Casting Light on The Hidden Prevalence: A Novel Perspective on Hypoplastic Coronary Artery Disease
Abstract
1. Introduction
1.1. Background
1.2. Aims
2. Materials and Methods
2.1. Study Design and Patients
2.2. Statistical Analysis
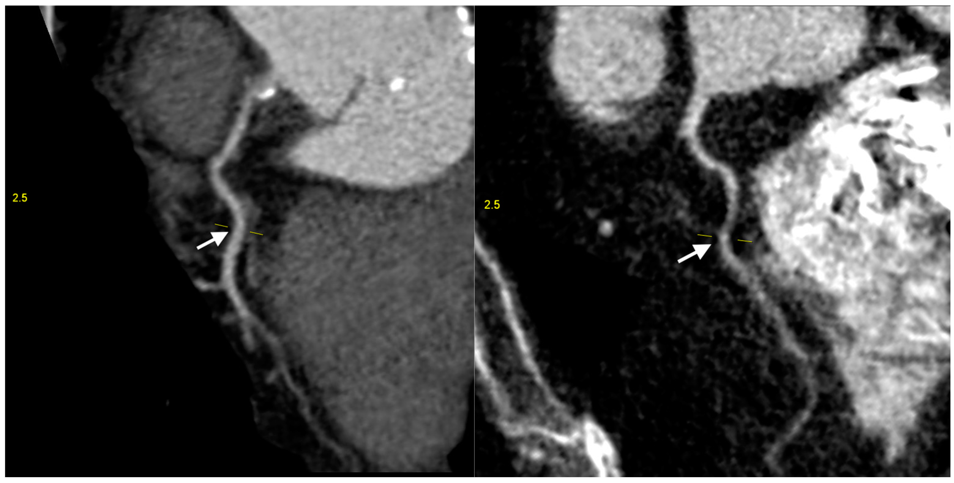
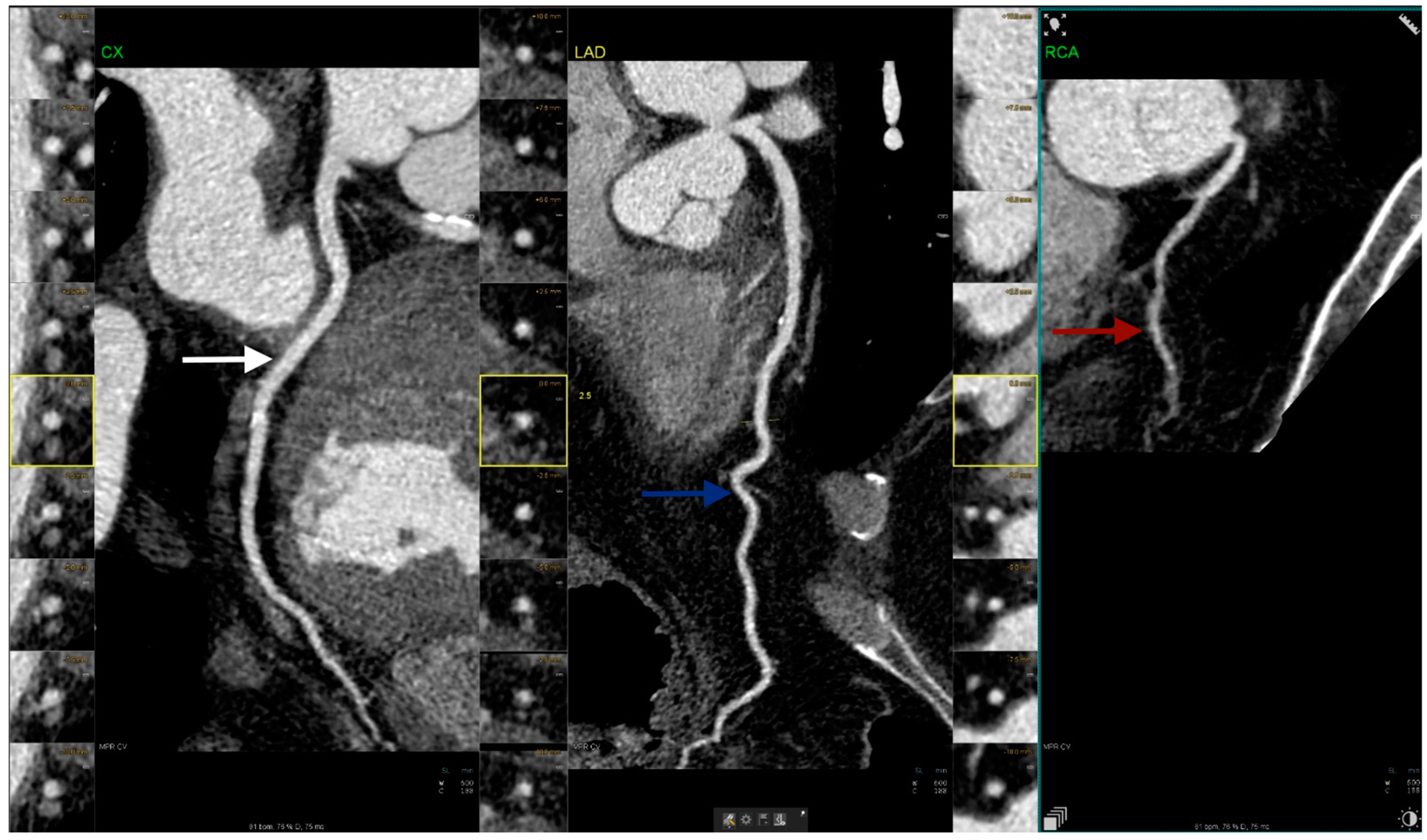
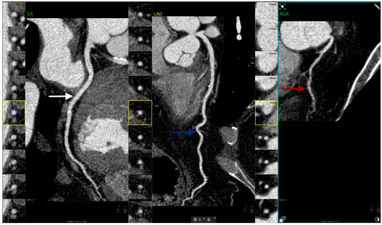
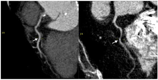
3. Results
4. Discussion
5. Conclusions
Author Contributions
Funding
Institutional Review Board Statement
Informed Consent Statement
Data Availability Statement
Conflicts of Interest
References
- Gentile, F.; Castiglione, V.; De Caterina, R. Coronary Artery Anomalies. Circulation 2021, 144, 983–996. [Google Scholar] [CrossRef] [PubMed]
- Jiang, X.; Zhou, P.; Wen, C.; Yin, Z.; Liu, T.; Xu, M.; Yang, C.; Wang, H.; Song, W.; Fang, Y.; et al. Coronary Anomalies in 11,267 Southwest Chinese Patients Determined by Angiography. Biomed. Res. Int. 2021, 2021, 6693784. [Google Scholar] [CrossRef] [PubMed]
- Graidis, C.; Dimitriadis, D.; Karasavvidis, V.; Dimitriadis, G.; Argyropoulou, E.; Economou, F.; George, D.; Antoniou, A.; Karakostas, G. Prevalence and characteristics of coronary artery anomalies in an adult population undergoing multidetector-row computed tomography for the evaluation of coronary artery disease. BMC Cardiovasc. Disord. 2015, 15, 112. [Google Scholar] [CrossRef] [PubMed]
- Villa, A.D.; Sammut, E.; Nair, A.; Rajani, R.; Bonamini, R.; Chiribiri, A. Coronary artery anomalies overview: The normal and the abnormal. World J. Radiol. 2016, 8, 537–555. [Google Scholar] [CrossRef] [PubMed]
- Kastellanos, S.; Aznaouridis, K.; Vlachopoulos, C.; Tsiamis, E.; Oikonomou, E.; Tousoulis, D. Overview of coronary artery variants, aberrations and anomalies. World J. Cardiol. 2018, 10, 127–140. [Google Scholar] [CrossRef] [PubMed]
- Yazici, H.U.; Aydar, Y.; Birdane, A.; Ulus, T.; Nadir, A.; Kirli, I.; Gorenek, B.; Unalir, A.; Ata, N. Relationship between hypoplastic right coronary artery and coronary artery anomalies. Eur. Rev. Med. Pharmacol. Sci. 2013, 17, 694–700. [Google Scholar] [CrossRef]
- Zugibe, F.T.; Zugibe, F.T.; Costello, J.T.; Breithaupt, M.K. Hypoplastic Coronary Artery Disease Within the Spectrum of Sudden Unexpected Death in Young and Middle Age Adults. Am. J. Forensic Med. Pathol. 1993, 14, 276–283. [Google Scholar] [CrossRef] [PubMed]
