Evolution of the Transforaminal Lumbar Interbody Fusion (TLIF): From Open to Percutaneous to Patient-Specific
Abstract
1. Introduction
2. Posterior Lumbar Interbody Fusion
Limitations
3. Open Transforaminal Lumbar Interbody Fusion
Limitations
4. Minimally Invasive Transforaminal Lumbar Interbody Fusion
4.1. Outcomes
4.2. Limitations
5. Trans-Kambin’s Triangle Lumbar Interbody Fusion
5.1. Percutaneous Endoscopic Transforaminal Lumbar Interbody Fusion
5.2. Outcomes
5.3. Limitations
6. Transfacet Lumbar Interbody Fusion
Outcomes
7. Patient-Specific Lumbar Interbody Fusion
7.1. Introduction
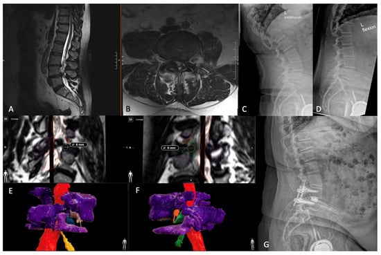
7.2. Three-Dimensional Neurosegmentation
7.3. Patient-Specific Implants
8. Conclusions
Author Contributions
Funding
Conflicts of Interest
References
- Cloward, R.B. The treatment of ruptured lumbar intervertebral discs by vertebral body fusion. I. Indications, operative technique, after care. J. Neurosurg. 1953, 10, 154–168. [Google Scholar] [CrossRef] [PubMed]
- Briggs, H.M.; Paul, R. Chip fusion of the low back following exploration of the spinal canal. J. Bone Jt. Surg. 1944, 26, 125–130. [Google Scholar]
- Okuda, S.; Miyauchi, A.; Oda, T.; Haku, T.; Yamamoto, T.; Iwasaki, M. Surgical complications of posterior lumbar interbody fusion with total facetectomy in 251 patients. J. Neurosurg. Spine 2006, 4, 304–309. [Google Scholar] [CrossRef] [PubMed]
- Harms, J.; Rolinger, H. A one-stager procedure in operative treatment of spondylolistheses: Dorsal traction-reposition and anterior fusion (author’s transl). Z. Orthop. Ihre Grenzgeb. 1982, 120, 343–347. [Google Scholar] [CrossRef] [PubMed]
- Wiltse, L.L.; Bateman, J.G.; Hutchinson, R.H.; Nelson, W.E. The paraspinal sacrospinalis-splitting approach to the lumbar spine. J. Bone Jt. Surg. Am. 1968, 50, 919–926. [Google Scholar] [CrossRef]
- Kambin, P.; Sampson, S. Posterolateral percutaneous suction-excision of herniated lumbar intervertebral discs. Report of interim results. Clin. Orthop. Relat. Res. 1986, 207, 37–43. [Google Scholar] [CrossRef]
- Zhang, Q.; Yuan, Z.; Zhou, M.; Liu, H.; Xu, Y.; Ren, Y. A comparison of posterior lumbar interbody fusion and transforaminal lumbar interbody fusion: A literature review and meta-analysis. BMC Musculoskelet. Disord. 2014, 15, 367. [Google Scholar] [CrossRef] [PubMed]
- Hey, H.W.; Hee, H.T. Lumbar degenerative spinal deformity: Surgical options of PLIF, TLIF and MI-TLIF. Indian J. Orthop. 2010, 44, 159–162. [Google Scholar] [CrossRef] [PubMed]
- Tumialan, L.M.; Madhavan, K.; Godzik, J.; Wang, M.Y. The History of and Controversy over Kambin’s Triangle: A Historical Analysis of the Lumbar Transforaminal Corridor for Endoscopic and Surgical Approaches. World Neurosurg. 2019, 123, 402–408. [Google Scholar] [CrossRef] [PubMed]
- de Kunder, S.L.; Rijkers, K.; Caelers, I.; de Bie, R.A.; Koehler, P.J.; van Santbrink, H. Lumbar Interbody Fusion: A Historical Overview and a Future Perspective. Spine 2018, 43, 1161–1168. [Google Scholar] [CrossRef] [PubMed]
- Humphreys, S.C.; Hodges, S.D.; Patwardhan, A.G.; Eck, J.C.; Murphy, R.B.; Covington, L.A. Comparison of posterior and transforaminal approaches to lumbar interbody fusion. Spine 2001, 26, 567–571. [Google Scholar] [CrossRef] [PubMed]
