Nanosurgical and Bioengineering Treatment of Human Anterior Cruciate Ligament Tears with Ultrasound-Guided Injection of Modified Platelet-Rich Plasma Using Human Cell Memory Based on Clinical, Ultrasound, MRI, and Nanoscope Analyses: A Double-Blind Randomized Trial
Abstract
1. Introduction
2. Materials and Methods
2.1. Study Design
2.2. Intervention
2.3. Outcomes
2.4. Imaging Examination
2.5. Statistical Analysis
3. Results
3.1. Patients
3.2. Clinical Outcomes
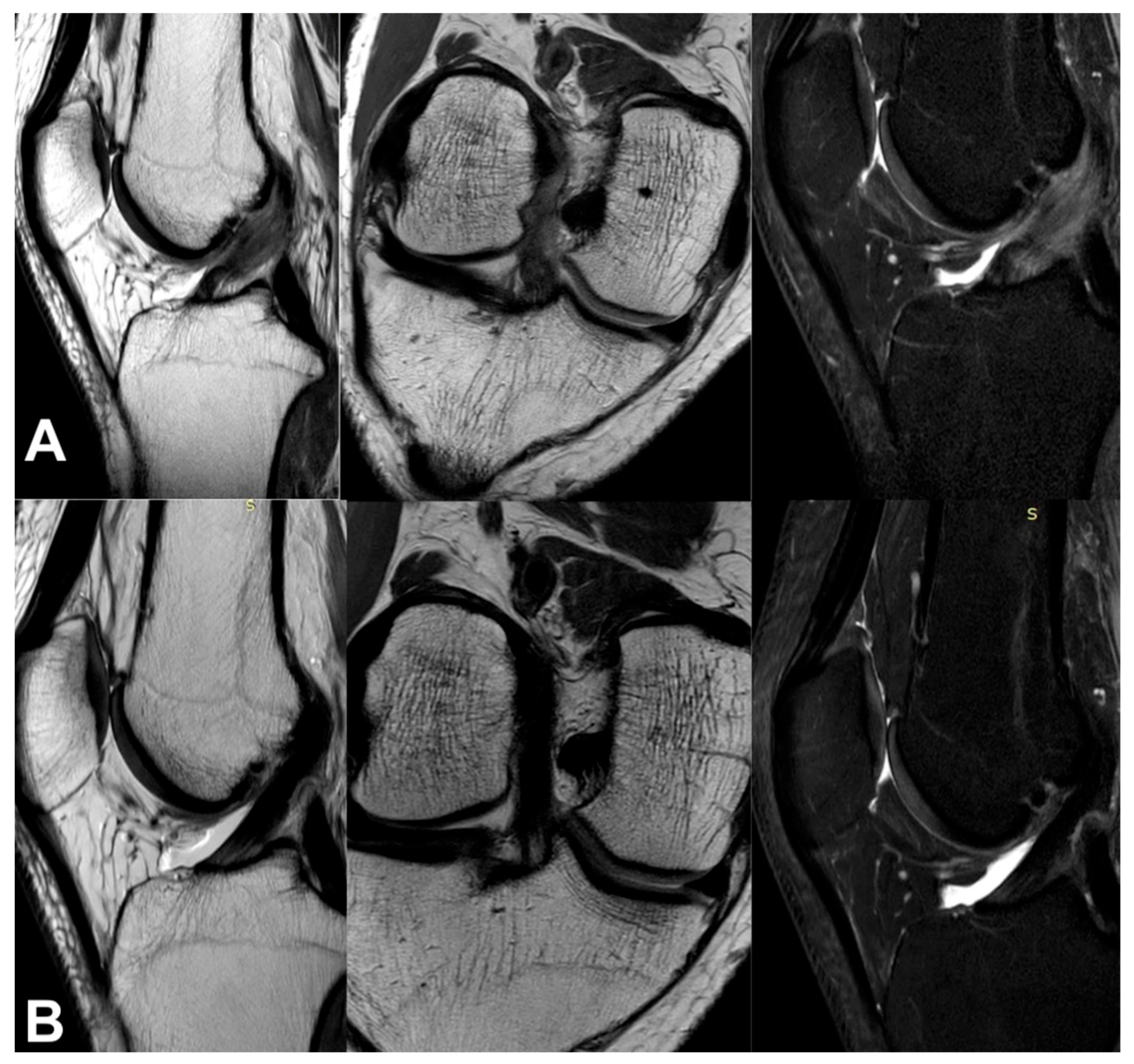
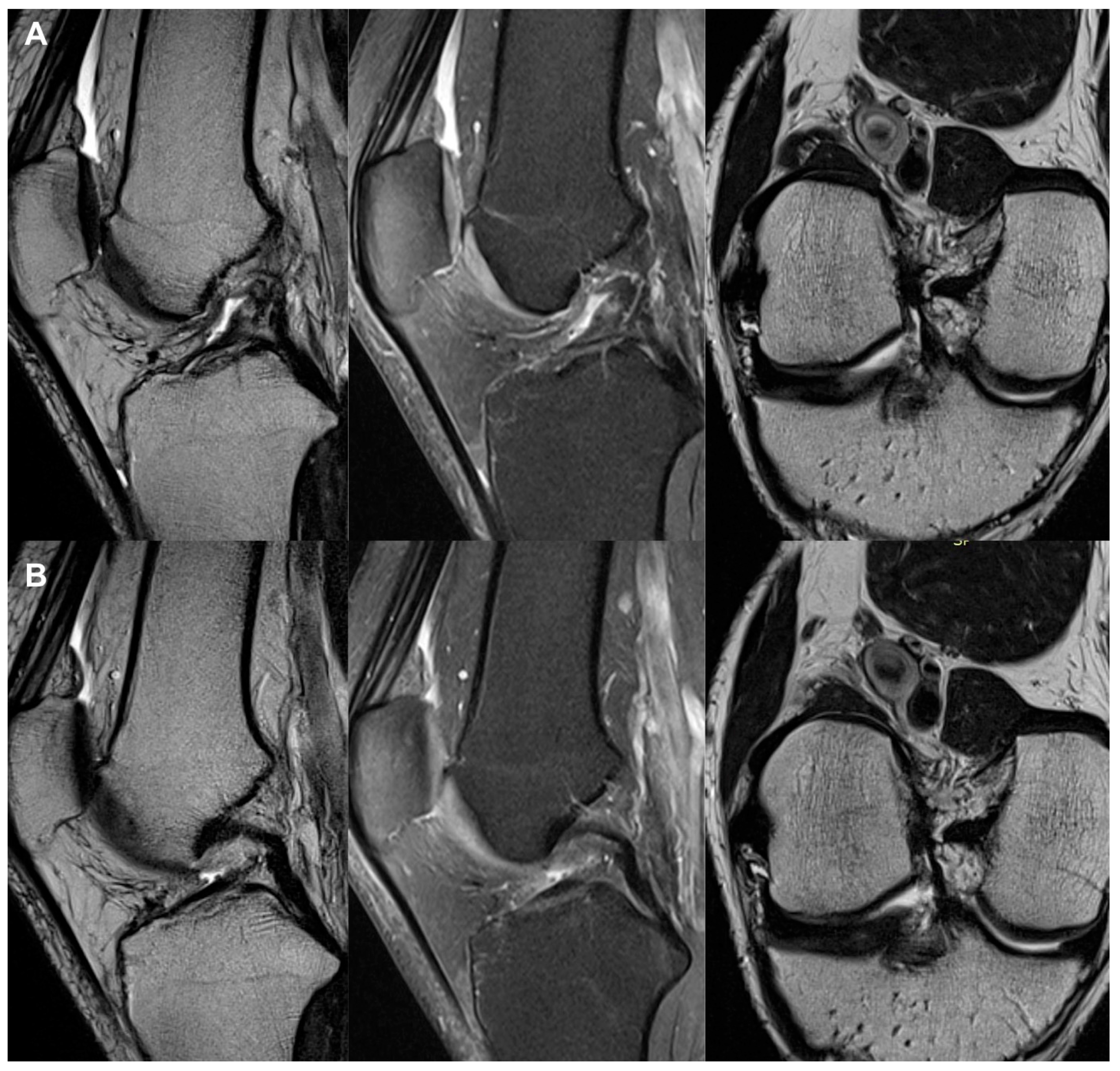
3.3. Imaging Analysis
4. Discussion
5. Conclusions
Funding
Institutional Review Board Statement
Informed Consent Statement
Data Availability Statement
Conflicts of Interest
References
- Øiestad, B.E.; Engebretsen, L.; Storheim, K.; Risberg, M.A. Knee osteoarthritis after anterior cruciate ligament injury: A systematic review. Am. J. Sports Med. 2009, 37, 1434–1443. [Google Scholar] [CrossRef] [PubMed]
- Spindler, K.P.; Wright, R.W. Anterior Cruciate Ligament Tear. N. Engl. J. Med. 2008, 359, 2135–2142. [Google Scholar] [CrossRef] [PubMed]
- Temponi, E.F.; de Carvalho Júnior, L.H.; Sonnery-Cottet, B.; Chambat, P. Partial tearing of the anterior cruciate ligament: Diagnosis and treatment. Rev. Bras. Ortop. 2015, 50, 9–15. [Google Scholar] [CrossRef] [PubMed]
- Choi, S.; Kim, M.K.; Kwon, Y.S.; Kang, H. Clinical and arthroscopic outcome of single bundle anterior cruciate ligament reconstruction: Comparison of remnant preservation versus conventional technique. Knee 2017, 24, 1025–1032. [Google Scholar] [CrossRef] [PubMed]
- Linko, E.; Harilainen, A.; Malmivaara, A.; Seitsalo, S. Surgical versus conservative interventions for anterior cruciate ligament ruptures in adults. Cochrane Database Syst. Rev. 2005, 2, CD001356. [Google Scholar] [CrossRef] [PubMed]
- Weiss, W.M. Editorial Commentary: Technical Advances in Fixation for Arthroscopic Anterior Cruciate Ligament Reconstruction Won’t Take the Place of Good Technique…or a Strong Arm! Arthroscopy 2018, 34, 2675–2676. [Google Scholar] [CrossRef] [PubMed]
- Adams, D.; Logerstedt, D.S.; Hunter-Giordano, A.; Axe, M.J.; Snyder-Mackler, L. Current concepts for anterior cruciate ligament reconstruction: A criterion-based rehabilitation progression. J. Orthop. Sports Phys. Ther. 2012, 42, 601–614. [Google Scholar] [CrossRef] [PubMed]
