Primary Lateral Sclerosis: An Overview
Abstract
1. Introduction
2. Neuropathology, Neurobiology, and Genetics of PLS
3. Clinical Features
4. Diagnostic Criteria
5. Neurophysiological Features
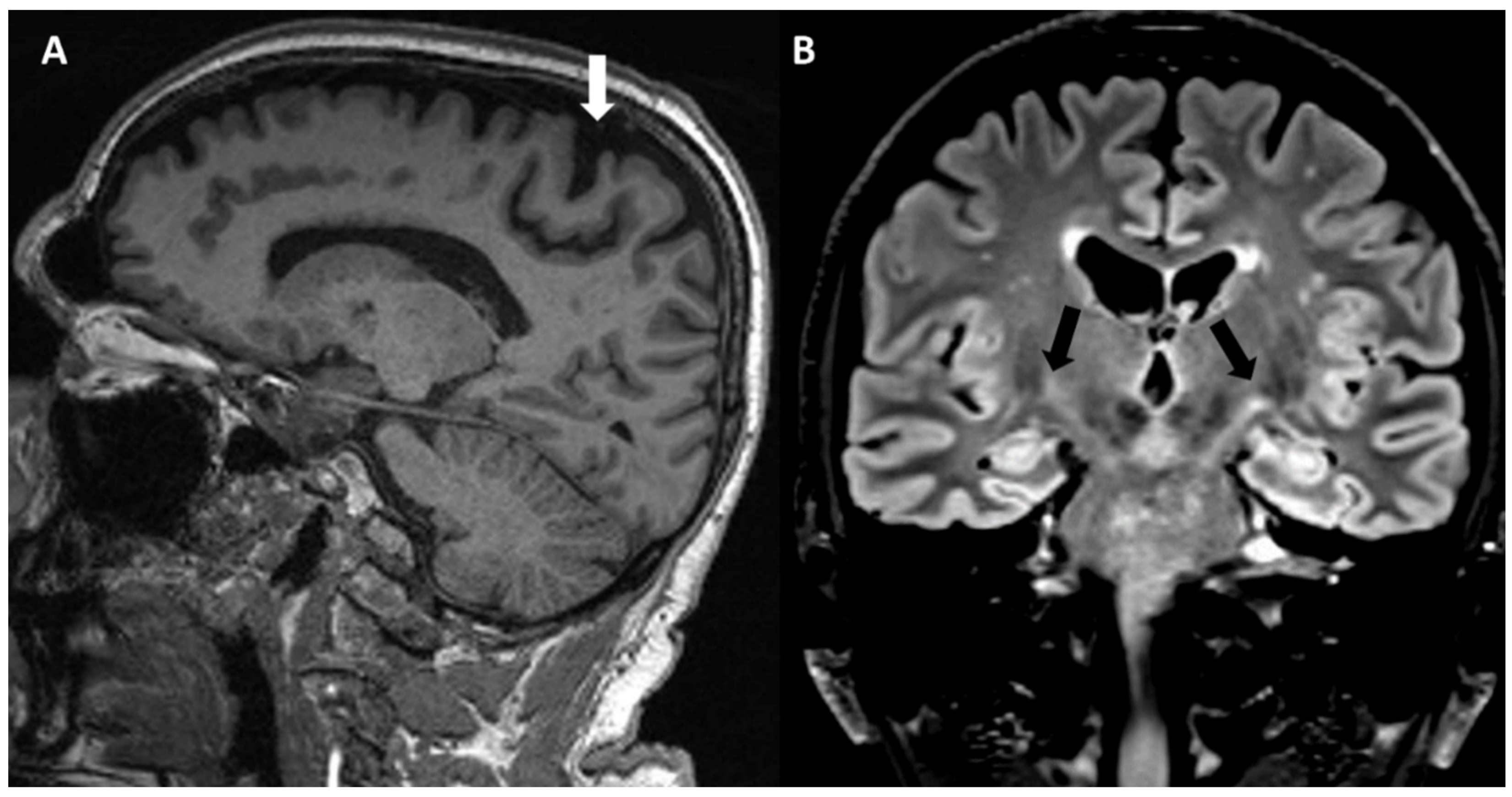
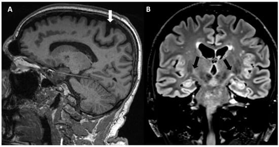
6. Neuroimaging
7. Differential Diagnoses
8. Biofluid Biomarkers
9. Management and Treatment
10. Conclusions
Author Contributions
Funding
Institutional Review Board Statement
Informed Consent Statement
Data Availability Statement
Acknowledgments
Conflicts of Interest
References
- Eisean, A.A. Chapter 16 Primary lateral sclerosis. Handb. Clin. Neurol. 2007, 82, 315–325. [Google Scholar]
- Erb, W.H. Ueber einen wenig bekannen spinalen symptomencomplex. Berl. Klin. Wochenschr. 1875, 12, 357–359. [Google Scholar]
- Barohn, R.J.; Fink, J.K.; Heiman-Patterson, T.; Huey, E.D.; Murphy, J.; Statland, J.M.; Turner, M.R.; Elman, L. The clinical spectrum of primary lateral sclerosis. Amyotroph. Lateral Scler. Front. Degener. 2020, 21 (Suppl. 1), 3–10. [Google Scholar] [CrossRef] [PubMed]
- Finegan, E.; Chipika, R.H.; Shing, S.L.H.; Hardiman, O.; Bede, P. Primary lateral sclerosis: A distinct entity or part of the ALS spectrum? Amyotroph. Lateral Scler. Front. Degener. 2019, 20, 133–145. [Google Scholar] [CrossRef] [PubMed]
- Barceló, M.A.; Povedano, M.; Vázquez-Costa, J.F.; Franquet, Á.; Solans, M.; Saez, M. Estimation of the prevalence and incidence of motor neuron diseases in two Spanish regions: Catalonia and Valencia. Sci. Rep. 2021, 11, 6207. [Google Scholar] [CrossRef]
- Singer, M.A.; Statland, J.M.; Wolfe, G.I.; Barohn, R.J. Primary lateral sclerosis. Muscle Nerve 2007, 35, 291–302. [Google Scholar] [CrossRef] [PubMed]
- Turner, M.R.; Barohn, R.J.; Corcia, P.; Fink, J.K.; Harms, M.B.; Kiernan, M.C.; Ravits, J.; Silani, V.; Simmons, Z.; Statland, J.; et al. Primary lateral sclerosis: Consensus diagnostic criteria. J. Neurol. Neurosurg. Psychiatry 2020, 91, 373–377. [Google Scholar] [CrossRef] [PubMed]
- Ramanathan, R.S.; Rana, S. Demographics and clinical characteristics of primary lateral sclerosis: Case series and a review of literature. Neurodegener. Dis. Manag. 2018, 8, 17–23. [Google Scholar] [CrossRef]
- Hassan, A.; Mittal, S.O.; Hu, W.T.; Josephs, K.A.; Sorenson, E.J.; Ahlskog, J.E. Natural History of “Pure” Primary Lateral Sclerosis. Neurology 2021, 96, e2231–e2238. [Google Scholar] [CrossRef]
- Singer, M.A.; Kojan, S.; Barohn, R.J.; Herbelin, L.; Nations, S.P.; Trivedi, J.R.; Jackson, C.E.; Burns, D.K.; Boyer, P.J.; Wolfe, G.I. Primary lateral sclerosis: Clinical and laboratory features in 25 patients. J. Clin. Neuromuscul. Dis. 2005, 7, 1–9. [Google Scholar] [CrossRef]
- Bede, P.; Pradat, P.F.; Lope, J.; Vourc’h, P.; Blasco, H.; Corcia, P. Primary Lateral Sclerosis: Clinical, radiological and molecular features. Rev. Neurol. 2022, 178, 196–205. [Google Scholar] [CrossRef]
- Le Forestier, N.; Maisonobe, T.; Piquard, A.; Rivaud, S.; Crevier-Buchman, L.; Salachas, F.; Pradat, P.F.; Lacomblez, L.; Meininger, V. Does primary lateral sclerosis exist? A study of 20 patients and a review of the literature. Brain 2001, 124, 1989–1999. [Google Scholar] [CrossRef] [PubMed]
- Tsuchiya, K.; Arai, M.; Matsuya, S.; Nishimura, H.; Ishiko, T.; Kondo, H.; Ikeda, K.; Matsushita, M. Sporadic amyotrophic lateral sclerosis resembling primary lateral sclerosis: Report of an autopsy case and a review of the literature. Neuropathology 1999, 19, 71–76. [Google Scholar] [CrossRef]
- Konagaya, M.; Sakai, M.; Matsuoka, Y.; Konagaya, Y.; Hashizume, Y. Upper motor neuron predominant degeneration with frontal and temporal lobe atrophy. Acta Neuropathol. 1998, 96, 532–536. [Google Scholar] [CrossRef] [PubMed]
- Tan, C.F.; Kakita, A.; Piao, Y.S.; Kikugawa, K.; Endo, K.; Tanaka, M.; Okamoto, K.; Takahashi, H. Primary lateral sclerosis: A rare upper-motor-predominant form of amyotrophic lateral sclerosis often accompanied by frontotemporal lobar degeneration with ubiquitinated neuronal inclusions? Report of an autopsy case and a review of the literature. Acta Neuropathol. 2003, 105, 615–620. [Google Scholar] [CrossRef] [PubMed]
- Beal, M.F.; Richardson, E.P. Primary Lateral Sclerosis: A Case Report. Arch. Neurol. 1981, 38, 630–633. [Google Scholar] [CrossRef]
- Pringle, C.E.; Hudson, A.J.; Munoz, D.G.; Kiernan, J.A.; Brown, W.F.; Ebers, G.C. Primary lateral sclerosis. Clinical features, neuropathology and diagnostic criteria. Brain 1992, 115, 495–520. [Google Scholar] [CrossRef]
- Tartaglia, M.C.; Laluz, V.; Rowe, A.; Findlater, K.; Lee, D.H.; Kennedy, K.; Kramer, J.H.; Strong, M.J. Brain atrophy in primary lateral sclerosis. Neurology 2009, 72, 1236–1241. [Google Scholar] [CrossRef]
- Watanabe, R.; Iino, M.; Honda, M.; Sano, J.; Hara, M. Primary lateral sclerosis. Neuropathology 1997, 17, 220–224. [Google Scholar] [CrossRef]
- Sugihara, H.; Horiuchi, M.; Kamo, T.; Fujisawa, K.; Abe, M.; Sakiyama, T.; Tadokoro, M. A case of primary lateral sclerosis taking a prolonged clinical course with dementia and having an unusual dendritic ballooning. Neuropathology 1999, 19, 77–84. [Google Scholar] [CrossRef]
- Neumann, M.; Sampathu, D.M.; Kwong, L.K.; Truax, A.C.; Micsenyi, M.C.; Chou, T.T.; Bruce, J.; Schuck, T.; Grossman, M.; Clark, C.M.; et al. Ubiquitinated TDP-43 in frontotemporal lobar degeneration and amyotrophic lateral sclerosis. Science 2006, 314, 130–133. [Google Scholar] [CrossRef]