- Morgenstern, C.; Yue, J.J.; Morgenstern, R. Full Percutaneous Transforaminal Lumbar Interbody Fusion Using the Facet-sparing, Trans-Kambin Approach. Clin. Spine Surg. 2020, 33, 40–45. [Google Scholar] [CrossRef] [PubMed]
- Dave, B.R.; Marathe, N.; Mayi, S.; Degulmadi, D.; Rai, R.R.; Patil, S.; Jadav, K.; Bali, S.K.; Kumar, A.; Meena, U.; et al. Does Conventional Open TLIF cause more Muscle Injury when Compared to Minimally Invasive TLIF?-A Prospective Single Center Analysis. Glob. Spine J. 2024, 14, 93–100. [Google Scholar] [CrossRef] [PubMed]
- Fu, C.J.; Chen, W.C.; Lu, M.L.; Cheng, C.H.; Niu, C.C. Comparison of paraspinal muscle degeneration and decompression effect between conventional open and minimal invasive approaches for posterior lumbar spine surgery. Sci. Rep. 2020, 10, 14635. [Google Scholar] [CrossRef] [PubMed]
- Kim, D.Y.; Lee, S.H.; Chung, S.K.; Lee, H.Y. Comparison of multifidus muscle atrophy and trunk extension muscle strength: Percutaneous versus open pedicle screw fixation. Spine 2005, 30, 123–129. [Google Scholar] [CrossRef] [PubMed]
- Mori, E.; Okada, S.; Ueta, T.; Itaru, Y.; Maeda, T.; Kawano, O.; Shiba, K. Spinous process-splitting open pedicle screw fusion provides favorable results in patients with low back discomfort and pain compared to conventional open pedicle screw fixation over 1 year after surgery. Eur. Spine J. 2012, 21, 745–753. [Google Scholar] [CrossRef] [PubMed][Green Version]
- Schwender, J.D.; Holly, L.T.; Rouben, D.P.; Foley, K.T. Minimally invasive transforaminal lumbar interbody fusion (TLIF): Technical feasibility and initial results. J. Spinal Disord. Tech. 2005, 18, S1–S6. [Google Scholar] [CrossRef] [PubMed]
- Rantanen, J.; Hurme, M.; Falck, B.; Alaranta, H.; Nykvist, F.; Lehto, M.; Einola, S.; Kalimo, H. The lumbar multifidus muscle five years after surgery for a lumbar intervertebral disc herniation. Spine 1993, 18, 568–574. [Google Scholar] [CrossRef] [PubMed]
- Sihvonen, T.; Herno, A.; Paljarvi, L.; Airaksinen, O.; Partanen, J.; Tapaninaho, A. Local denervation atrophy of paraspinal muscles in postoperative failed back syndrome. Spine 1993, 18, 575–581. [Google Scholar] [CrossRef] [PubMed]
- Foley, K.T.; Lefkowitz, M.A. Advances in minimally invasive spine surgery. Clin. Neurosurg. 2002, 49, 499–517. [Google Scholar] [PubMed]
- Macki, M.; Hamilton, T.; Haddad, Y.W.; Chang, V. Expandable Cage Technology-Transforaminal, Anterior, and Lateral Lumbar Interbody Fusion. Oper. Neurosurg. 2021, 21, S69–S80. [Google Scholar] [CrossRef] [PubMed]
- Kim, C.W.; Doerr, T.M.; Luna, I.Y.; Joshua, G.; Shen, S.R.; Fu, X.; Wu, A.M. Minimally Invasive Transforaminal Lumbar Interbody Fusion Using Expandable Technology: A Clinical and Radiographic Analysis of 50 Patients. World Neurosurg. 2016, 90, 228–235. [Google Scholar] [CrossRef] [PubMed]
- Hiyama, A.; Katoh, H.; Sakai, D.; Sato, M.; Watanabe, M. Early Radiological Assessment of Static and Expandable Cages in Lateral Single Position for Indirect Decompression- Lateral Lumbar Interbody Fusion. World Neurosurg. 2023, 178, e453–e464. [Google Scholar] [CrossRef] [PubMed]
