Key Imaging Factors for Transcatheter Management of Tricuspid Regurgitation: Device and Patient Selection
Abstract
1. Introduction
2. Key Imaging Factors for Patient Selection
2.1. Tricuspid Valve Anatomy and Remodeling
2.2. Coaptation Gap and Tricuspid Regurgitation Severity
2.3. Right Heart Remodelling
2.4. Pulmonary Hemodynamics
2.5. CIED Leads
- -
- Leaflet-related: the CIED lead interferes with normal leaflet coaptation, directly or indirectly;
- ○
- Direct interference.
- Leaflet impingement: the systolic leaflet excursion is limited by the interfering lead position;
- Leaflet adhesion: an adherent lead moves altogether with the leaflet throughout the whole cardiac cycle due to fibrotic connection;
- Leaflet perforation or laceration: an organic lesion induced during the lead positioning or extraction maneuvers.
- ○
- Indirect interference:
- Leaflet avulsion due to CIED lead extraction or implantation;
- Lead-related endocarditis.
- -
- Subvalvular apparatus-related: the interference regards the papillary muscles or chordae tendineae.
- Subvalvular entanglement/adhesion;
- Chordal rupture.
- -
- Rhythm-related: the RV pacing-induced dyssynchrony may induce RV dysfunction and progressive TV remodeling with worsening TR.
- -
- transvenous lead extraction in CIED-related TR;
- -
- tricuspid transcatheter edge-to-edge repair (T-TEER) in the presence of CIED-incidental TR and in selected cases of CIED-related TR, provided that TR is “graspable”;
- -
- orthotopic tricuspid transcatheter valve replacement (TTVR) with lead jailing in presence of CIED-related TR or in cases of CIED-incidental and “non-graspable” TR.
2.6. Access Routes
3. Key Imaging Factors for Device Selection and Step-by-Step Intraprocedural Guidance
3.1. Transcatheter Edge-to-Edge Repair
3.2. Orthotopic Valve Replacement
3.2.1. The Evoque System
- –
- RV function: albeit there is no specific cut-off, severe RV dysfunction was an exclusion criterion in TRISCEND trial [111]. Moreover, at one year follow-up RV systolic function parameters decreased, including RV-FAC (−8.4 ± 13.8%, p < 0.001) and TAPSE (−2.8 ± 6.5 mm, p = 0.006). It can be reasonable to decide not to treat patients with severely impaired RV function, in order to avoid a futile procedure. The TVARC [32] suggests to use specific cut-offs to define severe RV dysfunction (TAPSE < 10 mm, FAC < 30%, 3D RVEF < 35%), but prospective long-term follow-up studies are needed to validate these cut-offs in the setting of TTVR.
- –
- TR etiology: classical indications for TTVR are TR patients unsuitable for TEER; thus, in clinical practice, it is very common to see patients with extreme TV anatomies (wide coaptation gap, very large annular dimensions, CIED leads, massive and torrential TR). In the TRISCEND trial, 68.2% of TR were functional (atrial or ventricular forms), 9.7% were primary, 14.2% mixed and 2.8% CIED-related [111]. While atrial functional TR usually do not have challenging anatomies, ventricular forms need to be carefully assessed: annular size can be bigger, and valve leaflets can be characterized by tethering or plastering. High tenting height (>15 mm in systole) or leaflet plastering (a distance between leaflets and RV wall < 4 mm in diastole) can affect leaflets engagement and lead to procedural failure. On the other side, in primary TR due to leaflets prolapse or flail, the excessive leaflets mobility can complicate the procedure. If the prolapse/flail is localized, the case can be considered suitable; in the presence of wide septal prolapse/flail (involving more than a half of the leaflets) or lateral leaflets prolapse/flail (>1/3 of valve circumference) procedural success can be significantly compromised. Rheumatic and carcinoid disease induce valve fibrosis reducing systolic-diastolic leaflets movements; the presence of a completely “frozen valve” in diastole, like it is frequently observed in advanced carcinoid syndrome, can prevent leaflets capture and valve anchoring. In the TRISCEND trial about 3% of patients had CIED leads; after TTVR no leads dysfunction or worse outcomes were observed [111]. The presence of CIED leads is not a contraindication for TTVR. However, a comprehensive analysis of leaflet-lead interaction with multimodality imaging (TTE, TEE, CT) is pivotal [114]. In general, if there is an adhesion of CIED-lead with a leaflet, there may be an interference with Evoque valve deployment, but every case must be analyzed individually to ensure feasibility and to predict adequate procedural results.
- –
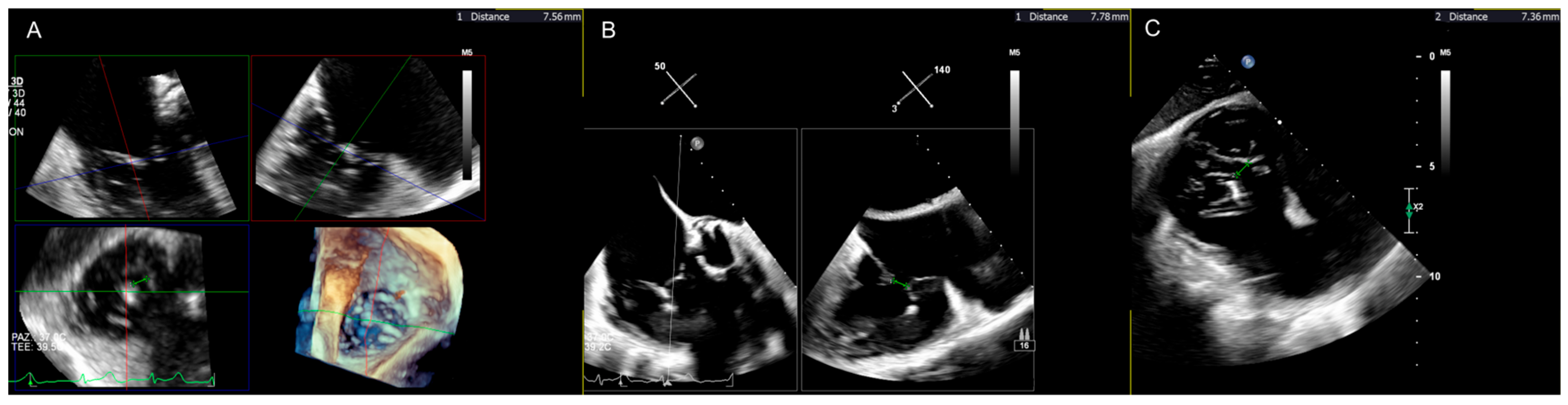
- Annular sizing: the main reason for screening failure is represented by excessive annular dimensions [111]. With TEE, a perimeter > 160 mm or a 2D diameter > 60 mm are considered highly predictive of screening failure at CT due to excessive annular size. The nominal sizes of the Evoque valve are based on the outer frame diameter of the valve; these diameters are compared to annular dimensions calculated at CT using the projected perimeter derived diameter (PDD, Figure 8). Valve sizing is not only based on pure annular dimensions, but also on the degree of annular oversizing. Annular oversizing is expressed as “[(valve size − PDD)/PDD] × 100” and positive oversizing is identified when the valve is bigger than the native annulus. A positive oversizing is needed to ensure adequate valve sealing. The degree of oversizing is also calculated at the ventricular basal level (and in this case the outer dimensions at the anchors level is used) and its presence is considered a useful retention mechanism.
- –
- Right chambers size: RA and RV represent the working room of the TTVR procedure; adequate chamber size is needed to manipulate the system and implant the valve. The anatomical working room is generally assessed using a contrast CT scan in diastolic and systolic phases. Using a reformatted 4 chamber view, RA height from the annulus to atrial roof, RV length from the annulus to the apex and the relationship between IVC and TV annulus are assessed [115]. The delivery system must have enough space to orientate and implant the valve without any interference with the surrounding structures. Additionally, CT scan is used to assess the position and the distance of papillary muscles relatively to the annulus: from one side papillary muscles can interfere with valve positioning if they are too close to the valve; from the other side, they can be considered another retention mechanism, thus they can stabilize the ventricular side of the valve after deployment (Figure 8).

3.2.2. The Cardiovalve System
- –
- RA height: the height is calculated from the TV plane. The minimum cutoff is 60 mm to make the valve positioning feasible and to minimize the risk of complications during the advancement of the delivery system.
- –
- RV length: the minimal distance between the apex of the RV and the tricuspid annular plane is 45 mm in diastole. Below the proposed cutoff, diving of the valve in the ventricle is not feasible.
