Assessing the Influence of Long-Term Gender-Affirming Hormone Therapy on Cardiovascular Risk in Transgender Men through Carotid Intima–Media Thickness
Abstract
1. Introduction
2. Materials and Methods
Statistical Analysis
3. Results
4. Discussion
5. Conclusions
Author Contributions
Funding
Institutional Review Board Statement
Informed Consent Statement
Data Availability Statement
Conflicts of Interest
References
- Black, D.W.; Grant, J.E. DSM-5® Guidebook: The Essential Companion to the Diagnostic and Statistical Manual of Mental Disorders; American Psychiatric Publishing: Washington, DC, USA, 2014. [Google Scholar]
- Hodges-Simeon, C.R.; Grail, G.P.O.; Albert, G.; Groll, M.D.; Stepp, C.E.; Carré, J.M.; Arnocky, S.A. Testosterone therapy masculinizes speech and gender presentation in transgender men. Sci. Rep. 2021, 11, 3494. [Google Scholar] [CrossRef] [PubMed]
- Klaver, M.; Dekker, M.J.H.J.; de Mutsert, R.; Twisk, J.W.R.; den Heijer, M. Cross-sex hormone therapy in transgender persons affects total body weight, body fat and lean body mass: A meta-analysis. Andrologia 2017, 49, e12660. [Google Scholar] [CrossRef] [PubMed]
- Velho, I.; Fighera, T.M.; Ziegelmann, P.K.; Spritzer, P.M. Effects of testosterone therapy on BMI, blood pressure, and laboratory profile of transgender men: A systematic review. Andrology 2017, 5, 881–888. [Google Scholar] [CrossRef] [PubMed]
- Giltay, E.J.; Gooren, L.J. Effects of sex steroid deprivation/administration on hair growth and skin sebum production in transsexual males and females. J. Clin. Endocrinol. Metab. 2000, 85, 2913–2921. [Google Scholar] [CrossRef]
- Mueller, A.; Haeberle, L.; Zollver, H.; Claassen, T.; Kronawitter, D.; Oppelt, P.G.; Cupisti, S.; Beckmann, M.W.; Dittrich, R. Effects of intramuscular testosterone undecanoate on body composition and bone mineral density in female-to-male transsexuals. J. Sex. Med. 2010, 7, 3190–3198. [Google Scholar] [CrossRef]
- Pelusi, C.; Costantino, A.; Martelli, V.; Lambertini, M.; Bazzocchi, A.; Ponti, F.; Battista, G.; Venturoli, S.; Meriggiola, M.C. Effects of three different testosterone formulations in female-to-male transsexual persons. J. Sex. Med. 2014, 11, 3002–3011. [Google Scholar] [CrossRef]
- Greene, D.N.; Schmidt, R.L.; Winston-McPherson, G.; Rongitsch, J.; Imborek, K.L.; Dickerson, J.A.; Drees, J.C.; Humble, R.M.; Nisly, N.; Dole, N.J.; et al. Reproductive Endocrinology Reference Intervals for Transgender Men on Stable Hormone Therapy. J. Appl. Lab. Med. 2021, 6, 41–50. [Google Scholar] [CrossRef]
