Co-Occurrence of Anti-Synthetase Syndrome and Sjögren Disease: A Case-Based Review
Abstract
1. Introduction
2. Methods
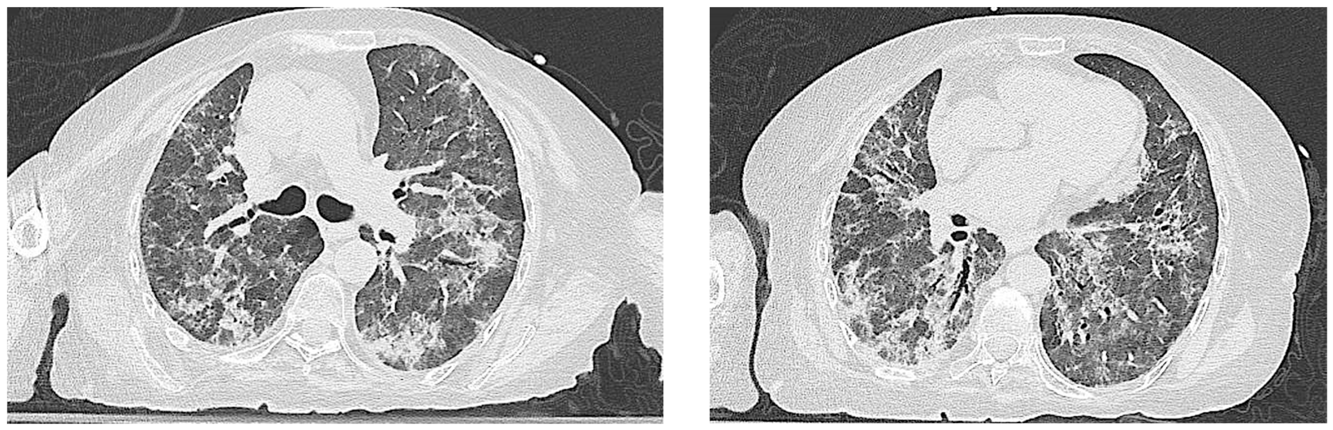
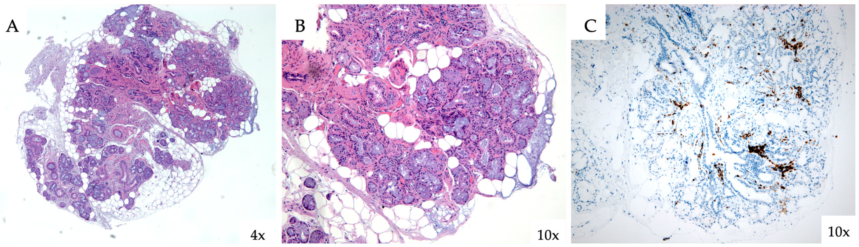
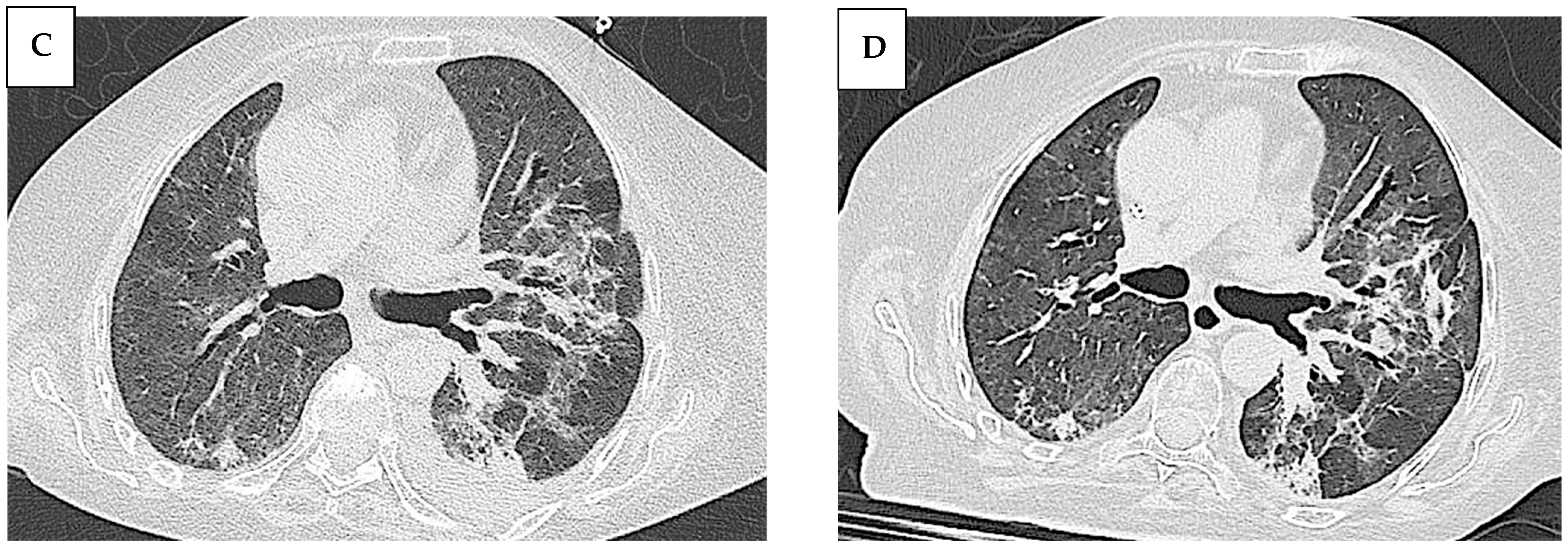
3. Case Presentation
4. Literature Review
5. Discussion
6. Conclusions
Author Contributions
Funding
Institutional Review Board Statement
Informed Consent Statement
Data Availability Statement
Acknowledgments
Conflicts of Interest
References
- Marguerie, C.; Bunn, C.C.; Beynon, H.L.C.; Bernstein, R.M.; Hughes, J.M.B.; So, A.K.; Walport, M.J. Polymyositis, Pulmonary Fibrosis and Autoantibodies to Aminoacyl-tRNA Synthetase Enzymes. QJM Int. J. Med. 1990, 77, 1019–1038. [Google Scholar] [CrossRef]
- Marco, J.L.; Collins, B.F. Clinical manifestations and treatment of antisynthetase syndrome. Best Pract. Res. Clin. Rheumatol. 2020, 34, 101503. [Google Scholar] [CrossRef] [PubMed]
- Nuño-Nuño, L.; Joven, B.E.; Carreira, P.E.; Maldonado-Romero, V.; Larena-Grijalba, C.; Llorente Cubas, I.; Tomero, E.; Barbadillo-Mateos, M.C.; García de la Peña Lefebvre, P.; Ruiz-Gutiérrez, L.; et al. Overlap myositis, a distinct entity beyond primary inflammatory myositis: A retrospective analysis of a large cohort from the REMICAM registry. Int. J. Rheum. Dis. 2019, 22, 1393–1401. [Google Scholar] [CrossRef] [PubMed]
- Yamasaki, Y.; Yamada, H.; Nozaki, T.; Akaogi, J.; Nichols, C.; Lyons, R.; Loy, A.C.; Chan, E.K.L.; Reeves, W.H.; Satoh, M. Unusually high frequency of autoantibodies to PL-7 associated with milder muscle disease in Japanese patients with polymyositis/dermatomyositis. Arthritis Rheum. 2006, 54, 2004–2009. [Google Scholar] [CrossRef]
- Nocturne, G.; Mariette, X. Sjögren Syndrome-associated lymphomas: An update on pathogenesis and management. Br. J. Haematol. 2015, 168, 317–327. [Google Scholar] [CrossRef]
- Colafrancesco, S.; Priori, R.; Gattamelata, A.; Picarelli, G.; Minniti, A.; Brancatisano, F.; D’Amati, G.; Giordano, C.; Cerbelli, B.; Maset, M.; et al. Myositis in primary Sjögren’s syndrome: Data from a multicentre cohort. Clin. Exp. Rheumatol. 2015, 33, 457–464. [Google Scholar]
- Shiboski, C.H.; Shiboski, S.C.; Seror, R.; Criswell, L.A.; Labetoulle, M.; Lietman, T.M.; Rasmussen, A.; Scofield, H.; Vitali, C.; Bowman, S.J.; et al. 2016 American College of Rheumatology/European League Against Rheumatism classification criteria for primary Sjögren’s syndrome. Ann. Rheum. Dis. 2017, 76, 9–16. [Google Scholar] [CrossRef]
