Revision of Failed Short Stems in Total Hip Arthroplasty
Abstract
1. Introduction
2. Materials and Methods
2.1. Eligibility Criteria
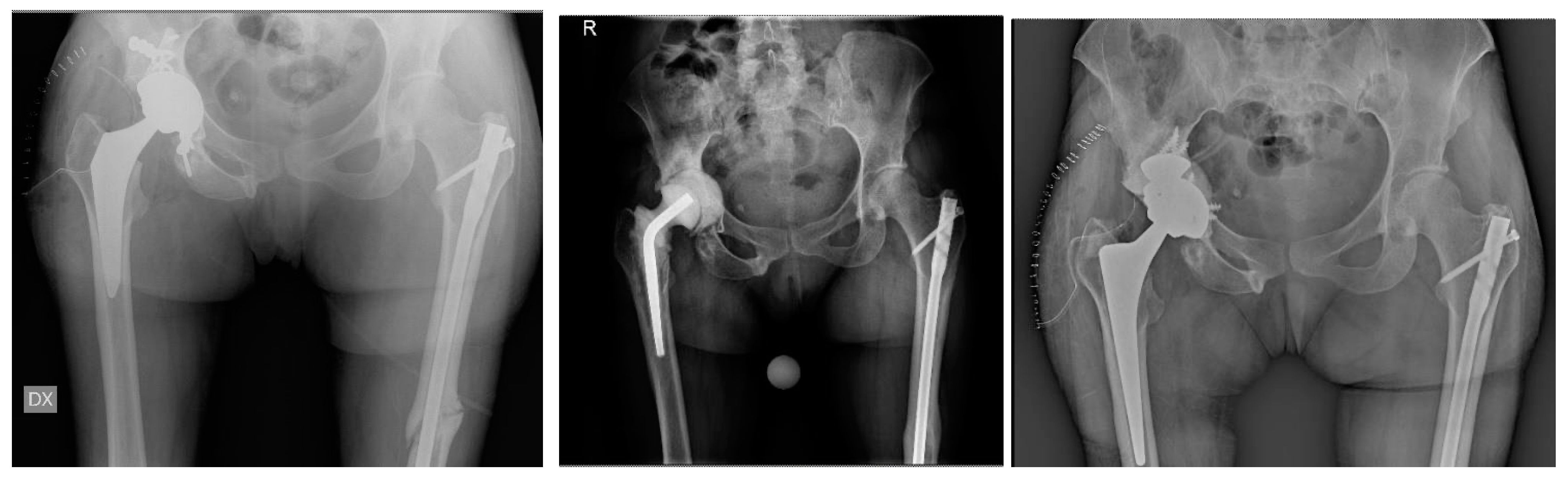
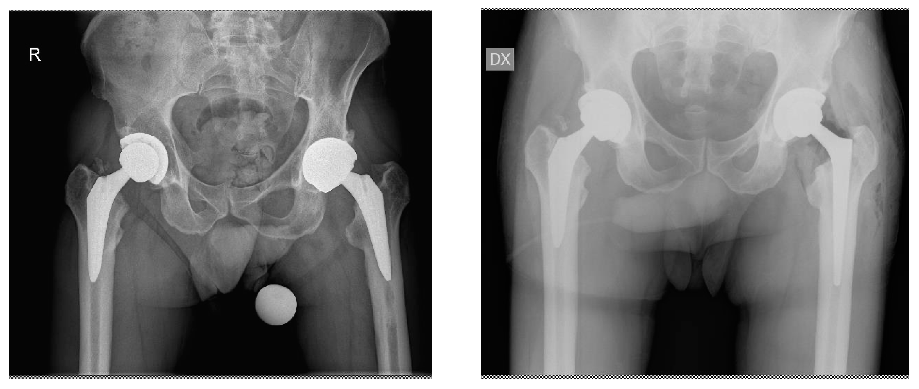
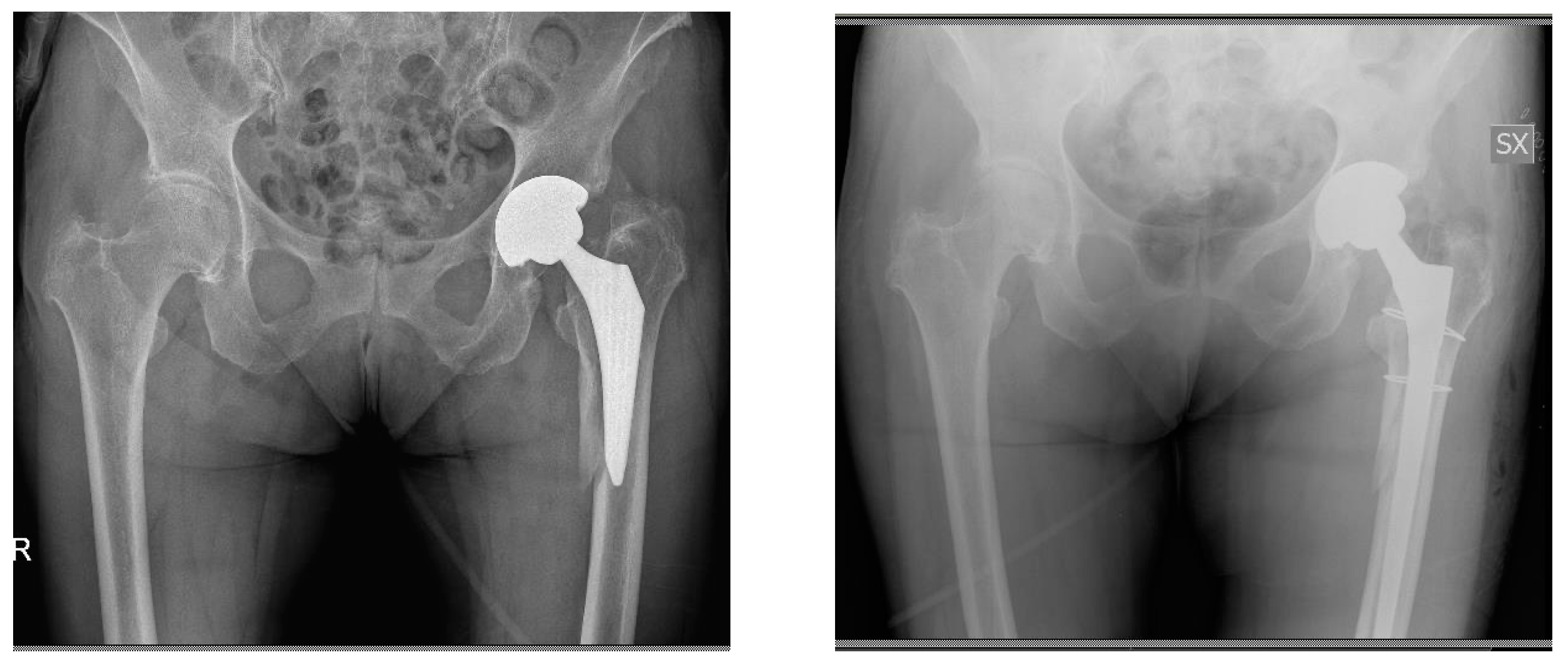
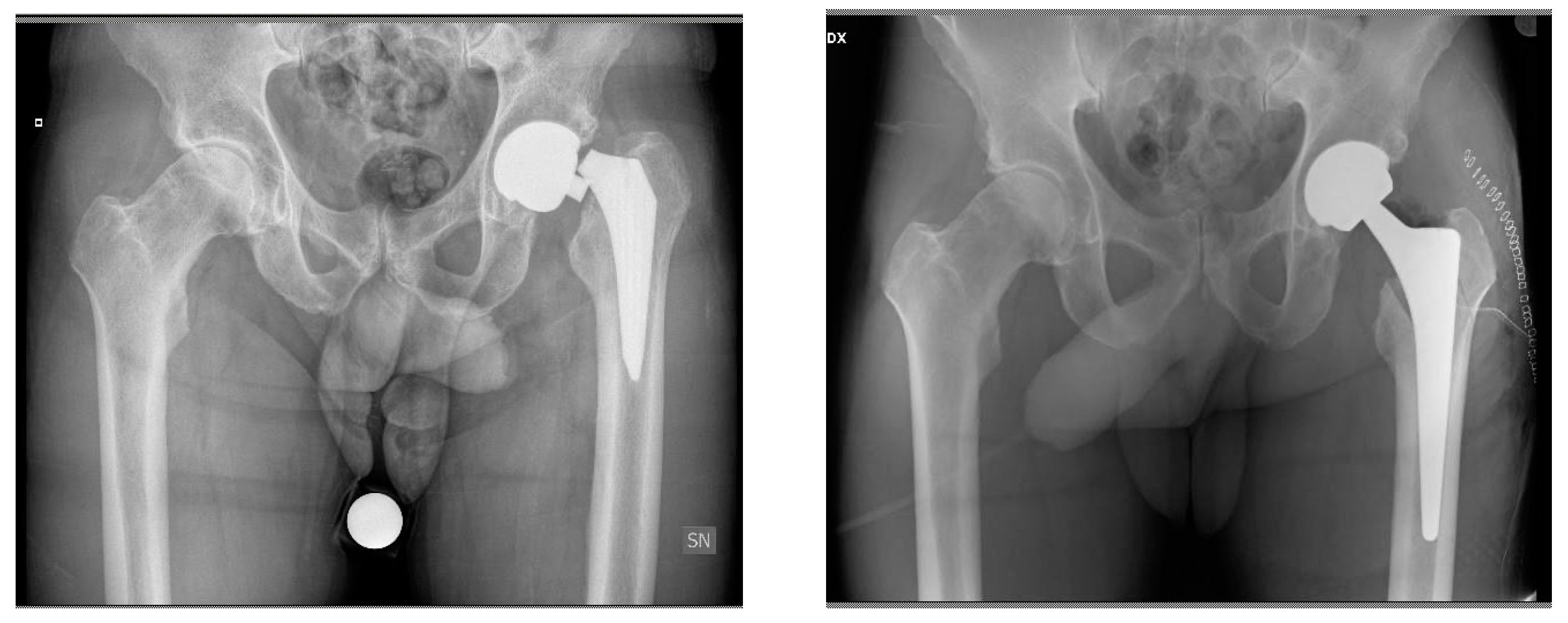
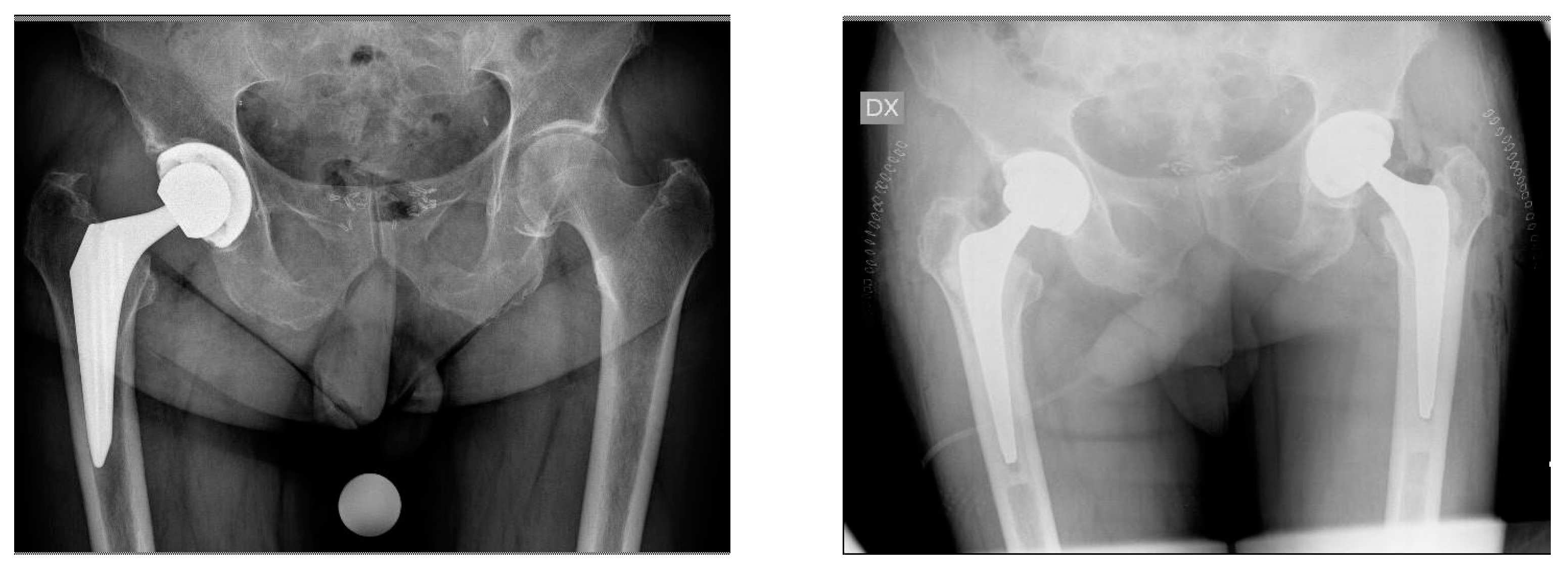
2.2. Surgical Technique
2.3. Data Collection
2.4. Statistical Analysis
3. Results
3.1. Recruitment Process
3.2. Patient Demographics
3.3. Results Syntheses
4. Discussion
5. Conclusions
Author Contributions
Funding
Institutional Review Board Statement
Informed Consent Statement
Data Availability Statement
Conflicts of Interest
References
- Swain, S.; Sarmanova, A.; Mallen, C.; Kuo, C.F.; Coupland, C.; Doherty, M.; Zhang, W. Trends in incidence and prevalence of osteoarthritis in the United Kingdom: Findings from the Clinical Practice Research Datalink (CPRD). Osteoarthr. Cartil. 2020, 28, 792–801. [Google Scholar] [CrossRef]
- Tyrpenou, E.; Megaloikonomos, P.D.; Epure, L.; Huk-Papanastassiou, O.; Zukor, D.; Antoniou, J. Similar complication and readmission rates following simultaneous versus staged bilateral total hip arthroplasty. Eur. J. Orthop. Surg. Traumatol. 2024, 34, 863–867. [Google Scholar] [CrossRef]
- Blanco, F.J.; Silva-Diaz, M.; Quevedo Vila, V.; Seoane-Mato, D.; Perez Ruiz, F.; Juan-Mas, A.; Pego-Reigosa, J.M.; Narvaez, J.; Quilis, N.; Cortés, R.; et al. Prevalence of symptomatic osteoarthritis in Spain: EPISER2016 study. Reumatol. Clin. (Engl. Ed.) 2021, 17, 461–470. [Google Scholar] [CrossRef]
