Infectious Proctitis Mimicking Advanced Rectal Cancer: A Case Report and Update on the Differential Diagnosis of Rectal Ulcerations
Abstract
1. Introduction
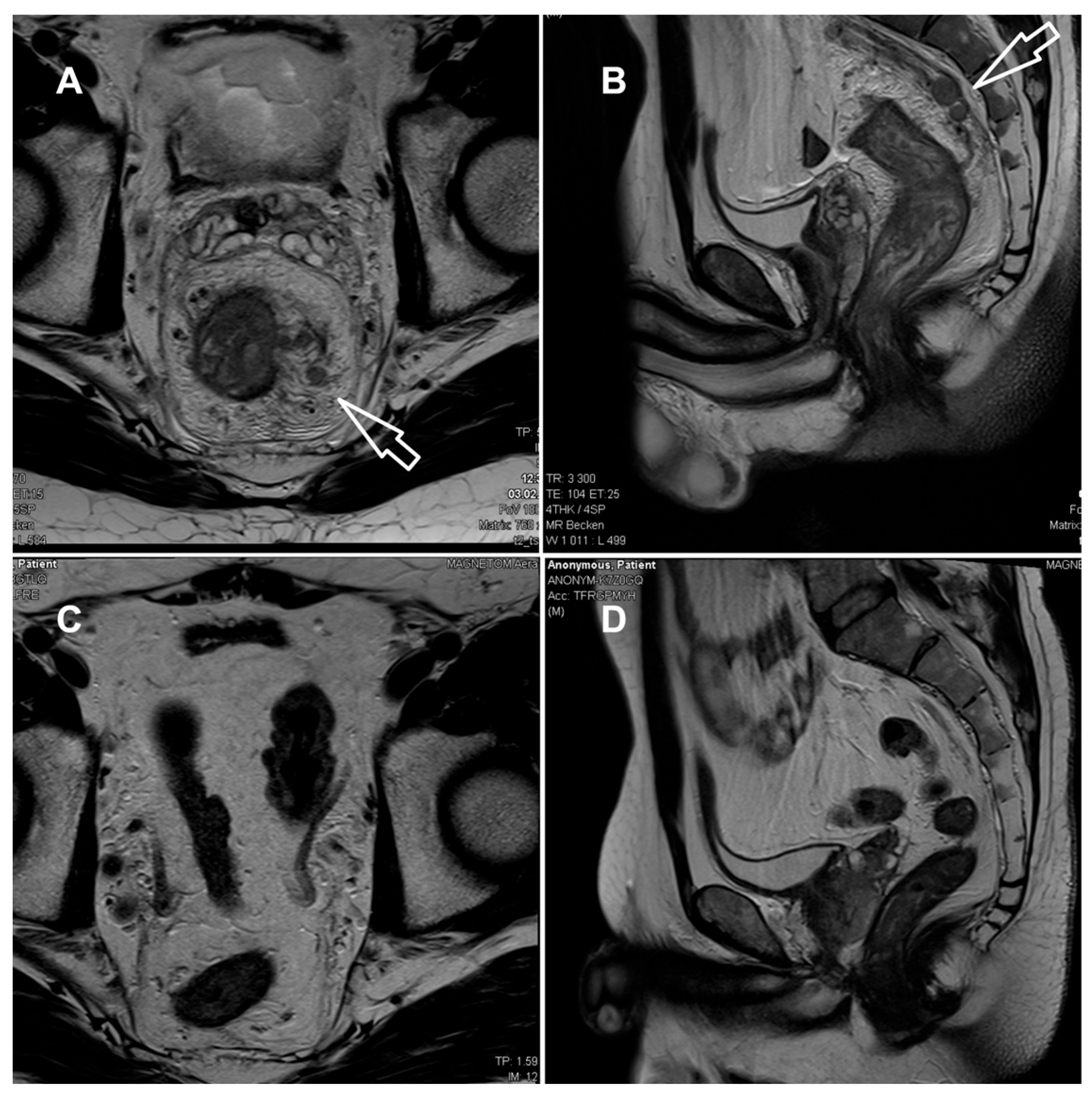
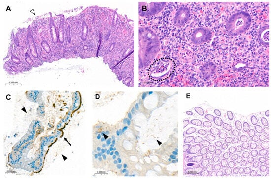
2. Case Presentation
3. Discussion
4. Conclusions
Author Contributions
Funding
Institutional Review Board Statement
Informed Consent Statement
Data Availability Statement
Conflicts of Interest
References
- Struyve, M.; Meersseman, W.; Van Moerkercke, W. Primary syphilitic proctitis: Case report and literature review. Acta Gastroenterol. Belg. 2018, 81, 430–432. [Google Scholar] [PubMed]
- de Vries, H.J.C.; Nori, A.V.; Kiellberg Larsen, H.; Kreuter, A.; Padovese, V.; Pallawela, S.; Vall-Mayans, M.; Ross, J. 2021 European Guideline on the management of proctitis, proctocolitis and enteritis caused by sexually transmissible pathogens. J. Eur. Acad. Dermatol. Venereol. 2021, 7, 1434–1443. [Google Scholar] [CrossRef] [PubMed]
- Zheng, Y.; Yu, Q.; Lin, Y.; Zhou, Y.; Lan, L.; Yang, S.; Wu, J. Global burden and trends of sexually transmitted infections from 1990 to 2019: An observational trend study. Lancet Infect. Dis. 2022, 22, 541–551. [Google Scholar] [CrossRef] [PubMed]
- Sinka, K. The global burden of sexually transmitted infections. Clin. Dermatol. 2024, 42, 110–118. [Google Scholar] [CrossRef] [PubMed]
- Refugio, O.N.; Klausner, J.D. Syphilis incidence in men who have sex with men with human immunodeficiency virus comorbidity and the importance of integrating sexually transmitted infection prevention into HIV care. Expert. Rev. Anti Infect. Ther. 2018, 16, 321–331. [Google Scholar] [CrossRef] [PubMed]
- Tsuboi, M.; Evans, J.; Davies, E.P.; Rowley, J.; Korenromp, E.L.; Clayton, T.; Taylor, M.M.; Mabey, D.; Chico, R.M. Prevalence of syphilis among men who have sex with men: A global systematic review and meta-analysis from 2000–20. Lancet Glob. Health 2021, 9, e1110–e1118. [Google Scholar] [CrossRef] [PubMed]
- Su, R.; Liu, Y.; Shan, D.; Li, P.; Ge, L.; Li, D. Prevalence of HIV/syphilis co-infection among men who have sex with men in China: A systematic review and meta-analysis. BMC Public Health 2025, 25, 1297. [Google Scholar] [CrossRef] [PubMed]
- Sousa, M.; Pinho, R.; Rodrigues, A. Infectious proctitis due to syphilis and chlamydia: An exuberant presentation. Rev. Esp. Enferm. Dig. 2019, 111, 813–814. [Google Scholar] [CrossRef] [PubMed]
- Coelho, R.; Ribeiro, T.; Abreu, N.; Gonçalves, R.; Macedo, G. Infectious proctitis: What every gastroenterologist needs to know. Ann. Gastroenterol. 2023, 36, 275–286. [Google Scholar] [CrossRef] [PubMed]
- Hoover, K.W.; Butler, M.; Workowski, K.; Carpio, F.; Follansbee, S.; Gratzer, B.; Hare, B.; Johnston, B.; Theodore, J.L.; Wohlfeiler, M.; et al. STD screening of HIV-infected MSM in HIV clinics. Sex. Transm. Dis. 2010, 37, 771–776. [Google Scholar] [CrossRef] [PubMed]
- Watson, R.J.; Collibee, C.; Maksut, J.L.; Earnshaw, V.A.; Rucinski, K.; Eaton, L. High levels of undiagnosed rectal STIs suggest that screening remains inadequate among Black gay, bisexual and other men who have sex with men. Sex. Transm. Infect. 2022, 98, 125–127. [Google Scholar] [CrossRef] [PubMed]
