Current Status and Future Perspectives of Optic Nerve Imaging in Glaucoma
Abstract
1. Introduction
2. The Current Standard
2.1. Optical Coherence Tomography
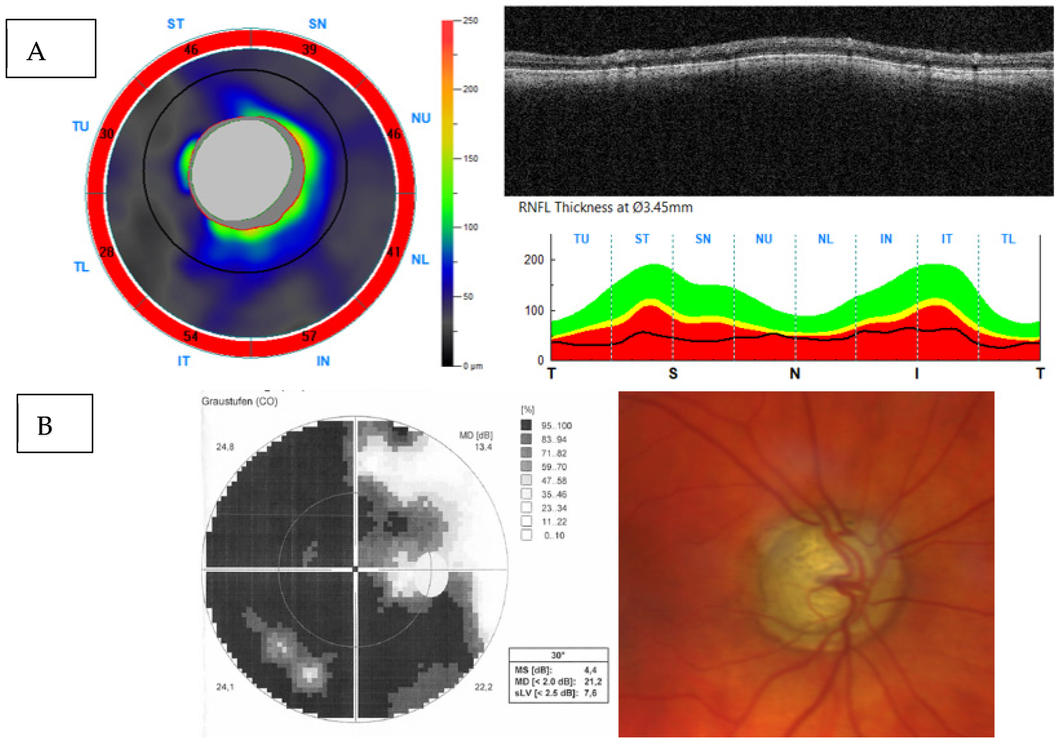
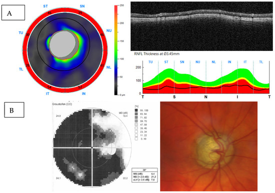
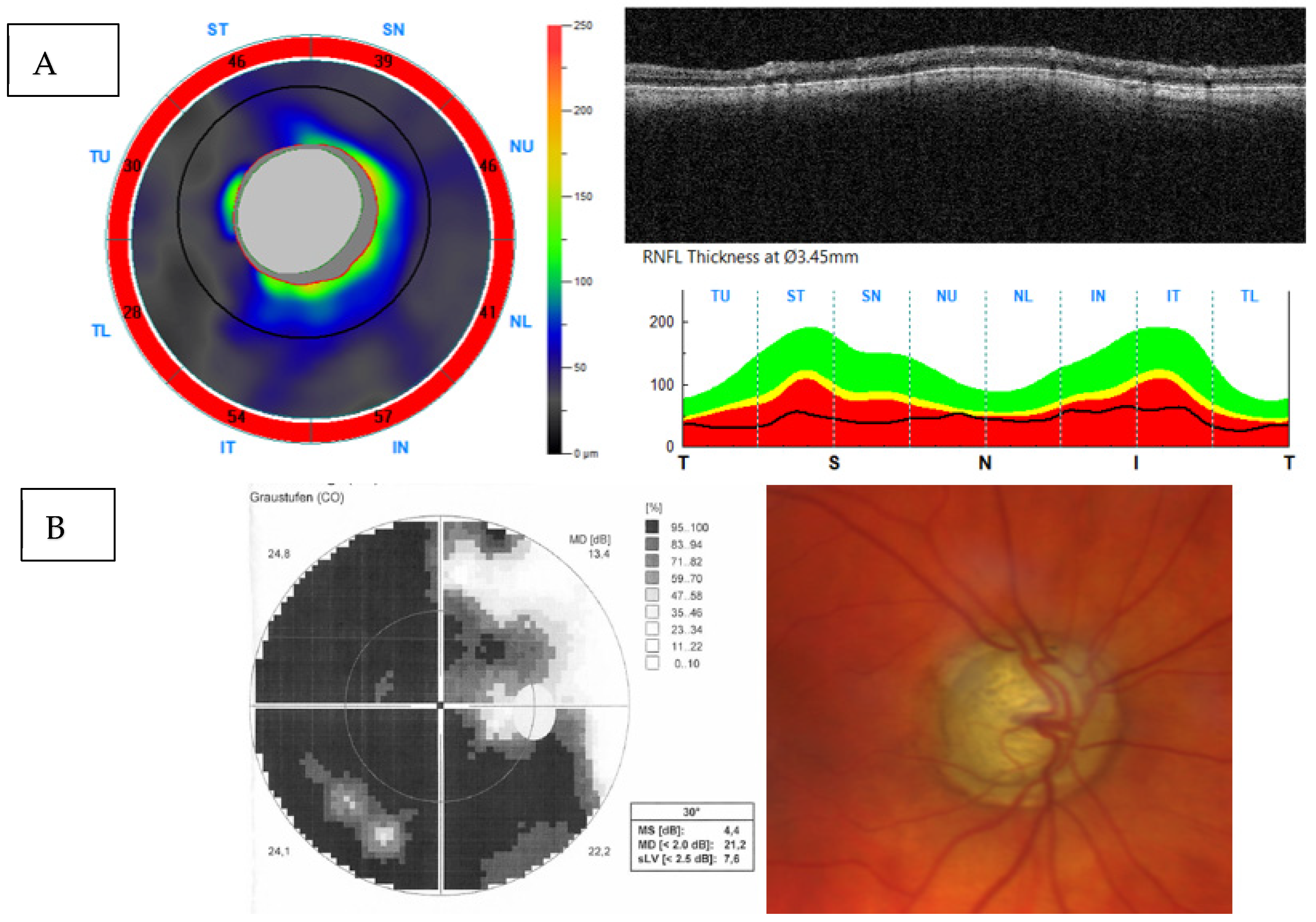
2.1.1. Current Structural Biomarkers Utilizing OCT
2.1.2. Particularities and Pitfalls in the Evaluation of OCT Images
Evaluating OCT Data with a Normative Database
OCT Imaging Quality
Influence of Concomitant Ocular Diseases on RNFL and MRW Imaging
The Minimum Rim Width (MRW)
- -
- Differentiation from opticopathies of non-glaucomatous origin:
- -
- Influence of the optic disc size on the MRW:
- -
- Influence of refraction on MRW
The Retinal Nerve Fiber Layer (RNFL)
- -
- Influence of refraction on the RNFL:
- -
- Influence of ethnicity:
2.1.3. The Power of OCT Imaging to Detect Glaucoma and Glaucoma Progression
2.2. Scanning Laser Ophthalmoscopy
2.3. Optic Disc Photographs
3. Future Directions
- (1)
- The improvement of OCT data quality and quantity, for example, by increasing resolution, scan speed, reduction in artefacts and layer/landmark segmentation.
- (2)
- The establishment of new biomarkers, which address current shortcomings of the nerve-fiber-layer-centered ONH assessment, such as specificity and sensitivity at early stages of glaucoma, floor effect at late stages, detection of risk factors for the development/the progression of glaucoma.
- (3)
- The improvement of data analysis, where artificial intelligence is a highly powerful tool to integrate data of various sources and to take advantage of data ‘hidden’ in images or scan volumes, which goes currently unrecognized by the established analysis algorithms.
3.1. Improvement of Data Quality and Quantity
- ○
- Swept-Source (SS) OCT and Enhanced Depth Imaging (EDI) Technique:
- ○
- Adaptive optics (AO):
- ○
- AO and RNFL imaging:
- -
