericytoma of the Meniges (Angioblastic Meningioma of Cushing and Eisenhardt). Clinico-Pathologic Aspects and Follow-up Studies in 8 Cases. Neurology 1961, 11, 771–777. [Google Scholar] [CrossRef]
- Pitlyk, P.J.; Dockery, M.B.; Miller, R.H. Hemangiopericytoma of the Spinal Cord: Report of Three Cases. Neurology 1965, 15, 649–653. [Google Scholar] [CrossRef]
- Fathie, K. Hemangiopericytoma of the Thoracic Spine; Case Report. J. Neurosurg. 1970, 32, 371–374. [Google Scholar] [CrossRef]
- Gerner, R.E.; Moore, G.E.; Pickren, J.W. Hemangiopericytoma. Ann. Surg. 1974, 179, 128–132. [Google Scholar] [CrossRef]
- McMaster, M.J.; Soule, E.H.; Ivins, J.C. Hemangiopericytoma. A Clinicopathologic Study and Long-Term Followup of 60 Patients. Cancer 1975, 36, 2232–2244. [Google Scholar] [CrossRef] [PubMed]
- Harris, D.J.; Fornasier, V.L.; Livingston, K.E. Hemangiopericytoma of the Spinal Canal. Report of Three Cases. J. Neurosurg. 1978, 49, 914–920. [Google Scholar] [CrossRef] [PubMed]
- Cappabianca, P.; Maiuri, F.; Pettinato, G.; Di Prisco, B. Hemangiopericytoma of the Spinal Canal. Surg. Neurol. 1981, 15, 298–302. [Google Scholar] [CrossRef] [PubMed]
- Stern, M.B.; Grode, M.L.; Goodman, M.D. Hemangiopericytoma of the Cervical Spine: Report of an Unusual Case. Clin. Orthop. Relat. Res. 1980, 151, 201–204. [Google Scholar] [CrossRef]
- Muraszko, K.M.; Antunes, J.L.; Hilal, S.K.; Michelsen, W.J. Hemangiopericytomas of the Spine. Neurosurgery 1982, 10, 473–479. [Google Scholar] [CrossRef]
- Wold, L.E.; Unni, K.K.; Sim, F.H. Hemangiopericytoma of Bone. Am. J. Surg. Pathol. 1982, 6, 53–58. [Google Scholar] [CrossRef]
- Ciappetta, P.; Celli, P.; Palma, L.; Mariottini, A. Intraspinal Hemangiopericytomas. Report of Two Cases and Review of the Literature. Spine 1985, 10, 27–31. [Google Scholar] [CrossRef]
- Yagishita, A.; Hassoun, J.; Vincentelli, F.; Jiddane, M.; Salamon, G. Neuroradiological Study of Hemangiopericytomas. Neuroradiology 1985, 27, 420–425. [Google Scholar] [CrossRef]
- Bridges, L.R.; Roche, S.; Nashef, L.; Rose, F.C. Haemangiopericytic Meningioma of the Sacral Canal: A Case Report. J. Neurol. Neurosurg. Psychiatry 1988, 51, 288–290. [Google Scholar] [CrossRef]
- Tang, J.S.; Gold, R.H.; Mirra, J.M.; Eckardt, J. Hemangiopericytoma of Bone. Cancer 1988, 62, 848–859. [Google Scholar] [CrossRef]
- Salvati, M.; Ciappetta, P.; Artico, M.; Raco, A.; Fortuna, A. Intraspinal Hemangiopericytoma: Case Report and Review of the Literature. Neurosurg. Rev. 1991, 14, 309–313. [Google Scholar] [CrossRef] [PubMed]
- Cizmeli, M.O.; Ligit, E.T.; Ulug, H.; Erdogan, A. A Giant Paraspinal Hemangiopericytoma and Its Preoperative Embolization. Neuroradiology 1992, 34, 81–83. [Google Scholar] [CrossRef] [PubMed]
- Lin, Y.J.; Tu, Y.K.; Lin, S.M.; Shun, C.T. Primary Hemangiopericytoma in the Axis Bone: Case Report and Review of Literature. Neurosurgery 1996, 39, 397–400. [Google Scholar] [CrossRef] [PubMed]
- Dufour, H.; Métellus, P.; Fuentes, S.; Murracciole, X.; Régis, J.; Figarella-Branger, D.; Grisoli, F. Meningeal Hemangiopericytoma: A Retrospective Study of 21 Patients with Special Review of Postoperative External Radiotherapy. Neurosurgery 2001, 48, 756–763. [Google Scholar] [CrossRef]
- Akhaddar, A.; Chakir, N.; Amarti, A.; Hassani, M.R.E.; Khamlichi, A.E.L.; Jiddane, M.; Boukhrissi, N. Thoracic Epidural Hemangiopericytoma. Case Report. J. Neurosurg. Sci. 2002, 46, 89–92. [Google Scholar]
- Betchen, S.; Schwartz, A.; Black, C.; Post, K.; Traynelis, V.C.; Benzel, E.C.; Antunes, J.L. Intradural Hemangiopericytoma of the Lumbar Spine: Case Report. Neurosurgery 2002, 50, 654–657. [Google Scholar] [CrossRef]
- Musacchio, M.; Mont’Alverne, F.; Belzile, F.; Belzile, V.; Lenz, V.; Riquelme, C.; Tournade, A. Posterior Cervical Haemangiopericytoma with Intracranial and Skull Base Extension. Diagnostic and Therapeutic Challenge of a Rare Hypervascular Neoplasm. J. Neuroradiol. 2003, 30, 180–187. [Google Scholar]
