Recent Advances in Perioperative Analgesia in Thoracic Surgery: A Narrative Review
Abstract
1. Introduction
2. Anatomical Considerations
3. Thoracic Surgery and Pain Pathways
4. Evolution of Surgical Techniques
5. Epidural Anesthesia
6. Alternatives to Epidural Anesthesia: Regional Anesthesia Approaches
6.1. Paravertebral Block (PVB)
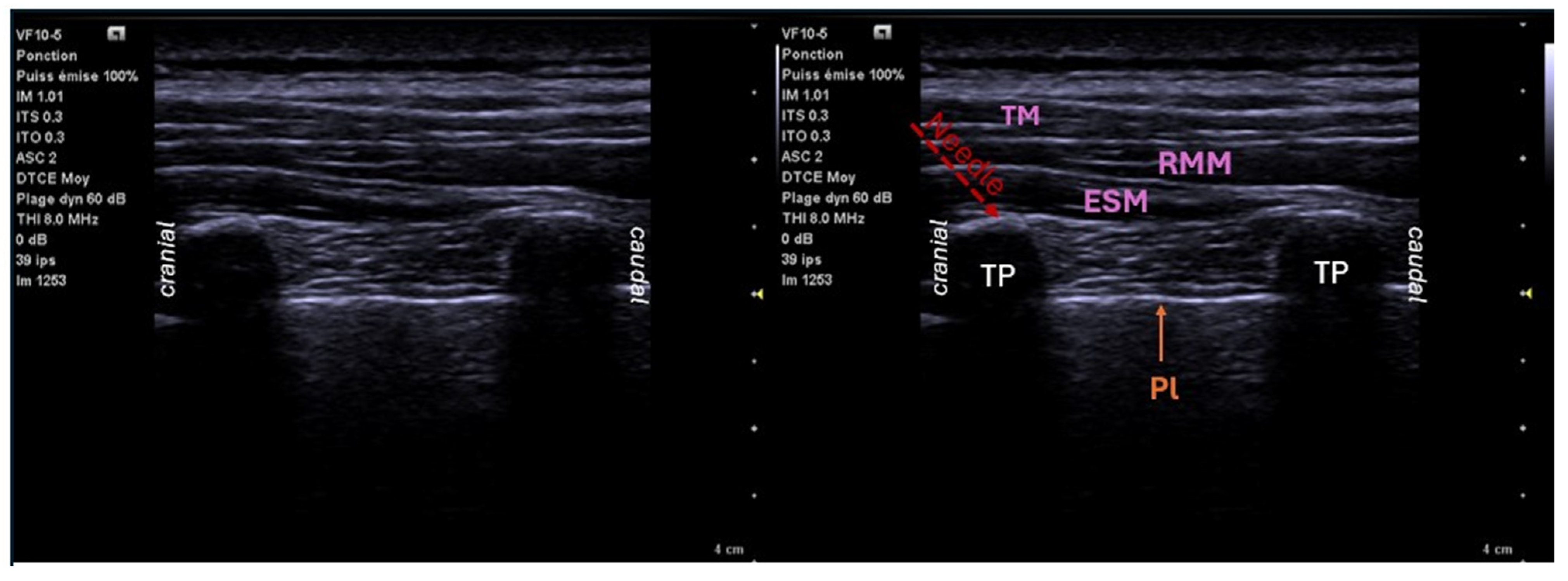
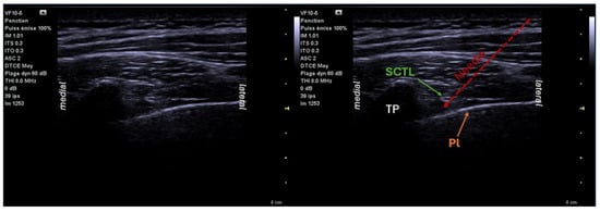
6.2. Erector Spinae Plane Block (ESPB)
6.3. Intercostal Block
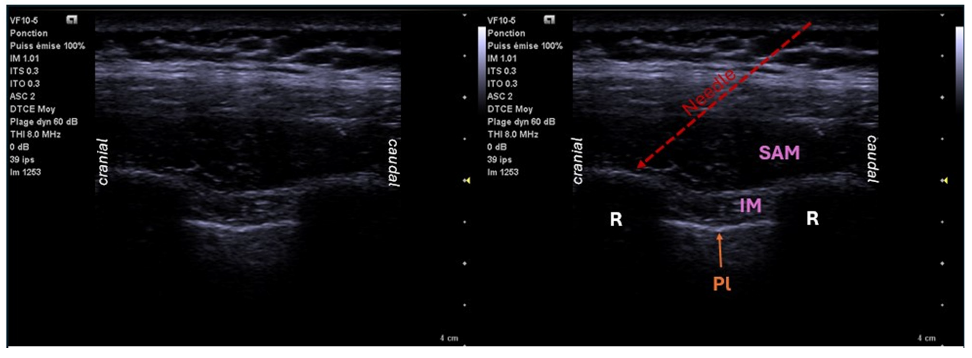
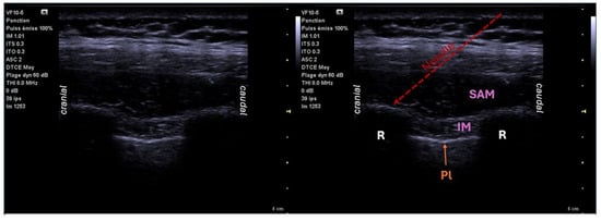
6.4. Serratus Block
7. A Word on Parasternal Block
8. A Word on Multimodal Analgesia
9. Pain Management After Rib Fracture
10. Conclusions
Author Contributions
Funding
Conflicts of Interest
References
- Mesbah, A.; Yeung, J.; Gao, F. Pain after thoracotomy. BJA Educ. 2016, 16, 1–7. [Google Scholar] [CrossRef]
- Kavanagh, B.P.; Katz, J.; Sandler, A.N. Pain control after thoracic surgery. A review of current techniques. Anesthesiology 1994, 81, 737–759. [Google Scholar] [CrossRef] [PubMed]
- Marshall, K.; McLaughlin, K. Pain Management in Thoracic Surgery. Thorac. Surg. Clin. 2020, 30, 339–346. [Google Scholar] [CrossRef] [PubMed]
- Pöpping, D.M.; Zahn, P.K.; Van Aken, H.K.; Dasch, B.; Boche, R.; Pogatzki-Zahn, E.M. Effectiveness and safety of postoperative pain management: A survey of 18,925 consecutive patients between 1998 and 2006 (2nd revision): A database analysis of prospectively raised data. Br. J. Anaesth. 2008, 101, 832–840. [Google Scholar] [CrossRef] [PubMed]
- Rawal, N. Epidural analgesia for postoperative pain: Improving outcomes or adding risks? Best Pract. Res. Clin. Anaesthesiol. 2021, 35, 53–65. [Google Scholar] [CrossRef]
- Freise, H.; Van Aken, H.K. Risks and benefits of thoracic epidural anaesthesia. Br. J. Anaesth. 2011, 107, 859–868. [Google Scholar] [CrossRef]
- Rotman, J.A.; Plodkowski, A.J.; Hayes, S.A.; de Groot, P.M.; Shepard, J.-A.O.; Munden, R.F.; Ginsberg, M.S. Postoperative complications after thoracic surgery for lung cancer. Clin. Imaging 2015, 39, 735–749. [Google Scholar] [CrossRef]
- Elmaleh, Y.; Maupain, O. La chirurgie thoracique, 2.0. Prat. Anesthésie Réanimation 2023, 27, 268–283. [Google Scholar] [CrossRef]
- Cook, T.M.; Counsell, D.; Wildsmith, J.A.W. Major complications of central neuraxial block: Reports on the third National Audit Project of the Royal College of Anaesthethists. Br. J. Anaesth. 2009, 102, 179–190. [Google Scholar] [CrossRef]
- Liu, S.; Carpenter, R.L.; Neal, J.M. Epidural anesthesia and analgesia. Their role in postoperative outcome. Anesthesiology 1995, 82, 1474–1506. [Google Scholar] [CrossRef]
- Hamilton, C.; Alfille, P.; Mountjoy, J.; Bao, X. Regional anesthesia and acute perioperative pain management in thoracic surgery: A narrative review. J. Thorac. Dis. 2022, 14, 2276–2296. [Google Scholar] [CrossRef] [PubMed]
