Approach to Acute Myeloid Leukemia with Increased Eosinophils and Basophils
Abstract
1. Introduction
2. Physiologic Features of Eosinophils and Basophils
2.1. Physiologic Features of Eosinophils
Charcot–Leyden Crystals
2.2. Physiologic Features of Basophils
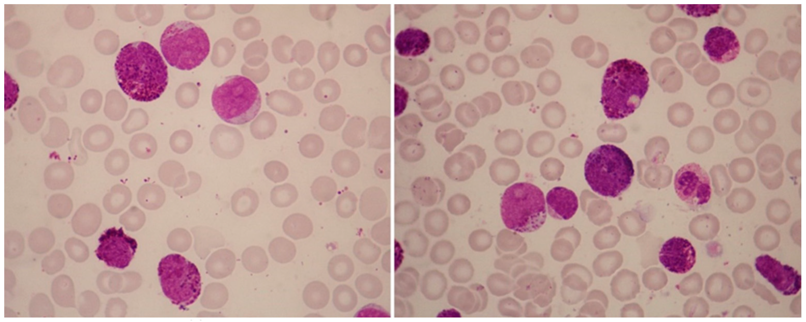
Metachromatic Granules
3. AML with Increased Eosinophils (Table 1)
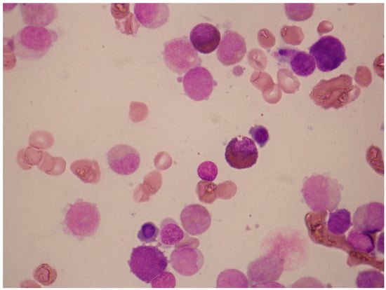
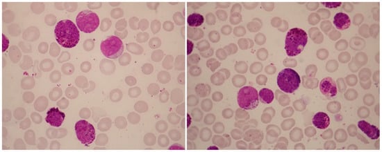
3.1. AML with inv(16) or t(16;16)
| AML Subtype | Epidemiology | Clinical Features | Diagnostic Methods | Treatment | Prognosis |
|---|---|---|---|---|---|
| AML with inv(16)(p13.1q22)/t(16;16)(p13.1;q22); CBFB-MYH11 | 5–8% of AML cases; more common in young patients | Myelomonocytic (M4) differentiation; abnormal eosinophil morphology (basophilic granules, hypolobated); peripheral eosinophilia uncommon | RT-PCR Karyotype FISH | Standard intensive regimen plus gemtuzumab ozogamicin | Favorable |
| AML with t(8;21)(q22;q22); RUNX1-RUNX1T1 | 1–5% of AML cases; more common in young patients | Myeloblastic differentiation (M2 or M1); normal eosinophil morphology; excess basophils; peripheral eosinophilia uncommon | RT-PCR Karyotype FISH | Standard intensive regimen plus gemtuzumab ozogamicin | Favorable |
| AML with t(9;12)(q34;p13); ETV6-ABL1 | Rare; most common in young men | Typically accompanied by peripheral-blood eosinophilia; abnormal eosinophil morphology (coarse eosinophilic and/or basophilic granules) | FISH RT-PCR Karyotype | Standard chemotherapy plus second-generation TKI | Poor prognosis; aggressive disease |
| AML with FIP1L1-PDGFRA | Most common in young men | Typically accompanied by peripheral-blood eosinophilia; dysplastic eosinophils; frequent mast cells and reticulin fibrosis | FISH RT-PCR | Standard chemotherapy plus imatinib | High rate of complete remission; increased risk of relapse |
| AML with PDGFRB (5q31-q33) rearrangement | Most common in men | Typically accompanied by peripheral-blood eosinophilia (but less prominent than FIP1L1-PDGFRA); dysplastic eosinophils | FISH Karyotype | Standard chemotherapy plus imatinib | High rate of complete remission; increased risk of relapse |
| AML with FGFR1 (8p11) rearrangement | Wide range of ages (3–84 years) | Frequent hepatosplenomegaly | FISH Karyotype | TKI, midostaurin, pemigatinib | Poor prognosis |
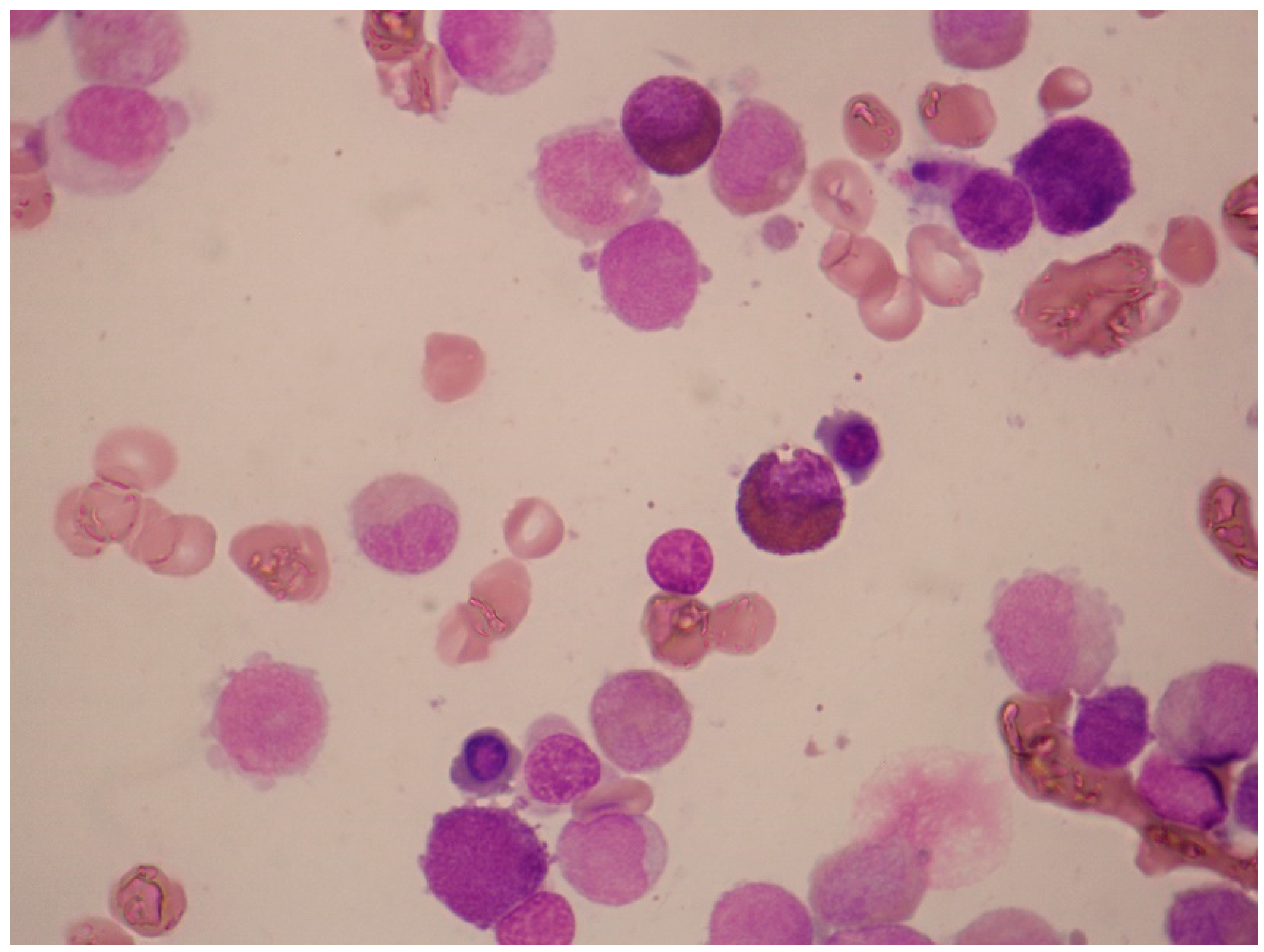
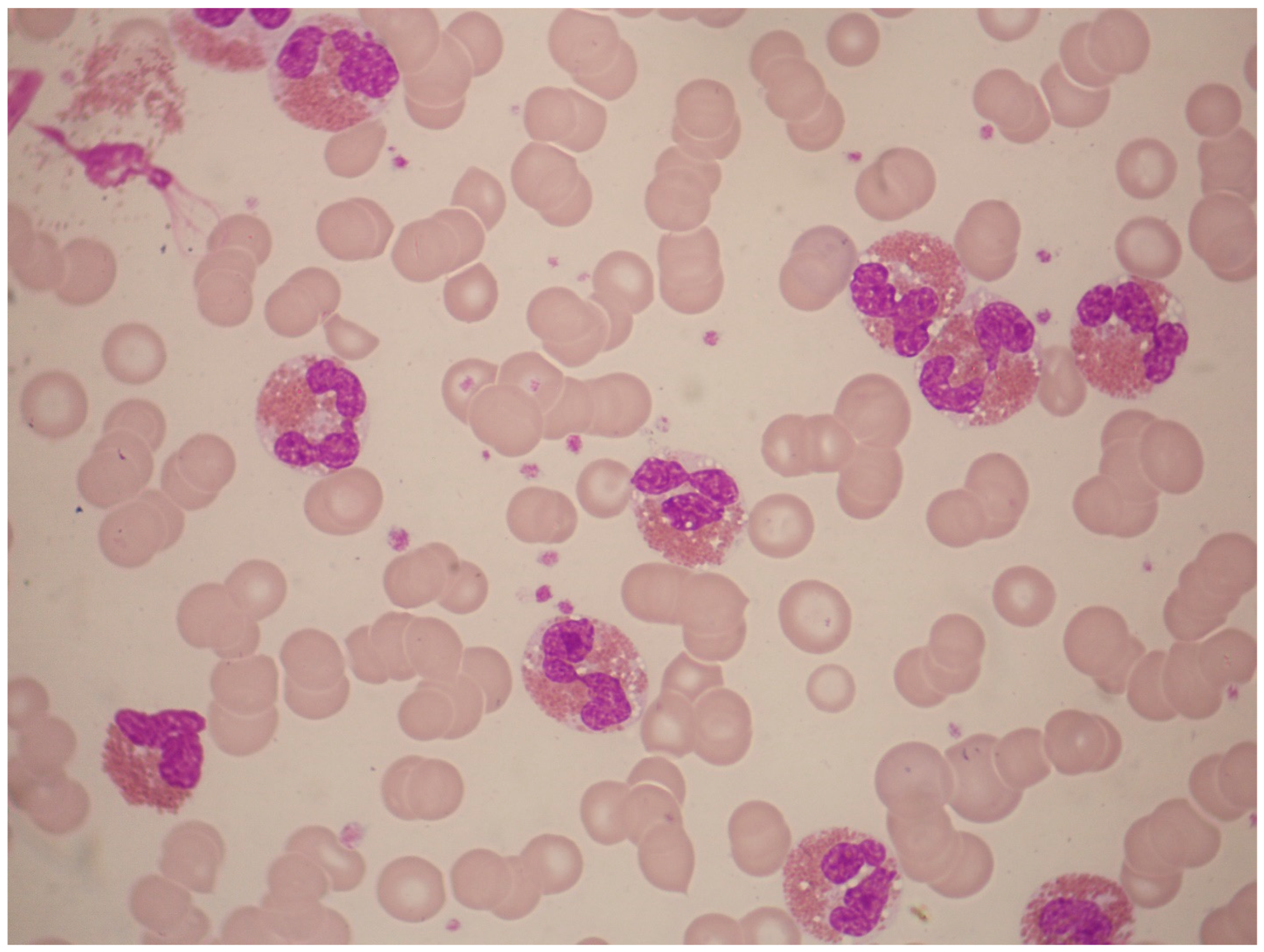
3.1.1. Morphology
3.1.2. Confirmation of Diagnosis
3.2. AML with t(8;21)
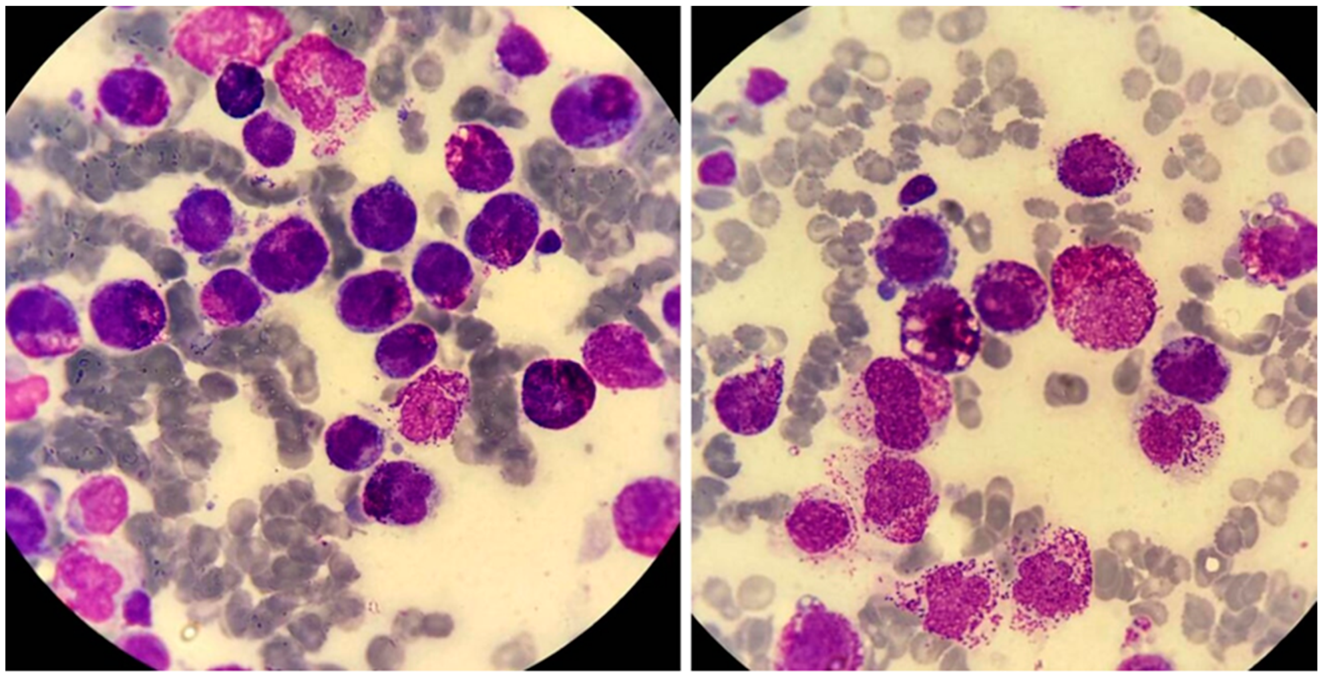
3.2.1. Morphology
3.2.2. Confirmation of Diagnosis
3.3. AML with ETV6-ABL1 (ΤΕL-ABL1)
3.3.1. Morphology
3.3.2. Confirmation of Diagnosis
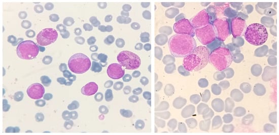
3.4. AML with PDGFRA, PDGFRΒ, and FGFR1 Rearrangements
3.4.1. AML with PDGFRA Rearrangements
- Eosinophils with a trilobed nucleus or hypersegmented eosinophils;
- Unilobed eosinophils (nuclear hyposegmentation);
- Eosinophils with reduced or sparse granulation (abnormal granulation);
- Eosinophils with smaller than normal granules (microgranulation);
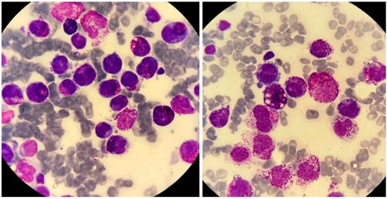
- Eosinophils with many cytoplasmic vacuoles due to degranulation (Figure 6).
3.4.2. AML with PDGFRB Rearrangements
3.4.3. AML with FGFR1 Rearrangements
3.5. Rare Translocations Involved in AML with Eosinophilia
3.6. The Authors’ Recommendation for a Practical Approach to AML with Increased Eosinophils
4. AML with Increased Basophils
4.1. Differential Diagnosis of Leukemias with Basophilic Granules (Table 2)