- Chang, C.-C.; Chang, Y.-Y.; Lui, C.-C.; Huang, C.-C.; Liu, J.-S. Meningeal Hemangiopericytoma with Delayed Multiple Distant Metastases. J. Chin. Med. Assoc. 2004, 67, 527–532. [Google Scholar]
- Mohammadianpanah, M.; Torabinejad, S.; Bagheri, M.H.; Omidvari, S.; Mosalaei, A.; Ahmadloo, N. Primary Epidural Malignant Hemangiopericytoma of Thoracic Spinal Column Causing Cord Compression: Case Report. Sao Paulo Med. J. 2004, 122, 220–222. [Google Scholar] [CrossRef]
- Kashiwazaki, D.; Hida, K.; Yano, S.; Seki, T.; Iwasaki, Y. Subpial Hemangiopericytoma with Marked Extramedullary Growth: Case Report. Neurosurgery 2007, 61, E1336–E1337. [Google Scholar] [CrossRef]
- Zhao, Y.; Zhao, J. Clinical and Pathological Characteristics of Primary Intraspinal Hemangiopericytoma and Choice of Treatment. Chin. Med. J. 2007, 120, 115–119. [Google Scholar] [CrossRef]
- Endo, H.; Murakami, K.; Kumade, T.; Watanabe, M.; Ozawa, H.; Tominaga, T. Hemangiopericytoma of the Lumbar Spine: A Case Report. Spinal Surg. 2008, 22, 33–37. [Google Scholar] [CrossRef][Green Version]
- Fitzpatrick, D.; Mahajan, J.; Lewkowitz, M.; Black, K.; Setton, A.; Woldenberg, R. Intradural Hemangiopericytoma of the Lumbar Spine: A Rare. Am. J. Neuroradiol. 2009, 30, 152–154. [Google Scholar] [CrossRef]
- Chou, C.W.; Hsu, S.P.C.; Lin, S.C.; Chen, M.H.; Shih, Y.H.; Lee, L.S.; Lin, C.F. Primary Intradural Hemangiopericytoma with Intramedullary Invasion. J. Chin. Med. Assoc. 2009, 72, 536–541. [Google Scholar] [CrossRef] [PubMed][Green Version]
- Cole, C.D.; Schmidt, M.H. Hemangiopericytomas of the Spine: Case Report and Review of the Literature. Rare Tumors 2009, 1, 132–136. [Google Scholar] [CrossRef] [PubMed]
- Zentar, A.; Sall, I.; Ali, A.A.; Bouchentouf, S.M.; Quamous, M.; Chahdi, H.; Hajjouji, A.; Fahssi, M.; El Kaoui, H.; Al Bouzidi, A.; et al. Sacral Hemangiopericytoma Involving the Retrorectal Space: Report of a Case. Surg. Today 2009, 39, 344–348. [Google Scholar] [CrossRef]
- Verbeke, S.L.J.; Fletcher, C.D.M.; Alberghini, M.; Daugaard, S.; Flanagan, A.M.; Parratt, T.; Kroon, H.M.; Hogendoorn, P.C.W.; Bovée, J.V.M.G. A Reappraisal of Hemangiopericytoma of Bone; Analysis of Cases Reclassified as Synovial Sarcoma and Solitary Fibrous Tumor of Bone. Am. J. Surg. Pathol. 2010, 34, 777–783. [Google Scholar] [CrossRef]
- Ackerman, P.D.; Khaldi, A.; Shea, J.F. Intradural Hemangiopericytoma of the Thoracic Spine: A Case Report. Spine J. 2011, 11, e9–e14. [Google Scholar] [CrossRef]
- Moscovici, S.; Ramirez-Denoriega, F.; Fellig, Y.; Rosenthal, G.; Cohen, J.E.; Itshayek, E. Intradural Extramedullary Hemangiopericytoma of the Thoracic Spine Infiltrating a Nerve Root: A Case Report and Literature Review. Spine 2011, 36, E1534–E1539. [Google Scholar] [CrossRef]
- Torigoe, K.; Akai, T.; Iida, T.; Shiraga, S.; Sasagawa, Y.; Tachibana, O.; Iizuka, H. Hemangiopericytoma on the Intradural Thoracic Spinal Cord: A Case Report. No Shinkei Geka. Neurol. Surg. 2012, 40, 351–357. [Google Scholar]
- Nakashima, H.; Imagama, S.; Sakai, Y.; Nakamura, H.; Katayama, Y.; Ito, Z.; Wakao, N.; Matsuyama, Y.; Ishiguro, N. Dumbbell-Type Hemangiopericytoma in the Cervical Spine: A Case Report and Review. J. Orthop. Sci. 2013, 18, 849–855. [Google Scholar] [CrossRef] [PubMed]
- Drazin, D.; Shweikeh, F.; Bannykh, S.; Johnson, J. Hemangiopericytoma Invading the Craniovertebral Junction: First Reported Case and Review of the Literature. J. Craniovertebr. Junction Spine 2013, 4, 32–34. [Google Scholar] [CrossRef] [PubMed]
- Liu, H.G.; Yang, A.C.; Chen, N.; Yang, J.; Qiu, X.G.; Zhang, J.G. Hemangiopericytomas in the Spine: Clinical Features, Classification, Treatment, and Long-Term Follow-up in 26 Patients. Neurosurgery 2013, 72, 16–24. [Google Scholar] [CrossRef] [PubMed]
