Prevention of Cerebrospinal Fluid Leakage in the Anterior Transpetrosal Approach †
Abstract
1. Introduction
2. Methods
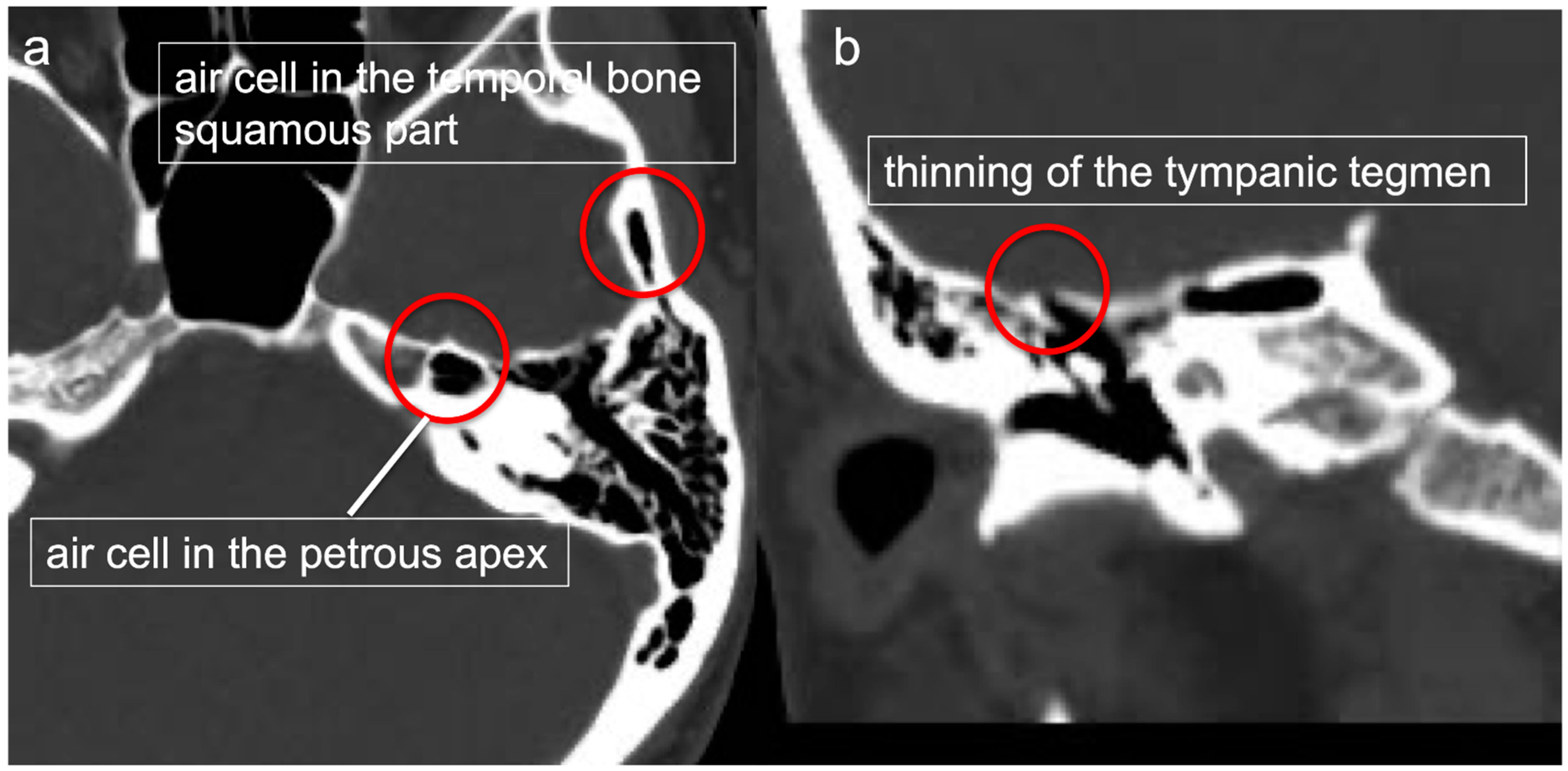
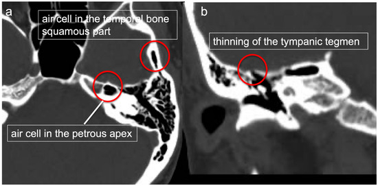
2.1. Preoperative Thin Slice CT (Figure 1)

2.2. Preoperative 3D Simulation and Volumetric Analysis of Temporal Bone Air Cells (Figure 2)

2.3. Intraoperative Precautions (Figure 3)

2.4. Dural Closure (Figure 4)

2.5. Classification of Dural Closure Patterns Based on Variations of the ATPA
2.6. Closure of an Opened Air Cell Cavity (Figure 5)


2.7. Postoperative Spinal Drain (SD)
2.8. Statistics Analysis
3. Results
Volumetric Analysis of Temporal Bone Air Cells

4. Discussion
4.1. CSF Leakage in Skull Base Surgery
4.2. CSF Leakage in ATPA
4.3. 3D Simulation to Prevent CSF Leakage When Using the ATPA
4.4. Volumetric Analysis of Temporal Bone Air Cells
4.5. Dural Closure in ATPA
4.6. Fat Packing in Air Cells in ATPA
4.7. Spinal Drain (SD)
4.8. Patterns of Dural Closure Classified Based on the Variation of ATPA
4.9. Limitations
5. Conclusions
Supplementary Materials
Author Contributions
Funding
Institutional Review Board Statement
Informed Consent Statement
Data Availability Statement
Conflicts of Interest
Abbreviations
References
- Kawase, T.; Shiobara, R.; Toya, S. Anterior transpetrosal-transtentorial approach for sphenopetroclival meningiomas: Surgical method and results in 10 patients. Neurosurgery 1991, 28, 869–875; discussion 875–866. [Google Scholar] [CrossRef]
- Kawase, T.; Toya, S.; Shiobara, R.; Mine, T. Transpetrosal approach for aneurysms of the lower basilar artery. J. Neurosurg. 1985, 63, 857–861. [Google Scholar] [CrossRef]
- Shibao, S.; Toda, M.; Orii, M.; Fujiwara, H.; Yoshida, K. Various patterns of the middle cerebral vein and preservation of venous drainage during the anterior transpetrosal approach. J. Neurosurg. 2016, 124, 432–439. [Google Scholar] [CrossRef]
- Tomio, R.; Horiguchi, T.; Borghei-Razavi, H.; Tamura, R.; Yoshida, K.; Kawase, T. Anterior transpetrosal approach: Experiences in 274 cases over 33 years. Technical variations, operated patients, and approach-related complications. J. Neurosurg. 2021, 136, 413–421. [Google Scholar] [CrossRef]
- Tamura, R.; Tomio, R.; Mohammad, F.; Toda, M.; Yoshida, K. Analysis of various tracts of mastoid air cells related to CSF leak after the anterior transpetrosal approach. J. Neurosurg. 2018, 130, 360–367. [Google Scholar] [CrossRef] [PubMed]
- Adachi, K.; Hasegawa, M.; Hirose, Y. Cerebrospinal fluid leakage prevention using the anterior transpetrosal approach with versus without postoperative spinal drainage: An institutional cohort study. Neurosurg. Rev. 2023, 46, 137. [Google Scholar] [CrossRef] [PubMed]