- Braun, D.L.; Marzel, A.; Steffens, D.; Schreiber, P.W.; Grube, C.; Scherrer, A.U.; Kouyos, R.D.; Günthard, H.F.; Swiss HIV Cohort Study. High Rates of Subsequent Asymptomatic Sexually Transmitted Infections and Risky Sexual Behavior in Patients Initially Presenting With Primary Human Immunodeficiency Virus-1 Infection. Clin. Infect. Dis. 2018, 66, 735–742. [Google Scholar] [CrossRef] [PubMed]
- Hall, R.; Patel, K.; Poullis, A.; Pollok, R.; Honap, S. Separating Infectious Proctitis from Inflammatory Bowel Disease-A Common Clinical Conundrum. Microorganisms 2024, 12, 2395. [Google Scholar] [CrossRef] [PubMed]
- Ferzacca, E.; Barbieri, A.; Barakat, L.; Olave, M.C.; Dunne, D. Lower Gastrointestinal Syphilis: Case Series and Literature Review. Open Forum Infect. Dis. 2021, 8, ofab157. [Google Scholar] [CrossRef] [PubMed]
- Hunter, I.; Wang, G.; Grennan, T. Syphilis proctitis: An uncommon presentation of Treponema pallidum mimicking malignancy. BMJ Case Rep. 2025, 18, e263948. [Google Scholar] [CrossRef] [PubMed]
- Arnold, C.A.; Roth, R.; Arsenescu, R.; Harzman, A.; Lam-Himlin, D.M.; Limketkai, B.N.; Montgomery, E.A.; Voltaggio, L. Sexually transmitted infectious colitis vs inflammatory bowel disease: Distinguishing features from a case-controlled study. Am. J. Clin. Pathol. 2015, 144, 771–781. [Google Scholar] [CrossRef] [PubMed]
- Yin, W.; Yan, Q.; Zhou, T.; Zhong, X. Syphilitic Proctitis Masquerading as Suspected Rectal Cancer. J. Gastrointest. Liver Dis. 2024, 33, 306. [Google Scholar] [CrossRef] [PubMed]
- Cantu Lopez, C.; Herrera-Gonzalez, S.; Shamoon, D.; Dacosta, T.J.; Bains, Y. The Great Mimicker Gets Caught: A Rare Case of Syphilis in the Gastrointestinal Tract. Cureus 2024, 16, e59222. [Google Scholar] [CrossRef] [PubMed]
- Afzal, Z.; Hussein, A.; O’Donovan, M.; Bowden, D.; Davies, R.J.; Buczacki, S. Diagnosis and management of rectal syphilis-case report. J. Surg. Case Rep. 2024, 2024, rjac102. [Google Scholar] [CrossRef] [PubMed]
- Bae, H.; Cho, J.; Kim, H.J.; Jang, S.K.; Na, H.Y.; Paik, J.H. Primary Rectal Syphilis Mimicking Lymphoma: A Case Report and Literature Review. J. Korean Soc. Radiol. 2024, 85, 801–806. [Google Scholar] [CrossRef] [PubMed]
- Ranabhotu, A.; Habibian, N.; Patel, B.; Farrell, E.; Do, J.; Sedghi, S.; Sedghi, L. Case Report: Resolution of high grade anal squamous intraepithelial lesion with antibiotics proposes a new role for syphilitic infection in potentiation of HPV-associated ASCC. Front. Oncol. 2023, 13, 1226202. [Google Scholar] [CrossRef] [PubMed]
- Peine, B.; Ved, K.J.; Fleming, T.; Sun, Y.; Honaker, M.D. Syphilitic proctitis presenting as locally advanced rectal cancer: A case report. Int. J. Surg. Case Rep. 2023, 107, 108358. [Google Scholar] [CrossRef] [PubMed]
- Alcántara-Figueroa, C.E.; Calderón Cabrera, D.C.; Estela-Vásquez, E.F.; Coronado-Rivera, E.F.; Calderón-De la Cruz, C.A. Rectal syphilis: A case report. Rev. Gastroenterol. Mex. (Engl. Ed.) 2023, 88, 186–188. [Google Scholar] [CrossRef] [PubMed]
- Mansilla, S.; Pouy, A.; Domínguez, F.; Misa, R. Rectal syphilis. Cir. Esp. (Engl. Ed.) 2023, 101, 214. [Google Scholar] [CrossRef] [PubMed]
- Smith, M.J.; Ong, M.; Maqbool, A. Tertiary syphilis mimicking metastatic rectal cancer. J. Surg. Case Rep. 2022, 2022, rjac093. [Google Scholar] [CrossRef] [PubMed]