- Choudhari et al. compared the image characteristics of the RNFL between glaucoma patients and healthy controls using AO-SLO. Imaging was performed one degree away from the optic disc margin in glaucoma patients and healthy controls. The field of view was 1.3°. A comparison of early glaucoma with healthy subjects showed a significant difference in reflectivity (0.51 and 0.56, respectively, p < 0.001), but not in the structure of the RNFL bundles. In patients with moderate and severe glaucoma, no RNFL bundles were recognizable and the RNFL reflectivity did not differ from that of patients with early glaucoma (p < 0.11). The authors therefore conclude that the enhancement (%) of RNFL images recorded with AOSLO could be an objective indicator of early glaucoma [40].
- ○
- AO and LC imaging:
- -
- AO can support studies on the biomechanics of the LC.
- -
- Confocal AO-SLO imaging enabled high-resolution 2D visualization of the LC in healthy eyes and quantitative analysis of pore geometry with small intersession and larger intersession variability. However, the authors conclude that AO-SLO imaging could be used to measure and track changes in laminar pores in vivo during glaucomatous progression [41]. In glaucoma, LC pores seem to be elongated measured with flood-illumination AO fundus (FIAO) camera [42].
- -
- Nadler et al. characterized the in vivo three-dimensional LC microarchitecture of healthy eyes using AO spectral-domain OCT (AO-SDOCT).
- -
- The results showed regional differences in the microarchitecture of the LC by quadrant and in depth, which should be considered in further studies of the LC. Nevertheless, they reported poor repeatability in measuring lamina volume.
- -
- According to the authors, this is due to the narrow depth of focus, which hindered the detection of the scleral canal opening, which is a standard feature for delineating the optic disc [43].
- ○
- AO and retina vessel imaging:
- -
- AO can measure various parameters in retinal blood vessel imaging, including vessel diameter (inner and outer), vessel wall thickness, vessel distribution characteristics (vascular branching) and blood flow parameters. To our knowledge, there are currently no publications on peripapillary vascular changes in glaucoma measured by AO.
