Dermoscopy of Umbilical Lesions—A Systematic Review
Abstract
1. Introduction
2. Materials and Methods
3. Results
3.1. Melanocytic Lesions
3.1.1. Melanoma
3.1.2. Nevi
3.2. Non-Melanocytic Malignant Lesions
3.2.1. Basal Cell Carcinoma
3.2.2. Fibroepithelioma of Pinkus
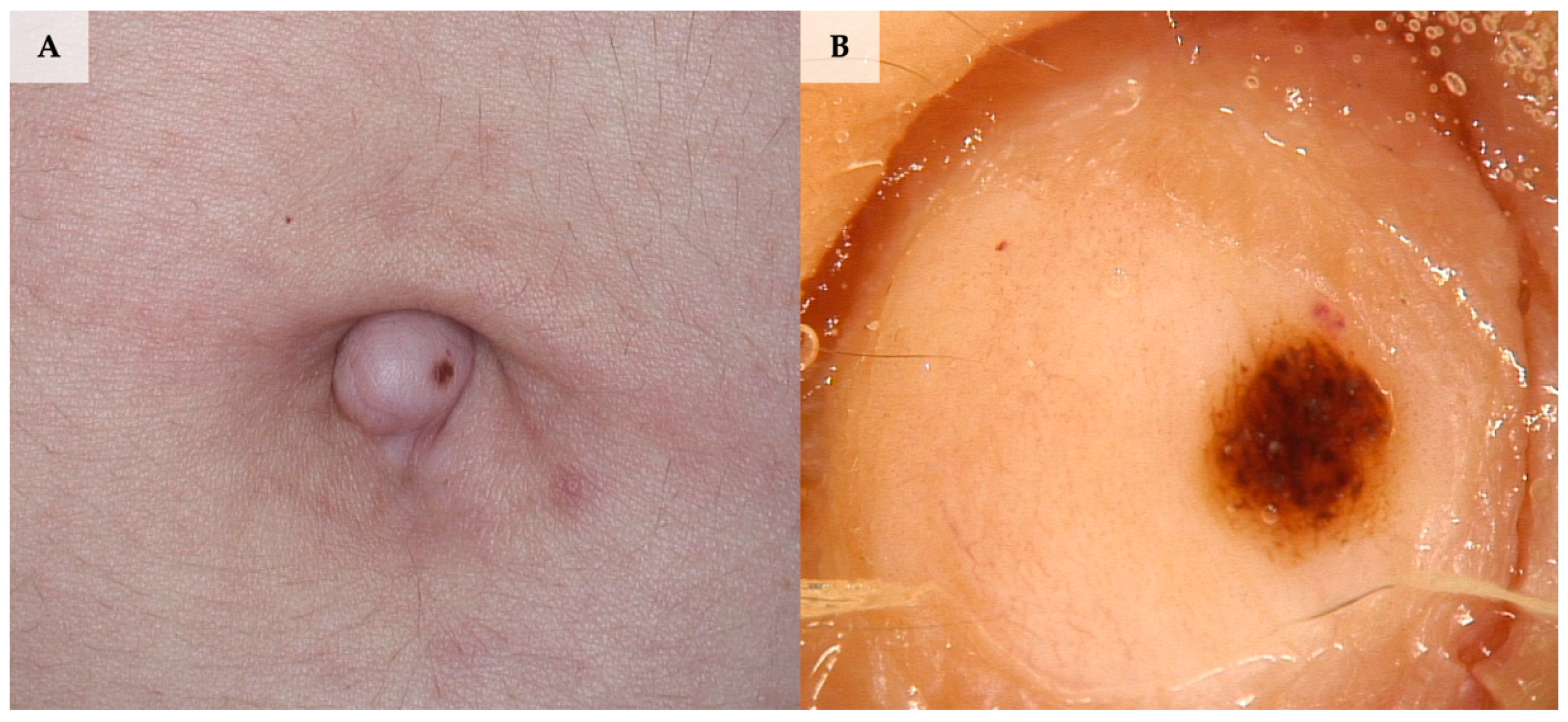
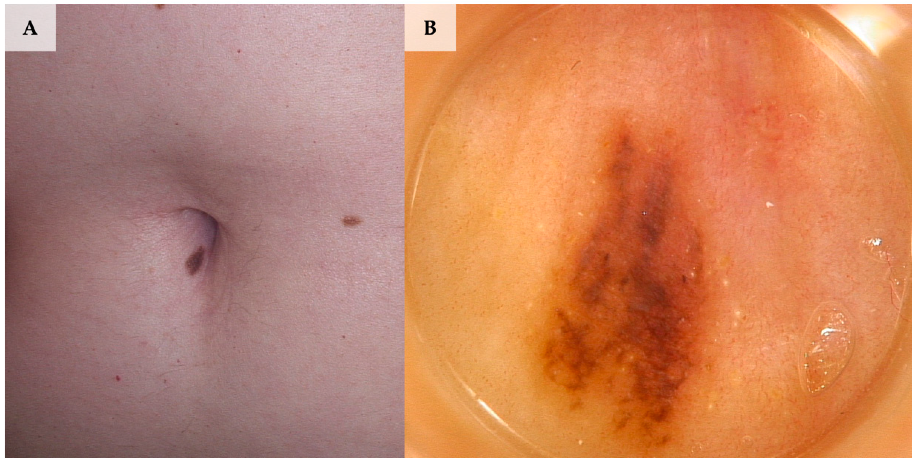
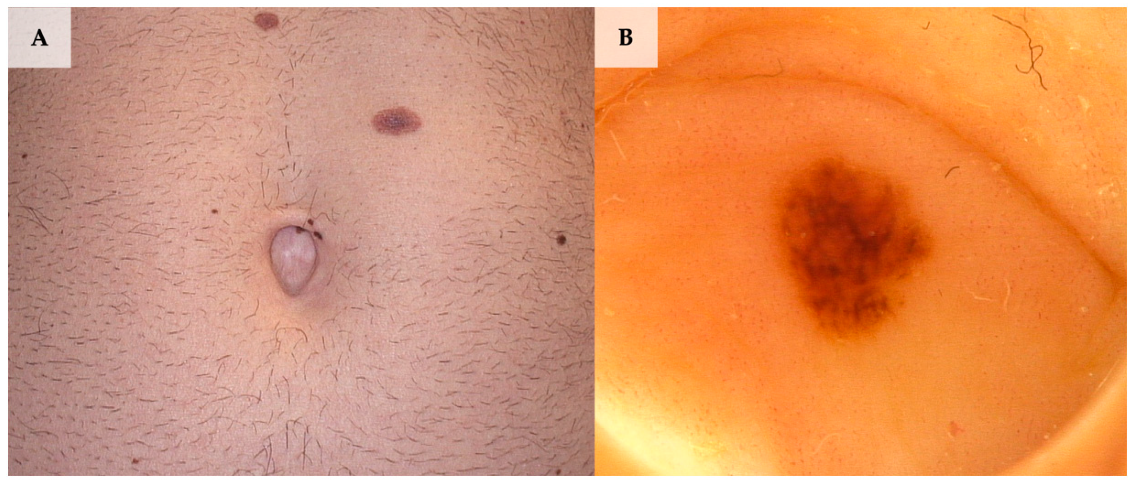
3.2.3. Sister Mary Joseph Nodule
3.2.4. Mycosis Fungoides
3.3. Non-Melanocytic Benign Lesions
3.3.1. Dermatofibroma
3.3.2. Endometriosis
3.3.3. Epidermal Cyst
3.3.4. Epidermal Nevus
3.3.5. Granuloma
3.3.6. Intravascular Papillary Endothelial Hyperplasia
3.3.7. Lichen Planus
3.3.8. Omphalolith
3.3.9. Seborrheic Keratosis
3.3.10. Syringoma
4. Discussion
5. Conclusions
Supplementary Materials
Author Contributions
Funding
Institutional Review Board Statement
Informed Consent Statement
Data Availability Statement
Conflicts of Interest
References
- Thomas, L.; Phan, A.; Pralong, P.; Poulalhon, N.; Debarbieux, S.; Dalle, S. Special locations dermoscopy: Facial, acral, and nail. Dermatol. Clin. 2013, 31, 615–624. [Google Scholar] [CrossRef]
- Fahmy, M. Umbilical Landmark. In Umbilicus and Umbilical Cord; Fahmy, M., Ed.; Springer International Publishing: Cham, Switzerland, 2018; pp. 109–110. [Google Scholar]
- Das, A. Umbilical Lesions: A Cluster of Known Unknowns and Unknown Unknowns. Cureus 2019, 11, e5309. [Google Scholar] [CrossRef] [PubMed]
- Barker, T.H.; Stone, J.C.; Sears, K.; Klugar, M.; Leonardi-Bee, J.; Tufanaru, C.; Aromataris, E.; Munn, Z. Revising the JBI quantitative critical appraisal tools to improve their applicability: An overview of methods and the development process. JBI Evid. Synth. 2023, 21, 478–493. [Google Scholar] [CrossRef] [PubMed]
- Howick, J.; Chalmers, I.; Glasziou, P.; Greenhalgh, T.; Heneghan, C.; Liberati, A.; Moschetti, I.; Phillips, B.; Thornton, H.; Goddard, O.; et al. The Oxford Levels of Evidence 2; Oxford Centre for Evidence-Based Medicine: Oxford, UK; Available online: https://www.cebm.ox.ac.uk/resources/levels-of-evidence/ocebm-levels-of-evidence (accessed on 10 September 2023).
- Ha, D.L.; Yang, M.Y.; Shin, J.O.; Kim, H.S.; Ko, H.C.; Kim, B.S.; Kim, M.B. Benign Umbilical Tumors Resembling Sister Mary Joseph Nodule. Clin. Med. Insights Oncol. 2021, 15, 1179554921995022. [Google Scholar] [CrossRef] [PubMed]
- Gracia-Darder, I.; Del Pozo Hernando, L.J. Sister Mary Joseph’s Nodule. J. Cutan. Med. Surg. 2022, 26, 221. [Google Scholar] [CrossRef]