- Karmakar, M.K. Thoracic paravertebral block. Anesthesiology 2001, 95, 771–780. [Google Scholar] [CrossRef] [PubMed]
- Eason, M.J.; Wyatt, R. Paravertebral thoracic block-a reappraisal. Anaesthesia 1979, 34, 638–642. [Google Scholar] [CrossRef] [PubMed]
- Pusch, F.; Wilding, E.; Klimscha, W.; Weinstabl, C. Sonography measurement of needle insertion depth in paravertebral blocks in women. Br. J. Anaesth. 2000, 85, 841–843. [Google Scholar] [CrossRef][Green Version]
- Krediet, A.C.; Moayeri, N.; van Geffen, G.-J.; Bruhn, J.; Renes, S.; Bigeleisen, P.E.; Groen, G.J. Different Approaches to Ultrasound-guided Thoracic Paravertebral Block: An Illustrated Review. Anesthesiology 2015, 123, 459–474. [Google Scholar] [CrossRef]
- Ruscio, L.; Renard, R.; Lebacle, C.; Zetlaoui, P.; Benhamou, D.; Bessede, T. Thoracic paravertebral block: Comparison of different approaches and techniques. A study on 27 human cadavers. Anaesth. Crit. Care Pain Med. 2020, 39, 53–58. [Google Scholar] [CrossRef]
- Yeung, J.H.; Gates, S.; Naidu, B.V.; Wilson, M.J.; Gao Smith, F. Paravertebral block versus thoracic epidural for patients undergoing thoracotomy. Cochrane Database Syst. Rev. 2016, 2, CD009121. [Google Scholar] [CrossRef]
- Naja, Z.; Lönnqvist, P.A. Somatic paravertebral nerve blockade. Incidence of failed block and complications. Anaesthesia 2001, 56, 1184–1188. [Google Scholar] [CrossRef]
- Lönnqvist, P.A.; MacKenzie, J.; Soni, A.K.; Conacher, I.D. Paravertebral blockade. Failure rate and complications. Anaesthesia 1995, 50, 813–815. [Google Scholar] [CrossRef]
- Conacher, I.D. Post-thoracotomy analgesia. Anesthesiol. Clin. N. Am. 2001, 19, 611–625. [Google Scholar] [CrossRef]
- Davies, R.G.; Myles, P.S.; Graham, J.M. A comparison of the analgesic efficacy and side-effects of paravertebral vs epidural blockade for thoracotomy—A systematic review and meta-analysis of randomized trials. Br. J. Anaesth. 2006, 96, 418–426. [Google Scholar] [CrossRef] [PubMed]
- Joshi, G.P.; Bonnet, F.; Shah, R.; Wilkinson, R.C.; Camu, F.; Fischer, B.; Neugebauer, E.A.; Rawal, N.; Schug, S.A.; Simanski, C.; et al. A systematic review of randomized trials evaluating regional techniques for postthoracotomy analgesia. Anesth. Analg. 2008, 107, 1026–1040. [Google Scholar] [CrossRef] [PubMed]
- Forero, M.; Adhikary, S.D.; Lopez, H.; Tsui, C.; Chin, K.J. The Erector Spinae Plane Block: A Novel Analgesic Technique in Thoracic Neuropathic Pain. Reg. Anesth. Pain Med. 2016, 41, 621–627. [Google Scholar] [CrossRef] [PubMed]
- Fallon, F.; Moorthy, A.; Skerritt, C.; Crowe, G.G.; Buggy, D.J. Latest Advances in Regional Anaesthesia. Medicina 2024, 60, 735. [Google Scholar] [CrossRef]
