Standalone AI Versus AI-Assisted Radiologists in Emergency ICH Detection: A Prospective, Multicenter Diagnostic Accuracy Study
Abstract
1. Introduction
2. Materials and Methods
2.1. Study Design
2.2. Study Participants
2.2.1. Inclusion and Exclusion Criteria
- Patients over 18 years who underwent native brain CT in inpatient medical organizations;
- CT studies performed for clinical indications (suspected ICH, head trauma, acute neurological symptoms, and control after neurosurgical interventions);
- Technically adequate DICOM format images;
- Presence of primary radiologist conclusion.
- Contrast-enhanced CT studies;
- Technically inadequate images (artifacts making analysis impossible and incomplete brain coverage);
- Absence of primary radiologist conclusion;
- Technical errors in in AI service analysis (absence of additional DICOM series, absence of accompanying information in DICOM SR standard, modification of original CT series, brightness/contrast of additional series not matching original image, and markup outside target organ).
2.2.2. Sample Size
2.3. Study Setting
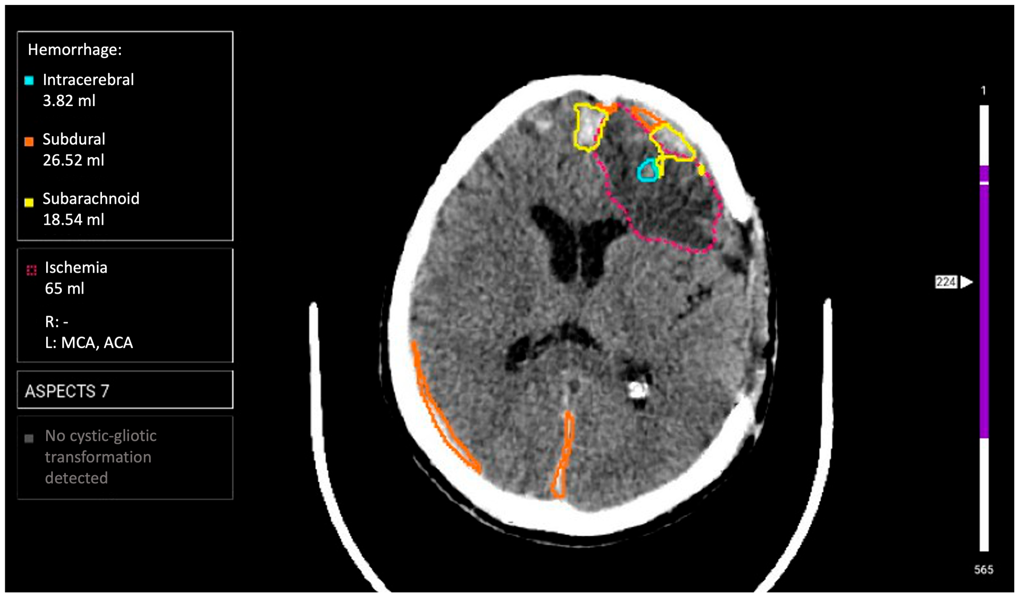
2.4. AI Services
2.5. Reference Standard
- Hyperdense foci in brain parenchyma, meningeal spaces, or ventricular system (epidural, subdural, subarachnoid, and intracerebral localization);
- Density > 40 HU for acute hemorrhages;
- Exclusion of calcified areas;
- Minimum registered hemorrhage volume: 1 mm3.
- Complete correspondence: AI conclusion fully matches expert opinion (both for normal cases and pathology presence);
- Partially correct assessment: pathology presence confirmation with description disagreements (e.g., intracerebral interpreted as subarachnoid hemorrhage, etc.);
- False-positive result: AI indicated pathology rejected by expert;
- False-negative result: AI missed pathology confirmed by expert.
- Complete correspondence: accurate pathological zone localization;
- Partially correct assessment: correct detection with inaccurate localization (e.g., part of hemorrhage not marked);
- False-positive result: AI contoured a structure as pathology not confirmed by expert;
- False-negative result: AI did not contour pathology confirmed by expert.
2.6. Workflow and Technical Integration
- (1)
- CT study performed in medical institution for clinical indications;
- (2)
- Images automatically transmitted to URIS UMIAS;
- (3)
- Active AI services processed CT study (processing time did not affect clinical process but took no more than 6 min);
- (4)
- Radiologist formed conclusion with access to AI analysis results as auxiliary tool within usual clinical practice;
- (5)
- AI results and physician conclusions saved in database for subsequent analysis;
- (6)
- Monthly expert evaluation of random sample of 80 studies for each active AI service.