- Campos-Munoz, L.; Quesada-Cortes, A.; Ruiz, E.; Casado, M.; Pizarro, A. Primary melanoma of the umbilicus appearing as omphalitis. Clin. Exp. Dermatol. 2007, 32, 322–324. [Google Scholar] [CrossRef] [PubMed]
- Drakensjo, I.T.; Hedblad, M.A.; Wahlgren, C.F. Rapidly involuting congenital melanocytic naevi in two children. Acta Derm. Venereol. 2012, 92, 605–606. [Google Scholar] [CrossRef] [PubMed]
- Bandeira, L.G.; Uchiyama, J.; Valente, N.Y.S.; Pires, M.C. Case for diagnosis. Ulcerated intradermal nevus simulating Sister Mary Joseph’s nodule. Bras. Dermatol. 2018, 93, 905–906. [Google Scholar] [CrossRef]
- Ramirez, P.; Sendagorta, E.; Feito, M.; Gonzalez-Beato, M.; Mayor, M.; Pizarro, A. Letter: Umbilical basal cell carcinoma in a 21-year-old man: Report of an exceptional case and dermatoscopic evaluation. Dermatol. Online J. 2011, 17, 16. [Google Scholar] [CrossRef]
- Takada, M.; Mori, T.; Hanami, Y.; Yamamoto, T. A case of basal cell carcinoma arising in the umbilicus. Bras. Dermatol. 2023, 98, 243–244. [Google Scholar] [CrossRef]
- Kurosaki, Y.; Itoi-Ochi, S.; Ota, A.; Miyazaki, A.; Kato, H.; Nojima, S.; Morii, E.; Yokoi, K.; Fujimoto, M.; Tanemura, A. Basal cell carcinoma of the umbilicus associated with sweat gland structures: Two case reports. Medicine 2023, 102, e33128. [Google Scholar] [CrossRef]
- Inskip, M.; Longo, C.; Haddad, A. Two adjacent individual fibroepithelioma of Pinkus of the umbilicus-one pink, one pigmented-a case report and review of the literature. Dermatol. Pract. Concept. 2016, 6, 17–20. [Google Scholar] [CrossRef]
- Buljan, M.; Arzberger, E.; Situm, M.; Franceschi, N.; Zalaudek, I. The use of dermoscopy in differentiating Sister Mary Joseph nodule and cutaneous endometriosis. Australas. J. Dermatol. 2019, 60, e233–e235. [Google Scholar] [CrossRef]
- Dong, H.; Liu, N. A Sister Mary Joseph nodule with novel dermoscopic features. Australas. J. Dermatol. 2016, 57, e143–e144. [Google Scholar] [CrossRef]
- Garrido Colmenero, C.; Blasco Morente, G.; Perez Lopez, I.; Tercedor Sanchez, J. Dermoscopic Features of Sister Mary Joseph Nodule. Actas Dermosifiliogr. 2015, 106, 511–512. [Google Scholar] [CrossRef] [PubMed]
- Ge, J.S.; Yang, J.H.; Chen, C.P.; Hsu, Y.H.; Hung, S.J. Dermoscopic characterization and image study of a Sister Mary Joseph nodule in a patient with esophageal cancer. Dermatol. Sin. 2016, 34, 192–195. [Google Scholar] [CrossRef]