- Cain, D.D.; Martin, K.; Gibson, B. Rectal Tonsil in a Patient With Positive Syphilis Serology. Cureus 2022, 14, e23812. [Google Scholar] [CrossRef] [PubMed]
- Costales-Cantrell, J.K.; Dong, E.Y.; Wu, B.U.; Nomura, J.H. Syphilitic Proctitis Presenting as a Rectal Mass: A Case Report and Review of the Literature. J. Gen. Intern. Med. 2021, 36, 1098–1101. [Google Scholar] [CrossRef] [PubMed]
- Sohail Ahmed, D.; Poliquin, M.; Julien, L.A.; Routy, J.P. Extracavitary primary effusion lymphoma recurring with syphilis in an HIV-infected patient. BMJ Case Rep. 2020, 13, e235204. [Google Scholar] [CrossRef] [PubMed]
- Patil, R.V.; Stephenson, I.; Richards, C.J.; Griffin, Y. Rectal cancer mimic: A rare case of syphilitic proctitis. BMJ Case Rep. 2020, 13, e235522. [Google Scholar] [CrossRef] [PubMed]
- Siddiqui, W.T.; Schwartz, H.M. Infectious Proctitis. N. Engl. J. Med. 2020, 382, 1638. [Google Scholar] [CrossRef] [PubMed]
- Kumar, N.; Bahadur, T.; Agrawal, S.K. Concurrent syphilis and Chlamydia trachomatis infection in bisexual male: A rare case of proctitis. J. Fam. Med. Prim. Care 2019, 8, 1495–1496. [Google Scholar] [CrossRef] [PubMed]
- Teng, K.T.; Lee, Y.J.; Chang, C.C. An Easily Overlooked Cause of Mucus and Bloody Material Passage During Defecation in a 47-Year-Old Man. Gastroenterology 2018, 154, e3–e4. [Google Scholar] [CrossRef] [PubMed]
- López Álvarez, M.; Souto Ruzo, J.; Guerrero Montañés, A. Rectal syphilitic ulcer. Rev. Esp. Enferm. Dig. 2018, 110, 597. [Google Scholar] [CrossRef] [PubMed]
- Alcántara Figueroa, C.; Nuñez Calixto, N.; Vargas Cárdenas, G.; Chian García, C. Rectal syphilis in a HIV patient from Peru. Rev. Gastroenterol. Peru. 2018, 38, 381–383. [Google Scholar] [PubMed]
- Allan-Blitz, L.T.; Beaird, O.E.; Dry, S.M.; Kaneshiro, M.; Klausner, J.D. A Case of Asymptomatic Syphilitic Proctitis. Sex. Transm. Dis. 2019, 46, e68–e69. [Google Scholar] [CrossRef] [PubMed]
- Serigado, J.; Lewis, E.; Kim, G. Rectal bleeding caused by a syphilitic inflammatory mass. BMJ Case Rep. 2019, 12, e226595. [Google Scholar] [CrossRef] [PubMed]
- Díaz-Jaime, F.; Satorres Paniagua, C.; Bustamante Balén, M. Primary chancre in the rectum: An underdiagnosed cause of rectal ulcer. Rev. Esp. Enferm. Dig. 2017, 109, 236–237. [Google Scholar] [CrossRef] [PubMed]
- Zeidman, J.A.; Shellito, P.C.; Davis, B.T.; Zukerberg, L.R. Case Records of the Massachusetts General Hospital. Case 25-2016. A 33-Year-Old Man with Rectal Pain and Bleeding. N. Engl. J. Med. 2016, 375, 676–682. [Google Scholar] [CrossRef] [PubMed]
- Gopal, P.; Shah, R.B. Primary Anal Canal Syphilis in Men: The Clinicopathologic Spectrum of an Easily Overlooked Diagnosis. Arch. Pathol. Lab. Med. 2015, 139, 1156–1160. [Google Scholar] [CrossRef] [PubMed]
- Pisani Ceretti, A.; Virdis, M.; Maroni, N.; Arena, M.; Masci, E.; Magenta, A.; Opocher, E. The Great Pretender: Rectal Syphilis Mimic a Cancer. Case Rep. Surg. 2015, 2015, 434198. [Google Scholar] [CrossRef] [PubMed]
- Grilo Bensusan, I.; Gómez-Regife, L. Primary syphilitic chancre in the rectum. Endoscopy 2014, 46, E533. [Google Scholar] [CrossRef] [PubMed]
