The Relationship between CT Angiography Collateral Score and Biochemical Parameters during Acute Ischemic Stroke Caused by Middle Cerebral Artery Infarct
Abstract
1. Introduction
2. Materials and Methods
2.1. Patients
2.2. CT Protocol
2.3. Statistical Analysis
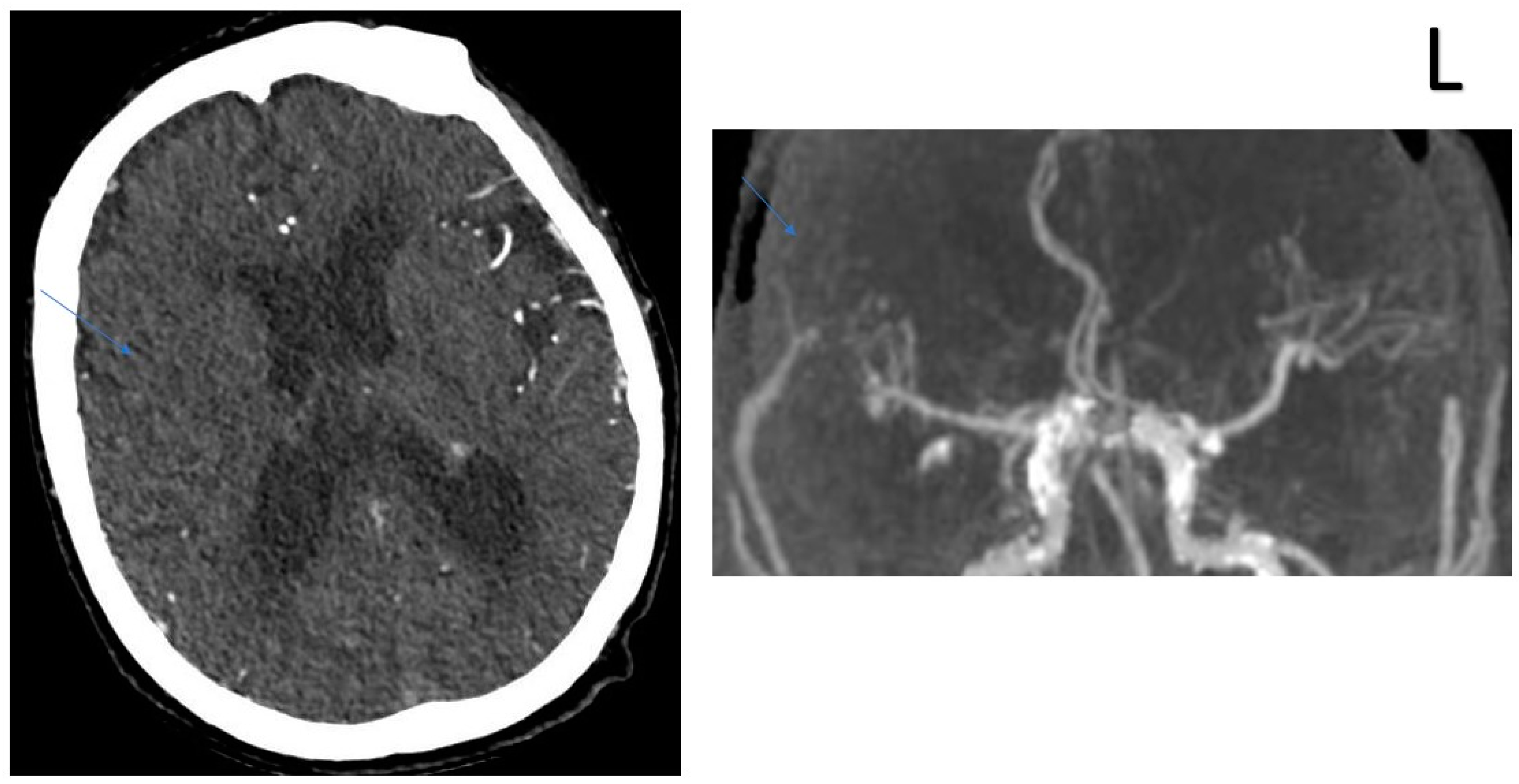
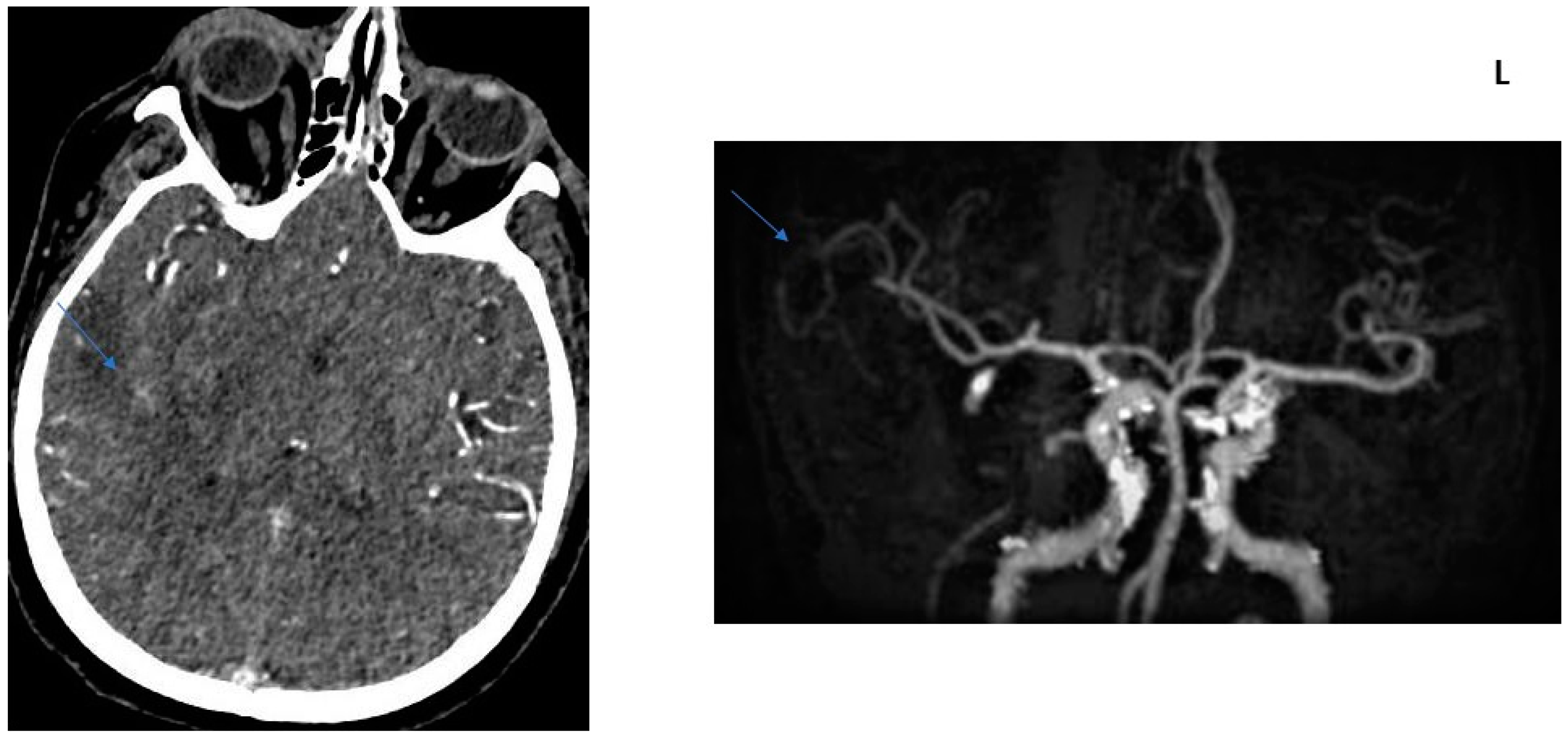
3. Results
4. Discussion
5. Conclusions
Author Contributions
Funding
Institutional Review Board Statement
Informed Consent Statement
Data Availability Statement
Conflicts of Interest
References
- Vos, T.; Lim, S.S.; Abbafati, C.; Abbas, K.M.; Abbasi, M.; Abbasifard, M.; Abbasi-Kangevari, M.; Abbastabar, H.; Abd-Allah, F.; Abdelalim, A.; et al. Global Burden of 369 Diseases and Injuries in 204 Countries and Territories, 1990–2019: A Systematic Analysis for the Global Burden of Disease Study 2019. Lancet 2020, 396, 1204–1222. [Google Scholar] [CrossRef] [PubMed]
- Deb, P.; Sharma, S.; Hassan, K.M. Pathophysiologic Mechanisms of Acute Ischemic Stroke: An Overview with Emphasis on Therapeutic Significance beyond Thrombolysis. Pathophysiology 2010, 17, 197–218. [Google Scholar] [CrossRef] [PubMed]
- Tuttolomondo, A.; Di Raimondo, D.; Pecoraro, R.; Arnao, V.; Pinto, A.; Licata, G. Inflammation in Ischemic Stroke Subtypes. Curr. Pharm. Des. 2012, 18, 4289–4310. [Google Scholar] [CrossRef] [PubMed]
- Meng, R.; Ji, X. Plasma Biomarker and Stroke. Cerebrovasc. Dis. 2011, 32, 406. [Google Scholar] [CrossRef] [PubMed]
- Montaner, J.; Perea-Gainza, M.; Delgado, P.; Ribó, M.; Chacón, P.; Rosell, A.; Quintana, M.; Palacios, M.E.; Molina, C.A.; Alvarez-Sabín, J. Etiologic Diagnosis of Ischemic Stroke Subtypes with Plasma Biomarkers. Stroke 2008, 39, 2280–2287. [Google Scholar] [CrossRef] [PubMed]
- Kisialiou, A.; Pelone, G.; Carrizzo, A.; Grillea, G.; Trimarco, V.; Marino, M.; Bartolo, M.; De Nunzio, A.M.; Grella, R.; Landolfi, A.; et al. Blood Biomarkers Role in Acute Ischemic Stroke Patients: Higher Is Worse or Better? Immun. Ageing 2012, 9, 22. [Google Scholar] [CrossRef] [PubMed]
- Glushakova, O.; Glushakov, A.; Miller, E.; Valadka, A.; Hayes, R. Biomarkers for Acute Diagnosis and Management of Stroke in Neurointensive Care Units. Brain Circ. 2016, 2, 28. [Google Scholar] [CrossRef] [PubMed]