|
| Distinguishing features: |
|
4.1.1. Basophilic Blast Phase of CML
4.1.2. AML with t(6;9)(p23;q34.1); DEK-NUP214
4.1.3. AML with t(8;21)(q22;q22.1); RUNX1-RUNX1T1
4.1.4. Acute Mast-Cell Leukemia
4.1.5. Basophilic Variant of APL; PML-RARA
4.1.6. Acute Basophilic Leukemia
5. Conclusions
Author Contributions
Funding
Institutional Review Board Statement
Informed Consent Statement
Data Availability Statement
Conflicts of Interest
References
- Metcalf, D. Hematopoietic regulators: Redundancy or subtlety? Blood 1993, 82, 3515–3523. [Google Scholar] [CrossRef]
- Mack, E.A.; Pear, W.S. Transcription factor and cytokine regulation of eosinophil lineage commitment. Curr. Opin. Hematol. 2020, 27, 27–33. [Google Scholar] [CrossRef]
- Tenen, D.G. Disruption of differentiation in human cancer: AML shows the way. Nat. Rev. Cancer 2003, 3, 89–101. [Google Scholar] [CrossRef]
- Kato, M.; Kephart, G.M.; Talley, N.J.; Wagner, J.M.; Sarr, M.G.; Bonno, M.; McGovern, T.W.; Gleich, G.J. Eosinophil infiltration and degranulation in normal human tissue. Anat. Rec. 1998, 252, 418–425. [Google Scholar] [CrossRef]
- Hoffman, R.; Benz, E.; Silberstein, L.; Heslop, H.; Weitz, J.; Anastasi, J.; Salama, M. Hematology: Basic Principles and Practice; Elsevier: Philadelphia, PA, USA, 2018; pp. 330–331. [Google Scholar] [CrossRef]
- Hoffbrand, V.; Higgs, R.; Keeling, D.; Mehta, A. Postgraduate Haematology; John Wiley & Sons: Chichester, UK, 2016; pp. 260–262. [Google Scholar]
- Acharya, K.R.; Ackerman, S.J. Eosinophil granule proteins: Form and function. J. Biol. Chem. 2014, 289, 17406–17415. [Google Scholar] [CrossRef]
- Valent, P.; Klion, A.D.; Horny, H.P.; Roufosse, F.; Gotlib, J.; Weller, P.F.; Hellmann, A.; Metzgeroth, G.; Leiferman, K.M.; Arock, M.; et al. Contemporary consensus proposal on criteria and classification of eosinophilic disorders and related syndromes. J. Allergy Clin. Immunol. 2012, 130, 607–612. [Google Scholar] [CrossRef] [PubMed]
- Shomali, W.; Gotlib, J. World Health Organization-defined eosinophilic disorders: 2022 update on diagnosis, risk stratification, and management. Am. J. Hematol. 2022, 97, 129–148. [Google Scholar] [CrossRef] [PubMed]
- Liapis, K. Approach to eosinophilia. Haema 2019, 10, 118–128. [Google Scholar]
- Sakula, A. Charcot-Leyden crystals and Curschmann spirals in asthmatic sputum. Thorax 1986, 41, 503–507. [Google Scholar] [CrossRef]
- Valent, P.; Sotlar, K.; Blatt, K.; Hartmann, K.; Reiter, A.; Sadovnik, I.; Sperr, W.R.; Bettelheim, P.; Akin, C.; Bauer, K.; et al. Proposed diagnostic criteria and classification of basophilic leukemias and related disorders. Leukemia 2017, 31, 788–797. [Google Scholar] [CrossRef]
- Sasaki, H.; Kurotaki, D.; Tamura, T. Regulation of basophil and mast cell development by transcription factors. Allergol. Int. 2016, 65, 127–134. [Google Scholar] [CrossRef]
- Nei, Y.; Obata-Ninomiya, K.; Tsutsui, H.; Ishiwata, K.; Miyasaka, M.; Matsumoto, K.; Nakae, S.; Kanuka, H.; Inase, N.; Karasuyama, H. GATA-1 regulates the generation and function of basophils. Proc. Natl. Acad. Sci. USA 2013, 110, 18620–18625. [Google Scholar] [CrossRef]
- Sasaki, H.; Kurotaki, D.; Osato, N.; Sato, H.; Sasaki, I.; Koizumi, S.; Wang, H.; Kaneda, C.; Nishiyama, A.; Kaisho, T.; et al. Transcription factor IRF8 plays a critical role in the development of murine basophils and mast cells. Blood 2015, 125, 358–369. [Google Scholar] [CrossRef]