2.7. Statistical Analysis
- Sensitivity (Se) = TP/(TP + FN) × 100%;
- Specificity (Sp) = TN/(TN + FP) × 100%;
- Overall accuracy (Ac) = (TP + TN)/(TP + TN + FP + FN) × 100%;
- Positive predictive value (PPV) = TP/(TP + FP) × 100%;
- Negative predictive value (NPV) = TN/(TN + FN) × 100%;
- Diagnostic odds ratio (DOR) = (TP × TN)/(FP × FN),
2.7.1. Comparative Analysis Between AI Services
2.7.2. Comparative Analysis of AI Services and Radiologists
3. Results
3.1. Comparison of AI Services Among Themselves
3.2. Comparison of AI and Radiologists
- 1044 cases (30.6%): agreement on positive result;
- 49 cases (1.4%): radiologist “+” and AI “−”;
- 305 cases (8.9%): radiologist “−” and AI “+”;
- 2011 cases (59.1%): agreement on negative result.
4. Discussion
5. Limitations
6. Conclusions
Author Contributions
Funding
Institutional Review Board Statement
Informed Consent Statement
Data Availability Statement
Acknowledgments
Conflicts of Interest
References
- Sun, T.; Yuan, Y.; Wu, K.; Zhou, Y.; You, C.; Guan, J. Trends and Patterns in the Global Burden of Intracerebral Hemorrhage: A Comprehensive Analysis from 1990 to 2019. Front. Neurol. 2023, 14, 1241158. [Google Scholar] [CrossRef]
- Xu, L.; Wang, Z.; Wu, W.; Li, M.; Li, Q. Global, Regional, and National Burden of Intracerebral Hemorrhage and Its Attributable Risk Factors from 1990 to 2021: Results from the 2021 Global Burden of Disease Study. BMC Public Health 2024, 24, 2426. [Google Scholar] [CrossRef]
- Feigin, V.L.; Brainin, M.; Norrving, B.; Martins, S.O.; Pandian, J.; Lindsay, P.; Grupper, M.F.; Rautalin, I. World Stroke Organization: Global Stroke Fact Sheet 2025. Int. J. Stroke 2025, 20, 132–144. [Google Scholar] [CrossRef] [PubMed]
- Rochmah, T.N.; Rahmawati, I.T.; Dahlui, M.; Budiarto, W.; Bilqis, N. Economic Burden of Stroke Disease: A Systematic Review. Int. J. Environ. Res. Public Health 2021, 18, 7552. [Google Scholar] [CrossRef] [PubMed]
- Feigin, V.L.; Lawes, C.M.; Bennett, D.A.; Barker-Collo, S.L.; Parag, V. Worldwide Stroke Incidence and Early Case Fatality Reported in 56 Population-Based Studies: A Systematic Review. Lancet Neurol. 2009, 8, 355–369. [Google Scholar] [CrossRef]
- Dieckmeyer, M.; Sollmann, N.; Kupfer, K.; Löffler, M.T.; Paprottka, K.J.; Kirschke, J.S.; Baum, T. Computed Tomography of the Head. Clin. Neuroradiol. 2023, 33, 591–610. [Google Scholar] [CrossRef]
- Perotte, R.; Lewin, G.O.; Tambe, U.; Galorenzo, J.B.; Vawdrey, D.K.; Akala, O.O.; Makkar, J.S.; Lin, D.J.; Mainieri, L.; Chang, B.C. Improving Emergency Department Flow: Reducing Turnaround Time for Emergent CT Scans. AMIA Annu. Symp. Proc. 2018, 2018, 897–906. [Google Scholar] [PubMed]
- Del Gaizo, A.J.; Osborne, T.F.; Shahoumian, T.; Sherrier, R. Deep Learning to Detect Intracranial Hemorrhage in a National Teleradiology Program and the Impact on Interpretation Time. Radiol. Artif. Intell. 2024, 6, e240067. [Google Scholar] [CrossRef]
- Burns, J.; Chung, Y.; Rula, E.Y.; Duszak, R.; Rosenkrantz, A.B. Evolving Trainee Participation in Radiologists’ Workload Using A National Medicare-Focused Analysis from 2008 to 2020. J. Am. Coll. Radiol. 2025, 22, 98–107. [Google Scholar] [CrossRef]
