Erythrocyte Load in Cerebrospinal Fluid Linked with Hippocampal Atrophy in Alzheimer’s Disease
Abstract
1. Introduction
2. Results
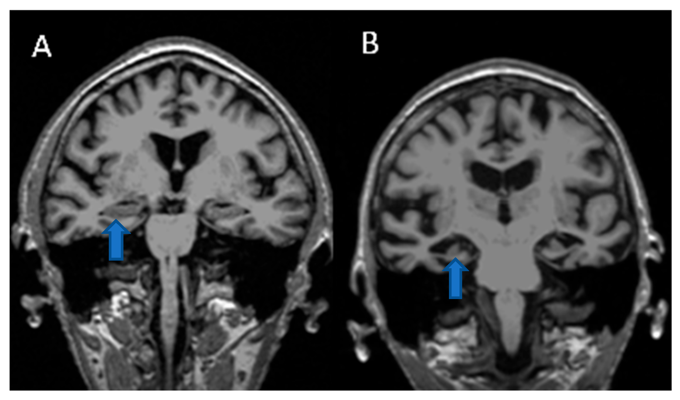
2.1. MRI Imaging of the Hippocampus of a Control Patient vs. An Alzheimer’s Disease Patient
2.2. Hippocampal Volume Controls vs. Alzheimer’s Disease
2.3. CSF Erythrocyte Load vs. Hippocampal Volume
- -
- All subjects: r = 0.049, p = 0.0466.
- -
- AD: r = −0.021, p = 0.662.
- -
- CN: r = +0.076, p = 0.0071.
2.4. Mean Arterial Pressure (MAPres) vs. Hippocampal Volume
- –
- All subjects: r = −0.024, p = 0.157.
- –
- AD: r = +0.096, p = 0.004.
- –
- CN: r = −0.029, p = 0.130.
2.5. Longitudinal Mixed-Effects Model (Lagged Predictors)
3. Discussion
4. Materials and Method
- Unzip DICOM data.
- Convert DICOM data to NIFTI.
- Until all scans are processed, do the following:
- Load 8 scans in parallel.
- Observe which of the three following events occurs:
- An error occurs during processing of a scan. (Errors could be caused by corrupt scans, very low resolution, extreme artifacts, and heavy editing from the source, as well as the depiction of unrelated areas of the brain instead of a full brain scan (which is eligible for use in FreeSurfer)).
- A scan has been successfully segmented.
- A scan type is unusable for segmentation analysis.
- Then, catalog the event of success, failure or omission, save the available results, and replace it with a new one from the heap of unprocessed scans, so that at every moment, the maximum number of scans is being processed and no processor is left idle.
Author Contributions
Funding
Institutional Review Board Statement
Informed Consent Statement
Data Availability Statement
Acknowledgments
Conflicts of Interest
Abbreviations
| AD | Alzheimer’s Disease |
| CN | Cognitively Normal |
| MDPI | Multidisciplinary Digital Publishing Institute |
| MAPres | Mean Arterial Pressure |
| CSF | Cerebrospinal Fluid |
| CTRED | Erythrocyte Count in CSF |
| BBB | Blood Brain Barrier |
References
- Khan, B.; Iqbal, M.K.; Khan, M.A.; Khan, H.; Kiyani, M.M.; Bashir, S.; Li, S. Unraveling the Complexity of Alzheimer’s Disease: Insights into Etiology and Advancements in Treatment Strategies. J. Mol. Neurosci. 2025, 75, 57. [Google Scholar] [CrossRef] [PubMed]
- Yu, L.; Wang, T.; Wilson, R.S.; Guo, W.; Aggarwal, N.T.; Bennett, D.A.; Boyle, P.A. Predicting age at Alzheimer’s dementia onset with the cognitive clock. Alzheimer’s Dement. 2023, 19, 3555–3562. [Google Scholar] [CrossRef] [PubMed]
- Yamada, T.; Hattori, H.; Miura, A.; Tanabe, M.; Yamori, Y. Prevalence of Alzheimer’s disease, vascular dementia and dementia with Lewy bodies in a Japanese population. Psychiatry Clin. Neurosci. 2001, 55, 21–25. [Google Scholar] [CrossRef] [PubMed]
- Hebert, L.E.; Scherr, P.A.; Bienias, J.L.; Bennett, D.A.; Evans, D.A. Alzheimer disease in the US population: Prevalence estimates using the 2000 census. Arch. Neurol. 2003, 60, 1119–1122. [Google Scholar] [CrossRef]