- Mukai, K.; BenBarak, M.J.; Tachibana, M.; Nishida, K.; Karasuyama, H.; Taniuchi, I.; Galli, S.J. Critical role of P1-Runx1 in mouse basophil development. Blood 2012, 120, 76–85. [Google Scholar] [CrossRef] [PubMed][Green Version]
- Chirumbolo, S. State-of-the-art review about basophil research in immunology and allergy: Is the time right to treat these cells with the respect they deserve? Blood Transfus. 2012, 10, 148–164. [Google Scholar] [CrossRef]
- Lichtman, M.A.; Segel, G.B. Uncommon phenotypes of acute myelogenous leukemia: Basophilic, mast cell, eosinophilic, and myeloid dendritic cell subtypes: A review. Blood Cells Mol. Dis. 2005, 35, 370–383. [Google Scholar] [CrossRef] [PubMed]
- Tallman, M.S.; Hakimian, D.; Snower, D.; Rubin, C.M.; Reisel, H.; Variakojis, D. Basophilic differentiation in acute promyelocytic leukemia. Leukemia 1993, 7, 521–526. [Google Scholar] [PubMed]
- Adya, N.; Stacy, T.; Speck, N.A.; Liu, P.P. The leukemic protein core binding factor beta (CBFbeta)-smooth-muscle myosin heavy chain sequesters CBFalpha2 into cytoskeletal filaments and aggregates. Mol. Cell Biol. 1998, 18, 7432–7443. [Google Scholar] [CrossRef]
- Kanno, Y.; Kanno, T.; Sakakura, C.; Bae, S.C.; Ito, Y. Cytoplasmic sequestration of the polyomavirus enhancer binding protein 2 (PEBP2)/core binding factor alpha (CBFalpha) subunit by the leukemia-related PEBP2/CBFbeta-SMMHC fusion protein inhibits PEBP2/CBF-mediated transactivation. Mol. Cell Biol. 1998, 18, 4252–4261. [Google Scholar] [CrossRef]
- Haferlach, T.; Winkemann, M.; Löffler, H.; Schoch, R.; Gassmann, W.; Fonatsch, C.; Schoch, C.; Poetsch, M.; Weber-Matthiesen, K.; Schlegelberger, B. The abnormal eosinophils are part of the leukemic cell population in acute myelomonocytic leukemia with abnormal eosinophils (AML M4Eo) and carry the pericentric inversion 16: A combination of May-Grünwald-Giemsa staining and fluorescence in situ hybridization. Blood 1996, 87, 2459–2463. [Google Scholar] [CrossRef]
- Xiao, W.; Yabe, M.; Offin, M.; Khattar, P.; Baik, J.; Daley, R.J.; Pappacena, J.J.; Roshal, M.; Zhang, Y.; Tallman, M.S.; et al. Evolution of a chemosensitive core-binding factor AML into an aggressive leukemia with eosinophilic differentiation. Blood Adv. 2018, 2, 1517–1521. [Google Scholar] [CrossRef] [PubMed]
- Khoury, J.D.; Solary, E.; Abla, O.; Akkari, Y.; Alaggio, R.; Apperley, J.F.; Bejar, R.; Berti, E.; Busque, L.; Chan, J.K.C.; et al. The 5th edition of the World Health Organization Classification of Haematolymphoid Tumours: Myeloid and Histiocytic/Dendritic Neoplasms. Leukemia 2022, 36, 1703–1719. [Google Scholar] [CrossRef] [PubMed]
- Ema, H.; Kitano, K.; Suda, T.; Sato, Y.; Muroi, K.; Ohta, M.; Yoshida, M.; Sakamoto, S.; Eguchi, M.; Miura, Y. In vitro differentiation of leukemic cells to eosinophils in the presence of interleukin-5 in two cases of acute myeloid leukemia with the translocation (8;21)(q22;q22). Blood 1990, 75, 350–356. [Google Scholar] [CrossRef] [PubMed]
- La Starza, R.; Trubia, M.; Testoni, N.; Ottaviani, E.; Belloni, E.; Crescenzi, B.; Martelli, M.; Flandrin, G.; Pelicci, P.G.; Mecucci, C. Clonal eosinophils are a morphologic hallmark of ETV6/ABL1 positive acute myeloid leukemia. Haematologica 2002, 87, 789–794. [Google Scholar] [PubMed]
- Zaliova, M.; Moorman, A.V.; Cazzaniga, G.; Stanulla, M.; Harvey, R.C.; Roberts, K.G.; Heatley, S.L.; Loh, M.L.; Konopleva, M.; Chen, I.M.; et al. Characterization of leukemias with ETV6-ABL1 fusion. Haematologica 2016, 101, 1082–1093. [Google Scholar] [CrossRef] [PubMed]
