Comparative Analysis of Metastatic Thyroid Carcinoma versus Ectopic Thyroid Carcinoma in Lateral Neck Masses without Identifiable Primary Thyroid Carcinoma
Abstract
1. Introduction
2. Methods
2.1. Search Criteria
2.2. Representative Case and Literature Review
2.3. Diagnosis, Treatments, and Prognosis
2.4. Statistical Analyses
3. Results
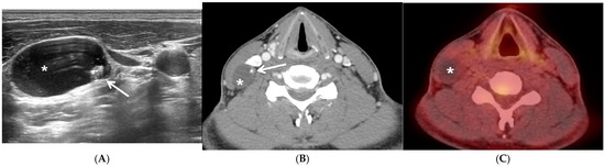
3.1. Representative Case of PTC in Solitary Lateral Neck Cystic Mass without Identifiable Primary Carcinoma in Thyroid
3.2. Comparative Analysis of Demographic and Clinical Characteristics between Metastatic TC and Ectopic TC
| Metastatic TC (n = 11) | Ectopic TC (n = 28) | p-Value | |
|---|---|---|---|
| Age (years; range) | 50.4 ± 20.7 (17–76) | 36.0 ± 12.4 (15–75) | 0.054 |
| Sex (Male/Female) (n) | 47 | 13/15 | 0.725 |
| Lateral neck mass size (mm; range) | 34.7 ± 16.5 (15–68) | 44.7 ± 22.6 (20–100) | 0.137 |
| Histopathological results of lateral neck mass (n) | Metastatic thyroid carcinoma (n = 11) | Thyroid carcinoma within BCC (n = 19) LN (n = 5) Sequestered mass (n = 4) | |
| Histopathological subtype of thyroid carcinoma (n); PTC/others | 9/2 | 26/2 | 0.562 |
| Thyroid evaluation (n); Preop/After excision of mass/NA | 7/13 | 17/7/4 | 0.648 |
3.3. Comparative Analysis of Treatment Strategies, Histopathological Results, and Prognosis of Metastatic TC versus Ectopic TC
| Metastatic TC (n = 11) | Ectopic TC (n = 28) | p-Value | |
|---|---|---|---|
| Thyroid treatment (n); TT/HT/2nd TT/2nd HT/not conducted | 10/0/0/0/1 | 9/0/13/1/5 | 0.009 * |
| Thyroid treatment (n); Single/Second-stage | 10/0 | 9/14 | 0.001 * |
| Neck treatment (n); Not conducted/ND/2nd ND/NA | 2/9/0/0 | 10/6/9/3 | 0.005 * |
| Neck treatment (n); Single/Second-stage | 9/0 | 6/9 | 0.002 * |
| Accompanied by metastatic LN (n); No/Single/Multiple/NA | 1/2/6/0 | 8/2/3/2 | 0.032 * |
| RIT (n); Yes/No/NA | 4/1/6 | 9/8/11 | 0.637 |
| Prognosis; NED/Rec/NA (n) NED (duration (months)) | 6/2/3 116 ± 77.9 (24–204) | 18/1/9 40.9 ± 25.9 (12–96) | 0.201 |
4. Discussion
5. Conclusions
Author Contributions
Funding
Institutional Review Board Statement
Informed Consent Statement
Data Availability Statement
Conflicts of Interest
Abbreviations
References
- Xu, B.; Scognamiglio, T.; Cohen, P.R.; Prasad, M.L.; Hasanovic, A.; Tuttle, R.M.; Katabi, N.; Ghossein, R.A. Metastatic thyroid carcinoma without identifiable primary tumor within the thyroid gland: A retrospective study of a rare phenomenon. Hum. Pathol. 2017, 65, 133–139. [Google Scholar] [CrossRef]
- Ito, Y.; Hirokawa, M.; Fukushima, M.; Inoue, H.; Yabuta, T.; Uruno, T.; Kihara, M.; Higashiyama, T.; Takamura, Y.; Miya, A.; et al. Occult papillary thyroid carcinoma: Diagnostic and clinical implications in the era of routine ultrasonography. World J. Surg. 2008, 32, 1955–1960. [Google Scholar] [CrossRef]
- Chen, W.; Li, G.; Li, Z.; Zhu, J.; Wei, T.; Lei, J. Evaluation of plasma exosomal miRNAs as potential diagnostic biomarkers of lymph node metastasis in papillary thyroid carcinoma. Endocrine 2022, 75, 846–855. [Google Scholar] [CrossRef]
- Noussios, G.; Anagnostis, P.; Goulis, D.G.; Lappas, D.; Natsis, K. Ectopic thyroid tissue: Anatomical, clinical, and surgical implications of a rare entity. Eur. J. Endocrinol. 2011, 165, 375–382. [Google Scholar] [CrossRef]