- -
- Integrating AO into clinical settings poses challenges. AO-OCT has a limited small field of view, to gain a larger overview one would need to create a compound image, which can be time consuming. Moreover, because of the restricted depth of field, it might be required to combine volumes or modify the focal plane to achieve comprehensive visibility of retinal structures at various depths. This proved to be technically challenging, especially in the region of the LC for delineating the boundaries [43].
- -
- Nevertheless, AO undeniably stands out as an outstanding research tool, providing the potential to visualize the retina at cellular level. Incorporating AO into clinical settings presents challenges.
3.2. Novel Biomarkers
3.2.1. Optical Coherence Tomography Angiography (OCT-A)
3.2.2. Polarization-Sensitive (PS)-OCT
3.2.3. Measurement of RNFL Reflectance with Visible-Light (VL)-OCT
3.2.4. Retinal Nerve Fiber Layer Optical Texture Analysis (ROTA)
3.2.5. Imaging of the LC and Peripapillary Sclera
3.3. Improvement of Data Analysis—The Role of Artificial Intelligence (AI)
4. Summary
Funding
Institutional Review Board Statement
Informed Consent Statement
Data Availability Statement
Conflicts of Interest
References
- Flaxman, S.R.; Bourne, R.R.A.; Resnikoff, S.; Ackland, P.; Braithwaite, T.; Cicinelli, M.V.; Das, A.; Jonas, J.B.; Keeffe, J.; Kempen, J.H.; et al. Global Causes of Blindness and Distance Vision Impairment 1990-2020: A Systematic Review and Meta-Analysis. Lancet Glob. Health 2017, 5, e1221–e1234. [Google Scholar] [CrossRef] [PubMed]
- Serbecic, N.; Beutelspacher, S.C.; Aboul-Enein, F.C.; Kircher, K.; Reitner, A.; Schmidt-Erfurth, U. Reproducibility of High-Resolution Optical Coherence Tomography Measurements of the Nerve Fibre Layer with the New Heidelberg Spectralis Optical Coherence Tomography. Br. J. Ophthalmol. 2011, 95, 804–810. [Google Scholar] [CrossRef]
- Soltani-Moghadam, R.; Alizadeh, Y.; Kazemnezhad Leili, E.; Absari Haghighi, M. Reproducibility of Peripapillary Retinal Nerve Fiber Layer Thickness Measurements with Cirrus HD-OCT in Glaucomatous Eyes. Int. J. Ophthalmol. 2015, 8, 113–117. [Google Scholar] [CrossRef] [PubMed]
- Kuang, T.M.; Zhang, C.; Zangwill, L.M.; Weinreb, R.N.; Medeiros, F.A. Estimating Lead Time Gained by Optical Coherence Tomography in Detecting Glaucoma before Development of Visual Field Defects. Ophthalmology 2015, 122, 2002–2009. [Google Scholar] [CrossRef] [PubMed]
- Enders, P.; Adler, W.; Kiessling, D.; Weber, V.; Schaub, F.; Hermann, M.M.; Dietlein, T.; Cursiefen, C.; Heindl, L.M. Evaluation of Two-Dimensional Bruch’s Membrane Opening Minimum Rim Area for Glaucoma Diagnostics in a Large Patient Cohort. Acta Ophthalmol. 2019, 97, 60–67. [Google Scholar] [CrossRef] [PubMed]
- Gmeiner, J.M.D.; Schrems, W.A.; Mardin, C.Y.; Laemmer, R.; Kruse, F.E.; Schrems-Hoesl, L.M. Comparison of Bruch’s Membrane Opening Minimum Rim Width and Peripapillary Retinal Nerve Fiber Layer Thickness in Early Glaucoma Assessment. Investig. Ophthalmol. Vis. Sci. 2016, 57, OCT575–OCT584. [Google Scholar] [CrossRef] [PubMed]
- Danthurebandara, V.M.; Vianna, J.R.; Sharpe, G.P.; Hutchison, D.M.; Belliveau, A.C.; Shuba, L.M.; Nicolela, M.T.; Chauhan, B.C. Diagnostic Accuracy of Glaucoma With Sector-Based and a New Total Profile-Based Analysis of Neuroretinal Rim and Retinal Nerve Fiber Layer Thickness. Investig. Ophthalmol. Vis. Sci. 2016, 57, 181–187. [Google Scholar] [CrossRef] [PubMed]
- Shi, L.; Mohammadi, M.; Mohammadzadeh, V.; Su, E.; Weiss, R.E.; Caprioli, J.; Nouri-Mahdavi, K. Comparing Rates of Change in Moderate to Advanced Glaucoma: Retinal Nerve Fiber Layer Versus Bruch Membrane Opening-Minimum Rim Width. Am. J. Ophthalmol. 2023, 253, 181–188. [Google Scholar] [CrossRef] [PubMed]
- Kriegel, M.F.; Heiligenhaus, A.; Heinz, C. Influence of Uveitis on Bruch’s Membrane Opening Minimum Rim Width and Retinal Nerve Fibre Layer Thickness Measurements. Br. J. Ophthalmol. 2019, 103, 1413–1417. [Google Scholar] [CrossRef]