- Yilmaz, M.; Memisoglu, R.; Aydin, S.; Tabak, O.; Mete, B.; Memisoglu, N.; Tabak, F. Anorectal syphilis mimicking Crohn’s disease. J. Infect. Chemother. 2011, 17, 713–715. [Google Scholar] [CrossRef] [PubMed]
- Milligan, R.; Dent, B.; Hoare, T.; Henry, J.; Katory, M. Gummatous rectal syphilis imitating rectal carcinoma. Colorectal Dis. 2010, 12, 1269–1270. [Google Scholar] [CrossRef] [PubMed]
- Cha, J.M.; Choi, S.I.; Lee, J.I. Rectal syphilis mimicking rectal cancer. Yonsei Med. J. 2010, 51, 276–278. [Google Scholar] [CrossRef] [PubMed]
- Zhao, W.T.; Liu, J.; Li, Y.Y. Syphilitic proctitis mimicking rectal cancer: A case report. World J. Gastrointest. Pathophysiol. 2010, 1, 112–114. [Google Scholar] [CrossRef] [PubMed]
- Furman, D.L.; Patel, S.K.; Arluk, G.M. Endoscopic and histologic appearance of rectal syphilis. Gastrointest. Endosc. 2008, 67, 161. [Google Scholar] [CrossRef] [PubMed]
- Song, S.H.; Jang, I.; Kim, B.S.; Kim, E.T.; Woo, S.H.; Park, M.J.; Kim, C.N. A case of primary syphilis in the rectum. J. Korean Med. Sci. 2005, 20, 886–887. [Google Scholar] [CrossRef] [PubMed]
- Chan, D.J.; Michelmore, H.M.; Gold, J. A diagnosis unmasked by an unusual reaction to ceftriaxone therapy for gonorrhoeal infection. Med. J. Aust. 2003, 178, 404–405. [Google Scholar] [CrossRef] [PubMed]
- McNeil, C.J.; Barroso, L.F., 2nd; Workowski, K. Proctitis: An Approach to the Symptomatic Patient. Med. Clin. N. Am. 2024, 108, 339–354. [Google Scholar] [CrossRef] [PubMed]
- Herzig, D.O.; Lu, K.C. Anal fissure. Surg. Clin. N. Am. 2010, 90, 33–44. [Google Scholar] [CrossRef] [PubMed]
- Guniganti, P.; Lewis, S.; Rosen, A.; Connolly, S.; Raptis, C.; Mellnick, V. Imaging of acute anorectal conditions with CT and MRI. Abdom. Radiol. 2017, 42, 403–422. [Google Scholar] [CrossRef] [PubMed]
- Dewart, C.M.; Bernstein, K.T.; DeGroote, N.P.; Romaguera, R.; Turner, A.N. Prevalence of Rectal Chlamydial and Gonococcal Infections: A Systematic Review. Sex. Transm. Dis. 2018, 45, 287–293. [Google Scholar] [CrossRef] [PubMed]
- de Vries, H.J.C.; de Barbeyrac, B.; de Vrieze, N.H.N.; Viset, J.D.; White, J.A.; Vall-Mayans, M.; Unemo, M. 2019 European guideline on the management of lymphogranuloma venereum. J. Eur. Acad. Dermatol. Venereol. 2019, 33, 1821–1828. [Google Scholar] [CrossRef] [PubMed]
- Janier, M.; Unemo, M.; Dupin, N.; Tiplica, G.S.; Potočnik, M.; Patel, R. 2020 European guideline on the management of syphilis. J. Eur. Acad. Dermatol. Venereol. 2021, 35, 574–588. [Google Scholar] [CrossRef] [PubMed]
- Garcia-Hernandez, D.; Vall-Mayans, M.; Coll-Estrada, S.; Naranjo-Hans, L.; Armengol, P.; Iglesias, M.A.; Barberá, M.J.; Arando, M. Human intestinal spirochetosis, a sexually transmissible infection? Review of six cases from two sexually transmitted infection centres in Barcelona. Int. J. STD AIDS 2021, 32, 52–58. [Google Scholar] [CrossRef] [PubMed]
- Shields, M.; Guy, R.J.; Jeoffreys, N.J.; Finlayson, R.J.; Donovan, B. A longitudinal evaluation of Treponema pallidum PCR testing in early syphilis. BMC Infect. Dis. 2012, 12, 353. [Google Scholar] [CrossRef] [PubMed]
- Costa-Silva, M.; Coutinho, D.; Sobrinho-Simões, J.; Azevedo, F.; Lisboa, C. Cross-sectional study of Treponema pallidum PCR in diagnosis of primary and secondary syphilis. Int. J. Dermatol. 2018, 57, 46–49. [Google Scholar] [CrossRef] [PubMed]