- Mun, J.H.; Kim, J.M.; Ko, H.C.; Kim, B.S.; Kim, M.B. Dermoscopy of a Sister Mary Joseph nodule. J. Am. Acad. Dermatol. 2013, 68, e190–e192. [Google Scholar] [CrossRef] [PubMed]
- Belcadi, J.; Oulad Ali, S.; Elouarith, I.; Znati, K.; Ismaili, N.; Benzekri, L.; Senouci, K.; Meziane, M. Mycosis fungoides mimicking a nodule of Sister Mary Joseph. JAAD Case Rep. 2022, 25, 9–12. [Google Scholar] [CrossRef]
- Bonne, E.; Daxhelet, M.; Simon, P.; Del Marmol, V.; Suppa, M. The peculiar dermoscopic features of primary umbilical endometriosis. J. Eur. Acad. Dermatol. Venereol. 2020, 34, e589–e591. [Google Scholar] [CrossRef] [PubMed]
- Costa, I.M.; Gomes, C.M.; Morais, O.O.; Costa, M.C.; Abraham, L.S.; Argenziano, G. Cutaneous endometriosis: Dermoscopic findings related to phases of the female hormonal cycle. Int. J. Dermatol. 2014, 53, e130–e132. [Google Scholar] [CrossRef] [PubMed]
- Couto, P. The Importance of Dermoscopy in Umbilical Tumor. Int. J. Clin. Case Rep. Rev. 2020, 2, 01–02. [Google Scholar] [CrossRef]
- De Giorgi, V.; Massi, D.; Mannone, F.; Stante, M.; Carli, P. Cutaneous endometriosis: Non-invasive analysis by epiluminescence microscopy. Clin. Exp. Dermatol. 2003, 28, 315–317. [Google Scholar] [CrossRef] [PubMed]
- Jaime, T.J.; Jaime, T.J.; Ormiga, P.; Leal, F.; Nogueira, O.M.; Rodrigues, N. Umbilical endometriosis: Report of a case and its dermoscopic features. Bras. Dermatol. 2013, 88, 121–124. [Google Scholar] [CrossRef] [PubMed]
- Levakov, O.; Gajic, B.; Gajinov, Z.; Ivkov-Simic, M.; Vujanovic, L.; Golusin, Z. Primary Umbilical Endometriosis: A Case Report. Acta Dermatovenerol. Croat. 2020, 28, 242–244. [Google Scholar]
- Sandoval, M.; Meza-Romero, R.; Penailillo, A.; Villaseca, M.A.; Navarrete-Dechent, C. Dermoscopy findings of umbilical endometriosis. Australas. J. Dermatol. 2021, 62, e139–e141. [Google Scholar] [CrossRef] [PubMed]
- Vega-Castillo, J.J.; Saenz-Guirado, S.; Vega-Castillo, M.L.; Ruiz-Villaverde, R. Umbilical Endometriosis: A New Dermoscopic Pattern. Dermatol. Pract. Concept. 2022, 12, e2022023. [Google Scholar] [CrossRef] [PubMed]
- Wobser, M.; Seitz, C.; Becker, J.; Bröcker, E. Endometriose des Bauchnabels. Geburtshilfe Frauenheilkd. 2009, 69, 331–333. [Google Scholar] [CrossRef]
- Siebel, M.; Horn, G.; Noriega, L.; Di Chiacchio, N.; Michalany, A.; Bet, D. Dermoscopy of an uncommon lesion in the umbilicus. Surg. Cosmet. Dermatol. 2014, 6, 360–362. [Google Scholar]
