Mapping the Mind: Gray Matter Signatures of Personality Pathology in Female Adolescent Anorexia Nervosa Persist Through Treatment
Abstract
1. Introduction
2. Materials and Methods
2.1. Participants
2.2. Measures
2.2.1. Eating Disorder Diagnosis and Symptomatology
2.2.2. Personality Disorder Assessment
2.2.3. Childhood Trauma
2.2.4. MRI Acquisition and Processing
2.3. Statistical Analysis
3. Results
3.1. Neuropsychological Background Tasks
3.2. Voxel-Based Correlations Between Morphometric and Psychometric Data
4. Discussion
5. Conclusions
Author Contributions
Funding
Institutional Review Board Statement
Informed Consent Statement
Data Availability Statement
Acknowledgments
Conflicts of Interest
Abbreviations
| AIDA | Assessment of Identity Development in Adolescence |
| AMPD | Alternative Model for Personality Disorder |
| AN | Anorexia Nervosa |
| CTQ | Childhood Trauma Questionnaire |
| DSM | Diagnostic and Statistic Manual of Mental Disorders |
| GM | Gray Matter |
| PD | Personality Disorder |
| SCID-II | Structured Clinical Interview for DSM |
| VBM | Voxel-Based Morphometry |
References
- Martinussen, M.; Friborg, O.; Schmierer, P.; Kaiser, S.; Øvergård, K.T.; Neunhoeffer, A.L.; Martinsen, E.W.; Rosenvinge, J.H. The comorbidity of personality disorders in eating disorders: A meta-analysis. Eat. Weight. Disord.-Stud. Anorexia Bulim. Obes. 2017, 22, 201–209. [Google Scholar] [CrossRef]
- Sansone, R.A.; Songer, D.A.; Miller, K.A. Childhood abuse, mental healthcare utilization, self-harm behavior, and multiple psychiatric diagnoses among inpatients with and without a borderline diagnosis. Compr. Psychiatry 2005, 46, 117–120. [Google Scholar] [CrossRef]
- Mulder, R.T. ICD-11 Personality Disorders: Utility and Implications of the New Model. Front. Psychiatry 2021, 12, 655548. [Google Scholar] [CrossRef]
- Voderholzer, U.; Favreau, M.; Schlegl, S.; Hessler-Kaufmann, J.B. Impact of comorbid borderline personality disorder on the outcome of inpatient treatment for anorexia nervosa: A retrospective chart review. Borderline Pers. Disord. Emot. Dysregul. 2021, 8, 8. [Google Scholar] [CrossRef]
- Magallón-Neri, E.; De la Fuente, J.E.; Canalda, G.; Forns, M.; García, R.; González, E.; Lara, A.; Castro-Fornieles, J. Neither too much, nor too little. The dilemma of identifying personality disorders in adolescents patients with self-reports. Psychiatry Res. 2014, 215, 683–686. [Google Scholar] [CrossRef]
- Benzi, I.M.A.; Preti, E.; Di Pierro, R.; Clarkin, J.F.; Madeddu, F. Maladaptive personality traits in psychological distress in adolescence: The moderating role of personality functioning. Personal. Individ. Differ. 2018, 140, 33–40. [Google Scholar] [CrossRef]
- Saccomani, L.; Savoini, M.; Cirrincione, M.; Vercellino, F.; Ravera, G. Long-term outcome of children and adolescents with anorexia nervosa: Study of comorbidity. J. Psychosom Res. 1998, 44, 565–571. [Google Scholar] [CrossRef]
- Cassin, S.E.; von Ranson, K.M. Personality and eating disorders: A decade in review. Clin. Psychol. Rev. 2005, 25, 895–916. [Google Scholar] [CrossRef]