- Shirzadi, A.; Drazin, D.; Gates, M.; Shirzadi, N.; Banykh, S.; Fan, X.; Hunt, L.; Baron, E.M.; King, W.A.; Kim, T.T.; et al. Surgical Management of Primary Spinal Hemangiopericytomas: An Institutional Case Series and Review of the Literature. Eur. Spine J. 2013, 22 (Suppl. S3), 450–459. [Google Scholar] [CrossRef]
- Kaur, J.; Pandit, S.; Sharma, M.C.; Julka, P.K.; Rath, G.K. Intradural Extra Medullary Hemangiopericytoma of Dorsal Spine. Childs Nerv. Syst. 2015, 31, 173–175. [Google Scholar] [CrossRef]
- Zhang, P.; Hu, J.; Zhou, D. Hemangiopericytoma of the Cervicothoracic Spine: A Case Report and Literature Review. Turk. Neurosurg. 2014, 24, 948–953. [Google Scholar] [CrossRef]
- Das, A.; Singh, P.K.; Suri, V.; Sable, M.N.; Sharma, B.S. Spinal Hemangiopericytoma: An Institutional Experience and Review of Literature. Eur. Spine J. 2015, 24, 606–613. [Google Scholar] [CrossRef]
- Türk, C.Ç.; Kara, N.N.; Süren, D.; Özdöl, Ç.; Gediz, T.; Yildiz, S. Distinctive Characteristic Features of Intramedullary Hemangiopericytomas. Asian Spine J. 2015, 9, 522–528. [Google Scholar] [CrossRef] [PubMed][Green Version]
- Chew, L.S.; Han, X.J.; Tan, K.K.; Bundele, M.M. Hemangiopericytoma of the Thoracic Spine: A Case Report. J. Surg. Case Rep. 2017, 2017, rjx121. [Google Scholar] [CrossRef] [PubMed]
- Yi, X.; Xiao, D.; He, Y.; Yin, H.; Gong, G.; Long, X.; Liao, W.; Li, X.; Sun, L.; Zhang, Y.; et al. Spinal Solitary Fibrous Tumor/Hemangiopericytoma: A Clinicopathologic and Radiologic Analysis of Eleven Cases. World Neurosurg. 2017, 104, 318–329. [Google Scholar] [CrossRef] [PubMed]
- Jia, Q.; Zhou, Z.; Zhang, D.; Yang, J.; Liu, C.; Wang, T.; Wu, Z.; Yang, C.; Wei, H.; Zhao, J.; et al. Surgical Management of Spinal Solitary Fibrous Tumor/Hemangiopericytoma: A Case Series of 20 Patients. Eur. Spine J. 2018, 27, 891–901. [Google Scholar] [CrossRef] [PubMed]
- Onoki, T.; Kanno, H.; Aizawa, T.; Hashimoto, K.; Itoi, E.; Ozawa, H. Recurrent Primary Osseous Hemangiopericytoma in the Thoracic Spine: A Case Report and Literature Review. Eur. Spine J. 2018, 27 (Suppl. S3), 386–392. [Google Scholar] [CrossRef]
- Shukla, P.; Gulwani, H.V.; Kaur, S.; Shanmugasundaram, D. Reappraisal of Morphological and Immunohistochemical Spectrum of Intracranial and Spinal Solitary Fibrous Tumors/Hemangiopericytomas with Impact on Long-Term Follow-Up. Indian J. Cancer 2018, 55, 214–221. [Google Scholar] [CrossRef]
- Wang, H.; Wang, L.; Lu, Y.; Lu, C.; Xu, T.; Yan, Y.; Chen, J. Remarkable Recovery in a Patient with Intradural Extramedullary Haemangiopericytoma: A Case Report and Literature Review. Folia Neuropathol. 2018, 56, 151–157. [Google Scholar] [CrossRef]
- Fujita, T.; Nakashima, H.; Sakai, Y.; Takatsu, T. Primary Intradural Extramedullary Solitary FibrousTumor/Hemangiopericytoma of the Thoracic Spine: Case Report. Clin. Surg. 2019, 4, 2515. [Google Scholar]
- Li, Z.; Deng, Y.; Li, Z.; Wang, T.; Gao, J.; Zhou, W.; Li, Y.; Wang, Y. Primary Epidural Hemangiopericytoma of the Thoracic Spine: Case Report and Literature Review. J. Clin. Neurosci. 2019, 60, 142–147. [Google Scholar] [CrossRef]
- Louis, D.K.; Serge, I.B.G.; André, T.; Yao, K.S.; Nassim, B.; Michel, L. A Rare Case of a Thoracic Spinal Hemangiopericytoma. Open J. Mod. Neurosurg. 2019, 9, 1–6. [Google Scholar] [CrossRef][Green Version]
- Paeng, S. Intradural Extramedullary Thoracic Spinal Cord Hemangiopericytoma: A Case Report and Review of Literature. Neurol. Asia 2019, 24, 179–183. [Google Scholar]
- Fiorenza, V.; Ascanio, F.; Ferlito, F.; Lo Duca, B.; Librizzi, D. Primary Intra and Extradural Solitary Fibrous Tumor/Hemangiopericytoma of Thoracic Spine with Paravertebral Intrathoracic Spread: Case Report and Review of the Literature. Interdiscip. Neurosurg. 2020, 21, 100746. [Google Scholar] [CrossRef]