- Schwartzmann, A.; Peng, P.; Maciel, M.A.; Alcarraz, P.; Gonzalez, X.; Forero, M. A magnetic resonance imaging study of local anesthetic spread in patients receiving an erector spinae plane block. Can. J. Anaesth. 2020, 67, 942–948. [Google Scholar] [CrossRef]
- De Cassai, A.; Tonetti, T. Local anesthetic spread during erector spinae plane block. J. Clin. Anesth. 2018, 48, 60–61. [Google Scholar] [CrossRef]
- Muhammad, Q.U.A.; Sohail, M.A.; Azam, N.M.; Bashir, H.H.; Islam, H.; Ijaz, R.; Aquil, S.; Mansoor, T.; Dhakal, B.; Fatima, T.; et al. Analgesic efficacy and safety of erector spinae versus serratus anterior plane block in thoracic surgery: A systematic review and meta-analysis of randomized controlled trials. J. Anesth. Analg. Crit. Care 2024, 4, 3. [Google Scholar] [CrossRef]
- De Cassai, A.; Geraldini, F.; Carere, A.; Sergi, M.; Munari, M. Complications Rate Estimation After Thoracic Erector Spinae Plane Block. J. Cardiothorac. Vasc. Anesth. 2021, 35, 3142–3143. [Google Scholar] [CrossRef]
- De Cassai, A.; Fasolo, A.; Geraldini, F.; Munari, M. Motor block following bilateral ESP block. J. Clin. Anesth. 2020, 60, 23. [Google Scholar] [CrossRef]
- Hamilton, D.L. Pneumothorax following erector spinae plane block. J. Clin. Anesth. 2019, 52, 17. [Google Scholar] [CrossRef]
- De Cassai, A.; Bonanno, C.; Padrini, R.; Geraldini, F.; Boscolo, A.; Navalesi, P.; Munari, M. Pharmacokinetics of lidocaine after bilateral ESP block. Reg. Anesth. Pain Med. 2021, 46, 86–89. [Google Scholar] [CrossRef] [PubMed]
- De Cassai, A.; Ieppariello, G.; Ori, C. Erector spinae plane block and dual antiplatelet therapy. Minerva Anestesiol. 2018, 84, 1230–1231. [Google Scholar] [CrossRef] [PubMed]
- van den Broek, R.J.C.; Postema, J.M.C.; Koopman, J.S.H.A.; van Rossem, C.C.; Olsthoorn, J.R.; van Brakel, T.J.; Houterman, S.; Bouwman, R.A.; Versyck, B. Continuous erector spinae plane block versus thoracic epidural analgesia in video-assisted thoracoscopic surgery: A prospective randomized open-label non-inferiority trial. Reg. Anesth. Pain Med. 2024. [Google Scholar] [CrossRef] [PubMed]
- Durey, B.; Djerada, Z.; Boujibar, F.; Besnier, E.; Montagne, F.; Baste, J.-M.; Dusseaux, M.-M.; Compere, V.; Clavier, T.; Selim, J. Erector Spinae Plane Block versus Paravertebral Block after Thoracic Surgery for Lung Cancer: A Propensity Score Study. Cancers 2023, 15, 2306. [Google Scholar] [CrossRef]
- Moorthy, A.; Eochagáin, A.N.; Dempsey, E.; Wall, V.; Marsh, H.; Murphy, T.; Fitzmaurice, G.J.; Naughton, R.A.; Buggy, D.J. Postoperative recovery with continuous erector spinae plane block or video-assisted paravertebral block after minimally invasive thoracic surgery: A prospective, randomised controlled trial. Br. J. Anaesth. 2023, 130, e137–e147. [Google Scholar] [CrossRef]
- Elkhashab, Y.; Wang, D. A Review of Techniques of Intercostal Nerve Blocks. Curr. Pain Headache Rep. 2021, 25, 74. [Google Scholar] [CrossRef]