- –
- IVC offset and top distance: describes the distance and angular relationship between the entry point of the IVC into the RA and the TV annulus. This anatomical detail is crucial for the precise alignment of the delivery system with the TV annulus, for the trajectory and final positioning of the device. An offset less than 20 degree in diastole is usually favourable. The IVC top distance refers to the vertical distance from the superior aspect (or top) of the IVC to the TV annulus and it should be at least 50 mm to have a correct insertion depth and trajectory.
- –
- Annulus diameters: minimal annulus diameter should be above 36 mm. Moreover, the shape of the annulus should not be too oval to avoid device mismatch. Cardiovalve has 3 different sizes that cover a broad range of diameters (45–55 mm).

3.3. Heterotopic Valve Replacement
3.4. Transcatheter Tricuspid Valve-in-Valve Replacement
4. Conclusions
Author Contributions
Funding
Data Availability Statement
Conflicts of Interest
References
- Topilsky, Y.; Maltais, S.; Medina Inojosa, J.; Oguz, D.; Michelena, H.; Maalouf, J.; Mahoney, D.W.; Enriquez-Sarano, M. Burden of Tricuspid Regurgitation in Patients Diagnosed in the Community Setting. JACC Cardiovasc. Imaging 2019, 12, 433–442. [Google Scholar] [CrossRef] [PubMed]
- Chorin, E.; Rozenbaum, Z.; Topilsky, Y.; Konigstein, M.; Ziv-Baran, T.; Richert, E.; Keren, G.; Banai, S. Tricuspid Regurgitation and Long-Term Clinical Outcomes. Eur. Heart J. Cardiovasc. Imaging 2020, 21, 157–165. [Google Scholar] [CrossRef] [PubMed]
- Leone, P.P.; Chiarito, M.; Regazzoli, D.; Pellegrino, M.; Monti, L.; Pagliaro, B.; Loiacono, F.; Stefanini, G.; Pini, D.; Reimers, B.; et al. Prognostic Value of Tricuspid Regurgitation. Rev. Cardiovasc. Med. 2022, 23, 76. [Google Scholar] [CrossRef] [PubMed]
- Gössl, M.; Stanberry, L.; Benson, G.; Steele, E.; Garberich, R.; Witt, D.; Cavalcante, J.; Sharkey, S.; Enriquez-Sarano, M. Burden of Undiagnosed Valvular Heart Disease in the Elderly in the Community: Heart of New Ulm Valve Study. JACC Cardiovasc. Imaging 2023, 16, 1118–1120. [Google Scholar] [CrossRef] [PubMed]
- Tung, M.; Nah, G.; Tang, J.; Marcus, G.; Delling, F.N. Valvular Disease Burden in the Modern Era of Percutaneous and Surgical Interventions: The UK Biobank. Open Heart 2022, 9, e002039. [Google Scholar] [CrossRef]
- Offen, S.; Playford, D.; Strange, G.; Stewart, S.; Celermajer, D.S. Adverse Prognostic Impact of Even Mild or Moderate Tricuspid Regurgitation: Insights from the National Echocardiography Database of Australia. J. Am. Soc. Echocardiogr. 2022, 35, 810–817. [Google Scholar] [CrossRef]
- Praz, F.; Muraru, D.; Kreidel, F.; Lurz, P.; Hahn, R.T.; Delgado, V.; Senni, M.; Von Bardeleben, R.S.; Nickenig, G.; Hausleiter, J.; et al. Transcatheter Treatment for Tricuspid Valve Disease. EuroIntervention 2021, 17, 791–808. [Google Scholar] [CrossRef]
- Bienstock, S.W.; Stone, G.W. From TriValve to TRILUMINATE to TRISCEND: What Have We Learned? Eur. Heart J. 2023, 44, 4874–4877. [Google Scholar] [CrossRef]
- Russo, G.; Taramasso, M.; Pedicino, D.; Gennari, M.; Gavazzoni, M.; Pozzoli, A.; Muraru, D.; Badano, L.P.; Metra, M.; Maisano, F. Challenges and Future Perspectives of Transcatheter Tricuspid Valve Interventions: Adopt Old Strategies or Adapt to New Opportunities? Eur. J. Heart Fail. 2022, 24, 442–454. [Google Scholar] [CrossRef]
- Vahanian, A.; Beyersdorf, F.; Praz, F.; Milojevic, M.; Baldus, S.; Bauersachs, J.; Capodanno, D.; Conradi, L.; De Bonis, M.; De Paulis, R.; et al. 2021 ESC/EACTS Guidelines for the Management of Valvular Heart Disease. Eur. Heart J. 2022, 43, 561–632. [Google Scholar] [CrossRef]
- Dreyfus, J.; Audureau, E.; Bohbot, Y.; Coisne, A.; Lavie-Badie, Y.; Bouchery, M.; Flagiello, M.; Bazire, B.; Eggenspieler, F.; Viau, F.; et al. TRI-SCORE: A New Risk Score for in-Hospital Mortality Prediction after Isolated Tricuspid Valve Surgery. Eur. Heart J. 2022, 43, 654. [Google Scholar] [CrossRef] [PubMed]
- Dreyfus, J.; Flagiello, M.; Bazire, B.; Eggenspieler, F.; Viau, F.; Riant, E.; Mbaki, Y.; Bohbot, Y.; Eyharts, D.; Senage, T.; et al. Isolated Tricuspid Valve Surgery: Impact of Aetiology and Clinical Presentation on Outcomes. Eur. Heart J. 2020, 41, 4304–4317. [Google Scholar] [CrossRef] [PubMed]
- Dreyfus, J.; Galloo, X.; Taramasso, M.; Heitzinger, G.; Benfari, G.; Kresoja, K.P.; Juarez-Casso, F.; Omran, H.; Bohbot, Y.; Iliadis, C.; et al. TRI-SCORE and Benefit of Intervention in Patients with Severe Tricuspid Regurgitation. Eur. Heart J. 2024, 45, 586–597. [Google Scholar] [CrossRef]
- Russo, G.; Pedicino, D.; Pires Marafon, D.; Adamo, M.; Alessandrini, H.; Andreas, M.; Braun, D.; Connelly, K.A.; Denti, P.; Estevez-Loureiro, R.; et al. TRIVALVE Score: A Risk Score for Mortality/Hospitalization Prediction in Patients Undergoing Transcatheter Tricuspid Valve Intervention. JACC Cardiovasc. Interv. 2024, 17, 2170–2179. [Google Scholar] [CrossRef]
- Agricola, E.; Asmarats, L.; Maisano, F.; Cavalcante, J.L.; Liu, S.; Milla, F.; Meduri, C.; Rodés-Cabau, J.; Vannan, M.; Pibarot, P. Imaging for Tricuspid Valve Repair and Replacement. JACC Cardiovasc. Imaging 2021, 14, 61–111. [Google Scholar] [CrossRef]
- Hahn, R.T. State-of-the-Art Review of Echocardiographic Imaging in the Evaluation and Treatment of Functional Tricuspid Regurgitation. Circ. Cardiovasc. Imaging 2016, 9, e005332. [Google Scholar] [CrossRef]
- Hahn, R.T.; Weckbach, L.T.; Noack, T.; Hamid, N.; Kitamura, M.; Bae, R.; Lurz, P.; Kodali, S.K.; Sorajja, P.; Hausleiter, J.; et al. Proposal for a Standard Echocardiographic Tricuspid Valve Nomenclature. JACC Cardiovasc. Imaging 2021, 14, 1299–1305. [Google Scholar] [CrossRef]
- Sugiura, A.; Tanaka, T.; Kavsur, R.; Öztürk, C.; Vogelhuber, J.; Wilde, N.; Becher, M.U.; Zimmer, S.; Nickenig, G.; Weber, M. Leaflet Configuration and Residual Tricuspid Regurgitation After Transcatheter Edge-to-Edge Tricuspid Repair. JACC Cardiovasc. Interv. 2021, 14, 2260–2270. [Google Scholar] [CrossRef]
- De Gaspari, M.; Layman, A.J.; Pazdernik, V.K.; Maalouf, J.; Padang, R.; Bois, M.C.; Maleszewski, J.J. The Morphologic Spectrum of the Tricuspid Valve: Anatomical Implications for Transcatheter Edge-to-Edge Repair. JACC Cardiovasc. Interv. 2024, 17, 949–951. [Google Scholar] [CrossRef]