- Singla, R.; Singh, P.; Khanna, G.; Suri, V.; Agarwal, D.; Chandra, P.; Kale, S.; Mahapatra, A. An Institutional Review of 10 Cases of Spinal Hemangiopericytoma/Solitary Fibrous Tumor. Neurol. India 2020, 68, 448–453. [Google Scholar] [CrossRef] [PubMed]
- Nishii, T.; Nagashima, Y.; Nishimura, Y.; Ito, H.; Oyama, T.; Matsuo, M.; Sakakibara, A.; Shimada, S.; Saito, R. Two Cases of Solitary Fibrous Tumor/Hemangiopericytoma with Different Clinical Features According to the World Health Organization Classification: Case Report and Review of the Literature. J. Spine Surg. 2021, 7, 532–539. [Google Scholar] [CrossRef]
- Olmsted, Z.T.; Tabor, J.; Doron, O.; Hosseini, H.; Schneider, D.; Green, R.; Wahl, S.J.; Scuibba, D.M.; D’Amico, R.S. Intradural Extramedullary Solitary Fibrous Tumor of the Thoracic Spinal Cord. Cureus 2021, 13, e18613. [Google Scholar] [CrossRef]
- Okubo, T.; Nagoshi, N.; Tsuji, O.; Tachibana, A.; Kono, H.; Suzuki, S.; Okada, E.; Fujita, N.; Yagi, M.; Matsumoto, M.; et al. Imaging Characteristics and Surgical Outcomes in Patients With Intraspinal Solitary Fibrous Tumor/Hemangiopericytoma: A Retrospective Cohort Study. Glob. Spine J. 2023, 13, 276–283. [Google Scholar] [CrossRef]
- Kumar, R.; Vaid, V.K.; Kumar, V.; Kalra, S.K. Hemangiopericytoma of Thoracic Spine: A Rare Bony Tumor. Childs Nerv. Syst. 2007, 23, 1215–1219. [Google Scholar] [CrossRef]
- Radley, M.G.; McDonald, J.V. Meningeal Hemangiopericytoma of the Posterior Fossa and Thoracic Spinal Epidural Space. Neurosurgery 1992, 30, 446–452. [Google Scholar] [CrossRef]
- Klemperer, P.; Coleman, B.R. Primary Neoplasms of the Pleura. A Report of Five Cases. Am. J. Ind. Med. 1992, 22, 1–31. [Google Scholar] [CrossRef]
- Stout, A.P.; Murray, M.R. HEMANGIOPERICYTOMA: A VASCULAR TUMOR FEATURING ZIMMERMANN’S PERICYTES. Ann. Surg. 1942, 116, 26–33. [Google Scholar] [CrossRef]
- Schiariti, M.; Goetz, P.; El-Maghraby, H.; Tailor, J.; Kitchen, N. Hemangiopericytoma: Long-Term Outcome Revisited. J. Neurosurg. 2011, 114, 747–755. [Google Scholar] [CrossRef] [PubMed]
- Soyuer, S.; Chang, E.L.; Selek, U.; McCutcheon, I.E.; Maor, M.H. Intracranial Meningeal Hemangiopericytoma: The Role of Radiotherapy: Report of 29 Cases and Review of the Literature. Cancer 2004, 100, 1491–1497. [Google Scholar] [CrossRef] [PubMed]
- Giordan, E.; Marton, E.; Wennberg, A.M.; Guerriero, A.; Canova, G. A Review of Solitary Fibrous Tumor/Hemangiopericytoma Tumor and a Comparison of Risk Factors for Recurrence, Metastases, and Death among Patients with Spinal and Intracranial Tumors. Neurosurg. Rev. 2021, 44, 1299–1312. [Google Scholar] [CrossRef] [PubMed]
- Ecker, R.D.; Marsh, W.R.; Pollock, B.E.; Kurtkaya-Yapicier, Ö.; McClelland, R.; Scheithauer, B.W.; Buckner, J.C. Hemangiopericytoma in the Central Nervous System: Treatment, Pathological Features, and Long-Term Follow up in 38 Patients. J. Neurosurg. 2003, 98, 1182–1187. [Google Scholar] [CrossRef]
- Kim, J.H.; Jung, H.W.; Kim, Y.S.; Kim, C.J.; Hwang, S.K.; Paek, S.H.; Kim, D.G.; Kwun, B.D. Meningeal Hemangiopericytomas: Long-Term Outcome and Biological Behavior. Surg. Neurol. 2003, 59, 47–53. [Google Scholar] [CrossRef]
- Guthrie, B.L.; Ebersold, M.J.; Scheithauer, B.W.; Shaw, E.G. Meningeal Hemangiopericytoma: Histopathological Features, Treatment, and Long-Term Follow-up of 44 Cases. Neurosurgery 1989, 25, 514–522. [Google Scholar] [CrossRef]
- Combs, S.E.; Thilmann, C.; Debus, J.; Schulz-Ertner, D. Precision Radiotherapy for Hemangiopericytomas of the Central Nervous System. Cancer 2005, 104, 2457–2465. [Google Scholar] [CrossRef]
- Payne, B.R.; Prasad, D.; Steiner, M.; Steiner, L. Gamma Surgery for Hemangiopericytomas. Acta Neurochir. 2000, 142, 527–537. [Google Scholar] [CrossRef]
- Coffey, R.J.; Cascino, T.L.; Shaw, E.G. Radiosurgical Treatment of Recurrent Hemangiopericytomas of the Meninges: Preliminary Results. J. Neurosurg. 1993, 78, 903–908. [Google Scholar] [CrossRef]








