Calcified Amorphous Tumor and Granulomatosis with Polyangiitis—Case Report and Systematic Review of the Literature
Abstract
1. Introduction
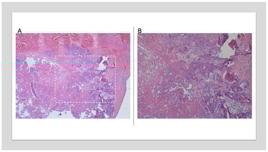
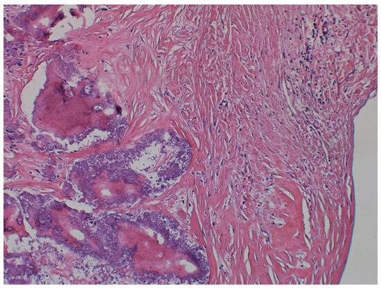
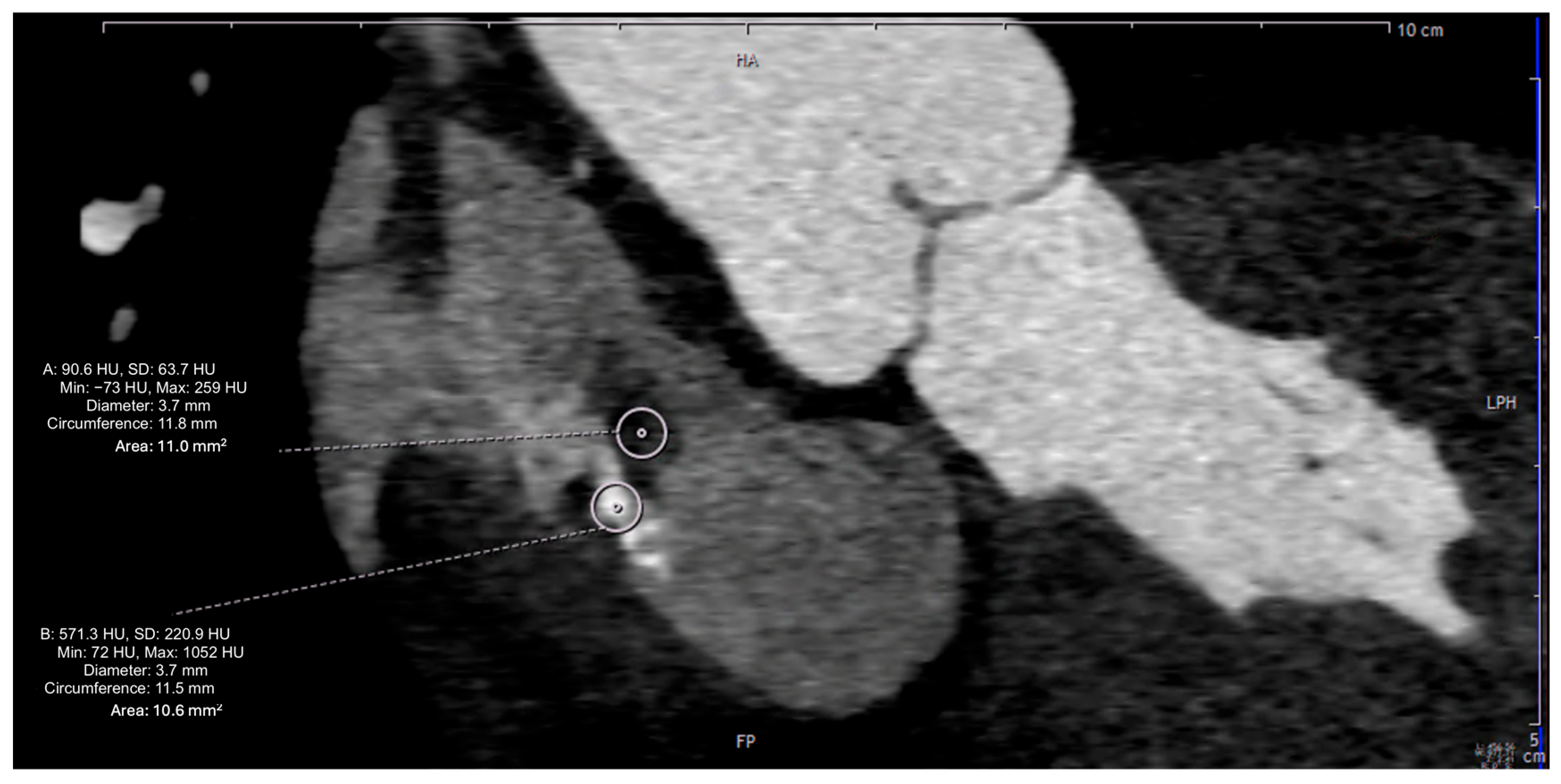
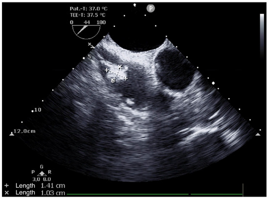
2. Case Presentation
3. Methods
3.1. Systematic Review—Search Strategy
3.2. Study Quality Assessment
3.3. Data Extraction
4. Results
| Report | Age (Years)/Sex | Diagnosis of GPA | Pathology | Location of Mass | Removal |
|---|---|---|---|---|---|
| 1. Kosovsky et al., 1991 [8] | 16, M | By left Caldwell–Luc procedure and maxillary sinus mucosal biopsies | Acute and organizing granulomatous vasculitis involving the myocardium | Upper 2/3 of the anterior right ventricular wall | Surgical resection |
| 2. Ferns et al., 2010 [7] | 14, F | Positive C-anti-neutrophil cytoplasmic antibody pattern, renal biopsy | Necrotic tissue with marked inflammatory infiltrate consisting primarily of neutrophils and eosinophils, additional necrosis and fibrosis of adjacent myocardial tissue | Left ventricular apex and adherent to the left ventricular trabeculations | Biopsy |
| 3. Attaran et al., 2010 [9] | 52, M | 30-year history of GPA | Features of acute and chronic inflammation, myxoid degeneration, prominent eosinophilic infiltration, and some small blood vessels showing intimal fibrosis | Large circular mass involving the anterior mitral leaflet on the atrial side and involvement of the papillary muscles and aortic valve | Surgical resection |
| 4. Herbst et al., 2003 [10] | 56, F | Due to clinical findings and pathology of the cardiac mass | Intense inflammatory infiltrate with aggregates of neutrophils and eosinophils infiltrating the collagen and forming small micro-abscesses surrounded by histiocytes, lymphocytes, and plasma cells; inflammatory process infiltrated adjacent myocardium and produced a reactive myocyte atypia | Mass involving most of the anterior leaflet of the mitral valve, as well as fibrous aortic continuity | Surgical resection |
| 5. Fukushima et al., 2022 [3] | 80, F | History of GPA | Nodules of calcification and fibroblasts; CAT | Anterior mitral leaflet | Surgical resection |
| 6. Oliveira et al., 2005 [11] | 63, F | History of nasal GPA | Granulomatous tissue | Left ventricular outflow tract | Surgical resection |