- Kane, A.E.; Howlett, S.E. Differences in Cardiovascular Aging in Men and Women. Adv. Exp. Med. Biol. 2018, 1065, 389–411. [Google Scholar] [PubMed]
- Shufelt, C.L.; Pacheco, C.; Tweet, M.S.; Miller, V.M. Sex-Specific Physiology and Cardiovascular Disease. Adv. Exp. Med. Biol. 2018, 1065, 433–454. [Google Scholar]
- Gong, D.; Sun, J.; Zhou, Y.; Zou, C.; Fan, Y. Early age at natural menopause and risk of cardiovascular and all-cause mortality: A meta-analysis of prospective observational studies. Int. J. Cardiol. 2016, 203, 115–119. [Google Scholar] [CrossRef]
- Zhu, D.; Chung, H.F.; Dobson, A.J.; Pandeya, N.; Giles, G.G.; Bruinsma, F.; Brunner, E.J.; Kuh, D.; Hardy, R.; Avis, N.E.; et al. Age at natural menopause and risk of incident cardiovascular disease: A pooled analysis of individual patient data. Lancet Public Health 2019, 4, e553–e564. [Google Scholar] [CrossRef] [PubMed]
- The 2017 hormone therapy position statement of The North American Menopause Society. Menopause 2018, 25, 1362–1387. [CrossRef] [PubMed]
- Barrett-Connor, E. Sex differences in coronary heart disease. Why are women so superior? The 1995 Ancel Keys Lecture. Circulation 1997, 95, 252–264. [Google Scholar] [CrossRef] [PubMed]
- Miller, V.M.; Lahr, B.D.; Bailey, K.R.; Heit, J.A.; Harman, S.M.; Jayachandran, M. Longitudinal effects of menopausal hormone treatments on platelet characteristics and cell-derived microvesicles. Platelets 2016, 27, 32–42. [Google Scholar] [CrossRef] [PubMed]
- Gooren, L.J.; Wierckx, K.; Giltay, E.J. Cardiovascular disease in transsexual persons treated with cross-sex hormones: Reversal of the traditional sex difference in cardiovascular disease pattern. Eur. J. Endocrinol. 2014, 170, 809–819. [Google Scholar] [CrossRef]
- Aranda, G.; Halperin, I.; Gomez-Gil, E.; Hanzu, F.A.; Seguí, N.; Guillamon, A.; Mora, M. Cardiovascular Risk Associated with Gender Affirming Hormone Therapy in Transgender Population. Front. Endocrinol. 2021, 12, 718200. [Google Scholar] [CrossRef]
- Elamin, M.B.; Garcia, M.Z.; Murad, M.H.; Erwin, P.J.; Montori, V.M. Effect of sex steroid use on cardiovascular risk in transsexual individuals: A systematic review and meta-analyses. Clin. Endocrinol. 2010, 72, 1–10. [Google Scholar] [CrossRef]
- Dhejne, C.; Lichtenstein, P.; Boman, M.; Johansson, A.L.; Långström, N.; Landén, M. Long-term follow-up of transsexual persons undergoing sex reassignment surgery: Cohort study in Sweden. PLoS ONE 2011, 6, e16885. [Google Scholar] [CrossRef]
