Highlights of Transesophageal Echocardiography During Interventions for Adult Congenital Heart Disease
Abstract
1. Introduction
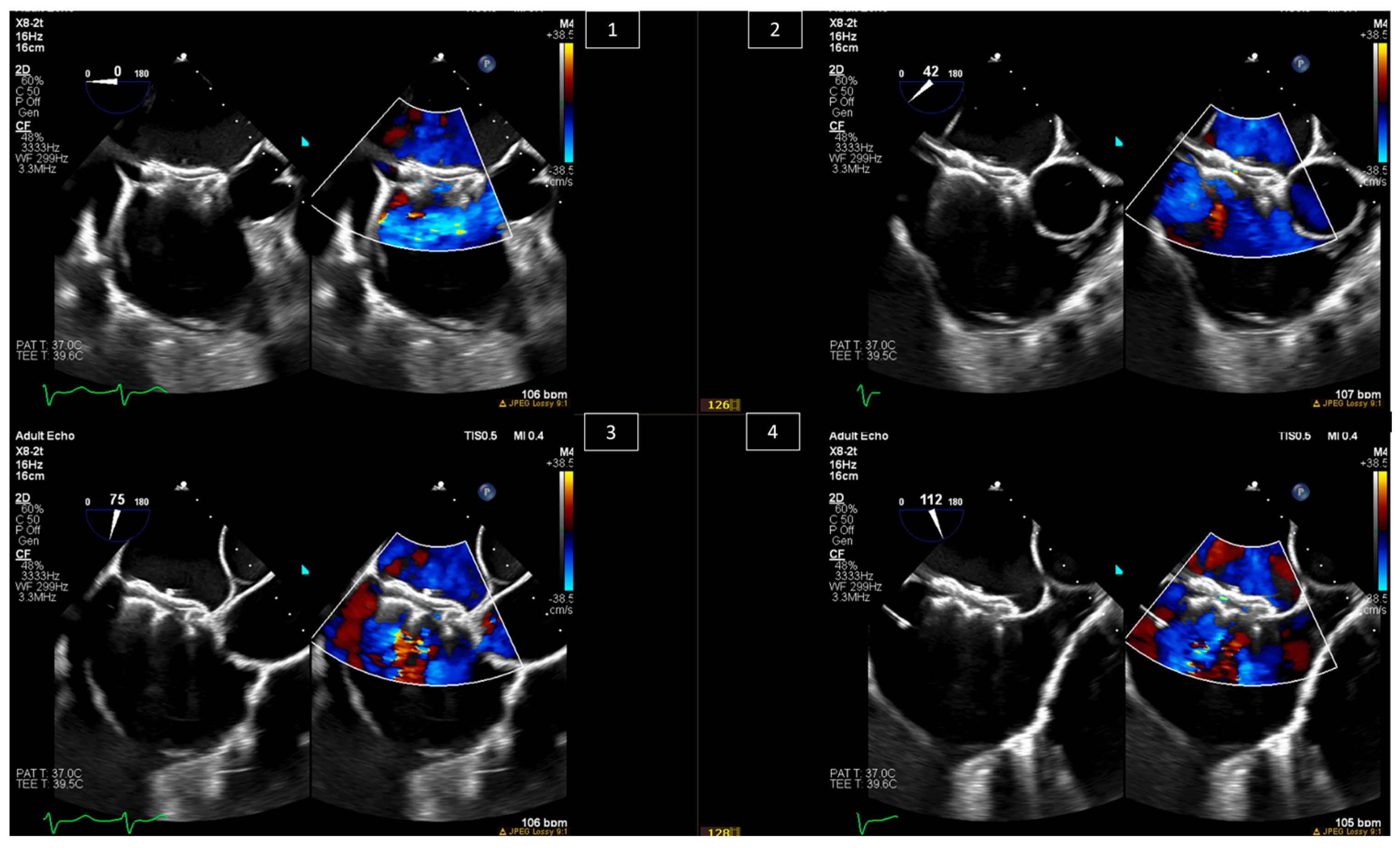
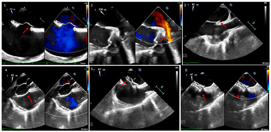
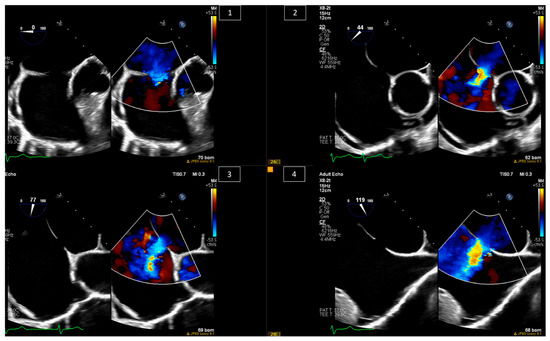
2. Atrial Septal Defect (ASD) and Patent Foramen Ovale (PFO) Closure
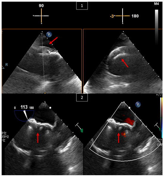
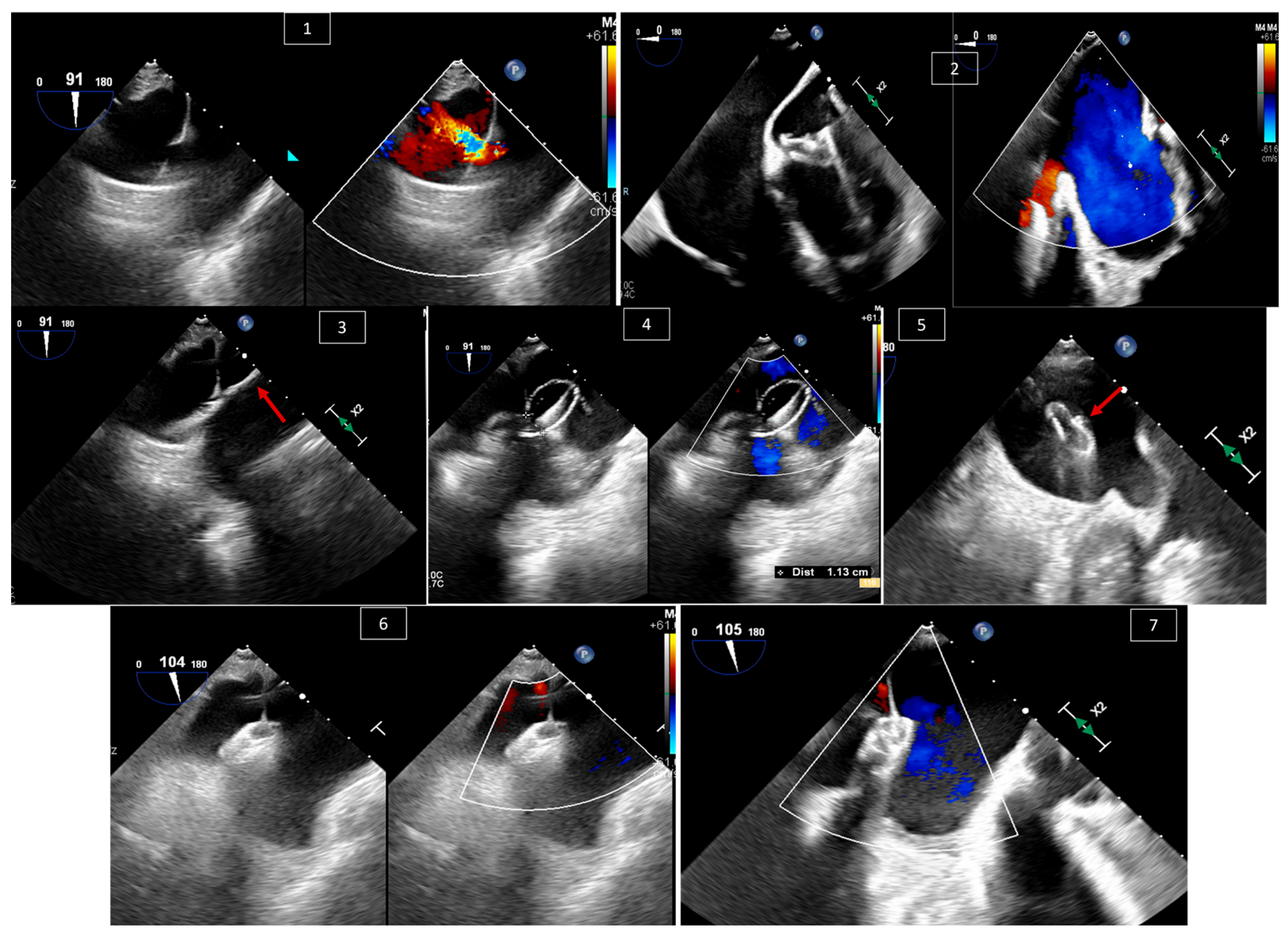
3. Ventricular Septal Defect (VSD) Closure
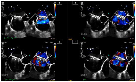
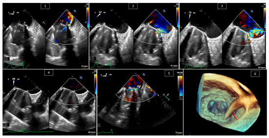
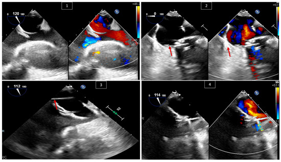
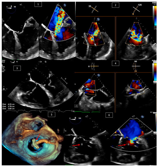
4. Transcatheter Edge-to-Edge Repair (TEER) of Systemic AV Valve
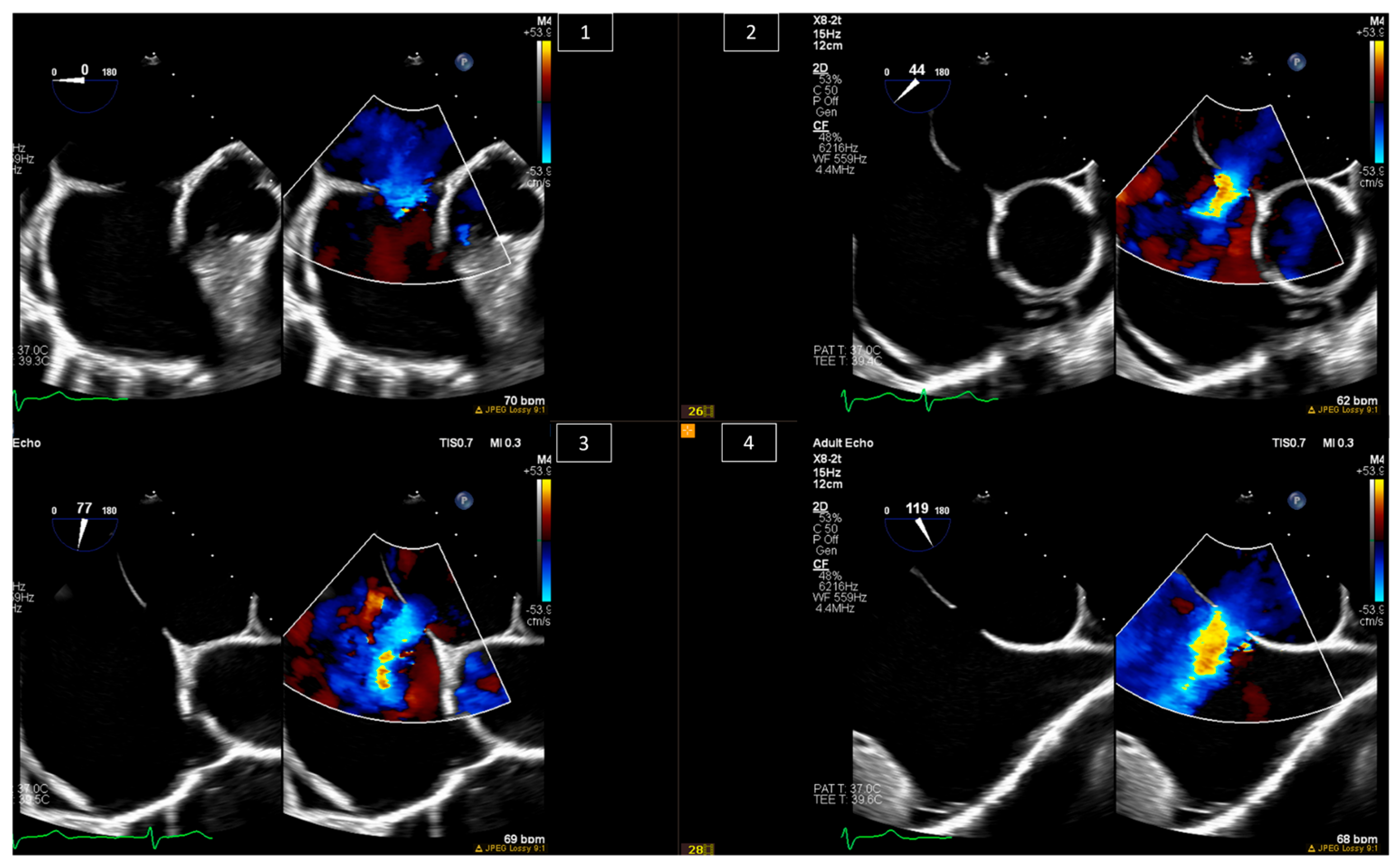
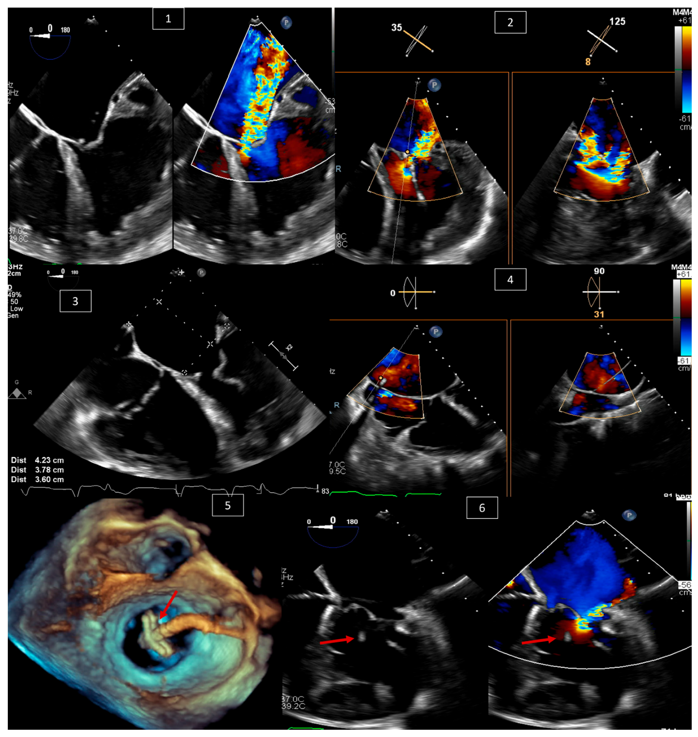
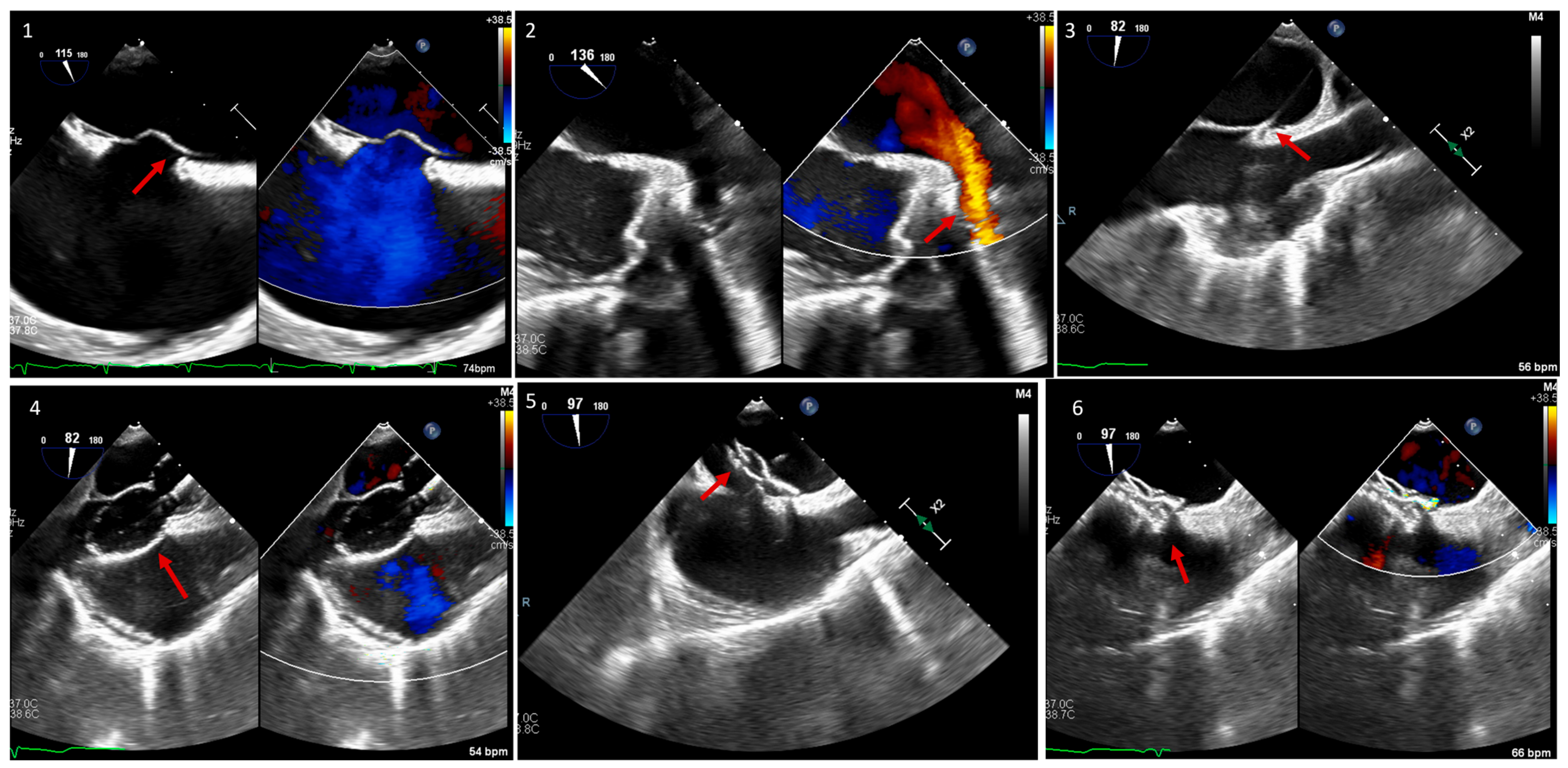
5. Paravalvular Leak Intervention
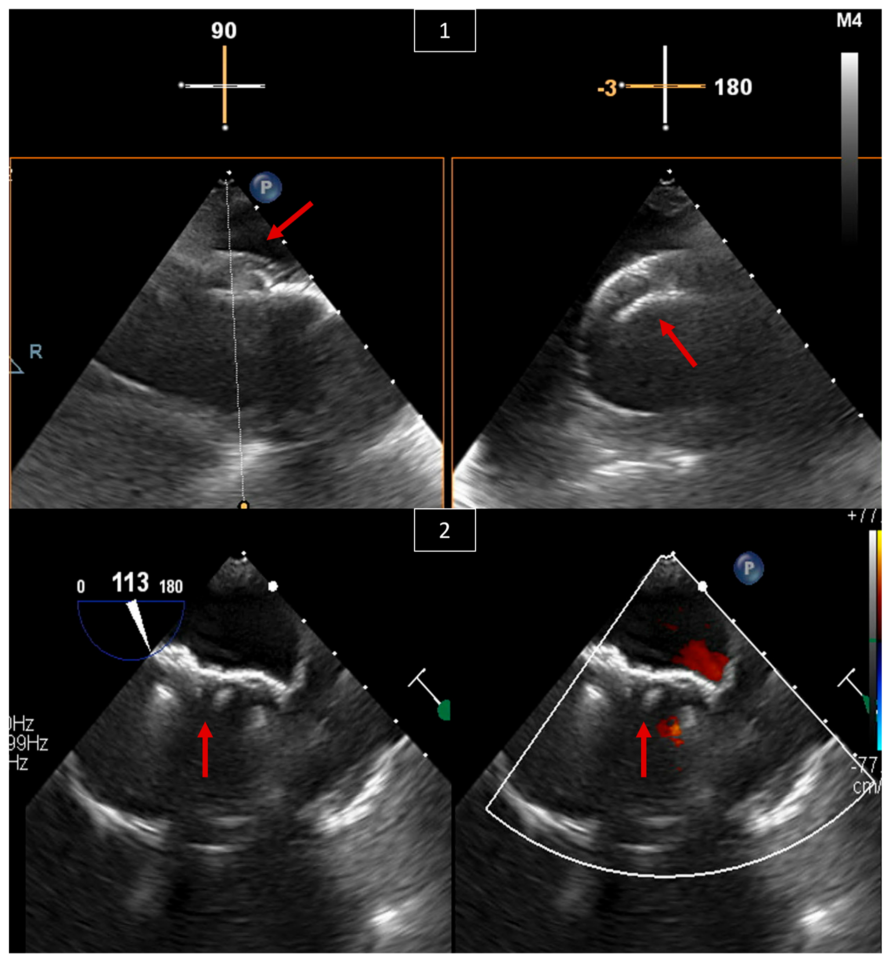
6. Baffle Complications in Atrial Switch Operations
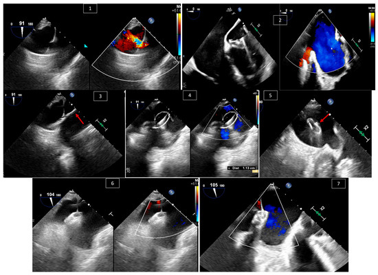
7. Interventions in Fontan Circulation
8. Other Interventions That Less Often Necessitate TEE During the Procedure
8.1. Transcatheter Pulmonary Valve Replacement (TCPVR)
8.2. Coarctation of Aorta Ballooning/Stenting
8.3. Patent Ductus Arteriosus (PDA) Closure
9. Hybrid Procedures
10. The Future of Imaging During Congenital Heart Disease Procedures
11. Conclusions
Author Contributions
Funding
Data Availability Statement
Conflicts of Interest
References
- Marelli, A.J.; Mackie, A.S.; Ionescu-Ittu, R.; Rahme, E.; Pilote, L. Congenital Heart Disease in the General Population. Circulation 2007, 115, 163–172. [Google Scholar] [CrossRef] [PubMed]
- Liu, A.; Diller, G.-P.; Moons, P.; Daniels, C.J.; Jenkins, K.J.; Marelli, A. Changing Epidemiology of Congenital Heart Disease: Effect on Outcomes and Quality of Care in Adults. Nat. Rev. Cardiol. 2023, 20, 126–137. [Google Scholar] [CrossRef] [PubMed]
- Williams, R.G.; Pearson, G.D.; Barst, R.J.; Child, J.S.; del Nido, P.; Gersony, W.M.; Kuehl, K.S.; Landzberg, M.J.; Myerson, M.; Neish, S.R.; et al. Report of the National Heart, Lung, and Blood Institute Working Group on Research in Adult Congenital Heart Disease. J. Am. Coll. Cardiol. 2006, 47, 701–707. [Google Scholar] [CrossRef]
- Kwak, J.H.; Lee, S.W.; Cha, H.R.; Huh, J.; Kang, I.-S.; Jun, T.-G.; Yang, J.-H.; Han, M.Y.; Song, J. Long-Term Observational Outcomes after Total Correction of Congenital Heart Disease in Korean Patients with Down Syndrome: A National Cohort Study. Children 2022, 9, 1329. [Google Scholar] [CrossRef]