- Tirado, C.A.; Siangchin, K.; Shabsovich, D.S.; Sharifian, M.; Schiller, G. A novel three-way rearrangement involving ETV6 (12p13) and ABL1 (9q34) with an unknown partner on 3p25 resulting in a possible ETV6-ABL1 fusion in a patient with acute myeloid leukemia: A case report and a review of the literature. Biomark. Res. 2016, 4, 16. [Google Scholar] [CrossRef] [PubMed]
- Park, J.; Kim, M.; Lim, J.; Kim, Y.; Han, K.; Kim, J.S.; Lee, S.; Kim, H.J.; Min, W.S. Variant of ETV6/ABL1 gene is associated with leukemia phenotype. Acta Haematol. 2013, 129, 78–82. [Google Scholar] [CrossRef]
- Yao, J.; Xu, L.; Aypar, U.; Meyerson, H.J.; Londono, D.; Gao, Q.; Baik, J.; Dietz, J.; Benayed, R.; Sigler, A.; et al. Myeloid/lymphoid neoplasms with eosinophilia/ basophilia and ETV6-ABL1 fusion: Cell-of-origin and response to tyrosine kinase inhibition. Haematologica 2021, 106, 614–618. [Google Scholar] [CrossRef]
- Schwaab, J.; Naumann, N.; Luebke, J.; Jawhar, M.; Somervaille, T.C.P.; Williams, M.S.; Frewin, R.; Jost, P.J.; Lichtenegger, F.S.; La Rosée, P.; et al. Response to tyrosine kinase inhibitors in myeloid neoplasms associated with PCM1-JAK2, BCR-JAK2 and ETV6-ABL1 fusion genes. Am. J. Hematol. 2020, 95, 824–833. [Google Scholar] [CrossRef]
- Golub, T.R.; Goga, A.; Barker, G.F.; Afar, D.E.; McLaughlin, J.; Bohlander, S.K.; Rowley, J.D.; Witte, O.N.; Gilliland, D.G. Oligomerization of the ABL tyrosine kinase by the Ets protein TEL in human leukemia. Mol. Cell Biol. 1996, 16, 4107–4116. [Google Scholar] [CrossRef]
- Odero, M.D.; Carlson, K.; Calasanz, M.J.; Lahortiga, I.; Chinwalla, V.; Rowley, J.D. Identification of new translocations involving ETV6 in hematologic malignancies by fluorescence in situ hybridization and spectral karyotyping. Genes. Chromosomes Cancer 2001, 31, 134–142. [Google Scholar] [CrossRef]
- Odero, M.D.; Carlson, K.M.; Calasanz, M.J.; Rowley, J.D. Further characterization of complex chromosomal rearrangements in myeloid malignancies: Spectral karyotyping adds precision in defining abnormalities associated with poor prognosis. Leukemia 2001, 15, 1133–1136. [Google Scholar] [CrossRef] [PubMed]
- Cools, J.; DeAngelo, D.J.; Gotlib, J.; Stover, E.H.; Legare, R.D.; Cortes, J.; Kutok, J.; Clark, J.; Galinsky, I.; Griffin, J.D.; et al. A tyrosine kinase created by fusion of the PDGFRA and FIP1L1 genes as a therapeutic target of imatinib in idiopathic hypereosinophilic syndrome. N. Engl. J. Med. 2003, 348, 1201–1214. [Google Scholar] [CrossRef] [PubMed]
- Gotlib, J.; Cools, J. Five years since the discovery of FIP1L1-PDGFRA: What we have learned about the fusion and other molecularly defined eosinophilias. Leukemia 2008, 22, 1999–2010. [Google Scholar] [CrossRef]
- Buitenhuis, M.; Verhagen, L.P.; Cools, J.; Coffer, P.J. Molecular mechanisms underlying FIP1L1-PDGFRA-mediated myeloproliferation. Cancer Res. 2007, 67, 3759–3766. [Google Scholar] [CrossRef] [PubMed]
- Maccaferri, M.; Pierini, V.; Di Giacomo, D.; Zucchini, P.; Forghieri, F.; Bonacorsi, G.; Paolini, A.; Quadrelli, C.; Giacobbi, F.; Fontana, F.; et al. The importance of cytogenetic and molecular analyses in eosinophilia-associated myeloproliferative neoplasms: An unusual case with normal karyotype and TNIP1- PDGFRB rearrangement and overview of PDGFRB partner genes. Leuk. Lymphoma 2017, 58, 489–493. [Google Scholar] [CrossRef] [PubMed]
- Montano-Almendras, C.P.; Essaghir, A.; Schoemans, H.; Varis, I.; Noël, L.A.; Velghe, A.I.; Latinne, D.; Knoops, L.; Demoulin, J.B. ETV6-PDGFRB and FIP1L1-PDGFRA stimulate human hematopoietic progenitor cell proliferation and differentiation into eosinophils: The role of nuclear factor-κB. Haematologica 2012, 97, 1064–1072. [Google Scholar] [CrossRef] [PubMed]