- Lincoff, A.M.; Bhasin, S.; Flevaris, P.; Mitchell, L.M.; Basaria, S.; Boden, W.E.; Cunningham, G.R.; Granger, C.B.; Khera, M.; Thompson, I.M., Jr.; et al. Cardiovascular Safety of Testosterone-Replacement Therapy. N. Engl. J. Med. 2023, 389, 107–117. [Google Scholar] [CrossRef]
- Wierckx, K.; Van Caenegem, E.; Schreiner, T.; Haraldsen, I.; Fisher, A.D.; Toye, K.; Kaufman, J.M.; T’Sjoen, G. Cross-sex hormone therapy in trans persons is safe and effective at short-time follow-up: Results from the European network for the investigation of gender incongruence J. Sex. Med. 2014, 11, 1999–2011. [Google Scholar] [CrossRef]
- Colizzi, M.; Costa, R.; Scaramuzzi, F.; Palumbo, C.; Tyropani, M.; Pace, V.; Quagliarella, L.; Brescia, F.; Natilla, L.C.; Loverro, G.; et al. Concomitant psychiatric problems and hormonal treatment induced metabolic syndrome in gender dysphoria individuals: A 2-year-follow-up study. J. Psychosom. Res. 2015, 78, 399–406. [Google Scholar] [CrossRef] [PubMed]
- Connelly, P.J.; Marie Freel, E.; Perry, C.; Ewan, J.; Touyz, R.M.; Currie, G.; Delles, C. Gender-Affirming Hormone Therapy, Vascular Health and Cardiovascular Disease in Transgender Adults. Hypertension 2019, 74, 1266–1274. [Google Scholar] [CrossRef] [PubMed]
- Stone, T.; Stachenfeld, N.S. Pathophysiological effects of androgens on the female vascular system. Biol. Sex. Differ. 2020, 11, 45. [Google Scholar] [CrossRef] [PubMed]
- Greenland, P.; Abrams, J.; Aurigemma, G.P.; Bond, M.G.; Clark, L.T.; Criqui, M.H.; Crouse, J.R., 3rd; Friedman, L.; Fuster, V.; Herrington, D.M.; et al. Prevention Conference V: Beyond secondary prevention: Identifying the high-risk patient for primary prevention: Noninvasive tests of atherosclerotic burden: Writing Group III. Circulation 2000, 101, E16–E22. [Google Scholar] [CrossRef]
- Stein, J.H.; Korcarz, C.E.; Hurst, R.T.; Lonn, E.; Kendall, C.B.; Mohler, E.R.; Najjar, S.S.; Rembold, C.M.; Post, W.S.; American Society of Echocardiography Carotid Intima-Media Thickness Task Force. Use of carotid ultrasound to identify subclinical vascular disease and evaluate cardiovascular disease risk: A consensus statement from the American Society of Echocardiography Carotid Intima-Media Thickness Task Force. Endorsed by the Society for Vascular. J. Am. Soc. Echocardiogr. 2008, 21, 93–190. [Google Scholar] [CrossRef]