- Noyes, F.R.; Mooar, L.A.; Moorman, C.T., 3rd; McGinniss, G.H. Partial tears of the anterior cruciate ligament. Progression to complete ligament deficiency. J. Bone Jt. Surg. Br. 1989, 71, 825–833. [Google Scholar] [CrossRef]
- Hong, S.H.; Choi, J.Y.; Lee, G.K.; Choi, J.A.; Chung, H.W.; Kang, H.S. Grading of anterior cruciate ligament injury. Diagnostic efficacy of oblique coronal magnetic resonance imaging of the knee. J. Comput. Assist. Tomogr. 2003, 27, 814–819. [Google Scholar] [CrossRef]
- Monk, A.P.; Davies, L.J.; Hopewell, S.; Harris, K.; Beard, D.J.; Price, A.J. Surgical versus conservative interventions for treating anterior cruciate ligament injuries. Cochrane Database Syst. Rev. 2016, 4, CD011166. [Google Scholar] [CrossRef]
- Bagsby, D.; Gantsoudes, G.; Klitzman, R. Intrinsic Healing of the Anterior Cruciate Ligament in an Adolescent. Am. J. Orthop. 2015, 44, E294–E297. [Google Scholar] [PubMed]
- Malanga, G.A.; Giradi, J.; Nadler, S.F. The spontaneous healing of a torn anterior cruciate ligament. Clin. J. Sport. Med. 2001, 11, 118–120. [Google Scholar] [CrossRef] [PubMed]
- Roe, J.; Salmon, L.; Waller, A.; Linklater, J.; Pinczewski, L. Spontaneous Healing of the Ruptured Anterior Cruciate Ligament:A Case Series of 21 Patients. Orthop. J. Sports Med. 2016, 4, 2325967116S2325900080. [Google Scholar] [CrossRef]
- Hintz, R.L. Growth hormone: Uses and abuses. BMJ 2004, 328, 907–908. [Google Scholar] [CrossRef]
- Ainembabazi, D.; Zhang, Y.; Turchi, J.J. The mechanistic role of cardiac glycosides in DNA damage response and repair signaling. Cell Mol. Life Sci. 2023, 80, 250. [Google Scholar] [CrossRef] [PubMed]
- Barnett, S.C.; Murray, M.M.; Badger, G.J.; Yen, Y.M.; Kramer, D.E.; Sanborn, R.; Kiapour, A.; Proffen, B.; Sant, N.; Fleming, B.C.; et al. Earlier Resolution of Symptoms and Return of Function After Bridge-Enhanced Anterior Cruciate Ligament Repair As Compared With Anterior Cruciate Ligament Reconstruction. Orthop. J. Sports Med. 2021, 9, 23259671211052530. [Google Scholar] [CrossRef] [PubMed]
- Murray, M.M.; Kalish, L.A.; Fleming, B.C.; Flutie, B.; Freiberger, C.; Henderson, R.N.; Perrone, G.S.; Thurber, L.G.; Proffen, B.L.; Ecklund, K.; et al. Bridge-Enhanced Anterior Cruciate Ligament Repair: Two-Year Results of a First-in-Human Study. Orthop. J. Sports Med. 2019, 7, 2325967118824356. [Google Scholar] [CrossRef]