- Tabarestani, T.Q.; Salven, D.S.; Sykes, D.A.W.; Bardeesi, A.M.; Bartlett, A.M.; Wang, T.Y.; Paturu, M.R.; Dibble, C.F.; Shaffrey, C.I.; Ray, W.Z.; et al. Using Novel Segmentation Technology to Define Safe Corridors for Minimally Invasive Posterior Lumbar Interbody Fusion. Oper. Neurosurg. 2023. [Google Scholar] [CrossRef] [PubMed]
- Tabarestani, T.Q.; Sykes, D.A.W.; Kouam, R.W.; Salven, D.S.; Wang, T.Y.; Mehta, V.A.; Shaffrey, C.I.; Wiggins, W.F.; Chi, J.H.; Abd-El-Barr, M.M. Novel Approach to Percutaneous Lumbar Surgeries via Kambin’s Triangle-Radiographic and Surgical Planning Analysis with Nerve Segmentation Technology. World Neurosurg. 2023, 177, e385–e396. [Google Scholar] [CrossRef] [PubMed]
- Tabarestani, T.Q.; Sykes, D.A.W.; Maquoit, G.; Wang, T.Y.; Ayoub, C.M.; Shaffrey, C.I.; Wiggins, W.F.; Abd-El-Barr, M.M. Novel Merging of CT and MRI to Allow for Safe Navigation into Kambin’s Triangle for Percutaneous Lumbar Interbody Fusion-Initial Case Series Investigating Safety and Efficacy. Oper. Neurosurg. 2023, 24, 331–340. [Google Scholar] [CrossRef] [PubMed]
- Chan, A.K.; Bydon, M.; Bisson, E.F.; Glassman, S.D.; Foley, K.T.; Shaffrey, C.I.; Potts, E.A.; Shaffrey, M.E.; Coric, D.; Knightly, J.J.; et al. Minimally invasive versus open transforaminal lumbar interbody fusion for grade I lumbar spondylolisthesis: 5-year follow-up from the prospective multicenter Quality Outcomes Database registry. Neurosurg. Focus. 2023, 54, E2. [Google Scholar] [CrossRef]
- Adogwa, O.; Carr, K.; Thompson, P.; Hoang, K.; Darlington, T.; Perez, E.; Fatemi, P.; Gottfried, O.; Cheng, J.; Isaacs, R.E. A prospective, multi-institutional comparative effectiveness study of lumbar spine surgery in morbidly obese patients: Does minimally invasive transforaminal lumbar interbody fusion result in superior outcomes? World Neurosurg. 2015, 83, 860–866. [Google Scholar] [CrossRef]
- Cheng, J.S.; Park, P.; Le, H.; Reisner, L.; Chou, D.; Mummaneni, P.V. Short-term and long-term outcomes of minimally invasive and open transforaminal lumbar interbody fusions: Is there a difference? Neurosurg. Focus. 2013, 35, E6. [Google Scholar] [CrossRef] [PubMed]
- Heemskerk, J.L.; Oluwadara Akinduro, O.; Clifton, W.; Quinones-Hinojosa, A.; Abode-Iyamah, K.O. Long-term clinical outcome of minimally invasive versus open single-level transforaminal lumbar interbody fusion for degenerative lumbar diseases: A meta-analysis. Spine J. 2021, 21, 2049–2065. [Google Scholar] [CrossRef] [PubMed]
- Price, J.P.; Dawson, J.M.; Schwender, J.D.; Schellhas, K.P. Clinical and Radiologic Comparison of Minimally Invasive Surgery With Traditional Open Transforaminal Lumbar Interbody Fusion: A Review of 452 Patients From a Single Center. Clin. Spine Surg. 2018, 31, E121–E126. [Google Scholar] [CrossRef] [PubMed]
- Hu, W.; Yang, G.; Wang, H.; Wu, X.; Ma, H.; Zhang, K.; Gao, Y. Which Is Better in Clinical and Radiological Outcomes for Lumbar Degenerative Disease of Two Segments: MIS-TLIF or OPEN-TLIF? J. Pers. Med. 2022, 12, 1977. [Google Scholar] [CrossRef] [PubMed]
- Kwon, J.W.; Park, Y.; Lee, B.H.; Yoon, S.R.; Ha, J.W.; Kim, H.; Suk, K.S.; Moon, S.H.; Kim, H.S.; Lee, H.M. Ten-Year Outcomes of Minimally Invasive Versus Open Transforaminal Lumbar Interbody Fusion in Patients With Single-Level Lumbar Spondylolisthesis. Spine 2022, 47, 773–780. [Google Scholar] [CrossRef]