- Fishman, A.J.; Marrinan, M.S.; Golfinos, J.G.; Cohen, N.L.; Roland, J.T., Jr. Prevention and management of cerebrospinal fluid leak following vestibular schwannoma surgery. Laryngoscope 2004, 114, 501–505. [Google Scholar] [CrossRef] [PubMed]
- Nanda, A.; Javalkar, V.; Banerjee, A.D. Petroclival meningiomas: Study on outcomes, complications and recurrence rates. J. Neurosurg. 2011, 114, 1268–1277. [Google Scholar] [CrossRef] [PubMed]
- Nutik, S.L.; Korol, H.W. Cerebrospinal fluid leak after acoustic neuroma surgery. Surg. Neurol. 1995, 43, 553–556, discussion 556–557. [Google Scholar] [CrossRef] [PubMed]
- Stevens, S.M.; Rizk, H.G.; McIlwain, W.R.; Lambert, P.R.; Meyer, T.A. Association between Lateral Skull Base Thickness and Surgical Outcomes in Spontaneous CSF Otorrhea. Otolaryngol. Head Neck Surg. 2016, 154, 707–714. [Google Scholar] [CrossRef] [PubMed]
- Yamakami, I.; Uchino, Y.; Kobayashi, E.; Yamaura, A. Computed tomography evaluation of air cells in the petrous bone--relationship with postoperative cerebrospinal fluid rhinorrhea. Neurol. Med. Chir. 2003, 43, 334–338, discussion 339. [Google Scholar] [CrossRef] [PubMed]
- Perry, A.; Kerezoudis, P.; Graffeo, C.S.; Carlstrom, L.P.; Peris-Celda, M.; Meyer, F.B.; Bydon, M.; Link, M.J. Little Insights from Big Data: Cerebrospinal Fluid Leak After Skull Base Surgery and the Limitations of Database Research. World Neurosurg. 2019, 127, e561–e569. [Google Scholar] [CrossRef] [PubMed]
- Fukaya, R.; Yoshida, K.; Ohira, T.; Kawase, T. Trigeminal schwannomas: Experience with 57 cases and a review of the literature. Neurosurg. Rev. 2010, 34, 159–171. [Google Scholar] [CrossRef]
- Van Gompel, J.J.; Alikhani, P.; Youssef, A.S.; Loveren, H.R.; Boyev, K.P.; Agazzi, S. Anterior Petrosectomy: Consecutive Series of 46 Patients with Attention to Approach-Related Complications. J. Neurol. Surg. B Skull Base 2015, 76, 379–384. [Google Scholar] [CrossRef]
- Volovici, V.; Dammers, R.; Dirven, C.M.F.; Delwel, E.J. Conquering the Rock-A Retrospective Single-Center Experience of the Transapical Petrosal Transtentorial (Kawase) Approach: Operative Technique and Impact on Cranial Nerve Function. J. Neurol. Surg. B Skull Base 2020, 81, 526–535. [Google Scholar] [CrossRef]
- Giammattei, L.; Passeri, T.; Abbritti, R.; Lieber, S.; Matano, F.; Le Van, T.; Okano, A.; Fava, A.; di Russo, P.; Froelich, S. Surgical morbidity of the extradural anterior petrosal approach: The Lariboisiere experience. J. Neurosurg. 2023, 138, 276–286. [Google Scholar] [CrossRef]