| 7. Corin et al., 2022 [12] | 58, F | Positive Proteinase 3 antineutrophil cytoplasmic antibodies (PR3-ANCA) | No atypia, scattered cells in a faint myxoid stroma and ring-shaped structures around vessels, confirming atrial myxoma | Right atrial mass | Surgical resection |
| 8. Harris et al., 2012 [13] | 14, F | Renal biopsy | Necrotic tissue with acute inflammation consisting of neutrophils and eosinophils with absence of granulomas | Apex of the left ventricle | Surgical removal |
| 9. Taskesen et al., 2015 [6] | 53, F | Autoimmune serology: positive for anti-myeloperoxidase antibodies; negative antinuclear antibodies, classic antineutrophilic cytoplasmic antibodies, and anti-proteinase 3 antibodies | Mixed lymphoplasmacytic and neutrophilic inflammation, poorly formed granulomas | Infiltration of interatrial and interventricular septae, both atria, and left ventricular outflow tract and ventricular side of the mitral valve anterior leaflet | Biopsy |
5. Discussion
6. Limitations
7. Future Directions
8. Conclusions
Supplementary Materials
Author Contributions
Funding
Institutional Review Board Statement
Informed Consent Statement
Data Availability Statement
Acknowledgments
Conflicts of Interest
References
- Reynolds, C.; Tazelaar, H.D.; Edwards, W.D. Calcified amorphous tumor of the heart (cardiac CAT). Hum. Pathol. 1997, 28, 601–606. [Google Scholar] [CrossRef]
- de Hemptinne, Q.; de Canniere, D.; Vandenbossche, J.L.; Unger, P. Cardiac calcified amorphous tumor: A systematic review of the literature. Int. J. Cardiol. Heart Vasc. 2015, 7, 1–5. [Google Scholar] [CrossRef]
- Fukushima, K.; Komukai, K.; Kashiwagi, Y.; Okuyama, T.; Maehara, T.; Kamba, T.; Oki, Y.; Shirasaki, K.; Kubota, T.; Miyanaga, S.; et al. A case of cardiac calcified amorphous tumor complicated with acute myocardial infarction. J. Cardiol. Cases 2022, 25, 396–399. [Google Scholar] [CrossRef] [PubMed]
- Safak, O.; Gursul, E.; Polat, M.; Akcay, F.; Tuluce, S.; Aytemız, F.; Altay, S.; Soypacacı, Z.; Cakalagaoglu, F. Wegener’s granulomatosis with cardiac involvement. Int. J. Cardiovasc. Acad. 2016, 2, 93–95. [Google Scholar] [CrossRef]
- Rou, P.; Qurie, A. Granulomatosis With Polyangiitis; StatPearls Publishing: Tampa, FL, USA, 2024. Available online: https://www.ncbi.nlm.nih.gov/books/NBK557827/ (accessed on 31 August 2024).
- Taskesen, T.; Goldberg, S.L.; Mannelli, L.; Rabkin, D.; Hawn, T.R.; Fligner, C.L.; Cormack, F.; Gill, E.A. Granulomatosis With Polyangiitis Presenting with an Intracardiac Mass and Complete Heart Block: Enhanced Images by 3-Dimensional Echocardiography. Circulation 2015, 132, 961–964. [Google Scholar] [CrossRef] [PubMed]
