Does Cranial Base Angle Make a Difference in the Effectiveness of Functional Orthopedic Treatment? A Retrospective Cohort Study
Abstract
1. Introduction
2. Materials and Methods
- ANB° > 4 degrees;
- Bilateral molar and canine complete Class II molar and canine relationship in the permanent dentition;
- Overjet exceeding 6 mm;
- Normal or decreased SN/GoGn°;
- Craniomaxillofacial structures clearly visible on lateral cephalometric radiography (9).
- History of previous orthodontic treatment;
- History of congenital anomalies or trauma affecting the dentofacial region;
- Presence of medical conditions affecting bone structure.
2.1. Sample Size Calculation
2.2. Orthopedic–Orthodontic Interventions
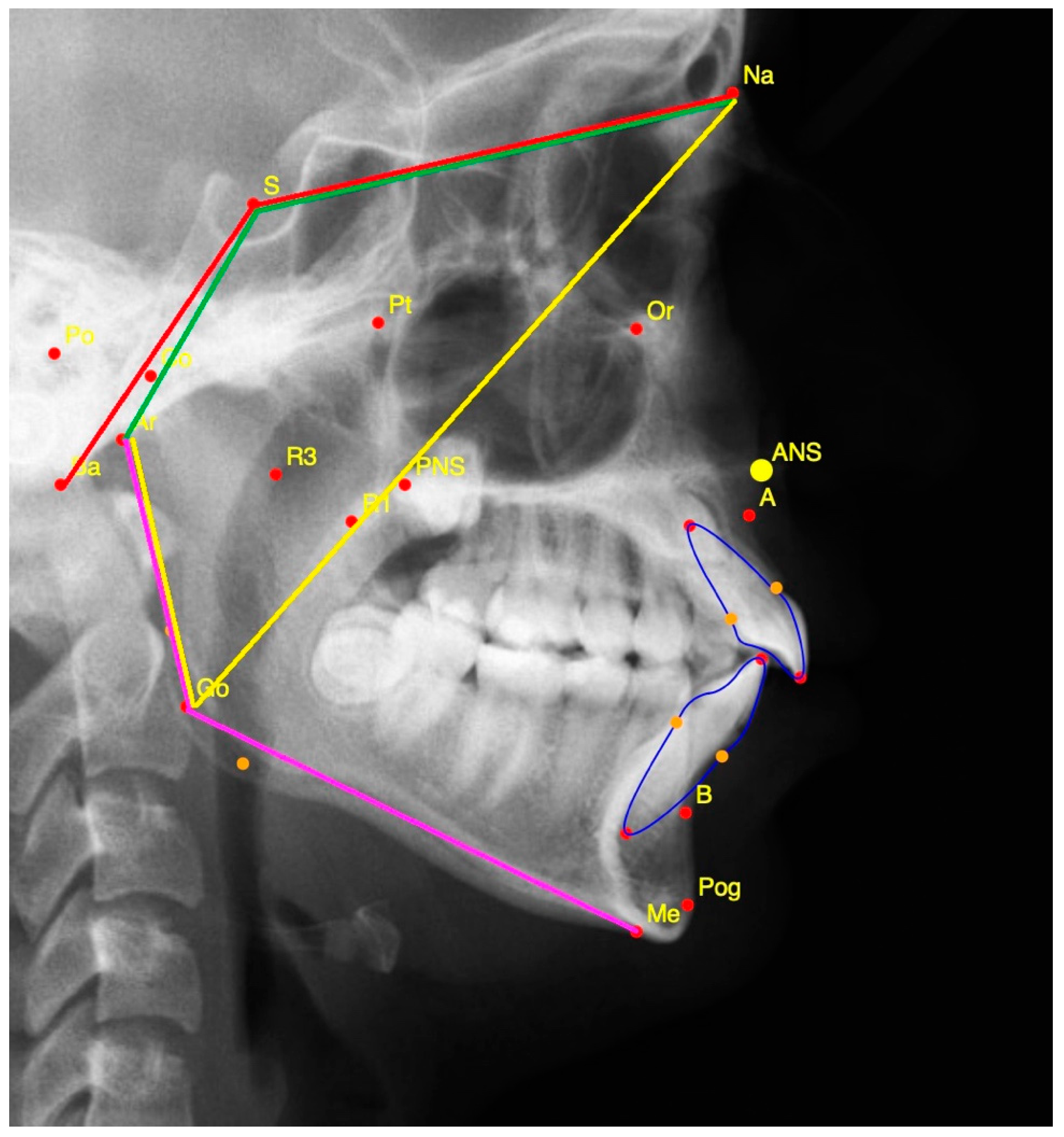
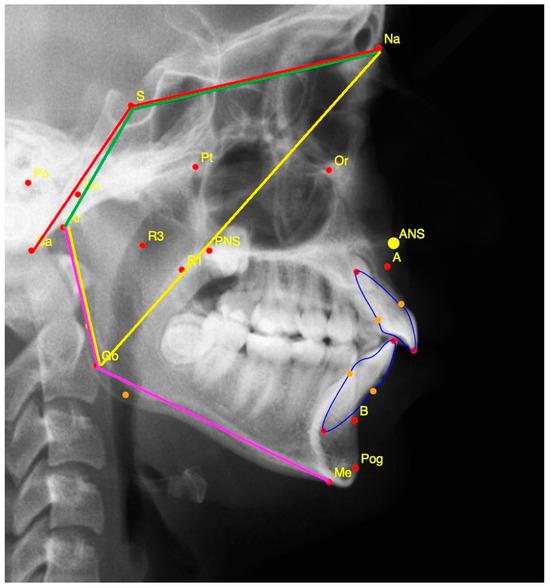
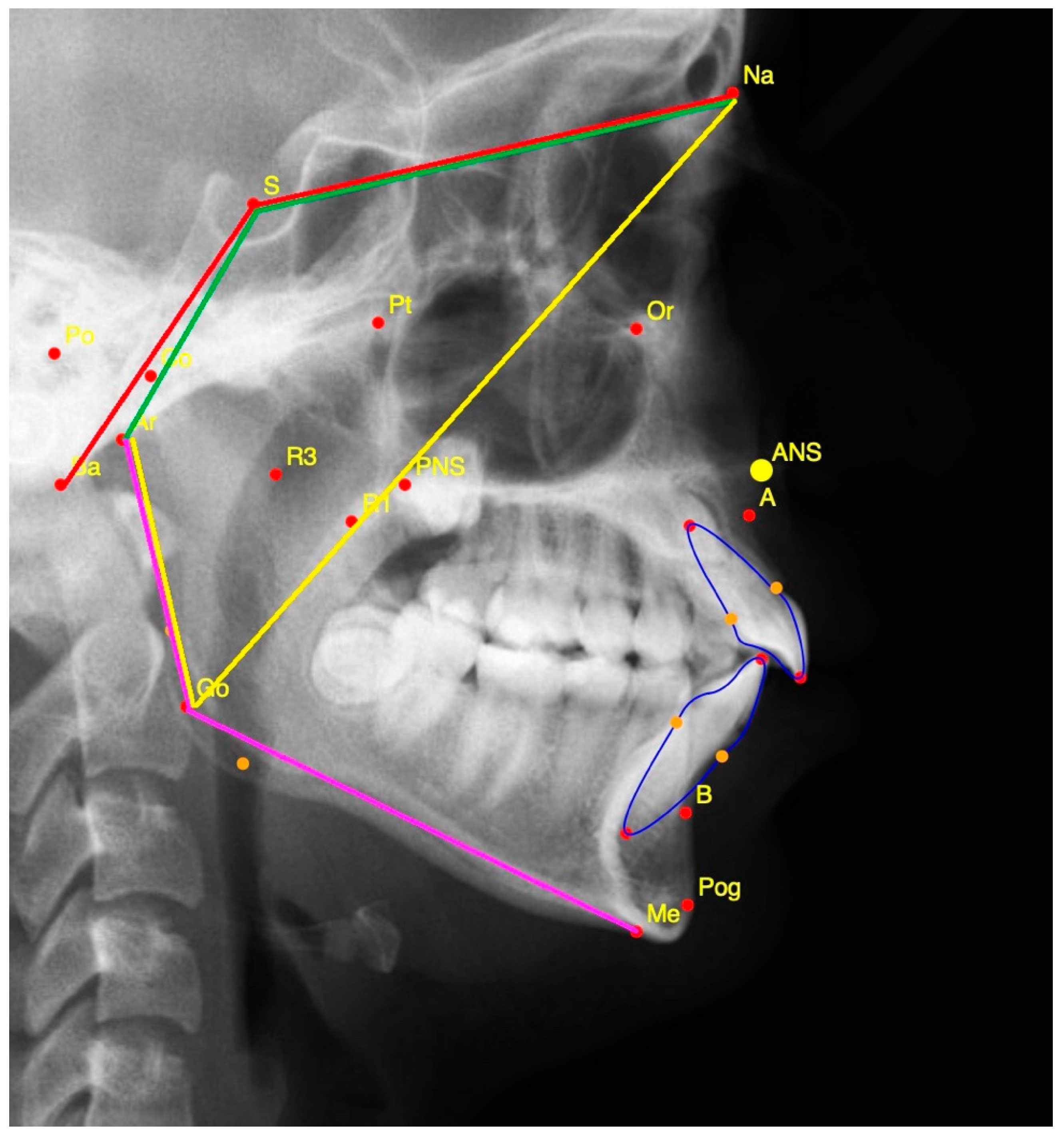
2.3. Measurements
2.4. Statistical Analysis
3. Results
4. Discussion
5. Conclusions
Supplementary Materials
Author Contributions
Funding
Institutional Review Board Statement
Informed Consent Statement
Data Availability Statement
Conflicts of Interest
References
- McLain, J.B.; Proffitt, W. Oral health status in the United States: Prevalence of malocclusion. J. Dent. Educ. 1985, 49, 386–397. [Google Scholar] [CrossRef]
- Ngan, P.W.; Byczek, E.; Scheick, J. Longitudinal evaluation of growth changesin class II division 1 subjects. Semin. Orthod. 1997, 3, 222–231. [Google Scholar] [CrossRef] [PubMed]
- Polat, Ö.; Kaya, B. Changes in cranial base morphology in different malocclusions. Orthod. Craniofac. Res. 2007, 10, 216–221. [Google Scholar] [CrossRef]
- Bishara, S.E.; Ziaja, R.R. Functional appliances: A review. Am. J. Orthod. Dentofac. Orthop. 1989, 95, 250–258. [Google Scholar] [CrossRef] [PubMed]
- Wahl, N. Orthodontics in 3 millennia. Chapter 9: Functional appliances to midcentury. Am. J. Orthod. Dentofac. Orthop. 2006, 129, 829–833. [Google Scholar] [CrossRef]
- Aelbers, C.F.; Dermaut, L. Orthopedics in orthodontics: Part I, fiction or reality a—Review of the literature. Am. J. Orthod. Dentofac. Orthop. 1996, 110, 513–519. [Google Scholar] [CrossRef] [PubMed]
- D’Antò, V.; Bucci, R.; Franchi, L.; Rongo, R.; Michelotti, A.; Martina, R. Class II functional orthopaedic treatment: A systematic review of systematic reviews. J. Oral Rehabil. 2015, 42, 624–642. [Google Scholar] [CrossRef]
- Freunthaller, P. Cephalometric observation in Class II, Division I malocclusions treated with the activator. Angle Orthod. 1967, 37, 18–25. [Google Scholar] [CrossRef] [PubMed]
- Almeida, M.R.; Henriques, J.F.; Almeida, R.R.; Almeida-Pedrin, R.R.; Ursi, W. Treatment effects produced by the Bionator appliance. Comparison with an untreated Class II sample. Eur. J. Orthod. 2004, 26, 65–72. [Google Scholar] [CrossRef]