- Fawzy, N.A.; Tahir, M.J.; Saeed, A.; Ghosheh, M.J.; Alsheikh, T.; Ahmed, A.; Lee, K.Y.; Yousaf, Z. Incidence and Factors Associated with Burnout in Radiologists: A Systematic Review. Eur. J. Radiol. Open 2023, 11, 100530. [Google Scholar] [CrossRef]
- Karamian, A.; Seifi, A. Diagnostic Accuracy of Deep Learning for Intracranial Hemorrhage Detection in Non-Contrast Brain CT Scans: A Systematic Review and Meta-Analysis. J. Clin. Med. 2025, 14, 2377. [Google Scholar] [CrossRef]
- Yun, T.J.; Choi, J.W.; Han, M.; Jung, W.S.; Choi, S.H.; Yoo, R.-E.; Hwang, I.P. Deep Learning Based Automatic Detection Algorithm for Acute Intracranial Haemorrhage: A Pivotal Randomized Clinical Trial. NPJ Digit. Med. 2023, 6, 61. [Google Scholar] [CrossRef]
- Joshi, G.; Jain, A.; Araveeti, S.R.; Adhikari, S.; Garg, H.; Bhandari, M. FDA-Approved Artificial Intelligence and Machine Learning (AI/ML)-Enabled Medical Devices: An Updated Landscape. Electronics 2024, 13, 498. [Google Scholar] [CrossRef]
- Roshan, M.P.; Al-Shaikhli, S.A.; Linfante, I.; Antony, T.T.; Clarke, J.E.; Noman, R.; Lamy, C.; Britton, S.; Belnap, S.C.; Abrams, K.; et al. Revolutionizing Intracranial Hemorrhage Diagnosis: A Retrospective Analytical Study of Viz.Ai ICH for Enhanced Diagnostic Accuracy. Cureus 2024, 16, e66449. [Google Scholar] [CrossRef]
- Savage, C.H.; Tanwar, M.; Elkassem, A.A.; Sturdivant, A.; Hamki, O.; Sotoudeh, H.; Sirineni, G.; Singhal, A.; Milner, D.; Jones, J.; et al. Prospective Evaluation of Artificial Intelligence Triage of Intracranial Hemorrhage on Noncontrast Head CT Examinations. Am. J. Roentgenol. 2024, 223, e2431639. [Google Scholar] [CrossRef]
- Vasilev, Y.; Vladzymyrskyy, A.; Omelyanskaya, O.; Blokhin, I.; Kirpichev, Y.; Arzamasov, K. AI-Based CXR First Reading: Current Limitations to Ensure Practical Value. Diagnostics 2023, 13, 1430. [Google Scholar] [CrossRef] [PubMed]
- Khoruzhaya, A.; Arzamasov, K.M.; Kodenko, M.R.; Kremneva, E.I.; Burenchev, D.V. Diagnosis of intracranial haemorrhage on brain computed tomography with artificial intelligence: 1.5 years of real clinical practice. Digit. Diagn. 2025, 6, 214–228. [Google Scholar] [CrossRef]
- Vasilev, Y.A.; Sychev, D.A.; Bazhin, A.V.; Shulkin, I.M.; Vladzymyrskyy, A.V.; Golikova, A.Y.; Arzamasov, K.M.; Mishchenko, A.V.; Bekdzhanyan, G.A.; Goldberg, A.S.; et al. Autonomous artificial intelligence for sorting results of preventive radiological examinations of chest organs: Medical and economic efficiency. Digit. Diagn. 2025, 6, 5–22. [Google Scholar] [CrossRef]
- Chan, H.-P.; Samala, R.K.; Hadjiiski, L.M.; Zhou, C. Deep Learning in Medical Image Analysis. Adv. Exp. Med. Biol. 2020, 1213, 3–21. [Google Scholar] [CrossRef]
- Mäenpää, S.M.; Korja, M. Diagnostic Test Accuracy of Externally Validated Convolutional Neural Network (CNN) Artificial Intelligence (AI) Models for Emergency Head CT Scans—A Systematic Review. Int. J. Med. Inform. 2024, 189, 105523. [Google Scholar] [CrossRef]
- An Experiment on the Use of Innovative Computer Vision Technologies for Medical Image Analysis and Subsequent Applicability in the Healthcare System of Moscow. Available online: https://mosmed.ai/en/ai/ (accessed on 23 June 2025).