- Rebolleda, G.; Diez-Alvarez, L.; Casado, A.; Sánchez-Sánchez, C.; de Dompablo, E.; González-López, J.J.; Muñoz-Negrete, F.J. OCT: New Perspectives in Neuro-Ophthalmology. Saudi J. Ophthalmol. 2015, 29, 9–25. [Google Scholar] [CrossRef]
- Jonas, J.B.; Budde, W.M.; Panda-Jonas, S. Ophthalmoscopic Evaluation of the Optic Nerve Head. Surv. Ophthalmol. 1999, 43, 293–320. [Google Scholar] [CrossRef] [PubMed]
- Enders, P.; Schaub, F.; Hermann, M.M.; Cursiefen, C.; Heindl, L.M. Neuroretinal Rim in Non-Glaucomatous Large Optic Nerve Heads: A Comparison of Confocal Scanning Laser Tomography and Spectral Domain Optical Coherence Tomography. Br. J. Ophthalmol. 2017, 101, 138–142. [Google Scholar] [CrossRef] [PubMed]
- Hoffmann, E.M.; Zangwill, L.M.; Crowston, J.G.; Weinreb, R.N. Optic Disk Size and Glaucoma. Surv. Ophthalmol. 2007, 52, 32–49. [Google Scholar] [CrossRef]
- Mardin, C. Relative micro- and macrodiscs-a challenge in optical coherence tomography-based glaucoma diagnostics? Ophthalmologe 2021, 118, 608–613. [Google Scholar] [CrossRef] [PubMed]
- Enders, P.; Schaub, F.; Adler, W.; Hermann, M.M.; Dietlein, T.S.; Cursiefen, C.; Heindl, L.M. Bruch’s Membrane Opening-Based Optical Coherence Tomography of the Optic Nerve Head: A Useful Diagnostic Tool to Detect Glaucoma in Macrodiscs. Eye 2018, 32, 314–323. [Google Scholar] [CrossRef] [PubMed]
- Enders, P.; Schaub, F.; Adler, W.; Nikoluk, R.; Hermann, M.M.; Heindl, L.M. The Use of Bruch’s Membrane Opening-Based Optical Coherence Tomography of the Optic Nerve Head for Glaucoma Detection in Microdiscs. Br. J. Ophthalmol. 2017, 101, 530–535. [Google Scholar] [CrossRef] [PubMed]
- Scheuble, P.; Petrak, M.; Brinkmann, C.K. Glaucoma Diagnostic Testing: The Influence of Optic Disc Size. Klin. Monbl. Augenheilkd. 2022, 239, 1043–1051. [Google Scholar] [CrossRef] [PubMed]
- Xu, L.; Wang, Y.; Wang, S.; Wang, Y.; Jonas, J.B. High Myopia and Glaucoma Susceptibility the Beijing Eye Study. Ophthalmology 2007, 114, 216–220. [Google Scholar] [CrossRef] [PubMed]
- Manjunath, V.; Shah, H.; Fujimoto, J.G.; Duker, J.S. Analysis of Peripapillary Atrophy Using Spectral Domain Optical Coherence Tomography. Ophthalmology 2011, 118, 531–536. [Google Scholar] [CrossRef]
- Jonas, J.B.; Jonas, S.B.; Jonas, R.A.; Holbach, L.; Dai, Y.; Sun, X.; Panda-Jonas, S. Parapapillary Atrophy: Histological Gamma Zone and Delta Zone. PLoS ONE 2012, 7, e47237. [Google Scholar] [CrossRef]
- Zheng, F.; Wu, Z.; Leung, C.K.S. Detection of Bruch’s Membrane Opening in Healthy Individuals and Glaucoma Patients with and without High Myopia. Ophthalmology 2018, 125, 1537–1546. [Google Scholar] [CrossRef] [PubMed]
- Du, J.; Du, Y.; Xue, Y.; Wang, H.; Li, Y. Factors Associated with Changes in Peripapillary Retinal Nerve Fibre Layer Thickness in Healthy Myopic Eyes. J. Ophthalmol. 2021, 2021, 3462004. [Google Scholar] [CrossRef] [PubMed]
- Leung, C.K.-S.; Yu, M.; Weinreb, R.N.; Mak, H.K.; Lai, G.; Ye, C.; Lam, D.S.-C. Retinal Nerve Fiber Layer Imaging with Spectral-Domain Optical Coherence Tomography: Interpreting the RNFL Maps in Healthy Myopic Eyes. Investig. Ophthalmol. Vis. Sci. 2012, 53, 7194–7200. [Google Scholar] [CrossRef] [PubMed]
- Sowmya, V.; Venkataramanan, V.R.; Prasad, V. Effect of Refractive Status and Axial Length on Peripapillary Retinal Nerve Fibre Layer Thickness: An Analysis Using 3D OCT. J. Clin. Diagn. Res. 2015, 9, NC01–NC04. [Google Scholar] [CrossRef] [PubMed]
- Langenbucher, A.; Viestenz, A.; Seitz, B.; Brünner, H. Computerized Calculation Scheme for Retinal Image Size after Implantation of Toric Intraocular Lenses. Acta Ophthalmol. Scand. 2007, 85, 92–98. [Google Scholar] [CrossRef] [PubMed]
- Liu, L.; Zou, J.; Huang, H.; Yang, J.; Chen, S. The Influence of Corneal Astigmatism on Retinal Nerve Fiber Layer Thickness and Optic Nerve Head Parameter Measurements by Spectral-Domain Optical Coherence Tomography. Diagn. Pathol. 2012, 7, 55. [Google Scholar] [CrossRef] [PubMed]