- Persson, J.; Formgren, J.; Israelsson, B.; Berglund, G. Ultrasound-determined intima-media thickness and atherosclerosis. Direct and indirect validation. Arterioscler. Thromb. 1994, 14, 261–264. [Google Scholar] [CrossRef]
- Simova, I. Intima-media thickness: Appropriate evaluation and proper measurement. J. Cardiol. Pract. 2015, 13, 1–4. [Google Scholar]
- Bots, M.L.; Evans, G.W.; Tegeler, C.H.; Meijer, R. Carotid Intima-media Thickness Measurements: Relations with Atherosclerosis, Risk of Cardiovascular Disease and Application in Randomized Controlled Trials. Chin. Med. J. 2016, 129, 215–226. [Google Scholar] [CrossRef]
- O’Leary, D.H.; Polak, J.F.; Kronmal, R.A.; Manolio, T.A.; Burke, G.L.; Wolfson, S.K., Jr. Carotid-artery intima and media thickness as a risk factor for myocardial infarction and stroke in older adults. Cardiovascular Health Study Collaborative Research Group. N. Engl. J. Med. 1999, 340, 14–22. [Google Scholar] [CrossRef]
- Zanchetti, A.; Hennig, M.; Hollweck, R.; Bond, G.; Tang, R.; Cuspidi, C.; Parati, G.; Facchetti, R.; Mancia, G. Baseline values but not treatment-induced changes in carotid intima-media thickness predict incident cardiovascular events in treated hypertensive patients: Findings in the European Lacidipine Study on Atherosclerosis (ELSA). Circulation 2009, 120, 1084–1090. [Google Scholar] [CrossRef]
- Arcelus, J.; Bouman, W.P.; Van Den Noortgate, W.; Claes, L.; Witcomb, G.; Fernandez-Aranda, F. Systematic review and meta-analysis of prevalence studies in transsexualism. Eur. Psychiatry 2015, 30, 807–815. [Google Scholar] [CrossRef] [PubMed]
- Meriggiola, M.C.; Gava, G. Endocrine care of transpeople part I. A review of cross-sex hormonal treatments, outcomes and adverse effects in transmen. Clin. Endocrinol. 2015, 83, 597–606. [Google Scholar] [CrossRef] [PubMed]
- McGill, H.C., Jr.; McMahan, C.A.; Herderick, E.E.; Tracy, R.E.; Malcom, G.T.; Zieske, A.W.; Strong, J.P. Effects of coronary heart disease risk factors on atherosclerosis of selected regions of the aorta and right coronary artery. PDAY Research Group. Pathobiological Determinants of Atherosclerosis in Youth. Arterioscler. Thromb. Vasc. Biol. 2000, 20, 836–845. [Google Scholar] [CrossRef] [PubMed]
- Balık, A.Ö.; Vural, F.; Alpogan, O.; Özoğul, M.; Dönmez, E.E. The effects of testosterone on transgender males on carotid intima-media thickness and serum inflammatory markers compared within patients with polycystic ovary syndrome. Gynecol. Endocrinol. 2022, 38, 771–775. [Google Scholar] [CrossRef]
