Obstetrical Follow-Up in Pregnancies After Radical Trachelectomy—Our Case Series and Proposed Cervical Length Measurement Protocol
Abstract
1. Introduction
2. Materials and Methods
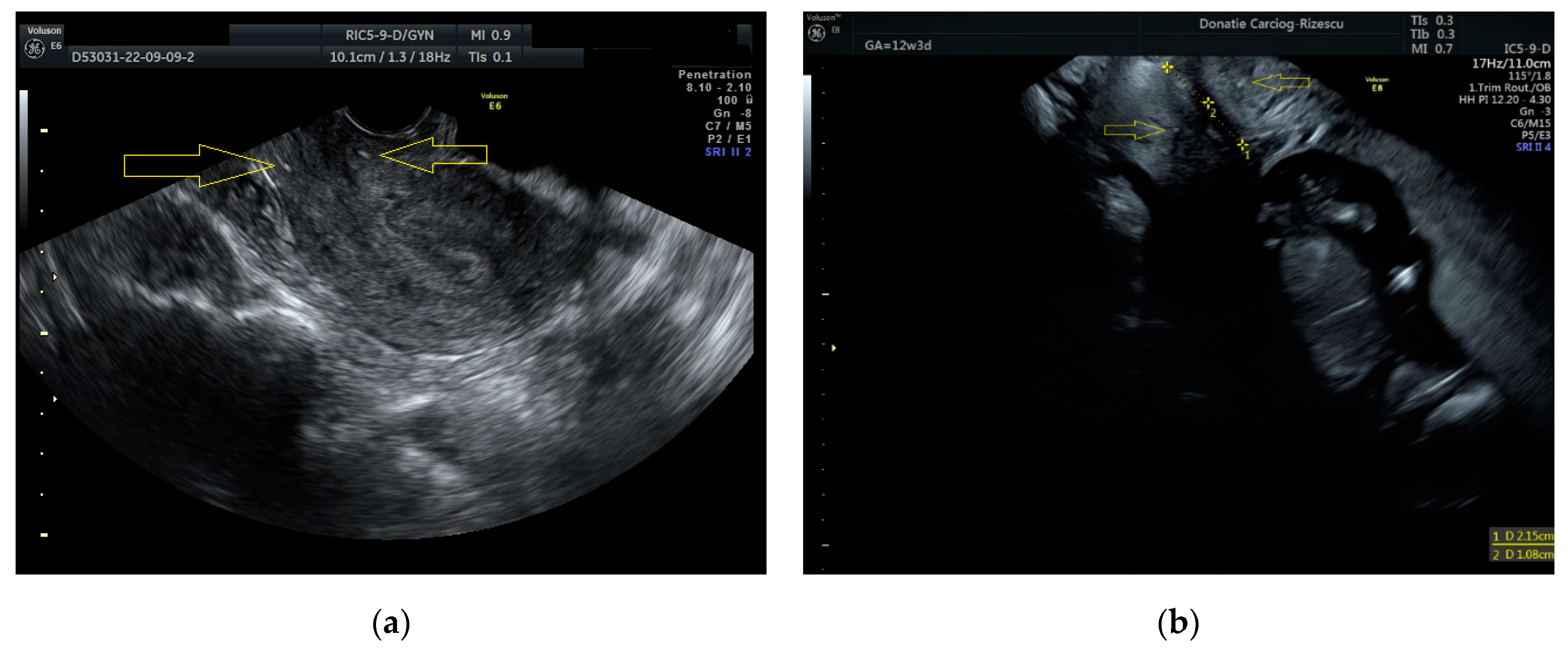
3. Results
4. Discussion
5. Conclusions
Author Contributions
Funding
Institutional Review Board Statement
Informed Consent Statement
Data Availability Statement
Acknowledgments
Conflicts of Interest
Abbreviations
| RT | Radical trachelectomy |
| PROM | Premature rupture of membrane |
| ART | Abdominal radical trachelectomy |
| FST | fertility-sparring treatment |
| VRT | Vaginal radical trachelectomy |
| CS | Caesarean section |
References
- Dargent, D.; Brun, J.L.; Roy, M.; Mathevet, P.; Remy, I. La trachelectomie elargie (T.E.)—Une alternative à l’hysterectomie radicale dans le traitement des cancers infiltrants developpes sur la face externe du col uterin. JOBGYN 1994, 2, 285–292. [Google Scholar]
- Speiser, D.; Köhler, C.; Schneider, A.; Mangler, M. Radical vaginal trachelectomy: A fertility preserving procedure in early cervical cancer in young women. Dtsch. Arztebl. Int. 2013, 110, 289–295. [Google Scholar] [CrossRef] [PubMed][Green Version]
- Okugawa, K.; Kobayashi, H.; Sonoda, K.; Kaneki, E.; Kawano, Y.; Hidaka, N.; Egashira, K.; Fujita, Y.; Yahata, H.; Kato, K. Oncologic and obstetric outcomes and complications during pregnancy after fertility-sparing abdominal trachelectomy for cervical cancer: A retrospective review. Int. J. Clin. Oncol. 2017, 22, 340–346. [Google Scholar] [CrossRef] [PubMed]
- Okugawa, K.; Yahata, H.; Ohgami, T.; Yasunaga, M.; Asanoma, K.; Kobayashi, H.; Kato, K. An update of oncologic and obstetric outcomes after abdominal trachelectomy using the FIGO 2018 staging system for cervical cancer: A single-institution retrospective analysis. J. Gynecol. Oncol. 2023, 34, e41. [Google Scholar] [CrossRef] [PubMed]
- Bentivegna, E.; Maulard, A.; Pautier, P.; Chargari, C.; Gouy, S.; Morice, P. Fertility results and pregnancy outcomes after conservative treatment of cervical cancer: A systematic review of the literature. Fertil. Steril. 2016, 106, 1195–1211.e5. [Google Scholar] [CrossRef] [PubMed]
- Kasuga, Y.; Nishio, H.; Miyakoshi, K.; Sato, S.; Sugiyama, J.; Matsumoto, T.; Tanaka, K.; Ochiai, D.; Minegishi, K.; Hamatani, T.; et al. Outcomes after abdominal radical trachelectomy for early-stage cervical cancer. A 13-year experience in a single tertialy-care cancer. Int. J. Gynecol. Cancer 2016, 26, 163–168. [Google Scholar] [CrossRef] [PubMed]
- Kinjyo, Y.; Nana, Y.; Chinen, Y.; Kinjo, T.; Mekaru, K.; Aoki, Y. Transabdominal cerclage in early pregnancy for cervical shortening after radical trachelectomy: A case report. Case Rep. Women’s Health 2021, 31, e00323. [Google Scholar] [CrossRef] [PubMed]