- Luketich, J.D.; Land, S.R.; Sullivan, E.A.; Alvelo-Rivera, M.; Ward, J.; Buenaventura, P.O.; Landreneau, R.J.; Hart, L.A.; Fernando, H.C. Thoracic epidural versus intercostal nerve catheter plus patient-controlled analgesia: A randomized study. Ann. Thorac. Surg. 2005, 79, 1845–1850. [Google Scholar] [CrossRef]
- Guerra-Londono, C.E.; Privorotskiy, A.; Cozowicz, C.; Hicklen, R.S.; Memtsoudis, S.G.; Mariano, E.R.; Cata, J.P. Assessment of Intercostal Nerve Block Analgesia for Thoracic Surgery: A Systematic Review and Meta-analysis. JAMA Netw. Open 2021, 4, e2133394. [Google Scholar] [CrossRef]
- Zhou, Z.; Zheng, X.; Song, J.; Jin, X.; Zhao, L.; Liu, S. Comparison of Intercostal Block and Epidural Analgesia for Post-thoracotomy: A Systematic Review and Meta-analysis of Randomized Controlled Trials. Pain Phys. 2023, 26, 219–229. [Google Scholar]
- Blanco, R.; Parras, T.; McDonnell, J.G.; Prats-Galino, A. Serratus plane block: A novel ultrasound-guided thoracic wall nerve block. Anaesthesia 2013, 68, 1107–1113. [Google Scholar] [CrossRef]
- Khemka, R.; Chakraborty, A.; Ahmed, R.; Datta, T.; Agarwal, S. Ultrasound-Guided Serratus Anterior Plane Block in Breast Reconstruction Surgery. A&A Case Rep. 2016, 6, 280–282. [Google Scholar] [CrossRef]
- De Cassai, A.; Boscolo, A.; Zarantonello, F.; Piasentini, E.; Di Gregorio, G.; Munari, M.; Persona, P.; Zampirollo, S.; Zatta, M.; Navalesi, P. Serratus anterior plane block for video-assisted thoracoscopic surgery: A meta-analysis of randomised controlled trials. Eur. J. Anaesthesiol. 2021, 38, 106–114. [Google Scholar] [CrossRef] [PubMed]
- Jack, J.M.; McLellan, E.; Versyck, B.; Englesakis, M.F.; Chin, K.J. The role of serratus anterior plane and pectoral nerves blocks in cardiac surgery, thoracic surgery and trauma: A qualitative systematic review. Anaesthesia 2020, 75, 1372–1385. [Google Scholar] [CrossRef] [PubMed]
- Khalil, A.E.; Abdallah, N.M.; Bashandy, G.M.; Kaddah, T.A. Ultrasound-Guided Serratus Anterior Plane Block Versus Thoracic Epidural Analgesia for Thoracotomy Pain. J. Cardiothorac. Vasc. Anesth. 2017, 31, 152–158. [Google Scholar] [CrossRef] [PubMed]
- Li, J.; Wang, X.; Wang, Y.; Zhang, W. Analgesic effectiveness of serratus anterior plane block in patients undergoing video-assisted thoracoscopic surgery: A systematic review and updated meta-analysis of randomized controlled trials. BMC Anesthesiol. 2023, 23, 235. [Google Scholar] [CrossRef] [PubMed]
- Lusianawati Suhardi, C.J.; Sumartono, C.; Wungu, C.D.K. Efficacy and safety of the serratus anterior block compared to thoracic epidural analgesia in surgery: Systematic review and meta-analysis. Tzu Chi Med. J. 2023, 35, 329–337. [Google Scholar] [CrossRef]