- Khalique, O.K.; Cavalcante, J.L.; Shah, D.; Guta, A.C.; Zhan, Y.; Piazza, N.; Muraru, D. Multimodality Imaging of the Tricuspid Valve and Right Heart Anatomy. JACC Cardiovasc. Imaging 2019, 12, 516–531. [Google Scholar] [CrossRef]
- Hahn, R.T.; Nabauer, M.; Zuber, M.; Nazif, T.M.; Hausleiter, J.; Taramasso, M.; Pozzoli, A.; George, I.; Kodali, S.; Bapat, V.; et al. Intraprocedural Imaging of Transcatheter Tricuspid Valve Interventions. JACC Cardiovasc. Imaging 2019, 12, 532–553. [Google Scholar] [CrossRef] [PubMed]
- Silver, M.D.; Lam, J.H.; Ranganathan, N.; Wigle, E.D. Morphology of the Human Tricuspid Valve. Circulation 1971, 43, 333–348. [Google Scholar] [CrossRef]
- Fazzari, F.; Cannata, F.; Maurina, M.; Bragato, R.M.; Francone, M. Multi-Modality Imaging of the Tricuspid Valve: From Tricuspid Valve Disease to Catheter-Based Interventions. Rev. Cardiovasc. Med. 2022, 23, 199. [Google Scholar] [CrossRef]
- Tomlinson, S.; Rivas, C.G.; Agarwal, V.; Lebehn, M.; Hahn, R.T. Multimodality Imaging for Transcatheter Tricuspid Valve Repair and Replacement. Front. Cardiovasc. Med. 2023, 10, 1171968. [Google Scholar] [CrossRef]
- Hahn, R.T.; Badano, L.P.; Bartko, P.E.; Muraru, D.; Maisano, F.; Zamorano, J.L.; Donal, E. Tricuspid Regurgitation: Recent Advances in Understanding Pathophysiology, Severity Grading and Outcome. Eur. Heart J. Cardiovasc. Imaging 2022, 23, 913–929. [Google Scholar] [CrossRef]
- Addetia, K.; Muraru, D.; Veronesi, F.; Jenei, C.; Cavalli, G.; Besser, S.A.; Mor-Avi, V.; Lang, R.M.; Badano, L.P. 3-Dimensional Echocardiographic Analysis of the Tricuspid Annulus Provides New Insights Into Tricuspid Valve Geometry and Dynamics. JACC Cardiovasc. Imaging 2019, 12, 401–412. [Google Scholar] [CrossRef]
- Fukuda, S.; Saracino, G.; Matsumura, Y.; Daimon, M.; Tran, H.; Greenberg, N.L.; Hozumi, T.; Yoshikawa, J.; Thomas, J.D.; Shiota, T. Three-Dimensional Geometry of the Tricuspid Annulus in Healthy Subjects and in Patients with Functional Tricuspid Regurgitation: A Real-Time, 3-Dimensional Echocardiographic Study. Circulation 2006, 114, 808–816. [Google Scholar] [CrossRef]
- Ton-Nu, T.T.; Levine, R.A.; Handschumacher, M.D.; Dorer, D.J.; Yosefy, C.; Fan, D.; Hua, L.; Jiang, L.; Hung, J. Geometric Determinants of Functional Tricuspid Regurgitation: Insights from 3-Dimensional Echocardiography. Circulation 2006, 114, 143–149. [Google Scholar] [CrossRef]
- Hahn, R.T.; Thomas, J.D.; Khalique, O.K.; Cavalcante, J.L.; Praz, F.; Zoghbi, W.A. Imaging Assessment of Tricuspid Regurgitation Severity. JACC Cardiovasc. Imaging 2019, 12, 469–490. [Google Scholar] [CrossRef]
- Spinner, E.M.; Shannon, P.; Buice, D.; Jimenez, J.H.; Veledar, E.; Del Nido, P.J.; Adams, D.H.; Yoganathan, A.P. In Vitro Characterization of the Mechanisms Responsible for Functional Tricuspid Regurgitation. Circulation 2011, 124, 920–929. [Google Scholar] [CrossRef]
- Muraru, D.; Badano, L.P.; Hahn, R.T.; Lang, R.M.; Delgado, V.; Wunderlich, N.C.; Donal, E.; Taramasso, M.; Duncan, A.; Lurz, P.; et al. Atrial Secondary Tricuspid Regurgitation: Pathophysiology, Definition, Diagnosis, and Treatment. Eur. Heart J. 2024, 45, 895–911. [Google Scholar] [CrossRef] [PubMed]
- Hahn, R.T.; Lawlor, M.K.; Davidson, C.J.; Badhwar, V.; Sannino, A.; Spitzer, E.; Lurz, P.; Lindman, B.R.; Topilsky, Y.; Baron, S.J.; et al. Tricuspid Valve Academic Research Consortium Definitions for Tricuspid Regurgitation and Trial Endpoints. J. Am. Coll. Cardiol. 2023, 82, 1711–1735. [Google Scholar] [CrossRef] [PubMed]
- Stankovic, I.; Daraban, A.M.; Jasaityte, R.; Neskovic, A.N.; Claus, P.; Voigt, J.U. Incremental Value of the En Face View of the Tricuspid Valve by Two-Dimensional and Three-Dimensional Echocardiography for Accurate Identification of Tricuspid Valve Leaflets. J. Am. Soc. Echocardiogr. 2014, 27, 376–384. [Google Scholar] [CrossRef] [PubMed]
- Volpato, V.; Lang, R.M.; Yamat, M.; Veronesi, F.; Weinert, L.; Tamborini, G.; Muratori, M.; Fusini, L.; Pepi, M.; Genovese, D.; et al. Echocardiographic Assessment of the Tricuspid Annulus: The Effects of the Third Dimension and Measurement Methodology. J. Am. Soc. Echocardiogr. 2019, 32, 238–247. [Google Scholar] [CrossRef]
- Van Rosendael, P.J.; Joyce, E.; Katsanos, S.; Debonnaire, P.; Kamperidis, V.; Van Der Kley, F.; Schalij, M.J.; Bax, J.J.; Marsan, N.A.; Delgado, V. Tricuspid Valve Remodelling in Functional Tricuspid Regurgitation: Multidetector Row Computed Tomography Insights. Eur. Heart J. Cardiovasc. Imaging 2016, 17, 96–105. [Google Scholar] [CrossRef][Green Version]
- Praz, F.; Khalique, O.K.; Dos Reis Macedo, L.G.; Pulerwitz, T.C.; Jantz, J.; Wu, I.Y.; Kantor, A.; Patel, A.; Vahl, T.; Bapat, V.; et al. Comparison between Three-Dimensional Echocardiography and Computed Tomography for Comprehensive Tricuspid Annulus and Valve Assessment in Severe Tricuspid Regurgitation: Implications for Tricuspid Regurgitation Grading and Transcatheter Therapies. J. Am. Soc. Echocardiogr. 2018, 31, 1190–1202.e3. [Google Scholar] [CrossRef]
- Altisent, O.A.J.; Benetis, R.; Rumbinaite, E.; Mizarien, V.; Codina, P.; Gual-Capllonch, F.; Spitaleri, G.; Fernandez-Nofrerias, E.; Bayes-Genis, A.; Puri, R. Caval Valve Implantation (CAVI): An Emerging Therapy for Treating Severe Tricuspid Regurgitation. J. Clin. Med. 2021, 10, 4601. [Google Scholar] [CrossRef]
- Lancellotti, P.; Pibarot, P.; Chambers, J.; La Canna, G.; Pepi, M.; Dulgheru, R.; Dweck, M.; Delgado, V.; Garbi, M.; Vannan, M.A.; et al. Multi-Modality Imaging Assessment of Native Valvular Regurgitation: An EACVI and ESC Council of Valvular Heart Disease Position Paper. Eur. Heart J. Cardiovasc. Imaging 2022, 23, E171–E232. [Google Scholar] [CrossRef]
- Hahn, R.T.; Saric, M.; Faletra, F.F.; Garg, R.; Gillam, L.D.; Horton, K.; Khalique, O.K.; Little, S.H.; Mackensen, G.B.; Oh, J.; et al. Recommended Standards for the Performance of Transesophageal Echocardiographic Screening for Structural Heart Intervention: From the American Society of Echocardiography. J. Am. Soc. Echocardiogr. 2022, 35, 1–76. [Google Scholar] [CrossRef]