- Cairns, N.J.; Bigio, E.H.; Mackenzie, I.R.; Neumann, M.; Lee, V.M.; Hatanpaa, K.J.; White, C.L., 3rd; Schneider, J.A.; Grinberg, L.T.; Halliday, G.; et al. Consortium for Frontotemporal Lobar Degeneration. Neuropathologic diagnostic and nosologic criteria for frontotemporal lobar degeneration: Consensus of the Consortium for Frontotemporal Lobar Degeneration. Acta Neuropathol. 2007, 114, 5–22. [Google Scholar] [CrossRef]
- Mackenzie, I.R.A. Neuropathology of primary lateral sclerosis. Amyotroph. Lateral Scler. Front. Degener. 2020, 21, 47–51. [Google Scholar] [CrossRef]
- Kosaka, T.; Fu, Y.J.; Shiga, A.; Ishidaira, H.; Tan, C.F.; Tani, T.; Koike, R.; Onodera, O.; Nishizawa, M.; Kakita, A.; et al. Primary lateral sclerosis: Upper-motor-predominant amyotrophic lateral sclerosis with frontotemporal lobar degeneration—Immunohistochemical and biochemical analyses of TDP-43. Neuropathology 2012, 32, 373–384. [Google Scholar] [CrossRef] [PubMed]
- Hirsch-Reinshagen, V.; Alfaify, O.A.; Hsiung, G.R.; Pottier, C.; Baker, M.; Perkerson, R.B., III; Rademakers, R.; Briemberg, H.; Foti, D.J.; Mackenzie, I.R. Clinicopathologic correlations in a family with a TBK1 mutation presenting as primary progressive aphasia and primary lateral sclerosis. Amyotroph. Lateral Scler. Front. Degener. 2019, 20, 568–575. [Google Scholar] [CrossRef]
- Mackenzie, I.R.A.; Briemberg, H. TDP-43 pathology in primary lateral sclerosis. Amyotroph. Lateral Scler. Front. Degener. 2020, 21, 52–58. [Google Scholar] [CrossRef] [PubMed]
- Hainfellner, J.A.; Pilz, P.; Lassmann, H.; Ladurner, G.; Budka, H. Diffuse Lewy body disease as substrate of primary lateral sclerosis. J. Neurol. 1995, 242, 59–63. [Google Scholar] [CrossRef]
- Liu, A.J.; Chang, J.E.; Naasan, G.; Boxer, A.L.; Miller, B.L.; Spina, S. Progressive supranuclear palsy and primary lateral sclerosis secondary to globular glial tauopathy: A case report and a practical theoretical framework for the clinical prediction of this rare pathological entity. Neurocase 2020, 26, 91–97. [Google Scholar] [CrossRef] [PubMed]
- Mackenzie, I.R.; Feldman, H. Neurofilament inclusion body disease with early onset frontotemporal dementia and primary lateral sclerosis. Clin. Neuropathol. 2004, 23, 183–193. [Google Scholar] [PubMed]
- Cullinane, P.W.; Sidle, K.; Bhatia, K.P.; Revesz, T.; Warner, T.T. Globular glial tauopathy type II. Pract. Neurol. 2023, 23, 153–156. [Google Scholar] [CrossRef]
- Inoue, K.; Sugase, S.; Naka, T.; Ikeuchi, T.; Murayama, S.; Fujimura, H. An autopsy case of diffuse atypical argyrophilic grain disease (AGD) with presenile onset and three-year course of motor and cognitive impairment. Neuropathology, 2023; online ahead of print. [Google Scholar]
- Ozdinler, P.H.; Gautam, M.; Gozutok, O.; Konrad, C.; Manfredi, G.; Area Gomez, E.; Mitsumoto, H.; Erb, M.L.; Tian, Z.; Haase, G. Better understanding the neurobiology of primary lateral sclerosis. Amyotroph. Lateral Scler. Front. Degener. 2020, 21, 35–46. [Google Scholar] [CrossRef]
- Gautam, M.; Jara, J.H.; Sekerkova, G.; Yasvoina, M.V.; Martina, M.; Ozdinler, P.H. Absence of alsin function leads to corticospinal motor neuron vulnerability via novel disease mechanisms. Hum. Mol. Genet. 2016, 25, 1074–1087. [Google Scholar] [CrossRef] [PubMed]
- Yang, Y.; Hentati, A.; Deng, H.X.; Dabbagh, O.; Sasaki, T.; Hirano, M.; Hung, W.Y.; Ouahchi, K.; Yan, J.; Azim, A.C.; et al. The gene encoding alsin, a protein with three guanine-nucleotide exchange factor domains, is mutated in a form of recessive amyotrophic lateral sclerosis. Nat. Genet. 2001, 29, 160–165. [Google Scholar] [CrossRef]
- Rowland, L.P. Primary lateral sclerosis, hereditary spastic paraplegia, and mutations in the alsin gene: Historical background for the first International Conference. Amyotroph. Lateral Scler. Other Mot. Neuron Disord. 2005, 6, 67–76. [Google Scholar] [CrossRef]
- Panzeri, C.; De Palma, C.; Martinuzzi, A.; Daga, A.; De Polo, G.; Bresolin, N.; Miller, C.C.; Tudor, E.L.; Clementi, E.; Bassi, M. The first ALS2 missense mutation associated with JPLS reveals new aspects of alsin biological function. Brain 2006, 129, 1710–1719. [Google Scholar] [CrossRef] [PubMed]
- Eymard-Pierre, E.; Lesca, G.; Dollet, S.; Santorelli, F.M.; di Capua, M.; Bertini, E.; Boespflug-Tanguy, O. Infantile-onset ascending hereditary spastic paralysis is associated with mutations in the alsin gene. Am. J. Hum. Genet. 2002, 71, 518–527. [Google Scholar] [CrossRef] [PubMed]
- Simone, M.; Trabacca, A.; Panzeri, E.; Losito, L.; Citterio, A.; Bassi, M.T. KIF5A and ALS2 variants in a family with hereditary spastic paraplegia and amyotrophic lateral sclerosis. Front. Neurol. 2018, 9, 1078. [Google Scholar] [CrossRef]
- Brugman, F.; Wokke, J.H.; Vianney de Jong, J.M.; Franssen, H.; Faber, C.G.; Van den Berg, L.H. Primary lateral sclerosis as a phenotypic manifestation of familial ALS. Neurology 2005, 64, 1778–1779. [Google Scholar] [CrossRef]
- Dupré, N.; Valdmanis, P.N.; Bouchard, J.P.; Rouleau, G.A. Autosomal dominant primary lateral sclerosis. Neurology 2007, 68, 1156–1157. [Google Scholar] [CrossRef]
- Praline, J.; Guennoc, A.M.; Vourc’h, P.; De Toffol, B.; Corcia, P. Primary lateral sclerosis may occur within familial Amyotroph Lateral Scler pedigrees. Amyotroph. Lateral Scler. 2010, 11, 154–156. [Google Scholar] [CrossRef]
- Appelbaum, J.S.; Roos, R.P.; Salazar-Grueso, E.F.; Buchman, A.; Iannaccone, S.; Glantz, R.; Siddique, T.; Maselli, R. Intrafamilial heterogeneity in hereditary motor neuron disease. Neurology 1992, 42, 1488–1492. [Google Scholar] [CrossRef]
- van Rheenen, W.; van Blitterswijk, M.; Huisman, M.H.; Vlam, L.; van Doormaal, P.T.; Seelen, M.; Medic, J.; Dooijes, D.; de Visser, M.; van der Kooi, A.J.; et al. Hexanucleotide repeat expansions in C9ORF72 in the spectrum of motor neuron diseases. Neurology 2012, 79, 878–882. [Google Scholar] [CrossRef] [PubMed]