- Pascarella, G.; Costa, F.; Nonnis, G.; Strumia, A.; Sarubbi, D.; Schiavoni, L.; Di Pumpo, A.; Mortini, L.; Grande, S.; Attanasio, A.; et al. Ultrasound Guided Parasternal Block for Perioperative Analgesia in Cardiac Surgery: A Prospective Study. J. Clin. Med. 2023, 12, 2060. [Google Scholar] [CrossRef]
- Gondar, M.B.; Fernandes, M.; Mondragon, P.; Hagerman, A.; Magnusson, L. Intercostal nerve block is effective in open biopsies of the anterior mediastinal region: Case report and review. Int. J. Surg. Case Rep. 2022, 97, 107461. [Google Scholar] [CrossRef]
- Strumia, A.; Pascarella, G.; Sarubbi, D.; Di Pumpo, A.; Costa, F.; Conti, M.C.; Rizzo, S.; Stifano, M.; Mortini, L.; Cassibba, A.; et al. Rectus sheath block added to parasternal block may improve postoperative pain control and respiratory performance after cardiac surgery: A superiority single-blinded randomized controlled clinical trial. Reg. Anesth. Pain Med. 2024. [Google Scholar] [CrossRef]
- Bloc, S.; Perot, B.P.; Gibert, H.; Koune, J.-D.L.; Burg, Y.; Leclerc, D.; Vuitton, A.-S.; De La Jonquière, C.; Luka, M.; Waldmann, T.; et al. Efficacy of parasternal block to decrease intraoperative opioid use in coronary artery bypass surgery via sternotomy: A randomized controlled trial. Reg. Anesth. Pain Med. 2021, 46, 671–678. [Google Scholar] [CrossRef]
- Chen, H.; Song, W.; Wang, W.; Peng, Y.; Zhai, C.; Yao, L.; Xia, Z. Ultrasound-guided parasternal intercostal nerve block for postoperative analgesia in mediastinal mass resection by median sternotomy: A randomized, double-blind, placebo-controlled trial. BMC Anesthesiol. 2021, 21, 98. [Google Scholar] [CrossRef] [PubMed]
- Batchelor, T.J.P.; Rasburn, N.J.; Abdelnour-Berchtold, E.; Brunelli, A.; Cerfolio, R.J.; Gonzalez, M.; Ljungqvist, O.; Petersen, R.H.; Popescu, W.M.; Slinger, P.D.; et al. Guidelines for enhanced recovery after lung surgery: Recommendations of the Enhanced Recovery After Surgery (ERAS®) Society and the European Society of Thoracic Surgeons (ESTS). Eur. J. Cardiothorac. Surg. 2019, 55, 91–115. [Google Scholar] [CrossRef] [PubMed]
- Barnea, Y.; Kashtan, H.; Skornick, Y.; Werbin, N. Isolated rib fractures in elderly patients: Mortality and morbidity. Can. J. Surg. 2002, 45, 43–46. [Google Scholar] [PubMed]
- Simon, B.J.; Cushman, J.; Barraco, R.; Lane, V.; Luchette, F.A.; Miglietta, M.; Roccaforte, D.J.; Spector, R. Pain management guidelines for blunt thoracic trauma. J. Trauma 2005, 59, 1256–1267. [Google Scholar] [CrossRef] [PubMed]
- Chau, D.L.; Walker, V.; Pai, L.; Cho, L.M. Opiates and elderly: Use and side effects. Clin. Interv. Aging 2008, 3, 273–278. [Google Scholar] [CrossRef]
- Hammal, F.; Chiu, C.; Kung, J.Y.; Bradley, N.; Dillane, D. Pain management for hospitalized patients with rib fractures: A systematic review of randomized clinical trials. J. Clin. Anesth. 2024, 92, 111276. [Google Scholar] [CrossRef]
