Management of Abdominal Aortic Aneurysm Surgery in Glanzmann’s Thrombasthenia Patients with Anti-GPIIb-IIIa Antibodies: A Case Report
Abstract
1. Introduction
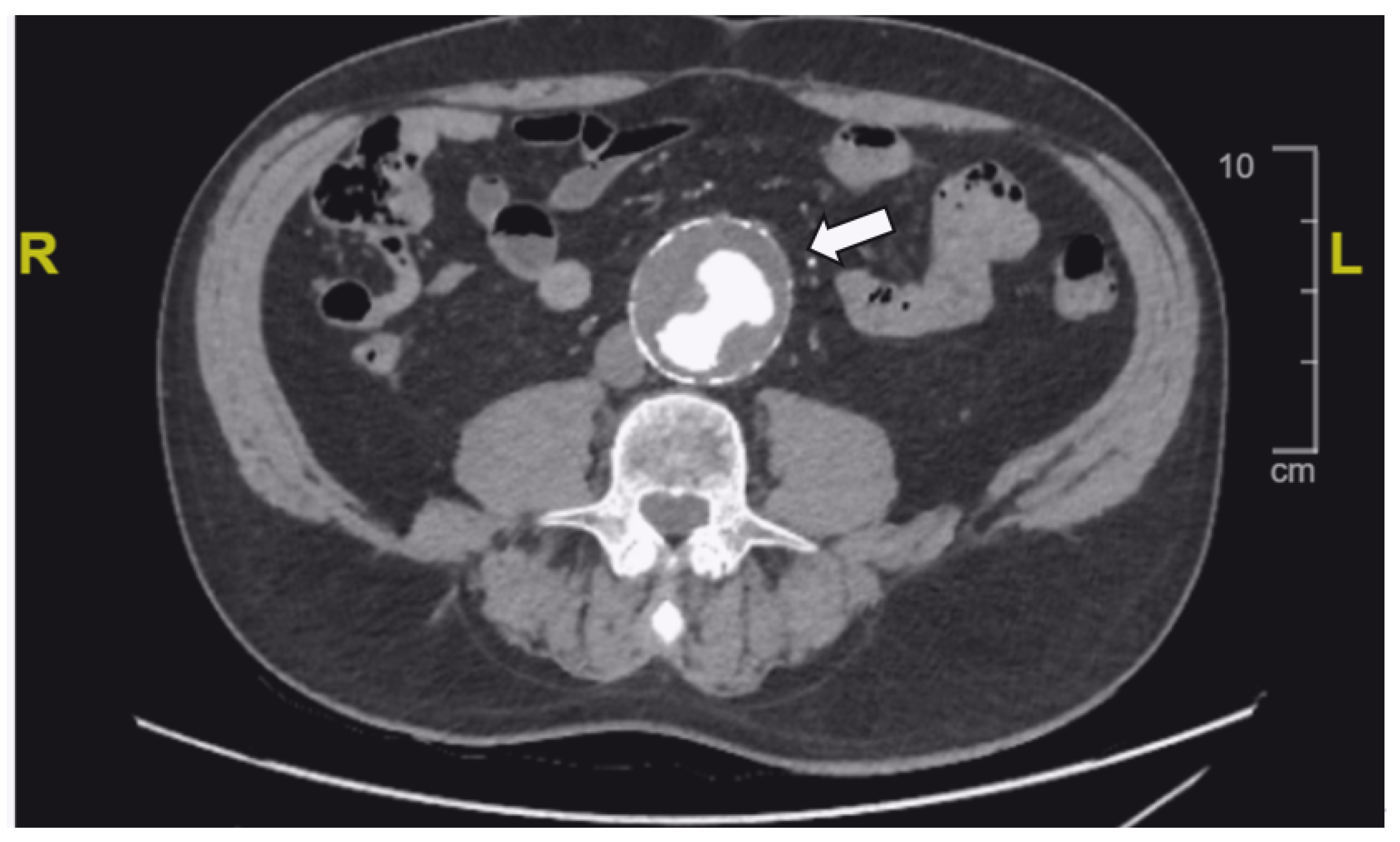
2. Case Report
3. Discussion
4. Conclusions
Author Contributions
Funding
Institutional Review Board Statement
Informed Consent Statement
Data Availability Statement
Acknowledgments
Conflicts of Interest
References
- Nurden, A.T.; Pillois, X.; Wilcox, D.A. Glanzmann thrombasthenia: State of the art and future directions. Semin. Thromb. Hemost. 2013, 39, 642–655. [Google Scholar] [PubMed]
- Fiore, M.; Giraudet, J.S.; Alessi, M.C.; Falaise, C.; Desprez, D.; d’Oiron, R.; Voisin, S.; Hurtaud, M.F.; Boutroux, H.; Saultier, P.; et al. Emergency management of patients with Glanzmann thrombasthenia: Consensus recommendations from the French reference center for inherited platelet disorders. Orphanet J. Rare Dis. 2023, 18, 171. [Google Scholar] [CrossRef] [PubMed]
- Nurden, P.; Stritt, S.; Favier, R.; Nurden, A.T. Inherited platelet diseases with normal platelet count: Phenotypes, genotypes and diagnostic strategy. Haematologica 2021, 106, 337–350. [Google Scholar] [CrossRef] [PubMed]
- Poon, M.C.; Di Minno, G.; d’Oiron, R.; Zotz, R. New insights into the treatment of Glanzmann thrombasthenia. Transfus. Med. Rev. 2016, 30, 92–99. [Google Scholar] [CrossRef]
- Fiore, M.; d’Oiron, R.; Pillois, X.; Alessi, M.C. Anti-alphaIIb beta3 immunization in Glanzmann thrombasthenia: Review of literature and treatment recommendations. Br. J. Haematol. 2018, 181, 173–182. [Google Scholar] [CrossRef]
- Kurdi, M.; Frère, C.; Amour, J.; Brumpt, C.; Delort, J.; Lebreton, G.; Croisille, L.; d’Oiron, R.; Martin-Toutain, I. Perioperative management of a patient with Glanzmann thrombasthenia undergoing a coronary artery bypass graft surgery: A case report. Blood Coagul. Fibrinolysis 2018, 29, 327–329. [Google Scholar] [CrossRef]
- Ryckman, J.G.; Hall, S.; Serra, J. Coronary artery bypass grafting in a patient with Glanzmann’s thrombasthenia. J. Card. Surg. 2005, 20, 555–556. [Google Scholar] [CrossRef] [PubMed]
- Bastard, P.; Couderc, A.; Kwon, T.; Hogan, J.; Niel, O.; Cambier, A.; Ali, L.; Smaine, D.; Maisin, A.; Deschenes, G.; et al. A Successful Renal Transplant in a Pediatric Patient with Glanzmann Thrombasthenia and Hyperimmunization. Exp. Clin. Transplant. 2019, 17, 831–834. [Google Scholar] [CrossRef] [PubMed]
- Ganapule, A.; Jain, P.; Abubacker, F.N.; Korula, A.; Abraham, A.; Mammen, J.; George, B.; Mathews, V.; Srivastava, A.; Viswabandya, A. Surgical procedures in patients with Glanzmann’s thrombasthenia: Case series and literature review. Blood Coagul. Fibrinolysis 2017, 28, 171–175. [Google Scholar] [CrossRef]