- Hungerford, S.L.; Rye, E.E.; Hansen, P.S.; Bhindi, R.; Choong, C. Key Echocardiographic Considerations for Tricuspid Valve Transcatheter Edge-to-Edge Repair. J. Am. Soc. Echocardiogr. 2023, 36, 366–380.e1. [Google Scholar] [CrossRef]
- Hahn, R.T.; Zamorano, J.L. The Need for a New Tricuspid Regurgitation Grading Scheme. Eur. Heart J. Cardiovasc. Imaging 2017, 18, 1342–1343. [Google Scholar] [CrossRef] [PubMed]
- Santoro, C.; Marco Del Castillo, A.; González-Gómez, A.; Monteagudo, J.M.; Hinojar, R.; Lorente, A.; Abellás, M.; Vieitez, J.M.; Garcia Martìn, A.; Casas Rojo, E.; et al. Mid-Term Outcome of Severe Tricuspid Regurgitation: Are There Any Differences According to Mechanism and Severity? Eur. Heart J. Cardiovasc. Imaging 2019, 20, 1035–1042. [Google Scholar] [CrossRef] [PubMed]
- Lurz, P.; Stephan von Bardeleben, R.; Weber, M.; Sitges, M.; Sorajja, P.; Hausleiter, J.; Denti, P.; Trochu, J.N.; Nabauer, M.; Tang, G.H.L.; et al. Transcatheter Edge-to-Edge Repair for Treatment of Tricuspid Regurgitation. J. Am. Coll. Cardiol. 2021, 77, 229–239. [Google Scholar] [CrossRef] [PubMed]
- Lurz, P.; Rommel, K.P.; Schmitz, T.; Bekeredjian, R.; Nickenig, G.; Möllmann, H.; von Bardeleben, R.S.; Schmeisser, A.; Atmowihardjo, I.; Estevez-Loureiro, R.; et al. Real-World 1-Year Results of Tricuspid Edge-to-Edge Repair From the BRIGHT Study. J. Am. Coll. Cardiol. 2024, 84, 607–616. [Google Scholar] [CrossRef]
- Dreyfus, J.; Lancellotti, P.; Burwash, I.G.; Messika-Zeitoun, D. Refining the Grading of Tricuspid Regurgitation: Enhancing Outcome Prediction and Patient Management. Eur. Heart J. Cardiovasc. Imaging 2024, 25, 1085–1086. [Google Scholar] [CrossRef]
- Dreyfus, J.; Taramasso, M.; Kresoja, K.P.; Omran, H.; Iliadis, C.; Russo, G.; Weber, M.; Nombela-Franco, L.; Estevez Loureiro, R.; Hausleiter, J.; et al. Prognostic Implications of Residual Tricuspid Regurgitation Grading After Transcatheter Tricuspid Valve Repair. JACC Cardiovasc. Interv. 2024, 17, 1485–1495. [Google Scholar] [CrossRef]
- Nayak, K.S.; Nielsen, J.F.; Bernstein, M.A.; Markl, M.; Gatehouse, P.D.; Botnar, R.M.; Saloner, D.; Lorenz, C.; Wen, H.; Hu, B.S.; et al. Cardiovascular Magnetic Resonance Phase Contrast Imaging. J. Cardiovasc. Magn. Reson. 2015, 17, 71. [Google Scholar] [CrossRef]
- Zhan, Y.; Senapati, A.; Vejpongsa, P.; Xu, J.; Shah, D.J.; Nagueh, S.F. Comparison of Echocardiographic Assessment of Tricuspid Regurgitation Against Cardiovascular Magnetic Resonance. JACC Cardiovasc. Imaging 2020, 13, 1461–1471. [Google Scholar] [CrossRef]
- Bissell, M.M.; Raimondi, F.; Ait Ali, L.; Allen, B.D.; Barker, A.J.; Bolger, A.; Burris, N.; Carhäll, C.J.; Collins, J.D.; Ebbers, T.; et al. 4D Flow Cardiovascular Magnetic Resonance Consensus Statement: 2023 Update. J. Cardiovasc. Magn. Reson. 2023, 25, 40. [Google Scholar] [CrossRef]
- Feneis, J.F.; Kyubwa, E.; Atianzar, K.; Cheng, J.Y.; Alley, M.T.; Vasanawala, S.S.; Demaria, A.N.; Hsiao, A. 4D Flow MRI Quantification of Mitral and Tricuspid Regurgitation: Reproducibility and Consistency Relative to Conventional MRI. J. Magn. Reson. Imaging 2018, 48, 1147–1158. [Google Scholar] [CrossRef]
- Ruf, T.F.; Hahn, R.T.; Kreidel, F.; Beiras-Fernandez, A.; Hell, M.; Gerdes, P.; da Roche e Silva, J.G.; Vosseler, M.; Geyer, M.; Tamm, A.; et al. Short-Term Clinical Outcomes of Transcatheter Tricuspid Valve Repair With the Third-Generation MitraClip XTR System. JACC Cardiovasc. Interv. 2021, 14, 1231–1240. [Google Scholar] [CrossRef] [PubMed]
- Besler, C.; Orban, M.; Rommel, K.P.; Braun, D.; Patel, M.; Hagl, C.; Borger, M.; Nabauer, M.; Massberg, S.; Thiele, H.; et al. Predictors of Procedural and Clinical Outcomes in Patients With Symptomatic Tricuspid Regurgitation Undergoing Transcatheter Edge-to-Edge Repair. JACC Cardiovasc. Interv. 2018, 11, 1119–1128. [Google Scholar] [CrossRef] [PubMed]
- Donal, E.; Sitges, M.; Panis, V.; Schueler, R.; Lapp, H.; Moellmann, H.; Nickenig, G.; Bekeredjian, R.; Estevez-Loureiro, R.; Atmowihardjo, I.; et al. Characterization of Tricuspid Valve Anatomy and Coaptation Gap in Subjects Receiving Tricuspid Transcatheter Edge-To-Edge Repair: Observations From the BRIGHT TriClip Study. J. Am. Soc. Echocardiogr. 2024, 37, 397–404. [Google Scholar] [CrossRef]
- Russo, G.; Hahn, R.T.; Alessandrini, H.; Andreas, M.; Badano, L.P.; Braun, D.; Connelly, K.A.; Denti, P.; Estevez-Loureiro, R.; Fam, N.; et al. Effects of Tricuspid Transcatheter Edge-to-Edge Repair on Tricuspid Annulus Diameter—Data from the TriValve Registry. Int. J. Cardiol. 2024, 405, 131934. [Google Scholar] [CrossRef]
- Tanaka, T.; Sugiura, A.; Kavsur, R.; Vogelhuber, J.; Öztürk, C.; Becher, M.U.; Zimmer, S.; Nickenig, G.; Weber, M. Leaflet-to-Annulus Index and Residual Tricuspid Regurgitation Following Tricuspid Transcatheter Edge-to-Edge Repair. EuroIntervention 2022, 18, E169–E178. [Google Scholar] [CrossRef]
- Pizzino, F.; Trimarchi, G.; D’Agostino, A.; Bonanni, M.; Benedetti, G.; Paradossi, U.; Manzo, R.; Capasso, R.; Di Bella, G.; Zito, C.; et al. Impact of Leaflet-to-Annulus Index on Residual Regurgitation Following Transcatheter Edge-to-Edge Repair of the Tricuspid Valve. J. Clin. Med. 2024, 13, 4176. [Google Scholar] [CrossRef]
- Orban, M.; Orban, M.W.; Braun, D.; Deseive, S.; Kupka, D.; Stocker, T.J.; Bagaev, E.; Karam, N.; Hagl, C.; Massberg, S.; et al. Clinical Impact of Elevated Tricuspid Valve Inflow Gradients after Transcatheter Edge-to-Edge Tricuspid Valve Repair. EuroIntervention 2019, 15, E1057–E1064. [Google Scholar] [CrossRef]
- Hahn, R.T. Tricuspid Regurgitation. N. Engl. J. Med. 2023, 388, 1876–1891. [Google Scholar] [CrossRef]
- Bombace, S.; Fortuni, F.; Viggiani, G.; Meucci, M.C.; Condorelli, G.; Carluccio, E.; von Roeder, M.; Jobs, A.; Thiele, H.; Esposito, G.; et al. Right Heart Remodeling and Outcomes in Patients With Tricuspid Regurgitation: A Literature Review and Meta-Analysis. JACC Cardiovasc. Imaging 2024, 17, 595–606. [Google Scholar] [CrossRef]
- Florescu, D.R.; Muraru, D.; Florescu, C.; Volpato, V.; Caravita, S.; Perger, E.; Balseanu, T.A.; Parati, G.; Badano, L.P. Right Heart Chambers Geometry and Function in Patients with the Atrial and the Ventricular Phenotypes of Functional Tricuspid Regurgitation. Eur. Heart J. Cardiovasc. Imaging 2022, 23, 930–940. [Google Scholar] [CrossRef]