- Owen, A.H., III. Frontal facial changes with the Fränkel appliance. Angle Orthod. 1988, 58, 257–287. [Google Scholar]
- Coban, G.; Gul Amuk, N.; Yagci, A.; Akgun, G.; Abbood Abbood, I.H. Evaluation of external apical root resorption caused by fixed functional treatment of class II malocclusion: Cast splint Herbst appliance vs. Forsus fatigue resistant device. J. Orofac. Orthop. 2023, 84, 50–59. [Google Scholar] [CrossRef] [PubMed]
- Pancherz, H. The Herbst appliance—Its biologic effects and clinical use. Am. J. Orthod. 1985, 87, 1–20. [Google Scholar] [CrossRef] [PubMed]
- Cacciatore, G.; Ghislanzoni, L.T.H.; Alvetro, L.; Giuntini, V.; Franchi, L. Treatment and posttreatment effects induced by the Forsus appliance: A controlled clinical study. Angle Orthod. 2014, 84, 1010–1017. [Google Scholar] [CrossRef]
- Pacha, M.M.; Fleming, P.S.; Johal, A. A comparison of the efficacy of fixed versus removable functional appliances in children with Class II malocclusion: A systematic review. Eur. J. Orthod. 2016, 38, 621–630. [Google Scholar] [CrossRef] [PubMed]
- Dhopatkar, A.; Bhatia, S.; Rock, P. An investigation into the relationship between the cranial base angle and malocclusion. Angle Orthod. 2002, 72, 456–463. [Google Scholar] [CrossRef]
- Kerr, W.J.S. A Method of Superimposing Serial Lateral Cephalometric Films for the Purpose of Comparison: A Preliminary Report. Br. J. Orthod. 1978, 5, 51–53. [Google Scholar] [CrossRef] [PubMed]
- Malta, L.A.; Ortolani, C.F.; Faltin, K. Quantification of cranial base growth during pubertal growth. J. Orthod. 2009, 36, 229–235. [Google Scholar] [CrossRef] [PubMed]
- Afrand, M.; Ling, C.P.; Khosrotehrani, S.; Flores-Mir, C.; Lagravère-Vich, M.O. Anterior cranial-base time-related changes: A systematic review. Am. J. Orthod. Dentofac. Orthop. 2014, 146, 21–32.e26. [Google Scholar] [CrossRef] [PubMed]
- Klocke, A.; Nanda, R.S.; Kahl-Nieke, B. Role of cranial base flexure in developing sagittal jaw discrepancies. Am. J. Orthod. Dentofac. Orthop. 2002, 122, 386–391. [Google Scholar] [CrossRef]
- Faul, F.; Erdfelder, E.; Lang, A.G.; Buchner, A. G*Power 3: A flexible statistical power analysis program for the social, behavioral, and biomedical sciences. Behav. Res. Methods 2007, 39, 175–191. [Google Scholar] [CrossRef] [PubMed]
- Çoban, G.; Öztürk, T.; Erdem, M.E.; Kış, H.C.; Yağcı, A. Effects of maxillary expansion and protraction on pharyngeal airway dimensions in relation to changes in head posture and hyoid position. J. Orofac. Orthop. Fortschr. Kieferorthop. 2023, 84, 172–185. [Google Scholar] [CrossRef] [PubMed]
- The Jamovi Project. Jamovi (Version 2.5) [Computer Software]. 2024. Available online: https://www.jamovi.org (accessed on 23 April 2024).
- Courtney, M.; Harkness, M.; Herbison, P. Maxillary and cranial base changes during treatment with functional appliances. Am. J. Orthod. Dentofac. Orthop. 1996, 109, 616–624. [Google Scholar] [CrossRef] [PubMed]