- Tripathy, S.K.; Varghese, P.; Khan, S.; Neradi, D.; Jain, M.; Sen, R.K. Joint awareness among total hip arthroplasty patients operated through anterior approach versus posterior approach: A systematic review and meta-analysis. Eur. J. Orthop. Surg. Traumatol. 2024, 34, 39–46. [Google Scholar] [CrossRef]
- Migliorini, F.; Cuozzo, F.; Oliva, F.; Eschweiler, J.; Hildebrand, F.; Maffulli, N. Imageless navigation for primary total hip arthroplasty: A meta-analysis study. J. Orthop. Traumatol. 2022, 23, 21. [Google Scholar] [CrossRef]
- Salman, L.A.; Alzobi, O.Z.; Al-Ani, A.; Hantouly, A.T.; Al-Juboori, M.; Ahmed, G. The outcomes of total hip arthroplasty in developmental dysplasia of hip versus osteoarthritis: A systematic review and meta-analysis. Eur. J. Orthop. Surg. Traumatol. 2024, 34, 1–8. [Google Scholar] [CrossRef]
- Migliorini, F.; Pintore, A.; Eschweiler, J.; Oliva, F.; Hildebrand, F.; Maffulli, N. Factors influencing the outcomes of minimally invasive total hip arthroplasty: A systematic review. J. Orthop. Surg. Res. 2022, 17, 281. [Google Scholar] [CrossRef]
- Baryeh, K.; Asopa, V.; Field, R.; Sochart, D.H. The outcomes of total hip arthroplasty in rapidly progressive osteoarthritis: A systematic review. Eur. J. Orthop. Surg. Traumatol. 2023, 33, 1505–1514. [Google Scholar] [CrossRef]