- Kodenko, M.R.; Bobrovskaya, T.M.; Reshetnikov, R.V.; Arzamasov, K.M.; Vladzymyrskyy, A.V.; Omelyanskaya, O.V.; Vasilev, Y.A. Empirical Approach to Sample Size Estimation for Testing of AI Algorithms. Dokl. Math. 2024, 110, S62–S74. [Google Scholar] [CrossRef]
- Vasiliev, Y.A.; Vlazimirsky, A.V.; Omelyanskaya, O.V.; Arzamasov, K.M.; Chetverikov, S.F.; Rumyantsev, D.A.; Zelenova, M.A. Methodology for Testing and Monitoring Artificial Intelligence-Based Software for Medical Diagnostics. Digit. Diagn. 2023, 4, 252–267. [Google Scholar] [CrossRef]
- Bobrovskaya, T.M.; Vasilev, Y.A.; Nikitin, N.Y.; Vladzimirskyy, A.V.; Omelyanskaya, O.V.; Chetverikov, S.F.; Arzamasov, K.M. Sample Size for Assessing a Diagnostic Accuracy of AI-Based Software in Radiology. Sib. J. Clin. Exp. Med. 2024, 39, 188–198. [Google Scholar] [CrossRef]
- Kiefer, J.; Kopp, M.; Ruettinger, T.; Heiss, R.; Wuest, W.; Amarteifio, P.; Stroebel, A.; Uder, M.; May, M.S. Diagnostic Accuracy and Performance Analysis of a Scanner-Integrated Artificial Intelligence Model for the Detection of Intracranial Hemorrhages in a Traumatology Emergency Department. Bioengineering 2023, 10, 1362. [Google Scholar] [CrossRef] [PubMed]
- Neves, G.; Warman, P.I.; Warman, A.; Warman, R.; Bueso, T.; Vadhan, J.D.; Windisch, T. External Validation of an Artificial Intelligence Device for Intracranial Hemorrhage Detection. World Neurosurg. 2023, 173, e800–e807. [Google Scholar] [CrossRef] [PubMed]
- Hillis, J.M.; Bizzo, B.C.; Newbury-Chaet, I.; Mercaldo, S.F.; Chin, J.K.; Ghatak, A.; Halle, M.A.; L’Italien, E.; MacDonald, A.L.; Schultz, A.S.; et al. Evaluation of an Artificial Intelligence Model for Identification of Intracranial Hemorrhage Subtypes on Computed Tomography of the Head. Stroke Vasc. Interv. Neurol. 2024, 4, e001223. [Google Scholar] [CrossRef]
- Arbabshirani, M.R.; Fornwalt, B.K.; Mongelluzzo, G.J.; Suever, J.D.; Geise, B.D.; Patel, A.A.; Moore, G.J. Advanced Machine Learning in Action: Identification of Intracranial Hemorrhage on Computed Tomography Scans of the Head with Clinical Workflow Integration. NPJ Digit. Med. 2018, 1, 9. [Google Scholar] [CrossRef]
- Wang, D.; Jin, R.; Shieh, C.-C.; Ng, A.Y.; Pham, H.; Dugal, T.; Barnett, M.; Winoto, L.; Wang, C.; Barnett, Y. Real World Validation of an AI-Based CT Hemorrhage Detection Tool. Front. Neurol. 2023, 14, 1177723. [Google Scholar] [CrossRef]
- Bark, D.; Basu, J.; Toumpanakis, D.; Burwick Nyberg, J.; Bjerner, T.; Rostami, E.; Fällmar, D. Clinical Impact of an AI Decision Support System for Detection of Intracranial Hemorrhage in CT Scans. Neurotrauma Rep. 2024, 5, 1009–1015. [Google Scholar] [CrossRef]