- Bozzao, L.; Fantozzi, L.M.; Bastianello, S.; Bozzao, A.; Fieschi, C. Early Collateral Blood Supply and Late Parenchymal Brain Damage in Patients with Middle Cerebral Artery Occlusion. Stroke 1989, 20, 735–740. [Google Scholar] [CrossRef]
- Miteff, F.; Levi, C.R.; Bateman, G.A.; Spratt, N.; McElduff, P.; Parsons, M.W. The Independent Predictive Utility of Computed Tomography Angiographic Collateral Status in Acute Ischaemic Stroke. Brain 2009, 132, 2231–2238. [Google Scholar] [CrossRef]
- Raymond, S.B.; Schaefer, P.W. Imaging Brain Collaterals. Top. Magn. Reson. Imaging 2017, 26, 67–75. [Google Scholar] [CrossRef]
- Seker, F.; Potreck, A.; Möhlenbruch, M.; Bendszus, M.; Pham, M. Comparison of Four Different Collateral Scores in Acute Ischemic Stroke by CT Angiography. J. Neurointerv. Surg. 2016, 8, 1116–1118. [Google Scholar] [CrossRef] [PubMed]
- Souza, L.C.S.; Yoo, A.J.; Chaudhry, Z.A.; Payabvash, S.; Kemmling, A.; Schaefer, P.W.; Hirsch, J.A.; Furie, K.L.; González, R.G.; Nogueira, R.G.; et al. Malignant CTA Collateral Profile Is Highly Specific for Large Admission DWI Infarct Core and Poor Outcome in Acute Stroke. Am. J. Neuroradiol. 2012, 33, 1331–1336. [Google Scholar] [CrossRef] [PubMed]
- Brozici, M.; van der Zwan, A.; Hillen, B. Anatomy and Functionality of Leptomeningeal Anastomoses. Stroke 2003, 34, 2750–2762. [Google Scholar] [CrossRef] [PubMed]
- Shuaib, A.; Butcher, K.; Mohammad, A.A.; Saqqur, M.; Liebeskind, D.S. Collateral Blood Vessels in Acute Ischaemic Stroke: A Potential Therapeutic Target. Lancet Neurol. 2011, 10, 909–921. [Google Scholar] [CrossRef] [PubMed]
- Hendrikse, J.; van Raamt, A.F.; van der Graaf, Y.; Mali, W.P.T.M.; van der Grond, J. Distribution of Cerebral Blood Flow in the Circle of Willis. Radiology 2005, 235, 184–189. [Google Scholar] [CrossRef] [PubMed]
- Demir Ünl, E.; Bektaş, H.; Bayındır, H.; Kurşun, O. Bio-Clinical Evaluation of Collateral Score in Acute Middle Cerebral Artery Occlusion. Turk. J. Med. Sci. 2021, 52, 195–205. [Google Scholar] [CrossRef]