- El-Nimri, N.W.; Moghimi, S.; Nishida, T.; Yarmohammadi, A.; Zangwill, L.M.; Hou, H.; Proudfoot, J.; Walker, E.; Fazio, M.A.; Girkin, C.A.; et al. Racial Differences in Detection of Glaucoma Using Retinal Nerve Fiber Layer Thickness and Bruch Membrane Opening Minimum Rim Width. Am. J. Ophthalmol. 2022, 246, 223–235. [Google Scholar] [CrossRef] [PubMed]
- Silverman, A.L.; Hammel, N.; Khachatryan, N.; Sharpsten, L.; Medeiros, F.A.; Girkin, C.A.; Liebmann, J.M.; Weinreb, R.N.; Zangwill, L.M. Diagnostic Accuracy of the Spectralis and Cirrus Reference Databases in Differentiating between Healthy and Early Glaucoma Eyes. Ophthalmology 2016, 123, 408–414. [Google Scholar] [CrossRef] [PubMed]
- Bengtsson, B.; Andersson, S.; Heijl, A. Performance of Time-Domain and Spectral-Domain Optical Coherence Tomography for Glaucoma Screening. Acta Ophthalmol. 2012, 90, 310–315. [Google Scholar] [CrossRef] [PubMed]
- Leung, C.K.S.; Ye, C.; Weinreb, R.N.; Yu, M.; Lai, G.; Lam, D.S. Impact of Age-Related Change of Retinal Nerve Fiber Layer and Macular Thicknesses on Evaluation of Glaucoma Progression. Ophthalmology 2013, 120, 2485–2492. [Google Scholar] [CrossRef]
- Zhang, X.; Dastiridou, A.; Francis, B.A.; Tan, O.; Varma, R.; Greenfield, D.S.; Schuman, J.S.; Huang, D.; Advanced Imaging for Glaucoma Study Group. Comparison of Glaucoma Progression Detection by Optical Coherence Tomography and Visual Field. Am. J. Ophthalmol. 2017, 184, 63–74. [Google Scholar] [CrossRef] [PubMed]
- Moghimi, S.; Bowd, C.; Zangwill, L.M.; Penteado, R.C.; Hasenstab, K.; Hou, H.; Ghahari, E.; Manalastas, P.I.C.; Proudfoot, J.; Weinreb, R.N. Measurement Floors and Dynamic Ranges of OCT and OCT Angiography in Glaucoma. Ophthalmology 2019, 126, 980–988. [Google Scholar] [CrossRef] [PubMed]
- Shin, J.W.; Song, M.K.; Kook, M.S. Association Between Progressive Retinal Capillary Density Loss and Visual Field Progression in Open-Angle Glaucoma Patients According to Disease Stage. Am. J. Ophthalmol. 2021, 226, 137–147. [Google Scholar] [CrossRef] [PubMed]
- Lee, A.; Sung, K.R.; Shin, J.W. Progression Detection Capabilities of Circumpapillary and Macular Vessel Density in Advanced Glaucomatous Eyes. Sci. Rep. 2022, 12, 12109. [Google Scholar] [CrossRef] [PubMed]
- Shin, J.W.; Sung, K.R.; Lee, G.C.; Durbin, M.K.; Cheng, D. Ganglion Cell-Inner Plexiform Layer Change Detected by Optical Coherence Tomography Indicates Progression in Advanced Glaucoma. Ophthalmology 2017, 124, 1466–1474. [Google Scholar] [CrossRef] [PubMed]
- Fallon, M.; Valero, O.; Pazos, M.; Antón, A. Diagnostic Accuracy of Imaging Devices in Glaucoma: A Meta-Analysis. Surv. Ophthalmol. 2017, 62, 446–461. [Google Scholar] [CrossRef] [PubMed]
- Vasseneix, C.; Nusinovici, S.; Xu, X.; Hwang, J.-M.; Hamann, S.; Chen, J.J.; Loo, J.L.; Milea, L.; Tan, K.B.K.; Ting, D.S.W.; et al. Deep Learning System Outperforms Clinicians in Identifying Optic Disc Abnormalities. J. Neuroophthalmol. 2023, 43, 159–167. [Google Scholar] [CrossRef]
- Fan, R.; Bowd, C.; Christopher, M.; Brye, N.; Proudfoot, J.A.; Rezapour, J.; Belghith, A.; Goldbaum, M.H.; Chuter, B.; Girkin, C.A.; et al. Detecting Glaucoma in the Ocular Hypertension Study Using Deep Learning. JAMA Ophthalmol. 2022, 140, 383–391. [Google Scholar] [CrossRef]
- Liang, J.; Williams, D.R.; Miller, D.T. Supernormal Vision and High-Resolution Retinal Imaging through Adaptive Optics. J Opt Soc Am A Opt Image Sci Vis 1997, 14, 2884–2892. [Google Scholar] [CrossRef]
- Choudhari, N.S.; Kumar, S.; Richhariya, A.; Krishnamurthy, R.; Priya, R.; Garudadri, C.S. Adaptive Optics Scanning Laser Ophthalmoscopy May Support Early Diagnosis of Glaucoma. Indian J. Ophthalmol. 2022, 70, 2877–2882. [Google Scholar] [CrossRef]