- Jin, X.; Zhong, M.; Yao, S.; Cao, X.; Tan, C.; Gan, J.; Zhu, X.; Yi, J. A Voxel-Based Morphometric MRI Study in Young Adults with Borderline Personality Disorder. PLoS ONE 2016, 11, e0147938. [Google Scholar] [CrossRef]
- Tebartz van Elst, L.; Hesslinger, B.; Thiel, T.; Geiger, E.; Haegele, K.; Lemieux, L.; Lieb, K.; Bohus, M.; Hennig, J.; Ebert, D. Frontolimbic brain abnormalities in patients with borderline personality disorder: A volumetric magnetic resonance imaging study. Biol. Psychiatry 2003, 54, 163–171. [Google Scholar] [CrossRef]
- Lou, J.; Sun, Y.; Cui, Z.; Gong, L. Common and distinct patterns of gray matter alterations in borderline personality disorder and posttraumatic stress disorder: A dual meta-analysis. Neurosci. Lett. 2021, 741, 135376. [Google Scholar] [CrossRef]
- Atmaca, M.; Yildirimb, H.; Ozdemirb, H.; Aydinb, A.; Tezcana, E.; Ozlera, S. Volumetric MRI assessment of brain regions in patients with refractory obsessive-compulsive disorder. Prog. Neuro-Psychopharmacol. Biol. Psychiatry 2006, 30, 1051–1057. [Google Scholar] [CrossRef]
- Gonçalves, O.F.; Sousa, S.; Carvalho, S.; Leite, J.; Ganho, A.; Fernandes-Gonçalves, A.; Pocinho, F.; Carracedo, A.; Sampaio, A. Alterations of gray and white matter morphology in obsessive compulsive disorder. Psicothema 2017, 29, 35–42. [Google Scholar] [CrossRef]
- Wang, X.; Cheng, B.; Luo, Q.; Qiu, L.; Wang, S. Gray Matter Structural Alterations in Social Anxiety Disorder: A Voxel-Based Meta-Analysis. Front. Psychiatry 2018, 9, 449. [Google Scholar] [CrossRef]
- Magallón-Neri, E.; González, E.; Canalda, G.; Forns, M.; De La Fuente, J.E.; Martínez, E.; García, R.; Lara, A.; Vallès, A.; Castro-Fornieles, J. Prevalence and severity of categorical and dimensional personality disorders in adolescents with eating disorders. Eur. Eat. Disord. Rev. 2014, 22, 176–184. [Google Scholar] [CrossRef]
- Sansone, R.A.; Sansone, L.A. Personality pathology and its influence on eating disorders. Innov. Clin. Neurosci. 2011, 8, 14–18. [Google Scholar]
- Kappou, K.; Ntougia, M.; Kourtesi, A.; Panagouli, E.; Vlachopapadopoulou, E.; Michalacos, S.; Gonidakis, F.; Mastorakos, G.; Psaltopoulou, T.; Tsolia, M.; et al. Neuroimaging Findings in Adolescents and Young Adults with Anorexia Nervosa: A Systematic Review. Children 2021, 8, 137. [Google Scholar] [CrossRef]
- Martin Monzon, B.; Henderson, L.A.; Madden, S.; Macefield, V.G.; Touyz, S.; Kohn, M.R.; Clarke, S.; Foroughi, N.; Hay, P. Grey matter volume in adolescents with anorexia nervosa and associated eating disorder symptoms. Eur. J. Neurosci. 2017, 46, 2297–2307. [Google Scholar] [CrossRef]
- Seitz, J.; Herpertz-Dahlmann, B.; Konrad, K. Brain morphological changes in adolescent and adult patients with anorexia nervosa. J. Neural Transm. 2016, 123, 949–959. [Google Scholar] [CrossRef]
- Frank, G.K. Advances from neuroimaging studies in eating disorders. CNS Spectrums 2015, 20, 391–400. [Google Scholar] [CrossRef]
- Bernardoni, F.; King, J.A.; Geisler, D.; Stein, E.; Jaite, C.; Nätsch, D.; Tam, F.I.; Boehm, I.; Seidel, M.; Roessner, V.; et al. Weight restoration therapy rapidly reverses cortical thinning in anorexia nervosa: A longitudinal study. Neuroimage 2016, 130, 214–222. [Google Scholar] [CrossRef]