- Guo, A.; Bakhshi, H.; O’Hara, J.; Genovese, L.; Fein, A.; Maghsoudi, A.; Sandesara, C. Hypoplastic Coronary Artery Disease Presenting with Ventricular Fibrillation Cardiac Arrest. Eur. J. Case Rep. Intern. Med. 2021, 8, 002736. [Google Scholar]
- Ghadri, J.R.; Kazakauskaite, E.; Braunschweig, S.; A Burger, I.; Frank, M.; Fiechter, M.; Gebhard, C.; A Fuchs, T.; Templin, C.; Gaemperli, O.; et al. Congenital coronary anomalies detected by coronary computed tomography compared to invasive coronary angiography. BMC Cardiovasc. Disord. 2014, 14, 81. [Google Scholar] [CrossRef] [PubMed]
- Al Umairi, R.; Al-khouri, M. Prevalence, Spectrum, and Outcomes of Single Coronary Artery Detected on Coronary Computed Tomography Angiography (CCTA). Radiol. Res. Pract. 2019, 2019, 2940148. [Google Scholar] [CrossRef] [PubMed]
- van Stijn, D.; Planken, N.; Kuipers, I.; Kuijpers, T. CT Angiography or Cardiac MRI for Detection of Coronary Artery Aneurysms in Kawasaki Disease. Front. Pediatr. 2021, 9, 630462. [Google Scholar] [CrossRef] [PubMed]
- Ogden, J.A. Congenital anomalies of the coronary arteries. Am. J. Cardiol. 1970, 25, 474–479. [Google Scholar] [CrossRef] [PubMed]
- O’Connor, N.J.; Morton, J.R.; Birkmeyer, J.D.; Olmstead, E.M.; O’Connor, G.T. Effect of Coronary Artery Diameter in Patients Undergoing Coronary Bypass Surgery. Circulation 1996, 93, 652–655. [Google Scholar] [CrossRef] [PubMed]
- Yano, S. Does Body Height Affect Vascular Function? Hypertens. Res. J. 2022, 45, 369–371. [Google Scholar] [CrossRef] [PubMed]
- Manickavasuki, A.K.; Jamuna, M.; Hebzibah, T.D.; Nirmaladevi, M.; Swamicken, B.P.; Radhika, K.; Sundaram, K.K. Anatomical Study of Left Coronary Artery and its Variations–Cadaveric Study. J. Clin. Diagn. Res. 2018, 12, AC01–AC05. [Google Scholar] [CrossRef]
- Sangita, M.; Yadav, J.; Chaurasia, J.K.; Arora, A.; Jahan, A.; Patnaik, M. Hypoplastic coronary artery disease, as a cause of sudden death. Autops. Case Rep. 2023, 13, e2023440. [Google Scholar] [CrossRef] [PubMed]
- Liu, Y.; Lu, X.; Xiang, F.L.; Poelmann, R.E.; Gittenberger-de Groot, A.C.; Robbins, J.; Feng, Q. Nitric oxide synthase-3 deficiency results in hypoplastic coronary arteries and postnatal myocardial infarction. Eur. Heart J. 2012, 35, 920–931. [Google Scholar] [CrossRef] [PubMed]