- Okano, K.S.; Cevidanes, L.H.S.; Cheib, P.L.; de Oliveira Ruellas, A.C.; Yatabe, M.; Nguyen, T.; Franchi, L.; McNamara, J.A., Jr.; Souki, B.Q. Three-dimensional assessment of the middle cranial fossa and central skull base following Herbst appliance treatment. Angle Orthod. 2018, 88, 757–764. [Google Scholar] [CrossRef] [PubMed]
- Bacon, W.; Eiller, V.; Hildwein, M.; Dubois, G. The cranial base in subjects with dental and skeletal Class II. Eur. J. Orthod. 1992, 14, 224–228. [Google Scholar] [CrossRef]
- Bhattacharya, A.; Bhatia, A.; Patel, D.; Mehta, N.; Parekh, H.; Trivedi, R. Evaluation of relationship between cranial base angle and maxillofacial morphology in Indian population: A cephalometric study. J. Orthod. Sci. 2014, 3, 74–80. [Google Scholar]
- Meyer-Marcotty, P.; Kochel, J.; Richter, U.; Richter, F. Reaction of facial soft tissues to treatment with a Herbst appliance. J. Orofac. Orthop. Fortschr. Kieferorthop. 2012, 73, 116. [Google Scholar] [CrossRef] [PubMed]
- Güler, Ö.Ç.; Malkoç, S. Comparison of facial soft tissue changes after treatment with 3 different functional appliances. Am. J. Orthod. Dentofac. Orthop. 2020, 158, 518–526. [Google Scholar] [CrossRef] [PubMed]
- de Almeida, M.R.; Flores-Mir, C.; Brandão, A.G.; de Almeida, R.R.; de Almeida-Pedrin, R.R. Oft tissue changes produced by a banded-type herbst appliance in late mixed dentition patients. World J. Orthod. 2008, 9, 121. [Google Scholar]
- Flores-Mir, C.; Major, M.P.; Major, P.W. Soft tissue changes with fixed functional appliances in Class II division 1: A systematic review. Angle Orthod. 2006, 76, 712–720. [Google Scholar]
- Brandão, N.M.C.B.; Palomares, N.B.; Lima, T.; Quintão, C.C.A.; Lopes, K.B.; Miguel, J.A.M. Facial soft tissue changes in adolescent patients treated with three different functional appliances: A randomized clinical trial. Dent. Press J. Orthod. 2024, 29, e242440. [Google Scholar] [CrossRef]
- Tomášik, J.; Zsoldos, M.; Majdáková, K.; Fleischmann, A.; Oravcová, Ľ.; Sónak Ballová, D.; Thurzo, A. The Potential of AI-Powered Face Enhancement Technologies in Face-Driven Orthodontic Treatment Planning. Appl. Sci. 2024, 14, 7837. [Google Scholar] [CrossRef]





| Low CBA | Medium CBA | High CBA | p Values | ||
|---|---|---|---|---|---|
| Gender | Male | 7 (54.0) | 4 (30.8) | 4 (30.8) | 0.102 * |
| Female | 6 (46.0) | 9 (69.2) | 9 (69.2) | ||
| CVM Stage | Stage 4 | 5 (38.0) | 3 (23.0) | 7 (54.0) | 0.273 * |
| Stage 5 | 8 (62.0) | 10 (77.0) | 6 (46.0) | ||
| Hand–Wrist Stage | Stage 6 | 4 (30.8) | 1 (7.6) | 2 (15.4) | 0.531 * |
| Stage 7 | 2 (15.4) | 2 (15.4) | 2 (15.4) | ||
| Stage 8 | 1 (7.6) | 4 (30.8) | 5 (38.4) | ||
| Stage 9 | 6 (46.2) | 6 (46.2) | 4 (30.8) | ||