- Marelli, A.J.; Ionescu-Ittu, R.; Mackie, A.S.; Guo, L.; Dendukuri, N.; Kaouache, M. Lifetime Prevalence of Congenital Heart Disease in the General Population From 2000 to 2010. Circulation 2014, 130, 749–756. [Google Scholar] [CrossRef]
- Van der Linde, D.; Konings, E.E.M.; Slager, M.A.; Witsenburg, M.; Helbing, W.A.; Takkenberg, J.J.M.; Roos-Hesselink, J.W. Birth Prevalence of Congenital Heart Disease Worldwide: A Systematic Review and Meta-Analysis. J. Am. Coll. Cardiol. 2011, 58, 2241–2247. [Google Scholar] [CrossRef]
- Webb, G.; Gatzoulis, M.A. Atrial Septal Defects in the Adult. Circulation 2006, 114, 1645–1653. [Google Scholar] [CrossRef] [PubMed]
- Baumgartner, H.; De Backer, J.; Babu-Narayan, S.V.; Budts, W.; Chessa, M.; Diller, G.-P.; Lung, B.; Kluin, J.; Lang, I.M.; Meijboom, F.; et al. 2020 ESC Guidelines for the Management of Adult Congenital Heart Disease: The Task Force for the Management of Adult Congenital Heart Disease of the European Society of Cardiology (ESC). Endorsed by: Association for European Paediatric and Congenital Cardiology (AEPC), International Society for Adult Congenital Heart Disease (ISACHD). Eur. Heart J. 2021, 42, 563–645. [Google Scholar] [CrossRef]
- Stout, K.K.; Daniels, C.J.; Aboulhosn, J.A.; Bozkurt, B.; Broberg, C.S.; Colman, J.M.; Crumb, S.R.; Dearani, J.A.; Fuller, S.; Gurvitz, M.; et al. 2018 AHA/ACC Guideline for the Management of Adults With Congenital Heart Disease: A Report of the American College of Cardiology/American Heart Association Task Force on Clinical Practice Guidelines. J. Am. Coll. Cardiol. 2019, 73, e81–e192. [Google Scholar] [CrossRef]
- Fischer, G.; Stieh, J.; Uebing, A.; Hoffmann, U.; Morf, G.; Kramer, H.H. Experience with Transcatheter Closure of Secundum Atrial Septal Defects Using the Amplatzer Septal Occluder: A Single Centre Study in 236 Consecutive Patients. Heart 2003, 89, 199–204. [Google Scholar] [CrossRef]
- Earing, M.G.; Cabalka, A.K.; Seward, J.B.; Bruce, C.J.; Reeder, G.S.; Hagler, D.J. Intracardiac Echocardiographic Guidance During Transcatheter Device Closure of Atrial Septal Defect and Patent Foramen Ovale. Mayo Clin. Proc. 2004, 79, 24–34. [Google Scholar] [CrossRef] [PubMed]
- Bartel, T.; Konorza, T.; Arjumand, J.; Ebradlidze, T.; Eggebrecht, H.; Caspari, G.; Neudorf, U.; Erbel, R. Intracardiac Echocardiography Is Superior to Conventional Monitoring for Guiding Device Closure of Interatrial Communications. Circulation 2003, 107, 795–797. [Google Scholar] [CrossRef] [PubMed]