- Ivers, K.M.; Li, C.; Patel, N.; Sredar, N.; Luo, X.; Queener, H.; Harwerth, R.S.; Porter, J. Reproducibility of Measuring Lamina Cribrosa Pore Geometry in Human and Nonhuman Primates with In Vivo Adaptive Optics Imaging. Investig. Ophthalmol. Vis. Sci. 2011, 52, 5473–5480. [Google Scholar] [CrossRef] [PubMed][Green Version]
- Zwillinger, S.; Paques, M.; Safran, B.; Baudouin, C. In Vivo Characterization of Lamina Cribrosa Pore Morphology in Primary Open-Angle Glaucoma. J. Fr. Ophtalmol. 2016, 39, 265–271. [Google Scholar] [CrossRef] [PubMed][Green Version]
- Nadler, Z.; Wang, B.; Schuman, J.S.; Ferguson, R.D.; Patel, A.; Hammer, D.X.; Bilonick, R.A.; Ishikawa, H.; Kagemann, L.; Sigal, I.A.; et al. In Vivo Three-Dimensional Characterization of the Healthy Human Lamina Cribrosa With Adaptive Optics Spectral-Domain Optical Coherence Tomography. Investig. Ophthalmol. Vis. Sci. 2014, 55, 6459–6466. [Google Scholar] [CrossRef] [PubMed]
- Harris, A.; Chung, H.S.; Ciulla, T.A.; Kagemann, L. Progress in Measurement of Ocular Blood Flow and Relevance to Our Understanding of Glaucoma and Age-Related Macular Degeneration. Prog. Retin. Eye Res. 1999, 18, 669–687. [Google Scholar] [CrossRef] [PubMed]
- Harris, A.; Kagemann, L.; Cioffi, G.A. Assessment of Human Ocular Hemodynamics. Surv. Ophthalmol 1998, 42, 509–533. [Google Scholar] [CrossRef]
- Harris, A.; Kagemann, L.; Ehrlich, R.; Rospigliosi, C.; Moore, D.; Siesky, B. Measuring and Interpreting Ocular Blood Flow and Metabolism in Glaucoma. Can. J. Ophthalmol. 2008, 43, 328–336. [Google Scholar] [CrossRef] [PubMed]
- Venugopal, J.P.; Rao, H.L.; Weinreb, R.N.; Pradhan, Z.S.; Dasari, S.; Riyazuddin, M.; Puttiah, N.K.; Rao, D.A.S.; Devi, S.; Mansouri, K.; et al. Repeatability of Vessel Density Measurements of Optical Coherence Tomography Angiography in Normal and Glaucoma Eyes. Br. J. Ophthalmol. 2018, 102, 352–357. [Google Scholar] [CrossRef]
- Nishida, T.; Moghimi, S.; Hou, H.; Proudfoot, J.A.; Chang, A.C.; David, R.C.C.; Kamalipour, A.; El-Nimri, N.; Rezapour, J.; Bowd, C.; et al. Long-Term Reproducibility of Optical Coherence Tomography Angiography in Healthy and Stable Glaucomatous Eyes. Br. J. Ophthalmol. 2023, 107, 657–662. [Google Scholar] [CrossRef]
- Salazar-Quiñones, L.; Peña-Urbina, P.; Fernández-Vigo, J.I.; Pérez-Quiñones, Y.; Molero-Senosiain, M.; Mendez-Hernandez, C.; Martínez-de-la-Casa, J.M.; García-Feijóo, J. Reproducibility of Peripapillary, Optic Nerve Head and Macular Vessel Density by OCT-A According to Glaucoma Severity Staging. Arch. Soc. Esp. Oftalmol. (Engl. Ed.) 2023, 98, 317–324. [Google Scholar] [CrossRef]
- Lommatzsch, C.; Rothaus, K.; Koch, J.M.; Heinz, C.; Grisanti, S. Vessel Density in OCT Angiography Permits Differentiation between Normal and Glaucomatous Optic Nerve Heads. Int. J. Ophthalmol. 2018, 11, 835–843. [Google Scholar] [CrossRef]
- Wong, D.; Chua, J.; Lin, E.; Tan, B.; Yao, X.; Chong, R.; Sng, C.; Lau, A.; Husain, R.; Aung, T.; et al. Focal Structure–Function Relationships in Primary Open-Angle Glaucoma Using OCT and OCT-A Measurements. Investig. Ophthalmol. Vis. Sci. 2020, 61, 33. [Google Scholar] [CrossRef] [PubMed]
- Rifai, O.M.; McGrory, S.; Robbins, C.B.; Grewal, D.S.; Liu, A.; Fekrat, S.; MacGillivray, T.J. The Application of Optical Coherence Tomography Angiography in Alzheimer’s Disease: A Systematic Review. Alzheimers Dement. 2021, 13, e12149. [Google Scholar] [CrossRef] [PubMed]
- Chua, J.; Chin, C.W.L.; Hong, J.; Chee, M.L.; Le, T.-T.; Ting, D.S.W.; Wong, T.Y.; Schmetterer, L. Impact of Hypertension on Retinal Capillary Microvasculature Using Optical Coherence Tomographic Angiography. J. Hypertens. 2019, 37, 572. [Google Scholar] [CrossRef] [PubMed]
- Bostan, M.; Pîrvulescu, R.; Tiu, C.; Bujor, I.; Popa-Cherecheanu, A. OCT and OCT-A Biomarkers in Multiple Sclerosis—Review. Rom. J. Ophthalmol. 2023, 67, 107–110. [Google Scholar] [CrossRef] [PubMed]