- Nagata, Y.; Takeuchi, K.; Sasaki, H.; Mizuno, A.; Harada, H.; Tanahashi, K.; Araki, Y.; Saito, R. Modified Shoelace Dural Closure with Collagen Matrix in Extended Transsphenoidal Surgery. Neurol. Med. Chir. 2022, 62, 203–208. [Google Scholar] [CrossRef]
- Cheng, Y.; Song, Y.; Yang, W.; Wang, L.; Li, X.; Bai, J.; Xiao, X. The Evolution of Anterior Transpetrosal Approach for the Treatment of Petroclival Meningiomas: A Single-Center 128-Case Experience. World Neurosurg. 2023, 181, e35–e44. [Google Scholar] [CrossRef]
- Neves, C.A.; Tran, E.D.; Kessler, I.M.; Blevins, N.H. Fully automated preoperative segmentation of temporal bone structures from clinical CT scans. Sci. Rep. 2021, 11, 116. [Google Scholar] [CrossRef] [PubMed]
- Adisen, M.Z.; Aydogdu, M. Comparison of mastoid air cell volume in patients with or without a pneumatized articular tubercle. Imaging Sci. Dent. 2022, 52, 27–32. [Google Scholar] [CrossRef] [PubMed]
- Aladeyelu, O.S.; Olojede, S.O.; Lawal, S.K.; Matshipi, M.N.; Sibiya, A.L.; Rennie, C.O.; Mbatha, W.E. Three-dimensional volumetric analyses of temporal bone pneumatization from early childhood to early adulthood in a South African population. Folia Morphol. 2023; online ahead of print. [Google Scholar]
- Nishida, E.; Sakaida, H.; Kitano, M.; Takeuchi, K. Quantification of Mastoid Air Cells and Opacification of the Middle Ear in Primary Ciliary Dyskinesia. Otol. Neurotol. 2024, 45, e102–e106. [Google Scholar] [CrossRef]
- Oura, K.; Ikeda, N.; Yoon, Y.; Kato, T.; Morishita, J. Potential for personal identification using the volume of the mastoid air cells extracted from postmortem computed tomographic images. Leg. Med. 2022, 58, 102060. [Google Scholar] [CrossRef] [PubMed]
- Bien, A.G.; Bowdino, B.; Moore, G.; Leibrock, L. Utilization of preoperative cerebrospinal fluid drain in skull base surgery. Skull Base 2007, 17, 133–139. [Google Scholar] [CrossRef]
- Dalle Ore, C.L.; Magill, S.T.; Rodriguez Rubio, R.; Shahin, M.N.; Aghi, M.K.; Theodosopoulos, P.V.; Villanueva-Meyer, J.E.; Kersten, R.C.; Idowu, O.O.; Vagefi, M.R.; et al. Hyperostosing sphenoid wing meningiomas: Surgical outcomes and strategy for bone resection and multidisciplinary orbital reconstruction. J. Neurosurg. 2020, 134, 711–720. [Google Scholar] [CrossRef] [PubMed]
- Forbes, J.A.; Ordonez-Rubiano, E.G.; Tomasiewicz, H.C.; Banu, M.A.; Younus, I.; Dobri, G.A.; Phillips, C.D.; Kacker, A.; Cisse, B.; Anand, V.K.; et al. Endonasal endoscopic transsphenoidal resection of intrinsic third ventricular craniopharyngioma: Surgical results. J. Neurosurg. 2018; online ahead of print. [Google Scholar]