- Luo, Y.; Xie, Y.; Xiao, Y. Laboratory Diagnostic Tools for Syphilis: Current Status and Future Prospects. Front. Cell. Infect. Microbiol. 2021, 10, 574806. [Google Scholar] [CrossRef] [PubMed]
- Golden, M.; O’Donnell, M.; Lukehart, S.; Swenson, P.; Hovey, P.; Godornes, C.; Romano, S.; Getman, D. Treponema pallidum Nucleic Acid Amplification Testing To Augment Syphilis Screening among Men Who Have Sex with Men. J. Clin. Microbiol. 2019, 57, e00572-19. [Google Scholar] [CrossRef] [PubMed]
- Zhou, C.; Zhang, X.; Zhang, W.; Duan, J.; Zhao, F. PCR detection for syphilis diagnosis: Status and prospects. J. Clin. Lab. Anal. 2019, 33, e22890. [Google Scholar] [CrossRef] [PubMed]




| No. | Author, Year | Gender, Age | Clinical Presentation | Imagistic Findings | Endoscopic Findings | Clinical Diagnosis | Histology | Laboratory Findings |
|---|---|---|---|---|---|---|---|---|
| 1 | Hunter, 2025 [15] | Male, 60, MSM |
| N/A | Due to patient discomfort not performed | Haemorrhoids, suspected HPV and LGV lesions |
| T. pallidum: TPPA and RPR positive, rectal swab PCR positive HIV negative |
| 2 | Yin, 2024 [17] | Male, 29 MSM |
| MRI: rectal wall thickening, inguinal and mesenteric lymphadenopathy | Nodular, irregular lesions with scattered ulcers and hemorrhage | Rectal carcinoma |
| Not mentioned |
| 3 | Cantu Lopez, 2024 [18] | TGW, 49 | Left abdominal pain, non-bloody emesis, weight loss, constipation with mucous | CT: rectal wall thickening, perirectal adenopathy | Erythema, inflammation, thickened rectal folds with near luminal obstruction | Lymphoma, colitis |
| T. pallidum: RPR/FTA-ABS positive HIV negative |
| 4 | Afzal, 2024 [19] | Male, 64 MSM | Significant change in bowel habits, palpable rectal mass | CT: mild rectal wall thickening of the rectum, local lymphadenopathy; MRI: normal | 10-mm elevated rectal lesion with central ulceration, 5–6 cm from the anal verge | Rectal carcinoma |
| T. pallidum: EIA and RPR positive HIV negative |
| 5 | Bae, 2024 [20] | Male, 23 | Right-sided inguinal mass, tenderness in the right inguinal area | CT: inguinal, mesorectal and presacral adenopathy, 10 cm-long circumferential rectal wall thickening | Edematous and hyperemic mucosa, rectal wall thickening | Rectal lymphoma | Dense infiltration of polymorphic lymphoid cells and histiocytes in the lamina propria with ulcers, increased numbers of plasma cells and eosinophils | T. pallidum: RPR/FTA-ABS positive HIV negative |
| 6 | Ranabhotu, 2023 [21] | Male, 72 | Rectal bleeding and pain | N/A | Firm perianal mass | Anal carcinoma |
| T. pallidum: RPR/FTA-ABS positive HIV negative |
| 7 | Peine, 2023 [22] | Male, 38 MSM | Two weeks of obstipation and abdominal pain | CT: large bowel obstruction by a 7 cm × 6.8 cm rectal mass MRI: mesorectal fascia involvement | Benign-appearing rectal stricture at 2 cm from the anal verge | Rectal carcinoma |
| T. pallidum: RPR positive N. gonorrhoeae PCR: positive HIV positive |
| 8 | Alcantara, 2023 [23] | Male, 35 MSM | Rectal bleeding, tenesmus | N/A | Rectal ulcers with clean bases and raised edges | N/A |
| T. pallidum: RPR/FTA-ABS positive C. trachomatis: IgM and IgG positive HIV positive, |