- Poon, M.C.; d’Oiron, R.; Zotz, R.B.; Bindslev, N.; Di Minno, M.N.D.; Di Minno, G. The international, prospective Glanzmann Thrombasthenia Registry: Treatment and outcomes in surgical intervention. Haematologica 2015, 100, 1038–1044. [Google Scholar] [CrossRef]
- Bolton-Maggs, P.H.; Chalmers, E.A.; Collins, P.W.; Harrison, P.; Kitchen, S.; Liesner, R.J.; Minford, A.; Mumford, A.D.; Parapia, L.A.; Perry, D.J.; et al. A review of inherited platelet disorders with guidelines for their management on behalf of the UKHCDO. Br. J. Haematol. 2006, 135, 603–633. [Google Scholar] [CrossRef] [PubMed]
- Tosetto, A.; Balduini, C.L.; Cattaneo, M.; De Candia, E.; Mariani, G.; Molinari, A.C.; Rossi, E.; Siragusa, S. Management of bleeding and of invasive procedures in patients with platelet disorders and/or thrombocytopenia: Guidelines of the Italian Society for Haemostasis and Thrombosis (SISET). Thromb. Res. 2009, 124, e13–e18. [Google Scholar] [CrossRef] [PubMed]
- Ferretti, A.; Santoro, C.; Ferrara, G.; Baldacci, E.; Barone, F.; Mazzucconi, M.G. Anticoagulant therapy in patients with Glanzmann’s Thrombasthenia: Is it possible? Haemophilia 2017, 23, e531–e533. [Google Scholar] [CrossRef]
- Truong, K.P.; Zhang, J.J.; Shahid, M.; Goud, A.; Rosove, M.; Currier, J.; Shamsa, K.; Parikh, R.V. Management of High-Grade Coronary Artery Disease and Concomitant Glanzmann Thrombasthenia. JACC Case Rep. 2021, 3, 1625–1629. [Google Scholar] [CrossRef]
- Sattler, L.; Wimmer, J.; Herb, A.; Gerout, A.C.; Feugeas, O.; Desprez, D. Apixaban for treatment of venous thromboembolism in an obese patient with Glanzmann thrombasthenia. Res. Pract. Thromb. Haemost. 2023, 7, 100183. [Google Scholar] [CrossRef]
- Rezende, S.M. Secondary prophylaxis with warfarin for recurrent thrombosis in a patient with Glanzmann thrombasthenia and F5 G1691A. Br. J. Haematol. 2012, 156, 144. [Google Scholar] [CrossRef]
- Ten Cate, H.; Brandjes, D.P.; Smits, P.H.; van Mourik, J.A. The role of platelets in venous thrombosis: A patient with Glanzmann’s thrombasthenia and a factor V Leiden mutation suffering from deep venous thrombosis. J. Thromb. Haemost. 2003, 1, 394–395. [Google Scholar] [CrossRef]
- Nurden, A.; Mercié, P.; Zely, P.; Nurden, P. Deep Vein Thrombosis, Raynaud’s Phenomenon, and Prinzmetal Angina in a Patient with Glanzmann Thrombasthenia. Case Rep. Hematol. 2012, 2012, 156290. [Google Scholar] [CrossRef] [PubMed]
- Greco, A.; Laudani, C.; Rochira, C.; Capodanno, D. Antithrombotic Management in AF Patients Following Percutaneous Coronary Intervention: A European Perspective. Interv. Cardiol. 2023, 18, e05. [Google Scholar] [CrossRef]