- Goasguen, J.E.; Bennett, J.M.; Bain, B.J.; Brunning, R.; Zini, G.; Vallespi, M.T.; Tomonaga, M.; Locher, C. International Working Group on Morphology of MDS. The role of eosinophil morphology in distinguishing between reactive eosinophilia and eosinophilia as a feature of a myeloid neoplasm. Br. J. Haematol. 2020, 191, 497–504. [Google Scholar] [CrossRef] [PubMed]
- Savage, N.; George, T.I.; Gotlib, J. Myeloid neoplasms associated with eosinophilia and rearrangement of PDGFRA, PDGFRB, and FGFR1: A review. Int. J. Lab. Hematol. 2013, 35, 491–500. [Google Scholar] [CrossRef]
- Abruzzo, L.V.; Jaffe, E.S.; Cotelingam, J.D.; Whang-Peng, J.; Del Duca, V., Jr.; Medeiros, L.J. T-cell lymphoblastic lymphoma with eosinophilia associated with subsequent myeloid malignancy. Am. J. Surg. Pathol. 1992, 16, 236–245. [Google Scholar] [CrossRef]
- Bain, J.; Horny, H.P.; Arber, A.; Tefferi, A.; Hasserjian, P. Myeloid/Lymphoid Neoplasms with Eosinophilia and Rearrangement of PDGFRA, PDGFRB or FGFR1, or with PCM1-JAK2. In WHO Classification of Tumours of Haematopoietic and Lymphoid Tissues, 4th revised ed.; Swerdlow, S., Campo, E., Harris, N.L., Jaffe, E., Pileri, S., Stein, H., Thiele, J., Eds.; International Agency for Research on Cancer: Lyon, France, 2017; Volume 2, pp. 72–79. [Google Scholar]
- Jackson, C.C.; Medeiros, L.J.; Miranda, R.N. 8p11 myeloproliferative syndrome: A review. Hum. Pathol. 2010, 41, 461–476. [Google Scholar] [CrossRef]
- Baer, C.; Muehlbacher, V.; Kern, W.; Haferlach, C.; Haferlach, T. Molecular genetic characterization of myeloid/lymphoid neoplasms associated with eosinophilia and rearrangement of PDGFRA, PDGFRB, FGFR1 or PCM1-JAK2. Haematologica 2018, 103, 348–350. [Google Scholar] [CrossRef]
- Lee, H.; Kim, M.; Lim, J.; Kim, Y.; Han, K.; Cho, B.S.; Kim, H.J. Acute myeloid leukemia associated with FGFR1 abnormalities. Int. J. Hematol. 2013, 97, 808–812. [Google Scholar] [CrossRef]
- McKeague, S.J.; O’Rourke, K.; Fanning, S.; Joy, C.; Throp, D.; Adams, R.; Harvey, Y.; Keng, T.B. Acute leukemia with cytogenetically cryptic FGFR1 rearrangement and lineage switch during therapy: A case report and literature review. Am. J. Clin. Pathol. 2023, 19, 135. [Google Scholar] [CrossRef] [PubMed]
- Liapis, K.; Kousiafes, D.; Papanikolaou, A.; Pagratis, P.; Kokkini, G. The 8p11 myeloid and lymphoid neoplasm. Eur. J. Haematol. 2011, 87, 471–472. [Google Scholar] [CrossRef] [PubMed]
- Metzgeroth, G.; Walz, C.; Score, J.; Siebert, R.; Schnittger, S.; Haferlach, C.; Popp, H.; Haferlach, T.; Erben, P.; Mix, J.; et al. Recurrent finding of the FIP1L1-PDGFRA fusion gene in eosinophilia-associated acute myeloid leukemia and lymphoblastic T-cell lymphoma. Leukemia 2007, 21, 1183–1188. [Google Scholar] [CrossRef] [PubMed]
- Sorour, Y.; Dalley, C.D.; Snowden, J.A.; Cross, N.C.; Reilly, J.T. Acute myeloid leukaemia with associated eosinophilia: Justification for FIP1L1-PDGFRA screening in cases lacking the CBFB-MYH11 fusion gene. Br. J. Haematol. 2009, 146, 225–227. [Google Scholar] [CrossRef] [PubMed]
- Lierman, E.; Michaux, L.; Beullens, E.; Pierre, P.; Marynen, P.; Cools, J.; Vandenberghe, P. FIP1L1-PDGFRalpha D842V, a novel panresistant mutant, emerging after treatment of FIP1L1-PDGFRalpha T674I eosinophilic leukemia with single agent sorafenib. Leukemia 2009, 23, 845–851. [Google Scholar] [CrossRef] [PubMed]