| Appliance Type | Forsus | 7 (54.0) | 7 (54.0) | 6 (46.0) | 0.902 * |
| Herbst | 6 (46.0) | 6 (46.0) | 7 (54.0) | ||
| Orthopedic Treatment Duration (year) | 0.69 ± 0.08 | 0.70 ± 0.07 | 0.70 ± 0.11 | 0.974 ** | |
| Orthopedic and Orthodontic Treatment Duration (year) | 2.62 ± 1.29 | 2.41 ± 0.35 | 2.15 ± 0.56 | 0.337 ** | |
| Age (year) | 14.62 ± 1.12 | 14.38 ± 0.96 | 14.08 ± 1.04 | 0.461 ** | |
| Type | Measurement | Low CBA | Medium CBA | High CBA | p Values |
|---|---|---|---|---|---|
| Cranial Base Measurements | N-S-Ba | 128.01 ± 2.02 a | 134.64 ± 0.92 b | 139.31 ± 2.42 c | <0.001 * |
| S-Ba | 45.92 ± 4.26 | 44.08 ± 3.75 | 47.02 ± 3.26 | 0.130 * | |
| N-S-Art | 122.62 ± 3.34 a | 128.24 ± 3.78 b | 132.08 ± 4.22 c | <0.001 * | |
| Ar-N | 80.6 ± 5.8 | 82.32 ± 4.92 | 85.25 ± 4.39 | 0.078 * | |
| S-Ar | 35.25 ± 3.93 | 32.72 ± 3.23 | 34.74 ± 2.29 | 0.145 * | |
| S-N | 65.85 ± 4.12 | 65.78 ± 3.19 | 65.78 ± 3.81 | 0.999 * | |
| Ar-Go-Me | 119.95 ± 33.75 | 129.83 ± 7.95 | 128.4 ± 5.96 | 0.576 * | |
| Ar-Go-N | 52.5 ± 5.25 | 54.86 ± 5.43 | 54.22 ± 5.02 | 0.521 * | |
| Sagittal and Vertical Skeletal Measurements | N-Go-Me | 75.82 ± 7.19 | 74.95 ± 6.26 | 74.2 ± 4.14 | 0.778 * |
| Go-Me | 59.44 ± 5.23 | 61.65 ± 4.71 | 61.72 ± 4.62 | 0.445 * | |
| SNA | 80.21 ± 3.48 | 80.02 ± 3.14 | 78.27 ± 2.68 | 0.264 ** | |
| SNB | 74.38 ± 3.20 | 75.48 ± 2.59 | 72.96 ± 1.96 | 0.063 * | |
| ANB | 5.85 ± 2.16 | 4.54 ± 1.66 | 5.62 ± 1.26 | 0.133 * | |
| Wits | 4.65 ± 2.4 | 3.25 ± 2.44 | 5.28 ± 2.15 | 0.100 * | |
| ANS-Me | 61.65 ± 5.36 | 60.58 ± 6.31 | 61.72 ± 4.98 | 0.866 * | |
| SN/GoGn | 34.03 ± 8.18 | 33.43 ± 5.81 | 34.76 ± 4.04 | 0.796 * | |
| SN/PP | 7.97 ± 3.41 | 9.12 ± 1.9 | 10.51 ± 3.79 | 0.232 * | |
| PP/GoGn | 26.06 ± 8.37 | 24.32 ± 5.53 | 24.26 ± 4.91 | 0.790 * | |
| Na-Me | 109.45 ± 6.58 | 108.56 ± 9.54 | 110.54 ± 7.29 | 0.834 * | |
| S-Go | 70.17 ± 7.26 | 68.39 ± 5.28 | 69.55 ± 5.74 | 0.755 * | |
| S-Go/N-Me | 64.16 ± 5.67 | 63.18 ± 3.97 | 62.91 ± 2.7 | 0.780 * | |
| N-ANS | 50.19 ± 4.02 | 49.82 ± 4.34 | 51.05 ± 4.45 | 0.775 * | |
| ANS-Gn | 58.28 ± 5.46 | 57.07 ± 6.28 | 58.24 ± 4.88 | 0.845 | |
| N-Gn | 108.5 ± 6.62 | 107.11 ± 9.56 | 109.3 ± 7.2 | 0.810 * | |
| CoA | 83.38 ± 6.17 | 93.95 ± 28.04 | 86.83 ± 6.12 | 0.224 * | |
| CoGn | 108.75 ± 7.39 | 113.72 ± 7.76 | 111.16 ± 7.15 | 0.275 * | |
| Mx/Md Diff | 20.86 ± 2.6 | 22.5 ± 4.35 | 20.06 ± 3.35 | 0.305 * | |
| Incisor Measurements | U1/SN | 95.73 ± 9.73 | 97.75 ± 8.41 | 100 ± 9 | 0.526 * |
| U1/PP | 102.19 ± 11.9 | 106.61 ± 7.48 | 110.52 ± 8.62 | 0.146 * | |
| U1-NA | 1.88 ± 3.64 | 3.55 ± 3.07 | 4.72 ± 2.84 | 0.111 * | |
| U1/NA | 13.98 ± 11.61 | 18.15 ± 8.99 | 22.2 ± 8.74 | 0.147 * | |
| L1-APog | −0.16 ± 3.55 | 0.25 ± 2.5 | −0.12 ± 1.75 | 0.898 * | |
| IMPA | 92.58 ± 6.64 | 90.47 ± 6.93 | 94.36 ± 5.35 | 0.302 * | |