| 9 | Mansilla, 2023 [24] | Male, 40 | Rectal ulceration | Rectal lesion with mesenteric and extra mesenteric adenopathy | Ulcerated rectal vegetating lesion | Rectal carcinoma | Non-specific polymorphous inflammation | T. pallidum: serology positive HIV positive |
| 10 | Smith, 2022 [25] | Male, 39 MSM | Right upper quadrant pain, tenesmus and diarrhoea | CT: short irregular thickening of the rectal wall, mesorectal adenopathy | 2-cm ulcer with heaped margins and a necrotic base in the distal rectum | Metastatic rectal cancer | Ulceration with chronic inflammation, atypical crypt epithelium, no evident malignant changes | T. pallidum: RPR positive HIV positive |
| 11 | Cain, 2022 [26] | Female, 46 | Rectal bleeding | N/A | 1-cm-submucosal mass inside the anal verge | Carcinoid or gastrointestinal stromal tumour | Small lymphocytes infiltrating lamina propria | T. pallidum: antibody test, EIA and RPR negative |
| 12 | Costales, 2021 [27] | Male, 32, MSM | Lower abdominal and rectal pain, diarrhoea with hematochezia for 2 weeks | CT: distal sigmoid and rectal wall thickening, perirectal, pelvic, retroperitoneal lymphadenopathy | Rectal non-bleeding ulcers, friable ulcerated mucosa | STD colitis, later rectal malignancy |
| T. pallidum: RPR and TPPA positive |
| 13 | Ahmed, 2020 [28] | Male, 59 MSM | Fever, rectal pain | PET/CT: intense metabolic activity in the rectum, porta hepatis and internal mammary lymph nodes | 5-cm-rectal mass | Lymphoproliferative process |
| T. pallidum: RPR positive HIV positive |
| 14 | Patil, 2020 [29] | Male, 66, MSM | Constipation, abdominal pain | CT: diffuse rectal mucosal thickening, perirectal fat stranding, mesorectal adenopathy | Two lesions in the distal rectum, edema and erythema | Rectal carcinoma |
| T. pallidum: TPPA, RPR and IgM positive HIV positive |
| 15 | Siddiqui, 2020 [30] | Male, 25, MSM | Rectal bleeding, pain, tenesmus, fatigue, weight loss, no night sweats or fever | N/A | Severe ulcerative proctitis, anal fissure | STD or IBD |
| T. pallidum: RPR positive C. trachomatis: rectal swab PCR positive HIV negative |
| 16 | Kumar, 2019 [31] | Male, 41 MSM | 6-month-anal pain, no rectal discharge, perianal ulceration | N/A | N/A | STD | N/A | T. pallidum: VDRL positive C. trachomatis: PCR positive HIV negative |
| 17 | Sousa, 2019 [8] | Male, 66 MSM | Rectal bleeding, mucoid discharge, proctalgia and fever | CT: concentric thickening of the distal rectum, densification of the mesorectal fat | Irregularity, edema, hyperemia and mucus in the distal rectal mucosa | N/A | Inconclusive | T. pallidum: RPR and antibody test positive C. trachomatis: IgM positive ∙ Rectal swabs inconclusive |
| 18 | Teng, 2018 [32] | Male, 47, MSM | Rectal discharge and bleeding, tenesmus | N/A | Multiple irregular and friable ulcerations | N/A |
| T. pallidum: VDRL and TPHA positive HIV and hepatitis B positive |
| 19 | Lopez, 2018 [33] | Male, 48 | Rectal bleeding, tenesmus, popular erythematous rash on the trunk and extremities, inguinal lymph nodes | N/A | Serpiginous ulcers with erythematous and edematous surrounding mucosa | N/A | Acute inflammatory cells spirochetes staining positive | T. pallidum: serology positive HIV negative |