- Jawhar, M.; Naumann, N.; Schwaab, J.; Baurmann, H.; Casper, J.; Dang, T.A.; Dietze, L.; Döhner, K.; Hänel, A.; Lathan, B.; et al. Imatinib in myeloid/lymphoid neoplasms with eosinophilia and rearrangement of PDGFRB in chronic or blast phase. Ann. Hematol. 2017, 96, 1463–1470. [Google Scholar] [CrossRef] [PubMed]
- Arber, D.A.; Orazi, A.; Hasserjian, R.P.; Borowitz, M.J.; Calvo, K.R.; Kvasnicka, H.M.; Wang, S.A.; Bagg, A.; Barbui, T.; Branford, S.; et al. International Consensus Classification of Myeloid Neoplasms and Acute Leukemias: Integrating morphologic, clinical, and genomic data. Blood 2022, 140, 1200–1228. [Google Scholar] [CrossRef] [PubMed]
- Metzgeroth, G.; Schwaab, J.; Naumann, N.; Jawhar, M.; Haferlach, T.; Fabarius, A.; Hochhaus, A.; Hofmann, W.K.; Cross, N.C.P.; Reiter, A. Treatment-free remission in FIP1L1-PDGFRA-positive myeloid/lymphoid neoplasms with eosinophilia after imatinib discontinuation. Blood Adv. 2020, 4, 440–443. [Google Scholar] [CrossRef] [PubMed]
- Valent, P.; Horny, H.P.; Arock, M. The underestimated role of basophils in Ph+ chronic myeloid leukaemia. Eur. J. Clin. Investig. 2018, 48, e13000. [Google Scholar] [CrossRef] [PubMed]
- Samorapoompichit, P.; Kiener, H.P.; Schernthaner, G.H.; Jordan, J.H.; Agis, H.; Wimazal, F.; Baghestanian, M.; Rezaie-Majd, A.; Sperr, W.R.; Lechner, K.; et al. Detection of tryptase in cytoplasmic granules of basophils in patients with chronic myeloid leukemia and other myeloid neoplasms. Blood 2001, 98, 2580–2583. [Google Scholar] [CrossRef] [PubMed]
- Nakayama, H.; Ishimaru, F.; Avitahl, N.; Sezaki, N.; Fujii, N.; Nakase, K.; Ninomiya, Y.; Harashima, A.; Minowada, J.; Tsuchiyama, J.; et al. Decreases in Ikaros activity correlate with blast crisis in patients with chronic myelogenous leukemia. Cancer Res. 1999, 59, 3931–3934. [Google Scholar] [PubMed]
- Mullighan, C.G.; Miller, C.B.; Radtke, I.; Phillips, L.A.; Dalton, J.; Ma, J.; White, D.; Hughes, T.P.; Le Beau, M.M.; Pui, C.H.; et al. BCR-ABL1 lymphoblastic leukaemia is characterized by the deletion of Ikaros. Nature 2008, 453, 110–114. [Google Scholar] [CrossRef]
- Beer, P.A.; Knapp, D.J.; Miller, P.H.; Kannan, N.; Sloma, I.; Heel, K.; Babovic, S.; Bulaeva, E.; Rabu, G.; Terry, J.; et al. Disruption of IKAROS activity in primitive chronic-phase CML cells mimics myeloid disease progression. Blood. 2015, 125, 504–515. [Google Scholar] [CrossRef][Green Version]
- Arber, A.; Brunning, D.; Orazi, A.; Porwit, A.; Peterson, C.; Thiele, J.; Le Beau, M.; Hasserjian, P. Acute myeloid leukaemia, NOS. In WHO Classification of Tumours of Haematopoietic and Lymphoid Tissues, 4th revised ed.; Swerdlow, S., Campo, E., Harris, N.L., Jaffe, E., Pileri, S., Stein, H., Thiele, J., Eds.; International Agency for Research on Cancer: Lyon, France, 2017; Volume 2, pp. 164–165. [Google Scholar]
- Drexler, H.G.; Sperling, C.; Ludwig, W.D. Terminal deoxynucleotidyl transferase (TdT) expression in acute myeloid leukemia. Leukemia 1993, 7, 1142–1150. [Google Scholar]
- Thiede, C.; Steudel, C.; Mohr, B.; Schaich, M.; Schäkel, U.; Platzbecker, U.; Wermke, M.; Bornhäuser, M.; Ritter, M.; Neubauer, A.; et al. Analysis of FLT3-activating mutations in 979 patients with acute myelogenous leukemia: Association with FAB subtypes and identification of subgroups with poor prognosis. Blood 2002, 99, 4326–4335. [Google Scholar] [CrossRef]
- Seth, T.; Vora, A.; Bhutani, M.; Ganessan, K.; Jain, P.; Kochupillai, V. Acute basophilic leukemia with t(8;21). Leuk. Lymphoma 2004, 45, 605–608. [Google Scholar] [CrossRef]