- Ancer-Arellano, J.; Argenziano, G.; Villarreal-Martinez, A.; Cardenas-de la Garza, J.A.; Villarreal-Villarreal, C.D.; Ocampo-Candiani, J. Dermoscopic findings of umbilical granuloma. Pediatr. Dermatol. 2019, 36, 393–394. [Google Scholar] [CrossRef]
- Jassi, R.; Sanke, S.; Chander, R. Dermatoscopy of Umbilical Granuloma. Indian Dermatol. Online J. 2022, 13, 551–552. [Google Scholar] [CrossRef]
- Resuello, T.E.; Ang-Tiu, C.M. Intravascular Papillary Endothelial Hyperplasia Mimicking Sister Mary Joseph Nodule in a Patient with Ovarian Carcinoma: A Case Report. Res. Sq. 2022. [Google Scholar] [CrossRef]
- Martos-Cabrera, L.; Llado, I.; Fernandez-Rico, P.; Butron-Bris, B.; Rodriguez-Jimenez, P. Umbilical lichen planus induced by nivolumab. Anais Bras. Dermatol. 2023, 98, 712–714. [Google Scholar] [CrossRef] [PubMed]
- Kołcz, K.; Ostańska, E.; Kosior, K.; Reich, A.; Żychowska, M. Lichen planus pigmentosus inversus limited to the umbilicus—A case report with dermoscopic findings. Forum Dermatol. 2023, 9, 126–128. [Google Scholar] [CrossRef]
- Gallouj, S.; Harmouch, T.; Amarti, A.; Fatima, Z. Omphalolith: A rare entity but important to recognize. Dermatol. Online J. 2014, 20, 22641. [Google Scholar] [CrossRef] [PubMed]
- Jouini, W.; Litaiem, N.; Zaimi, Y.; Mouelhi, L.; Debbeche, R.; Zeglaoui, F. Omphalolith: An underdiagnosed entity. Clin. Case Rep. 2022, 10, e6443. [Google Scholar] [CrossRef] [PubMed]
- Hamich, S.; Benahmed, J.; Znati, K.; Senouci, K. Atypical Seborrheic Keratosis of the Umbilicus. Clin. Med. Image Libr. 2022, 8, 01–03. [Google Scholar] [CrossRef]
- Nam, K.H.; Park, S.W.; Kwak, H.B.; Jung, E.S.; Lee, S.K.; Kim, D.H.; Yun, S.K. Syringoma Localized to the Umbilicus. Ann. Dermatol. 2020, 32, 434–436. [Google Scholar] [CrossRef] [PubMed]
- Sellheyer, K.; Nelson, P.; Kutzner, H. Fibroepithelioma of Pinkus is a true basal cell carcinoma developing in association with a newly identified tumour-specific type of epidermal hyperplasia. Br. J. Dermatol. 2012, 166, 88–97. [Google Scholar] [CrossRef] [PubMed]
- Sławińska, M.; Biernat, W.; Nowicki, R.; Sobjanek, M. Rak podstawnokomórkowy powstały na podłożu olbrzymiego włókniaka twardego. Dermatol. Rev. Przegląd Dermatol. 2018, 105, 451–455. [Google Scholar] [CrossRef]
- Zaballos, P.; Puig, S.; Llambrich, A.; Malvehy, J. Dermoscopy of dermatofibromas: A prospective morphological study of 412 cases. Arch. Dermatol. 2008, 144, 75–83. [Google Scholar] [CrossRef]