- Qin, R.; Liu, B.; Zhou, P.; Yao, Y.; Hao, J.; Yang, K.; Xu, T.L.; Zhang, F.; Chen, X. Minimally Invasive Versus Traditional Open Transforaminal Lumbar Interbody Fusion for the Treatment of Single-Level Spondylolisthesis Grades 1 and 2: A Systematic Review and Meta-Analysis. World Neurosurg. 2019, 122, 180–189. [Google Scholar] [CrossRef] [PubMed]
- Hammad, A.; Wirries, A.; Ardeshiri, A.; Nikiforov, O.; Geiger, F. Open versus minimally invasive TLIF: Literature review and meta-analysis. J. Orthop. Surg. Res. 2019, 14, 229. [Google Scholar] [CrossRef] [PubMed]
- Dibble, C.F.; Zhang, J.K.; Greenberg, J.K.; Javeed, S.; Khalifeh, J.M.; Jain, D.; Dorward, I.; Santiago, P.; Molina, C.; Pennicooke, B.; et al. Comparison of local and regional radiographic outcomes in minimally invasive and open TLIF: A propensity score-matched cohort. J. Neurosurg. Spine 2022, 37, 384–394. [Google Scholar] [CrossRef] [PubMed]
- Le, H.; Anderson, R.; Phan, E.; Wick, J.; Barber, J.; Roberto, R.; Klineberg, E.; Javidan, Y. Clinical and Radiographic Comparison Between Open Versus Minimally Invasive Transforaminal Lumbar Interbody Fusion With Bilateral Facetectomies. Glob. Spine J. 2021, 11, 903–910. [Google Scholar] [CrossRef] [PubMed]
- Modi, H.N.; Shrestha, U. Comparison of Clinical Outcome and Radiologic Parameters in Open TLIF Versus MIS-TLIF in Single- or Double-Level Lumbar Surgeries. Int. J. Spine Surg. 2021, 15, 962–970. [Google Scholar] [CrossRef] [PubMed]
- Kim, C.H.; Lee, C.H.; Kim, K.P. How High Are Radiation-related Risks in Minimally Invasive Transforaminal Lumbar Interbody Fusion Compared With Traditional Open Surgery?: A Meta-analysis and Dose Estimates of Ionizing Radiation. Clin. Spine Surg. 2016, 29, 52–59. [Google Scholar] [CrossRef]
- Chou, L.B.; Lerner, L.B.; Harris, A.H.; Brandon, A.J.; Girod, S.; Butler, L.M. Cancer Prevalence among a Cross-sectional Survey of Female Orthopedic, Urology, and Plastic Surgeons in the United States. Womens Health Issues 2015, 25, 476–481. [Google Scholar] [CrossRef] [PubMed]
- Sehat, K.R.; Evans, R.; Newman, J.H. How much blood is really lost in total knee arthroplasty? Correct blood loss management should take hidden loss into account. Knee 2000, 7, 151–155. [Google Scholar] [CrossRef] [PubMed]
- Khashab, M.; Alswat, M.M.; Samman, A.T.; Elkhalifa, M. Hidden Blood Loss in Transforaminal Lumbar Interbody Fusion: An Analysis of Underlying Factors. Cureus 2023, 15, e35126. [Google Scholar] [CrossRef] [PubMed]
- Yang, Y.; Zhang, L.; Liu, B.; Pang, M.; Xie, P.; Chen, Z.; Wu, W.; Feng, F.; Rong, L. Hidden and overall haemorrhage following minimally invasive and open transforaminal lumbar interbody fusion. J. Orthop. Traumatol. 2017, 18, 395–400. [Google Scholar] [CrossRef] [PubMed]
- Zhou, Y.; Fu, X.; Yang, M.; Ke, S.; Wang, B.; Li, Z. Hidden blood loss and its possible risk factors in minimally invasive transforaminal lumbar interbody fusion. J. Orthop. Surg. Res. 2020, 15, 445. [Google Scholar] [CrossRef] [PubMed]
- Fanous, A.A.; Tumialan, L.M.; Wang, M.Y. Kambin’s triangle: Definition and new classification schema. J. Neurosurg. Spine 2019, 32, 390–398. [Google Scholar] [CrossRef]