- Garg, G.; Tyagi, H.; Radha, A.S. Transcatheter Closure of Sinus Venosus Atrial Septal Defect with Anomalous Drainage of Right Upper Pulmonary Vein into Superior Vena Cava—An Innovative Technique. Catheter. Cardiovasc. Interv. 2014, 84, 473–477. [Google Scholar] [CrossRef]
- Abdullah, H.A.M.; Alsalkhi, H.A.; Khalid, K.A. Transcatheter Closure of Sinus Venosus Atrial Septal Defect with Anomalous Pulmonary Venous Drainage: Innovative Technique with Long-Term Follow-Up. Catheter. Cardiovasc. Interv. 2020, 95, 743–747. [Google Scholar] [CrossRef]
- Hansen, J.H.; Duong, P.; Jivanji, S.G.M.; Jones, M.; Kabir, S.; Butera, G.; Qureshi, S.A.; Rosenthal, E. Transcatheter Correction of Superior Sinus Venosus Atrial Septal Defects as an Alternative to Surgical Treatment. J. Am. Coll. Cardiol. 2020, 75, 1266–1278. [Google Scholar] [CrossRef]
- Hoffman, J.I.E.; Kaplan, S. The Incidence of Congenital Heart Disease. J. Am. Coll. Cardiol. 2002, 39, 1890–1900. [Google Scholar] [CrossRef]
- Dellborg, M.; Giang, K.W.; Eriksson, P.; Liden, H.; Fedchenko, M.; Ahnfelt, A.; Rosengren, A.; Mandalenakis, Z. Adults With Congenital Heart Disease: Trends in Event-Free Survival Past Middle Age. Circulation 2023, 147, 930–938. [Google Scholar] [CrossRef] [PubMed]
- Morray, B.H. Ventricular Septal Defect Closure Devices, Techniques, and Outcomes. Interv. Cardiol. Clin. 2019, 8, 1–10. [Google Scholar] [CrossRef] [PubMed]
- Butera, G.; Carminati, M.; Chessa, M.; Piazza, L.; Micheletti, A.; Negura, D.G.; Abella, R.; Giamberti, A.; Frigiola, A. Transcatheter Closure of Perimembranous Ventricular Septal Defects: Early and Long-Term Results. J. Am. Coll. Cardiol. 2007, 50, 1189–1195. [Google Scholar] [CrossRef]
- Silvestry, F.E.; Rodriguez, L.L.; Herrmann, H.C.; Rohatgi, S.; Weiss, S.J.; Stewart, W.J.; Homma, S.; Goyal, N.; Pulerwitz, T.; Zunamon, A.; et al. Echocardiographic Guidance and Assessment of Percutaneous Repair for Mitral Regurgitation with the Evalve MitraClip: Lessons Learned from EVEREST I. J. Am. Soc. Echocardiogr. 2007, 20, 1131–1140. [Google Scholar] [CrossRef]
- Feldman, T.; Foster, E.; Glower, D.D.; Kar, S.; Rinaldi, M.J.; Fail, P.S.; Smalling, R.W.; Siegel, R.; Rose, G.A.; Engeron, E.; et al. Percutaneous Repair or Surgery for Mitral Regurgitation. N. Engl. J. Med. 2011, 364, 1395–1406. [Google Scholar] [CrossRef] [PubMed]