- Mitsumoto, H.; Nagy, P.L.; Gennings, C.; Murphy, J.; Andrews, H.; Goetz, R.; Floeter, M.K.; Hupf, J.; Singleton, J.; Barohn, R.J.; et al. Phenotypic and molecular analyses of primary lateral sclerosis. Neurol. Genet. 2015, 1, e3. [Google Scholar] [CrossRef]
- Sánchez-Ferrero, E.; Coto, E.; Beetz, C.; Gámez, J.; Corao, A.I.; Díaz, M.; Esteban, J.; del Castillo, E.; Moris, G.; Infante, J.; et al. Genetics of Spastic Paraplegia study group. SPG7 mutational screening in spastic paraplegia patients supports a dominant effect for some mutations and a pathogenic role for p.A510V. Clin. Genet. 2013, 83, 257–262. [Google Scholar] [CrossRef] [PubMed]
- Yang, Y.; Zhang, L.; Lynch, D.R.; Lukas, T.; Ahmeti, K.; Sleiman, P.M.; Ryan, E.; Schadt, K.A.; Newman, J.H.; Deng, H.X.; et al. Compound heterozygote mutations in SPG7 in a family with adult-onset primary lateral sclerosis. Neurol. Genet. 2016, 2, e60. [Google Scholar] [CrossRef] [PubMed]
- Gómez-Tortosa, E.; Van der Zee, J.; Ruggiero, M.; Gijselinck, I.; Esteban-Pérez, J.; García-Redondo, A.; Borrego-Hernández, D.; Navarro, E.; Sainz, M.J.; Pérez-Pérez, J.; et al. Familial primary lateral sclerosis or dementia associated with Arg573Gly TBK1 mutation. J. Neurol. Neurosurg. Psychiatry 2017, 88, 996–997. [Google Scholar] [CrossRef]
- Chow, C.Y.; Landers, J.E.; Bergren, S.K.; Sapp, P.C.; Grant, A.E.; Jones, J.M.; Everett, L.; Lenk, G.M.; McKenna-Yasek, D.M.; Weisman, L.S.; et al. Deleterious variants of FIG4, a phosphoinositide phosphatase, in patients with ALS. Am. J. Hum. Genet. 2009, 84, 85–88. [Google Scholar] [CrossRef]
- Gellera, C.; Tiloca, C.; Del Bo, R.; Corrado, L.; Pensato, V.; Agostini, J.; Cereda, C.; Ratti, A.; Castellotti, B.; Corti, S.; et al. Ubiquilin 2 mutations in Italian patients with amyotrophic lateral sclerosis and frontotemporal dementia. J. Neurol. Neurosurg. Psychiatry 2013, 84, 183–187. [Google Scholar] [CrossRef]
- Deng, H.X.; Chen, W.; Hong, S.T.; Boycott, K.M.; Gorrie, G.H.; Siddique, N.; Yang, Y.; Fecto, F.; Shi, Y.; Zhai, H.; et al. Mutations in UBQLN2 cause dominant X-linked juvenile and adult-onset ALS and ALS/dementia. Nature 2011, 477, 211–215. [Google Scholar] [CrossRef]
- Maruyama, H.; Morino, H.; Ito, H.; Izumi, Y.; Kato, H.; Watanabe, Y.; Kinoshita, Y.; Kamada, M.; Nodera, H.; Suzuki, H.; et al. Mutations of optineurin in amyotrophic lateral sclerosis. Nature 2010, 465, 223–226. [Google Scholar] [CrossRef]
- Al-Saif, A.; Bohlega, S.; Al-Mohanna, F. Loss of ERLIN2 function leads to juvenile primary lateral sclerosis. Ann. Neurol. 2012, 72, 510–516. [Google Scholar] [CrossRef]
- de Boer, E.M.J.; de Vries, B.S.; Pennings, M.; Kamsteeg, E.J.; Veldink, J.H.; van den Berg, L.H.; van Es, M.A. Genetic characterization of primary lateral sclerosis. J. Neurol. 2023, 270, 3970–3980. [Google Scholar] [CrossRef] [PubMed]
- Paganoni, S.; De Marchi, F.; Chan, J.; Thrower, S.K.; Staff, N.P.; Datta, N.; Kisanuki, Y.Y.; Drory, V.; Fournier, C.; Pioro, E.P.; et al. The NEALS primary lateral sclerosis registry. Amyotroph. Lateral Scler. Front. Degener. 2020, 21, 74–81. [Google Scholar] [CrossRef]
- Zhai, P.; Pagan, F.; Statland, J.; Butman, J.A.; Floeter, M.K. Primary lateral sclerosis: A heterogeneous disorder composed of different subtypes? Neurology 2003, 60, 1258–1265. [Google Scholar] [CrossRef] [PubMed]
- Tartaglia, M.C.; Rowe, A.; Findlater, K.; Orange, J.B.; Grace, G.; Strong, M.J. Differentiation between primary lateral sclerosis and amyotrophic lateral sclerosis: Examination of symptoms and signs at disease onset and during follow-up. Arch. Neurol. 2007, 64, 232–236. [Google Scholar] [CrossRef] [PubMed]
- Mills, C.K. Unilateral ascending paralysis and unilateral descending paralysis. their clinical varieties and their pathological causes. JAMA 1906, 20, 1638–1645. [Google Scholar] [CrossRef][Green Version]
- Pinto, W.B.V.R.; Debona, R.; Nunes, P.P.; Assis, A.C.D.; Lopes, C.G.; Bortholin, T.; Dias, R.B.; Naylor, F.G.M.; Chieia, M.A.T.; Souza, P.V.S.; et al. Atypical Motor Neuron Disease variants: Still a diagnostic challenge in Neurology. Rev. Neurol. 2019, 175, 221–232. [Google Scholar] [CrossRef]
- Rigamonti, A.; Lauria, G.; Prone, V.; Agostoni, E. Mills’ syndrome: An Italian case and revision of the literature. Neurol. Sci. 2013, 34, 255–256. [Google Scholar] [CrossRef]
- Turner, M.R.; Talbot, K. Primary lateral sclerosis: Diagnosis and management. Pract. Neurol. 2020, 20, 262–269. [Google Scholar] [CrossRef]
- Mabuchi, N.; Watanabe, H.; Atsuta, N.; Hirayama, M.; Ito, H.; Fukatsu, H.; Kato, T.; Ito, K.; Sobue, G. Primary lateral sclerosis presenting parkinsonian symptoms without nigrostriatal involvement. J. Neurol. Neurosurg. Psychiatry 2004, 75, 1768–1771. [Google Scholar] [CrossRef]
- Norlinah, I.M.; Bhatia, K.P.; Ostergaard, K.; Howard, R.; Arabia, G.; Quinn, N.P. Primary lateral sclerosis mimicking atypical parkinsonism. Mov. Disord. 2007, 22, 2057–2062. [Google Scholar] [CrossRef] [PubMed]
- de Vries, B.S.; Rustemeijer, L.M.M.; Bakker, L.A.; Schröder, C.D.; Veldink, J.H.; van den Berg, L.H.; Nijboer, T.C.W.; van Es, M.A. Cognitive and behavioural changes in PLS and PMA: Challenging the concept of restricted phenotypes. J. Neurol. Neurosurg. Psychiatry 2019, 90, 141–147. [Google Scholar] [CrossRef] [PubMed]
- Agarwal, S.; Highton-Williamson, E.; Caga, J.; Matamala, J.M.; Dharmadasa, T.; Howells, J.; Zoing, M.C.; Shibuya, K.; Geevasinga, N.; Vucic, S.; et al. Primary lateral sclerosis and the amyotrophic lateral sclerosis-frontotemporal dementia spectrum. J. Neurol. 2018, 265, 1819–1828. [Google Scholar] [CrossRef] [PubMed]