- Barbosa-Breda, J.; Van Keer, K.; Abegão-Pinto, L.; Nassiri, V.; Molenberghs, G.; Willekens, K.; Vandewalle, E.; Rocha-Sousa, A.; Stalmans, I. Improved Discrimination between Normal-Tension and Primary Open-Angle Glaucoma with Advanced Vascular Examinations—The Leuven Eye Study. Acta Ophthalmol. 2019, 97, e50–e56. [Google Scholar] [CrossRef] [PubMed]
- Suh, M.H.; Zangwill, L.M.; Manalastas, P.I.C.; Belghith, A.; Yarmohammadi, A.; Medeiros, F.A.; Diniz-Filho, A.; Saunders, L.J.; Weinreb, R.N. Deep Retinal Layer Microvasculature Dropout Detected by the Optical Coherence Tomography Angiography in Glaucoma. Ophthalmology 2016, 123, 2509–2518. [Google Scholar] [CrossRef] [PubMed]
- Park, H.-Y.L.; Kim, J.W.; Park, C.K. Choroidal Microvasculature Dropout Is Associated with Progressive Retinal Nerve Fiber Layer Thinning in Glaucoma with Disc Hemorrhage. Ophthalmology 2018, 125, 1003–1013. [Google Scholar] [CrossRef] [PubMed]
- Jung, Y.; Park, H.-Y.L.; Shin, H.; Oh, S.E.; Kim, S.A.; Lee, J.-Y.; Shin, D.Y.; Jeon, S.J.; Kim, Y.-C.; Shin, H.-Y.; et al. Microvasculature Dropout and Development of Normal Tension Glaucoma in Glaucoma Suspects: The Normal Tension Glaucoma Suspect Cohort Study. Am. J. Ophthalmol. 2022, 243, 135–148. [Google Scholar] [CrossRef] [PubMed]
- Fortune, B.; Wang, L.; Cull, G.; Cioffi, G.A. Intravitreal Colchicine Causes Decreased RNFL Birefringence without Altering RNFL Thickness. Investig. Ophthalmol. Vis. Sci. 2008, 49, 255–261. [Google Scholar] [CrossRef][Green Version]
- Xu, G.; Weinreb, R.N.; Leung, C.K.S. Retinal Nerve Fiber Layer Progression in Glaucoma: A Comparison between Retinal Nerve Fiber Layer Thickness and Retardance. Ophthalmology 2013, 120, 2493–2500. [Google Scholar] [CrossRef]
- Huang, X.-R.; Zhou, Y.; Kong, W.; Knighton, R.W. Reflectance Decreases before Thickness Changes in the Retinal Nerve Fiber Layer in Glaucomatous Retinas. Investig. Ophthalmol. Vis. Sci. 2011, 52, 6737–6742. [Google Scholar] [CrossRef] [PubMed]
- Steiner, S.; Schwarzhans, F.; Desissaire, S.; Resch, H.; Fischer, G.; Pircher, M.; Hitzenberger, C.K.; Vass, C. Birefringent Properties of the Peripapillary Retinal Nerve Fiber Layer in Healthy and Glaucoma Subjects Analyzed by Polarization-Sensitive OCT. Investig. Ophthalmol. Vis. Sci. 2022, 63, 8. [Google Scholar] [CrossRef] [PubMed]
- Fortune, B.; Burgoyne, C.F.; Cull, G.; Reynaud, J.; Wang, L. Onset and Progression of Peripapillary Retinal Nerve Fiber Layer (RNFL) Retardance Changes Occur Earlier than RNFL Thickness Changes in Experimental Glaucoma. Investig. Ophthalmol. Vis. Sci. 2013, 54, 5653–5661. [Google Scholar] [CrossRef] [PubMed]
- Fortune, B.; Cull, G.; Reynaud, J.; Wang, L.; Burgoyne, C.F. Relating Retinal Ganglion Cell Function and Retinal Nerve Fiber Layer (RNFL) Retardance to Progressive Loss of RNFL Thickness and Optic Nerve Axons in Experimental Glaucoma. Investig. Ophthalmol. Vis. Sci. 2015, 56, 3936–3944. [Google Scholar] [CrossRef] [PubMed]
- Desissaire, S.; Pollreisz, A.; Sedova, A.; Hajdu, D.; Datlinger, F.; Steiner, S.; Vass, C.; Schwarzhans, F.; Fischer, G.; Pircher, M.; et al. Analysis of Retinal Nerve Fiber Layer Birefringence in Patients with Glaucoma and Diabetic Retinopathy by Polarization Sensitive OCT. Biomed. Opt. Express. 2020, 11, 5488–5505. [Google Scholar] [CrossRef] [PubMed]
- Shin, A.; Park, J.; Demer, J.L. Opto-Mechanical Characterization of Sclera by Polarization Sensitive Optical Coherence Tomography. J. Biomech. 2018, 72, 173–179. [Google Scholar] [CrossRef] [PubMed]
- Willemse, J.; Gräfe, M.G.O.; Verbraak, F.D.; de Boer, J.F. In Vivo 3D Determination of Peripapillary Scleral and Retinal Layer Architecture Using Polarization-Sensitive Optical Coherence Tomography. Transl. Vis. Sci. Technol. 2020, 9, 21. [Google Scholar] [CrossRef] [PubMed]
- Huang, X.-R.; Zhou, Y.; Knighton, R.W.; Kong, W.; Feuer, W.J. Wavelength-Dependent Change of Retinal Nerve Fiber Layer Reflectance in Glaucomatous Retinas. Investig. Ophthalmol. Vis. Sci. 2012, 53, 5869–5876. [Google Scholar] [CrossRef] [PubMed][Green Version]