| L1-NB | 4.48 ± 3.38 | 4.09 ± 2.57 | 4.47 ± 2.05 | 0.910 * | |
| L1/NB | 23.85 ± 9.07 | 23.01 ± 6.48 | 24.16 ± 6.17 | 0.897 * | |
| Interincisal Angle | 108.64 ± 87.6 | 134.28 ± 13.34 | 128.19 ± 8.91 | 0.299 * | |
| Overbite | 4.57 ± 2.5 | 3.75 ± 1.66 | 4.45 ± 1.9 | 0.508 * | |
| Overjet | 6.40 ± 1.98 | 6.72 ± 2.58 | 7.82 ± 2.73 | 0.352 ** | |
| Soft Tissue Measurements | Nasolabial Angle | 111.22 ± 12.93 | 116.48 ± 8.07 | 112.12 ± 8.69 | 0.324 * |
| Lower Lip–E Line | 0.03 ± 3.31 | −0.63 ± 2.39 | −0.85 ± 2.35 | 0.744 * | |
| Upper Lip–E Line | −1.44 ± 2.54 | −1.4 ± 2.12 | −1.16 ± 1.36 | 0.913 * | |
| Soft Tissue Convexity | 125.59 ± 5.16 | 124.92 ± 3.26 | 126.95 ± 4.23 | 0.415 * |
| Type | Measurements | Low CBA | Medium CBA | High CBA | ||||||
|---|---|---|---|---|---|---|---|---|---|---|
| T0 | T1 | p Values | T0 | T1 | p Values | T0 | T1 | p Values | ||
| Cranial Base Measurements | N-S-Ba | 128.01 ± 2.02 | 128.98 ± 2.28 | 0.083 * | 134.64 ± 0.92 | 134.45 ± 2.81 | 0.764 * | 139.31 ± 2.42 | 137.7 ± 4.61 | 0.203 * |
| SBa | 45.92 ± 4.26 | 45.24 ± 4.66 | 0.275 * | 44.08 ± 3.75 | 43.87 ± 2.88 | 0.806 * | 47.02 ± 3.26 | 47.32 ± 3.49 | 0.726 * | |
| N-S-Art | 122.62 ± 3.34 | 122.64 ± 3.46 | 0.973 * | 128.24 ± 3.78 | 128.06 ± 4.25 | 0.702 * | 132.08 ± 4.22 | 130.97 ± 5.09 | 0.124 * | |
| Ar-N | 80.6 ± 5.8 | 80.88 ± 4.59 | 0.772 * | 82.32 ± 4.92 | 81.89 ± 4.32 | 0.600 * | 85.25 ± 4.39 | 85.28 ± 4.89 | 0.946 * | |
| S-Ar | 35.25 ± 3.93 | 35.13 ± 4.07 | 0.782 * | 32.72 ± 3.23 | 32.06 ± 2.86 | 0.179 * | 34.74 ± 2.29 | 34.95 ± 2.2 | 0.742 * | |
| S-N | 65.85 ± 4.12 | 66.15 ± 2.87 | 0.655 * | 65.78 ± 3.19 | 65.78 ± 3.38 | 0.989 * | 65.78 ± 3.81 | 66.28 ± 4.3 | 0.170 ** | |
| Ar-Go-Me | 119.95 ± 33.75 | 125.93 ± 9.64 | 0.224 ** | 129.83 ± 7.95 | 130.66 ± 5.38 | 0.567 * | 128.4 ± 5.96 | 128.98 ± 4.18 | 0.642 * | |
| Ar-Go-N | 52.5 ± 5.25 | 50.39 ± 6.1 | 0.005 * | 54.86 ± 5.43 | 55.28 ± 4.43 | 0.695 * | 54.22 ± 5.02 | 53.16 ± 4.03 | 0.145 * | |
| Sagittal and Vertical Skeletal Measurements | N-Go-Me | 75.82 ± 7.19 | 75.55 ± 6.72 | 0.663 * | 74.95 ± 6.26 | 75.39 ± 6.61 | 0.521 * | 74.2 ± 4.14 | 75.82 ± 4.27 | 0.075 * |
| Go-Me | 59.44 ± 5.23 | 60.35 ± 4.72 | 0.351 * | 61.65 ± 4.71 | 61.22 ± 5.25 | 0.468 * | 61.72 ± 4.62 | 61.52 ± 3.96 | 0.846 * | |
| SNA | 80.21 ± 3.48 | 79.28 ± 3.49 | 0.023 * | 80.02 ± 3.14 | 79.2 ± 3.83 | 0.152 * | 78.27 ± 2.68 | 78.32 ± 2.50 | 0.862 * | |
| SNB | 74.38 ± 3.2 | 74.93 ± 3.31 | 0.262 * | 75.48 ± 2.59 | 75.84 ± 3.06 | 0.319 * | 72.96 ± 1.96 | 73.56 ± 2.10 | 0.468 * | |
| ANB | 5.85 ± 2.16 | 4.36 ± 2.02 | 0.002 * | 4.54 ± 1.66 | 3.59 ± 1.70 | 0.049 * | 5.65 ± 1.23 | 4.38 ± 1.33 | <0.001 * | |
| Wits | 4.65 ± 2.4 | 1.31 ± 1.32 | <0.001 * | 3.25 ± 2.44 | 0.18 ± 2.42 | <0.001 * | 5.28 ± 2.15 | 1.56 ± 1.89 | <0.001 * | |