- Ferns, S.J.; Nguyen, N.V.; Russell, H.M.; Backer, C.L. Left ventricular mass in Wegener’s granulomatosis: A brief report. Cardiol. Young 2010, 20, 701–703. [Google Scholar] [CrossRef] [PubMed]
- Kosovsky, P.A.; Ehlers, K.H.; Rafal, R.B.; Williams, W.M.; O’Loughlin, J.E.; Markisz, J.A. MR imaging of cardiac mass in Wegener granulomatosis. J. Comput. Assist. Tomogr. 1991, 15, 1028–1030. [Google Scholar] [CrossRef] [PubMed]
- Attaran, S.; Desmond, M.; Ratnasingham, J.; Scawn, N.; Pullan, D.M. Mitral valve involvement in Wegener’s granulomatosis. Ann. Thorac. Surg. 2010, 90, 996–997. [Google Scholar] [CrossRef] [PubMed]
- Herbst, A.; Padilla, M.T.; Prasad, A.R.; Morales, M.C.; Copeland, J.G. Cardiac Wegener’s granulomatosis masquerading as left atrial myxoma. Ann. Thorac. Surg. 2003, 75, 1321–1323. [Google Scholar] [CrossRef]
- Oliveira, G.H.; Seward, J.B.; Tsang, T.S.; Specks, U. Echocardiographic findings in patients with Wegener granulomatosis. Mayo Clin. Proc. 2005, 80, 1435–1440. [Google Scholar] [CrossRef] [PubMed]
- Corin, J.; Carlsson, A.; Peters, B. Right atrial myxoma as the first manifestation of granulomatosis with polyangiitis, and a possible association with vascular endothelial growth factor (VEGF) and interleukin 6 (IL-6): A case report and review of the literature. Eur. J. Med. Res. 2022, 27, 4. [Google Scholar] [CrossRef] [PubMed]
- Harris, J.G.; Salvay, D.M.; Klein-Gitelman, M.S. Asymptomatic intracardiac mass in a 14-year-old girl with granulomatosis with polyangiitis: Case report. Pediatr. Rheumatol. Online J. 2012, 10, 9. [Google Scholar] [CrossRef] [PubMed]
- Saku, K.; Tahara, N.; Takaseya, T.; Shintani, Y.; Takagi, K.; Shojima, T.; Kurata, S.; Fujimoto, K.; Abe, T.; Fukumoto, Y.; et al. Multimodal imaging of cardiac-calcified amorphous tumor. J. Nucl. Cardiol. 2020, 27, 682–685. [Google Scholar] [CrossRef]
- Sharma, R.; Annam, S.; Guler, M.; Ali, B.; Hussein, H. Cardiac calcified amorphous tumour: An unusual aetiology for recurrent cardioembolic strokes. BMJ Case Rep. 2024, 17, e257226. [Google Scholar] [CrossRef]
- Yoshimura, S.; Kawano, H.; Minami, T.; Tsuneto, A.; Nakata, T.; Koga, S.; Ikeda, S.; Hayashi, T.; Maemura, K. Cardiac Calcified Amorphous Tumors in a Patient with Hemodialysis for Diabetic Nephropathy. Intern. Med. 2017, 56, 3057–3060. [Google Scholar] [CrossRef] [PubMed]