- Tanaka, T.; Sugiura, A.; Kavsur, R.; Öztürk, C.; Wilde, N.; Zimmer, S.; Nickenig, G.; Weber, M.; Vogelhuber, J. Changes in Right Ventricular Function and Clinical Outcomes Following Tricuspid Transcatheter Edge-to-Edge Repair. Eur. J. Heart Fail. 2024, 26, 1015–1024. [Google Scholar] [CrossRef] [PubMed]
- Karam, N.; Mehr, M.; Taramasso, M.; Besler, C.; Ruf, T.; Connelly, K.A.; Weber, M.; Yzeiraj, E.; Schiavi, D.; Mangieri, A.; et al. Value of Echocardiographic Right Ventricular and Pulmonary Pressure Assessment in Predicting Transcatheter Tricuspid Repair Outcome. JACC Cardiovasc. Interv. 2020, 13, 1251–1261. [Google Scholar] [CrossRef]
- Agricola, E.; Fiore, G. Right Ventricular Function Profits from Tricuspid Regurgitation Reduction Following Tricuspid Transcatheter Edge-to-Edge Repair: When Is It Never Too Late? Eur. J. Heart Fail. 2024, 26, 1628–1630. [Google Scholar] [CrossRef]
- Genovese, D.; Mor-Avi, V.; Palermo, C.; Muraru, D.; Volpato, V.; Kruse, E.; Yamat, M.; Aruta, P.; Addetia, K.; Badano, L.P.; et al. Comparison Between Four-Chamber and Right Ventricular-Focused Views for the Quantitative Evaluation of Right Ventricular Size and Function. J. Am. Soc. Echocardiogr. 2019, 32, 484–494. [Google Scholar] [CrossRef]
- Badano, L.P.; Addetia, K.; Pontone, G.; Torlasco, C.; Lang, R.M.; Parati, G.; Muraru, D. Advanced Imaging of Right Ventricular Anatomy and Function. Heart 2020, 106, 1469–1476. [Google Scholar] [CrossRef]
- Sheehan, F.; Redington, A. The Right Ventricle: Anatomy, Physiology and Clinical Imaging. Heart 2008, 94, 1510–1515. [Google Scholar] [CrossRef]
- Addetia, K.; Muraru, D.; Badano, L.P.; Lang, R.M. New Directions in Right Ventricular Assessment Using 3-Dimensional Echocardiography. JAMA Cardiol. 2019, 4, 936–944. [Google Scholar] [CrossRef]
- Muraru, D.; Spadotto, V.; Cecchetto, A.; Romeo, G.; Aruta, P.; Ermacora, D.; Jenei, C.; Cucchini, U.; Iliceto, S.; Badano, L.P. New Speckle-Tracking Algorithm for Right Ventricular Volume Analysis from Three-Dimensional Echocardiographic Data Sets: Validation with Cardiac Magnetic Resonance and Comparison with the Previous Analysis Tool. Eur. Heart J. Cardiovasc. Imaging 2016, 17, 1279–1289. [Google Scholar] [CrossRef]
- Prihadi, E.A.; Van Der Bijl, P.; Dietz, M.; Abou, R.; Vollema, E.M.; Marsan, N.A.; Delgado, V.; Bax, J.J. Prognostic Implications of Right Ventricular Free Wall Longitudinal Strain in Patients With Significant Functional Tricuspid Regurgitation. Circ. Cardiovasc. Imaging 2019, 12, e008666. [Google Scholar] [CrossRef]
- Ancona, F.; Melillo, F.; Calvo, F.; Attalla El Halabieh, N.; Stella, S.; Capogrosso, C.; Ingallina, G.; Tafciu, E.; Pascaretta, A.; Ancona, M.B.; et al. Right Ventricular Systolic Function in Severe Tricuspid Regurgitation: Prognostic Relevance of Longitudinal Strain. Eur. Heart J. Cardiovasc. Imaging 2021, 22, 868–875. [Google Scholar] [CrossRef]
- Tello, K.; Wan, J.; Dalmer, A.; Vanderpool, R.; Ghofrani, H.A.; Naeije, R.; Roller, F.; Mohajerani, E.; Seeger, W.; Herberg, U.; et al. Validation of the Tricuspid Annular Plane Systolic Excursion/Systolic Pulmonary Artery Pressure Ratio for the Assessment of Right Ventricular-Arterial Coupling in Severe Pulmonary Hypertension. Circ. Cardiovasc. Imaging 2019, 12, e009047. [Google Scholar] [CrossRef] [PubMed]
- Fortuni, F.; Butcher, S.C.; Dietz, M.F.; van der Bijl, P.; Prihadi, E.A.; De Ferrari, G.M.; Ajmone Marsan, N.; Bax, J.J.; Delgado, V. Right Ventricular-Pulmonary Arterial Coupling in Secondary Tricuspid Regurgitation. Am. J. Cardiol. 2021, 148, 138–145. [Google Scholar] [CrossRef] [PubMed]
- Brener, M.I.; Lurz, P.; Hausleiter, J.; Rodés-Cabau, J.; Fam, N.; Kodali, S.K.; Rommel, K.P.; Muntané-Carol, G.; Gavazzoni, M.; Nazif, T.M.; et al. Right Ventricular-Pulmonary Arterial Coupling and Afterload Reserve in Patients Undergoing Transcatheter Tricuspid Valve Repair. J. Am. Coll. Cardiol. 2022, 79, 448–461. [Google Scholar] [CrossRef] [PubMed]
- Taramasso, M.; Benfari, G.; van der Bijl, P.; Alessandrini, H.; Attinger-Toller, A.; Biasco, L.; Lurz, P.; Braun, D.; Brochet, E.; Connelly, K.A.; et al. Transcatheter Versus Medical Treatment of Patients With Symptomatic Severe Tricuspid Regurgitation. J. Am. Coll. Cardiol. 2019, 74, 2998–3008. [Google Scholar] [CrossRef]
- Lin, F.Y.; Devereux, R.B.; Roman, M.J.; Meng, J.; Jow, V.M.; Jacobs, A.; Weinsaft, J.W.; Shaw, L.J.; Berman, D.S.; Callister, T.Q.; et al. Cardiac Chamber Volumes, Function, and Mass as Determined by 64-Multidetector Row Computed Tomography: Mean Values among Healthy Adults Free of Hypertension and Obesity. JACC Cardiovasc. Imaging 2008, 1, 782–786. [Google Scholar] [CrossRef]
- Van Rosendael, P.J.; Kamperidis, V.; Kong, W.K.F.; Van Rosendael, A.R.; Van Der Kley, F.; Marsan, N.A.; Delgado, V.; Bax, J.J. Computed Tomography for Planning Transcatheter Tricuspid Valve Therapy. Eur. Heart J. 2017, 38, 665–674. [Google Scholar] [CrossRef]
- Cammalleri, V.; Carpenito, M.; Bono, M.C.; Mega, S.; Ussia, G.P.; Grigioni, F. Transcatheter Tricuspid Valve Therapy: From Anatomy to Intervention. Front. Cardiovasc. Med. 2021, 8, 778445. [Google Scholar] [CrossRef]
- Prandi, F.R.; Lerakis, S.; Belli, M.; Illuminato, F.; Margonato, D.; Barone, L.; Muscoli, S.; Chiocchi, M.; Laudazi, M.; Marchei, M.; et al. Advances in Imaging for Tricuspid Transcatheter Edge-to-Edge Repair: Lessons Learned and Future Perspectives. J. Clin. Med. 2023, 12, 3384. [Google Scholar] [CrossRef]
- Naoum, C.; Blanke, P.; Cavalcante, J.L.; Leipsic, J. Cardiac Computed Tomography and Magnetic Resonance Imaging in the Evaluation of Mitral and Tricuspid Valve Disease: Implications for Transcatheter Interventions. Circ. Cardiovasc. Imaging 2017, 10, e005331. [Google Scholar] [CrossRef]
- Kawel-Boehm, N.; Hetzel, S.J.; Ambale-Venkatesh, B.; Captur, G.; Francois, C.J.; Jerosch-Herold, M.; Salerno, M.; Teague, S.D.; Valsangiacomo-Buechel, E.; van der Geest, R.J.; et al. Reference Ranges (“Normal Values”) for Cardiovascular Magnetic Resonance (CMR) in Adults and Children: 2020 Update. J. Cardiovasc. Magn. Reson. 2020, 22, 1–63. [Google Scholar] [CrossRef]