- Sanborn, R.M.; Badger, G.J.; Yen, Y.M.; Murray, M.M.; Christino, M.A.; Proffen, B.; Sant, N.; Barnett, S.; Fleming, B.C.; Kramer, D.E.; et al. Psychological Readiness to Return to Sport at 6 Months Is Higher After Bridge-Enhanced ACL Restoration Than Autograft ACL Reconstruction: Results of a Prospective Randomized Clinical Trial. Orthop. J. Sports Med. 2022, 10, 23259671211070542. [Google Scholar] [CrossRef]
- Briggs, K.K.; Lysholm, J.; Tegner, Y.; Rodkey, W.G.; Kocher, M.S.; Steadman, J.R. The reliability, validity, and responsiveness of the Lysholm score and Tegner activity scale for anterior cruciate ligament injuries of the knee: 25 years later. Am. J. Sports Med. 2009, 37, 890–897. [Google Scholar] [CrossRef]
- Riddle, D.L.; Perera, R.A. The WOMAC Pain Scale and Crosstalk From Co-occurring Pain Sites in People With Knee Pain: A Causal Modeling Study. Phys. Ther. 2020, 100, 1872–1881. [Google Scholar] [CrossRef]
- Esmaili Jah, A.A.; Keyhani, S.; Zarei, R.; Moghaddam, A.K. Accuracy of MRI in comparison with clinical and arthroscopic findings in ligamentous and meniscal injuries of the knee. Acta Orthop. Belg. 2005, 71, 189–196. [Google Scholar] [PubMed]
- Khanda, G.E.; Akhtar, W.; Ahsan, H.; Ahmad, N. Assessment of menisci and ligamentous injuries of the knee on magnetic resonance imaging: Correlation with arthroscopy. J. Pak. Med. Assoc. 2008, 58, 537–540. [Google Scholar] [PubMed]
- Kostov, H.; Stojmenski, S.; Kostova, E. Reliability Assessment of Arthroscopic Findings Versus MRI in ACL Injuries of the Knee. Acta Inform. Med. 2014, 22, 111–114. [Google Scholar] [CrossRef] [PubMed]
- Navali, A.M.; Bazavar, M.; Mohseni, M.A.; Safari, B.; Tabrizi, A. Arthroscopic evaluation of the accuracy of clinical examination versus MRI in diagnosing meniscus tears and cruciate ligament ruptures. Arch. Iran. Med. 2013, 16, 229–232. [Google Scholar]
- Oei, E.H.; Nikken, J.J.; Verstijnen, A.C.; Ginai, A.Z.; Myriam Hunink, M.G. MR imaging of the menisci and cruciate ligaments: A systematic review. Radiology 2003, 226, 837–848. [Google Scholar] [CrossRef] [PubMed]
- Rubin, D.A.; Kettering, J.M.; Towers, J.D.; Britton, C.A. MR imaging of knees having isolated and combined ligament injuries. AJR Am. J. Roentgenol. 1998, 170, 1207–1213. [Google Scholar] [CrossRef] [PubMed]
- Cheng, X.Y.; Feng, J.F.; Lu, Y.H.; Zhao, Y.L.; Yang, Z.Q. Diagnostic value of Blumensaat angle for anterior cruciate ligament injury. Zhongguo Gu Shang 2017, 30, 726–730. [Google Scholar] [CrossRef] [PubMed]