- Šimják, P.; Cibula, D.; Pařízek, A.; Sláma, J. Management of pregnancy after fertility-sparing surgery for cervical cancer. Acta Obstet. Gynecol. Scand. 2020, 99, 830–838. [Google Scholar] [CrossRef] [PubMed]
- Muraji, M.; Sudo, T.; Nakagawa, E.; Ueno, S.; Wakahashi, S.; Kanayama, S.; Yamada, T.; Yamaguchi, S.; Fujiwara, K.; Nishimura, R. Type II versus type III fertility-sparing abdominal radical trachelectomy for early-stage cervical cancer: A comparison of feasibility of surgical outcomes. Int. J. Gynecol. Cancer 2012, 22, 479–483. [Google Scholar] [CrossRef] [PubMed]
- Grobman, W.A.M.; Gilbert, S.A.M.; Iams, J.D.; Spong, C.Y.; Saade, G.; Mercer, B.M.; Tita, A.T.N.; Rouse, D.J.; Sorokin, Y.; Leveno, K.J.; et al. Activity restriction among women with a short cervix. Obstet. Gynecol. 2013, 121, 1181–1186. [Google Scholar] [CrossRef] [PubMed]
- Zemet, R.; Schiff, E.; Manovitch, Z.; Cahan, T.; Yoeli-Ullman, R.; Brandt, B.; Hendler, I.; Dorfman-Margolis, L.; Yinon, Y.; Sivan, E.; et al. Quantitative assessment of physical activity in pregnant women with sonographic short cervix and the risk for preterm delivery: A prospective pilot study. PLoS ONE 2018, 13, e0198949. [Google Scholar] [CrossRef] [PubMed]
- Sosa, C.G.; Althabe, F.; Belizan, J.M.; Bergel, E. Bed rest in singleton pregnancies for preventing preterm birth. Cochrane Database Syst. Rev. 2015, 3, CD003581. [Google Scholar] [CrossRef] [PubMed]
- Aleman, A.; Althabe, F.; Belizan, J.; Bergel, E. Bed rest during pregnancy for preventing miscarriage. Cochrane Database Syst. Rev. 2005, 2, CD003576. [Google Scholar] [CrossRef] [PubMed]
- Plante, M.; Renaud, M.C.; Hoskins, I.A.; Roy, M. Vaginal radical trachelectomy: A valuable fertility-preserving option in the management of early-stage cervical cancer. A series of 50 pregnancies and review of the literature. Gynecol. Oncol. 2005, 98, 3–10. [Google Scholar] [CrossRef] [PubMed]
- Plante, M.; Renaud, M.C.; Roy, M. Radical vaginal trachelectomy: A fertility-preserving option for young women with early-stage cervical cancer. Gynecol. Oncol. 2005, 99, 143–146. [Google Scholar] [CrossRef] [PubMed]
- Dodd, J.M.; Jones, L.; Flenady, V.; Cincotta, R.; Crowther, C.A. Prenatal administration of progesterone for preventing preterm birth in women considered to be at risk of preterm birth. Cochrane Database Syst. Rev. 2013, 2013, CD004947. [Google Scholar] [CrossRef] [PubMed]
- Speiser, D.; Mangler, M.; Köhler, C.; Hasenbein, K.; Hertel, H.; Chiantera, V.; Gottschalk, E.; Lanowska, M. Fertility outcome after radical vaginal trachelectomy: A prospective study of 212 patients. Int. J. Gynecol. Cancer 2011, 21, 1635–1639. [Google Scholar] [CrossRef] [PubMed]
- Park, J.Y.; Kim, D.Y.; Suh, D.S.; Kim, J.H.; Kim, Y.M.; Kim, Y.T.; Nam, J.H. Reproductive outcomes after laparoscopic radical trachelectomy for early-stage cervical cancer. J. Gynecol. Oncol. 2014, 25, 9–13. [Google Scholar] [CrossRef] [PubMed] [PubMed Central]