- Ghigliotti, G.; Cinotti, E.; Parodi, A. Usefulness of dermoscopy for the diagnosis of epidermal cyst: The ‘pore’ sign. Clin. Exp. Dermatol. 2014, 39, 649–650. [Google Scholar] [CrossRef] [PubMed]
- Kalantri, M.; Khopkar, U. Dermoscopy of Syingoma. Indian Dermatol. Online J. 2020, 11, 1042–1043. [Google Scholar] [CrossRef] [PubMed]
- Kittler, H.; Marghoob, A.A.; Argenziano, G.; Carrera, C.; Curiel-Lewandrowski, C.; Hofmann-Wellenhof, R.; Malvehy, J.; Menzies, S.; Puig, S.; Rabinovitz, H.; et al. Standardization of terminology in dermoscopy/dermatoscopy: Results of the third consensus conference of the International Society of Dermoscopy. J. Am. Acad. Dermatol. 2016, 74, 1093–1106. [Google Scholar] [CrossRef] [PubMed]







| Diagnosis | First Author, Journal, Year | Dermoscopic Features | Number of Cases | |
|---|---|---|---|---|
| Melanocytic lesions | ||||
| Melanoma | Campos-Muñoz et al., Clin Exp Dermatol., 2007 [8] | Homogeneous blue-grey background with a superimposed atypical pigment network at the centre. | 1 | |
| Brownish pigmentation with an atypical pigment network. | ||||
| Dark-brown globules at the periphery. | ||||
| Congenital melanocytic naevus | Drakensjö et al., Acta Derm Venereol., 2012 [9] | Irregular pigment distribution with confluence of black and brown dots. | 1 | |
| Intradermal nevus | Bandeira et al., An Bras Dermatol., 2018 [10] | Comma-shaped and irregular vessels on a light-pink background. Surrounding serous and hematic crust. | 1 | |
| Non-melanocytic malignant lesions | ||||
| Basal cell carcinoma | Ramirez et al., Dermatol. Online J., 2011 [11] | Semi-translucent appearance. | 1 | |
| Small superficial ulceration. | ||||
| Polymorphous in focus vessels: hairpin vessels and prominent arborizing vessels. | ||||
| Fine elongated telangiectasias. | ||||
| Takada et al., An Bras Dermatol., 2021 [12] | Large blue-grey ovoid nests. | 1 | ||
| Kurosaki et al., Medicine, 2023 [13] | Case 1. | Blue-grey globules. | 2 | |
| Large blue-grey ovoid nests. | ||||
| Case 2. | Large blue-grey ovoid nests. | |||
| Arborizing vessels. | ||||
| Fibroepithelioma of Pinkus | Inskip et al., Dermatol Pract Concept., 2016 [14] | Lesion 1. (nonpigmented) | Multiple small erosions | 1 |
| Fine polymorphic peripheral vessels on a pink/white background. | ||||
| Lesion 2. (pigmented) | Small grey ovoid structures. | |||
| Fine brown dots. | ||||