- Voter, A.F.; Meram, E.; Garrett, J.W.; Yu, J.-P.J. Diagnostic Accuracy and Failure Mode Analysis of a Deep Learning Algorithm for the Detection of Intracranial Hemorrhage. J. Am. Coll. Radiol. 2021, 18, 1143–1152. [Google Scholar] [CrossRef]
- Seyam, M.; Weikert, T.; Sauter, A.; Brehm, A.; Psychogios, M.-N.; Blackham, K.A. Utilization of Artificial Intelligence–Based Intracranial Hemorrhage Detection on Emergent Noncontrast CT Images in Clinical Workflow. Radiol. Artif. Intell. 2022, 4, e210168. [Google Scholar] [CrossRef]
- Zia, A.; Fletcher, C.; Bigwood, S.; Ratnakanthan, P.; Seah, J.; Lee, R.; Kavnoudias, H.; Law, M. Retrospective Analysis and Prospective Validation of an AI-Based Software for Intracranial Haemorrhage Detection at a High-Volume Trauma Centre. Sci. Rep. 2022, 12, 19885. [Google Scholar] [CrossRef]
- Kim, C.H.; Hahm, M.H.; Lee, D.E.; Choe, J.Y.; Ahn, J.Y.; Park, S.-Y.; Lee, S.H.; Kwak, Y.; Yoon, S.-Y.; Kim, K.-H.; et al. Clinical Usefulness of Deep Learning-Based Automated Segmentation in Intracranial Hemorrhage. Technol. Health Care 2021, 29, 881–895. [Google Scholar] [CrossRef] [PubMed]
- Pettet, G.; West, J.; Robert, D.; Khetani, A.; Kumar, S.; Golla, S.; Lavis, R. A Retrospective Audit of an Artificial Intelligence Software for the Detection of Intracranial Haemorrhage Used by a Teleradiology Company in the United Kingdom. BJR Open 2024, 6, tzae033. [Google Scholar] [CrossRef] [PubMed]
- Buchlak, Q.D.; Tang, C.H.M.; Seah, J.C.Y.; Johnson, A.; Holt, X.; Bottrell, G.M.; Wardman, J.B.; Samarasinghe, G.; Dos Santos Pinheiro, L.; Xia, H.; et al. Effects of a Comprehensive Brain Computed Tomography Deep Learning Model on Radiologist Detection Accuracy. Eur. Radiol. 2024, 34, 810–822. [Google Scholar] [CrossRef]
- Cardoso, O.; Adly, M.; Hamade, M.; Saigal, K.; Saigal, G. False Positives in Artificial Intelligence Prioritization Software for Intracranial Hemorrhage Identification in the Postoperative Period: A Report of Two Cases. Cureus 2023, 15, e44215. [Google Scholar] [CrossRef]
- Bernstein, M.H.; Atalay, M.K.; Dibble, E.H.; Maxwell, A.W.P.; Karam, A.R.; Agarwal, S.; Ward, R.C.; Healey, T.T.; Baird, G.L. Can Incorrect Artificial Intelligence (AI) Results Impact Radiologists, and If so, What Can We Do about It? A Multi-Reader Pilot Study of Lung Cancer Detection with Chest Radiography. Eur. Radiol. 2023, 33, 8263–8269. [Google Scholar] [CrossRef]