- Maas, M.B.; Lev, M.H.; Ay, H.; Singhal, A.B.; Greer, D.M.; Smith, W.S.; Harris, G.J.; Halpern, E.; Kemmling, A.; Koroshetz, W.J.; et al. Collateral Vessels on CT Angiography Predict Outcome in Acute Ischemic Stroke. Stroke 2009, 40, 3001–3005. [Google Scholar] [CrossRef] [PubMed]
- Lima, F.O.; Furie, K.L.; Silva, G.S.; Lev, M.H.; Camargo, E.C.S.; Singhal, A.B.; Harris, G.J.; Halpern, E.F.; Koroshetz, W.J.; Smith, W.S.; et al. The Pattern of Leptomeningeal Collaterals on CT Angiography Is a Strong Predictor of Long-Term Functional Outcome in Stroke Patients with Large Vessel Intracranial Occlusion. Stroke 2010, 41, 2316–2322. [Google Scholar] [CrossRef] [PubMed]
- Christoforidis, G.A.; Mohammad, Y.; Kehagias, D.; Avutu, B.; Slivka, A.P. Angiographic Assessment of Pial Collaterals as a Prognostic Indicator Following Intra-Arterial Thrombolysis for Acute Ischemic Stroke. Am. J. Neuroradiol. 2005, 26, 1789–1797. [Google Scholar]
- Tan, I.Y.L.; Demchuk, A.M.; Hopyan, J.; Zhang, L.; Gladstone, D.; Wong, K.; Martin, M.; Symons, S.P.; Fox, A.J.; Aviv, R.I. CT Angiography Clot Burden Score and Collateral Score: Correlation with Clinical and Radiologic Outcomes in Acute Middle Cerebral Artery Infarct. Am. J. Neuroradiol. 2009, 30, 525–531. [Google Scholar] [CrossRef]
- Cappellari, M.; Saia, V.; Pracucci, G.; Fainardi, E.; Nencini, P.; Malfatto, L.; Tassi, R.; Cerrato, P.; Mancuso, M.; Pesare, A.; et al. Association of the Careggi Collateral Score with Radiological Outcomes after Thrombectomy for Stroke with an Occlusion of the Middle Cerebral Artery. J. Thromb. Thrombolysis 2022, 54, 309–317. [Google Scholar] [CrossRef] [PubMed]
- Puetz, V.; Dzialowski, I.; Hill, M.D.; Steffenhagen, N.; Coutts, S.B.; O’Reilly, C.; Demchuk, A.M. Malignant Profile Detected by CT Angiographic Information Predicts Poor Prognosis despite Thrombolysis within Three Hours from Symptom Onset. Cerebrovasc. Dis. 2010, 29, 584–591. [Google Scholar] [CrossRef] [PubMed]
- Bang, O.Y.; Saver, J.L.; Kim, S.J.; Kim, G.-M.; Chung, C.-S.; Ovbiagele, B.; Lee, K.H.; Liebeskind, D.S. Collateral Flow Predicts Response to Endovascular Therapy for Acute Ischemic Stroke. Stroke 2011, 42, 693–699. [Google Scholar] [CrossRef] [PubMed]