- Kanemitsu, S.; Bessho, S.; Sakamoto, S.; Yamamoto, N.; Ito, H.; Shimpo, H. Calcified amorphous tumor with caseous calcification of mitral annulus in hemodialysis patients. Gen. Thorac. Cardiovasc. Surg. 2020, 68, 1513–1516. [Google Scholar] [CrossRef]
- Takahashi, Y.; Inaba, Y.; Tsuchiya, H.; Minegishi, S.; Niino, T.; Endo, H.; Kubota, H. Clinical Features of Cardiac Calcified Amorphous Tumor: A Narrative Review. Cardiol. Rev. 2024. [Google Scholar] [CrossRef]
- Greco, A.; Marinelli, C.; Fusconi, M.; Macri, G.; Gallo, A.; De Virgilio, A.; Zambetti, G.; de Vincentiis, M. Clinic manifestations in granulomatosis with polyangiitis. Int. J. Immunopathol. Pharmacol. 2016, 29, 151–159. [Google Scholar] [CrossRef] [PubMed]
- Grant, S.C.; Levy, R.D.; Venning, M.C.; Ward, C.; Brooks, N.H. Wegener’s granulomatosis and the heart. Br. Heart J. 1994, 71, 82–86. [Google Scholar] [CrossRef]
- McGeoch, L.; Carette, S.; Cuthbertson, D.; Hoffman, G.S.; Khalidi, N.; Koening, C.L.; Langford, C.A.; McAlear, C.A.; Moreland, L.; Monach, P.A.; et al. Cardiac Involvement in Granulomatosis with Polyangiitis. J. Rheumatol. 2015, 42, 1209–1212. [Google Scholar] [CrossRef] [PubMed]
- Kranz, A.; Dorner, T.; Gisinger, C.; Hraby, S.; Ludwig, C.; Wintersberger, W. Pathologien des rechten Atriums und der großen zuführenden Gefäße. J. Für Kardiol. Austrian J. Cardiol. 2005, 12, 33–36. [Google Scholar]
- Gatti, M.; D’Angelo, T.; Muscogiuri, G.; Dell’aversana, S.; Andreis, A.; Carisio, A.; Darvizeh, F.; Tore, D.; Pontone, G.; Faletti, R. Cardiovascular magnetic resonance of cardiac tumors and masses. World J. Cardiol. 2021, 13, 628–649. [Google Scholar] [CrossRef]
- Yue, P.; Xu, Z.; Wan, K.; Tan, Y.; Xu, Y.; Xie, X.; Mui, D.; Yi, C.; Han, Y.; Chen, Y. Multiparametric mapping by cardiovascular magnetic resonance imaging in cardiac tumors. J. Cardiovasc. Magn. Reson. 2023, 25, 37. [Google Scholar] [CrossRef]
- Shenoy, C.; Grizzard, J.D.; Shah, D.J.; Kassi, M.; Reardon, M.J.; Zagurovskaya, M.; Kim, H.W.; Parker, M.A.; Kim, R.J. Cardiovascular magnetic resonance imaging in suspected cardiac tumour: A multicentre outcomes study. Eur. Heart J. 2021, 43, 71–80. [Google Scholar] [CrossRef]
- Tyebally, S.; Chen, D.; Bhattacharyya, S.; Mughrabi, A.; Hussain, Z.; Manisty, C.; Westwood, M.; Ghosh, A.K.; Guha, A. Cardiac Tumors: JACC CardioOncology State-of-the-Art Review. Cardio Oncol. 2020, 2, 293–311. [Google Scholar] [CrossRef]
- Ardeshirrouhanifard, S.; An, H.; Goyal, R.K.; Raji, M.A.; Segal, J.B.; Alexander, G.C.; Mehta, H.B. Use of oral anticoagulants among individuals with cancer and atrial fibrillation in the United States, 2010–2016. Pharmacotherapy 2022, 42, 375–386. [Google Scholar] [CrossRef] [PubMed]