- Liu, H.; Ding, N.; Li, X.; Chen, Y.; Sun, H.; Huang, Y.; Liu, C.; Ye, P.; Jin, Z.; Bao, H.; et al. Artificial Intelligence and Radiologist Burnout. JAMA Netw. Open 2024, 7, e2448714. [Google Scholar] [CrossRef] [PubMed]
- Mark, D.G.; Sonne, D.C.; Jun, P.; Schwartz, D.T.; Kene, M.V.; Vinson, D.R.; Ballard, D.W. False-Negative Interpretations of Cranial Computed Tomography in Aneurysmal Subarachnoid Hemorrhage. Acad. Emerg. Med. 2016, 23, 591–598. [Google Scholar] [CrossRef]
- Chen, M.; Wang, Y.; Wang, Q.; Shi, J.; Wang, H.; Ye, Z.; Xue, P.; Qiao, Y. Impact of Human and Artificial Intelligence Collaboration on Workload Reduction in Medical Image Interpretation. NPJ Digit. Med. 2024, 7, 349. [Google Scholar] [CrossRef]
- Agarwal, N.; Moehring, A.; Rajpurkar, P.; Salz, T. Combining Human Expertise with Artificial Intelligence: Experimental Evidence from Radiology; National Bureau of Economic Research: Cambridge, MA, USA, 2023. [Google Scholar]
- Choi, S.Y.; Kim, J.H.; Chung, H.S.; Lim, S.; Kim, E.H.; Choi, A. Impact of a Deep Learning-Based Brain CT Interpretation Algorithm on Clinical Decision-Making for Intracranial Hemorrhage in the Emergency Department. Sci. Rep. 2024, 14, 22292. [Google Scholar] [CrossRef] [PubMed]
- Maghami, M.; Sattari, S.A.; Tahmasbi, M.; Panahi, P.; Mozafari, J.; Shirbandi, K. Diagnostic Test Accuracy of Machine Learning Algorithms for the Detection Intracranial Hemorrhage: A Systematic Review and Meta-Analysis Study. Biomed. Eng. OnLine 2023, 22, 114. [Google Scholar] [CrossRef] [PubMed]





| Characteristics | AI-1 | AI-2 | AI-3 |
|---|---|---|---|
| Total CT studies (abs.) | 1200 | 1138 | 1071 |
| CT studies with pathology (GT) (abs.) | 580 | 238 | 283 |
| TP (abs.) | 565 | 227 | 264 |
| TN (abs.) | 469 | 826 | 728 |
| FP (abs.) | 153 | 80 | 60 |
| FN (abs.) | 15 | 11 | 19 |
| Sensitivity, % (95% CI) | 97.4 (95.8–98.5) | 95.4 (92.7–98.0) | 93.2 (90.1–95.9) |
| Specificity, % (95% CI) | 75.4 (71.8–78.7) * | 91.2 (89.3–93.0) | 92.3 (90.4–94.3) |
| Accuracy, % (95% CI) | 86.0 (83.9–87.9) * | 92.1 (90.5–93.6) | 92.6 (90.1–94.1) |
| AUROC, % (95% CI) | 92.6 (86.3–98.8) | 93.5 (91.3–95.5) | 91.7 (89.2–94.1) |
| PPV, % (95% CI) | 78.7 (73.1–83.5) | 68.5 (63.5–84.1) * | 81.5 (78.6–91.2) |
| NPV, % (95% CI) | 96.9 (95.2–99.1) | 98.8 (97.9–99.9) | 97.5 (95.7–99.3) |
| Characteristic | AI Services (Combined Data) | Radiologists | p-Value | Cohen’s h |
|---|---|---|---|---|
| General sample characteristics | ||||
| Total CT studies (abs.) | 3409 | 3409 | - | - |