- Piquard, A.; Le Forestier, N.; Baudoin-Madec, V.; Delgadillo, D.; Salachas, F.; Pradat, P.F.; Derouesné, C.; Meininger, V.; Lacomblez, L. Neuropsychological changes in patients with primary lateral sclerosis. Amyotroph. Lateral Scler. 2006, 7, 150–160. [Google Scholar] [CrossRef] [PubMed]
- Grace, G.M.; Orange, J.B.; Rowe, A.; Findlater, K.; Freedman, M.; Strong, M.J. Neuropsychological functioning in PLS: A comparison with ALS. Can. J. Neurol. Sci. 2011, 38, 88–97. [Google Scholar] [CrossRef] [PubMed]
- de Vries, B.S.; Rustemeijer, L.M.M.; van der Kooi, A.J.; Raaphorst, J.; Schröder, C.D.; Nijboer, T.C.W.; Hendrikse, J.; Veldink, J.H.; van den Berg, L.H.; van Es, M.A. A case series of PLS patients with frontotemporal dementia and overview of the literature. Amyotroph. Lateral Scler. Front. Degener. 2017, 18, 534–548. [Google Scholar] [CrossRef] [PubMed]
- Proudfoot, M.; Menke, R.A.; Sharma, R.; Berna, C.M.; Hicks, S.L.; Kennard, C.; Talbot, K.; Turner, M.R. Eye-tracking in amyotrophic lateral sclerosis: A longitudinal study of saccadic and cognitive tasks. Amyotroph. Lateral Scler Front. Degener. 2015, 17, 101–111. [Google Scholar] [CrossRef]
- Cedarbaum, J.M.; Stambler, N.; Malta, E.; Fuller, C.; Hilt, D.; Thurmond, B.; Nakanishi, A. The ALSFRS-R: A revised ALS functional rating scale that incorporates assessments of respiratory function. BDNF ALS Study Group (Phase III). J. Neurol. Sci. 1999, 169, 13–21. [Google Scholar] [CrossRef]
- Quinn, C.; Edmundson, C.; Dahodwala, N.; Elman, L. Reliable and efficient scale to assess upper motor neuron disease burden in amyotrophic lateral sclerosis. Muscle Nerve 2020, 61, 508–511. [Google Scholar] [CrossRef]
- Meseguer-Henarejos, A.B.; Sánchez-Meca, J.; López-Pina, J.A.; Carles-Hernández, R. Inter- and intra-rater reliability of the Modified Ashworth Scale: A systematic review and meta-analysis. Eur. J. Phys. Rehabil. Med. 2018, 54, 576–590. [Google Scholar] [CrossRef]
- Newsom-Davis, I.C.; Abrahams, S.; Goldstein, L.H.; Leigh, P.N. The emotional lability questionnaire: A new measure of emotional lability in amyotrophic lateral sclerosis. J. Neurol. Sci. 1999, 169, 22–25. [Google Scholar] [CrossRef]
- Mitsumoto, H.; Chiuzan, C.; Gilmore, M.; Zhang, Y.; Simmons, Z.; Paganoni, S.; Kisanuki, Y.Y.; Zinman, L.; Jawdat, O.; Sorenson, E.; et al. Primary lateral sclerosis (PLS) functional rating scale: PLS-specific clinimetric scale. Muscle Nerve 2020, 61, 163–172. [Google Scholar] [CrossRef]
- Stark, F.M.; Moersch, F.P. Primary lateral sclerosis: A distinct clinical entity. J. Nerv. Ment. Dis. 1945, 102, 332–337. [Google Scholar] [CrossRef]
- Gordon, P.H.; Cheng, B.; Katz, I.B.; Pinto, M.; Hays, A.P.; Mitsumoto, H.; Rowland, L.P. The natural history of primary lateral sclerosis. Neurology 2006, 66, 647–653. [Google Scholar] [CrossRef]
- Kuipers-Upmeijer, J.; de Jager, A.E.; Hew, J.M.; Snoek, J.W.; van Weerden, T.W. Primary lateral sclerosis: Clinical, neurophysiological, and magnetic resonance findings. J. Neurol. Neurosurg. Psychiatry 2001, 71, 615–620. [Google Scholar] [CrossRef]
- Fournier, C.N.; Murphy, A.; Loci, L.; Mitsumoto, H.; Lomen-Hoerth, C.; Kisanuki, Y.; Simmons, Z.; Maragakis, N.J.; McVey, A.L.; Al-Lahham, T.; et al. Primary Lateral Sclerosis and Early Upper Motor Neuron Disease: Characteristics of a Cross-Sectional Population. J. Clin. Neuromuscul. Dis. 2016, 17, 99–105. [Google Scholar] [CrossRef]
- Silva, C.S.; Santos, M.O.; Gromicho, M.; Pinto, S.; Swash, M.; de Carvalho, M. Electromyographic findings in primary lateral sclerosis during disease progression. Clin. Neurophysiol. 2021, 132, 2996–3001. [Google Scholar] [CrossRef]
- Hassan, A.; Mittal, S.O.; Hu, W.T.; Josephs, K.A.; Sorenson, E.J.; Ahlskog, J.E. Does limited EMG denervation in early primary lateral sclerosis predict amyotrophic lateral sclerosis? Amyotroph. Lateral Scler. Front. Degener. 2022, 23, 554–561. [Google Scholar] [CrossRef]
- Brooks, B.R.; Miller, R.G.; Swash, M.; Munsat, T.L.; World Federation of Neurology Research Group on Motor Neuron Diseases. El Escorial revisited: Revised criteria for the diagnosis of amyotrophic lateral sclerosis. Amyotroph. Lateral Scler. Other Mot. Neuron Disord. 2000, 1, 293–299. [Google Scholar] [CrossRef]
- Geevasinga, N.; Menon, P.; Sue, C.M.; Kumar, K.R.; Ng, K.; Yiannikas, C.; Kiernan, M.C.; Vucic, S. Cortical excitability changes distinguish the motor neuron disease phenotypes from hereditary spastic paraplegia. Eur. J. Neurol. 2015, 22, 826–831, e857–e858. [Google Scholar] [CrossRef] [PubMed]
- Pioro, E.P.; Turner, M.R.; Bede, P. Neuroimaging in primary lateral sclerosis. Amyotroph. Lateral Scler. Front. Degener. 2020, 21, 18–27. [Google Scholar] [CrossRef]
- Smith, C.D. Serial MRI findings in a case of primary lateral sclerosis. Neurology 2002, 58, 647–649. [Google Scholar] [CrossRef]
- Martı-Fabregas, J.; Pujol, J. Selective involvement of the pyramidal tract on magnetic resonance imaging in primary lateral sclerosis. Neurology 1990, 40, 1799–1800. [Google Scholar] [CrossRef]
- Mascalchi, M.; Salvi, F.; Valzania, F.; Marcacci, G.; Bartolozzi, C.; Tassinari, C.A. Corticospinal tract degeneration in motor neuron disease. AJNR Am. J. Neuroradiol. 1995, 16, 878–880. [Google Scholar]
- Paliwal, V.K.; Rahi, S.K.; Singh, P.; Gupta, R.K. “Wine-glass appearance” of pyramidal tracts in a patient with primary lateral sclerosis. Neurol. India 2012, 60, 110–111. [Google Scholar] [CrossRef]