- Angermaier, A.; Langner, S.; Kirsch, M.; Kessler, C.; Hosten, N.; Khaw, A.V. CT-Angiographic Collateralization Predicts Final Infarct Volume after Intra-Arterial Thrombolysis for Acute Anterior Circulation Ischemic Stroke. Cerebrovasc. Dis. 2011, 31, 177–184. [Google Scholar] [CrossRef] [PubMed]
- Rosenthal, E.S.; Schwamm, L.H.; Roccatagliata, L.; Coutts, S.B.; Demchuk, A.M.; Schaefer, P.W.; Gonzalez, R.G.; Hill, M.D.; Halpern, E.F.; Lev, M.H. Role of Recanalization in Acute Stroke Outcome: Rationale for a CT Angiogram-Based “Benefit of Recanalization” Model. Am. J. Neuroradiol. 2008, 29, 1471–1475. [Google Scholar] [CrossRef] [PubMed]
- Schetz, M.; De Jong, A.; Deane, A.M.; Druml, W.; Hemelaar, P.; Pelosi, P.; Pickkers, P.; Reintam-Blaser, A.; Roberts, J.; Sakr, Y.; et al. Obesity in the Critically Ill: A Narrative Review. Intensive Care Med. 2019, 45, 757–769. [Google Scholar] [CrossRef] [PubMed]
- Fernández-Gajardo, R.; Matamala, J.M.; Gutiérrez, R.; Lozano, P.; Cortés-Fuentes, I.A.; Sotomayor, C.G.; Bustamante, G.; Pasten, J.A.; Vargas, G.; Guerrero, R.; et al. Relationship between Infarct Size and Serum Uric Acid Levels during the Acute Phase of Stroke. PLoS ONE 2019, 14, e0219402. [Google Scholar] [CrossRef] [PubMed]
- Liu, C.-Y.; Hsiao, C.-L.; Chen, P.-Y.; Tsou, A.; Tzeng, I.-S.; Lin, S.-K. J-Shaped Relationship of Serum Uric Acid with Unfavorable Short-Term Outcomes among Patients with Acute Ischemic Stroke. Biomedicines 2022, 10, 2185. [Google Scholar] [CrossRef]
- Kimura, Y.; Tsukui, D.; Kono, H. Uric Acid in Inflammation and the Pathogenesis of Atherosclerosis. Int. J. Mol. Sci. 2021, 22, 12394. [Google Scholar] [CrossRef]
- Liu, B.; Pan, Y.; Cao, L.; Yang, J. The Prognostic Value of Serum Uric Acid in Hospitalized Patients with Acute Cerebral Infarction. Dis. Markers 2021, 2021, 6103961. [Google Scholar] [CrossRef]
- Tariq, M.A.; Shamim, S.A.; Rana, K.F.; Saeed, A.; Malik, B.H. Serum Uric Acid—Risk Factor for Acute Ischemic Stroke and Poor Outcomes. Cureus 2019, 10, e6007. [Google Scholar] [CrossRef] [PubMed]
- Matsuo, R.; Ago, T.; Hata, J.; Wakisaka, Y.; Kuroda, J.; Kuwashiro, T.; Kitazono, T.; Kamouchi, M. Plasma C-Reactive Protein and Clinical Outcomes after Acute Ischemic Stroke: A Prospective Observational Study. PLoS ONE 2016, 11, e0156790. [Google Scholar] [CrossRef] [PubMed]