- Migliorini, F.; Driessen, A.; Eschweiler, J.; Tingart, M.; Maffulli, N. No benefits of minimally invasive total hip arthroplasty via Watson-Jones approach: A retrospective cohort study. Surgeon 2021, 20, e241–e247. [Google Scholar] [CrossRef]
- Migliorini, F.; Eschweiler, J.; Trivellas, A.; Rath, B.; Driessen, A.; Tingart, M.; Arentini, P. Implant positioning among the surgical approaches for total hip arthroplasty: A Bayesian network meta-analysis. Arch. Orthop. Trauma. Surg. 2020, 140, 1115–1124. [Google Scholar] [CrossRef]
- Castagnini, F.; Bordini, B.; Cosentino, M.; Tassinari, E.; Guizzardi, G.; Traina, F. Comparison of single taper and dual taper versions of the same stem design in total hip arthroplasty for primary osteoarthritis. J. Orthop. Traumatol. 2023, 24, 5. [Google Scholar] [CrossRef]
- Sousa, A.; Vale, J.; Diniz, S.; Neves, P.; Ramos, J.; Coelho, R. Comparison of short-stem versus conventional stem for hip arthroplasty in patients younger than 60 years: 7–14 years follow-up. Eur. J. Orthop. Surg. Traumatol. 2022, 32, 693–700. [Google Scholar] [CrossRef]
- Suksathien, Y.; Suarjui, J.; Ruangboon, C.; Akkrasaeng, T. Mid-term results of short versus conventional cementless femoral stems in patients with bilateral osteonecrosis of the femoral head. Eur. J. Orthop. Surg. Traumatol. 2022, 32, 47–53. [Google Scholar] [CrossRef]