- Andersson, C.; Odensten, M.; Good, L.; Gillquist, J. Surgical or non-surgical treatment of acute rupture of the anterior cruciate ligament. A randomized study with long-term follow-up. J. Bone Jt. Surg. Am. 1989, 71, 965–974. [Google Scholar] [CrossRef]
- Hefti, F.L.; Kress, A.; Fasel, J.; Morscher, E.W. Healing of the transected anterior cruciate ligament in the rabbit. J. Bone Jt. Surg. Am. 1991, 73, 373–383. [Google Scholar] [CrossRef]
- Murray, M.M.; Martin, S.D.; Martin, T.L.; Spector, M. Histological changes in the human anterior cruciate ligament after rupture. J. Bone Jt. Surg. Am. 2000, 82, 1387–1397. [Google Scholar] [CrossRef]
- Feagin, J.A., Jr.; Curl, W.W. Isolated tear of the anterior cruciate ligament: 5-year follow-up study. Am. J. Sports Med. 1976, 4, 95–100. [Google Scholar] [CrossRef] [PubMed]
- Kobayashi, D.; Kurosaka, M.; Yoshiya, S.; Mizuno, K. Effect of basic fibroblast growth factor on the healing of defects in the canine anterior cruciate ligament. Knee Surg. Sports Traumatol. Arthrosc. 1997, 5, 189–194. [Google Scholar] [CrossRef] [PubMed]
- Kondo, E.; Yasuda, K.; Yamanaka, M.; Minami, A.; Tohyama, H. Effects of administration of exogenous growth factors on biomechanical properties of the elongation-type anterior cruciate ligament injury with partial laceration. Am. J. Sports Med. 2005, 33, 188–196. [Google Scholar] [CrossRef] [PubMed]
- Dhillon, M.S.; Karna, S.K.; Dhatt, S.S.; Behera, P.; Bhatia, A. Can Platelet rich plasma stimulate human ACL growth in culture? A preliminary experience. Muscles Ligaments Tendons J. 2015, 5, 156–161. [Google Scholar] [CrossRef]
- Murray, M.M.; Palmer, M.; Abreu, E.; Spindler, K.P.; Zurakowski, D.; Fleming, B.C. Platelet-rich plasma alone is not sufficient to enhance suture repair of the ACL in skeletally immature animals: An in vivo study. J. Orthop. Res. 2009, 27, 639–645. [Google Scholar] [CrossRef] [PubMed]
- Badylak, S.F.; Park, K.; Peppas, N.; McCabe, G.; Yoder, M. Marrow-derived cells populate scaffolds composed of xenogeneic extracellular matrix. Exp. Hematol. 2001, 29, 1310–1318. [Google Scholar] [CrossRef] [PubMed]
- Cheng, M.; Johnson, V.M.; Murray, M.M. Effects of age and platelet-rich plasma on ACL cell viability and collagen gene expression. J. Orthop. Res. 2012, 30, 79–85. [Google Scholar] [CrossRef] [PubMed]