- Georgin-Lavialle, S.; Lhermitte, L.; Dubreuil, P.; Chandesris, M.O.; Hermine, O.; Damaj, G. Mast cell leukemia. Blood 2013, 121, 1285–1295. [Google Scholar] [CrossRef] [PubMed]
- McKenna, R.W.; Parkin, J.; Bloomfield, C.D.; Sundberg, R.D.; Brunning, R.D. Acute promyelocytic leukaemia: A study of 39 cases with identification of a hyperbasophilic microgranular variant. Br. J. Haematol. 1982, 50, 201–214. [Google Scholar] [CrossRef]
- Ghimire, A.; Liesveld, J.; Wallace, D.; Zhao, J.; Burack, R.; Bennett, J. Case of acute promyelocytic leukemia with basophilic differentiation and an ETV6 mutation. J. Hematop. 2021, 14, 333–336. [Google Scholar] [CrossRef]
- Joachim, G. Uber Mastzellenleukamien. Dtsch. Arch. Kiln. Med. 1906, 87, 437. [Google Scholar]
- Horny, H.P.; Sotlar, K.; Reiter, A.; Valent, P. Myelomastocytic leukemia: Histopathological features, diagnostic criteria and differential diagnosis. Expert. Rev. Hematol. 2014, 7, 431–437. [Google Scholar] [CrossRef]
- Duchayne, E.; Demur, C.; Rubie, H.; Robert, A.; Dastugue, N. Diagnosis of acute basophilic leukemia. Leuk. Lymphoma 1999, 32, 269–278. [Google Scholar] [CrossRef]
- Staal-Viliare, A.; Latger-Cannard, V.; Didion, J.; Grégoire, M.J.; Lecompte, T.; Jonveaux, P.; Rio, Y. CD203c/CD117-, an useful phenotype profile for acute basophilic leukaemia diagnosis in cases of undifferentiated blasts. Leuk. Lymphoma 2007, 48, 439–441. [Google Scholar] [CrossRef]
- Giagounidis, A.A.; Hildebrandt, B.; Heinsch, M.; Germing, U.; Aivado, M.; Aul, C. Acute basophilic leukemia. Eur. J. Haematol. 2001, 67, 72–76. [Google Scholar] [CrossRef]
- Scolyer, R.A.; Brun, M.; D’Rozario, J.; Webb, M. Acute basophilic leukemia presenting with abnormal liver function tests and the absence of blast cells in the peripheral blood. Pathology 2000, 32, 52–55. [Google Scholar] [CrossRef]
- Liso, V.; Troccoli, G.; Specchia, G. Mast cell leukemia and acute basophilic leukemia. Cytochemical studies. Bibl. Haematol. 1978, 45, 142–146. [Google Scholar] [CrossRef] [PubMed]
- Quelen, C.; Lippert, E.; Struski, S.; Demur, C.; Soler, G.; Prade, N.; Delabesse, E.; Broccardo, C.; Dastugue, N.; Mahon, F.-X.; et al. Identification of a transforming MYB-GATA1 fusion gene in acute basophilic leukemia: A new entity in male infants. Blood 2011, 117, 5719–5722. [Google Scholar] [CrossRef] [PubMed]
- Toda, Y.; Nagai, Y.; Shimomura, D.; Kishimori, C.; Tsuda, K.; Fukutsuka, K.; Hayashida, M.; Ohno, H. Acute basophilic leukemia associated with the t(16;21)(p11;q22)/FUS-ERG fusion gene. Clin. Case Rep. 2017, 5, 1938–1944. [Google Scholar] [CrossRef] [PubMed]
- Kritharis, A.; Brody, J.; Koduru, P.; Teichberg, S.; Allen, S.L. Acute basophilic leukemia associated with loss of gene ETV6 and protean complications. J. Clin. Oncol. 2011, 29, 623–626. [Google Scholar] [CrossRef] [PubMed]
- Shimizu, T.; Kondo, T.; Nannya, Y.; Watanabe, M.; Kitawaki, T.; Shindo, T.; Hishizawa, M.; Yamashita, K.; Ogawa, S.; Takaori-Kondo, A. Next-generation sequencing in two cases of de novo acute basophilic leukaemia. J. Cell Mol. Med. 2021, 25, 7095–7099. [Google Scholar] [CrossRef]
- Greene, L.W.; Asadipooya, K.; Corradi, P.F.; Akin, C. Endocrine manifestations of systemic mastocytosis in bone. Rev. Endocr. Metab. Disord. 2016, 17, 419–431. [Google Scholar] [CrossRef] [PubMed]
- Shah, I.; Lewkow, L.M.; Koppitch, F. Acute basophilic leukemia. Am. J. Med. 1984, 76, 1097–1099. [Google Scholar] [CrossRef]