| No. | Authors and Year | Age (yrs)/ Sex | Level | Classification | Treatment | Histology | FU (mos) | Outcome | Notes |
|---|---|---|---|---|---|---|---|---|---|
| 1 | Schirger et al., 1958 [9] | 33/F | T1-2 | 5 | GTR + RT | HPC | 312 | Recurred at 312 mos | |
| 2 | Kruse et al., 1961 [10] | 53/M | C2-3 | 1 | STR + RT | HPC | 48 | Recurred at 24 mos | |
| 3 | Pitlyk et al., 1965 [11] | 60/M | C4 | 1 | GTR | HPC | NR | NR | |
| 49/F | C3 | 1 | GTR | HPC | NR | NR | |||
| 4 | Fathie, 1970 [12] | 21/M | T6 | 3 | GTR | HPC | NR | NR | |
| 5 | Gerner et al., 1974 [13] | 62/M | L5 | NR | RT | N/A | NR | NR | |
| 6 | McMaster et al., 1975 [14] | NR | T1-2 | Extradural type | NR | HPC | NR | NR | |
| NR | T6-7 | Extradural type | NR | HPC | NR | NR | |||
| NR | T10 | Extradural type | NR | HPC | NR | NR | |||
| NR | T11 | Extradural type | NR | HPC | NR | NR | |||
| NR | S1 | Extradural type | NR | HPC | NR | NR | |||
| 7 | Harris et al., 1978 [15] | 28/M | C2-6 | 5 | STR + RT | HPC | 55 | Disease-free | |
| 65/F | L2 | 5 | PR + RT | HPC | 43 | Disease-free | |||
| 8 | Stern et al., 1980 [17] | 31/F | C6 | 5 | GTR | HPC | 12 | Disease-free | |
| 9 | Cappabianca et al., 1981 [16] | 52/F | C6 | 5 | STR + RT | HPC | 1 | NR | |
| 10 | Muraszko et al., 1982 [18] | 30/M | L3-4 | 6 | STR + RT | HPC | 145 | Recurred at 129 mos, pulmonary mets at 146 mos | Extremely vascular tumor |
| 41/F | T11-L3 | 5 | GTR | HPC | NR | NR | Extremely vascular tumor; preoperative embolization | ||
| 15/M | T11-L1 | 5 | GTR | HPC | NR | NR | Extremely vascular tumor | ||
| 11/F | T10 | 5 | STR + RT | HPC | 45 | Recurred at 38 mos | Extremely vascular tumor | ||
| 11 | Wold et al., 1982 [19] | 38/M | Vertbra | NR | Surgery | Benign HPC | 70 | Disease-free | Four of the five patients died from recurrence or metastases of original HPC |
| 47/F | Secrum | NR | Surgery | Malignant HPC | 17 | NR | |||
| 62/F | Secrum | NR | NR | Malignant HPC | NR | NR | |||
| 33/F | Vertbra | NR | Surgery | Malignant HPC | 372 | Local recurrence at 312 mos | |||
| 37/F | Sacrum | NR | Surgery | Malignant HPC | 60 | NR | |||
| 12 | Ciappetta et al., 1985 [20] | 48/M | C4 | 2 | GTR | HPC | NR | Recurred at 70 mos | |
| 36/F | C6 | 5 | PR + RT | HPC | 24 | NR | Required PR because of heavy tumor bleeding | ||
| 13 | Yagishita et al., 1985 [21] | NR/F | C7 | 6 | Surgery | HPC | NR | NR | Extremely vascular tumor |
| 14 | Bridges et al., 1988 [22] | 25/F | S1-3 | 5 | STR + RT | HPC | 9 | NR | Hemorrhagic tumor |
| 15 | Tang et al., 1988 [23] | 19/M | L2 | 4 | Surgery + RT + Chemo | HPC grade II to III | 48 | Local recurrence at 36 mos | |
| 16 | Mena et al., 1991 [4] | 47/M | T3-4 | 5 | GTR | HPC | 96 | Disease-free | Extremely vascular tumor |
| 17 | Salvati et al., 1991 [24] | 29/F | L1-3 | 5 | GTR + RT | HPC | 120 | Disease-free | Extremely vascular tumor |
| 18 | Cizmeli et al., 1992 [25] | 20/M | L2 | Extradural type | GTR + RT | HPC | NR | NR | Extremely vascular tumor; preoperative embolization |
| 19 | Lin et al., 1996 [26] | 16/F | C2 | 4 | GTR | HPC | 17 | Disease-free | |
| 20 | Dufour et al., 2001 [27] | 45/M | Cervical | 1 | GTR | HPC | 24 | Disease-free | |
| 18/F | Dorsal | 1 | STR + RT | HPC | 54 | Disease-free | |||
| 43/F | Dorsal | 1 | GTR | HPC | 49 | Disease-free | |||
| 38/M | Dorsal | 1 | GTR + RT | HPC | 250 | Disease-free | |||
| 21 | Akhaddar et al., 2002 [28] | 39/M | T4-6 | 3 | GTR + RT | HPC | 36 | Disease-free | |
| 22 | Betchen et al., 2002 [29] | 31/M | L4 | 1 | GTR | HPC | 6 | NR | |
| 23 | Ijiri et al., 2002 [6] | 39/F | L1-2 | 3 | GTR | HPC | 24 | Disease-free | |
| 24 | Musacchio et al., 2003 [30] | 56/F | Occiput-C1 | 5 | PR | HPC | 72 | Local recurrence at 24 mos | Preoperative embolization |
| 25 | Mohammadianpanah et al., 2004 [32] | 21/M | T2 | 5 | STR + RT | HPC | NR | NR | |
| 26 | Kashiwazaki et al., 2007 [33] | 31/M | T4-6 | 2 | GTR | HPC | 36 | Disease-free | |