- Morgenstern, R.; Morgenstern, C.; Jane, R.; Lee, S.H. Usefulness of an expandable interbody spacer for the treatment of foraminal stenosis in extremely collapsed disks: Preliminary clinical experience with endoscopic posterolateral transforaminal approach. J. Spinal Disord. Tech. 2011, 24, 485–491. [Google Scholar] [CrossRef] [PubMed]
- Pairaiturkar, P.P.; Sudame, O.S.; Pophale, C.S. Evaluation of Dimensions of Kambin’s Triangle to Calculate Maximum Permissible Cannula Diameter for Percutaneous Endoscopic Lumbar Discectomy: A 3-Dimensional Magnetic Resonance Imaging Based Study. J. Korean Neurosurg. Soc. 2019, 62, 414–421. [Google Scholar] [CrossRef] [PubMed]
- Gong, J.; Huang, Z.; Liu, H.; Zhang, C.; Zheng, W.; Li, C.; Tang, Y.; Zhou, Y. A Modified Endoscopic Transforaminal Lumbar Interbody Fusion Technique: Preliminary Clinical Results of 96 Cases. Front. Surg. 2021, 8, 676847. [Google Scholar] [CrossRef] [PubMed]
- Osman, S.G. Endoscopic transforaminal decompression, interbody fusion, and percutaneous pedicle screw implantation of the lumbar spine: A case series report. Int. J. Spine Surg. 2012, 6, 157–166. [Google Scholar] [CrossRef] [PubMed]
- Wagner, R.; Haefner, M. Uniportal Endoscopic Lumbar Interbody Fusion. Neurospine 2020, 17, S120–S128. [Google Scholar] [CrossRef] [PubMed]
- Shen, J. Fully Endoscopic Lumbar Laminectomy and Transforaminal Lumbar Interbody Fusion Under Local Anesthesia with Conscious Sedation: A Case Series. World Neurosurg. 2019, 127, e745–e750. [Google Scholar] [CrossRef]
- Nagahama, K.; Ito, M.; Abe, Y.; Murota, E.; Hiratsuka, S.; Takahata, M. Early Clinical Results of Percutaneous Endoscopic Transforaminal Lumbar Interbody Fusion: A New Modified Technique for Treating Degenerative Lumbar Spondylolisthesis. Spine Surg. Relat. Res. 2019, 3, 327–334. [Google Scholar] [CrossRef] [PubMed]
- Ao, S.; Zheng, W.; Wu, J.; Tang, Y.; Zhang, C.; Zhou, Y.; Li, C. Comparison of Preliminary clinical outcomes between percutaneous endoscopic and minimally invasive transforaminal lumbar interbody fusion for lumbar degenerative diseases in a tertiary hospital: Is percutaneous endoscopic procedure superior to MIS-TLIF? A prospective cohort study. Int. J. Surg. 2020, 76, 136–143. [Google Scholar] [CrossRef] [PubMed]
- Wang, T.Y.; Mehta, V.A.; Gabr, M.; Sankey, E.W.; Bwensa, A.; Rory Goodwin, C.; Karikari, I.O.; Chi, J.H.; Abd-El-Barr, M.M. Percutaneous Lumbar Interbody Fusion With an Expandable Titanium Cage Through Kambin’s Triangle: A Case Series With Initial Clinical and Radiographic Results. Int. J. Spine Surg. 2021, 15, 1133–1141. [Google Scholar] [CrossRef] [PubMed]
- Ono, K.; Fukuhara, D.; Nagahama, K.; Abe, Y.; Takahashi, K.; Majima, T. Percutaneous Endoscopic Transforaminal Lumbar Interbody Fusion (PETLIF): Current Techniques, Clinical Outcomes, and Narrative Review. J. Clin. Med. 2023, 12, 5391. [Google Scholar] [CrossRef] [PubMed]
- Ransom, N.A.; Gollogly, S.; Lewandrowski, K.U.; Yeung, A. Navigating the learning curve of spinal endoscopy as an established traditionally trained spine surgeon. J. Spine Surg. 2020, 6, S197–S207. [Google Scholar] [CrossRef] [PubMed]
- Son, S.; Ahn, Y.; Lee, S.G.; Kim, W.K.; Yoo, B.R.; Jung, J.M.; Cho, J. Learning curve of percutaneous endoscopic transforaminal lumbar discectomy by a single surgeon. Medicine 2021, 100, e24346. [Google Scholar] [CrossRef] [PubMed]