- Aranda, G.; Mora, M.; Hanzu, F.A.; Vera, J.; Ortega, E.; Halperin, I. Effects of sex steroids on cardiovascular risk profile in transgender men under gender affirming hormone therapy. Endocrinol. Diabetes Nutr. (Engl. Ed.) 2019, 66, 385–392. [Google Scholar]


| Study Group Inclusion Criteria |
|---|
| Transgender men between the ages of 20–50 |
| Taking exogenous testosterone for more than 2 years |
| Undergone hysterectomy and bilateral salpingo-oophorectomy (HBSO) |
| No systemic diseases such as hypertension or diabetes mellitus |
| BMI < 30 kg/m2 |
| No family history of coronary artery disease or peripheral arterial disease in first-degree relatives |
| No history of familial dyslipidemia |
| HDL, LDL, TG, total cholesterol, and hemogram results recorded prior to initiating gender-affirming hormone therapy |
| Control Group Inclusion Criteria |
| Cisgender women between the ages of 20–50 |
| Not diagnosed with polycystic ovary syndrome |
| No systemic diseases such as hypertension or diabetes mellitus |
| BMI < 30 kg/m2 |
| No family history of coronary artery disease or peripheral arterial disease in first-degree relatives |
| No history of familial dyslipidemia |
| Study Group (n = 44) | Control Group (n = 44) | p-Values | |
|---|---|---|---|
| Age (years) | 32.56 ± 6.479 | 36.8 ± 3.2 | 0.115 |
| Body Weight (kg) | 68.5 ± 11.2 | 60.8 ± 8.35 | 0.023 * |
| BMI (kg/m2) | 25.3 ± 3.82 | 22.3 ± 4.1 | 0.096 |
| Systolic Blood Pressure (mm/Hg) | 117.6 ± 8.2 | 112 ± 7.2 | 0.013 * |
| Diastolic Blood Pressure (mm/Hg) | 73 ± 5.9 | 66 ± 4.8 | 0.003 * |
| Hemoglobin (g/dL) | 14.4 ± 1.03 | 12.5 ± 1.31 | 0.002 * |
| Hematocrit (%) | 43.2 ± 4.1 | 37.5 ± 3.91 | 0.003 * |
| HDL (mg/dL) | 49.9 ± 12.2 | 65.3 ± 24.1 | 0.042 * |
| LDL (mg/dL) | 135.25 ± 32.12 | 115.43 ± 35.2 | 0.023 * |
| Triglyceride (mg/dL) | 134.21 ± 52.52 | 75.5 ± 24.5 | 0.011 * |
| Total Cholesterol (mg/dL) | 175.38 ± 46.1 | 195.83 ± 64.2 | 0.845 |
| HbA1c (%) | 5.72 ± 0.36 | 5.14 ± 0.21 | 0.006 * |
| Fasting Blood Glucose (mg/dL) | 85.7 ± 7.2 | 78.6 ± 10.3 | 0.489 |
| Insulin | 8.6 ± 5.2 | 7.3 ± 3.2 | 0.454 |
| HOMA-IR | 1.92 ± 1.5 | 1.35 ± 0.72 | 0.346 |
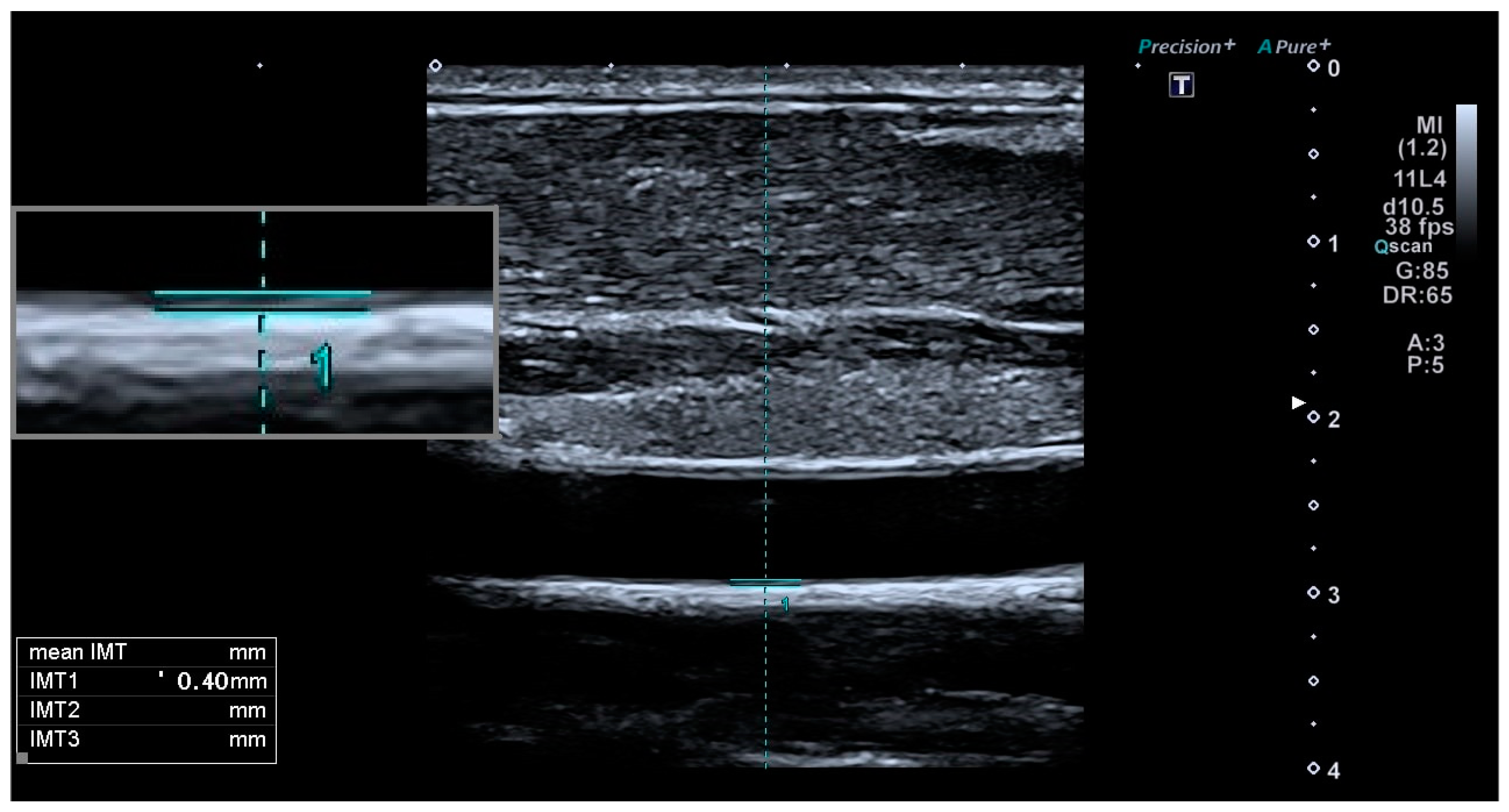
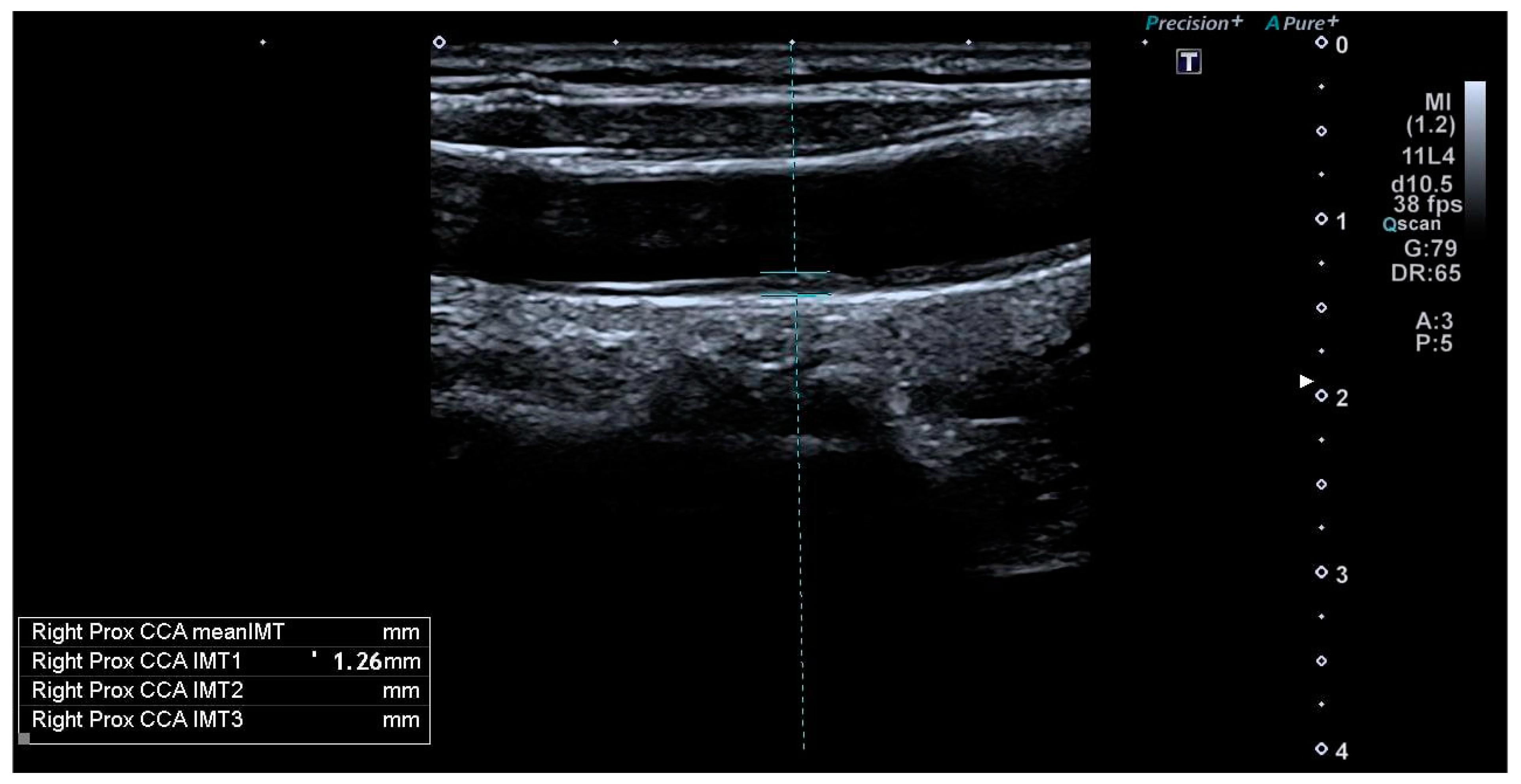
| Internal-CIMT (mm) | 0.7 ± 0.13 | 0.59 ± 0.15 | 0.021 * |
| Common-CIMT (mm) | 0.65 ± 0.15 | 0.56 ± 0.11 | 0.002 * |