- Afghanyar, Y.; Coutandin, M.; Schneider, M.; Drees, P.; Kutzner, K.P. Conversion of failed internal fixation in proximal femur fractures using calcar-guided short-stem total hip arthroplasty. J. Orthop. Traumatol. 2022, 23, 34. [Google Scholar] [CrossRef]
- Reinbacher, P.; Smolle, M.A.; Friesenbichler, J.; Draschl, A.; Leithner, A.; Maurer-Ertl, W. Pre-operative templating in THA using a short stem system: Precision and accuracy of 2D versus 3D planning method. J. Orthop. Traumatol. 2022, 23, 16. [Google Scholar] [CrossRef]
- Mauch, M.; Brecht, H.; Clauss, M.; Stoffel, K. Use of Short Stems in Revision Total Hip Arthroplasty: A Retrospective Observational Study of 31 Patients. Medicina 2023, 59, 1822. [Google Scholar] [CrossRef]
- Masuda, S.; Iwakiri, K.; Ohta, Y.; Minoda, Y.; Kobayashi, A.; Nakamura, H. Stem alignment with short tapered-wedge cementless stems affects bone mineral density continuously for at least 5 years after primary total hip arthroplasty. Hip Int. 2024, 34, 57–65. [Google Scholar] [CrossRef]
- Erivan, R.; Muller, A.S.; Villatte, G.; Millerioux, S.; Mulliez, A.; Boisgard, S.; Descamps, S. Short stems reproduce femoral offset better than standard stems in total hip arthroplasty: A case-control study. Int. Orthop. 2020, 44, 45–51. [Google Scholar] [CrossRef]
- Schader, J.F.; Thalmann, C.; Maier, K.S.; Schiener, T.; Stoffel, K.; Frigg, A. Prospective evaluation of clinical and radiographic 10-year results of Fitmore short-stem total hip arthroplasty. J. Orthop. Surg. Res. 2023, 18, 893. [Google Scholar] [CrossRef]