- Solomon, J.; Swigris, J.J.; Brown, K.K. Doença Pulmonar Intersticial Relacionada a Miosite e a Síndrome Antissintetase. J. Bras. Pneumol. 2011, 37, 100–109. [Google Scholar] [CrossRef]
- Connors, G.R.; Christopher-Stine, L.; Oddis, C.V.; Danoff, S.K. Interstitial Lung Disease Associated with the Idiopathic Inflammatory Myopathies. Chest 2010, 138, 1464–1474. [Google Scholar] [CrossRef] [PubMed]
- Lega, J.-C.; Reynaud, Q.; Belot, A.; Fabien, N.; Durieu, I.; Cottin, V. Idiopathic Inflammatory Myopathies and the Lung. Eur. Respir. Rev. 2015, 24, 216–238. [Google Scholar] [CrossRef]
- Zanframundo, G.; Faghihi-Kashani, S.; Scirè, C.A.; Bonella, F.; Corte, T.J.; Doyle, T.J.; Fiorentino, D.; Gonzalez-Gay, M.A.; Hudson, M.; Kuwana, M.; et al. Defining anti-synthetase syndrome: A systematic literature review. Clin. Exp. Rheumatol. 2022, 40, 309–319. [Google Scholar] [CrossRef]
- Zanframundo, G. The Classification Criteria for Anti-Synthetase Syndrome (CLASS Project). In Proceedings of the ACR Convergence, Washington, DC, USA, 14–19 November 2024; Available online: https://acrabstracts.org/abstract/the-classification-criteria-for-anti-synthetase-syndrome-class-project/ (accessed on 18 July 2025).
- Zanframundo, G.; Dourado, E.; Bauer-Ventura, I.; Faghihi-Kashani, S.; Yoshida, A.; Loganathan, A.; Rivero-Gallegos, D.; Lim, D.; Bozán, F.; Sambataro, G.; et al. The Role of Multicriteria Decision Analysis in the Development of Candidate Classification Criteria for Antisynthetase Syndrome: Analysis from the CLASS Project. Ann. Rheum. Dis. 2025, 84, 1207–1220. [Google Scholar] [CrossRef]
- Hervier, B.; Lambert, M.; Hachulla, E.; Musset, L.; Benveniste, O.; Piette, J.-C.; Amoura, Z.; Costedoat-Chalumeau, N. Anti-synthetase syndrome positive for anti-isoleucyl-tRNA synthetase antibodies: An unusual case overlapping with systemic sclerosis and Sjogren’s syndrome. Rheumatol. Oxf. Engl. 2011, 50, 1175–1176. [Google Scholar] [CrossRef][Green Version]
- Yoshikawa, M.; Muro, Y.; Ogawa-Momohara, M.; Ito, S.; Takeichi, T.; Akiyama, M. A case with overlapping features of IgG4-related autoimmune pancreatitis, Sjögren’s syndrome and anti-aminoacyl-tRNA synthetase syndrome. Mod. Rheumatol. Case Rep. 2021, 5, 82–86. [Google Scholar] [CrossRef]