- Ishioka, S.; Endo, T.; Hayashi, T.; Baba, T.; Umemura, K.; Saito, T. Pregnancy-related complications after vaginal radical trachelectomy for early-stage invasive uterine cervical cancer. Int. J. Clin. Oncol. 2007, 12, 350–355. [Google Scholar] [CrossRef] [PubMed]
- Gire, C.; Faggianelli, P.; Nicaise, C.; Shojai, R.; Fiori, A.; Chau, C.; Boubli, L.; D’Ercole, C. Ultrasonographic evaluation of cervical length in pregnancies complicated by preterm premature rupture of membranes. Ultrasound Obstet. Gynecol. 2002, 19, 565–569. [Google Scholar] [CrossRef] [PubMed]
- Sato, Y.; Hidaka, N.; Sakai, A.; Kido, S.; Fujita, Y.; Okugawa, K.; Yahata, H.; Kato, K. Evaluation of the efficacy of vaginal progesterone in preventing preterm birth after abdominal trachelectomy: A prospective study with a historical cohort. Authorea 2022, 259, 119–124. [Google Scholar] [CrossRef]
- Kyrgiou, M.; Athanasiou, A.; Kalliala, I.E.J.; Paraskevaidi, M.; Mitra, A.; Martin-Hirsch, P.P.; Arbyn, M.; Bennett, P.; Paraskevaidis, E. Obstetric outcomes after conservative treatment for cervical intraepithelial lesions and early invasive disease. Cochrane Database Syst Rev. 2017, 11, CD012847. [Google Scholar] [CrossRef] [PubMed] [PubMed Central]
- Alvarez, R.; Biliatis, I.; Rockall, A.; Papadakou, E.; Sohaib, S.; Desouza, N.; Butler, J.; Nobbenhuis, M.; Barton, D.; Shepherd, J.; et al. MRI measurement of residual cervical length after radical trachelectomy for cervical cancer and the risk of adverse pregnancy out-comes: A blinded imaging analysis. BJOG 2018, 125, 1726–1733. [Google Scholar] [CrossRef] [PubMed]
- Knight, L.J.; Acheson, N.; Kay, T.A.; Renninson, J.N.; Shepherd, J.H.; Taylor, M.J.O. Obstetric management following fertility-sparing radical vaginal trachelectomy for cervical cancer. J. Obstet. Gynaecol. 2010, 30, 784–789. [Google Scholar] [CrossRef] [PubMed]
- Cianci, S.; Tarascio, M.; Arcieri, M.; La Verde, M.; Martinelli, C.; Capozzi, V.A.; Palmara, V.; Gulino, F.; Gueli Alletti, S.; Caruso, G.; et al. Post Treatment Sexual Function and Quality of Life of Patients Affected by Cervical Cancer: A Systematic Review. Medicina 2023, 59, 704. [Google Scholar] [CrossRef] [PubMed]




| Patient No. 1 | Patient No. 2 | Patient No. 3 | Patient No. 4 | |
|---|---|---|---|---|
| Age at pregnancy | 32 | 37 | NA (33 at operation) | 28 |
| HPV status | 16 | 16 | 16 | 16 |
| Cytology | HSIL | HSIL | HSIL | ASC-H |
| Pathology | Non-keratinizing squamous cell carcinoma, G2 | Non-keratinizing squamous cell carcinoma, G2 | Keratinizing squamous cell carcinoma, G1 | Non-keratinizing squamous cell carcinoma, G2 |
| FIGO stage | pT1a | pT1a2 | pT1a2 | pT1a1 |