- Li, Z.; Lu, M.; Zhang, Y.; Gong, T.; Min, L.; Zhou, Y.; Luo, Y.; Tu, C. 3D-printed custom-made short stem with porous structure for fixation of massive endoprosthesis in joint-preserving reconstruction after tumor resection. J. Orthop. Surg. Res. 2023, 18, 468. [Google Scholar] [CrossRef]
- Kaku, N.; Pramudita, J.A.; Yamamoto, K.; Hosoyama, T.; Tsumura, H. Stress distributions of the short stem and the tapered wedge stem at different alignments: A finite element analysis study. J. Orthop. Surg. Res. 2022, 17, 530. [Google Scholar] [CrossRef]
- Von Elm, E.; Altman, D.G.; Egger, M.; Pocock, S.J.; Gotzsche, P.C.; Vandenbroucke, J.P.; Initiative, S. The Strengthening the Reporting of Observational Studies in Epidemiology (STROBE) statement: Guidelines for reporting observational studies. J. Clin. Epidemiol. 2008, 61, 344–349. [Google Scholar] [CrossRef]
- World Medical, A. World Medical Association Declaration of Helsinki: Ethical principles for medical research involving human subjects. JAMA 2013, 310, 2191–2194. [Google Scholar] [CrossRef]
- Ibrahim, D.A.; Fernando, N.D. Classifications In Brief: The Paprosky Classification of Femoral Bone Loss. Clin. Orthop. Relat. Res. 2017, 475, 917–921. [Google Scholar] [CrossRef]
- Frangie, R.; Han, S.; Noble, P.C.; Gold, J.E.; Lanfermeijer, N.D.; Reddy, K.I.; Ismaily, S.K.; Su, J.; Schroder, S.J.; Rodriguez-Quintana, D. The Stability of Fixation of Vancouver B2 Periprosthetic Femoral Fractures: Effect of Implantation Technique. J. Arthroplast. 2023, 38, S292–S297. [Google Scholar] [CrossRef]