- Agosto-Vargas, Y.; Gutiérrez, M.; Martínez, J.H.; Mangual-Garcia, M.; Palermo, C.; Vélez-Maymi, S.; Hernández-Vázquez, L.; Miranda-Rodríguez, S.; González-Bossolo, A.; Solá-Sánchez, E.; et al. Papillary Thyroid Carcinoma: Ectopic Malignancy versus Metastatic Disease. Case Rep. Endocrinol. 2017, 2017, 9707031. [Google Scholar] [CrossRef]
- Prado, H.; Prado, A.; Castillo, B. Lateral ectopic thyroid: A case diagnosed preoperatively. Ear Nose Throat J. 2012, 91, E14–E18. [Google Scholar] [CrossRef]
- Klubo-Gwiezdzinska, J.; Manes, R.P.; Chia, S.H.; Burman, K.D.; Stathatos, N.A.; Deeb, Z.E.; Wartofsky, L. Clinical review: Ectopic cervical thyroid carcinoma--review of the literature with illustrative case series. J. Clin. Endocrinol. Metab. 2011, 96, 2684–2691. [Google Scholar] [CrossRef]
- Kremer, M.E.B.; van Trotsenburg, A.S.P.; Engelsman, A.F.; Edelenbos, E.; Farina-Sarasqueta, A.; van Schuppen, J.; Koppes, J.C.C.; Derikx, J.P.M.; Mooij, C.F. A 15-year-old Girl with a Lateral Neck Mass Turning Out to Be Papillary Thyroid Carcinoma-Lateral Ectopic Papillary Thyroid Carcinoma or Lymph Node Metastasis? J. Clin. Res. Pediatr. Endocrinol. 2023. [Google Scholar] [CrossRef]
- Haugen, B.R.; Alexander, E.K.; Bible, K.C.; Doherty, G.M.; Mandel, S.J.; Nikiforov, Y.E.; Pacini, F.; Randolph, G.W.; Sawka, A.M.; Schlumberger, M.; et al. 2015 American Thyroid Association Management Guidelines for Adult Patients with Thyroid Nodules and Differentiated Thyroid Cancer: The American Thyroid Association Guidelines Task Force on Thyroid Nodules and Differentiated Thyroid Cancer. Thyroid. Off. J. Am. Thyroid. Assoc. 2016, 26, 1–133. [Google Scholar] [CrossRef]
- Riva, G.; Villanova, M.; Francia, G.; Valotto, G.; Mezzetto, L.; Toaiari, M.; Eccher, A.; Novelli, L. Lymphnode metastasis of thyroid cancer misinterpreted as lateral aberrant thyroid 40 years before identification of primary tumor. Case report and review of the literature. Pathologica 2018, 110, 313–315. [Google Scholar]
- Rahmat, F.; Kumar Marutha Muthu, A.; Gopal, N.S.R.; Jo Han, S.; Yahaya, A.S. Papillary Thyroid Carcinoma as a Lateral Neck Cyst: A Cystic Metastatic Node versus an Ectopic Thyroid Tissue. Case Rep. Endocrinol. 2018, 2018, 5198297. [Google Scholar] [CrossRef] [PubMed]
- Barrea, L.; Fonderico, F.; Di Somma, C.; Pugliese, G.; De Alteriis, G.; Mascolo, M.; Colao, A.; Savastano, S. Thyroid papillary carcinoma arising in ectopic thyroid tissue within sternocleidomastoid muscle: Case report and review of current literature. Minerva Endocrinol. 2020, 45, 318–325. [Google Scholar] [CrossRef]
- Ruhl, D.S.; Sheridan, M.F.; Sniezek, J.C. Papillary Thyroid Carcinoma in a Branchial Cleft Cyst without a Thyroid Primary: Navigating a Diagnostic Dilemma. Case Rep. Otolaryngol. 2013, 2013, 405342. [Google Scholar] [CrossRef] [PubMed]
- Monchik, J.M.; De Petris, G.; De Crea, C. Occult papillary carcinoma of the thyroid presenting as a cervical cyst. Surgery 2001, 129, 429–432. [Google Scholar] [CrossRef] [PubMed]
- Singh, A.; Butuc, R.; Lopez, R. Metastatic papillary thyroid carcinoma with absence of tumor focus in thyroid gland. Am. J. Case Rep. 2013, 14, 73–75. [Google Scholar] [CrossRef]
- Liu, H.; Lv, L.; Yang, K. Occult thyroid carcinoma: A rare case report and review of literature. Int. J. Clin. Exp. Pathol. 2014, 7, 5210–5214. [Google Scholar]