- Khalifeh, J.M.; Dibble, C.F.; Stecher, P.; Dorward, I.; Hawasli, A.H.; Ray, W.Z. Transfacet Minimally Invasive Transforaminal Lumbar Interbody Fusion With an Expandable Interbody Device—Part I: 2-Dimensional Operative Video and Technical Report. Oper. Neurosurg. 2020, 19, E473–E479. [Google Scholar] [CrossRef] [PubMed]
- Kim, H.S.; Wu, P.H.; Sairyo, K.; Jang, I.T. A Narrative Review of Uniportal Endoscopic Lumbar Interbody Fusion: Comparison of Uniportal Facet-Preserving Trans-Kambin Endoscopic Fusion and Uniportal Facet-Sacrificing Posterolateral Transforaminal Lumbar Interbody Fusion. Int. J. Spine Surg. 2021, 15, S72–S83. [Google Scholar] [CrossRef] [PubMed]
- Khalifeh, J.M.; Dibble, C.F.; Stecher, P.; Dorward, I.; Hawasli, A.H.; Ray, W.Z. Transfacet Minimally Invasive Transforaminal Lumbar Interbody Fusion With an Expandable Interbody Device—Part II: Consecutive Case Series. Oper. Neurosurg. 2020, 19, 518–529. [Google Scholar] [CrossRef] [PubMed]
- Chan, A.K.; Gnaedinger, A.; Ayoub, C.; Gupta, D.K.; Abd-El-Barr, M.M. The “In-Parallel” Technique for Awake, Bilateral Simultaneous Minimally Invasive Transforaminal Lumbar Interbody Fusion and Multilevel Lumbar Decompression. Oper. Neurosurg. 2023, 24, e160–e169. [Google Scholar] [CrossRef] [PubMed]
- Mobbs, R.J.; Phan, K.; Malham, G.; Seex, K.; Rao, P.J. Lumbar interbody fusion: Techniques, indications and comparison of interbody fusion options including PLIF, TLIF, MI-TLIF, OLIF/ATP, LLIF and ALIF. J. Spine Surg. 2015, 1, 2–18. [Google Scholar] [CrossRef] [PubMed]
- Battistella, G.; Najdenovska, E.; Maeder, P.; Ghazaleh, N.; Daducci, A.; Thiran, J.P.; Jacquemont, S.; Tuleasca, C.; Levivier, M.; Bach Cuadra, M.; et al. Robust thalamic nuclei segmentation method based on local diffusion magnetic resonance properties. Brain Struct. Funct. 2017, 222, 2203–2216. [Google Scholar] [CrossRef] [PubMed]
- Konuthula, N.; Perez, F.A.; Maga, A.M.; Abuzeid, W.M.; Moe, K.; Hannaford, B.; Bly, R.A. Automated atlas-based segmentation for skull base surgical planning. Int. J. Comput. Assist. Radiol. Surg. 2021, 16, 933–941. [Google Scholar] [CrossRef] [PubMed]
- Fick, T.; van Doormaal, J.A.M.; Tosic, L.; van Zoest, R.J.; Meulstee, J.W.; Hoving, E.W.; van Doormaal, T.P.C. Fully automatic brain tumor segmentation for 3D evaluation in augmented reality. Neurosurg. Focus. 2021, 51, E14. [Google Scholar] [CrossRef] [PubMed]
- McGrath, H.; Li, P.; Dorent, R.; Bradford, R.; Saeed, S.; Bisdas, S.; Ourselin, S.; Shapey, J.; Vercauteren, T. Manual segmentation versus semi-automated segmentation for quantifying vestibular schwannoma volume on MRI. Int. J. Comput. Assist. Radiol. Surg. 2020, 15, 1445–1455. [Google Scholar] [CrossRef] [PubMed]
- Mobbs, R.J.; Coughlan, M.; Thompson, R.; Sutterlin, C.E.; Phan, K. The utility of 3D printing for surgical planning and patient-specific implant design for complex spinal pathologies: Case report. J. Neurosurg. Spine 2017, 26, 513–518. [Google Scholar] [CrossRef] [PubMed]
- Mobbs, R.J.; Choy, W.J.; Wilson, P.; McEvoy, A.; Phan, K.; Parr, W.C.H. L5 En-Bloc Vertebrectomy with Customized Reconstructive Implant: Comparison of Patient-Specific Versus Off-the-Shelf Implant. World Neurosurg. 2018, 112, 94–100. [Google Scholar] [CrossRef] [PubMed]