- Seitz, J.; Bühren, K.; von Polier, G.G.; Heussen, N.; Herpertz-Dahlmann, B.; Konrad, K. Morphological changes in the brain of acutely ill and weight-recovered patients with anorexia nervosa: A meta-analysis and qualitative review. Z. Kinder Jugendpsychiatr. Psychother. 2014, 42, 7–17. [Google Scholar] [CrossRef]
- Stratton, T.; Bahnsen, K.; Geisler, D.; Bernardoni, F.; Gaser, C.; Ehrlich, S.; Walton, E. Transient patterns of advanced brain ageing in female adolescents with anorexia nervosa. Br. J. Psychiatry 2024, 225, 499–505. [Google Scholar] [CrossRef]
- Bahnsen, K.; Bernardoni, F.; King, J.A.; Geisler, D.; Weidner, K.; Roessner, V.; Patel, Y.; Paus, T.; Ehrlich, S. Dynamic Structural Brain Changes in Anorexia Nervosa: A Replication Study, Mega-analysis, and Virtual Histology Approach. J. Am. Acad. Child Adolesc. Psychiatry 2022, 61, 1168–1181. [Google Scholar] [CrossRef]
- Kovoor, J.S.P.; Bracké, K.F.M.; White, T.; Dieleman, G.C. Brain morphology in adolescent girls with first-onset anorexia nervosa. Eur. Child Adolesc. Psychiatry 2025. [Google Scholar] [CrossRef]
- Lenhart, L.; Gander, M.; Steiger, R.; Dabkowska-Mika, A.; Mangesius, S.; Haid-Stecher, N.; Fuchs, M.; Buchheim, A.; Sevecke, K.; Gizewski, E.R. Attachment status is associated with grey matter recovery in adolescent anorexia nervosa: Findings from a longitudinal study. Eur. J. Neurosci. 2022, 55, 1373–1387. [Google Scholar] [CrossRef]
- Simpson, S.; Azam, F.; Brown, S.; Hronis, A.; Brockman, R. The impact of personality disorders and personality traits on psychotherapy treatment outcome of eating disorders: A systematic review. Pers. Ment. Health 2022, 16, 217–234. [Google Scholar] [CrossRef]
- Zimmermann, R.; Steppan, M.; Zimmermann, J.; Oeltjen, L.; Birkhölzer, M.; Schmeck, K.; Goth, K. A DSM-5 AMPD and ICD-11 compatible measure for an early identification of personality disorders in adolescence-LoPF-Q 12-18 latent structure and short form. PLoS ONE 2022, 17, e0269327. [Google Scholar] [CrossRef]
- Magallón-Neri, E.M.; Forns, M.; Canalda, G.; De La Fuente, J.E.; García, R.; González, E.; Lara, A.; Castro-Fornieles, J. Usefulness of the International Personality Disorder Examination Screening Questionnaire for borderline and impulsive personality pathology in adolescents. Compr. Psychiatry 2013, 54, 301–308. [Google Scholar] [CrossRef]
- Pires, R.; Henriques-Calado, J.; Sousa Ferreira, A.; Bach, B.; Paulino, M.; Gama Marques, J.; Ribeiro Moreira, A.; Grácio, J.; Gonçalves, B. The Utility of ICD-11 and DSM-5 Traits for Differentiating Patients with Personality Disorders from Other Clinical Groups. Front. Psychiatry 2021, 12, 633882. [Google Scholar] [CrossRef]
- Wittchen, H.-U.; Zaudig, M.; Fydrich, T. Strukturiertes Klinisches Interview für DSM-IV (SKID); Hogrefe: Göttingen, Germany, 1997. [Google Scholar]
- Petermann, F.; Petermann, U. Hamburg-Wechsler-Intelligenztest für Kinder IV (HAWIK-IV); Huber: Bern, Switzerland, 2008. [Google Scholar]
