Phrenoplasty Techniques for the Reconstruction of Basal Chest Wall Defects
Abstract
1. Introduction
2. Techniques
2.1. Phrenoplasty with Intact Diaphragm
2.2. Phrenoplasty with Detachment of the Costal Diaphragmatic Insertions
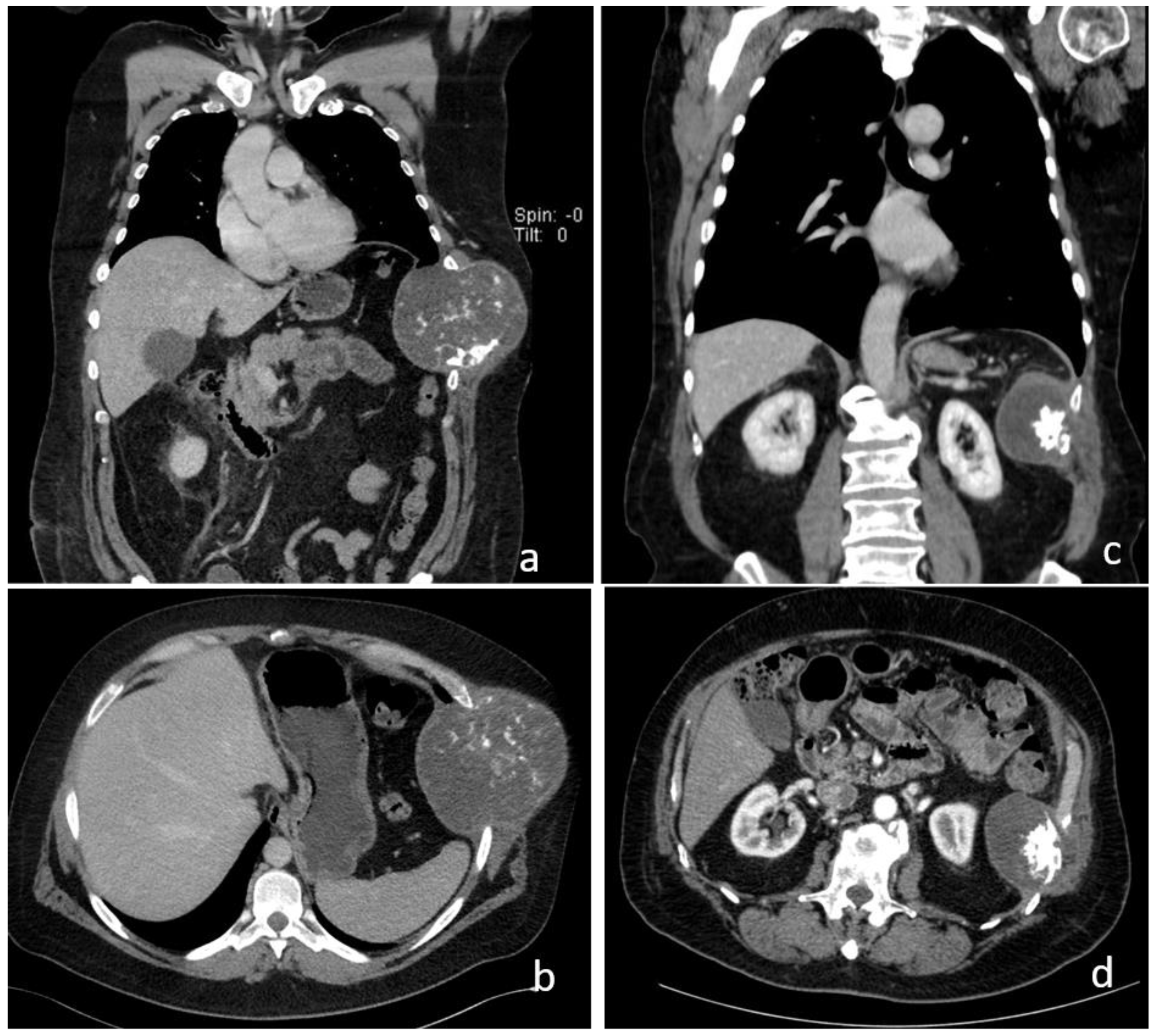
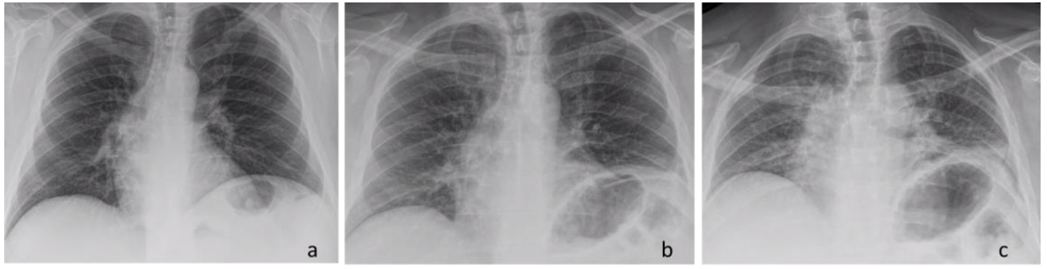
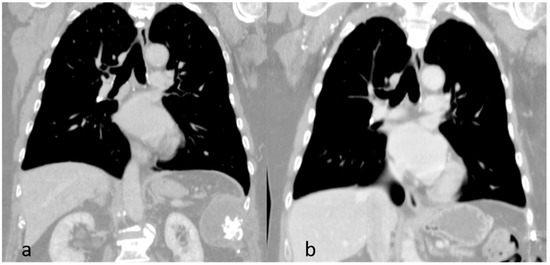
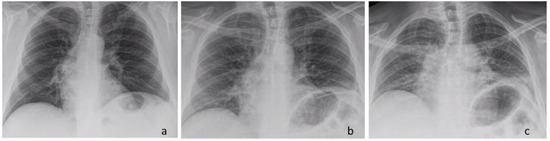
3. Results
4. Discussion
5. Conclusions
Author Contributions
Funding
Institutional Review Board Statement
Informed Consent Statement
Data Availability Statement
Acknowledgments
Conflicts of Interest
References
- Puma, F.; Vannucci, J. Chest wall resection/reconstruction for tumors. In Master Techniques in Surgery; Thoracic Surgery; Mathisen, D.J., Morse, C.R., Fischer, J.E., Eds.; W Kluwer: Philadelphia, PA, USA, 2015; pp. 312–358. [Google Scholar]
- Scarnecchia, E.; Liparulo, V.; Capozzi, R.; Ceccarelli, S.; Puma, F.; Vannucci, J. Chest wall resection and reconstruction for tumors: Analysis of oncological and functional outcome. J. Thorac. Dis. 2018, 10 (Suppl. S16), S1855–S1863. [Google Scholar] [CrossRef] [PubMed]
- Filosso, P.L.; Sandri, A.; Guerrera, F.; Solidoro, P.; Bora, G.; Lyberis, P.; Ruffini, E.; Oliaro, A. Primary lung tumors invading the chest wall. J. Thorac. Dis. 2016, 8 (Suppl. S11), S855–S862. [Google Scholar] [CrossRef] [PubMed]
- Aliverti, M.; Quaranta, B.; Chakrabarti, A.L.P.; Calverley, P.M. Paradoxical movement of the lower ribcage at rest and during exercise in COPD patients. Eur. Respir. J. 2009, 33, 49–60. [Google Scholar] [CrossRef] [PubMed]
- Bjork, V. Present indications for space-diminishing procedures after pulmonary resections for tuberculosis. Acta Chir. Scand. 1957, 112, 454. [Google Scholar] [PubMed]
- Biocca, P. Chirurgia toraco-polmonare. In Trattato di Tecnica Chirurgica; Piccin Ed.: Padua, Italy, 1983; Volume IV/1. [Google Scholar]
- Wald, O.; Islam, I.; Amit, K.; Ehud, R.; Eldad, E.; Omer, O.; Aviad, Z.; Moshe, S.O.; Uzi, I. 11-year experience with Chest Wall resection and reconstruction for primary Chest Wall sarcomas. J. Cardiothorac. Surg. 2020, 15, 29. [Google Scholar] [CrossRef] [PubMed]