- Yamashita, G.; Kondo, T.; Okimura, A.; Nakatsugawa, M.; Hirano, H.; Takeda, A.; Kikawada, N.; Aihara, Y.; Chiba, Y.; Ogawa, Y.; et al. Occult Papillary Thyroid Carcinoma without Detection of the Primary Tumor on Preoperative Ultrasonography or Postoperative Pathological Examination: A Case Report. Case Rep. Oncol. 2020, 13, 105–112. [Google Scholar] [CrossRef]
- Park, J.; Kwon, S.Y.; Kim, N.H.; Baik, S.H.; Choi, D.S. Papillary thyroid carcinoma arising in a branchial cleft cyst. Thyroid. Off. J. Am. Thyroid. Assoc. 2010, 20, 347–349. [Google Scholar] [CrossRef]
- Amin, M.B.; Greene, F.L.; Edge, S.B.; Compton, C.C.; Gershenwald, J.E.; Brookland, R.K.; Meyer, L.; Gress, D.M.; Byrd, D.R.; Winchester, D.P. The Eighth Edition AJCC Cancer Staging Manual: Continuing to build a bridge from a population-based to a more “personalized” approach to cancer staging. CA A Cancer J. Clin. 2017, 67, 93–99. [Google Scholar] [CrossRef]
- Subramony, C.; Baliga, M.; Lemos, L.B. Follicular carcinoma arising in ectopic thyroid tissue: Case report with fine-needle aspiration findings. Diagn. Cytopathol. 1997, 16, 39–41. [Google Scholar] [CrossRef]
- Santini, L.; Scurini, C.; Caracò, C.; Conzo, G.; Orabona, P.; De Rosa, G.; Fattoruso, O.; Colantuoni, V. A primary, lateral-cervical medullary thyroid carcinoma: A case report. J. Clin. Endocrinol. Metab. 1996, 81, 1784–1786. [Google Scholar] [CrossRef] [PubMed][Green Version]
- Jadusingh, W.; Shah, D.J.; Shaw, H.; Lyn, C. Thyroid papillary carcinoma arising in a branchial cleft cyst. West Indian Med. J. 1996, 45, 122–124. [Google Scholar] [PubMed]
- Matsumoto, K.; Watanabe, Y.; Asano, G. Thyroid papillary carcinoma arising in ectopic thyroid tissue within a branchial cleft cyst. Pathol. Int. 1999, 49, 444–446. [Google Scholar] [CrossRef] [PubMed]
- Lanzafame, S.; Caltabiano, R.; Puzzo, L.; Cappellani, A. Thyroid transcription factor 1 (TTF-1) and p63 expression in two primary thyroid papillary carcinomas of branchial cleft cysts. Virchows Arch. Int. J. Pathol. 2006, 449, 129–133. [Google Scholar] [CrossRef] [PubMed]
- Sagit, M.; Gokler, A.; Akin, I.; Han, U. Wrong egg in the usual nest: Thyroid papillary carcinoma within a branchial cleft cyst. Ear Nose Throat J. 2013, 92, E31–E34. [Google Scholar] [CrossRef]
- Pawan, K.; Ravikanth, R.; Sarkar, P.S.; Kumar, N.; Philip, B. A rare case of primary papillary carcinoma of ectopic thyroid in a branchial cleft cyst. J. Ann. Int. Med. Dent. Res. 2017, 3, 24. [Google Scholar]
- Cappellani, A.; Di Vita, M.; Zanghì, A.; Di Stefano, B.; La Porta, D.; De Luca, A.; Lanzafame, S.; D’Angelo, A. A case of branchial cyst with an ectopic thyroid papillary carcinoma. Ann. Ital. Di Chir. 2004, 75, 349–351, discussion 352. [Google Scholar]
- Balasubramaniam, G.S.; Stillwell, R.G.; Kennedy, J.T. Papillary carcinoma arising in ectopic thyroid tissue within a branchial cyst. Pathology 1992, 24, 214–216. [Google Scholar] [CrossRef]
- Sidhu, S.; Lioe, T.F.; Clements, B. Thyroid papillary carcinoma in lateral neck cyst: Missed primary tumour or ectopic thyroid carcinoma within a branchial cyst? J. Laryngol. Otol. 2000, 114, 716–718. [Google Scholar] [CrossRef]
- Mehmood, R.K.; Basha, S.I.; Ghareeb, E. A case of papillary carcinoma arising in ectopic thyroid tissue within a branchial cyst with neck node metastasis. Ear Nose Throat J. 2006, 85, 675–676. [Google Scholar] [CrossRef]