- Chung, H.S.; Melkus, G.; Bourque, P.; Chakraborty, S. Motor Band Sign in Motor Neuron Disease: A Marker for Upper Motor Neuron Involvement. Can. J. Neurol. Sci. 2023, 50, 373–379. [Google Scholar] [CrossRef]
- Rizzo, G.; Marliani, A.F.; Battaglia, S.; Albini Riccioli, L.; De Pasqua, S.; Vacchiano, V.; Infante, R.; Avoni, P.; Donadio, V.; Passaretti, M.; et al. Diagnostic and Prognostic Value of Conventional Brain MRI in the Clinical Work-Up of Patients with Amyotrophic Lateral Sclerosis. J. Clin. Med. 2020, 9, 2538. [Google Scholar] [CrossRef]
- van der Graaff, M.M.; Sage, C.A.; Caan, M.W.; Akkerman, E.M.; Lavini, C.; Majoie, C.B.; Nederveen, A.J.; Zwinderman, A.H.; Vos, F.; Brugman, F.; et al. Upper and extra-motoneuron involvement in early motoneuron disease: A diffusion tensor imaging study. Brain 2011, 134 Pt 4, 1211–1228. [Google Scholar] [CrossRef]
- Finegan, E.; Chipika, R.H.; Li Hi Shing, S.; Doherty, M.A.; Hengeveld, J.C.; Vajda, A.; Donaghy, C.; McLaughlin, R.L.; Pender, N.; Hardiman, O.; et al. The clinical and radiological profile of primary lateral sclerosis: A population-based study. J. Neurol. 2019, 266, 2718–2733. [Google Scholar] [CrossRef] [PubMed]
- Butman, J.; Floeter, M. Decreased thickness of primary motor cortex in primary lateral sclerosis. AJNR Am. J. Neuroradiol. 2007, 28, 87–91. [Google Scholar] [PubMed]
- Schuster, C.; Kasper, E.; Machts, J.; Bittner, D.; Kaufmann, J.; Benecke, R.; Teipel, S.; Vielhaber, S.; Prudlo, J. Focal thinning of the motor cortex mirrors clinical features of amyotrophic lateral sclerosis and their phenotypes: A neuroimaging study. J. Neurol. 2013, 260, 2856–2864. [Google Scholar] [CrossRef]
- Suh, S.I.; Song, I.C.; Koh, S.B. Primary lateral sclerosis with MR diffusion tensor image and tract tracking. Am. J. Phys. Med. Rehabil. 2006, 85, 863–864. [Google Scholar] [CrossRef]
- Tzarouchi, L.C.; Kyritsis, A.P.; Giannopoulos, S.; Astrakas, L.G.; Diakou, M.; Argyropoulou, M.I. Voxel-based diffusion tensor imaging detects pyramidal tract degeneration in primary lateral sclerosis. Br. J. Radiol. 2011, 84, 78–80. [Google Scholar] [CrossRef]
- Salameh, J.S.; Patel, N.; Zheng, S.; Cauley, K.A. Focal absence of diffusion tensor tracts from primary motor cortex in primary lateral sclerosis. Eur. J. Neurol. 2013, 20, e63–e64. [Google Scholar] [CrossRef]
- Chan, S.; Shungu, D.C.; Douglas-Akinwande, A.; Lange, D.J.; Rowland, L.P. Motor neuron diseases: Comparison of single-voxel proton MR spectroscopy of the motor cortex with MR imaging of the brain. Radiology 1999, 212, 763–769. [Google Scholar] [CrossRef]
- Mitsumoto, H.; Ulug, A.M.; Pullman, S.L.; Gooch, C.L.; Chan, S.; Tang, M.X.; Mao, X.; Hays, A.P.; Floyd, A.G.; Battista, V.; et al. Quantitative objective markers for upper and lower motor neuron dysfunction in ALS. Neurology 2007, 68, 1402–1410. [Google Scholar] [CrossRef]
- van der Graaff, M.M.; Lavini, C.; Akkerman, E.M.; Majoie, C.h.B.; Nederveen, A.J.; Zwinderman, A.H.; Brugman, F.; van den Berg, L.H.; de Jong, J.M.; de Visser, M. MR spectroscopy findings in early stages of motor neuron disease. AJNR Am. J. Neuroradiol. 2010, 31, 1799–1806. [Google Scholar] [CrossRef]
- Agosta, F.; Canu, E.; Inuggi, A.; Chiò, A.; Riva, N.; Silani, V.; Calvo, A.; Messina, S.; Falini, A.; Comi, G.; et al. Resting state functional connectivity alterations in primary lateral sclerosis. Neurobiol. Aging 2014, 35, 916–925. [Google Scholar] [CrossRef]
- Meoded, A.; Morrissette, A.E.; Katipally, R.; Schanz, O.; Gotts, S.J.; Floeter, M.K. Cerebro-cerebellar connectivity is increased in primary lateral sclerosis. Neuroimage Clin. 2015, 7, 288–296. [Google Scholar] [CrossRef]
- Abidi, M.; de Marco, G.; Couillandre, A.; Feron, M.; Mseddi, E.; Termoz, N.; Querin, G.; Pradat, P.F.; Bede, P. Adaptive functional reorganization in amyotrophic lateral sclerosis: Coexisting degenerative and compensatory changes. Eur. J. Neurol. 2020, 27, 121–128. [Google Scholar] [CrossRef]
- Van Weehaeghe, D.; Ceccarini, J.; Delva, A.; Robberecht, W.; Van Damme, P.; Van Laere, K. Prospective validation of 18F-FDG brain PET discriminant analysis methods in the diagnosis of amyotrophic lateral sclerosis. J. Nucl. Med. 2016, 57, 1238–1243. [Google Scholar] [CrossRef] [PubMed]
- Van Weehaeghe, D.; Devrome, M.; Schramm, G.; De Vocht, J.; Deckers, W.; Baete, K.; Van Damme, P.; Koole, M.; Van Laere, K. Combined brain and spinal FDG PET allows differentiation between ALS and ALS mimics. Eur. J. Nucl. Med. Mol. Imaging 2020, 47, 2681–2690. [Google Scholar] [CrossRef] [PubMed]
- Finegan, E.; Li Hi Shing, S.; Chipika, R.H.; Doherty, M.A.; Hengeveld, J.C.; Vajda, A.; Donaghy, C.; Pender, N.; McLaughlin, R.L.; Hardiman, O.; et al. Widespread subcortical grey matter degeneration in primary lateral sclerosis: A multimodal imaging study with genetic profiling. Neuroimage Clin. 2019, 24, 102089. [Google Scholar] [CrossRef]
- Chipika, R.H.; Finegan, E.; Li Hi Shing, S.; McKenna, M.C.; Christidi, F.; Chang, K.M.; Doherty, M.A.; Hengeveld, J.C.; Vajda, A.; Pender, N.; et al. “Switchboard” malfunction in motor neuron diseases: Selective pathology of thalamic nuclei in amyotrophic lateral sclerosis and primary lateral sclerosis. Neuroimage Clin. 2020, 27, 102300. [Google Scholar] [CrossRef]
- Chipika, R.H.; Siah, W.F.; Shing, S.L.H.; Finegan, E.; McKenna, M.C.; Christidi, F.; Chang, K.M.; Karavasilis, E.; Vajda, A.; Hengeveld, J.C.; et al. MRI data confirm the selective involvement of thalamic and amygdalar nuclei in amyotrophic lateral sclerosis and primary lateral sclerosis. Data Brief. 2020, 32, 106246. [Google Scholar] [CrossRef]