- Zhan, Y.; Debs, D.; Khan, M.A.; Nguyen, D.T.; Graviss, E.A.; Khalaf, S.; Little, S.H.; Reardon, M.J.; Nagueh, S.; Quiñones, M.A.; et al. Natural History of Functional Tricuspid Regurgitation Quantified by Cardiovascular Magnetic Resonance. J. Am. Coll. Cardiol. 2020, 76, 1291–1301. [Google Scholar] [CrossRef] [PubMed]
- Kresoja, K.P.; Rommel, K.P.; Lücke, C.; Unterhuber, M.; Besler, C.; von Roeder, M.; Schöber, A.R.; Noack, T.; Gutberlet, M.; Thiele, H.; et al. Right Ventricular Contraction Patterns in Patients Undergoing Transcatheter Tricuspid Valve Repair for Severe Tricuspid Regurgitation. JACC Cardiovasc. Interv. 2021, 14, 1551–1561. [Google Scholar] [CrossRef] [PubMed]
- García-Alvarez, A.; Fernández-Friera, L.; Mirelis, J.G.; Sawit, S.; Nair, A.; Kallman, J.; Fuster, V.; Sanz, J. Non-Invasive Estimation of Pulmonary Vascular Resistance with Cardiac Magnetic Resonance. Eur. Heart J. 2011, 32, 2438–2445. [Google Scholar] [CrossRef] [PubMed]
- Del Rio-Pertuz, G.; Nugent, K.; Argueta-Sosa, E. Right Heart Catheterization in Clinical Practice: A Review of Basic Physiology and Important Issues Relevant to Interpretation. Am. J. Cardiovasc. Dis. 2023, 13, 122. [Google Scholar] [PubMed]
- Humbert, M.; Kovacs, G.; Hoeper, M.M.; Badagliacca, R.; Berger, R.M.F.; Brida, M.; Carlsen, J.; Coats, A.J.S.; Escribano-Subias, P.; Ferrari, P.; et al. 2022 ESC/ERS Guidelines for the Diagnosis and Treatment of Pulmonary Hypertension. Eur. Respir. J. 2023, 61, 2200879. [Google Scholar] [CrossRef]
- Sisinni, A.; Taramasso, M.; Praz, F.; Metra, M.; Agricola, E.; Margonato, A.; Fam, N.; Estevez-Loureiro, R.; Latib, A.; Messika-Zeitoun, D.; et al. Concomitant Transcatheter Edge-to-Edge Treatment of Secondary Tricuspid and Mitral Regurgitation: An Expert Opinion. JACC Cardiovasc. Interv. 2023, 16, 127–139. [Google Scholar] [CrossRef]
- Stocker, T.J.; Hertell, H.; Orban, M.; Braun, D.; Rommel, K.P.; Ruf, T.; Ong, G.; Nabauer, M.; Deseive, S.; Fam, N.; et al. Cardiopulmonary Hemodynamic Profile Predicts Mortality After Transcatheter Tricuspid Valve Repair in Chronic Heart Failure. JACC Cardiovasc. Interv. 2021, 14, 29–38. [Google Scholar] [CrossRef]
- Lurz, P.; Orban, M.; Besler, C.; Braun, D.; Schlotter, F.; Noack, T.; Desch, S.; Karam, N.; Kresoja, K.P.; Hagl, C.; et al. Clinical Characteristics, Diagnosis, and Risk Stratification of Pulmonary Hypertension in Severe Tricuspid Regurgitation and Implications for Transcatheter Tricuspid Valve Repair. Eur. Heart J. 2020, 41, 2785–2795. [Google Scholar] [CrossRef]
- Kane, C.J.; Lara-Breitinger, K.M.; Alabdaljabar, M.S.; Nkomo, V.T.; Padang, R.; Pislaru, C.; Kane, G.C.; Scott, C.; Pislaru, S.V.; Lin, G. Pulmonary Artery Pulsatility Index in Patients with Tricuspid Valve Regurgitation: A Simple Non-Invasive Tool for Risk Stratification. Eur. Heart J. Cardiovasc. Imaging 2023, 24, 1210–1221. [Google Scholar] [CrossRef]
- Sorajja, P.; Whisenant, B.; Hamid, N.; Naik, H.; Makkar, R.; Tadros, P.; Price, M.J.; Singh, G.; Fam, N.; Kar, S.; et al. Transcatheter Repair for Patients with Tricuspid Regurgitation. N. Engl. J. Med. 2023, 388, 1833–1842. [Google Scholar] [CrossRef]
- Hahn, R.T.; Wilkoff, B.L.; Kodali, S.; Birgersdotter-Green, U.M.; Ailawadi, G.; Addetia, K.; Andreas, M.; Auricchio, A.; Ehlert, F.; George, I.; et al. Managing Implanted Cardiac Electronic Devices in Patients With Severe Tricuspid Regurgitation: JACC State-of-the-Art Review. J. Am. Coll. Cardiol. 2024, 83, 2002–2014. [Google Scholar] [CrossRef] [PubMed]
- Paniagua, D.; Aldrich, H.R.; Lieberman, E.H.; Lamas, G.A.; Agatston, A.S. Increased Prevalence of Significant Tricuspid Regurgitation in Patients with Transvenous Pacemakers Leads. Am. J. Cardiol. 1998, 82, 1130–1132. [Google Scholar] [CrossRef] [PubMed]
- Andreas, M.; Burri, H.; Praz, F.; Soliman, O.; Badano, L.; Barreiro, M.; Cavalcante, J.L.; De Potter, T.; Doenst, T.; Friedrichs, K.; et al. Tricuspid Valve Disease and Cardiac Implantable Electronic Devices. Eur. Heart J. 2024, 45, 346–365. [Google Scholar] [CrossRef] [PubMed]
- Addetia, K.; Maffessanti, F.; Mediratta, A.; Yamat, M.; Weinert, L.; Moss, J.D.; Nayak, H.M.; Burke, M.C.; Patel, A.R.; Kruse, E.; et al. Impact of Implantable Transvenous Device Lead Location on Severity of Tricuspid Regurgitation. J. Am. Soc. Echocardiogr. 2014, 27, 1164. [Google Scholar] [CrossRef]
- Yu, Y.J.; Chen, Y.; Lau, C.P.; Liu, Y.X.; Wu, M.Z.; Chen, Y.Y.; Ho, L.M.; Tse, H.F.; Yiu, K.H. Nonapical Right Ventricular Pacing Is Associated with Less Tricuspid Valve Interference and Long-Term Progress of Tricuspid Regurgitation. J. Am. Soc. Echocardiogr. 2020, 33, 1375–1383. [Google Scholar] [CrossRef]
- La Fazia, V.M.; Lepone, A.; Pierucci, N.; Gianni, C.; Barletta, V.; Mohanty, S.; Della Rocca, D.G.; La Valle, C.; Torlapati, P.G.; Al-Ahmad, M.; et al. Low Prevalence of New-Onset Severe Tricuspid Regurgitation Following Leadless Pacemaker Implantation in a Large Series of Consecutive Patients. Heart Rhythm 2024, in press. [Google Scholar] [CrossRef]
- Stankovic, I.; Voigt, J.U.; Burri, H.; Muraru, D.; Sade, L.E.; Haugaa, K.H.; Lumens, J.; Biffi, M.; Dacher, J.N.; Marsan, N.A.; et al. Imaging in Patients with Cardiovascular Implantable Electronic Devices: Part 2-Imaging after Device Implantation. A Clinical Consensus Statement of the European Association of Cardiovascular Imaging (EACVI) and the European Heart Rhythm Association (EHRA) of the ESC. Eur. Heart J. Cardiovasc. Imaging 2023, 25, E33–E54. [Google Scholar] [CrossRef]
- Taramasso, M.; Gavazzoni, M.; Pozzoli, A.; Alessandrini, H.; Latib, A.; Attinger-Toller, A.; Biasco, L.; Braun, D.; Brochet, E.; Connelly, K.A.; et al. Outcomes of TTVI in Patients With Pacemaker or Defibrillator Leads: Data From the TriValve Registry. JACC Cardiovasc. Interv. 2020, 13, 554–564. [Google Scholar] [CrossRef]
- Lurz, J.; Rommel, K.P.; Unterhuber, M.; Besler, C.; Noack, T.; Borger, M.; Richter, S.; Hindricks, G.; Thiele, H.; Lurz, P. Safety and Efficacy of Transcatheter Edge-to-Edge Repair of the Tricuspid Valve in Patients With Cardiac Implantable Electronic Device Leads. JACC Cardiovasc. Interv. 2019, 12, 2114–2116. [Google Scholar] [CrossRef]