| ICH+ (abs.) | 1101 | 1101 | - | - |
| ICH− (abs.) | 2308 | 2308 | - | - |
| Pathology proportion (%) | 32.3 | 32.3 | - | - |
| Main diagnostic metrics | ||||
| Sensitivity, % (95% CI) | 95.91 (94.6–96.9) | 98.91 (98.1–99.4) | <0.0001 † | 0.20 |
| Specificity, % (95% CI) | 87.35 (85.9–88.7) | 99.83 (99.6–99.9) | <0.0001 † | 0.64 |
| Accuracy, % (95% CI) | 90.11 (89.1–91.1) | 99.53 (99.3–99.7) | <0.0001 † | 0.50 |
| PPV, % (95% CI) | 78.28 (75.7–80.7) | 99.63 (99.2–99.9) | <0.05 ‡ | 0.85 |
| NPV, % (95% CI) | 97.82 (97.2–98.3) | 99.48 (99.1–99.7) | <0.05 ‡ | 0.15 |
| DOR (95% CI) | 162.0 (118.4–221.3) | 52,272 (16,820–162,448) | <0.05 ‡ | - |
| Diagnostic error analysis | ||||
| False negatives, abs. (%) | 45 (4.09) | 12 (1.09) | <0.0001 † | - |
| False positives, abs. (%) | 293 (12.65) | 4 (0.17) | <0.0001 † | - |
| Error overlap | 0 | - | - | |
| Miss complementarity | Complete | - | - | |
| Combined approach potential | ||||
| Observed scenario 1 | - | 100.0% sensitivity | - | - |
| Realistic estimate 2 | - | 99.7–100.0% sensitivity | - | - |
| Miss reduction 3 | - | 12→0–3 cases | - | - |
| Expected specificity 4 | - | 83.9% | - | - |
| Agreement indicators | ||||
| Cohen’s kappa (95% CI) | 0.776 (0.750–0.801) | - | - | - |
| Overall agreement, % | 89.6 | - | - | - |
| ICH+ agreement, % | 74.7 | - | - | - |
| ICH− agreement, % | 85.0 | - | - | - |
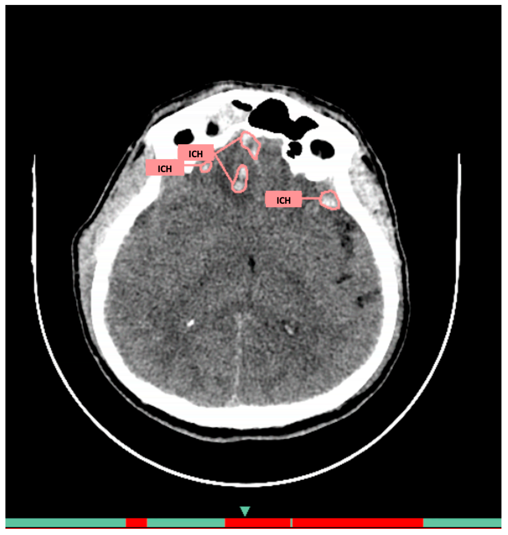
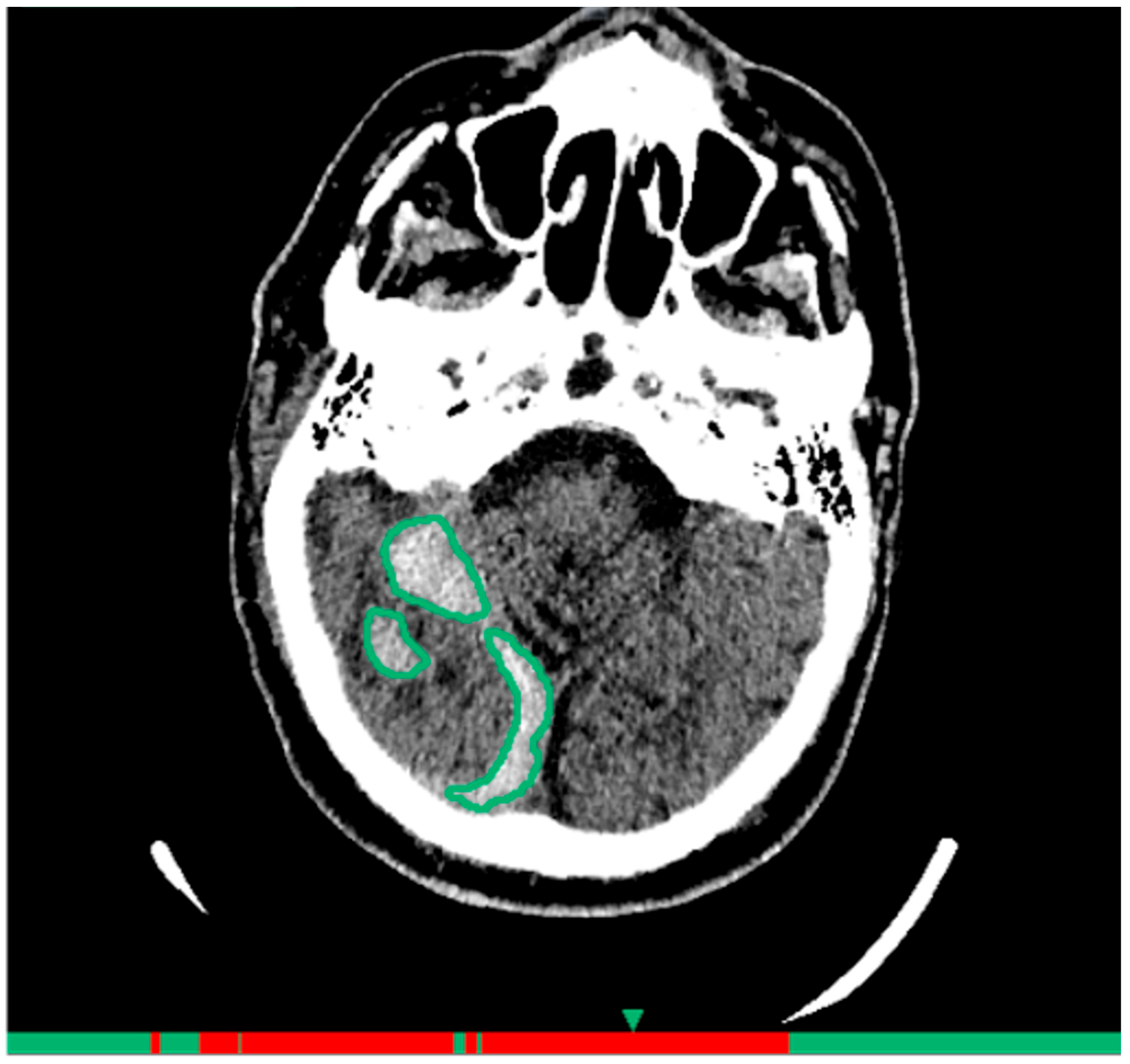
| N | Age/Sex | ICH Type | Location | Volume/Characteristics | Clinical Context | Probable Miss Reason |
|---|---|---|---|---|---|---|
| 1 | 79F | SAH | Multiple regions | Small volume | Hypertensive crisis, fall | Subtle SAH signs |
| 2 | 21M | SAH | Parafalcine, tentorial | Small volume | Post-VPS surgery | Post-surgical changes |
| 3 | 63M | SAH | Tentorial | Small volume | Head trauma | Minimal bleeding |
| 4 | 71F | IPH | Parafalcine space | Small volume | Post-tumor resection | Surgical bed changes |
| 5 | 67M | Chronic SDH | Right fronto-parieto-occipital | Mixed density, 40 HU | Stroke workup | Chronic appearance |
| 6 | 45M | IPH | Right orbitofrontal | Small volume | Exclusion of acute intracranial pathology | Bone artifacts |
| 7 | 86F | SDH | Right temporo-parietal | Small volume | Syncope, atrial fibrillation | Small size |
| 8 | 81M | Chronic SDH | Bilateral | Mixed density, 39 HU | TIA symptoms | Chronic appearance |
| 9 | 67M | IVH + SAH | Left temporal horn, tentorial | Residual blood | Post-drainage | Probably due to haste, the pattern of hemorrhages was not described accurately enough |