- Stone, G.W.; Lindenfeld, J.; Abraham, W.T.; Kar, S.; Lim, D.S.; Mishell, J.M.; Whisenant, B.; Grayburn, P.A.; Rinaldi, M.; Kapadia, S.R.; et al. Transcatheter Mitral-Valve Repair in Patients with Heart Failure. N. Engl. J. Med. 2018, 379, 2307–2318. [Google Scholar] [CrossRef] [PubMed]
- Obadia, J.-F.; Messika-Zeitoun, D.; Leurent, G.; Iung, B.; Bonnet, G.; Piriou, N.; Lefèvre, T.; Piot, C.; Rouleau, F.; Carrié, D.; et al. Percutaneous Repair or Medical Treatment for Secondary Mitral Regurgitation. N. Engl. J. Med. 2018, 379, 2297–2306. [Google Scholar] [CrossRef]
- Silini, A.; Iriart, X. Percutaneous Edge-to-Edge Repair in Congenital Heart Disease: Preliminary Results of a Promising New Technique. Int. J. Cardiol. Congenit. Heart Dis. 2022, 8, 100370. [Google Scholar] [CrossRef]
- Guerin, P.; Jalal, Z.; Le Ruz, R.; Cueff, C.; Hascoet, S.; Bouvaist, H.; Ladouceur, M.; Levy, F.; Hugues, N.; Malekzadeh-Milani, S.; et al. Percutaneous Edge-to-Edge Repair for Systemic Atrioventricular Valve Regurgitation in Patients With Congenital Heart Disease: The First Descriptive Cohort. J. Am. Heart Assoc. 2022, 11, e025628. [Google Scholar] [CrossRef]
- Alshawabkeh, L.; Mahmud, E.; Reeves, R. Percutaneous Mitral Valve Repair in Adults with Congenital Heart Disease: Report of the First Case-Series. Catheter. Cardiovasc. Interv. 2021, 97, 542–548. [Google Scholar] [CrossRef]
- Dávila-Román, V.G.; Waggoner, A.D.; Kennard, E.D.; Holubkov, R.; Jamieson, W.R.E.; Englberger, L.; Carrel, T.P.; Schaff, H.V. Prevalence and Severity of Paravalvular Regurgitation in the Artificial Valve Endocarditis Reduction Trial (AVERT) Echocardiography Study. J. Am. Coll. Cardiol. 2004, 44, 1467–1472. [Google Scholar] [CrossRef]
- Millán, X.; Skaf, S.; Joseph, L.; Ruiz, C.; García, E.; Smolka, G.; Noble, S.; Cruz-González, I.; Arzamendi, D.; Serra, A.; et al. Transcatheter Reduction of Paravalvular Leaks: A Systematic Review and Meta-Analysis. Can. J. Cardiol. 2015, 31, 260–269. [Google Scholar] [CrossRef]
- Vahanian, A.; Beyersdorf, F.; Praz, F.; Milojevic, M.; Baldus, S.; Bauersachs, J.; Capodanno, D.; Conradi, L.; De Bonis, M.; De Paulis, R.; et al. 2021 ESC/EACTS Guidelines for the Management of Valvular Heart Disease: Developed by the Task Force for the Management of Valvular Heart Disease of the European Society of Cardiology (ESC) and the European Association for Cardio-Thoracic Surgery (EACTS). Eur. Heart J. 2021, 43, 561–632. [Google Scholar] [CrossRef] [PubMed]