- Rao, G.; Gao, H.; Wang, X.; Zhang, J.; Ye, M.; Rao, L. MRI measurements of brain hippocampus volume in relation to mild cognitive impairment and Alzheimer disease: A systematic review and meta-analysis. Medicine 2023, 102, e34997. [Google Scholar] [CrossRef]
- Zhou, J.; Zhao, M.; Yang, Z.; Chen, L.; Liu, X. Exploring the Value of MRI Measurement of Hippocampal Volume for Predicting the Occurrence and Progression of Alzheimer’s Disease Based on Artificial Intelligence Deep Learning Technology and Evidence-Based Medicine Meta-Analysis. J. Alzheimer’s Dis. 2024, 97, 1275–1288. [Google Scholar] [CrossRef]
- Li, L.M.; Che, P.; Liu, D.; Wang, Y.; Li, J.; He, D.; Liu, T.; Zhang, N. Diagnostic and discriminative accuracy of plasma phosphorylated tau 217 for symptomatic Alzheimer’s disease in a Chinese cohort. J. Prev. Alzheimer’s Dis. 2025, 12, 100092. [Google Scholar] [CrossRef]
- Lee, H.; Fu, J.F.; Gaudet, K.; Bryant, A.G.; Price, J.C.; Bennett, R.E.; Johnson, K.A.; Hyman, B.T.; Hedden, T.; Salat, D.H.; et al. Aberrant vascular architecture in the hippocampus correlates with tau burden in mild cognitive impairment and Alzheimer’s disease. J. Cereb. Blood Flow. Metab. 2024, 44, 787–800. [Google Scholar] [CrossRef]
- Wang, X.; Sun, Y.; Li, T.; Cai, Y.; Han, Y. Amyloid-beta as a Blood Biomarker for Alzheimer’s Disease: A Review of Recent Literature. J. Alzheimer’s Dis. 2020, 73, 819–832. [Google Scholar] [CrossRef]
- Furcila, D.; DeFelipe, J.; Alonso-Nanclares, L. A Study of Amyloid-beta and Phosphotau in Plaques and Neurons in the Hippocampus of Alzheimer’s Disease Patients. J. Alzheimer’s Dis. 2018, 64, 417–435. [Google Scholar] [CrossRef]
- Galasko, D.; Chang, L.; Motter, R.; Clark, C.M.; Kaye, J.; Knopman, D.; Thomas, R.; Kholodenko, D.; Schenk, D.; Lieberburg, I.; et al. High cerebrospinal fluid tau and low amyloid beta42 levels in the clinical diagnosis of Alzheimer disease and relation to apolipoprotein E genotype. Arch. Neurol. 1998, 55, 937–945. [Google Scholar] [CrossRef] [PubMed]
- Sousa, J.A.; Bernardes, C.; Bernardo-Castro, S.; Lino, M.; Albino, I.; Ferreira, L.; Bras, J.; Guerreiro, R.; Tabuas-Pereira, M.; Baldeiras, I.; et al. Reconsidering the role of blood-brain barrier in Alzheimer’s disease: From delivery to target. Front. Aging Neurosci. 2023, 15, 1102809. [Google Scholar] [CrossRef] [PubMed]
- Yamazaki, Y.; Kanekiyo, T. Blood-Brain Barrier Dysfunction and the Pathogenesis of Alzheimer’s Disease. Int. J. Mol. Sci. 2017, 18, 1965. [Google Scholar] [CrossRef] [PubMed]
- Zenaro, E.; Piacentino, G.; Constantin, G. The blood-brain barrier in Alzheimer’s disease. Neurobiol. Dis. 2017, 107, 41–56. [Google Scholar] [CrossRef]
- Dotiwala, A.K.; McCausland, C.; Samra, N.S. Anatomy, Head and Neck: Blood Brain Barrier. In StatPearls; StatPearls Publishing: Treasure Island, FL, USA, 2025. [Google Scholar]
- Ohene, Y.; Morrey, W.J.; Powell, E.; Smethers, K.F.; Luka, N.; South, K.; Berks, M.; Lawrence, C.B.; Parker, G.J.M.; Parkes, L.M.; et al. MRI detects blood-brain barrier alterations in a rat model of Alzheimer’s disease and lung infection. Npj Imaging 2025, 3, 8. [Google Scholar] [CrossRef]