| Arborizing vessels. | ||||
| Single erosion. | ||||
| Sister Mary Joseph nodule | Buljan et al., Australas J Dermatol., 2019 [15] | Diffuse glomerular and dotted vessels. | 1 | |
| Milky-red structureless areas. | ||||
| White lines (as a result of the papillomatous surface of the lesion). | ||||
| Dong et al., Australas J Dermatol., 2016 [16] | Aggregated frogspawn appearance with grey, yellow-grey, and pink-grey colouration, sometimes with a vessel in each ‘egg’ in the centre; polymorphous vessels inside ‘eggs’ (irregular linear, arborizing, glomerular vessels). | 1 | ||
| Peripherally structureless pink area. | ||||
| Garrido Colmenero et al., Actas Dermosifiliogr., 2015 [17] | White shiny structures. | 1 | ||
| Milky-red areas. | ||||
| Atypical polymorphous vessels (serpentine, curved vessels). | ||||
| Ge et al., Dermatol Sin., 2016 [18] | Polymorphous vessels (serpentine, dotted, comma-shaped vessels). | 1 | ||
| White veil. | ||||
| Gracia-Darder et al., J Cutan Med Surg., 2022 [7] | Milky-red structureless areas. | 1 | ||
| Yellow crust. | ||||
| White lines. | ||||
| Atypical polymorphic vascular pattern. | ||||
| Ha et al., Clin Med Insights Oncol., 2021 [6] | Polymorphous vessels. White, milky-red structureless area. | 1 | ||
| Mun et al., J Am Acad Dermatol., 2013 [19] | Polymorphous vessels (linear serpentine and linear curved vessels). | 1 | ||
| White and milky-red structureless area. | ||||
| Mycosis fungoides | Belcadi et al., JAAD Case Rep., 2022 [20] | Comedo-like openings. Black structureless area. | 1 | |
| Non-melanocytic benign lesions | ||||
| Dermatofibroma | Ha et al., Clin Med Insights Oncol., 2021 [6] | Pigment network. White structureless area. | 1 | |
| Bonné et al., J Eur Acad Dermatol Venereol., 2020 [21] | Three polypoid nodules; drainage hole on the top of each nodule; one drainage hole filled with amorphous red material; purplish-blue homogenous and poorly delimited area around the drainage holes. | 1 | ||
| Flesh-coloured, light- to dark-brown structureless areas. | ||||
| Buljan et al., Australas J Dermatol., 2018 [15] | Diffuse and homogeneously distributed dotted vessels. | 1 | ||
| Milky-red structureless area with a brownish hue. | ||||
| Costa et al., Int J Dermatol., 2014 [22] | Follicular phase | Polypoid projections of erythematous violaceous colour; active bleeding. Areas with dark-brown spots. | 1 | |