- Otto, C.M.; Nishimura, R.A.; Bonow, R.O.; Carabello, B.A.; Erwin, J.P.; Gentile, F.; Jneid, H.; Krieger, E.V.; Mack, M.; McLeod, C.; et al. 2020 ACC/AHA Guideline for the Management of Patients with Valvular Heart Disease: A Report of the American College of Cardiology/American Heart Association Joint Committee on Clinical Practice Guidelines. Circulation 2021, 143, e72–e227. [Google Scholar] [CrossRef]
- Sorajja, P.; Cabalka, A.K.; Hagler, D.J.; Rihal, C.S. Long-Term Follow-Up of Percutaneous Repair of Paravalvular Prosthetic Regurgitation. J. Am. Coll. Cardiol. 2011, 58, 2218–2224. [Google Scholar] [CrossRef] [PubMed]
- Alkhouli, M.; Sarraf, M.; Maor, E.; Sanon, S.; Cabalka, A.; Eleid, M.F.; Hagler, D.J.; Pollak, P.; Reeder, G.; Rihal, C.S. Techniques and Outcomes of Percutaneous Aortic Paravalvular Leak Closure. JACC Cardiovasc. Interv. 2016, 9, 2416–2426. [Google Scholar] [CrossRef]
- Gaur, L.; Cedars, A.; Diller, G.P.; Kutty, S.; Orwat, S. Management Considerations in the Adult with Surgically Modified D-Transposition of the Great Arteries. Heart 2021, 107, 1613–1619. [Google Scholar] [CrossRef]
- Khairy, P.; Landzberg, M.J.; Lambert, J.; O’Donnell, C.P. Long-Term Outcomes after the Atrial Switch for Surgical Correction of Transposition: A Meta-Analysis Comparing the Mustard and Senning Procedures. Cardiol. Young 2004, 14, 284–292. [Google Scholar] [CrossRef]
- De Pasquale, G.; Bonassin Tempesta, F.; Lopes, B.S.; Babic, D.; Oxenius, A.; Seeliger, T.; Gruner, C.; Tanner, F.C.; Biaggi, P.; Attenhofer Jost, C.; et al. High Prevalence of Baffle Leaks in Adults after Atrial Switch Operations for Transposition of the Great Arteries. Eur. Heart J.-Cardiovasc. Imaging 2017, 18, 531–535. [Google Scholar] [CrossRef]
- Reller, M.D.; Strickland, M.J.; Riehle-Colarusso, T.; Mahle, W.T.; Correa, A. Prevalence of Congenital Heart Defects in Metropolitan Atlanta, 1998–2005. J. Pediatr. 2008, 153, 807–813. [Google Scholar] [CrossRef] [PubMed]
- Kotani, Y.; Chetan, D.; Zhu, J.; Saedi, A.; Zhao, L.; Mertens, L.; Redington, A.N.; Coles, J.; Caldarone, C.A.; Van Arsdell, G.S.; et al. Fontan Failure and Death in Contemporary Fontan Circulation: Analysis From the Last Two Decades. Ann. Thorac. Surg. 2018, 105, 1240–1247. [Google Scholar] [CrossRef]