- Gu, H.-Q.; Yang, K.-X.; Lin, J.-X.; Jing, J.; Zhao, X.-Q.; Wang, Y.-L.; Liu, L.-P.; Meng, X.; Jiang, Y.; Li, H.; et al. Association between High-Sensitivity C-Reactive Protein, Functional Disability, and Stroke Recurrence in Patients with Acute Ischaemic Stroke: A Mediation Analysis. eBioMedicine 2022, 80, 104054. [Google Scholar] [CrossRef]
- Yahn, G.; Abato, J.; Jadavji, N. Role of Vitamin B12 Deficiency in Ischemic Stroke Risk and Outcome. Neural Regen. Res. 2021, 16, 470. [Google Scholar] [CrossRef] [PubMed]
- Berger, R.P.; Beers, S.R.; Richichi, R.; Wiesman, D.; Adelson, P.D. Serum Biomarker Concentrations and Outcome after Pediatric Traumatic Brain Injury. J. Neurotrauma 2007, 24, 1793–1801. [Google Scholar] [CrossRef] [PubMed]
- Missler, U.; Wiesmann, M.; Friedrich, C.; Kaps, M. S-100 Protein and Neuron-Specific Enolase Concentrations in Blood as Indicators of Infarction Volume and Prognosis in Acute Ischemic Stroke. Stroke 1997, 28, 1956–1960. [Google Scholar] [CrossRef]
- Lu, S.S.; Xie, J.; Su, C.Q.; Ge, S.; Shi, H.B.; Hong, X.N. Plasma Homocysteine Levels and Intracranial Plaque Characteristics: Association and Clinical Relevance in Ischemic Stroke. BMC Neurol. 2018, 18, 200. [Google Scholar] [CrossRef] [PubMed]
- Shi, Z.; Guan, Y.; Huo, Y.R.; Liu, S.; Zhang, M.; Lu, H.; Yue, W.; Wang, J.; Ji, Y. Elevated Total Homocysteine Levels in Acute Ischemic Stroke Are Associated with Long-Term Mortality. Stroke 2015, 46, 2419–2425. [Google Scholar] [CrossRef]
- Rabelo, N.N.; Telles, J.P.M.; Pipek, L.Z.; Farias Vidigal Nascimento, R.; de Gusmão, R.C.; Teixeira, M.J.; Figueiredo, E.G. Homocysteine Is Associated with Higher Risks of Ischemic Stroke: A Systematic Review and Meta-Analysis. PLoS ONE 2022, 17, e0276087. [Google Scholar] [CrossRef]





| CTA | CS | ||
|---|---|---|---|
| <1 | ≥1 | ||
| (n = 13) | (n = 85) | p | |
| Age, median (min/max) | 75 (60/82) | 71 (54/85) | 0.120 u |
| Gender (male), n (%) | 9 (69.2) | 47 (55.3) | 0.386 c |
| Mean time of admission to the emergency department, median (min/max) | 3.5 (2.5/6.5) | 4.5 (2/9) | 0.066 u |