| Higher-than-normal (>75th percentile **) Common-CIMT values (n/%) | 28/44, %64 | 7/44, %16 | 0.003 * |
| Last Value (n = 44) | Initial Value (n = 44) | p-Values | |
|---|---|---|---|
| Weight (kg) | 68.5 ± 11.2 | 61.6 ± 9.4 | 0.001 * |
| BMI (kg/m2) | 25.3 ± 3.82 | 21.5 ± 3.5 | 0.001 * |
| HDL (mg/dL) | 49.9 ± 12.2 | 66.4 ± 22.6 | 0.001 * |
| LDL (mg/dL) | 135.25 ± 32.12 | 110.46 ± 32.5 | 0.001 * |
| TG (mg/dL) | 134.21 ± 52.52 | 72.4 ± 22.3 | 0.013 * |
| Total Cholesterol | 211.992 ± 54.82 | 191.34 ± 59.56 | 0.388 |
Disclaimer/Publisher’s Note: The statements, opinions and data contained in all publications are solely those of the individual author(s) and contributor(s) and not of MDPI and/or the editor(s). MDPI and/or the editor(s) disclaim responsibility for any injury to people or property resulting from any ideas, methods, instructions or products referred to in the content. |
© 2024 by the authors. Licensee MDPI, Basel, Switzerland. This article is an open access article distributed under the terms and conditions of the Creative Commons Attribution (CC BY) license (https://creativecommons.org/licenses/by/4.0/).
Share and Cite
Hamid, R.; Güllüce, A.; Kargın, O.A.; Karagöz, S.H.; Adaletli, İ.; Çepni, İ.; Tüten, A. Assessing the Influence of Long-Term Gender-Affirming Hormone Therapy on Cardiovascular Risk in Transgender Men through Carotid Intima–Media Thickness. J. Clin. Med. 2024, 13, 6001. https://doi.org/10.3390/jcm13196001
Hamid R, Güllüce A, Kargın OA, Karagöz SH, Adaletli İ, Çepni İ, Tüten A. Assessing the Influence of Long-Term Gender-Affirming Hormone Therapy on Cardiovascular Risk in Transgender Men through Carotid Intima–Media Thickness. Journal of Clinical Medicine. 2024; 13(19):6001. https://doi.org/10.3390/jcm13196001
Chicago/Turabian StyleHamid, Rauf, Abdulkadir Güllüce, Osman A. Kargın, Seyfullah H. Karagöz, İbrahim Adaletli, İsmail Çepni, and Abdullah Tüten. 2024. "Assessing the Influence of Long-Term Gender-Affirming Hormone Therapy on Cardiovascular Risk in Transgender Men through Carotid Intima–Media Thickness" Journal of Clinical Medicine 13, no. 19: 6001. https://doi.org/10.3390/jcm13196001
APA StyleHamid, R., Güllüce, A., Kargın, O. A., Karagöz, S. H., Adaletli, İ., Çepni, İ., & Tüten, A. (2024). Assessing the Influence of Long-Term Gender-Affirming Hormone Therapy on Cardiovascular Risk in Transgender Men through Carotid Intima–Media Thickness. Journal of Clinical Medicine, 13(19), 6001. https://doi.org/10.3390/jcm13196001