- Finegan, E.; Siah, W.F.; Li Hi Shing, S.; Chipika, R.H.; Hardiman, O.; Bede, P. Cerebellar degeneration in primary lateral sclerosis: An under-recognized facet of PLS. Amyotroph Lateral Scler Front. Degener. 2022, 23, 542–553. [Google Scholar] [CrossRef]
- Bede, P.; Chipika, R.H.; Finegan, E.; Li Hi Shing, S.; Doherty, M.A.; Hengeveld, J.C.; Vajda, A.; Hutchinson, S.; Donaghy, C.; McLaughlin, R.L.; et al. Brainstem pathology in amyotrophic lateral sclerosis and primary lateral sclerosis: A longitudinal neuroimaging study. Neuroimage Clin. 2019, 24, 102054. [Google Scholar] [CrossRef]
- Christidi, F.; Karavasilis, E.; Rentzos, M.; Kelekis, N.; Evdokimidis, I.; Bede, P. Clinical and radiological markers of extra-motor deficits in amyotrophic lateral sclerosis. Front. Neurol. 2018, 9, 1005. [Google Scholar] [CrossRef]
- Müller, H.P.; Unrath, A.; Huppertz, H.J.; Ludolph, A.C.; Kassubek, J. Neuroanatomical patterns of cerebral white matter involvement in different motor neuron diseases as studied by diffusion tensor imaging analysis. Amyotroph. Lateral Scler. 2012, 13, 254–264. [Google Scholar] [CrossRef]
- Bede, P.; Finegan, E. Revisiting the pathoanatomy of pseudobulbar affect: Mechanisms beyond corticobulbar dysfunction. Amyotroph. Lateral Scler. Front. Degener. 2018, 19, 4–6. [Google Scholar] [CrossRef]
- Canu, E.; Agosta, F.; Galantucci, S.; Chiò, A.; Riva, N.; Silani, V.; Falini, A.; Comi, G.; Filippi, M. Extramotor damage is associated with cognition in primary lateral sclerosis patients. PLoS ONE 2013, 8, e82017. [Google Scholar] [CrossRef]
- Meoded, A.; Kwan, J.Y.; Peters, T.L.; Huey, E.D.; Danielian, L.E.; Wiggs, E.; Morrissette, A.; Wu, T.; Russell, J.W.; Bayat, E.; et al. Imaging findings associated with cognitive performance in primary lateral sclerosis and amyotrophic lateral sclerosis. Dement. Geriatr. Cogn. Dis. Extra. 2013, 3, 233–250. [Google Scholar] [CrossRef] [PubMed]
- Fabes, J.; Matthews, L.; Filippini, N.; Talbot, K.; Jenkinson, M.; Turner, M.R. Quantitative FLAIR MRI in Amyotrophic Lateral Sclerosis. Acad. Radiol. 2017, 24, 1187–1194. [Google Scholar] [CrossRef]
- Kolind, S.; Sharma, R.; Knight, S.; Johansen-Berg, H.; Talbot, K.; Turner, M.R. Myelin imaging in amyotrophic and primary lateral sclerosis. Amyotroph. Lateral Scler. Front. Degener. 2013, 14, 562–573. [Google Scholar] [CrossRef]
- Menke, R.A.; Abraham, I.; Thiel, C.S.; Filippini, N.; Knight, S.; Talbot, K.; Turner, M.R. Fractional anisotropy in the posterior limb of the internal capsule and prognosis in amyotrophic lateral sclerosis. Arch. Neurol. 2012, 69, 1493–1499. [Google Scholar] [CrossRef] [PubMed]
- Clark, M.G.; Smallwood Shoukry, R.; Huang, C.J.; Danielian, L.E.; Bageac, D.; Floeter, M.K. Loss of functional connectivity is an early imaging marker in primary lateral sclerosis. Amyotroph. Lateral Scler. Front. Degener. 2018, 19, 562–569. [Google Scholar] [CrossRef] [PubMed]
- Ferraro, P.M.; Agosta, F.; Riva, N.; Copetti, M.; Spinelli, E.G.; Falzone, Y.; Sorarù, G.; Comi, G.; Chiò, A.; Filippi, M. Multimodal structural MRI in the diagnosis of motor neuron diseases. Neuroimage Clin. 2017, 16, 240–247. [Google Scholar] [CrossRef]
- Tahedl, M.; Tan, E.L.; Shing, S.L.H.; Chipika, R.H.; Siah, W.F.; Hengeveld, J.C.; Doherty, M.A.; McLaughlin, R.L.; Hardiman, O.; Finegan, E.; et al. Not a benign motor neuron disease: Longitudinal imaging captures relentless motor connectome disintegration in primary lateral sclerosis. Eur. J. Neurol. 2023, 30, 1232–1245. [Google Scholar] [CrossRef]
- de Souza, P.V.S.; de Rezende Pinto, W.B.V.; de Rezende Batistella, G.N.; Bortholin, T.; Oliveira, A.S.B. Hereditary Spastic Paraplegia: Clinical and Genetic Hallmarks. Cerebellum 2017, 16, 525–551. [Google Scholar] [CrossRef]
- Fullam, T.; Statland, J. Upper Motor Neuron Disorders: Primary Lateral Sclerosis, Upper Motor Neuron Dominant Amyotrophic Lateral Sclerosis, and Hereditary Spastic Paraplegia. Brain Sci. 2021, 11, 611. [Google Scholar] [CrossRef]
- Fink, J.K. Progressive spastic paraparesis: Hereditary spastic paraplegia and its relation to primary and amyotrophic lateral sclerosis. Semin. Neurol. 2001, 21, 199–207. [Google Scholar] [CrossRef]
- Almomen, M.; Martens, K.; Quadir, A.; Pontifex, C.S.; Hanson, A.; Korngut, L.; Pfeffer, G. High diagnostic yield and novel variants in very late-onset spasticity. J. Neurogenet. 2019, 33, 27–32. [Google Scholar] [CrossRef] [PubMed]
- Pennings, M.; Schouten, M.I.; van Gaalen, J.; Meijer, R.P.P.; de Bot, S.T.; Kriek, M.; Saris, C.G.J.; van den Berg, L.H.; van Es, M.A.; Zuidgeest, D.M.H.; et al. KIF1A variants are a frequent cause of autosomal dominant hereditary spastic paraplegia. Eur. J. Hum. Genet. 2020, 28, 40–49. [Google Scholar] [CrossRef] [PubMed]
- Méreaux, J.L.; Banneau, G.; Papin, M.; Coarelli, G.; Valter, R.; Raymond, L.; Kol, B.; Ariste, O.; Parodi, L.; Tissier, L.; et al. Clinical and genetic spectra of 1550 index patients with hereditary spastic paraplegia. Brain 2022, 145, 1029–1037. [Google Scholar] [CrossRef] [PubMed]
- Brugman, F.; Veldink, J.H.; Franssen, H.; de Visser, M.; de Jong, J.M.; Faber, C.G.; Kremer, B.H.; Schelhaas, H.J.; van Doorn, P.A.; Verschuuren, J.J.; et al. Differentiation of hereditary spastic paraparesis from primary lateral sclerosis in sporadic adult-onset upper motor neuron syndromes. Arch. Neurol. 2009, 66, 509–514. [Google Scholar] [CrossRef]
- Gordon, P.H.; Cheng, B.; Katz, I.B.; Mitsumoto, H.; Rowland, L.P. Clinical features that distinguish PLS, upper motor neuron-dominant ALS, and typical ALS. Neurology 2009, 72, 1948–1952. [Google Scholar] [CrossRef]