- Fisher, M.B.; Liang, R.; Jung, H.J.; Kim, K.E.; Zamarra, G.; Almarza, A.J.; McMahon, P.J.; Woo, S.L. Potential of healing a transected anterior cruciate ligament with genetically modified extracellular matrix bioscaffolds in a goat model. Knee Surg. Sports Traumatol. Arthrosc. 2012, 20, 1357–1365. [Google Scholar] [CrossRef]
- Fleming, B.C.; Magarian, E.M.; Harrison, S.L.; Paller, D.J.; Murray, M.M. Collagen scaffold supplementation does not improve the functional properties of the repaired anterior cruciate ligament. J. Orthop. Res. 2010, 28, 703–709. [Google Scholar] [CrossRef]
- Costa-Paz, M.; Ayerza, M.A.; Tanoira, I.; Astoul, J.; Muscolo, D.L. Spontaneous healing in complete ACL ruptures: A clinical and MRI study. Clin. Orthop. Relat. Res. 2012, 470, 979–985. [Google Scholar] [CrossRef]
- Wasilczyk, C. The Value of Ultrasound Diagnostic Imaging of Anterior Crucial Ligament Tears Verified Using Experimental and Arthroscopic Investigations. Diagnostics 2024, 14, 305. [Google Scholar] [CrossRef] [PubMed]
- Wasilczyk, C. The Value of Ultrasound Diagnostic Imaging of Meniscal Knee Injuries Verified by Experimental and Arthroscopic Investigations. Diagnostics 2023, 13, 3264. [Google Scholar] [CrossRef] [PubMed]
- Figueroa, D.; Figueroa, F.; Calvo, R.; Vaisman, A.; Ahumada, X.; Arellano, S. Platelet-rich plasma use in anterior cruciate ligament surgery: Systematic review of the literature. Arthroscopy 2015, 31, 981–988. [Google Scholar] [CrossRef] [PubMed]
- Cook, J.L.; Smith, P.A.; Bozynski, C.C.; Kuroki, K.; Cook, C.R.; Stoker, A.M.; Pfeiffer, F.M. Multiple injections of leukoreduced platelet rich plasma reduce pain and functional impairment in a canine model of ACL and meniscal deficiency. J. Orthop. Res. 2016, 34, 607–615. [Google Scholar] [CrossRef] [PubMed]
- Bozynski, C.C.; Stannard, J.P.; Smith, P.; Hanypsiak, B.T.; Kuroki, K.; Stoker, A.; Cook, C.; Cook, J.L. Acute Management of Anterior Cruciate Ligament Injuries Using Novel Canine Models. J. Knee Surg. 2016, 29, 594–603. [Google Scholar] [CrossRef]
- Magarian, E.M.; Vavken, P.; Murray, M.M. Human anterior cruciate ligament fibroblasts from immature patients have a stronger in vitro response to platelet concentrates than those from mature individuals. Knee 2011, 18, 247–251. [Google Scholar] [CrossRef] [PubMed]