- Engelhardt, C.; Föcker, M.; Bühren, K.; Dahmen, B.; Becker, K.; Weber, L.; Correll, C.U.; Egberts, K.M.; Ehrlich, S.; Roessner, V.; et al. Age dependency of body mass index distribution in childhood and adolescent inpatients with anorexia nervosa with a focus on DSM-5 and ICD-11 weight criteria and severity specifiers. Eur. Child Adolesc. Psychiatry 2021, 30, 1081–1094. [Google Scholar] [CrossRef]
- Gander, M.; Lenhart, L.; Steiger, R.; Buchheim, A.; Mangesius, S.; Birkl, C.; Haid-Stecher, N.; Fuchs, M.; Libal, A.; Dabkowska-Mika, A.; et al. Attachment Trauma Is Associated with White Matter Fiber Microstructural Alterations in Adolescents with Anorexia Nervosa before and after Exposure to Psychotherapeutic and Nutritional Treatment. Brain Sci. 2023, 13, 798. [Google Scholar] [CrossRef] [PubMed]
- Zanarini, M.C.; Skodol, A.E.; Bender, D.; Dolan, R.; Sanislow, C.; Schaefer, E.; Morey, L.C.; Grilo, C.M.; Shea, M.T.; McGlashan, T.H.; et al. The Collaborative Longitudinal Personality Disorders Study: Reliability of axis I and II diagnoses. J. Pers. Disord. 2000, 14, 291–299. [Google Scholar] [CrossRef]
- Kappel, V.; Thiel, A.; Holzhausen, M.; Jaite, C.; Schneider, N.; Pfeiffer, E.; Lehmkuhl, U.; Salbach-Andrae, H. Eating Disorder Inventory-2 (EDI-2): Normierung an einer stichprobe normalgewichtiger schüler im alter von 10 bis 20 jahren und an patientinnen mit anorexia nervosa. Diagnostica 2012, 58, 127–144. [Google Scholar] [CrossRef]
- First, M.B.; Gibbon, M.; Spitzer, R.L.; Williams, J.B.W.; Bejamin, L.S. Structured Clinical Interview for DSM-IV Axis II Personality Disorers (SCID II); American Psychiatric Press: Washington, DC, USA, 1997. [Google Scholar]
- Goth, K.; Birkhölzer, M.; Schmeck, K. Assessment of personality functioning in adolescents with the LoPF-Q 12-18 self-report questionnaire. J. Personal. Assess. 2018, 100, 680–690. [Google Scholar] [CrossRef]
- Lind, M.; Vanwoerden, S.; Penner, F.; Sharp, C. Inpatient adolescents with borderline personality disorder features: Identity diffusion and narrative incoherence. Pers. Disord 2019, 10, 389–393. [Google Scholar] [CrossRef]
- Klinitzke, G.; Romppel, M.; Häuser, W.; Brähler, E.; Glaesmer, H. The German Version of the Childhood Trauma Questionnaire (CTQ): Psychometric characteristics in a representative sample of the general population. Psychother. Psychosom. Med. Psychol. 2012, 62, 47–51. [Google Scholar] [CrossRef]
- Ashburner, J.; Friston, K.J. Voxel-based morphometry--the methods. Neuroimage 2000, 11, 805–821. [Google Scholar] [CrossRef]
- Good, C.D.; Johnsrude, I.S.; Ashburner, J.; Henson, R.N.; Friston, K.J.; Frackowiak, R.S. A voxel-based morphometric study of ageing in 465 normal adult human brains. Neuroimage 2001, 14, 21–36. [Google Scholar] [CrossRef]
- Ashburner, J.; Friston, K.J. Unified segmentation. Neuroimage 2005, 26, 839–851. [Google Scholar] [CrossRef]
- Ashburner, J. A fast diffeomorphic image registration algorithm. Neuroimage 2007, 38, 95–113. [Google Scholar] [CrossRef] [PubMed]