| 10 | 90F | Hemorrhagic transformation | Ischemic zone | Petechial | Stroke progression | Ischemic mimicry |
| 11 | 45M | EDH | Right parietal | Small volume | Alcohol-related fall, radial fracture | Trauma history |
| 12 | 74F | Hemorrhagic transformation | Basal ganglia | Small volume | Hypertensive crisis | Early stroke phase |
Disclaimer/Publisher’s Note: The statements, opinions and data contained in all publications are solely those of the individual author(s) and contributor(s) and not of MDPI and/or the editor(s). MDPI and/or the editor(s) disclaim responsibility for any injury to people or property resulting from any ideas, methods, instructions or products referred to in the content. |
© 2025 by the authors. Licensee MDPI, Basel, Switzerland. This article is an open access article distributed under the terms and conditions of the Creative Commons Attribution (CC BY) license (https://creativecommons.org/licenses/by/4.0/).
Share and Cite
Khoruzhaya, A.N.; Sakharova, P.A.; Arzamasov, K.M.; Kremneva, E.I.; Burenchev, D.V.; Erizhokov, R.A.; Omelyanskaya, O.V.; Vladzymyrskyy, A.V.; Vasilev, Y.A. Standalone AI Versus AI-Assisted Radiologists in Emergency ICH Detection: A Prospective, Multicenter Diagnostic Accuracy Study. J. Clin. Med. 2025, 14, 5700. https://doi.org/10.3390/jcm14165700
Khoruzhaya AN, Sakharova PA, Arzamasov KM, Kremneva EI, Burenchev DV, Erizhokov RA, Omelyanskaya OV, Vladzymyrskyy AV, Vasilev YA. Standalone AI Versus AI-Assisted Radiologists in Emergency ICH Detection: A Prospective, Multicenter Diagnostic Accuracy Study. Journal of Clinical Medicine. 2025; 14(16):5700. https://doi.org/10.3390/jcm14165700
Chicago/Turabian StyleKhoruzhaya, Anna N., Polina A. Sakharova, Kirill M. Arzamasov, Elena I. Kremneva, Dmitriy V. Burenchev, Rustam A. Erizhokov, Olga V. Omelyanskaya, Anton V. Vladzymyrskyy, and Yuriy A. Vasilev. 2025. "Standalone AI Versus AI-Assisted Radiologists in Emergency ICH Detection: A Prospective, Multicenter Diagnostic Accuracy Study" Journal of Clinical Medicine 14, no. 16: 5700. https://doi.org/10.3390/jcm14165700
APA StyleKhoruzhaya, A. N., Sakharova, P. A., Arzamasov, K. M., Kremneva, E. I., Burenchev, D. V., Erizhokov, R. A., Omelyanskaya, O. V., Vladzymyrskyy, A. V., & Vasilev, Y. A. (2025). Standalone AI Versus AI-Assisted Radiologists in Emergency ICH Detection: A Prospective, Multicenter Diagnostic Accuracy Study. Journal of Clinical Medicine, 14(16), 5700. https://doi.org/10.3390/jcm14165700