- Koch, M.; Mayr, F.; Achenbach, L.; Krutsch, W.; Lang, S.; Hilber, F.; Weber, J.; Pfeifer, C.G.; Woehl, R.; Eichhorn, J.; et al. Partial Anterior Cruciate Ligament Ruptures: Advantages by Intraligament Autologous Conditioned Plasma Injection and Healing Response Technique-Midterm Outcome Evaluation. Biomed. Res. Int. 2018, 2018, 3204869. [Google Scholar] [CrossRef] [PubMed]
- Seijas, R.; Ares, O.; Cuscó, X.; Alvarez, P.; Steinbacher, G.; Cugat, R. Partial anterior cruciate ligament tears treated with intraligamentary plasma rich in growth factors. World J. Orthop. 2014, 5, 373–378. [Google Scholar] [CrossRef] [PubMed]
- Centeno, C.; Markle, J.; Dodson, E.; Stemper, I.; Williams, C.; Hyzy, M.; Ichim, T.; Freeman, M. Symptomatic anterior cruciate ligament tears treated with percutaneous injection of autologous bone marrow concentrate and platelet products: A non-controlled registry study. J. Transl. Med. 2018, 16, 246. [Google Scholar] [CrossRef]
- Lee-Barthel, A.; Baar, K.; West, D.W.D. Treatment of Ligament Constructs with Exercise-conditioned Serum: A Translational Tissue Engineering Model. J. Vis. Exp. 2017, 124, 55339. [Google Scholar] [CrossRef]
- Murray, M.M.; Fleming, B.C.; Badger, G.J.; Freiberger, C.; Henderson, R.; Barnett, S.; Kiapour, A.; Ecklund, K.; Proffen, B.; Sant, N.; et al. Bridge-Enhanced Anterior Cruciate Ligament Repair Is Not Inferior to Autograft Anterior Cruciate Ligament Reconstruction at 2 Years: Results of a Prospective Randomized Clinical Trial. Am. J. Sports Med. 2020, 48, 1305–1315. [Google Scholar] [CrossRef] [PubMed]









| Variable | Treatment Group (n = 30) | Control Group (n = 10) | p-Value | |
|---|---|---|---|---|
| Age, years, median (IQR) | 46.5 (15.0) | 33.0 (12.0) | 0.033 | |
| Sex, n (%) | Men | 16 (53.3%) | 9 (90%) | 0.040 |
| Women | 14 (46.7%) | 1 (10%) | ||
| BMI, mean (SD) | 23.7 (2.3) | 24.2 (1.1) | 0.523 | |
| Injured knee, n (%) | Right | 8 (26.7%) | 4 (40%) | 0.420 |
| Left | 22 (73.3%) | 6 (60%) | ||
| Nanoscopy, n (%) | Yes | 17 (56.7%) | 1 (10%) | 0.011 |
| No | 13 (43.3%) | 9 (90%) |
| Variable | Treatment Group (n = 30) | Control Group (n = 10) | p-Value | |
|---|---|---|---|---|
| WOMAC, median (IQR) | At baseline | 90.0 (8.0) | 85.5 (10.0) | 0.254 |
| After treatment | 0 (0) | 53.0 (10.0) | <0.001 | |
| Change | −88.0 (66.0) | −30.0 (9.0) | <0.001 | |
| VAS, median (IQR) | At baseline | 8.0 (1.0) | 8.0 (0) | 0.012 |
| After treatment | 0 (0) | 5.0 (1.0) | <0.001 | |
| Change | −8.0 (7.0) | −3.0 (4.0) | <0.001 | |
| LKS, median (IQR) | At baseline | 100 (0) | 100 (2.0) | 0.165 |