- Kushwaha, J.K.; Sonkar, A.A.; Goel, M.M.; Gupta, R. Papillary carcinoma of thyroid arising from ectopic thyroid tissue inside branchial cleft cyst: A rare case. BMJ Case Rep. 2012, 2012, bcr0220125783. [Google Scholar] [CrossRef] [PubMed]
- Xu, J.J.; Kwan, K.; Fung, K. Papillary thyroid carcinoma in a lateral neck cyst: Primary of ectopic thyroid tissue versus cystic metastasis. J. Laryngol. Otol. 2013, 127, 724–727. [Google Scholar] [CrossRef]
- Karras, S.; Anagnostis, P.; Noussios, G.; Pontikides, N. Thyroid papillary carcinoma arising in ectopic thyroid tissue within a branchial cleft cyst. BMJ Case Rep. 2013, 2013, bcr2013009312. [Google Scholar] [CrossRef] [PubMed]
- Cho, J.S.; Shin, S.H.; Kim, H.K.; Lee, J.S.; Park, M.H.; Yoon, J.H.; Jegal, Y.J. Primary papillary carcinoma originated from a branchial cleft cyst. J. Korean Surg. Soc. 2011, 81 (Suppl. 1), S12–S16. [Google Scholar] [CrossRef] [PubMed]
- Hong, Y.T.; Hong, K.H. Radiologic Features of Papillary Carcinoma in the Second Branchial Cleft Cyst. Ear Nose Throat J. 2019, 98, 295–298. [Google Scholar] [CrossRef]
- Lee, A.K.; Tacanay, P.M.A.; Siy, P.; Argamosa, D.T. Ectopic Papillary Thyroid Carcinoma Presenting as Right Lateral Neck Mass: A Case Report. J. ASEAN Fed. Endocr. Soc. 2022, 37, 103–106. [Google Scholar] [CrossRef] [PubMed]
- Kola, E.; Musa, J.; Guy, A.; Kola, I.; Horjeti, E.; Filaj, V.; Alimehmeti, M. Ectopic Thyroid Papillary Carcinoma with Cervical Lymph Node Metastasis as the Initial Presentation, Accompanied by Benign Thyroid Gland. Med. Arch. 2021, 75, 154–157. [Google Scholar] [CrossRef] [PubMed]
- Wang, Z.; Qiu, S.; Eltorky, M.A.; Tang, W.W. Histopathologic and immunohistochemical characterization of a primary papillary thyroid carcinoma in the lateral cervical lymph node. Exp. Mol. Pathol. 2007, 82, 91–94. [Google Scholar] [CrossRef]
- Singh, V.; Srinivas, T.; Bhat, S.; Goel, S. Massive lateral neck mass: Aberrant ectopic thyroid malignancy. BMJ Case Rep. 2021, 14, e241451. [Google Scholar] [CrossRef]
- Sakorafas, G.H.; Sampanis, D.; Safioleas, M. Cervical lymph node dissection in papillary thyroid cancer: Current trends, persisting controversies, and unclarified uncertainties. Surg. Oncol. 2010, 19, e57–e70. [Google Scholar] [CrossRef]
- Hazarika, P.; Siddiqui, S.A.; Pujary, K.; Shah, P.; Nayak, D.R.; Balakrishnan, R. Dual ectopic thyroid: A report of two cases. J. Laryngol. Otol. 1998, 112, 393–395. [Google Scholar] [CrossRef] [PubMed]
- Batsakis, J.G.; El-Naggar, A.K.; Luna, M.A. Thyroid gland ectopias. Ann. Otol. Rhinol. Laryngol. 1996, 105, 996–1000. [Google Scholar] [CrossRef]
- Maceri, D.R.; Babyak, J.; Ossakow, S.J. Lateral neck mass. Sole presenting sign of metastatic thyroid cancer. Arch. Otolaryngol. Head Neck Surg. 1986, 112, 47–49. [Google Scholar] [CrossRef] [PubMed]
- Jaques, D.A.; Chambers, R.G.; Oertel, J.E. Thyroglossal tract carcinoma. A review of the literature and addition of eighteen cases. Am. J. Surg. 1970, 120, 439–446. [Google Scholar] [CrossRef]
- Goropoulos, A.; Karamoshos, K.; Christodoulou, A.; Ntitsias, T.; Paulou, K.; Samaras, A.; Xirou, P.; Efstratiou, I. Value of the cervical compartments in the surgical treatment of papillary thyroid carcinoma. World J. Surg. 2004, 28, 1275–1281. [Google Scholar] [CrossRef]