- Gaser, C.; Dahnke, R.; Thompson, P.M.; Kurth, F.; Luders, E. The Alzheimer’s Disease Neuroimaging Initiative. CAT: A computational anatomy toolbox for the analysis of structural MRI data. Gigascience 2024, 13, giae049. [Google Scholar] [CrossRef] [PubMed]
- Buchheim, A.; Erk, S.; George, C.; Kächele, H.; Kircher, T.; Martius, P.; Pokorny, D.; Ruchsow, M.; Spitzer, M.; Walter, H. Neural correlates of attachment trauma in borderline personality disorder: A functional magnetic resonance imaging study. Psychiatry Res. Neuroimaging 2008, 163, 223–235. [Google Scholar] [CrossRef] [PubMed]
- Faymonville, M.E.; Laureys, S.; Degueldre, C.; DelFiore, G.; Luxen, A.; Franck, G.; Lamy, M.; Maquet, P. Neural mechanisms of antinociceptive effects of hypnosis. Anesthesiology 2000, 92, 1257–1267. [Google Scholar] [CrossRef]
- Berlucchi, G.; Aglioti, S. The body in the brain: Neural bases of corporeal awareness. Trends Neurosci. 1997, 20, 560–564. [Google Scholar] [CrossRef]
- Vogt, B.A.; Laureys, S. Posterior cingulate, precuneal and retrosplenial cortices: Cytology and components of the neural network correlates of consciousness. Prog. Brain Res. 2005, 150, 205–217. [Google Scholar] [CrossRef]
- EIrle, E.; Lange, C.; Weniger, G.; Sachsse, U. Size abnormalities of the superior parietal cortices are related to dissociation in borderline personality disorder. Psychiatry Res. Neuroimaging 2007, 156, 139–149. [Google Scholar] [CrossRef]
- von Schwanenflug, N.; Müller, D.K.; King, J.A.; Ritschel, F.; Bernardoni, F.; Mohammadi, S.; Geisler, D.; Roessner, V.; Biemann, R.; Marxen, M.; et al. Dynamic changes in white matter microstructure in anorexia nervosa: Findings from a longitudinal study. Psychol. Med. 2019, 49, 1555–1564. [Google Scholar] [CrossRef]
- Langerbeck, M.; Baggio, T.; Messina, I.; Bhat, S.; Grecucci, A. Borderline shades: Morphometric features predict borderline personality traits but not histrionic traits. Neuroimage Clin. 2023, 40, 103530. [Google Scholar] [CrossRef]
- Xu, T.; Cullen, K.R.; Mueller, B.; Schreiner, M.W.; Lim, K.O.; Schulz, S.C.; Parhi, K.K. Network analysis of functional brain connectivity in borderline personality disorder using resting-state fMRI. Neuroimage Clin. 2016, 11, 302–315. [Google Scholar] [CrossRef]
- Atmaca, M.; Korucu, T.; Tabara, M.F.; Yildirim, H.; Kılıç, M.C. Volumetric MRI study of orbito-frontal cortex and thalamus in obsessive-compulsive personality disorder. J. Clin. Neurosci. 2019, 64, 89–93. [Google Scholar] [CrossRef] [PubMed]
- Wan, X.; Zhang, P.; Jiang, Y.; Liu, G.; Ma, L.; Zhang, J. Common and distinct neural patterns of gray matter alterations in adults with anorexia nervosa and obsessive-compulsive disorder. Eur. Arch. Psychiatry Clin. Neurosci. 2025, 12. [Google Scholar] [CrossRef]
- Colizzi, M.; Comacchio, C.; Garzitto, M.; Bucciarelli, L.; Candolo, A.; Cesco, M.; Croccia, V.; Ferreghini, A.; Martinelli, R.; Nicotra, A.; et al. Clinical heterogeneity of feeding and eating disorders: Using personality psychopathology to differentiate “simplex” and “complex” phenotypes. BMC Psychiatry 2024, 24, 888. [Google Scholar] [CrossRef] [PubMed]