| Causes of stroke, n (%) | |||
| Large-artery atherosclerosis (embolus/thrombosis) | 13 (100) | 15 (17.6) | |
| Cardioembolism (high-risk/medium-risk) | 0 (0) | 27 (31.8) | |
| Small-vessel occlusion (lacune) | 0 (0) | 15 (17.6) | |
| Stroke of other determined etiology | 0 (0) | 0 (0) | |
| Stroke of undetermined cause | 0 (0) | 28 (32.9) | |
| BMI, median (min/max) | 29.9 (23.9/37.6) | 34.1 (23.9/39.9) | 0.012 u |
| BMI, n (%) | 0.008 ff | ||
| Normal | 2 (15.4) | 4 (4.7) | |
| Pre-obesity | 5 (38.5) | 17 (20) | 0.014 |
| Grade 1 obese | 4 (30.8) | 30 (35.3) | |
| Grade 2 obese | 2 (15.4) | 34 (40) | 0.011 |
| Grade 3 obese | 0 (0) | 0 (0) | |
| NIHSS score, median (min/max) | 27 (25/30) | 9 (3/31) | <0.001 u |
| Pulse frequency rates of the patients upon admission to the emergency room, minutes, median (min/max) | 79 (65/93) | 115 (65/148) | <0.001 u |
| Mean systolic blood pressure, mmHg, median (min/max) | 165 (123/177) | 159 (125/204) | 0.927 u |
| Mean diastolic blood pressure, mmHg, median (min/max) | 91 (79/105) | 89 (69/121) | 0.353 u |
| Blood glucose of the patients upon admission to the emergency room, mg/dL, median (min/max) | 159 (113/196) | 159 (109/276) | 0.526 u |
| Hypertension, n (%) | 13 (100) | 75 (88.2) | 0.350 f |
| Duration of hypertension, years, median (min/max) | 23 (5/36) | 12 (3/35) | 0.061 u |
| Diabetes mellitus, n (%) | 8 (61.5) | 43 (50.6) | 0.558 c |
| Duration of diabetes mellitus, years, median (min/max) | 13 (7/19) | 11 (4/21) | 0.440 u |
| Coronary artery disease, n (%) | 9 (69.2) | 51 (60) | 0.563 c |
| Duration of coronary artery disease, years, median (min/max) | 14 (9/17) | 8 (3/14) | <0.001 u |
| Hyperlipidemia, n (%) | 9 (69.2) | 51 (60) | 0.563 c |
| Duration of hyperlipidemia, years, median (min/max) | 13 (10/16) | 9 (5/23) | 0.012 u |
| History of cardiac arrhythmia, n (%) | 0 (0) | 29 (34.1) | 0.009 f |
| History of antiaggregant use, n (%) | 9 (69.2) | 55 (64.7) | 0.999 f |
| History of anticoagulant use, n (%) | 0 (0) | 29 (34.1) | 0.009 f |
| History of alcohol use, n (%) | 28 (18/41) | 25.5 (10/45) | 0.620 u |
| Duration of alcohol use, years, median (min/max) | 28 (18/41) | 25.5 (10/45) | 0.620 u |