- Min, J.; Zhao, Y.; Lv, C.; Hu, H. Red blood cell count in cerebrospinal fluid was correlated with inflammatory markers on the seventh postoperative day and all associated with the outcome of aneurysmal subarachnoid hemorrhage patients. Front. Med. 2024, 11, 1408126. [Google Scholar] [CrossRef]
- Lindner, A.; Berek, K.; Rass, V.; Di Pauli, F.; Kofler, M.; Zinganell, A.; Putnina, L.; Kindl, P.; Schiefecker, A.J.; Pfausler, B.; et al. Lower initial red blood cell count in cerebrospinal fluid predicts good functional outcome in patients with spontaneous subarachnoid haemorrhage. Eur. J. Neurol. 2023, 30, 2315–2323. [Google Scholar] [CrossRef]
- Liu, J.; Zhu, Z.; Leung, G.K. Erythrophagocytosis by Microglia/Macrophage in Intracerebral Hemorrhage: From Mechanisms to Translation. Front. Cell Neurosci. 2022, 16, 818602. [Google Scholar] [CrossRef]
- Schallner, N.; Pandit, R.; LeBlanc, R., III; Thomas, A.J.; Ogilvy, C.S.; Zuckerbraun, B.S.; Gallo, D.; Otterbein, L.E.; Hanafy, K.A. Microglia regulate blood clearance in subarachnoid hemorrhage by heme oxygenase-1. J. Clin. Investig. 2015, 125, 2609–2625. [Google Scholar] [CrossRef]
- Lin, W.; Chen, W.; Liu, K.; Ma, P.; Qiu, P.; Zheng, C.; Zhang, X.; Tan, P.; Xi, X.; He, X. Mitigation of Microglia-mediated Acute Neuroinflammation and Tissue Damage by Heme Oxygenase 1 in a Rat Spinal Cord Injury Model. Neuroscience 2021, 457, 27–40. [Google Scholar] [CrossRef]
- Wollborn, J.; Steiger, C.; Doostkam, S.; Schallner, N.; Schroeter, N.; Kari, F.A.; Meinel, L.; Buerkle, H.; Schick, M.A.; Goebel, U. Carbon Monoxide Exerts Functional Neuroprotection After Cardiac Arrest Using Extracorporeal Resuscitation in Pigs. Crit. Care Med. 2020, 48, e299–e307. [Google Scholar] [CrossRef] [PubMed]
- Fraser, S.T.; Midwinter, R.G.; Berger, B.S.; Stocker, R. Heme Oxygenase-1: A Critical Link between Iron Metabolism, Erythropoiesis, and Development. Adv. Hematol. 2011, 2011, 473709. [Google Scholar] [CrossRef] [PubMed]
- Queiroga, C.S.; Alves, R.M.; Conde, S.V.; Alves, P.M.; Vieira, H.L. Paracrine effect of carbon monoxide—Astrocytes promote neuroprotection through purinergic signaling in mice. J. Cell Sci. 2016, 129, 3178–3188. [Google Scholar] [CrossRef] [PubMed]
- Upton, M.L.; Weller, R.O. The morphology of cerebrospinal fluid drainage pathways in human arachnoid granulations. J. Neurosurg. 1985, 63, 867–875. [Google Scholar] [CrossRef]
- Hansen, E.A.; Romanova, L.; Janson, C.; Lam, C.H. The effects of blood and blood products on the arachnoid cell. Exp. Brain Res. 2017, 235, 1749–1758. [Google Scholar] [CrossRef]
- Weller, R.O.; Djuanda, E.; Yow, H.Y.; Carare, R.O. Lymphatic drainage of the brain and the pathophysiology of neurological disease. Acta Neuropathol. 2009, 117, 1–14. [Google Scholar] [CrossRef]
- Da Mesquita, S.; Louveau, A.; Vaccari, A.; Smirnov, I.; Cornelison, R.C.; Kingsmore, K.M.; Contarino, C.; Onengut-Gumuscu, S.; Farber, E.; Raper, D.; et al. Functional aspects of meningeal lymphatics in ageing and Alzheimer’s disease. Nature 2018, 560, 185–191. [Google Scholar] [CrossRef]