| 20 | Alcantara, 2018 [34] | Male, 53, MSM | Rectal bleeding, pain and tenesmus, penis ulcers, inguinal adenopathy | N/A | Ulcer covering 70% of the rectal circumference in the distal rectum, well defined and firm edges, ulcer base covered with mucus | N/A |
| T. pallidum: VDRL non-reactive, FTA-ABS positive HIV positive |
| 21 | Allan, 2018 [35] | Male, 50 | No symptoms (routine screening) | N/A | Rectal polyp, nodular areas in the distal rectum (routine screening colonoscopy) | N/A |
| T. pallidum: RPR and TPPA positive HIV positive |
| 22 | Serigado, 2018 [36] | Male, 47, MSM | Rectal bleeding, fatigue, decreased appetite, abdominal pain | CT: left lateral wall thickening in the distal rectum, hypodense hepatic lesions, splenomegaly | One 3-cm, firm, raised and centrally ulcerated mass at the anorectal junction, with irregular borders and bleeding | Rectal carcinoma, Kaposi sarcoma, STD |
| T. pallidum: VDRL and FTA-ABS positive HIV positive |
| 23 | Diaz, 2017 [37] | Male, 35 MSM | Two-week history of intermittent bloody stools | N/A | Irregular rectal ulcer with a fibrinous surface and friable mucosa | N/A |
| T. pallidum: RPR and TPHA positive HIV positive |
| 24 | Zeidman, 2016 [38] | Male, 33, MSM | Rectal bleeding | N/A | mucosal inflammation of the distal rectum, patchy erythema and edema | Crohn’s disease |
| T. pallidum: RPR and antibody test positive HIV negative |
| 25 | Gopal, 2015 [39] | Male, 52 MSM | Anal canal ulcer | N/A | N/A |
| T. pallidum: RPR nonreactive, FTA-ABS reactive, PCR perianal swab positive HIV positive | |
| 26 | Gopal, 2015 [39] | Male, 44 | Nonhealing anal canal ulcer | N/A | N/A |
| T. pallidum: RPR and FTA-ABS positive HIV unknown | |
| 27 | Gopal, 2015 [39] | Male, 51 | Anal canal ulcer | N/A | N/A |
| T. pallidum: RPR and TPPA positive HIV unknown | |
| 28 | Gopal, 2015 [39] | Male, 31 MSM | Anal canal mass and rectal bleeding | N/A | N/A |
| T. pallidum: RPR and antibody test positive HIV positive | |
| 29 | Cerreti, 2015 [40] | Male, 48 MSM |
| MRI: thickening of the rectal wall, infiltration of the mesorectal fat, lymph nodes in the perirectal fat | Single ulcer with regular edges and lunate shape, occupying one-third of the rectal circumference | Rectal carcinoma |
| T. pallidum: serology positive HIV positive |
| 30 | Bensusan, 2014 [41] | Male, 50, MSM | Rectal bleeding, frequent stools | CT: reduction in the rectal caliber, locoregional, abdominal, and inguinal adenopathy | Rectal ulcer with elevated and smooth edges and fibrinous surface | STD |
| T. pallidum: RPR positive HIV negative |
| 31 | Yilmaz, 2011 [42] | Male, 38, MSM |
| CT: unremarkable | Hard, ulcerative lesion in distal rectum | Crohn’s disease |
| T. pallidum: VDRL and FTA/ABS positive HIV negative |
| 32 | Milligan,2010 [43] | Male, 51 MSM |
| MRI: malignancy features | Findings suggesting rectal malignancy | Rectal carcinoma |
| Genito-urinary screening positive for T. pallidum |
| 33 | Cha, 2010 [44] | Male, 45, MSM | Anal pain, tenesmus, bloody stools, mucus discharge, inguinal adenopathy | CT: irregular rectal wall thickening, adenopathy MRI: rectal wall thickening, perirectal fat infiltration | 3×4 cm well-demarcated, deep ulcer on the lower rectum extending from the anal canal | Rectal carcinoma |