| History of smoking, n (%) | 10 (76.9) | 53 (62.4) | 0.368 f |
| Duration of smoking, years, median (min/max) | 31 (20/45) | 28 (10/45) | 0.315 u |
| CTA | CS | ||
|---|---|---|---|
| <1 | ≥1 | ||
| (n = 13) | (n = 85) | p | |
| Urea (normal, 17.1–49.2 mg/dL), median (min/max) | 43.8 (26.2/55.6) | 44.9 (21.9/74.6) | 0.748 u |
| Creatinine (normal, 0.72–1.25 mg/dL), median (min/max) | 1.07 (0.69/1.29) | 1.13 (0.71/1.39) | 0.314 u |
| Uric acid (normal, 3.5–7.2 mg/dL), median (min/max) | 9.9 (7.9/14.6) | 8.2 (5.9/14.3) | <0.001 u |
| Total cholesterol (normal, 0–200 mg/dL), median (min/max) | 319 (251/345) | 279 (213/376) | 0.012 u |
| Triglyceride (normal, 0–150 mg/dL), median (min/max) | 236 (173/276) | 179 (143/281) | <0.001 u |
| HDL cholesterol (normal, 40–60 mg/dL), median (min/max) | 35 (25/46) | 43 (25/81) | <0.001 u |
| LDL cholesterol (normal, 0–130 mg/dL), median (min/max) | 171 (148/198) | 177 (123/231) | 0.944 u |
| CRP (normal, 0–5 mg/L), median (min/max) | 9 (7/12) | 6 (3/10) | <0.001 u |
| hsCRP (normal, 0.10–2.80 mg/dL), median (min/max) | 9.13 (3.12/11.93) | 4.85 (2.35/11.89) | 0.014 u |
| HbA1c (%, median (min/max) | 6.98 (5.45/10.48) | 6.37 (5.06/12.8) | 0.857 u |
| D-Dimer (normal, 0–550 µg/L), median (min/max) | 1020 (559/1286) | 736 (451/1369) | 0.001 u |
| ESR 1 h (normal, 0–20 mm), median (min/max) | 25 (11/39) | 19 (10/37) | 0.081 u |
| Troponin I (normal, 0–34.2 pg/mL), median (min/max) | 81.4 (17.5/110.5) | 56.4 (19.9/99.6) | 0.034 u |
| Vitamin B12 (normal, 187–883 pg/mL), median (min/max) | 192 (165/299) | 251 (103/432) | 0.012 u |
| Folic acid (normal, 3.1–20.5 ng/mL), median (min/max) | 2.6 (1.1/8.6) | 3.7 (1.7/9.9) | 0.073 u |
| 25-OH Vit D3 (normal, 40–100 ng/mL), median (min/max) | 28 (13/49) | 31 (10/62) | 0.631 u |
| Procalcitonine (normal, 0–0.5 ng/mL), median (min/max) | 0.9 (0.7/1.8) | 0.8 (0.1/2.9) | 0.164 u |
| Fibrinogen (normal, 2.1–4 g/L), median (min/max) | 9.55 (6.85/10.98) | 6.93 (3.86/9.95) | <0.001 u |
| NSE (normal, 0–16.3 ng/mL), median (min/max) | 19.9 (15.9/25.6) | 15.9 (9.3/21.8) | <0.001 u |
| CK-MB (normal, 25.0 U/L), median (min/max) | 18.8 (11.9/27.1) | 20.9 (12.4/29.9) | 0.126 u |