- Alachkar, M.N.; Schnupp, S.; Eichelsdoerfer, A.; Milzi, A.; Mady, H.; Salloum, B.; Bisht, O.; Cheikh-Ibrahim, M.; Forkmann, M.; Krygier, L.; et al. Feasibility and Efficacy of Transcatheter Tricuspid Valve Repair in Patients with Cardiac Implanted Electrical Devices and Trans-Tricuspid Leads. J. Clin. Med. 2023, 12, 4930. [Google Scholar] [CrossRef]
- Anderson, J.H.; McElhinney, D.B.; Aboulhosn, J.; Zhang, Y.; Ribichini, F.; Eicken, A.; Whisenant, B.; Jones, T.; Kornowski, R.; Dvir, D.; et al. Management and Outcomes of Transvenous Pacing Leads in Patients Undergoing Transcatheter Tricuspid Valve Replacement. JACC Cardiovasc. Interv. 2020, 13, 2012–2020. [Google Scholar] [CrossRef] [PubMed]
- Ranard, L.S.; Vahl, T.P.; Chung, C.J.; Sadri, S.; Khalique, O.K.; Hamid, N.; Nazif, T.; George, I.; Ng, V.; Patel, A.; et al. Impact of Inferior Vena Cava Entry Characteristics on Tricuspid Annular Access during Transcatheter Interventions. Catheter. Cardiovasc. Interv. 2022, 99, 1268–1276. [Google Scholar] [CrossRef] [PubMed]
- Blusztein, D.I.; Hahn, R.T. New Therapeutic Approach for Tricuspid Regurgitation: Transcatheter Tricuspid Valve Replacement or Repair. Front. Cardiovasc. Med. 2023, 10, 1080101. [Google Scholar] [CrossRef]
- Oakley, L.; Yoon, S.H.; Makar, M.; Yung, A.; Patel, D.; Sekhon, N.; Nakamura, M.; Chakravarty, T.; Makkar, R.R. Left-Sided Venous Access: A Technique to Simplify and Improve Success of Tricuspid Valve Clip Repair. JACC Cardiovasc. Interv. 2021, 14, 581–582. [Google Scholar] [CrossRef]
- Madhavan, M.V.; Agarwal, V.; Hahn, R.T. Transcatheter Therapy for the Tricuspid Valve: A Focused Review of Edge-to-Edge Repair and Orthotopic Valve Replacement. Curr. Cardiol. Rep. 2024, 26, 459–474. [Google Scholar] [CrossRef]
- Nickenig, G.; Lurz, P.; Sorajja, P.; von Bardeleben, R.S.; Sitges, M.; Tang, G.H.L.; Hausleiter, J.; Trochu, J.N.; Näbauer, M.; Heitkemper, M.; et al. Percutaneous Edge-to-Edge Repair for Tricuspid Regurgitation: 3-Year Outcomes From the TRILUMINATE Study. JACC Cardiovasc. Interv. 2024, 17, 2113–2122. [Google Scholar] [CrossRef]
- Kodali, S.K.; Hahn, R.T.; Davidson, C.J.; Narang, A.; Greenbaum, A.; Gleason, P.; Kapadia, S.; Miyasaka, R.; Zahr, F.; Chadderdon, S.; et al. 1-Year Outcomes of Transcatheter Tricuspid Valve Repair. J. Am. Coll. Cardiol. 2023, 81, 1766–1776. [Google Scholar] [CrossRef]
- Gerçek, M.; Narang, A.; Körber, M.I.; Friedrichs, K.P.; Puthumana, J.J.; Ivannikova, M.; Al-Kazaz, M.; Cremer, P.; Baldridge, A.S.; Meng, Z.; et al. GLIDE Score: Scoring System for Prediction of Procedural Success in Tricuspid Valve Transcatheter Edge-to-Edge Repair. JACC Cardiovasc. Imaging 2024, 17, 729–742. [Google Scholar] [CrossRef]
- Hamid, N.; Aman, E.; Bae, R.; Scherer, M.; Smith, T.W.R.; Schwartz, J.; Rinaldi, M.; Singh, G.; Sorajja, P. 3D Navigation and Intraprocedural Intracardiac Echocardiography Imaging for Tricuspid Transcatheter Edge-to-Edge Repair. JACC Cardiovasc. Imaging 2024, 17, 441–447. [Google Scholar] [CrossRef]
- Pighi, M.; Thériault-Lauzier, P.; Alosaimi, H.; Spaziano, M.; Martucci, G.; Xiong, T.Y.; Buithieu, J.; Ybarra, L.F.; Afilalo, J.; Leipsic, J.; et al. Fluoroscopic Anatomy of Right-Sided Heart Structures for Transcatheter Interventions. JACC Cardiovasc. Interv. 2018, 11, 1614–1625. [Google Scholar] [CrossRef]
- Kodali, S.; Hahn, R.T.; Makkar, R.; Makar, M.; Davidson, C.J.; Puthumana, J.J.; Zahr, F.; Chadderdon, S.; Fam, N.; Ong, G.; et al. Transfemoral Tricuspid Valve Replacement and One-Year Outcomes: The TRISCEND Study. Eur. Heart J. 2023, 44, 4862–4873. [Google Scholar] [CrossRef]
- Grayburn, P.A.; Kodali, S.K.; Hahn, R.T.; Lurz, P.; Thourani, V.H.; Kozorovitsky, E.R.; Gilmore, S.Y.; Vinekar, C.; Zhang, B.; Boulware, K.; et al. TRISCEND II: Novel Randomized Trial Design for Transcatheter Tricuspid Valve Replacement. Am. J. Cardiol. 2024, 225, 171–177. [Google Scholar] [CrossRef]
- Stolz, L.; Weckbach, L.T.; Hahn, R.T.; Chatfield, A.G.; Fam, N.P.; von Bardeleben, R.S.; Davidson, C.J.; Grayburn, P.A.; Zahr, F.; Hausleiter, J. 2-Year Outcomes Following Transcatheter Tricuspid Valve Replacement Using the EVOQUE System. J. Am. Coll. Cardiol. 2023, 81, 2374–2376. [Google Scholar] [CrossRef]
- Gelves-Meza, J.; Lang, R.M.; Valderrama-Achury, M.D.; Zamorano, J.L.; Vargas-Acevedo, C.; Medina, H.M.; Salazar, G. Tricuspid Regurgitation Related to Cardiac Implantable Electronic Devices: An Integrative Review. J. Am. Soc. Echocardiogr. 2022, 35, 1107–1122. [Google Scholar] [CrossRef]
- Rajiah, P.S.; Reddy, P.; Baliyan, V.; Hedgire, S.S.; Foley, T.A.; Williamson, E.E.; Eleid, M.F. Utility of CT and MRI in Tricuspid Valve Interventions. Radiographics 2023, 43, e220153. [Google Scholar] [CrossRef]
- Fam, N.P.; Ong, G.; Estevez-Loureiro, R.; Frerker, C.; Bedogni, F.; Sanchez-Recalde, A.; Berti, S.; Benetis, R.; Nickenig, G.; Peterson, M.D.; et al. Transcatheter Tricuspid Valve Replacement With the Cardiovalve System. JACC Cardiovasc. Interv. 2024, 17, 586–588. [Google Scholar] [CrossRef]
- Blasco-Turrión, S.; Briedis, K.; Estévez-Loureiro, R.; Sánchez-Recalde, A.; Cruz-González, I.; Pascual, I.; Mascherbauer, J.; Abdul-Jawad Altisent, O.; Nombela-Franco, L.; Pan, M.; et al. Bicaval TricValve Implantation in Patients With Severe Symptomatic Tricuspid Regurgitation: 1-Year Follow-Up Outcomes. JACC Cardiovasc. Interv. 2024, 17, 60–72. [Google Scholar] [CrossRef]
- Cruz-González, I.; Martín-Moreiras, J.; López-Tejero, S. Trillium: A New Treatment for Severe Tricuspid Regurgitation. Rev. Esp. Cardiol. 2023, 76, 750. [Google Scholar] [CrossRef]
- Sherif, M.; Schmidt, A.; Path, J.R.; Rheinthaler, M.; Trippel, T.D. UNICA—A Novel Single-Stent, Double-Valve, Heterotopic, Cross-Caval Approach for Severe Tricuspid Insufficiency. EuroIntervention 2024, 20, 107–108. [Google Scholar] [CrossRef]
- LaPar, D.J.; Likosky, D.S.; Zhang, M.; Theurer, P.; Fonner, C.E.; Kern, J.A.; Bolling, S.F.; Drake, D.H.; Speir, A.M.; Rich, J.B.; et al. Development of a Risk Prediction Model and Clinical Risk Score for Isolated Tricuspid Valve Surgery. Ann. Thorac. Surg. 2018, 106, 129–136. [Google Scholar] [CrossRef]
