Mirror Aneurysms of the Pericallosal Artery Clipped During a Single Surgical Procedure: Case Report and Literature Review
Abstract
1. Introduction
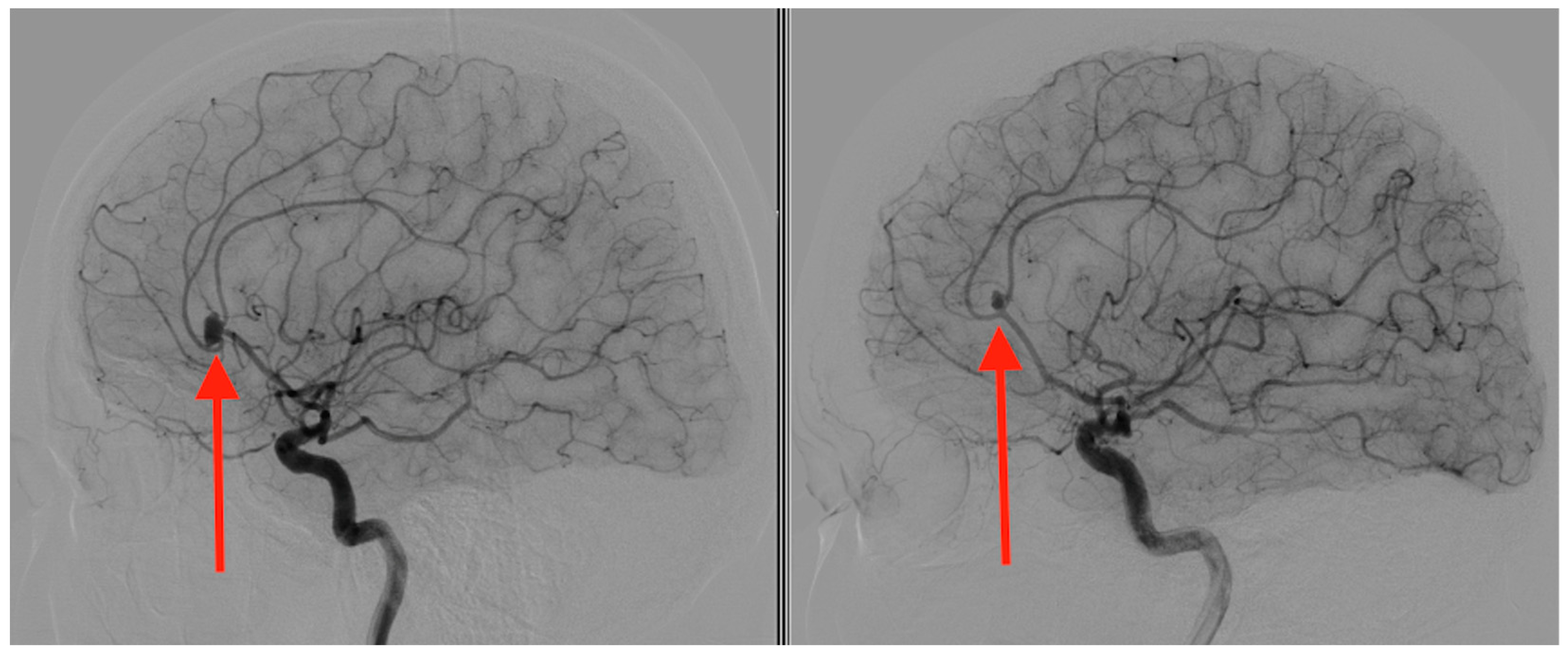
2. Case Presentation
3. Discussion
4. Conclusions
Author Contributions
Funding
Institutional Review Board Statement
Informed Consent Statement
Data Availability Statement
Conflicts of Interest
References
- Fox, J.L. Intracranial Aneurysms; Springer Science & Business Media: Berlin/Heidelberg, Germany, 2012; Volume 1, ISBN 1-4612-5437-X. [Google Scholar]
- Vlak, M.H.; Algra, A.; Brandenburg, R.; Rinkel, G.J. Prevalence of unruptured intracranial aneurysms, with emphasis on sex, age, comorbidity, country, and time period: A systematic review and meta-analysis. Lancet Neurol. 2011, 10, 626–636. [Google Scholar] [CrossRef] [PubMed]
- Asaithambi, G.; Adil, M.M.; Chaudhry, S.A.; Qureshi, A.I. Incidences of unruptured intracranial aneurysms and subarachnoid hemorrhage: Results of a statewide study. J. Vasc. Interv. Neurol. 2014, 7, 14–17. [Google Scholar] [PubMed]
- Kongable, G.L.; Lanzino, G.; Germanson, T.P.; Truskowski, L.L.; Alves, W.M.; Torner, J.C.; Kassell, N.F. Gender-related differences in aneurysmal subarachnoid hemorrhage. J. Neurosurg. 1996, 84, 43–48. [Google Scholar] [CrossRef] [PubMed]
- Aarhus, M.; Helland, C.A.; Wester, K. Differences in anatomical distribution, gender, and sidedness between ruptured and unruptured intracranial aneurysms in a defined patient population. Acta Neurochir. 2009, 151, 1569–1574. [Google Scholar] [CrossRef] [PubMed]
- Turan, N.; Heider, R.A.-J.; Zaharieva, D.; Ahmad, F.U.; Barrow, D.L.; Pradilla, G. Sex Differences in the Formation of Intracranial Aneurysms and Incidence and Outcome of Subarachnoid Hemorrhage: Review of Experimental and Human Studies. Transl. Stroke Res. 2016, 7, 12–19. [Google Scholar] [CrossRef]
- Krzyżewski, R.M.; Kliś, K.M.; Kucala, R.; Polak, J.; Kwinta, B.M.; Starowicz-Filip, A.; Stachura, K.; Piszczek, K.; Moskała, M.; Tomaszewski, K.A. Intracranial aneurysm distribution and characteristics according to gender. Br. J. Neurosurg. 2018, 32, 541–543. [Google Scholar] [CrossRef]
- Zhu, W.; Li, W.; Tian, Z.; Zhang, M.; Zhang, Y.; Wang, K.; Zhang, Y.; Yang, X.; Liu, J. Nomogram for Stability Stratification of Small Intracranial Aneurysm Based on Clinical and Morphological Risk Factors. Front. Neurol. 2021, 11, 598740. [Google Scholar] [CrossRef]
- Zhou, S.; Dion, P.A.; Rouleau, G.A. Genetics of Intracranial Aneurysms. Stroke 2018, 49, 780–787. [Google Scholar] [CrossRef]