- Song, W.; Zhang, S.; Kim, Y.M.; Sadlak, N.; Fiorello, M.G.; Desai, M.; Yi, J. Visible Light Optical Coherence Tomography of Peripapillary Retinal Nerve Fiber Layer Reflectivity in Glaucoma. Transl. Vis. Sci. Technol. 2022, 11, 28. [Google Scholar] [CrossRef]
- Yi, J.; Wei, Q.; Liu, W.; Backman, V.; Zhang, H.F. Visible-Light Optical Coherence Tomography for Retinal Oximetry. Opt. Lett. 2013, 38, 1796–1798. [Google Scholar] [CrossRef]
- Su, C.K.-Y.; Guo, P.Y.; Chan, P.P.M.; Lam, A.K.-N.; Leung, C.K.S. Retinal Nerve Fiber Layer Optical Texture Analysis: Detecting Axonal Fiber Bundle Defects in Patients with Ocular Hypertension. Ophthalmology 2023, 130, 1080–1089. [Google Scholar] [CrossRef] [PubMed]
- Leung, C.K.S.; Guo, P.Y.; Lam, A.K.N. Retinal Nerve Fiber Layer Optical Texture Analysis: Involvement of the Papillomacular Bundle and Papillofoveal Bundle in Early Glaucoma. Ophthalmology 2022, 129, 1043–1055. [Google Scholar] [CrossRef]
- Leung, C.K.S.; Lam, A.K.N.; Weinreb, R.N.; Garway-Heath, D.F.; Yu, M.; Guo, P.Y.; Chiu, V.S.M.; Wan, K.H.N.; Wong, M.; Wu, K.Z.; et al. Diagnostic Assessment of Glaucoma and Non-Glaucomatous Optic Neuropathies via Optical Texture Analysis of the Retinal Nerve Fibre Layer. Nat. Biomed. Eng. 2022, 6, 593–604. [Google Scholar] [CrossRef] [PubMed]
- Sigal, I.A.; Wang, B.; Strouthidis, N.G.; Akagi, T.; Girard, M.J.A. Recent Advances in OCT Imaging of the Lamina Cribrosa. Br. J. Ophthalmol. 2014, 98 (Suppl. S2), ii34–ii39. [Google Scholar] [CrossRef] [PubMed]
- Ha, A.; Kim, T.J.; Girard, M.J.A.; Mari, J.M.; Kim, Y.K.; Park, K.H.; Jeoung, J.W. Baseline Lamina Cribrosa Curvature and Subsequent Visual Field Progression Rate in Primary Open-Angle Glaucoma. Ophthalmology 2018, 125, 1898–1906. [Google Scholar] [CrossRef] [PubMed]
- Park, H.-Y.L.; Jeon, S.H.; Park, C.K. Enhanced Depth Imaging Detects Lamina Cribrosa Thickness Differences in Normal Tension Glaucoma and Primary Open-Angle Glaucoma. Ophthalmology 2012, 119, 10–20. [Google Scholar] [CrossRef] [PubMed]
- Kang, Y.S.; Haowei, Z.; Sung, M.S.; Park, S.W. Lamina Cribrosa Morphology in Normal Tension Glaucoma According to the Location of Visual Field Defects. J. Glaucoma 2023, 32, 466–473. [Google Scholar] [CrossRef]
- Miki, A.; Ikuno, Y.; Asai, T.; Usui, S.; Nishida, K. Defects of the Lamina Cribrosa in High Myopia and Glaucoma. PLoS ONE 2015, 10, e0137909. [Google Scholar] [CrossRef]











Disclaimer/Publisher’s Note: The statements, opinions and data contained in all publications are solely those of the individual author(s) and contributor(s) and not of MDPI and/or the editor(s). MDPI and/or the editor(s) disclaim responsibility for any injury to people or property resulting from any ideas, methods, instructions or products referred to in the content. |
© 2024 by the authors. Licensee MDPI, Basel, Switzerland. This article is an open access article distributed under the terms and conditions of the Creative Commons Attribution (CC BY) license (https://creativecommons.org/licenses/by/4.0/).
Share and Cite
Lommatzsch, C.; van Oterendorp, C. Current Status and Future Perspectives of Optic Nerve Imaging in Glaucoma. J. Clin. Med. 2024, 13, 1966. https://doi.org/10.3390/jcm13071966
Lommatzsch C, van Oterendorp C. Current Status and Future Perspectives of Optic Nerve Imaging in Glaucoma. Journal of Clinical Medicine. 2024; 13(7):1966. https://doi.org/10.3390/jcm13071966
Chicago/Turabian StyleLommatzsch, Claudia, and Christian van Oterendorp. 2024. "Current Status and Future Perspectives of Optic Nerve Imaging in Glaucoma" Journal of Clinical Medicine 13, no. 7: 1966. https://doi.org/10.3390/jcm13071966
APA StyleLommatzsch, C., & van Oterendorp, C. (2024). Current Status and Future Perspectives of Optic Nerve Imaging in Glaucoma. Journal of Clinical Medicine, 13(7), 1966. https://doi.org/10.3390/jcm13071966