- Zhao, X.; Song, S.; Sun, G.; Strong, R.; Zhang, J.; Grotta, J.C.; Aronowski, J. Neuroprotective role of haptoglobin after intracerebral hemorrhage. J. Neurosci. 2009, 29, 15819–15827. [Google Scholar] [CrossRef]
- Leclerc, J.L.; Santiago-Moreno, J.; Dang, A.; Lampert, A.S.; Cruz, P.E.; Rosario, A.M.; Golde, T.E.; Dore, S. Increased brain hemopexin levels improve outcomes after intracerebral hemorrhage. J. Cereb. Blood Flow. Metab. 2018, 38, 1032–1046. [Google Scholar] [CrossRef]
- Pittman, R.N. Regulation of Tissue Oxygenation; Integrated Systems Physiology: From Molecule to Function to Disease; Morgan & Claypool Life Sciences: San Rafael, CA, USA, 2011. [Google Scholar]
- Ashraf, A.A.; Dani, M.; So, P.W. Low Cerebrospinal Fluid Levels of Hemopexin Are Associated With Increased Alzheimer’s Pathology, Hippocampal Hypometabolism, and Cognitive Decline. Front. Mol. Biosci. 2020, 7, 590979. [Google Scholar] [CrossRef]
- Thomson, B.R.; Richter, H.; Akeret, K.; Buzzi, R.M.; Anagnostakou, V.; van Niftrik, C.H.B.; Schwendinger, N.; Kulcsar, Z.; Kronen, P.W.; Regli, L.; et al. Blood oxygenation-level dependent cerebrovascular reactivity imaging as strategy to monitor CSF-hemoglobin toxicity. J. Stroke Cerebrovasc. Dis. 2023, 32, 106985. [Google Scholar] [CrossRef] [PubMed]
- Thomson, B.R.; Schwendinger, N.; Beckmann, K.; Gentinetta, T.; Couto, D.; Wymann, S.; Verdon, V.; Buzzi, R.M.; Akeret, K.; Kronen, P.W.; et al. Haptoglobin Attenuates Cerebrospinal Fluid Hemoglobin-Induced Neurological Deterioration in Sheep. Transl. Stroke Res. 2025, 16, 728–732. [Google Scholar] [CrossRef] [PubMed]
- Qu, H.; Ge, H.; Wang, L.; Wang, W.; Hu, C. Volume changes of hippocampal and amygdala subfields in patients with mild cognitive impairment and Alzheimer’s disease. Acta Neurol. Belg. 2023, 123, 1381–1393. [Google Scholar] [CrossRef]
- Beaman, E.E.; Bonde, A.N.; Larsen, S.M.U.; Ozenne, B.; Lohela, T.J.; Nedergaard, M.; Gislason, G.H.; Knudsen, G.M.; Holst, S.C. Blood-brain barrier permeable beta-blockers linked to lower risk of Alzheimer’s disease in hypertension. Brain 2023, 146, 1141–1151. [Google Scholar] [CrossRef]
- Akeret, K.; Buzzi, R.M.; Schaer, C.A.; Thomson, B.R.; Vallelian, F.; Wang, S.; Willms, J.; Sebok, M.; Held, U.; Deuel, J.W.; et al. Cerebrospinal fluid hemoglobin drives subarachnoid hemorrhage-related secondary brain injury. J. Cereb. Blood Flow. Metab. 2021, 41, 3000–3015. [Google Scholar] [CrossRef]
- Greenberg, S.M.; Bacskai, B.J.; Hernandez-Guillamon, M.; Pruzin, J.; Sperling, R.; van Veluw, S.J. Cerebral amyloid angiopathy and Alzheimer disease—One peptide, two pathways. Nat. Rev. Neurol. 2020, 16, 30–42. [Google Scholar] [CrossRef]
- Schreiner, T.G.; Menendez-Gonzalez, M.; Popescu, B.O. The “Cerebrospinal Fluid Sink Therapeutic Strategy” in Alzheimer’s Disease-From Theory to Design of Applied Systems. Biomedicines 2022, 10, 1509. [Google Scholar] [CrossRef]
- Coto-Vilcapoma, M.A.; Castilla-Silgado, J.; Fernandez-Garcia, B.; Pinto-Hernandez, P.; Cipriani, R.; Capetillo-Zarate, E.; Menendez-Gonzalez, M.; Alvarez-Vega, M.; Tomas-Zapico, C. New, Fully Implantable Device for Selective Clearance of CSF-Target Molecules: Proof of Concept in a Murine Model of Alzheimer’s Disease. Int. J. Mol. Sci. 2022, 23, 9256. [Google Scholar] [CrossRef]