| ANS-Me | 61.65 ± 5.36 | 62.85 ± 4.45 | 0.077 * | 60.58 ± 6.31 | 61.26 ± 7.26 | 0.197 * | 61.72 ± 4.98 | 64.21 ± 4.1 | 0.025 ** | |
| SN/GoGn | 34.03 ± 8.18 | 34.37 ± 8.79 | 0.670 * | 33.43 ± 5.81 | 33.56 ± 7.04 | 0.838 * | 34.76 ± 4.04 | 35.42 ± 6.2 | 0.784 ** | |
| SN/PP | 7.97 ± 3.41 | 8.28 ± 3.67 | 0.385 * | 9.12 ± 1.9 | 9.12 ± 2.25 | 0.989 * | 10.51 ± 3.79 | 10.72 ± 3.64 | 0.266 ** | |
| PP/GoGn | 26.06 ± 8.37 | 26.11 ± 8.56 | 0.952 * | 24.32 ± 5.53 | 24.42 ± 6.4 | 0.871 * | 24.26 ± 4.91 | 24.69 ± 7.3 | 0.667 * | |
| N-Me | 109.45 ± 6.58 | 111.63 ± 5.93 | 0.077 * | 108.56 ± 9.54 | 109.32 ± 10.82 | 0.351 * | 110.54 ± 7.29 | 114.28 ± 5.24 | 0.005 ** | |
| S-Go | 70.17 ± 7.26 | 71.17 ± 8.59 | 0.330 * | 68.39 ± 5.28 | 70.09 ± 6.36 | 0.021 * | 69.55 ± 5.74 | 72.12 ± 6.41 | 0.033 ** | |
| S-Go/N-Me | 64.16 ± 5.67 | 63.76 ± 6.94 | 0.566 * | 63.18 ± 3.97 | 64.32 ± 4.77 | 0.069 * | 62.91 ± 2.7 | 63.14 ± 5.06 | 0.817 * | |
| N-ANS | 50.19 ± 4.02 | 50.95 ± 3.78 | 0.293 * | 49.82 ± 4.34 | 50.08 ± 4.86 | 0.649 * | 51.05 ± 4.45 | 52.13 ± 4.02 | 0.025 * | |
| ANS-Gn | 58.28 ± 5.46 | 59.93 ± 4.42 | 0.057 * | 57.07 ± 6.28 | 58.48 ± 7.19 | 0.026 * | 58.24 ± 4.88 | 60.94 ± 4.4 | 0.006 ** | |
| N-Gn | 108.5 ± 6.62 | 110.89 ± 5.35 | 0.082 * | 107.11 ± 9.56 | 108.57 ± 11.03 | 0.102 * | 109.3 ± 7.2 | 113.08 ± 5.14 | 0.003 ** | |
| Co-A | 83.38 ± 6.17 | 83.98 ± 4.76 | 0.564 * | 93.95 ± 28.04 | 85.65 ± 6.77 | 0.834 ** | 86.83 ± 6.12 | 87.81 ± 5.86 | 0.270 * | |
| Co-Gn | 108.75 ± 7.39 | 111.66 ± 6.13 | 0.045 * | 113.72 ± 7.76 | 114.68 ± 9.66 | 0.162 ** | 111.16 ± 7.15 | 114.37 ± 6.32 | 0.014 ** | |
| Incisor Measurements | U1/SN | 95.73 ± 9.73 | 102.62 ± 5.22 | 0.043 * | 97.75 ± 8.41 | 101.32 ± 4.78 | 0.169 * | 100.00 ± 9.00 | 96.78 ± 5.31 | 0.168 ** |
| U1/PP | 102.19 ± 11.9 | 110.86 ± 5.34 | 0.039 * | 106.61 ± 7.48 | 110.18 ± 4.64 | 0.151 * | 110.52 ± 8.62 | 107.17 ± 6.68 | 0.182 ** | |
| U1-NA | 1.88 ± 3.64 | 4.18 ± 1.27 | 0.030 * | 3.55 ± 3.07 | 4.65 ± 2.8 | 0.265 * | 4.72 ± 2.84 | 3.3 ± 1.65 | 0.107 * | |
| U1/NA | 13.98 ± 11.61 | 23.32 ± 5.45 | 0.025 * | 18.15 ± 8.99 | 22.42 ± 5.44 | 0.092 * | 22.2 ± 8.74 | 18.59 ± 5.76 | 0.216 ** | |
| L1-APog | −0.16 ± 3.55 | 3.25 ± 2.68 | <0.001 * | 0.25 ± 2.5 | 2.99 ± 2.05 | 0.002 ** | −0.12 ± 1.75 | 2.91 ± 1.77 | <0.001 * | |
| IMPA | 92.58 ± 6.64 | 99.64 ± 7.22 | <0.001 * | 90.47 ± 6.93 | 96.78 ± 7.21 | <0.001 * | 94.36 ± 5.35 | 101.09 ± 8.72 | 0.009 * | |
| L1-NB | 4.48 ± 3.38 | 6.97 ± 2.89 | <0.001 * | 4.09 ± 2.57 | 6.18 ± 2.03 | 0.002 ** | 4.47 ± 2.05 | 7.02 ± 1.8 | 0.001 * | |
| L1/NB | 23.85 ± 9.07 | 31.58 ± 7.29 | <0.001 * | 23.01 ± 6.48 | 29.68 ± 6.35 | <0.001 * | 24.16 ± 6.17 | 32.16 ± 7.14 | 0.002 * | |
| Interincisal Angle | 108.64 ± 87.6 | 120.73 ± 8.19 | 0.048 ** | 134.28 ± 13.34 | 124.33 ± 8.25 | 0.002 * | 128.19 ± 8.91 | 124.33 ± 9.51 | 0.268 * | |