- Brown, R.D.; Broderick, J.P. Unruptured intracranial aneurysms: Epidemiology, natural history, management options, and familial screening. Lancet Neurol. 2014, 13, 393–404. [Google Scholar] [CrossRef]
- Bonita, R. Cigarette smoking, hypertension and the risk of subarachnoid hemorrhage: A population-based case-control study. Stroke 1986, 17, 831–835. [Google Scholar] [CrossRef]
- Vlak, M.H.M.; Rinkel, G.J.E.; Greebe, P.; Algra, A. Independent Risk Factors for Intracranial Aneurysms and Their Joint Effect: A Case-Control Study. Stroke 2013, 44, 984–987. [Google Scholar] [CrossRef] [PubMed]
- Mhurchu, C.N.; Anderson, C.; Jamrozik, K.; Hankey, G.; Dunbabin, D. Hormonal Factors and Risk of Aneurysmal Subarachnoid Hemorrhage: An International Population-Based, Case-Control Study. Stroke 2001, 32, 606–612. [Google Scholar] [CrossRef] [PubMed]
- Toth, G.; Cerejo, R. Intracranial aneurysms: Review of current science and management. Vasc. Med. 2018, 23, 276–288. [Google Scholar] [CrossRef]
- Gasparotti, R.; Liserre, R. Intracranial aneurysms. Eur. Radiol. 2005, 15, 441–447. [Google Scholar] [CrossRef] [PubMed]
- Badejo, O.A.; Adeolu, A.A. Pericallosal artery aneurysm—Case report, literature review and management outcome. Int. J. Surg. Case Rep. 2020, 68, 32–35. [Google Scholar] [CrossRef] [PubMed]
- Sindou, M.; Pelissou-Guyotat, I.; Mertens, P.; Keravel, Y.; Athayde, A.A. Pericallosal aneurysms. Surg. Neurol. 1988, 30, 434–440. [Google Scholar] [CrossRef]
- Lee, J.W.; Lee, K.C.; Kim, Y.B.; Huh, S.K. Surgery for distal anterior cerebral artery aneurysms. Surg. Neurol. 2008, 70, 153–159. [Google Scholar] [CrossRef]
- Niijima, K.H.; Yonekawa, Y.; Kawano, T. Bilateral pericallosal artery aneurysms in a mirror position. No Shinkei Geka 1989, 17, 779–781. [Google Scholar]
- Østergaard, J.R.; Høg, E. Incidence of multiple intracranial aneurysms: Influence of arterial hypertension and gender. J. Neurosurg. 1985, 63, 49–55. [Google Scholar] [CrossRef]
- Lai, L.T.; Morgan, M.K.; Patel, N.J. Smoking Increases the Risk of De Novo Intracranial Aneurysms. World Neurosurg. 2014, 82, e195–e201. [Google Scholar] [CrossRef]
- Ou, C.; Qian, Y.; Zhang, X.; Liu, J.; Liu, W.; Su, H.; Zhang, N.; Zhang, J.; He, X.; Duan, C.-Z. Elevated Lipid Infiltration Is Associated with Cerebral Aneurysm Rupture. Front. Neurol. 2020, 11, 154. [Google Scholar] [CrossRef] [PubMed]
- Løvik, K.; Laupsa-Borge, J.; Logallo, N.; Helland, C.A. Dyslipidemia and rupture risk of intracranial aneurysms—A systematic review. Neurosurg. Rev. 2021, 44, 3143–3150. [Google Scholar] [CrossRef] [PubMed]
- Zhang, B.; Dong, S.; Miao, Y.; Song, G.; Yuan, F.; Liu, L.; Xia, S.; Qin, Y.; Huo, X.; Wu, Z.; et al. Effects of blood lipids and lipid-modifying drugs on intracranial aneurysms. Eur. J. Neurol. 2022, 29, 2967–2975. [Google Scholar] [CrossRef] [PubMed]