- Ackerman, I.N.; Tacey, M.A.; Ademi, Z.; Bohensky, M.A.; Liew, D.; Brand, C.A. Using WOMAC Index scores and personal characteristics to estimate Assessment of Quality of Life utility scores in people with hip and knee joint disease. Qual. Life Res. 2014, 23, 2365–2374. [Google Scholar] [CrossRef]
- Delgado, D.A.; Lambert, B.S.; Boutris, N.; McCulloch, P.C.; Robbins, A.B.; Moreno, M.R.; Harris, J.D. Validation of Digital Visual Analog Scale Pain Scoring with a Traditional Paper-based Visual Analog Scale in Adults. J. Am. Acad. Orthop. Surg. Glob. Res. Rev. 2018, 2, e088. [Google Scholar] [CrossRef]
- German Arthroplasty Registry (EPRD): Annual Report 2020. Available online: https://www.eprd.de/fileadmin/user_upload/Dateien/Publikationen/Berichte/Jahresbericht2020-Web_2020-12-11_F.pdf (accessed on 1 March 2023).
- Swiss National Joint Registry. Annual Report of the Swiss National Joint Registry (SIRIS), H.a.K., 2012–2019. Available online: https://www.swiss-medtech.ch/sites/default/files/2021-01/201204_SIRIS-Report2020_online-1.pdf (accessed on 1 March 2023).
- Australian Orthopaedic Association National Joint Replacement Registry. Hip, Knee & Shoulder Arthroplasty Annual Report 2020. Available online: https://aoanjrr.sahmri.com/annual-reports-2020 (accessed on 1 March 2023).