| 27 | Kumar et al., 2007 [67] | 16/F | T4-5 | 5 | STR + RT | HPC | 9 | NR | |
| 28 | Zhao & Zhao, 2007 [34] | NR | C:10 patients T:9 patients L:3 patients S:1 patient | Intradural type: 4 patients; extradural type: 19 patients | GTR, GTR + RT, STR + RT | HPC | NR | One patient had local recurrence at 24 mos | |
| 29 | Endo et al., 2008 [35] | 62/M | L1 | 2 | GTR | HPC | NR | Disease-free | |
| 30 | Chou et al., 2009 [37] | 80/M | T10 | 2 | GTR | HPC | 36 | Disease-free | |
| 31 | Fitzpatrick et al., 2009 [36] | 54/M | L4-5 | 4 | GTR + RT | HPC | NR | Disease-free | Preoperative embolization |
| 32 | Zentar et al., 2009 [39] | 42/F | S1-2 | 4 | GTR + RT | HPC | 5 | NR | |
| 33 | Verbeke et al., 2010 [40] | 21/F | S | NR | STR | HPC | 60 | Disease-free | |
| 40/M | S | NR | GTR | HPC | 60 | Lung and bone mets at 36 mos | |||
| 50/M | T12 | NR | STR | HPC | nonakasalvati4 | Local recurrence at 180, 204, 228, and 240 mos, lung, liver, and soft tissue mets at 252 mos | Patients died from recurrence or metastases of original HPC | ||
| 31/F | L4 | NR | GTR | HPC | 48 | Disease-free | |||
| 44/M | S | NR | RT + Chemo | HPC | 84 | NR | Patients died from original HPC | ||
| 55/F | S | NR | RT | HPC | 132 | Disease-free | |||
| 34 | Ackerman et al., 2011 [41] | 58/M | T10 | 2 | GTR | HPC | NR | NR | |
| 35 | Moscovici et al., 2011 [42] | 20/M | T9-10 | 1 | GTR | HPC grade III | 24 | Disease-free | |
| 36 | Drazin et al., 2013 [45] | 56/ M | Occiput-C4 | 1 | GTR | HPC borderline between grade II and III. | 60 | Disease-free | There was a small tumor at the T2-3 level. The patient underwent successful radiosurgery of the area. |
| 37 | Liu et al., 2013 [46] | 31/M | L3-4 | 1 | GTR + RT | HPC grade II | 32 | Disease-free | |
| 28/M | L3-S2 | 1 | GTR + RT | HPC grade II | 36 | Disease-free | |||
| 51/M | C2-3 | 1 | GTR | HPC grade III | 72 | Local recurrence at 26 mos | |||
| 2/M | L1-5 | 1 | STR | HPC grade III | 7 | Local recurrence at 4 mos | |||
| 44/F | L1-2 | 1 | STR + RT | HPC grade II | 252 | Local recurrence at 84 mos | |||
| 53/M | C2-3 | 1 | STR + RT | HPC grade II | 56 | Local recurrence at 24 mos | |||
| 31/F | T5-7 | 1 | STR + RT (radiosurgery) + Chemo | HPC grade II | 300 | Local recurrence at 72 mos | |||
| 23/F | T12-L1 | 1 | GTR + RT | HPC grade III | 72 | Local recurrence at 28 mos | |||
| 32/F | T5-6 | 2 | GTR + RT | HPC grade II | 79 | Disease-free | |||
| 24/M | C5-7 | 2 | GTR + RT | HPC grade II | 20 | Disease-free | |||
| 25/F | T12-L1 | 2 | STR + RT | HPC grade III | 32 | Local recurrence at 6 mos | |||
| 31/F | C2-7 | 5 | STR + RT | HPC grade III | 18 | Local recurrence at 6 mos | |||
| 53/M | T3-5 | 6 | GTR + RT (radiosurgery) | HPC grade II | 152 | Local recurrence at 53 mos | |||
| 18/M | T11-L2 | 5 | GTR + RT | HPC grade III | 64 | Local recurrence at 5 mos, pulmonary mets | |||
| 56/F | C2-4 | 6 | STR + RT | HPC grade II | 128 | Local recurrence at 60 mos | |||
| 14/M | L2 | 6 | STR + RT | HPC grade III | 48 | Local recurrence at 24 mos, posterior cranial fossa mets | |||
| 25/F | C2-3 | 3 | GTR + RT | HPC grade III | 54 | Local recurrence at 4 mos | |||
| 37/M | C5-6 | 3 | GTR + RT | HPC grade II | 72 | Local recurrence at 36 mos | |||
| 46/F | C1-4 | 5 | STR + RT | HPC grade II | 25 | Disease-free | |||
| 73/F | T9-10 | 6 | STR + RT | HPC grade II | 264 | Local recurrence at 240 mos | |||
| 44/M | L5-S1 | 6 | STR + RT | HPC grade III | 53 | Local recurrence at 48 mos | |||
| 19/F | T5-6 | 3 | GTR + RT | HPC grade II | 29 | Disease-free | |||
| 19/M | C7-T1 | 3 | GTR + RT | HPC grade III | 53 | Local recurrence at 24 mos, temporal lobe mets | |||
| 14/M | L1-2 | 5 | STR + RT | HPC grade III | 24 | Local recurrence at 6 mos | |||
| 36/F | C1-2 | 3 | GTR + RT | HPC grade II | 120 | Local recurrence at 54 mos | |||