| Homocysteine (normal, 5.46–16.2 umol/L), median (min/max) | 21.9 (19.3/23.6) | 18.8 (10.9/31.9) | 0.001 u |
| aPTT (normal, 22.7–31.8 sn), median (min/max) | 25.6 (20.3/27.8) | 26.8 (20.1/33.9) | 0.045 u |
| PT (normal, 10.4–13 sn), median (min/max) | 13.2 (10.8/14.4) | 12.6 (10.1/15.9) | 0.455 u |
| INR (normal, 0.8–1.2 C), median (min/max) | 1.1 (0.7/1.5) | 1.3 (0.6/3.1) | 0.062 u |
Disclaimer/Publisher’s Note: The statements, opinions and data contained in all publications are solely those of the individual author(s) and contributor(s) and not of MDPI and/or the editor(s). MDPI and/or the editor(s) disclaim responsibility for any injury to people or property resulting from any ideas, methods, instructions or products referred to in the content. |
© 2024 by the authors. Licensee MDPI, Basel, Switzerland. This article is an open access article distributed under the terms and conditions of the Creative Commons Attribution (CC BY) license (https://creativecommons.org/licenses/by/4.0/).
Share and Cite
Güllüoğlu, H.; Uysal, H.A.; Şahin, E. The Relationship between CT Angiography Collateral Score and Biochemical Parameters during Acute Ischemic Stroke Caused by Middle Cerebral Artery Infarct. J. Clin. Med. 2024, 13, 2443. https://doi.org/10.3390/jcm13082443
Güllüoğlu H, Uysal HA, Şahin E. The Relationship between CT Angiography Collateral Score and Biochemical Parameters during Acute Ischemic Stroke Caused by Middle Cerebral Artery Infarct. Journal of Clinical Medicine. 2024; 13(8):2443. https://doi.org/10.3390/jcm13082443
Chicago/Turabian StyleGüllüoğlu, Halil, Hasan Armağan Uysal, and Erkan Şahin. 2024. "The Relationship between CT Angiography Collateral Score and Biochemical Parameters during Acute Ischemic Stroke Caused by Middle Cerebral Artery Infarct" Journal of Clinical Medicine 13, no. 8: 2443. https://doi.org/10.3390/jcm13082443
APA StyleGüllüoğlu, H., Uysal, H. A., & Şahin, E. (2024). The Relationship between CT Angiography Collateral Score and Biochemical Parameters during Acute Ischemic Stroke Caused by Middle Cerebral Artery Infarct. Journal of Clinical Medicine, 13(8), 2443. https://doi.org/10.3390/jcm13082443