- Migliorini, F.; Driessen, A.; Colarossi, G.; El Mansy, Y.; Gatz, M.; Tingart, M.; Eschweiler, J. Short stems for total hip replacement among middle-aged patients. Int. Orthop. 2020, 44, 847–855. [Google Scholar] [CrossRef]
- Burchard, R.; Graw, J.A.; Soost, C.; Schmitt, J. Stress shielding effect after total hip arthroplasty varies between combinations of stem design and stiffness-a comparing biomechanical finite element analysis. Int. Orthop. 2023, 47, 1981–1987. [Google Scholar] [CrossRef]






| Type of Implant | Patients (n) | Mean Implant Survivorship (years) | Aseptic Loosening (n) | Septic Loosening (n) | Fracture (n) | Other (n) |
|---|---|---|---|---|---|---|
| GTS (Zimmer Biomet) | 20 | 3.8 | 15 | 1 | 3 | 3 |
| FITMORE (Zimmer Biomet) | 6 | 2.8 | 4 | 1 | 1 | |
| CFP (Waldemar Link) | 6 | 14.2 | 6 | |||
| NANOS (Smith & Nephew) | 1 | 5.0 | 1 | |||
| TAPERLOC (Zimmer Biomet) | 1 | 9.0 | 0 | 1 | ||
| Other less commonly used stems | 11 | 7.8 | 10 | 1 | 1 |
| Type of Implant | Patients (n) | Paprosky | Mean FU (years) | Mean age | Fracture (n) | Septic Loosening (n) | Aseptic Loosening (n) | Other (n) |
|---|---|---|---|---|---|---|---|---|
| CLS (Zimmer Biomet) | 12 | I–II | 4.2 | 56.0 | 2 | 9 | 3 | |
| GTS (Zimmer Biomet) | 2 | I–II | 4.5 | 69.5 | 2 | |||
| MS-30 (Zimmer Biomet) | 3 | I–IV | 4.0 | 70.6 | 1 | 2 | ||
| PYRAMID (Zimmer Biomet) | 2 | I–II | 2.5 | 65.5 | 2 | |||
| WAGNER KONUS (Zimmer Biomet) | 5 | I–III | 5.2 | 54.8 | 1 | 4 | ||
| WAGNER REVISION 190/225 (Zimmer Biomet) | 18 | I–IV | 4.4 | 58.6 | 2 | 16 | ||
| ARCOS (Zimmer Biomet) | 3 | II–IV | 5.3 | 69.9 | 3 |
| WOMAC | |
|---|---|
| Pain | 0.6 ± 0.1 |
| Stiffness | 0.2 ± 0.1 |
| Function | 2.6 ± 0.1 |
| Total | 3.5 ± 1.3 |
Disclaimer/Publisher’s Note: The statements, opinions and data contained in all publications are solely those of the individual author(s) and contributor(s) and not of MDPI and/or the editor(s). MDPI and/or the editor(s) disclaim responsibility for any injury to people or property resulting from any ideas, methods, instructions or products referred to in the content. |
© 2024 by the authors. Licensee MDPI, Basel, Switzerland. This article is an open access article distributed under the terms and conditions of the Creative Commons Attribution (CC BY) license (https://creativecommons.org/licenses/by/4.0/).
Share and Cite
Migliorini, F.; Coppola, F.; D’Addona, A.; Rosolani, M.; Della Rocca, F. Revision of Failed Short Stems in Total Hip Arthroplasty. J. Clin. Med. 2024, 13, 2459. https://doi.org/10.3390/jcm13092459
Migliorini F, Coppola F, D’Addona A, Rosolani M, Della Rocca F. Revision of Failed Short Stems in Total Hip Arthroplasty. Journal of Clinical Medicine. 2024; 13(9):2459. https://doi.org/10.3390/jcm13092459
Chicago/Turabian StyleMigliorini, Filippo, Francesco Coppola, Alessio D’Addona, Marco Rosolani, and Federico Della Rocca. 2024. "Revision of Failed Short Stems in Total Hip Arthroplasty" Journal of Clinical Medicine 13, no. 9: 2459. https://doi.org/10.3390/jcm13092459
APA StyleMigliorini, F., Coppola, F., D’Addona, A., Rosolani, M., & Della Rocca, F. (2024). Revision of Failed Short Stems in Total Hip Arthroplasty. Journal of Clinical Medicine, 13(9), 2459. https://doi.org/10.3390/jcm13092459