- Tan, W.; Stefanescu Schmidt, A.C.; Horlick, E.; Aboulhosn, J. Transcatheter Interventions in Patients With Adult Congenital Heart Disease. J. Soc. Cardiovasc. Angiogr. Interv. 2022, 1, 100438. [Google Scholar] [CrossRef] [PubMed]
- Jalal, Z.; Gewillig, M.; Boudjemline, Y.; Guérin, P.; Pilati, M.; Butera, G.; Malekzadeh-Milani, S.; Avesani, M.; Thambo, J.-B. Transcatheter Interventions in Patients with a Fontan Circulation: Current Practice and Future Developments. Front. Pediatr. 2022, 10, 965989. [Google Scholar] [CrossRef]
- Bonhoeffer, P.; Boudjemline, Y.; Saliba, Z.; Merckx, J.; Aggoun, Y.; Bonnet, D.; Acar, P.; Le Bidois, J.; Sidi, D.; Kachaner, J. Percutaneous Replacement of Pulmonary Valve in a Right-Ventricle to Pulmonary-Artery Prosthetic Conduit with Valve Dysfunction. Lancet 2000, 356, 1403–1405. [Google Scholar] [CrossRef]
- Khambadkone, S.; Bonhoeffer, P. Nonsurgical Pulmonary Valve Replacement: Why, When, and How? Catheter. Cardiovasc. Interv. 2004, 62, 401–408. [Google Scholar] [CrossRef] [PubMed]
- Georgiev, S.; Ewert, P.; Tanase, D.; Hess, J.; Hager, A.; Cleuziou, J.; Meierhofer, C.; Eicken, A. A Low Residual Pressure Gradient Yields Excellent Long-Term Outcome After Percutaneous Pulmonary Valve Implantation. JACC Cardiovasc. Interv. 2019, 12, 1594–1603. [Google Scholar] [CrossRef] [PubMed]
- Eicken, A.; Ewert, P.; Hager, A.; Peters, B.; Fratz, S.; Kuehne, T.; Busch, R.; Hess, J.; Berger, F. Percutaneous Pulmonary Valve Implantation: Two-Centre Experience with More than 100 Patients. Eur. Heart J. 2011, 32, 1260–1265. [Google Scholar] [CrossRef]
- Sinha, S.; Aboulhosn, J.; Asnes, J.; Bocks, M.; Zahn, E.; Goldstein, B.H.; Zampi, J.; Hellenbrand, W.; Salem, M.; Levi, D. Initial Results from the Off-Label Use of the SAPIEN S3 Valve for Percutaneous Transcatheter Pulmonary Valve Replacement: A Multi-Institutional Experience. Catheter. Cardiovasc. Interv. 2019, 93, 455–463. [Google Scholar] [CrossRef]
- Ren, J.-F.; Chen, S.; Callans, D.J.; Jiang, C.; Marchlinski, F.E. Transcatheter Pulmonary Valve Replacement Needs Better Imaging Technique With Intracardiac Echocardiography. JACC Cardiovasc. Interv. 2019, 12, 2558–2559. [Google Scholar] [CrossRef]
- Kim, Y.Y.; Andrade, L.; Cook, S.C. Aortic Coarctation. Cardiol. Clin. 2020, 38, 337–351. [Google Scholar] [CrossRef]
- Salciccioli, K.B.; Zachariah, J.P. Coarctation of the Aorta: Modern Paradigms Across the Lifespan. Hypertension 2023, 80, 1970–1979. [Google Scholar] [CrossRef]