| Overbite | 4.57 ± 2.5 | 1.78 ± 1.39 | 0.002 ** | 3.75 ± 1.66 | 1.92 ± 0.9 | <0.001 * | 4.45 ± 1.9 | 2.09 ± 0.71 | 0.003 * | |
| Overjet | 6.40 ± 1.98 | 3.31 ± 0.87 | 0.010 * | 6.72 ± 2.58 | 3.61 ± 1.14 | 0.004 ** | 7.82 ± 2.73 | 3.53 ± 0.53 | <0.001 * | |
| Soft Tissue Measurements | Nasolabial Angle | 111.22 ± 12.93 | 112.94 ± 10.17 | 0.268 * | 116.48 ± 8.07 | 113.91 ± 8.36 | 0.141 * | 112.12 ± 8.69 | 110.77 ± 9.32 | 0.172 * |
| Lower Lip–E Line | 0.03 ± 3.31 | 0.25 ± 3.23 | 0.513 * | −0.63 ± 2.39 | −0.65 ± 1.95 | 0.968 * | −0.85 ± 2.35 | −0.54 ± 2.38 | 0.559 * | |
| Upper Lip–E Line | −1.44 ± 2.54 | −2.53 ± 2.72 | 0.011 * | −1.40 ± 2.12 | −1.97 ± 2.22 | 0.136 * | −1.16 ± 1.36 | −2.28 ± 1.78 | 0.015 * | |
| Soft Tissue Convexity | 125.59 ± 5.16 | 126.25 ± 4.3 | 0.481 * | 124.92 ± 3.26 | 125.94 ± 4.58 | 0.192 * | 126.95 ± 4.23 | 127 ± 3.85 | 0.957 * | |
| Measurements | Low CBA | Norm CBA | High CBA | p Values | |
|---|---|---|---|---|---|
| Cranial Base Measurements | N-S-Ba | 0.97 ± 1.85 | −0.19 ± 2.26 | −1.61 ± 4.31 | 0.136 ** |
| SBa | −0.68 ± 2.13 | −0.21 ± 2.98 | 0.29 ± 2.94 | 0.637 * | |
| N-S-Art | 0.02 ± 1.63 | −0.18 ± 1.63 | −1.12 ± 2.43 | 0.391 * | |
| Ar-N | 0.28 ± 3.37 | −0.42 ± 2.83 | 0.04 ± 2.02 | 0.836 * | |
| S-Ar | −0.12 ± 1.57 | −0.66 ± 1.67 | 0.21 ± 2.22 | 0.511 * | |
| S-N | 0.31 ± 2.42 | −0.01 ± 2.01 | 0.49 ± 1.09 | 0.740 * | |
| Ar-Go-Me | 5.98 ± 28.33 | 0.83 ± 5.09 | 0.58 ± 4.36 | 0.336 ** | |
| Ar-Go-N | −2.11 ± 2.24 | 0.42 ± 3.73 | −1.05 ± 2.44 | 0.131 * | |
| Sagittal and Vertical Skeletal Measurements | N-Go-Me | −0.27 ± 2.17 | 0.44 ± 2.39 | 1.62 ± 3.01 | 0.214 * |
| Go-Me | 0.91 ± 3.37 | −0.43 ± 2.07 | −0.21 ± 3.78 | 0.494 * | |
| SNA | −0.92 ± 1.28 | −0.82 ± 1.92 | 0.05 ± 1.25 | 0.149 * | |
| SNB | 0.55 ± 1.7 | 0.36 ± 1.25 | 0.61 ± 1.86 | 0.908 * | |
| ANB | −1.49 ± 1.35 | −0.95 ± 1.4 | −1.12 ± 1.03 | 0.510 * | |
| Wits | −3.35 ± 1.88 | −3.06 ± 2.3 | −3.72 ± 1.26 | 0.632 * | |
| ANS-Me | 1.19 ± 2.22 | 0.68 ± 1.78 | 2.49 ± 3.92 | 0.519 ** | |
| SN/GoGn | 0.34 ± 2.8 | 0.13 ± 2.26 | 0.66 ± 3.98 | 0.896 ** | |
| SN/PP | 0.31 ± 1.23 | 0 ± 1.28 | 0.22 ± 1.45 | 0.823 * | |
| PP/GoGn | 0.05 ± 2.71 | 0.1 ± 2.17 | 0.43 ± 3.52 | 0.949 * | |
| Na-Me | 2.18 ± 4.08 | 0.75 ± 2.8 | 3.74 ± 4.77 | 0.164 * | |
| S-Go | 1 ± 3.55 | 1.7 ± 2.31 | 2.57 ± 3.86 | 0.576 * | |
| S-Go/N-Me | −0.4 ± 2.45 | 1.14 ± 2.06 | 0.23 ± 3.52 | 0.245 * | |
| N-ANS | 0.76 ± 2.49 | 0.26 ± 2.02 | 1.08 ± 1.53 | 0.523 * | |
| ANS-Gn | 1.65 ± 2.81 | 1.42 ± 2 | 2.7 ± 3.74 | 0.842 ** | |
| N-Gn | 2.39 ± 4.54 | 1.46 ± 2.98 | 3.78 ± 4.86 | 0.464 ** | |
| Co-A | 0.6 ± 3.64 | −8.3 ± 28 | 0.98 ± 3.05 | 0.431 ** | |
| Co-Gn | 2.92 ± 4.7 | 0.96 ± 2.91 | 3.21 ± 4.09 | 0.225 * | |
| Mx/Md Diff | 2.38 ± 2.1 | 1.98 ± 1.69 | 2.14 ± 2.26 | 0.911 ** | |
| Incisor Measurements | U1/SN | 6.88 ± 10.96 | 3.57 ± 8.8 | −3.22 ± 10.64 | 0.065 * |