- Kuwahara, H.; Salo, J.; Tukiainen, E. Diaphragm reconstruction combined with thoraco-abdominal wall reconstruction after tumor resection. J. Plast. Surg. Hand Surg. 2018, 52, 172–177. [Google Scholar] [CrossRef] [PubMed]
- Abdel Jalil, R.; Abou Chaar, M.K.; Al-Qudah, O.; Kakish, H.; Elfar, S. Chest wall and diaphragm reconstruction; a technique not well established in literature—Case report. J. Cardiothorac. Surg. 2021, 16, 196. [Google Scholar] [CrossRef] [PubMed]






Disclaimer/Publisher’s Note: The statements, opinions and data contained in all publications are solely those of the individual author(s) and contributor(s) and not of MDPI and/or the editor(s). MDPI and/or the editor(s) disclaim responsibility for any injury to people or property resulting from any ideas, methods, instructions or products referred to in the content. |
© 2024 by the authors. Licensee MDPI, Basel, Switzerland. This article is an open access article distributed under the terms and conditions of the Creative Commons Attribution (CC BY) license (https://creativecommons.org/licenses/by/4.0/).
Share and Cite
Puma, F.; Ceccarelli, S.; Melis, A.; Pourmolkara, D.; Coviello, E.; Amatucci, R.; Daddi, N.; Vannucci, J. Phrenoplasty Techniques for the Reconstruction of Basal Chest Wall Defects. J. Clin. Med. 2024, 13, 5928. https://doi.org/10.3390/jcm13195928
Puma F, Ceccarelli S, Melis A, Pourmolkara D, Coviello E, Amatucci R, Daddi N, Vannucci J. Phrenoplasty Techniques for the Reconstruction of Basal Chest Wall Defects. Journal of Clinical Medicine. 2024; 13(19):5928. https://doi.org/10.3390/jcm13195928
Chicago/Turabian StylePuma, Francesco, Silvia Ceccarelli, Alberto Melis, Domenico Pourmolkara, Eleonora Coviello, Riccardo Amatucci, Niccolò Daddi, and Jacopo Vannucci. 2024. "Phrenoplasty Techniques for the Reconstruction of Basal Chest Wall Defects" Journal of Clinical Medicine 13, no. 19: 5928. https://doi.org/10.3390/jcm13195928
APA StylePuma, F., Ceccarelli, S., Melis, A., Pourmolkara, D., Coviello, E., Amatucci, R., Daddi, N., & Vannucci, J. (2024). Phrenoplasty Techniques for the Reconstruction of Basal Chest Wall Defects. Journal of Clinical Medicine, 13(19), 5928. https://doi.org/10.3390/jcm13195928