- Riede, F.N.; Bulla, S.; Grundmann, S.; Werner, M.; Riede, U.N.; Otto, C. Isolated hypoplastic circumflex coronary artery: A rare cause of haemorrhagic myocardial infarction in a young athlete. Diagn. Pathol. 2013, 8, 91. [Google Scholar] [CrossRef]
- Moazzen, H.; Lu, X.; Liu, M.; Feng, Q. Pregestational Diabetes Induces Fetal Coronary Artery Malformation via Reactive Oxygen Species Signaling. Diabetes 2015, 64, 1431–1443. [Google Scholar] [CrossRef] [PubMed]
- Greco, E.R.; Engineer, A.; Saiyin, T.; Lu, X.; Zhang, M.; Jones, D.L.; Feng, Q. Maternal nicotine exposure induces congenital heart defects in the offspring of mice. J. Cell. Mol. Med. 2022, 26, 3223–3234. [Google Scholar] [CrossRef]
- Angelini, P.; Villason, S.; Chan, A.; Diez, G. Normal and Anomalous Coronary Arteries in Humans. In Coronary Artery Anomalies: A Comprehensive Approach; Angelini, P., Ed.; Lippincott Williams & Wilkins: Philadelphia, PA, USA, 1999; Chapter 4; pp. 27–79. [Google Scholar]
- Maron, B.J.; Shirani, J.; Poliac, L.C.; Mathenge, R.; Roberts, W.C.; Mueller, F.O. Sudden death in young competitive athletes. Clinical, demographic, and pathological profiles. JAMA 1996, 276, 199–204. [Google Scholar] [CrossRef]
- Levin Mtsac, R.; Degrange Mtsac, M.; Leacche, M.; Balaguer, J.; Byrne, J. Acute Coronary Syndrome Secondary to Hypoplastic Left Main and Left Descending Coronary Arteries. Rev. Argent. Cardiol. 2012, 80, 157–159. [Google Scholar]
- McFarland, C.; Swamy, R.; Shah, A.P. Hypoplastic coronary artery disease: A rare cause of sudden cardiac death and its treatment with an implantable defibrillator. J. Cardiol. Cases 2011, 4, e148–e151. [Google Scholar] [CrossRef]
- Rodgers, J.L.; Jones, J.; Bolleddu, S.I.; Vanthenapalli, S.; Rodgers, L.E.; Shah, K.; Karia, K.; Panguluri, S.K. Cardiovascular Risks Associated with Gender and Aging. J. Cardiovasc. Dev. Dis. 2019, 6, 19. [Google Scholar] [CrossRef]
- Aricatt, D.P.; Prabhu, A.; Avadhani, R.; Subramanyam, K.; Manzil, A.S.; Ezhilan, J.; Das, R. A study of coronary dominance and its clinical significance. Folia Morphol. 2023, 82, 102–107. [Google Scholar] [CrossRef] [PubMed]
- Knaapen, M.; Koch, A.H.; Koch, C.; Koch, K.T.; Li, X.; Van Rooij, P.C.; Tijssen, J.G.; Peters, R.J.; van der Wal, A.C.; Damman, P.; et al. Prevalence of left and balanced coronary arterial dominance decreases with increasing age of patients at autopsy. A postmortem coronary angiograms study. Cardiovasc. Pathol. 2013, 22, 49–53. [Google Scholar] [CrossRef] [PubMed]