- Wang, G.; Zhuo, N.; Tian, F.; Wen, Z. Overlap between Sjogren’s syndrome and anti-synthetase syndrome: Association or coincidence? Arch. Med. Sci. AMS 2022, 18, 820–821. [Google Scholar] [CrossRef] [PubMed]
- Mizuhashi, Y.; Hirata, S.; Sakata, K.; Miyagawa, E.; Iwakura, M.; Murai, M.; Sasai, T.; Matsuoka, M. Overlap syndrome involving anti-OJ antibody-positive polymyositis, systemic lupus erythematosus and Sjögren’s syndrome: A case report and literature review. Mod. Rheumatol. Case Rep. 2023, 7, 399–403. [Google Scholar] [CrossRef] [PubMed]
- Noguchi, E.; Uruha, A.; Suzuki, S.; Hamanaka, K.; Ohnuki, Y.; Tsugawa, J.; Watanabe, Y.; Nakahara, J.; Shiina, T.; Suzuki, N.; et al. Skeletal Muscle Involvement in Antisynthetase Syndrome. JAMA Neurol. 2017, 74, 992. [Google Scholar] [CrossRef] [PubMed]
- Nayebirad, S.; Mohamadi, A.; Yousefi-Koma, H.; Javadi, M.; Farahmand, K.; Atef-Yekta, R.; Tamartash, Z.; Jameie, M.; Mohammadzadegan, A.M.; Kavosi, H. Association of anti-Ro52 autoantibody with interstitial lung disease in autoimmune diseases: A systematic review and meta-analysis. BMJ Open Respir. Res. 2023, 10, e002076. [Google Scholar] [CrossRef]
- Gong, X.; He, S.; Cai, P. Roles of TRIM21/Ro52 in connective tissue disease-associated interstitial lung diseases. Front. Immunol. 2024, 15, 1435525. [Google Scholar] [CrossRef]
- Constantopoulos, S.H.; Papadimitriou, C.S.; Moutsopoulos, H.M. Respiratory Manifestations in Primary Sjögren’s Syndrome. Chest 1985, 88, 226–229. [Google Scholar] [CrossRef]
- Faghihi-Kashani, S.; Yoshida, A.; Bozan, F.; Zanframundo, G.; Rozza, D.; Loganathan, A.; Dourado, E.; Sambataro, G.; Bauer-Ventura, I.; Bae, S.S.; et al. Clinical Characteristics of Anti-Synthetase Syndrome: Analysis from the Classification Criteria for Anti-Synthetase Syndrome Project. Arthritis Rheumatol. 2025, 77, 477–489. [Google Scholar] [CrossRef]
- Dong, X.; Zhou, J.; Guo, X.; Li, Y.; Xu, Y.; Fu, Q.; Lu, Y.; Zheng, Y. A retrospective analysis of distinguishing features of chest HRCT and clinical manifestation in primary Sjögren’s syndrome-related interstitial lung disease in a Chinese population. Clin. Rheumatol. 2018, 37, 2981–2988. [Google Scholar] [CrossRef]