- McElhinney, D.B.; Cabalka, A.K.; Aboulhosn, J.A.; Eicken, A.; Boudjemline, Y.; Schubert, S.; Himbert, D.; Asnes, J.D.; Salizzoni, S.; Bocks, M.L.; et al. Transcatheter Tricuspid Valve-in-Valve Implantation for the Treatment of Dysfunctional Surgical Bioprosthetic Valves: An International, Multicenter Registry Study. Circulation 2016, 133, 1582–1593. [Google Scholar] [CrossRef] [PubMed]
- McElhinney, D.B.; Aboulhosn, J.A.; Dvir, D.; Whisenant, B.; Zhang, Y.; Eicken, A.; Ribichini, F.; Tzifa, A.; Hainstock, M.R.; Martin, M.H.; et al. Mid-Term Valve-Related Outcomes After Transcatheter Tricuspid Valve-in-Valve or Valve-in-Ring Replacement. J. Am. Coll. Cardiol. 2019, 73, 148–157. [Google Scholar] [CrossRef] [PubMed]








| Primary TR | Secondary Ventricular TR | Secondary Atrial TR | CIED-Related TR | |
|---|---|---|---|---|
![]() | ![]() | ![]() | ![]() | |
| Prevalence | 10–15% | 55–75% | 10–15% | 5–15% |
| Leaflet morphology | Abnormal | Normal but tethered | Normal | Variable |
| Etiology | Prolapse Flail Rheumatic Carcinoid Endocarditis Post-attinic Trauma Congenital Iatrogenic | Left heart disease Pulmonary hypertension RV disease | Atrial fibrillation HFpEF | Lead-induced impingement, entrapment, tear or perforation of a leaflet; RV dyssynchrony or dysfunction |
| Pathophysiology | Carpentier I Carpentier IIIA | Carpentier IIIB | Carpentier I | Carpentier I, II, IIIA, IIIB |
| Imaging features | Coaptation gap, leaflet restriction, leaflet perforation | Leaflet tethering, RV dilatation/dysfunction | Annular dilatation, RA dilatation | Position and relationship of the lead to the leaflets (3D echocardiography) |
| Parameter | Mild | Moderate | Severe | Massive | Torrential | |
|---|---|---|---|---|---|---|
| VC biplane | <3 mm | 3–6.9 mm | 7–13 mm | 14–20 mm | ≥21 mm | |
| EROA-PISA | <20 mm2 | 20–39 mm2 | 40–59 mm2 | 60–79 mm2 | ≥80 mm2 | |
| Mild-to-moderate | Moderate-to-severe | |||||
| 20–29 mm2 | 30–39 mm2 | |||||
| VCA-3D | - | - | 75–94 mm2 | 95–114 mm2 | ≥115 mm2 | |
| TTE a | CARDIAC CT c | CMR e | RHC f | ||||||
|---|---|---|---|---|---|---|---|---|---|
| Longitudinal systolic function | Mean ± SD | LLN | Distance from RCA toTV apparatus | RVEDV, mL | 176–244 | RAP | 0–6 mmHg | ||
| TAPSE, mm | 21 ± 3.8 | 15.2 | At the level of anterior tricuspid leaflet | RVESV, mL | 48–123 | RVSP | 15–25 mmHg | ||
| S’ | 13 ± 2.3 | 9.4 | Transverse distance to RCA, mm | 8.8 ± 4.5 | RVEF, % | 46–72 | RVDP | 8–15 mmHg | |
| Circumferential systolic function | Vertical distance to RCA, mm | 4.4 ± 1.8 | PAPs | 15–25 mmHg | |||||
| RV FAC, % | 42 ± 4.3 | 35.3 | At the level of posterior tricuspid leaflet | PAPd | 8–15 mmHg | ||||
| RV size (RV apical focused view) | ULN | Transverse distance to RCA, mm | 3.6 ± 3.4 | PCWP | 6–12 mmHg | ||||
| RV basal diameter, mm | 32.8 ± 5.3 | 44.2 | Vertical distance to RCA, mm | 4.6 ± 2.3 | Derived Measures | Normal values | Formulas | ||
| RV mid diameter, mm | 26.4 ± 5.7 | 38.6 | Tricuspid valve annulus | CO (Fick) | 4–8 L/min | 125 × BSA/[Hb × 1.36 × (SaO2 − SvO2)] | |||
| RV length, mm | 73.7 ± 8.7 | 91.8 | Antero-posterior diameter, mm | 44.5 ± 5.1 | PAPm | 10–20 mmHg | [PAPs + (2 × PAPd)]/3 | ||
| Tricuspid annulus, mm | 28.6 ± 5.1 | 39.4 | Septal-lateral diameter, mm | 37.3 ± 5.4 | TPG | <13 mmHg | PAPm − PCWP | ||
| 3D | Normal value | Perimeter, mm | 132.4 ± 5.3 | CI | 2.5–4 L (min × m2) | CO/BSA | |||
| RVEF, % | 56–71 | Area, mm2 | 1297 ± 297 | SV | 60–100 mL/beat | CO/HR × 1000 | |||
| RVEDV, mL/m2 | 43–66 | Distance from anulus to RV, mm | 70 ± 10 | SVI | 33–47 mL (m2 × beat) | CI/HR × 1000 | |||
| RVESV, mL/m2 | 12–28 | Function d | Normal value | SVR | 800–1200 dynes-sec/cm5 | 80 × (MAP − RAP)/CO | |||
| Strain | LLN | RVEDV, mL | 175 ± 48 | SVRI | 1970–2390 dynes-sec/cm5/m2 | 80 × (MAP − RAP)/CI | |||
| RV-GLS, % | 18–21 | <14 | RVEDVi, mL/m2 | 93 ± 20 | PVR | <3 WU | (PAPm − PCWP)/CO | ||
| RV-FWLS, % | 20–23 | <15 | RVESV, mL | 82 ± 29 | PVRI | 255–285 dynes-sec/cm5/m2 | 80 × (PAPm − PCWP)/CI | ||
| Ventricular-arterial coupling b | LLN | RVEF, % | 58 ± 8 | PAPi | >0.9 | (PAPs − PAPd)/RAP | |||
| TAPSE/PAPs | 0.406 | <0.406 | RVSW g | 7–19 g × m | (PAPm − RAP) × SV × 0.0136 | ||||
Disclaimer/Publisher’s Note: The statements, opinions and data contained in all publications are solely those of the individual author(s) and contributor(s) and not of MDPI and/or the editor(s). MDPI and/or the editor(s) disclaim responsibility for any injury to people or property resulting from any ideas, methods, instructions or products referred to in the content. |
© 2024 by the authors. Licensee MDPI, Basel, Switzerland. This article is an open access article distributed under the terms and conditions of the Creative Commons Attribution (CC BY) license (https://creativecommons.org/licenses/by/4.0/).
Share and Cite
Cannata, F.; Stankowski, K.; Galasso, M.; Muratori, M.; Mancini, E.; Colombo, A.; Pontone, G.; De Marco, F.; Fazzari, F.; Mangieri, A. Key Imaging Factors for Transcatheter Management of Tricuspid Regurgitation: Device and Patient Selection. J. Clin. Med. 2024, 13, 6144. https://doi.org/10.3390/jcm13206144
Cannata F, Stankowski K, Galasso M, Muratori M, Mancini E, Colombo A, Pontone G, De Marco F, Fazzari F, Mangieri A. Key Imaging Factors for Transcatheter Management of Tricuspid Regurgitation: Device and Patient Selection. Journal of Clinical Medicine. 2024; 13(20):6144. https://doi.org/10.3390/jcm13206144
Chicago/Turabian StyleCannata, Francesco, Kamil Stankowski, Michele Galasso, Manuela Muratori, Elisabetta Mancini, Antonio Colombo, Gianluca Pontone, Federico De Marco, Fabio Fazzari, and Antonio Mangieri. 2024. "Key Imaging Factors for Transcatheter Management of Tricuspid Regurgitation: Device and Patient Selection" Journal of Clinical Medicine 13, no. 20: 6144. https://doi.org/10.3390/jcm13206144
APA StyleCannata, F., Stankowski, K., Galasso, M., Muratori, M., Mancini, E., Colombo, A., Pontone, G., De Marco, F., Fazzari, F., & Mangieri, A. (2024). Key Imaging Factors for Transcatheter Management of Tricuspid Regurgitation: Device and Patient Selection. Journal of Clinical Medicine, 13(20), 6144. https://doi.org/10.3390/jcm13206144