| Reinterventions | ERAD at 1 year after RT (HSIL, CIN-Tec Plus positive) | |||
| Desire to immediately become pregnant | Yes | Yes | No | Yes |
| Onset of pregnancy (months after FST) | 7 | 32 | 14 | |
| Cervical length (mm) | 28 | 21.5 | 22.6 | |
| Cerclage thread—internal ostium distance (mm) | NA | 10.7 | 10.1 | |
| Cerclage thread—external ostium distance (mm) | NA | 10.8 | 12.5 | |
| Vaginal Arabin pessary | No | Yes | No | |
| Amnionitis | No | No | No | |
| Premature (<28 W) contractions | No | No | Yes | |
| Steroids | No | No | Yes | |
| Tocolitics | No | No | Nifedipine | |
| Prophylactic intravaginal progesteron | Yes | Yes | Yes | |
| Gestational age (weeks) | 37 | 38 | 38 | |
| CS | Yes | Yes | Yes | |
| Weight of the newborn (grams) | 3000 | 2770 | 2920 | |
| Apgar score | 9 | 9 | 8 | |
| Maternal complications | No | No | No | |
| Fetal complications | No | No | No | |
| Actual status | Free of disease | Free of disease | Free of disease | Free of disease |
Disclaimer/Publisher’s Note: The statements, opinions and data contained in all publications are solely those of the individual author(s) and contributor(s) and not of MDPI and/or the editor(s). MDPI and/or the editor(s) disclaim responsibility for any injury to people or property resulting from any ideas, methods, instructions or products referred to in the content. |
© 2025 by the authors. Licensee MDPI, Basel, Switzerland. This article is an open access article distributed under the terms and conditions of the Creative Commons Attribution (CC BY) license (https://creativecommons.org/licenses/by/4.0/).
Share and Cite
Nastasia, Ș.; Nenciu, A.-E.; Neacșu, A.V.; Russu, M.-C.; Achim, N.-A. Obstetrical Follow-Up in Pregnancies After Radical Trachelectomy—Our Case Series and Proposed Cervical Length Measurement Protocol. J. Clin. Med. 2025, 14, 5149. https://doi.org/10.3390/jcm14145149
Nastasia Ș, Nenciu A-E, Neacșu AV, Russu M-C, Achim N-A. Obstetrical Follow-Up in Pregnancies After Radical Trachelectomy—Our Case Series and Proposed Cervical Length Measurement Protocol. Journal of Clinical Medicine. 2025; 14(14):5149. https://doi.org/10.3390/jcm14145149
Chicago/Turabian StyleNastasia, Șerban, Adina-Elena Nenciu, Adrian Valeriu Neacșu, Manuela-Cristina Russu, and Nicoleta-Adelina Achim. 2025. "Obstetrical Follow-Up in Pregnancies After Radical Trachelectomy—Our Case Series and Proposed Cervical Length Measurement Protocol" Journal of Clinical Medicine 14, no. 14: 5149. https://doi.org/10.3390/jcm14145149
APA StyleNastasia, Ș., Nenciu, A.-E., Neacșu, A. V., Russu, M.-C., & Achim, N.-A. (2025). Obstetrical Follow-Up in Pregnancies After Radical Trachelectomy—Our Case Series and Proposed Cervical Length Measurement Protocol. Journal of Clinical Medicine, 14(14), 5149. https://doi.org/10.3390/jcm14145149