- Speciani, M.; Barak, Y.; Damanhuri, H.; De Ronchi, D.; Panariello, F.; Atti, A.R. A Perspective on Chronic and Long-Lasting Anorexia Nervosa. Front. Psychiatry 2021, 12, 756669. [Google Scholar] [CrossRef]
- Nickel, K.; Joos, A.; Tebartz van Elst, L.; Matthis, J.; Holovics, L.; Endres, D.; Zeeck, A.; Hartmann, A.; Tüscher, O.; Maier, S. Recovery of cortical volume and thickness after remission from acute anorexia nervosa. Int. J. Eat. Disord. 2018, 51, 1056–1069. [Google Scholar] [CrossRef]
- Leehr, E.J.; Opel, N.; Werner, J.; Redlich, R.; Repple, J.; Grotegerd, D.; Dohm, K.; Goltermann, J.; Böhnlein, J.; Amare, A.T.; et al. Evidence for a sex-specific contribution of polygenic load for anorexia nervosa to body weight and prefrontal brain structure in nonclinical individuals. Neuropsychopharmacology 2019, 44, 2212–2219. [Google Scholar] [CrossRef]
- Zhang, A.; Leow, A.; Zhan, L.; GadElkarim, J.; Moody, T.; Khalsa, S.; Strober, M.; Feusner, J.D. Brain connectome modularity in weight-restored anorexia nervosa and body dysmorphic disorder. Psychol. Med. 2016, 46, 2785–2797. [Google Scholar] [CrossRef][Green Version]
- Beadle, J.N.; Paradiso, S.; Salerno, A.; McCormick, L.M. Alexithymia, emotional empathy, and self-regulation in anorexia nervosa. Ann. Clin. Psychiatry 2013, 25, 107–120. [Google Scholar]
- Bullmore, E.; Sporns, O. Complex brain networks: Graph theoretical analysis of structural and functional systems. Nat. Rev. Neurosci. 2009, 10, 186–198. [Google Scholar] [CrossRef]
- Fortea, L.; Ortuño, M.; De Prisco, M.; Oliva, V.; Albajes-Eizagirre, A.; Fortea, A.; Madero, S.; Solanes, A.; Vilajosana, E.; Yao, Y.; et al. Atlas of Gray Matter Volume Differences Across Psychiatric Conditions: A Systematic Review with a Novel Meta-Analysis That Considers Co-Occurring Disorders. Biol. Psychiatry 2025, 98, 76–90. [Google Scholar] [CrossRef]


| Task | M | SD | Min | Max | Score Range |
|---|---|---|---|---|---|
| SCID-II (total) | 120.4 | 21.3 | 88 | 173 | 0–224 |
| Avoidant | 11.4 | 2.7 | 7 | 16 | 0–16 |
| Dependent | 9.9 | 2.1 | 8 | 15 | 0–16 |
| Obsessive–compulsive | 11.6 | 3.7 | 8 | 20 | 0–20 |
| Paranoid | 8.1 | 1.4 | 7 | 11 | 0–12 |
| Schizotypal | 9.7 | 1.3 | 9 | 14 | 0–15 |
| Schizoid | 7.4 | 1 | 7 | 11 | 0–12 |
| Histrionic | 8.6 | 0.9 | 8 | 11 | 0–12 |
| Narcissistic | 9.9 | 2.2 | 9 | 18 | 0–20 |
| Borderline | 11.9 | 4.3 | 9 | 27 | 0–30 |
| Antisocial | 15.4 | 1.6 | 15 | 22 | 0–24 |
| CTQ | 38.2 | 20 | 25 | 112 | 25–125 |
| AIDA | 58.7 | 9.7 | 44 | 80 | 33–123 |
| EDI | 296.5 | 57.1 | 220 | 425 | 0–546 |
| Cluster Size (Number of Significant Voxels) | MNI Coordinates | t Value | p Value Corrected at Cluster Level (FWE) | Height Threshold | |||
|---|---|---|---|---|---|---|---|
| x | y | z | |||||
| Significant correlations between SCID-II and GM at time point 1 (baseline) | |||||||
| SCID total | |||||||
| Mid-cingulate | 770 | 5 | 18 | 36 | 5.2 | 0.003 | 0.01 |
| Left superior parieto-occipital | 715 | −26 | −69 | 39 | 6.3 | 0.005 | |
| Histrionic | |||||||
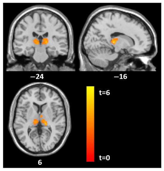
| Thalamus | 845 | −17 | −26 | 5 | 6.5 | 0.002 | 0.01 |
| 666 | 15 | −20 | 9 | 4.7 | 0.009 | ||