- Bernini, J.C.; Timmons, C.F.; Sandler, E.S. Acute basophilic leukemia in a child. Anaphylactoid reaction and coagulopathy secondary to vincristine-mediated degranulation. Cancer 1995, 75, 110–114. [Google Scholar] [CrossRef]
- Anderson, W.; Helman, C.A.; Hirschowitz, B.I. Basophilic leukemia and the hypersecretion of gastric acid and pepsin. Gastroenterology 1988, 95, 195–198. [Google Scholar] [CrossRef]
- Luo, X.H.; Zhu, Y.; Tang, X.Q. Acute basophilic leukemia presenting with maculopapular rashes and a gastric ulcer: A case report. Oncol. Lett. 2014, 8, 2513–2516. [Google Scholar] [CrossRef]









| Acute Basophilic Leukemia | Acute Mast-Cell Leukemia | |
|---|---|---|
| Clinical features | ||
| Hyperhistaminemia | Common | Common |
| Skin involvement | Common | Uncommon |
| Hepatosplenomegaly | Common | Common |
| Lymphadenopathy | Uncommon | Common |
| Special stains | ||
| Toluidine Blue | Positive | Positive |
| Periodic-acid Schiff (P.A.S) | Positive | Negative or weak |
| Chloracetate esterase (ChorE) | Negative | Positive |
| Tryptase | Negative or weak | Positive |
| Myeloperoxidase (MPO) | Negative | Negative |
| Immunophenotypic studies | ||
| CD34 | Negative or weakly positive | Negative or weakly positive |
| CD45weak/CD13/CD33 expression | Positive | Positive |
| CD14/CD15/CD64 expression | Negative | Negative |
| CD11b | Positive | Negative |
| CD17 | Positive | Negative |
| CD123 | Positive | Negative |
| CD203c | Positive | Negative or weakly positive |
| CD2 | Negative | Positive or negative |
| CD25 | Positive | Positive or negative |
| CD117 | Negative | Strongly positive |
| Cytogenetic and molecular studies | ||
| t(X;6)(p11;q23) | C-KIT mutations (e.g., C-KIT D816V) | |
| t(16;21)(p11;q22) | ||
| del(12p) | TET2 mutations | |
| TP53, TET2 and NPM1 mutations | SRSF2, ASXL1, RUNX1 (“S/A/R”) mutations |
Disclaimer/Publisher’s Note: The statements, opinions and data contained in all publications are solely those of the individual author(s) and contributor(s) and not of MDPI and/or the editor(s). MDPI and/or the editor(s) disclaim responsibility for any injury to people or property resulting from any ideas, methods, instructions or products referred to in the content. |
© 2024 by the authors. Licensee MDPI, Basel, Switzerland. This article is an open access article distributed under the terms and conditions of the Creative Commons Attribution (CC BY) license (https://creativecommons.org/licenses/by/4.0/).
Share and Cite
Papadakis, S.; Liapis, I.; Papadhimitriou, S.I.; Spanoudakis, E.; Kotsianidis, I.; Liapis, K. Approach to Acute Myeloid Leukemia with Increased Eosinophils and Basophils. J. Clin. Med. 2024, 13, 876. https://doi.org/10.3390/jcm13030876
Papadakis S, Liapis I, Papadhimitriou SI, Spanoudakis E, Kotsianidis I, Liapis K. Approach to Acute Myeloid Leukemia with Increased Eosinophils and Basophils. Journal of Clinical Medicine. 2024; 13(3):876. https://doi.org/10.3390/jcm13030876
Chicago/Turabian StylePapadakis, Stavros, Ioannis Liapis, Stefanos I. Papadhimitriou, Emmanouil Spanoudakis, Ioannis Kotsianidis, and Konstantinos Liapis. 2024. "Approach to Acute Myeloid Leukemia with Increased Eosinophils and Basophils" Journal of Clinical Medicine 13, no. 3: 876. https://doi.org/10.3390/jcm13030876
APA StylePapadakis, S., Liapis, I., Papadhimitriou, S. I., Spanoudakis, E., Kotsianidis, I., & Liapis, K. (2024). Approach to Acute Myeloid Leukemia with Increased Eosinophils and Basophils. Journal of Clinical Medicine, 13(3), 876. https://doi.org/10.3390/jcm13030876