- Frösen, J. Association of blood lipid levels with the risk of intracranial aneurysm formation and rupture calls for further studies: A commentary on the article by Zhang et al. Eur. J. Neurol. 2022, 29, 2879–2880. [Google Scholar] [CrossRef] [PubMed]
- Tang, X.; Zhou, L.; Wen, L.; Wu, Q.; Leng, X.; Xiang, J.; Zhang, X. Morphological and Hemodynamic Characteristics Associated with the Rupture of Multiple Intracranial Aneurysms. Front. Neurol. 2022, 12, 811281. [Google Scholar] [CrossRef]
- Deuschl, C.; Darkwah Oppong, M.; Styczen, H.; Markhardt, L.; Wrede, K.; Jabbarli, R.; Sure, U.; Radbruch, A.; Forsting, M.; Wanke, I.; et al. Therapy results of pericallosal aneurysms: A retrospective unicenter study. Clin. Pract. 2020, 10, 1257. [Google Scholar] [CrossRef]
- Lehecka, M.; Dashti, R.; Hernesniemi, J.; Niemelä, M.; Koivisto, T.; Ronkainen, A.; Rinne, J.; Jääskeläinen, J. Microneurosurgical management of aneurysms at the A2 segment of anterior cerebral artery (proximal pericallosal artery) and its frontobasal branches. Surg. Neurol. 2008, 70, 232–246; discussion 246. [Google Scholar] [CrossRef]
- Dashti, R.; Hernesniemi, J.; Niemelä, M.; Rinne, J.; Lehecka, M.; Shen, H.; Lehto, H.; Albayrak, B.S.; Ronkainen, A.; Koivisto, T.; et al. Microneurosurgical management of distal middle cerebral artery aneurysms. Surg. Neurol. 2007, 67, 553–563. [Google Scholar] [CrossRef]
- Inci, S.; Erbengi, A.; Ozgen, T. Aneurysms of the distal anterior cerebral artery: Report of 14 cases and a review of the literature. Surg. Neurol. 1998, 50, 130–139; discussion 139–140. [Google Scholar] [CrossRef]
- Proust, F.; Toussaint, P.; Hannequin, D.; Rabenenoïna, C.; Le Gars, D.; Fréger, P. Outcome in 43 patients with distal anterior cerebral artery aneurysms. Stroke 1997, 28, 2405–2409. [Google Scholar] [CrossRef]







| Study (Author, Year) | Number of Patients | Sex Ratio (M:F) | Aneurysm Localization | Aneurysm Dimensions | Neck Dimensions | Feeding Artery | Type of Clip Used | Follow-Up |
|---|---|---|---|---|---|---|---|---|
| Tang et al., 2022 [26] | 32 | 19:13 | Distal ACA, including mirror aneurysms | Mean: 5.5 mm | Range: 2.8–4.3 mm | Callosomarginal and pericallosal | Titanium with fenestrations | 6–18 months (CT and MRI) |
| Deuschl et al., 2020 [27] | 22 | 13:9 | Pericallosal artery bifurcation | 3–8 mm | 3–5 mm | Callosomarginal artery | Yasargil clips | 24 months (clinical and imaging) |