- Mohta, M.; Verma, P.; Saxena, A.K.; Sethi, A.K.; Tyagi, A.; Girotra, G. Prospective, randomized comparison of continuous thoracic epidural and thoracic paravertebral infusion in patients with unilateral multiple fractured ribs—A pilot study. J. Trauma 2009, 66, 1096–1101. [Google Scholar] [CrossRef]
- Ge, Y.; Yuan, L.; Chen, Y.; Zhang, Y.; Ye, G.; Ma, W.; Zhao, L. Thoracic paravertebral block versus intravenous patient-controlled analgesia for pain treatment in patients with multiple rib fractures. J. Int. Med. Res. 2017, 45, 2085–2091. [Google Scholar]
- Tekşen, Ş.; Öksüz, G.; Öksüz, H.; Sayan, M.; Arslan, M.; Urfalıoğlu, A.; Gişi, G.; Bilal, B. Analgesic efficacy of the serratus anterior plane block in rib fractures pain: A randomized controlled trial. Am. J. Emerg. Med. 2021, 41, 16–20. [Google Scholar] [CrossRef]
- Partyka, C.; Asha, S.; Berry, M.; Ferguson, I.; Burns, B.; Tsacalos, K.; Gaetani, D.; Oliver, M.; Luscombe, G.; Delaney, A.; et al. Serratus Anterior Plane Blocks for Early Rib Fracture Pain Management: The SABRE Randomized Clinical Trial. JAMA Surg. 2024, 159, 810–817. [Google Scholar] [CrossRef]
- Lundén, A.R.; Tarkkila, P. An ultrasound-guided serratus anterior plane block with continuous local anaesthetic infusion and epidural analgesia for rib fracture pain. Acta Anaesthesiol. Scand. 2024, 68, 394–401. [Google Scholar] [CrossRef] [PubMed]
- Ramesh, S.; Ayyan, S.M.; Rath, D.P.; Sadanandan, D.M. Efficacy and safety of ultrasound-guided erector spinae plane block compared to sham procedure in adult patients with rib fractures presenting to the emergency department: A randomized controlled trial. Acad. Emerg. Med. 2024, 31, 316–325. [Google Scholar] [CrossRef] [PubMed]
- Hashemzadeh, S.; Hashemzadeh, K.; Hosseinzadeh, H.; Maleki, R.A.; Golzari, S. Comparison thoracic epidural and intercostal block to improve ventilation parameters and reduce pain in patients with multiple rib fractures. J. Cardiovasc. Thorac. Res. 2011, 3, 87–91. [Google Scholar]
- May, L.; Hillermann, C.; Patil, S. Rib fracture management. BJA Educ. 2015, 16, 26–32. [Google Scholar] [CrossRef]
- Shinohara, K.; Iwama, H.; Akama, Y.; Tase, C. Interpleural block for patients with multiple rib fractures: Comparison with epidural block. J. Emerg. Med. 1994, 12, 441–446. [Google Scholar] [CrossRef]
- Luchette, F.A.; Radafshar, S.M.; Kaiser, R.; Flynn, W.; Hassett, J.M. Prospective evaluation of epidural versus intrapleural catheters for analgesia in chest wall trauma. J. Trauma 1994, 36, 865–869; discussion 869–870. [Google Scholar] [CrossRef]
- Konrad, C.; Schupfer, G.; Wietlisbach, M.; Gerber, H. Learning manual skills in anesthesiology: Is there a recommended number of cases for anesthetic procedures? Anesth. Analg. 1998, 86, 635–639. [Google Scholar] [CrossRef]




| Techniques | Compared to | Authors | Year | Journal | Type |
|---|---|---|---|---|---|