- Tachatos, N.; Willms, J.F.; Gerlt, M.S.; Kuruvithadam, K.; Hugelshofer, M.; Akeret, K.; Deuel, J.; Keller, E.; Schmid Daners, M. OxyHbMeter-a novel bedside medical device for monitoring cell-free hemoglobin in the cerebrospinal fluid-proof of principle. Front. Med. Technol. 2024, 6, 1274058. [Google Scholar] [CrossRef]



| Predictor | Coef. | p-Value |
|---|---|---|
| Intercept | 0.003303 | <0.001 |
| research_group[T.AD] | −0.000533 | <0.001 |
| YearsSinceFirst | −0.000016 | <0.001 |
| YearsSinceFirst:research_group[T.AD] | −0.000047 | <0.001 |
| Predictor | Coef. | p-Value |
|---|---|---|
| z_prev_CTRED | −0.000015 | <0.001 |
| YearsSinceFirsrt | −0.000018 | <0.001 |
| YearsSinceFirst:research_group[T.AD] | −0.000110 | <0.001 |
| research_group[T.AD] | −0.000457 | <0.001 |
| Predictor | Coef. | p-Value |
|---|---|---|
| z_prev_CTRED | −0.000003 | <0.393 |
| YearsSinceFirst | −0.000015 | <0.001 |
| YearsSinceFirst:research_group | −0.000052 | <0.001 |
| Research_group[T.AD] | −0.000528 | <0.001 |
| Mean ± Std Dev | Cognitively Normal (CN) (1114 Subjects) | Alzheimer’s Disease (AD) (174 Subjects) |
|---|---|---|
| Years of Age | 75.85 ± 4.66 | 73.94 ± 7.21 |
| MMSE score | 28.38 ± 2.75 | 20.99 ± 5.22 |
| Females | 569 (51%) | 105 (60%) |
| Males | 545 (49%) | 69 (40%) |
Disclaimer/Publisher’s Note: The statements, opinions and data contained in all publications are solely those of the individual author(s) and contributor(s) and not of MDPI and/or the editor(s). MDPI and/or the editor(s) disclaim responsibility for any injury to people or property resulting from any ideas, methods, instructions or products referred to in the content. |
© 2025 by the authors. Licensee MDPI, Basel, Switzerland. This article is an open access article distributed under the terms and conditions of the Creative Commons Attribution (CC BY) license (https://creativecommons.org/licenses/by/4.0/).
Share and Cite
Christodoulou, R.; Vamvouras, G.; Lorentzen, L.; Vassiliou, E. Erythrocyte Load in Cerebrospinal Fluid Linked with Hippocampal Atrophy in Alzheimer’s Disease. J. Clin. Med. 2025, 14, 4670. https://doi.org/10.3390/jcm14134670
Christodoulou R, Vamvouras G, Lorentzen L, Vassiliou E. Erythrocyte Load in Cerebrospinal Fluid Linked with Hippocampal Atrophy in Alzheimer’s Disease. Journal of Clinical Medicine. 2025; 14(13):4670. https://doi.org/10.3390/jcm14134670
Chicago/Turabian StyleChristodoulou, Rafail, Georgios Vamvouras, Laura Lorentzen, and Evros Vassiliou. 2025. "Erythrocyte Load in Cerebrospinal Fluid Linked with Hippocampal Atrophy in Alzheimer’s Disease" Journal of Clinical Medicine 14, no. 13: 4670. https://doi.org/10.3390/jcm14134670
APA StyleChristodoulou, R., Vamvouras, G., Lorentzen, L., & Vassiliou, E. (2025). Erythrocyte Load in Cerebrospinal Fluid Linked with Hippocampal Atrophy in Alzheimer’s Disease. Journal of Clinical Medicine, 14(13), 4670. https://doi.org/10.3390/jcm14134670