| T. pallidum: RPR and TPPA positive |
| 34 | Zhao, 2010 [45] | Male, 51 | Anorectal discomfort, tenesmus, mucous discharge and bloody stools, weight loss | CT: local inhomogeneous rectal wall thickening 3 cm from the anal verge | Irregular ulcerated mass, hyperemia and erosion of the rectal wall | Rectal carcinoma |
| T. pallidum: TPPA positive Hepatitis B serology positive HIV negative |
| 35 | Furman, 2008 [46] | Male, 28 | Rectal pain | N/A | Ulcerative proctitis | NA | Chronic active colitis with cryptitis and ulceration T. pallidum: Steiner staining positive | T. pallidum: RPR and FTA-ABS positive HIV positive |
| 36 | Song, 2005 [47] | Male, 30, MSM | Rectal pain and bleeding, tenesmus, inguinal adenopathy | N/A | Two indurated masses of ca. 2 cm in the middle and lower rectum with ulcerated and depressed surface | Rectal carcinoma |
| T. pallidum: VDRL, FTA-ABS positive HIV negative |
| 37 | Chan, 2003 [48] | Male, 32, MSM | Rectal discharge, macular rash on the soles, inguinal lymphadenopathy | N/A | N/A | N/A | N/A | T. pallidum: RPR and TPHA positive HIV positive, C. trachomatis and N. gonorrhoeae positive |
Disclaimer/Publisher’s Note: The statements, opinions and data contained in all publications are solely those of the individual author(s) and contributor(s) and not of MDPI and/or the editor(s). MDPI and/or the editor(s) disclaim responsibility for any injury to people or property resulting from any ideas, methods, instructions or products referred to in the content. |
© 2025 by the authors. Licensee MDPI, Basel, Switzerland. This article is an open access article distributed under the terms and conditions of the Creative Commons Attribution (CC BY) license (https://creativecommons.org/licenses/by/4.0/).
Share and Cite
Pop, A.M.; Zimmermann, R.; Pekardi, S.; Cipriani, M.; Gajur, A.I.; Moser, D.; Markert, E.; Kueres-Wiese, A. Infectious Proctitis Mimicking Advanced Rectal Cancer: A Case Report and Update on the Differential Diagnosis of Rectal Ulcerations. J. Clin. Med. 2025, 14, 5254. https://doi.org/10.3390/jcm14155254
Pop AM, Zimmermann R, Pekardi S, Cipriani M, Gajur AI, Moser D, Markert E, Kueres-Wiese A. Infectious Proctitis Mimicking Advanced Rectal Cancer: A Case Report and Update on the Differential Diagnosis of Rectal Ulcerations. Journal of Clinical Medicine. 2025; 14(15):5254. https://doi.org/10.3390/jcm14155254
Chicago/Turabian StylePop, Anca Maria, Roman Zimmermann, Szilveszter Pekardi, Michela Cipriani, Angelika Izabela Gajur, Diana Moser, Eva Markert, and Alexander Kueres-Wiese. 2025. "Infectious Proctitis Mimicking Advanced Rectal Cancer: A Case Report and Update on the Differential Diagnosis of Rectal Ulcerations" Journal of Clinical Medicine 14, no. 15: 5254. https://doi.org/10.3390/jcm14155254
APA StylePop, A. M., Zimmermann, R., Pekardi, S., Cipriani, M., Gajur, A. I., Moser, D., Markert, E., & Kueres-Wiese, A. (2025). Infectious Proctitis Mimicking Advanced Rectal Cancer: A Case Report and Update on the Differential Diagnosis of Rectal Ulcerations. Journal of Clinical Medicine, 14(15), 5254. https://doi.org/10.3390/jcm14155254