- Shi, J.; Li, S.; Yang, H.; Zhang, Y.; Peng, Q.; Lu, X.; Wang, G. Clinical Profiles and Prognosis of Patients with Distinct Antisynthetase Autoantibodies. J. Rheumatol. 2017, 44, 1051–1057. [Google Scholar] [CrossRef]
- Sawal, N.; Mukhopadhyay, S.; Rayancha, S.; Moore, A.; Garcha, P.; Kumar, A.; Kaul, V. A narrative review of interstitial lung disease in anti-synthetase syndrome: A clinical approach. J. Thorac. Dis. 2021, 13, 5556–5571. [Google Scholar] [CrossRef] [PubMed]
- Witt, L.J.; Curran, J.J.; Strek, M.E. The Diagnosis and Treatment of Antisynthetase Syndrome. Clin. Pulm. Med. 2016, 23, 218–226. [Google Scholar] [CrossRef] [PubMed]
- Kouranloo, K.; Dey, M.; Elwell, H.; Yioe, V.; Spencer, L.G.; Cotton, C.V. Management and outcomes of interstitial lung disease associated with anti-synthetase syndrome: A systematic literature review. Rheumatology 2025, 64, 45–55. [Google Scholar] [CrossRef]
- Müller, F.; Boeltz, S.; Knitza, J.; Aigner, M.; Völkl, S.; Kharboutli, S.; Reimann, H.; Taubmann, J.; Kretschmann, S.; Rösler, W.; et al. CD19-targeted CAR T cells in refractory antisynthetase syndrome. Lancet 2023, 401, 815–818. [Google Scholar] [CrossRef]
- Pecher, A.-C.; Hensen, L.; Klein, R.; Schairer, R.; Lutz, K.; Atar, D.; Seitz, C.; Stanger, A.; Schneider, J.; Braun, C.; et al. CD19-Targeting CAR T Cells for Myositis and Interstitial Lung Disease Associated with Antisynthetase Syndrome. JAMA 2023, 329, 2154–2162. [Google Scholar] [CrossRef]
- Flaherty, K.R.; Wells, A.U.; Cottin, V.; Devaraj, A.; Walsh, S.L.F.; Inoue, Y.; Richeldi, L.; Kolb, M.; Tetzlaff, K.; Stowasser, S.; et al. Nintedanib in Progressive Fibrosing Interstitial Lung Diseases. N. Engl. J. Med. 2019, 381, 1718–1727. [Google Scholar] [CrossRef] [PubMed]






| Case Report | Age at Diagnosis | Gender | Overlap Syndrome | Antibodies | Clinical Presentation | ILD | Treatment | Outcome |
|---|---|---|---|---|---|---|---|---|
| Colafrancesco S. et al. (2015) [6] | 42 | female | - ASyS - SD | - ANA (pattern not reported) - anti Ro/SSA - anti La/SSB - anti JO1 | - Raynaud Phenomenon: not reported - Arthralgia: not reported - Muscle weakness: yes - Muscle enzyme elevation: yes - Dyspnea: none | None | - Mycophenolate mofetil (2 g/die) - CyA (dosage not specified) - RTX 1 g × 2 doses, 2 weeks apart, every 6 months (5 cycles in total) | Excellent therapeutic response with sustained remission following RTX |