- Chiò, A.; Calvo, A.; Moglia, C.; Mazzini, L.; Mora, G.; PARALS study group. Phenotypic heterogeneity of amyotrophic lateral sclerosis: A population based study. J. Neurol. Neurosurg. Psychiatry 2011, 82, 740–746. [Google Scholar] [CrossRef] [PubMed]
- Giacopuzzi Grigoli, E.; Cinnante, C.; Doneddu, P.E.; Calcagno, N.; Lenti, S.; Ciammola, A.; Maderna, L.; Ticozzi, N.; Castellani, M.; Beretta, S.; et al. Progressive motor neuron syndromes with single CNS lesions and CSF oligoclonal bands: Never forget solitary sclerosis! Neurol. Sci. 2022, 43, 6951–6954. [Google Scholar] [CrossRef]
- Zucchi, E.; Bonetto, V.; Sorarù, G.; Martinelli, I.; Parchi, P.; Liguori, R.; Mandrioli, J. Neurofilaments in motor neuron disorders: Towards promising diagnostic and prognostic biomarkers. Mol. Neurodegener. 2020, 15, 58. [Google Scholar] [CrossRef]
- Verde, F.; Otto, M.; Silani, V. Neurofilament Light Chain as Biomarker for Amyotrophic Lateral Sclerosis and Frontotemporal Dementia. Front. Neurosci. 2021, 15, 679199. [Google Scholar] [CrossRef]
- Poesen, K.; Van Damme, P. Diagnostic and Prognostic Performance of Neurofilaments in ALS. Front. Neurol. 2019, 9, 1167. [Google Scholar] [CrossRef]
- Vacchiano, V.; Mastrangelo, A.; Zenesini, C.; Masullo, M.; Quadalti, C.; Avoni, P.; Polischi, B.; Cherici, A.; Capellari, S.; Salvi, F.; et al. Plasma and CSF Neurofilament Light Chain in Amyotrophic Lateral Sclerosis: A Cross-Sectional and Longitudinal Study. Front. Aging Neurosci. 2021, 13, 753242. [Google Scholar] [CrossRef]
- Benatar, M.; Zhang, L.; Wang, L.; Granit, V.; Statland, J.; Barohn, R.; Swenson, A.; Ravits, J.; Jackson, C.; Burns, T.M.; et al. Validation of serum neurofilaments as prognostic and potential pharmacodynamic biomarkers for ALS. Neurology 2020, 95, e59–e69. [Google Scholar] [CrossRef] [PubMed]
- McCluskey, G.; Morrison, K.E.; Donaghy, C.; McConville, J.; McCarron, M.O.; McVerry, F.; Duddy, W.; Duguez, S. Serum Neurofilaments in Motor Neuron Disease and Their Utility in Differentiating ALS, PMA and PLS. Life 2023, 13, 1301. [Google Scholar] [CrossRef] [PubMed]
- Steinacker, P.; Feneberg, E.; Weishaupt, J.; Brettschneider, J.; Tumani, H.; Andersen, P.M.; von Arnim, C.A.; Böhm, S.; Kassubek, J.; Kubisch, C.; et al. Neurofilaments in the diagnosis of motoneuron diseases: A prospective study on 455 patients. J. Neurol. Neurosurg. Psychiatry 2016, 87, 12–20. [Google Scholar] [CrossRef] [PubMed]
- Gaiani, A.; Martinelli, I.; Bello, L.; Querin, G.; Puthenparampil, M.; Ruggero, S.; Sorarù, G. Diagnostic and Prognostic Biomarkers in Amyotrophic Lateral Sclerosis: Neurofilament Light Chain Levels in Definite Subtypes of Disease. JAMA Neurol. 2017, 74, 525–532. [Google Scholar] [CrossRef] [PubMed]
- Verde, F.; Milone, I.; Colombo, E.; Maranzano, A.; Solca, F.; Torre, S.; Doretti, A.; Gentile, F.; Manini, A.; Bonetti, R.; et al. Phenotypic correlates of serum neurofilament light chain levels in amyotrophic lateral sclerosis. Front. Aging Neurosci. 2023, 15, 1132808. [Google Scholar] [CrossRef]
- Simonini, C.; Zucchi, E.; Bedin, R.; Martinelli, I.; Gianferrari, G.; Fini, N.; Sorarù, G.; Liguori, R.; Vacchiano, V.; Mandrioli, J. CSF Heavy Neurofilament May Discriminate and Predict Motor Neuron Diseases with Upper Motor Neuron Involvement. Biomedicines 2021, 9, 1623. [Google Scholar] [CrossRef]
- Verde, F.; Zaina, G.; Bodio, C.; Borghi, M.O.; Soranna, D.; Peverelli, S.; Ticozzi, N.; Morelli, C.; Doretti, A.; Messina, S.; et al. Cerebrospinal fluid phosphorylated neurofilament heavy chain and chitotriosidase in primary lateral sclerosis. J. Neurol. Neurosurg. Psychiatry 2021, 92, 221–223. [Google Scholar] [CrossRef]
- Thompson, A.G.; Gray, E.; Bampton, A.; Raciborska, D.; Talbot, K.; Turner, M.R. CSF chitinase proteins in amyotrophic lateral sclerosis. J. Neurol. Neurosurg. Psychiatry 2019, 90, 1215–1220. [Google Scholar] [CrossRef]
- Lunetta, C.; Lizio, A.; Sansone, V.A.; Cellotto, N.M.; Maestri, E.; Bettinelli, M.; Gatti, V.; Melazzini, M.G.; Meola, G.; Corbo, M. Strictly monitored exercise programs reduce motor deterioration in ALS: Preliminary results of a randomized controlled trial. J. Neurol. 2016, 263, 52–60. [Google Scholar] [CrossRef] [PubMed]
- Portaro, S.; Ciatto, L.; Raciti, L.; Aliberti, E.; Aliberti, R.; Naro, A.; Calabrò, R.S. A Case Report on Robot-Aided Gait Training in Primary Lateral Sclerosis Rehabilitation: Rationale, Feasibility and Potential Effectiveness of a Novel Rehabilitation Approach. Innov. Clin. Neurosci. 2021, 18, 15–19. [Google Scholar] [PubMed]
- Koppel, B.S.; Brust, J.C.; Fife, T.; Bronstein, J.; Youssof, S.; Gronseth, G.; Gloss, D. Systematic review: Efficacy and safety of medical marijuana in selected neurologic disorders: Report of the Guideline Development Subcommittee of the American Academy of Neurology. Neurology 2014, 82, 1556–1563. [Google Scholar] [CrossRef] [PubMed]
- Riva, N.; Mora, G.; Sorarù, G.; Lunetta, C.; Ferraro, O.E.; Falzone, Y.; Leocani, L.; Fazio, R.; Comola, M.; Comi, G. CANALS Study Group. Safety and efficacy of nabiximols on spasticity symptoms in patients with motor neuron disease (CANALS): A multicentre, double-blind, randomised, placebo-controlled, phase 2 trial. Lancet Neurol. 2019, 18, 155–164. [Google Scholar] [CrossRef] [PubMed]
- Vázquez-Costa, J.F.; Máñez, I.; Alabajos, A.; Guevara Salazar, M.; Roda, C.; Sevilla, T. Safety and efficacy of botulinum toxin A for the treatment of spasticity in amyotrophic lateral sclerosis: Results of a pilot study. J. Neurol. 2016, 263, 1954–1960. [Google Scholar] [CrossRef] [PubMed]