- Teo, L.L.S.; Cannell, T.; Babu-Narayan, S.V.; Hughes, M.; Mohiaddin, R.H. Prevalence of Associated Cardiovascular Abnormalities in 500 Patients With Aortic Coarctation Referred for Cardiovascular Magnetic Resonance Imaging to a Tertiary Center. Pediatr. Cardiol. 2011, 32, 1120–1127. [Google Scholar] [CrossRef]
- Singer, M.I.; Rowen, M.; Dorsey, T.J. Transluminal Aortic Balloon Angioplasty for Coarctation of the Aorta in the Newborn. Am. Heart J. 1982, 103, 131–132. [Google Scholar] [CrossRef]
- Suárez de Lezo, J.; Pan, M.; Romero, M.; Medina, A.; Segura, J.; Pavlovic, D.; Martinez, C.; Tejero, I.; Navero, J.P.; Torres, F.; et al. Balloon-Expandable Stent Repair of Severe Coarctation of Aorta. Am. Heart J. 1995, 129, 1002–1008. [Google Scholar] [CrossRef]
- Mini, N.; Zartner, P.A.; Sabir, H.; Suchowerskyj, P.; Schneider, M.B.E. Echocardiogram-Guided Stenting of a Critical Aortic Coarctation in an Extremely Low Weight Preterm Infant. JACC Case Rep. 2023, 13, 101815. [Google Scholar] [CrossRef] [PubMed]
- Harrison, D.A.; Benson, L.N.; Lazzam, C.; Walters, J.E.; Siu, S.; McLaughlin, P.R. Percutaneous Catheter Closure of the Persistently Patent Ductus Arteriosus in the Adult. Am. J. Cardiol. 1996, 77, 1094–1097. [Google Scholar] [CrossRef] [PubMed]
- Wang, G.; Wu, Y.; Pan, Z.; Wu, C.; Li, Y.; Li, H.; Wang, Q.; Liu, B.; Dai, J. Transesophageal Echocardiography-Guided Percutaneous Patent Ductus Arteriosus Closure without Fluoroscopy. J. Cardiothorac. Surg. 2023, 18, 142. [Google Scholar] [CrossRef] [PubMed]
- Chugh, R.; Salem, M.M. Echocardiography for Patent Ductus Arteriosus Including Closure in Adults. Echocardiography 2015, 32, S125–S139. [Google Scholar] [CrossRef] [PubMed]
- Holoshitz, N.; Kenny, D.; Hijazi, Z.M. Hybrid Interventional Procedures in Congenital Heart Disease. Methodist DeBakey Cardiovasc. J. 2014, 10, 93. [Google Scholar] [CrossRef]
- Kalfa, D.; Torres, A.J. Indications and Results for Hybrid Interventions in Patients with Congenital Heart Disease. Arch. Cardiovasc. Dis. 2020, 113, 96–103. [Google Scholar] [CrossRef]
- Sosnowski, C.; Matella, T.; Fogg, L.; Ilbawi, M.; Nagaraj, H.; Kavinsky, C.; Wolf, A.R.; Diab, K.; Caputo, M.; Kenny, D. Hybrid Pulmonary Artery Plication Followed by Transcatheter Pulmonary Valve Replacement: Comparison with Surgical PVR. Catheter. Cardiovasc. Interv. 2016, 88, 804–810. [Google Scholar] [CrossRef]