| 53 | male | - ASyS - SD | - ANA (speckled and nucleolar 1/2560) - anti Ro/SSA - anti La/SSB - anti OJ | - Raynaud Phenomenon: not reported - Arthralgia: not reported - Muscle weakness: yes - Muscle enzyme elevation: yes - Dyspnea: yes | Not reported | - Pulse of steroids (dosage not specified) - Mycophenolate mofetil (2 g/die) | No data available on the long-term outcome | |
| Hervier B. et al. (2011) [14] | 21 | female | - ASyS - Systemic sclerosis - SD | - ANA (speckled and nucleolar 1/2560) - anti Ro/SSA - anti La/SSB - anti OJ | - Raynaud Phenomenon: yes - Arthralgia: yes - Muscle weakness: yes - Muscle enzyme elevation: yes - Dyspnea: yes | UIP | - Prednisolone (1 mg/kg/day) - Six pulses of CYC 0.7 g/m2/monthly - AZA (2 mg/kg/day) | Improvements in muscular and pulmonary function (over 41 months of follow-up) |
| Yoshikawa M. et al. (2020) [15] | 55 | female | - ASyS - SD - IgG4-related disease | - anti Ro/SSA - anti PL-7 - anti OJ - high serum level of IgG4 | - Raynaud Phenomenon: no - Arthralgia: no - Muscle weakness: yes - Muscle enzyme elevation: yes - Dyspnea: yes | UIP | - Prednisolone (60 mg/day) - CyA (125 mg/day) - Two courses of steroid pulse in combination with intravenous immunoglobuline on acute phase | Relief of muscle involvement (no data available on the long-term outcome) |
| Wang G. et al. (2022) [16] | 71 | female | - ASyS - SD | - ANA (1/320) - anti Ro/SSA - anti OJ | - Raynaud Phenomenon: yes - Arthralgia: no - Muscle weakness: no - Muscle enzyme elevation: not specified - Dyspnea: yes | NSIP | - Methylprednisolone 20 mg/die - CYC 0.4 g/week -Tripterygium wilfordii for 3 weeks | Improvements in pulmonary function (no data available on the long-term outcome) |
| Mizuhashi Y. et al. (2023) [17] | 33 | female | - ASyS - SD - SLE | - ANA (homogeneous 1:80, speckled 1:640, and cytoplasmic pattern positive) - anti ssDNA - anti Ro/SSA - anti La/SSB - anti OJ | - Raynaud Phenomenon: no - Arthralgia: no - Muscle weakness: yes - Muscle enzyme elevation: yes - Dyspnea: yes | bilateral diffuse cystic changes with diffuse interstitial pneumonia | - Prednisolone (1 mg/kg/day) - AZA (not specified dosage) | Improvement in muscles involvement (12 months of follow-up) |