- Aday, A.W.; Gutierrez, J.A. Antiplatelet Therapy Following Peripheral Arterial Interventions: The Choice Is Yours. Circ. Cardiovasc. Interv. 2020, 13, e009727. [Google Scholar] [CrossRef]
- Binder, A.; Aledort, L. Glanzmann’s thrombasthenia: Meeting the anticoagulation challenge. Hemophilia 2015, 21, e322–e343. [Google Scholar] [CrossRef] [PubMed]
- Sivapalaratnam, S.; Austin, S.; Lorch, U.; York, T.; Want, A.; Gosnell, A.; Gandhi, P.S.; Østergaard, H.; Bjornson, E.; O’Meara, T.; et al. A Phase 1/2, First-in-Human, Study to Investigate the Safety, Tolerability, Pharmacokinetics, Pharmacodynamics, and Efcacy of HMB-001 in Participants with Glanzmann Thrombasthenia. Blood 2023, 142 (Suppl. S1), 1225. [Google Scholar] [CrossRef]


Disclaimer/Publisher’s Note: The statements, opinions and data contained in all publications are solely those of the individual author(s) and contributor(s) and not of MDPI and/or the editor(s). MDPI and/or the editor(s) disclaim responsibility for any injury to people or property resulting from any ideas, methods, instructions or products referred to in the content. |
© 2024 by the authors. Licensee MDPI, Basel, Switzerland. This article is an open access article distributed under the terms and conditions of the Creative Commons Attribution (CC BY) license (https://creativecommons.org/licenses/by/4.0/).
Share and Cite
Leuci, A.; Millon, A.; Chopin, A.; Rezigue, H.; Alotaibi, S.; Dargaud, Y. Management of Abdominal Aortic Aneurysm Surgery in Glanzmann’s Thrombasthenia Patients with Anti-GPIIb-IIIa Antibodies: A Case Report. J. Clin. Med. 2024, 13, 5839. https://doi.org/10.3390/jcm13195839
Leuci A, Millon A, Chopin A, Rezigue H, Alotaibi S, Dargaud Y. Management of Abdominal Aortic Aneurysm Surgery in Glanzmann’s Thrombasthenia Patients with Anti-GPIIb-IIIa Antibodies: A Case Report. Journal of Clinical Medicine. 2024; 13(19):5839. https://doi.org/10.3390/jcm13195839
Chicago/Turabian StyleLeuci, Alexandre, Antoine Millon, Alice Chopin, Hamdi Rezigue, Ssakher Alotaibi, and Yesim Dargaud. 2024. "Management of Abdominal Aortic Aneurysm Surgery in Glanzmann’s Thrombasthenia Patients with Anti-GPIIb-IIIa Antibodies: A Case Report" Journal of Clinical Medicine 13, no. 19: 5839. https://doi.org/10.3390/jcm13195839
APA StyleLeuci, A., Millon, A., Chopin, A., Rezigue, H., Alotaibi, S., & Dargaud, Y. (2024). Management of Abdominal Aortic Aneurysm Surgery in Glanzmann’s Thrombasthenia Patients with Anti-GPIIb-IIIa Antibodies: A Case Report. Journal of Clinical Medicine, 13(19), 5839. https://doi.org/10.3390/jcm13195839