| 50/M | T11-12 | 6 | GTR + RT | HPC grade II | 65 | Disease-free | |||
| 38 | Shirzadi et al., 2013 [47] | 56/M | Occiput-C3 | 1 | GTR | HPC grade III | 24 | Metastatic recurrence at 6 mos | Metastatic recurrence at the T2-3 level. Required radiosurgery for metastatic lesion. |
| 27/F | T7-8 | 2 | GTR | HPC grade II | 36 | Disease-free | |||
| 57/M | T9-10 | 6 | GTR + RT | HPC grade II | 24 | Disease-free | Preoperative embolization | ||
| 39 | Zhang et al., 2014 [49] | 43/M | C6-T2 | 5 | GTR | HPC grade III | 12 | Disease-free | Preoperative embolization |
| 40 | Das et al., 2015 [50] | 50/M | C4-5 | 1 | GTR + RT + Chemo | HPC grade III | 24 | Disease-free | |
| 12/M | T11-L1 | 1 | GTR + RT | HPC grade III | 9 | Disease-free | |||
| 34/M | T8-10 | 2 | STR + RT + Chemo | HPC grade III | 24 | Local recurrence at 24 mos | Deceased from extensive spread of the disease. | ||
| 37/F | T7-9 | 6 | GTR | HPC grade II | 6 | Disease-free | |||
| 41 | Turk et al., 2015 [51] | 19/F | C1-2 | 2 | STR | HPC | NR | Disease-free | |
| 15/F | T9-10 | 2 | GTR | HPC | NR | Disease-free | |||
| 42 | Chew et al., 2017 [52] | 63/M | T9 | 1 | STR | HPC grade II | 12 | Disease-free | |
| 43 | Yi et al., 2017 [53] | 65/M | T12 | 4 | GTR | SFT/HPC grade II | 69 | Disease-free | |
| 54/M | T11 | 4 | GTR | SFT/HPC grade II | 10 | Local recurrence | |||
| 31/M | L4-5 | 5 | GTR | SFT/HPC grade III | 51 | Disease-free | |||
| 27/M | C2-4 | 4 | GTR | SFT/HPC grade II | 13 | Local recurrence at 1 mos | |||
| 64/M | T4-S1 | Spinal Canal type | GTR | SFT/HPC grade III | NR | NR | |||
| 42/F | T2-3 | Spinal Canal type | GTR | SFT/HPC grade II | 36 | Disease-free | |||
| 44 | Jia et al., 2018 [54] | 55/M | T2-3 | 5 | GTR + RT | SFT/HPC grade II | 93 | Disease-free | |
| 36/F | C7-T1 | 5 | GTR | SFT/HPC grade II | 75 | Local recurrence at 73 mos | Preoperative embolization | ||
| 45/M | T5-6 | 5 | GTR | SFT/HPC grade II | 77 | Local recurrence at 70 mos | Preoperative embolization | ||
| 36/F | T7 | 4 | GTR | SFT/HPC grade III | 33 | Disease-free | Preoperative embolization | ||
| 49/F | L3 | 5 | GTR + RT | SFT/HPC grade III | 37 | Local recurrence at 23 mos | Preoperative embolization | ||
| 57/M | L1 | 5 | STR + RT | SFT/HPC grade II | 73 | Local recurrence at 53 mos, lung and ribs mets | |||
| 57/F | T7-9 | 4 | GTR + RT | SFT/HPC grade II | 41 | Disease-free | Preoperative embolization | ||
| 42/M | T8 | 4 | GTR + RT | SFT/HPC grade III | 46 | Local recurrence at 37 mos | |||
| 46/F | C5-6 | 5 | GTR + RT | SFT/HPC grade II | 13 | Disease-free | |||
| 33/M | C4-5 | 5 | STR + RT | SFT/HPC grade II | 7 | Disease-free | |||
| 23/F | C5-6 | 4 | STR + RT | SFT/HPC grade III | 30 | Local recurrence at 16 mos | |||
| 42/F | C2 | 5 | GTR + RT | SFT/HPC grade III | 24 | Disease-free | Preoperative embolization | ||
| 49/F | T9 | 5 | STR + RT | SFT/HPC grade III | 24 | Local recurrence at 17 mos, lung and brain mets | |||
| 55/M | T1 | 5 | GTR + RT | SFT/HPC grade III | 20 | Disease-free | Preoperative embolization | ||
| 57/M | L5-S2 | 5 | STR | SFT/HPC grade III | 18 | Local recurrence at 12 mos | Preoperative embolization | ||
| 35/F | T4 | 5 | GTR | SFT/HPC grade II | 34 | Disease-free | |||
| 45 | Shukla et al., 2018 [56] | 13/M | T8 | 1 | GTR | Anaplastic HPC grade III | 48 | Disease-free | |
| 46 | Wang et al., 2018 [57] | 65/M | L2 | 1 | GTR + RT | HPC grade II | 48 | Disease-free | |
| 47 | Fujita et al., 2019 [58] | 50/M | T7 | 1 | GTR | SFT/HPC grade II | 12 | Disease-free | |
| 48 | Li et al., 2019 [59] | 35/F | T6-7 | 5 | GTR | HPC | 12 | Disease-free | |
| 49 | Louis et al., 2019 [60] | 82/ NR | T9-10 | 1 | STR + RT | HPC grade III | 5 | NR | |
| 50 | Paeng, 2019 [61] | 57/M | T5-6 | 2 | GTR | HPC | 24 | Disease-free | |
| 51 | Fiorenza et al., 2020 [62] | 73/F | T5-7 | 5 | GTR + RT | SFT/HPC grade II | 36 | Disease-free | |