- Hussein, M.; Abdellatif, M. Continuous Lumbar Drainage for the Prevention and Management of Perioperative Cerebrospinal Fluid Leakage. Asian J. Neurosurg. 2019, 14, 473–478. [Google Scholar] [CrossRef] [PubMed]
- Tan, J.; Song, R.; Huan, R.; Huang, N.; Chen, J. Intraoperative lumbar drainage can prevent cerebrospinal fluid leakage during transsphenoidal surgery for pituitary adenomas: A systematic review and meta-analysis. BMC Neurol. 2020, 20, 303. [Google Scholar] [CrossRef]
- Zwagerman, N.T.; Wang, E.W.; Shin, S.S.; Chang, Y.F.; Fernandez-Miranda, J.C.; Snyderman, C.H.; Gardner, P.A. Does lumbar drainage reduce postoperative cerebrospinal fluid leak after endoscopic endonasal skull base surgery? A prospective, randomized controlled trial. J. Neurosurg. 2018; online ahead of print. [Google Scholar]
- Kreatsoulas, D.C.; Shah, V.S.; Otto, B.A.; Carrau, R.L.; Prevedello, D.M.; Hardesty, D.A. Surgical outcomes of the endonasal endoscopic approach within a standardized management protocol for repair of spontaneous cerebrospinal fluid rhinorrhea. J. Neurosurg. 2020, 134, 780–786. [Google Scholar] [CrossRef]
Disclaimer/Publisher’s Note: The statements, opinions and data contained in all publications are solely those of the individual author(s) and contributor(s) and not of MDPI and/or the editor(s). MDPI and/or the editor(s) disclaim responsibility for any injury to people or property resulting from any ideas, methods, instructions or products referred to in the content. |
© 2024 by the authors. Licensee MDPI, Basel, Switzerland. This article is an open access article distributed under the terms and conditions of the Creative Commons Attribution (CC BY) license (https://creativecommons.org/licenses/by/4.0/).
Share and Cite
Shibao, S.; Yoshida, K.; Sasao, R.; Nishimoto, M. Prevention of Cerebrospinal Fluid Leakage in the Anterior Transpetrosal Approach. J. Clin. Med. 2024, 13, 1718. https://doi.org/10.3390/jcm13061718
Shibao S, Yoshida K, Sasao R, Nishimoto M. Prevention of Cerebrospinal Fluid Leakage in the Anterior Transpetrosal Approach. Journal of Clinical Medicine. 2024; 13(6):1718. https://doi.org/10.3390/jcm13061718
Chicago/Turabian StyleShibao, Shunsuke, Kazunari Yoshida, Ryota Sasao, and Masaaki Nishimoto. 2024. "Prevention of Cerebrospinal Fluid Leakage in the Anterior Transpetrosal Approach" Journal of Clinical Medicine 13, no. 6: 1718. https://doi.org/10.3390/jcm13061718
APA StyleShibao, S., Yoshida, K., Sasao, R., & Nishimoto, M. (2024). Prevention of Cerebrospinal Fluid Leakage in the Anterior Transpetrosal Approach. Journal of Clinical Medicine, 13(6), 1718. https://doi.org/10.3390/jcm13061718