| Our patient | 68 | female | - ASyS - SD | - ANA (anti-Golgi pattern 1:1280) - anti Ro/SSA - anti PL-7 | - Raynaud Phenomenon: no - Arthralgia: no - Muscle weakness: no - Muscle enzyme elevation: no - Dyspnea: yes | NSIP | - Methylprednisolone bolus therapy (1 g/day for 3 days) - IVIG therapy (400 mg/Kg per day for 5 days) - Mycophenolate mofetil (3 g/day) - Nintedanib (300 mg/day) | The patient passed away 3 months after the initiation of immunosuppressive therapy |
Disclaimer/Publisher’s Note: The statements, opinions and data contained in all publications are solely those of the individual author(s) and contributor(s) and not of MDPI and/or the editor(s). MDPI and/or the editor(s) disclaim responsibility for any injury to people or property resulting from any ideas, methods, instructions or products referred to in the content. |
© 2025 by the authors. Licensee MDPI, Basel, Switzerland. This article is an open access article distributed under the terms and conditions of the Creative Commons Attribution (CC BY) license (https://creativecommons.org/licenses/by/4.0/).
Share and Cite
Pilato, A.; D’Avanzo, G.; Di Nunzio, F.; Marino, A.; Gallo, A.; Genovali, I.; Di Corcia, L.P.; Taffon, C.; Perrone, G.; Liakouli, V.; et al. Co-Occurrence of Anti-Synthetase Syndrome and Sjögren Disease: A Case-Based Review. J. Clin. Med. 2025, 14, 5395. https://doi.org/10.3390/jcm14155395
Pilato A, D’Avanzo G, Di Nunzio F, Marino A, Gallo A, Genovali I, Di Corcia LP, Taffon C, Perrone G, Liakouli V, et al. Co-Occurrence of Anti-Synthetase Syndrome and Sjögren Disease: A Case-Based Review. Journal of Clinical Medicine. 2025; 14(15):5395. https://doi.org/10.3390/jcm14155395
Chicago/Turabian StylePilato, Andrea, Giorgio D’Avanzo, Francesca Di Nunzio, Annalisa Marino, Alessia Gallo, Irene Genovali, Letizia Pia Di Corcia, Chiara Taffon, Giuseppe Perrone, Vasiliki Liakouli, and et al. 2025. "Co-Occurrence of Anti-Synthetase Syndrome and Sjögren Disease: A Case-Based Review" Journal of Clinical Medicine 14, no. 15: 5395. https://doi.org/10.3390/jcm14155395
APA StylePilato, A., D’Avanzo, G., Di Nunzio, F., Marino, A., Gallo, A., Genovali, I., Di Corcia, L. P., Taffon, C., Perrone, G., Liakouli, V., Navarini, L., Giacomelli, R., Berardicurti, O., & Antonelli Incalzi, R. (2025). Co-Occurrence of Anti-Synthetase Syndrome and Sjögren Disease: A Case-Based Review. Journal of Clinical Medicine, 14(15), 5395. https://doi.org/10.3390/jcm14155395