| 52 | Singla et al., 2020 [63] | 50/M | C4-5 | 1 | GTR + RT + Chemo | SFT/HPC grade II | 62 | Local recurrence at 12 mos | |
| 37/F | T7-9 | 6 | GTR | SFT/HPC grade II | 53 | Disease-free | |||
| 12/F | T12-L1 | 1 | GTR + RT + Chemo | SFT/HPC grade III | 52 | Disease-free | |||
| 53 | Nishii et al., 2021 [64] | 68/F | O-C3 | 1 | STR | SFT/HPC grade II | 18 | Disease-free | |
| 54 | Olmsted et al., 2021 [65] | 81/F | T11-12 | 1 | STR | SFT grade III | 6 | Disease-free | |
| 55 | Okubo et al., 2023 [66] | 68/M | Cervical | 1 | PR | SFT/HPC grade III | 118 | Local recurrence at 34 mos | Required PR because of the amount of bleeding during surgery obscures the relevant surgical field or intraoperative spinal cord monitoring indicates deterioration in the motor evoked potential |
| 65/F | Lumbar | 2 | PR | SFT/HPC grade II | 38 | Local recurrence at 5 mos | |||
| 55/M | Thorax | 1 | PR | SFT/HPC grade III | 50 | Disease-free | |||
| 49/M | Thorax | 1 | PR | SFT/HPC grade III | 58 | Local recurrence at 35 mos | |||
| Present cases | 40/F | T12-L1 | 3 | GTR | SFT grade II | 228 | Local recurrence at 72 mos | ||
| 36/F | T3-4 | 1 | GTR | SFT grade III | 36 | Disease-free |
| Variable | Value |
|---|---|
| Age (yrs) | |
| Mean (range) | 40.8 (2–82) |
| Not reported | 29 (18.5%) |
| Sex | |
| Male | 68 (43.3%) |
| Female | 60 (38.2%) |
| Not reported | 29 (18.5%) |
| Level | |
| Occipitocervical | 4 (2.6%) |
| Cervical | 39 (24.8%) |
| Cervicothoracic | 3 (1.9%) |
| Thoracic | 63 (40.1%) |
| Thoracolumbar | 8 (5.1%) |
| Lumbar | 24 (15.3%) |
| Lumbosacral | 3 (1.9%) |
| Sacral | 11 (7.0%) |
| Not reported | 2 (1.3%) |
| Compartment (Classification) | |
| Type 1. Intracanal–intradural–extramedurally | 34 (21.7%) |
| Type 2. Intracanal–intradural–intramedurally invasion | 14 (8.9%) |
| Type 3. Intracanal–extradural | 9 (5.7%) |
| Type 4. Extracanal | 11 (7.0%) |
| Type 5. Extradural to extracanal | 33 (21.0%) |
| Type 6. Intradural to extracanal | 12 (7.7%) |
| Details are unknown | 44 (28.0%) |
Disclaimer/Publisher’s Note: The statements, opinions and data contained in all publications are solely those of the individual author(s) and contributor(s) and not of MDPI and/or the editor(s). MDPI and/or the editor(s) disclaim responsibility for any injury to people or property resulting from any ideas, methods, instructions or products referred to in the content. |
© 2025 by the authors. Licensee MDPI, Basel, Switzerland. This article is an open access article distributed under the terms and conditions of the Creative Commons Attribution (CC BY) license (https://creativecommons.org/licenses/by/4.0/).
Share and Cite
Segami, K.; Okamura, Y.; Takahashi, S.; Ueda, Y.; Kanzaki, K.; Kudo, Y. WHO Grade II or III Solitary Fibrous Tumors (Hemangiopericytomas) of the Spine: Two Case Reports with a Comprehensive Review of the Literature. J. Clin. Med. 2025, 14, 6068. https://doi.org/10.3390/jcm14176068
Segami K, Okamura Y, Takahashi S, Ueda Y, Kanzaki K, Kudo Y. WHO Grade II or III Solitary Fibrous Tumors (Hemangiopericytomas) of the Spine: Two Case Reports with a Comprehensive Review of the Literature. Journal of Clinical Medicine. 2025; 14(17):6068. https://doi.org/10.3390/jcm14176068
Chicago/Turabian StyleSegami, Kazuyuki, Yutaro Okamura, Syu Takahashi, Yasuo Ueda, Koji Kanzaki, and Yoshifumi Kudo. 2025. "WHO Grade II or III Solitary Fibrous Tumors (Hemangiopericytomas) of the Spine: Two Case Reports with a Comprehensive Review of the Literature" Journal of Clinical Medicine 14, no. 17: 6068. https://doi.org/10.3390/jcm14176068
APA StyleSegami, K., Okamura, Y., Takahashi, S., Ueda, Y., Kanzaki, K., & Kudo, Y. (2025). WHO Grade II or III Solitary Fibrous Tumors (Hemangiopericytomas) of the Spine: Two Case Reports with a Comprehensive Review of the Literature. Journal of Clinical Medicine, 14(17), 6068. https://doi.org/10.3390/jcm14176068