| Left superior parieto-occipital | 905 | −30 | −66 | 54 | 5.9 | 0.001 | |
| Borderline | |||||||
| Thalamus | 1149 | 0 | −21 | 9 | 4.8 | <0.001 | 0.01 |
| −5 | −11 | 12 | 4.3 | ||||
| Antisocial | |||||||
| Thalamus | 1227 | −9 | −21 | 5 | 5.1 | <0.001 | 0.01 |
| 14 | −20 | 6 | 4.4 | ||||
| Significant correlations between SCID-II and GM at time point 2 (follow-up) | |||||||
| SCID total | |||||||
| Mid-cingulate | 1062 | 6 | −18 | 48 | 6.1 | <0.001 | 0.01 |
| −9 | 2 | 51 | 4 | ||||
| Left superior parieto-occipital | 657 | −27 | −60 | 48 | 4.2 | 0.01 | 0.01 |
| Histrionic | |||||||
| Mid-cingulate | 1111 | 3 | −18 | 44 | 8.8 | <0.001 | 0.01 |
| −3 | −6 | 48 | 6.1 | ||||
| Thalamus | 6478 | −5 | −11 | 15 | 7.1 | 0.001 | |
| Left superior parieto-occipital | 1165 | −30 | −68 | 54 | 7.7 | <0.001 | |
| Right angular gyrus | 909 | 42 | −74 | 36 | 6.2 | 0.001 | |
| Borderline | |||||||
| Right mid-cingulate | 570 | 14 | −21 | 45 | 5.4 | 0.027 | 0.01 |
| Antisocial | |||||||
| Right mid-cingulate | 501 | 5 | −20 | 42 | 4.4 | 0.05 | 0.01 |
Disclaimer/Publisher’s Note: The statements, opinions and data contained in all publications are solely those of the individual author(s) and contributor(s) and not of MDPI and/or the editor(s). MDPI and/or the editor(s) disclaim responsibility for any injury to people or property resulting from any ideas, methods, instructions or products referred to in the content. |
© 2025 by the authors. Licensee MDPI, Basel, Switzerland. This article is an open access article distributed under the terms and conditions of the Creative Commons Attribution (CC BY) license (https://creativecommons.org/licenses/by/4.0/).
Share and Cite
Lenhart, L.; Gander, M.; Steiger, R.; Dabkowska-Mika, A.; Galijasevic, M.; Mangesius, S.; Fuchs, M.; Sevecke, K.; Gizewski, E.R. Mapping the Mind: Gray Matter Signatures of Personality Pathology in Female Adolescent Anorexia Nervosa Persist Through Treatment. J. Clin. Med. 2025, 14, 5438. https://doi.org/10.3390/jcm14155438
Lenhart L, Gander M, Steiger R, Dabkowska-Mika A, Galijasevic M, Mangesius S, Fuchs M, Sevecke K, Gizewski ER. Mapping the Mind: Gray Matter Signatures of Personality Pathology in Female Adolescent Anorexia Nervosa Persist Through Treatment. Journal of Clinical Medicine. 2025; 14(15):5438. https://doi.org/10.3390/jcm14155438
Chicago/Turabian StyleLenhart, Lukas, Manuela Gander, Ruth Steiger, Agnieszka Dabkowska-Mika, Malik Galijasevic, Stephanie Mangesius, Martin Fuchs, Kathrin Sevecke, and Elke R. Gizewski. 2025. "Mapping the Mind: Gray Matter Signatures of Personality Pathology in Female Adolescent Anorexia Nervosa Persist Through Treatment" Journal of Clinical Medicine 14, no. 15: 5438. https://doi.org/10.3390/jcm14155438
APA StyleLenhart, L., Gander, M., Steiger, R., Dabkowska-Mika, A., Galijasevic, M., Mangesius, S., Fuchs, M., Sevecke, K., & Gizewski, E. R. (2025). Mapping the Mind: Gray Matter Signatures of Personality Pathology in Female Adolescent Anorexia Nervosa Persist Through Treatment. Journal of Clinical Medicine, 14(15), 5438. https://doi.org/10.3390/jcm14155438