- Pesante, B.D.; Wellington, I.J.; Eastlack, R.K.; Singh, H. Multilevel Customized 3D-Printed Titanium Alloy Interbody Cages used to Treat Congenital Scoliosis: A Case Report. J. Orthop. Case Rep. 2023, 13, 58–64. [Google Scholar] [CrossRef]
- Phan, K.; Sgro, A.; Maharaj, M.M.; D’Urso, P.; Mobbs, R.J. Application of a 3D custom printed patient specific spinal implant for C1/2 arthrodesis. J. Spine Surg. 2016, 2, 314–318. [Google Scholar] [CrossRef] [PubMed]
- Thayaparan, G.K.; Owbridge, M.G.; Thompson, R.G.; D‘Urso, P.S. Designing patient-specific solutions using biomodelling and 3D-printing for revision lumbar spine surgery. Eur. Spine J. 2019, 28, 18–24. [Google Scholar] [CrossRef] [PubMed]
- Fernandes, R.J.R.; Gee, A.; Kanawati, A.J.; Siddiqi, F.; Rasoulinejad, P.; Zdero, R.; Bailey, C.S. Evaluation of the contact surface between vertebral endplate and 3D printed patient-specific cage vs commercial cage. Sci. Rep. 2022, 12, 12505. [Google Scholar] [CrossRef] [PubMed]







Disclaimer/Publisher’s Note: The statements, opinions and data contained in all publications are solely those of the individual author(s) and contributor(s) and not of MDPI and/or the editor(s). MDPI and/or the editor(s) disclaim responsibility for any injury to people or property resulting from any ideas, methods, instructions or products referred to in the content. |
© 2024 by the authors. Licensee MDPI, Basel, Switzerland. This article is an open access article distributed under the terms and conditions of the Creative Commons Attribution (CC BY) license (https://creativecommons.org/licenses/by/4.0/).
Share and Cite
Drossopoulos, P.N.; Ononogbu-uche, F.C.; Tabarestani, T.Q.; Huang, C.-C.; Paturu, M.; Bardeesi, A.; Ray, W.Z.; Shaffrey, C.I.; Goodwin, C.R.; Erickson, M.; et al. Evolution of the Transforaminal Lumbar Interbody Fusion (TLIF): From Open to Percutaneous to Patient-Specific. J. Clin. Med. 2024, 13, 2271. https://doi.org/10.3390/jcm13082271
Drossopoulos PN, Ononogbu-uche FC, Tabarestani TQ, Huang C-C, Paturu M, Bardeesi A, Ray WZ, Shaffrey CI, Goodwin CR, Erickson M, et al. Evolution of the Transforaminal Lumbar Interbody Fusion (TLIF): From Open to Percutaneous to Patient-Specific. Journal of Clinical Medicine. 2024; 13(8):2271. https://doi.org/10.3390/jcm13082271
Chicago/Turabian StyleDrossopoulos, Peter N., Favour C. Ononogbu-uche, Troy Q. Tabarestani, Chuan-Ching Huang, Mounica Paturu, Anas Bardeesi, Wilson Z. Ray, Christopher I. Shaffrey, C. Rory Goodwin, Melissa Erickson, and et al. 2024. "Evolution of the Transforaminal Lumbar Interbody Fusion (TLIF): From Open to Percutaneous to Patient-Specific" Journal of Clinical Medicine 13, no. 8: 2271. https://doi.org/10.3390/jcm13082271
APA StyleDrossopoulos, P. N., Ononogbu-uche, F. C., Tabarestani, T. Q., Huang, C.-C., Paturu, M., Bardeesi, A., Ray, W. Z., Shaffrey, C. I., Goodwin, C. R., Erickson, M., Chi, J. H., & Abd-El-Barr, M. M. (2024). Evolution of the Transforaminal Lumbar Interbody Fusion (TLIF): From Open to Percutaneous to Patient-Specific. Journal of Clinical Medicine, 13(8), 2271. https://doi.org/10.3390/jcm13082271