- Doi, Y.; Waki, K.; Ogino, K.; Hayashi, T. Hypoplastic coronary artery disease and hypertension in a child: A case report. Eur. Heart J.-Case Rep. 2021, 6, ytab526. [Google Scholar] [CrossRef] [PubMed]
- Cubrilo-Turek, M. Hypertension and Coronary Heart Disease. EJIFCC 2003, 14, 67–73. [Google Scholar] [PubMed]
- Haffner, S.M. Diabetes, hyperlipidemia, and coronary artery disease. Am. J. Cardiol. 1999, 83 (Suppl. S2), 17–21. [Google Scholar] [CrossRef]
- Shah, P.K.; Helfant, R.H. Smoking and Coronary Artery Disease. Chest 1988, 94, 449–452. [Google Scholar] [CrossRef]
- Sim, D.S.; Jeong, M.H.; Choi, S.; Yoon, N.S.; Yoon, H.J.; Moon, J.Y.; Hong, Y.J.; Kim, K.H.; Park, H.W.; Kim, J.H.; et al. Myocardial Infarction in a Young Man due to a Hypoplastic Coronary Artery. KCJ 2009, 39, 163. [Google Scholar] [CrossRef] [PubMed]




| Risk Factors | Total (n = 350) | Men (n = 204) | Female (n = 146) | |||
|---|---|---|---|---|---|---|
| n | % | n | % | n | % | |
| Hypertension | 149 | 42.6% | 95 | 46.5% | 54 | 37% |
| Dyslipidemia | 97 | 27.7% | 54 | 12.7% | 43 | 12.3% |
| Smoking | 45 | 12.9% | 32 | 15.6% | 13 | 9% |
| Diabetes mellitus | 44 | 12.6% | 26 | 12.7% | 18 | 12.3% |
| Cardiovascular Diseases | Total (n = 350) | Men (n = 204) | Female (n = 146) | |||
|---|---|---|---|---|---|---|
| n | % | n | % | n | % | |
| Coronary artery disease (CAD) | 108 | 30.9% | 77 | 37.7% | 31 | 21.2% |
| Chronic cardiac failure | 121 | 34.6% | 69 | 33.8% | 52 | 35.6% |
| Cardiovascular Diseases | Total (n = 350) | Men (n = 204) | Female (n = 146) | |||
|---|---|---|---|---|---|---|
| n | % | n | % | n | % | |
| Coronary angioplasty | 29 | 8.3% | 23 | 11.3% | 6 | 4% |
| Pacemaker insertion | 10 | 3% | 5 | 2.4% | 5 | 3.4% |
| Bypass | 5 | 1.4% | 5 | 2.4% | 0 | 0% |
| Type of Anomaly | Number of Anomalies | Coronary Artery Anomalies (%) (n = 350) | Incidence (%) (n = 12,758) |
|---|---|---|---|
| Absent left main trunk (split origination of LCA) | 80 | 22.9% | 0.6% |
| Coronary artery hypoplasia | 71 | 20.3% | 0.5% |
| Myocardial bridges | 66 | 18.9% | 0.5% |
| Risk Factors | Total (n = 71) | Men (n = 39) | Female (n = 32) | |||
|---|---|---|---|---|---|---|
| n | % | n | % | n | % | |
| Hypertension | 33 | 47% | 20 | 51% | 13 | 41% |