| Paravertebral block | Epidural | Davies et al. [21] | 2006 | British Journal of Anesthesia | Systematic review and meta-analysis |
| Epidural | Joshi et al. [22] | 2008 | Anesthesia Analgesia | Systematic Review | |
| Epidural | Yeung et al. [17] | 2016 | Cochrane Database | Systematic Review | |
| Erector spinae plane block | Epidural | Van den Broek et al. [33] | 2024 | Regional Anesthesia & Pain Medicine | Prospective randomised trial |
| Paravertebral | Durey B. Et al. [34] | 2023 | Cancers | Retrospective trial | |
| Paravertebral | Moorthy et al. [35] | 2023 | British Journal of Anesthesia | Prospective randomised trial | |
| Intercostal block | Epidural | Luketich et al. [37] | 2005 | The Annals of Thoracic Surgery | Randomised trial |
| Systemic, epidural, paravertebral | Guerra-Londono et al. [38] | 2021 | Journal of the American Medical Association | Systematic review and meta-analysis | |
| Epidural | Zhou et al. [39] | 2023 | Pain Physician | Systematic review and meta-analysis | |
| Serratus block | Epidural | Khalil et al. [44] | 2017 | Journal of Cardiothoracic and Vascular Anesthesia | Prospective randomised trial |
| Systemic | Li et al. [45] | 2023 | BMC Anesthesiology | Systematic review and meta-analysis | |
| Epidural | Lusianawati et al. [46] | 2023 | Tzu Chi Medical Journal | Systematic review and meta-analysis |
Disclaimer/Publisher’s Note: The statements, opinions and data contained in all publications are solely those of the individual author(s) and contributor(s) and not of MDPI and/or the editor(s). MDPI and/or the editor(s) disclaim responsibility for any injury to people or property resulting from any ideas, methods, instructions or products referred to in the content. |
© 2024 by the authors. Licensee MDPI, Basel, Switzerland. This article is an open access article distributed under the terms and conditions of the Creative Commons Attribution (CC BY) license (https://creativecommons.org/licenses/by/4.0/).
Share and Cite
Mitchell, J.; Couvreur, C.; Forget, P. Recent Advances in Perioperative Analgesia in Thoracic Surgery: A Narrative Review. J. Clin. Med. 2025, 14, 38. https://doi.org/10.3390/jcm14010038
Mitchell J, Couvreur C, Forget P. Recent Advances in Perioperative Analgesia in Thoracic Surgery: A Narrative Review. Journal of Clinical Medicine. 2025; 14(1):38. https://doi.org/10.3390/jcm14010038
Chicago/Turabian StyleMitchell, John, Céline Couvreur, and Patrice Forget. 2025. "Recent Advances in Perioperative Analgesia in Thoracic Surgery: A Narrative Review" Journal of Clinical Medicine 14, no. 1: 38. https://doi.org/10.3390/jcm14010038
APA StyleMitchell, J., Couvreur, C., & Forget, P. (2025). Recent Advances in Perioperative Analgesia in Thoracic Surgery: A Narrative Review. Journal of Clinical Medicine, 14(1), 38. https://doi.org/10.3390/jcm14010038