- Marvulli, R.; Megna, M.; Citraro, A.; Vacca, E.; Napolitano, M.; Gallo, G.; Fiore, P.; Ianieri, G. Botulinum Toxin Type A and Physiotherapy in Spasticity of the Lower Limbs Due to Amyotrophic Lateral Sclerosis. Toxins 2019, 11, 381. [Google Scholar] [CrossRef] [PubMed]
- Béreau, M.; Anheim, M.; Chanson, J.B.; Tio, G.; Echaniz-Laguna, A.; Depienne, C.; Collongues, N.; de Sèze, J. Dalfampridine in hereditary spastic paraplegia: A prospective, open study. J. Neurol. 2015, 262, 1285–1288. [Google Scholar] [CrossRef]
- Mills, P.B.; Dossa, F. Transcutaneous Electrical Nerve Stimulation for Management of Limb Spasticity: A Systematic Review. Am. J. Phys. Med. Rehabil. 2016, 95, 309–318. [Google Scholar] [CrossRef]
- Peng, S.; Tian, Y.; Chang, W.; Yang, Y.; Li, S.; Ni, J.; Zhu, W. Current state of research on acupuncture for the treatment of amyotrophic lateral sclerosis: A scoping review. Front. Neurol. 2022, 13, 1019156. [Google Scholar] [CrossRef]
- James, E.; Ellis, C.; Brassington, R.; Sathasivam, S.; Young, C.A. Treatment for sialorrhea (excessive saliva) in people with motor neuron disease/amyotrophic lateral sclerosis. Cochrane Database Syst. Rev. 2022, 5, CD006981. [Google Scholar]
- Schiffer, R.B.; Herndon, R.M.; Rudick, R.A. Treatment of pathologic laughing and weeping with amitriptyline. N. Engl. J. Med. 1985, 312, 1480–1482. [Google Scholar] [CrossRef] [PubMed]
- Brooks, B.R.; Thisted, R.A.; Appel, S.H.; Bradley, W.G.; Olney, R.K.; Berg, J.E.; Pope, L.E.; Smith, R.A. AVP-923 ALS Study Group. Treatment of pseudobulbar affect in ALS with dextromethorphan/quinidine: A randomized trial. Neurology 2004, 63, 1364–1370. [Google Scholar] [CrossRef] [PubMed]
- Ahmed, A.; Simmons, Z. Pseudobulbar affect: Prevalence and management. Ther. Clin. Risk Manag. 2013, 9, 483–489. [Google Scholar] [PubMed]
- Pioro, E.P.; Brooks, B.R.; Cummings, J.; Schiffer, R.; Thisted, R.A.; Wynn, D.; Hepner, A.; Kaye, R. Safety, Tolerability, and Efficacy Results Trial of AVP-923 in PBA Investigators. Dextromethorphan plus ultra low-dose quinidine reduces pseudobulbar affect. Ann. Neurol. 2010, 68, 693–702. [Google Scholar] [CrossRef]
- Hagiwara, K.; Murai, H.; Ochi, H.; Osoegawa, M.; Shigeto, H.; Ohyagi, Y.; Kira, J. Upper motor neuron syndrome associated with subclinical Sjögren’s syndrome. Intern. Med. 2008, 47, 1047–1051. [Google Scholar] [CrossRef][Green Version]
- Godeiro-Junior, C.; Felicio, A.C.; Benites, V.; Chieia, M.A.; Oliveira, A.S. Late-onset hexosaminidase A deficiency mimicking primary lateral sclerosis. Arq. Neuropsiquiatr. 2009, 67, 105–106. [Google Scholar] [CrossRef]



| Disease | Etiology | Clinical Hallmarks |
|---|---|---|
| Hereditary spastic paraparesis (most commonly type 4 or 7 for late-onset) | Genetic disorders | Symmetric paresis usually limited to lower limbs Slower progression Presence of family history or genetic variant |
| UMN-predominant ALS | Degenerative disorders | Faster progression Progressive development of clinical LMN involvement |
| Adrenomyeloneuropathy | Metabolic disorders | Impaired sensory vibration Elevated blood levels of adrenocorticotropic hormone Elevated serum levels of very long chain fatty acids Cerebral MRI white matter abnormalities Pathogenic variants in ABCD1 gene |
| Primary progressive multiple sclerosis | Neuroinflammatory disorders | Presence of other neurological deficits (cerebellar dysfunction, brainstem syndromes, and visual loss) Demyelinating lesions of brain and cord Possible CSF oligoclonal bands |
| Progressive solitary sclerosis | Single demyelinating lesion in CNS Possible CSF oligoclonal bands | |
| Anti-amphiphysin syndrome | Limbic encephalitis Dysautonomia Cerebellar dysfunction Positive anti-amphiphysin antibodies Presence of tumour | |
| Tropical spastic paraparesis (HTLV-1 and -2 myelopathy) | Infectious diseases | Sphincter dysfunction Sensitive dysfunctions Positive serology |
| Neurosyphilis | Positive VDRL and TPHA Multisystemic involvement | |
| Vascular and ischemic lesions | Brain and spine structural abnormalities | Imaging findings |
| Cervical spondylosis | ||
| Syringomyelia | ||
| Chiari malformation | ||
| Compressive foramen magnum lesions | ||
| Spinal cord tumours |
Disclaimer/Publisher’s Note: The statements, opinions and data contained in all publications are solely those of the individual author(s) and contributor(s) and not of MDPI and/or the editor(s). MDPI and/or the editor(s) disclaim responsibility for any injury to people or property resulting from any ideas, methods, instructions or products referred to in the content. |
© 2024 by the authors. Licensee MDPI, Basel, Switzerland. This article is an open access article distributed under the terms and conditions of the Creative Commons Attribution (CC BY) license (https://creativecommons.org/licenses/by/4.0/).
Share and Cite
Vacchiano, V.; Bonan, L.; Liguori, R.; Rizzo, G. Primary Lateral Sclerosis: An Overview. J. Clin. Med. 2024, 13, 578. https://doi.org/10.3390/jcm13020578
Vacchiano V, Bonan L, Liguori R, Rizzo G. Primary Lateral Sclerosis: An Overview. Journal of Clinical Medicine. 2024; 13(2):578. https://doi.org/10.3390/jcm13020578
Chicago/Turabian StyleVacchiano, Veria, Luigi Bonan, Rocco Liguori, and Giovanni Rizzo. 2024. "Primary Lateral Sclerosis: An Overview" Journal of Clinical Medicine 13, no. 2: 578. https://doi.org/10.3390/jcm13020578
APA StyleVacchiano, V., Bonan, L., Liguori, R., & Rizzo, G. (2024). Primary Lateral Sclerosis: An Overview. Journal of Clinical Medicine, 13(2), 578. https://doi.org/10.3390/jcm13020578