| Dyslipidemia | 23 | 32% | 13 | 33% | 10 | 31% |
| Smoking | 8 | 11% | 6 | 15% | 2 | 6% |
| Diabetes mellitus | 8 | 11% | 5 | 13% | 3 | 9% |
| Patients (n) | Gender | Hypoplastic Coronary Artery | Stenotic Coronary Artery with Stent Placement |
|---|---|---|---|
| 1 | M | LM | LAD |
| 2 | M | RCA | LAD |
| 3 | F | LAD | LAD |
| 4 | M | LM | LAD |
| 5 | M | RCA | LCx |
| 6 | M | LM | LCx |
| 7 | M | LAD | RCA |
Disclaimer/Publisher’s Note: The statements, opinions and data contained in all publications are solely those of the individual author(s) and contributor(s) and not of MDPI and/or the editor(s). MDPI and/or the editor(s) disclaim responsibility for any injury to people or property resulting from any ideas, methods, instructions or products referred to in the content. |
© 2024 by the authors. Licensee MDPI, Basel, Switzerland. This article is an open access article distributed under the terms and conditions of the Creative Commons Attribution (CC BY) license (https://creativecommons.org/licenses/by/4.0/).
Share and Cite
Zamfir, A.-S.; Stătescu, C.; Sascău, R.A.; Tinică, G.; Zamfir, C.L.; Cernomaz, T.-A.; Chistol, R.O.; Boișteanu, D.; Sava, A. Casting Light on The Hidden Prevalence: A Novel Perspective on Hypoplastic Coronary Artery Disease. J. Clin. Med. 2024, 13, 2555. https://doi.org/10.3390/jcm13092555
Zamfir A-S, Stătescu C, Sascău RA, Tinică G, Zamfir CL, Cernomaz T-A, Chistol RO, Boișteanu D, Sava A. Casting Light on The Hidden Prevalence: A Novel Perspective on Hypoplastic Coronary Artery Disease. Journal of Clinical Medicine. 2024; 13(9):2555. https://doi.org/10.3390/jcm13092555
Chicago/Turabian StyleZamfir, Alexandra-Simona, Cristian Stătescu, Radu Andy Sascău, Grigore Tinică, Carmen Lăcrămioara Zamfir, Tudor-Andrei Cernomaz, Raluca Ozana Chistol, Daniela Boișteanu, and Anca Sava. 2024. "Casting Light on The Hidden Prevalence: A Novel Perspective on Hypoplastic Coronary Artery Disease" Journal of Clinical Medicine 13, no. 9: 2555. https://doi.org/10.3390/jcm13092555
APA StyleZamfir, A.-S., Stătescu, C., Sascău, R. A., Tinică, G., Zamfir, C. L., Cernomaz, T.-A., Chistol, R. O., Boișteanu, D., & Sava, A. (2024). Casting Light on The Hidden Prevalence: A Novel Perspective on Hypoplastic Coronary Artery Disease. Journal of Clinical Medicine, 13(9), 2555. https://doi.org/10.3390/jcm13092555