| Luteal phase | Volume increase in the polypoid projections; increase in the number and size of the dark-brown spots; areas with dark material. | |||
| Amaral Couto et al., Int J Clin Case Rep Rev., 2020 [23] | Polypoid projections in white colour. | 1 | ||
| Greyish area around polyploid projections. | ||||
| Central black dots. | ||||
| Peripheral mild erythema. | ||||
| De Giorgi et al., Clin Exp Dermatol., 2003 [24] | Greyish area around polyploid projections. | 1 | ||
| Jaime et al., An Bras Dermatol., 2013 [25] | Central black dots. | 1 | ||
| Peripheral mild erythema. | ||||
| Regular pigmented skin network in the centre. | ||||
| Levakov et al., Acta Dermatovenerol Croat., 2020 [26] | Small red globular structures (“red atolls”) within regularly distributed homogeneous reddish pigmentation fading at the periphery. | 1 | ||
| Sandoval et al., Australas J Dermatol., 2021 [27] | Pink homogeneous lesion with a focal bluish blotch/clod. | 1 | ||
| Vega-Castillo et al., Dermatol Pract Concept., 2022 [28] | Central white reticular pattern on a violet background. | 1 | ||
| Wobser et al., Geburtshilfe und Frauenheilkunde, 2009 [29] | Red globules. | 1 | ||
| Telangiectasias. | ||||
| Diffuse, homogenous milky-red area. | ||||
| Epidermal cyst | Ha et al., Clin Med Insights Oncol., 2021 [6] | The ‘pore’ sign. | 1 | |
| Epidermal nevus | Ha et al., Clin Med Insights Oncol., 2021 [6] | Diffuse pigmentation. | 1 | |
| Siebel et al., Surg Cosmet Dermatol., 2014 [30] | Yellow-orange colour areas in the centre. | 1 | ||
| Peripheral verrucous lesions (on the wall of the umbilical scar). | ||||
| Fine regular pigmented network in the margins of the lesion. | ||||
| Debris. | ||||
| Granuloma | Ancer-Arellano et al., Pediatr Dermatol., 2019 [31] | Linear irregular vessels. | 1 | |
| Arborizing vessels. | ||||
| Structureless areas over a milky-red background. | ||||
| Jassi et al., Indian Dermatol Online J., 2020 [32] | Fine linear vessels. | 1 | ||
| Dotted vessels. | ||||
| Tortuous vessels. | ||||
| Milky-white background. | ||||
| Intravascular Papillary Endothelial Hyperplasia | Resuello et al., Diagn Pathol., 2022 (under review) [33] | Patchy pseudo-reticular network with thick brown lines surrounding a structureless area. | 1 | |
| Milky-red structureless area. | ||||
| White veil. | ||||
| Multiple shiny white lines and strands. | ||||
| Lichen planus | Martos-Cabrera et al., An Bras Dermatol., 2023 [34] | White streaks on a violaceus background. | 1 | |