| Lehecka et al., 2008 [28] | 47 | 27:20 | Distal ACA, mirror aneurysms at A2–A3 junction | Range: 4–10 mm | 3–6 mm | A2 segment | Tandem clips (for complex anatomy) | 12–24 months (angiography, MRI) |
| Dashti et al., 2007 [29] | 30 | 17:13 | Distal ACA, mirror aneurysms | 4–8 mm | 2–4 mm | A3 segment | Tandem clips | 12 months (angiography) |
| Inci et al., 1998 [30] | 14 | 9:5 | Distal anterior cerebral artery (A3 segment) | Range: 3–8 mm | 2–4 mm | Distal ACA (A3) | Standard titanium clips | 12 months (MRI and angiography) |
| Proust et al., 1997 [31] | 43 | 25:18 | Pericallosal artery aneurysms, bifurcation | Average 6.2 mm | Mean: 3.5 mm | Pericallosal artery trifurcation | Yasargil clips (wide-necked) | 24 months (clinical and imaging) |
Disclaimer/Publisher’s Note: The statements, opinions and data contained in all publications are solely those of the individual author(s) and contributor(s) and not of MDPI and/or the editor(s). MDPI and/or the editor(s) disclaim responsibility for any injury to people or property resulting from any ideas, methods, instructions or products referred to in the content. |
© 2024 by the authors. Licensee MDPI, Basel, Switzerland. This article is an open access article distributed under the terms and conditions of the Creative Commons Attribution (CC BY) license (https://creativecommons.org/licenses/by/4.0/).
Share and Cite
Toader, C.; Radoi, M.P.; Brehar, F.-M.; Serban, M.; Glavan, L.-A.; Covache-Busuioc, R.-A.; Ciurea, A.V.; Dobrin, N. Mirror Aneurysms of the Pericallosal Artery Clipped During a Single Surgical Procedure: Case Report and Literature Review. J. Clin. Med. 2024, 13, 6719. https://doi.org/10.3390/jcm13226719
Toader C, Radoi MP, Brehar F-M, Serban M, Glavan L-A, Covache-Busuioc R-A, Ciurea AV, Dobrin N. Mirror Aneurysms of the Pericallosal Artery Clipped During a Single Surgical Procedure: Case Report and Literature Review. Journal of Clinical Medicine. 2024; 13(22):6719. https://doi.org/10.3390/jcm13226719
Chicago/Turabian StyleToader, Corneliu, Mugurel Petrinel Radoi, Felix-Mircea Brehar, Matei Serban, Luca-Andrei Glavan, Razvan-Adrian Covache-Busuioc, Alexandru Vlad Ciurea, and Nicolae Dobrin. 2024. "Mirror Aneurysms of the Pericallosal Artery Clipped During a Single Surgical Procedure: Case Report and Literature Review" Journal of Clinical Medicine 13, no. 22: 6719. https://doi.org/10.3390/jcm13226719
APA StyleToader, C., Radoi, M. P., Brehar, F.-M., Serban, M., Glavan, L.-A., Covache-Busuioc, R.-A., Ciurea, A. V., & Dobrin, N. (2024). Mirror Aneurysms of the Pericallosal Artery Clipped During a Single Surgical Procedure: Case Report and Literature Review. Journal of Clinical Medicine, 13(22), 6719. https://doi.org/10.3390/jcm13226719