| After treatment | 0 (0) | 66.5 (15.0) | <0.001 | |
| Change | −100 (69.0) | −33.0 (21.0) | <0.0001 | |
| Knee instability, median (IQR) | At baseline | 8.0 (1.0) | 8.0 (0) | 0.044 |
| After treatment | 0 (0) | 6.5 (1.0) | <0.001 | |
| Change | −8.0 (8.0) | −2 (2.0) | <0.001 | |
Disclaimer/Publisher’s Note: The statements, opinions and data contained in all publications are solely those of the individual author(s) and contributor(s) and not of MDPI and/or the editor(s). MDPI and/or the editor(s) disclaim responsibility for any injury to people or property resulting from any ideas, methods, instructions or products referred to in the content. |
© 2024 by the author. Licensee MDPI, Basel, Switzerland. This article is an open access article distributed under the terms and conditions of the Creative Commons Attribution (CC BY) license (https://creativecommons.org/licenses/by/4.0/).
Share and Cite
Wasilczyk, C. Nanosurgical and Bioengineering Treatment of Human Anterior Cruciate Ligament Tears with Ultrasound-Guided Injection of Modified Platelet-Rich Plasma Using Human Cell Memory Based on Clinical, Ultrasound, MRI, and Nanoscope Analyses: A Double-Blind Randomized Trial. J. Clin. Med. 2024, 13, 2475. https://doi.org/10.3390/jcm13092475
Wasilczyk C. Nanosurgical and Bioengineering Treatment of Human Anterior Cruciate Ligament Tears with Ultrasound-Guided Injection of Modified Platelet-Rich Plasma Using Human Cell Memory Based on Clinical, Ultrasound, MRI, and Nanoscope Analyses: A Double-Blind Randomized Trial. Journal of Clinical Medicine. 2024; 13(9):2475. https://doi.org/10.3390/jcm13092475
Chicago/Turabian StyleWasilczyk, Cezary. 2024. "Nanosurgical and Bioengineering Treatment of Human Anterior Cruciate Ligament Tears with Ultrasound-Guided Injection of Modified Platelet-Rich Plasma Using Human Cell Memory Based on Clinical, Ultrasound, MRI, and Nanoscope Analyses: A Double-Blind Randomized Trial" Journal of Clinical Medicine 13, no. 9: 2475. https://doi.org/10.3390/jcm13092475
APA StyleWasilczyk, C. (2024). Nanosurgical and Bioengineering Treatment of Human Anterior Cruciate Ligament Tears with Ultrasound-Guided Injection of Modified Platelet-Rich Plasma Using Human Cell Memory Based on Clinical, Ultrasound, MRI, and Nanoscope Analyses: A Double-Blind Randomized Trial. Journal of Clinical Medicine, 13(9), 2475. https://doi.org/10.3390/jcm13092475