- Lang, N.; Kozlik-Feldmann, R.; Dalla Pozza, R.; Hinterseer, M.; Sodian, R.; Abicht, J.; Kowalski, C.; Netz, H.; Reichart, B.; Schmitz, C. Hybrid Occlusion of a Paravalvular Leak with an Amplatzer Septal Occluder after Mechanical Aortic and Mitral Valve Replacement. J. Thorac. Cardiovasc. Surg. 2010, 139, 221–222. [Google Scholar] [CrossRef]
- Harloff, M.T.; Papoy, A.R.; Aghayev, A.; Kaneko, T. Hybrid Valve-in-Valve Mitral Valve Replacement. JTCVS Tech. 2020, 3, 154–156. [Google Scholar] [CrossRef]
- Enriquez, A.; Saenz, L.C.; Rosso, R.; Silvestry, F.E.; Callans, D.; Marchlinski, F.E.; Garcia, F. Use of Intracardiac Echocardiography in Interventional Cardiology. Circulation 2018, 137, 2278–2294. [Google Scholar] [CrossRef]
- Cheng, K.; Monaghan, M.J.; Kenny, A.; Rana, B.; Steeds, R.; Mackay, C.; van der Westhuizen, D. 3D Echocardiography: Benefits and Steps to Wider Implementation. Br. J. Cardiol. 2018, 25, 63–68. [Google Scholar]









Disclaimer/Publisher’s Note: The statements, opinions and data contained in all publications are solely those of the individual author(s) and contributor(s) and not of MDPI and/or the editor(s). MDPI and/or the editor(s) disclaim responsibility for any injury to people or property resulting from any ideas, methods, instructions or products referred to in the content. |
© 2024 by the authors. Licensee MDPI, Basel, Switzerland. This article is an open access article distributed under the terms and conditions of the Creative Commons Attribution (CC BY) license (https://creativecommons.org/licenses/by/4.0/).
Share and Cite
Ghantous, E.; Lluri, G. Highlights of Transesophageal Echocardiography During Interventions for Adult Congenital Heart Disease. J. Clin. Med. 2024, 13, 6995. https://doi.org/10.3390/jcm13226995
Ghantous E, Lluri G. Highlights of Transesophageal Echocardiography During Interventions for Adult Congenital Heart Disease. Journal of Clinical Medicine. 2024; 13(22):6995. https://doi.org/10.3390/jcm13226995
Chicago/Turabian StyleGhantous, Eihab, and Gentian Lluri. 2024. "Highlights of Transesophageal Echocardiography During Interventions for Adult Congenital Heart Disease" Journal of Clinical Medicine 13, no. 22: 6995. https://doi.org/10.3390/jcm13226995
APA StyleGhantous, E., & Lluri, G. (2024). Highlights of Transesophageal Echocardiography During Interventions for Adult Congenital Heart Disease. Journal of Clinical Medicine, 13(22), 6995. https://doi.org/10.3390/jcm13226995