| U1/PP | 8.67 ± 13.46 | 3.57 ± 8.39 | −3.35 ± 9.82 | 0.029 ** | |
| U1-NA | 2.31 ± 3.38 | 1.1 ± 3.39 | −1.42 ± 2.95 | 0.019 * | |
| U1/NA | 9.34 ± 13.12 | 4.27 ± 8.42 | −3.61 ± 10.23 | 0.012 ** | |
| L1-APog | 3.41 ± 2.4 | 2.74 ± 1.52 | 3.03 ± 1.91 | 0.700 * | |
| IMPA | 7.06 ± 5.31 | 6.31 ± 4.33 | 6.73 ± 7.74 | 0.925 * | |
| L1-NB | 2.48 ± 2.01 | 2.08 ± 1.51 | 2.55 ± 2.15 | 0.766 * | |
| L1/NB | 7.73 ± 6.39 | 6.68 ± 4.17 | 8 ± 7.07 | 0.801 * | |
| Interincisal Angle | 12.09 ± 91.41 | −9.95 ± 9.2 | −3.86 ± 11.99 | 0.310 ** | |
| Overbite | −2.79 ± 1.76 | −1.83 ± 1.03 | −2.36 ± 2.27 | 0.404 ** | |
| Overjet | −3.09 ± 2.45 | −3.12 ± 2.25 | −4.29 ± 2.87 | 0.584 * | |
| Soft Tissue Measurements | Nasolabial Angle | 1.72 ± 5.35 | −2.57 ± 5.87 | −1.35 ± 3.34 | 0.141 * |
| Lower Lip–E Line | 0.22 ± 1.15 | −0.02 ± 1.38 | 0.31 ± 1.85 | 0.855 * | |
| Upper Lip–E Line | −1.09 ± 1.3 | −0.57 ± 1.28 | −1.12 ± 1.42 | 0.502 * | |
| Soft Tissue Convexity | 0.65 ± 3.24 | 1.02 ± 2.67 | 0.05 ± 3.51 | 0.740 * |
Disclaimer/Publisher’s Note: The statements, opinions and data contained in all publications are solely those of the individual author(s) and contributor(s) and not of MDPI and/or the editor(s). MDPI and/or the editor(s) disclaim responsibility for any injury to people or property resulting from any ideas, methods, instructions or products referred to in the content. |
© 2024 by the authors. Licensee MDPI, Basel, Switzerland. This article is an open access article distributed under the terms and conditions of the Creative Commons Attribution (CC BY) license (https://creativecommons.org/licenses/by/4.0/).
Share and Cite
Öztürk, T.; Topsakal, U.; Vahabova, G.; Yağcı, A.; Sheydayev, E. Does Cranial Base Angle Make a Difference in the Effectiveness of Functional Orthopedic Treatment? A Retrospective Cohort Study. J. Clin. Med. 2025, 14, 96. https://doi.org/10.3390/jcm14010096
Öztürk T, Topsakal U, Vahabova G, Yağcı A, Sheydayev E. Does Cranial Base Angle Make a Difference in the Effectiveness of Functional Orthopedic Treatment? A Retrospective Cohort Study. Journal of Clinical Medicine. 2025; 14(1):96. https://doi.org/10.3390/jcm14010096
Chicago/Turabian StyleÖztürk, Taner, Uğur Topsakal, Gulsumkhanım Vahabova, Ahmet Yağcı, and Eldar Sheydayev. 2025. "Does Cranial Base Angle Make a Difference in the Effectiveness of Functional Orthopedic Treatment? A Retrospective Cohort Study" Journal of Clinical Medicine 14, no. 1: 96. https://doi.org/10.3390/jcm14010096
APA StyleÖztürk, T., Topsakal, U., Vahabova, G., Yağcı, A., & Sheydayev, E. (2025). Does Cranial Base Angle Make a Difference in the Effectiveness of Functional Orthopedic Treatment? A Retrospective Cohort Study. Journal of Clinical Medicine, 14(1), 96. https://doi.org/10.3390/jcm14010096