| Kołcz et al., Forum Dermatologicum, 2023 [35] | Irregular pinkish structureless areas intermingled with whitish lines. | 1 | ||
| Grey dots. | ||||
| Grey-black structureless area. | ||||
| Peripheral white lines resembling Wickham striae. | ||||
| Omphalolith | Gallouj et al., Dermatol Online J., 2014 [36] | Dry, crusted appearance. | 1 | |
| Black-brown structureless areas. | ||||
| Jouini et al., Clin Case Rep., 2022 [37] | Dry, crusted pigmented lamellar keratotic material. | 1 | ||
| Seborrheic Keratosis | Hamich et al., Clin Med Img Lib., 2022 [38] | Exophytic keratotic projection pattern. | 1 | |
| Dotted vessels. | ||||
| Brown and yellowish structureless areas. | ||||
| Aggregated blue-grey globular-like structures. | ||||
| Syringoma | Nam et al., Ann Dermatol., 2020 [39] | Multiple pink to whitish areas surrounded by a finely pigmented network. | 1 | |
Disclaimer/Publisher’s Note: The statements, opinions and data contained in all publications are solely those of the individual author(s) and contributor(s) and not of MDPI and/or the editor(s). MDPI and/or the editor(s) disclaim responsibility for any injury to people or property resulting from any ideas, methods, instructions or products referred to in the content. |
© 2024 by the authors. Licensee MDPI, Basel, Switzerland. This article is an open access article distributed under the terms and conditions of the Creative Commons Attribution (CC BY) license (https://creativecommons.org/licenses/by/4.0/).
Share and Cite
Żółkiewicz, J.; Sławińska, M.; Maińska, U.; Nowicki, R.J.; Sobjanek, M.; Thomas, L. Dermoscopy of Umbilical Lesions—A Systematic Review. J. Clin. Med. 2024, 13, 1790. https://doi.org/10.3390/jcm13061790
Żółkiewicz J, Sławińska M, Maińska U, Nowicki RJ, Sobjanek M, Thomas L. Dermoscopy of Umbilical Lesions—A Systematic Review. Journal of Clinical Medicine. 2024; 13(6):1790. https://doi.org/10.3390/jcm13061790
Chicago/Turabian StyleŻółkiewicz, Jakub, Martyna Sławińska, Urszula Maińska, Roman J. Nowicki, Michał Sobjanek, and Luc Thomas. 2024. "Dermoscopy of Umbilical Lesions—A Systematic Review" Journal of Clinical Medicine 13, no. 6: 1790. https://doi.org/10.3390/jcm13061790
APA StyleŻółkiewicz, J., Sławińska, M., Maińska, U., Nowicki, R. J., Sobjanek, M., & Thomas, L. (2024). Dermoscopy of Umbilical Lesions—A Systematic Review. Journal of Clinical Medicine, 13(6), 1790. https://doi.org/10.3390/jcm13061790