- Tufano, A.; Coppola, A. How to manage anticoagulation for cancer-associated thrombosis and atrial fibrillation in cancer. Thromb. Update 2024, 15, 100169. [Google Scholar] [CrossRef]
- Page, M.J.; McKenzie, J.E.; Bossuyt, P.M.; Boutron, I.; Hoffmann, T.C.; Mulrow, C.D.; Shamseer, L.; Tetzlaff, J.M.; Akl, E.A.; Brennan, S.E.; et al. The PRISMA 2020 statement: An updated guideline for reporting systematic reviews. BMJ 2021, 372, n71. [Google Scholar] [CrossRef] [PubMed]








Disclaimer/Publisher’s Note: The statements, opinions and data contained in all publications are solely those of the individual author(s) and contributor(s) and not of MDPI and/or the editor(s). MDPI and/or the editor(s) disclaim responsibility for any injury to people or property resulting from any ideas, methods, instructions or products referred to in the content. |
© 2024 by the authors. Licensee MDPI, Basel, Switzerland. This article is an open access article distributed under the terms and conditions of the Creative Commons Attribution (CC BY) license (https://creativecommons.org/licenses/by/4.0/).
Share and Cite
Suleiman, M.N.; Agaimy, A.; Dewald, O.; Kaemmerer-Suleiman, A.-S.; Mellert, F.; Weyand, M.; Harig, F. Calcified Amorphous Tumor and Granulomatosis with Polyangiitis—Case Report and Systematic Review of the Literature. J. Clin. Med. 2025, 14, 84. https://doi.org/10.3390/jcm14010084
Suleiman MN, Agaimy A, Dewald O, Kaemmerer-Suleiman A-S, Mellert F, Weyand M, Harig F. Calcified Amorphous Tumor and Granulomatosis with Polyangiitis—Case Report and Systematic Review of the Literature. Journal of Clinical Medicine. 2025; 14(1):84. https://doi.org/10.3390/jcm14010084
Chicago/Turabian StyleSuleiman, Mathieu N., Abbas Agaimy, Oliver Dewald, Ann-Sophie Kaemmerer-Suleiman, Fritz Mellert, Michael Weyand, and Frank Harig. 2025. "Calcified Amorphous Tumor and Granulomatosis with Polyangiitis—Case Report and Systematic Review of the Literature" Journal of Clinical Medicine 14, no. 1: 84. https://doi.org/10.3390/jcm14010084
APA StyleSuleiman, M. N., Agaimy, A., Dewald, O., Kaemmerer-Suleiman, A.-S., Mellert, F., Weyand, M., & Harig, F. (2025). Calcified Amorphous Tumor and Granulomatosis with Polyangiitis—Case Report and Systematic Review of the Literature. Journal of Clinical Medicine, 14(1), 84. https://doi.org/10.3390/jcm14010084