- Lan, X.; Sun, W.; Zhang, H.; Dong, W.; Wang, Z.; Zhang, T. A Meta-analysis of Central Lymph Node Metastasis for Predicting Lateral Involvement in Papillary Thyroid Carcinoma. Otolaryngol. Head Neck Surg. Off. J. Am. Acad. Otolaryngol. Head Neck Surg. 2015, 153, 731–738. [Google Scholar] [CrossRef] [PubMed]
- Cracchiolo, J.R.; Wong, R.J. Management of the lateral neck in well differentiated thyroid cancer. Eur. J. Surg. Oncol. J. Eur. Soc. Surg. Oncol. Br. Assoc. Surg. Oncol. 2018, 44, 332–337. [Google Scholar] [CrossRef]
- Nishikawa, M.; Toyoda, N.; Yonemoto, T.; Fujiyama, A.; Ogawa, Y.; Tokoro, T.; Sakaguchi, N.; Yoshimura, M.; Yoshikawa, N.; Tabata, S.; et al. Occult papillary thyroid carcinoma in Hashimoto’s thyroiditis presenting as a metastatic bone tumor. Endocr. J. 1998, 45, 111–116. [Google Scholar] [CrossRef] [PubMed][Green Version]
- Tastekin, E.; Can, N.; Ayturk, S.; Celik, M.; Ustun, F.; Guldiken, S.; Sezer, A.; Celik, H.; Koten, M. Clinically Undetectable Occult Thyroid Papillary Carcinoma Presenting with Cervical Lymph Node Metastasis. Acta Endocrinol. 2016, 12, 72–76. [Google Scholar] [CrossRef]
- Seven, H.; Gurkan, A.; Cinar, U.; Vural, C.; Turgut, S. Incidence of occult thyroid carcinoma metastases in lateral cervical cysts. Am. J. Otolaryngol. 2004, 25, 11–17. [Google Scholar] [CrossRef]
- Peștean, C.; Pavel, A.; Piciu, D. The Role of SPECT/CT and PET/CT Hybrid Imaging in the Management of Ectopic Thyroid Carcinoma-A Systematic Review. Diagnostics 2024, 14, 1369. [Google Scholar] [CrossRef] [PubMed]
- Lee, C.W.; Roh, J.L.; Gong, G.; Cho, K.J.; Choi, S.H.; Nam, S.Y.; Kim, S.Y. Risk factors for recurrence of papillary thyroid carcinoma with clinically node-positive lateral neck. Ann. Surg. Oncol. 2015, 22, 117–124. [Google Scholar] [CrossRef] [PubMed]
- Robinson, T.J.; Thomas, S.; Dinan, M.A.; Roman, S.; Sosa, J.A.; Hyslop, T. How Many Lymph Nodes Are Enough? Assessing the Adequacy of Lymph Node Yield for Papillary Thyroid Cancer. J. Clin. Oncol. 2016, 34, 3434–3439. [Google Scholar] [CrossRef] [PubMed]

Disclaimer/Publisher’s Note: The statements, opinions and data contained in all publications are solely those of the individual author(s) and contributor(s) and not of MDPI and/or the editor(s). MDPI and/or the editor(s) disclaim responsibility for any injury to people or property resulting from any ideas, methods, instructions or products referred to in the content. |
© 2024 by the authors. Licensee MDPI, Basel, Switzerland. This article is an open access article distributed under the terms and conditions of the Creative Commons Attribution (CC BY) license (https://creativecommons.org/licenses/by/4.0/).
Share and Cite
Shim, H.-k.; Kim, M.R. Comparative Analysis of Metastatic Thyroid Carcinoma versus Ectopic Thyroid Carcinoma in Lateral Neck Masses without Identifiable Primary Thyroid Carcinoma. J. Clin. Med. 2024, 13, 5819. https://doi.org/10.3390/jcm13195819
Shim H-k, Kim MR. Comparative Analysis of Metastatic Thyroid Carcinoma versus Ectopic Thyroid Carcinoma in Lateral Neck Masses without Identifiable Primary Thyroid Carcinoma. Journal of Clinical Medicine. 2024; 13(19):5819. https://doi.org/10.3390/jcm13195819
Chicago/Turabian StyleShim, Hye-kyung, and Mi Ra Kim. 2024. "Comparative Analysis of Metastatic Thyroid Carcinoma versus Ectopic Thyroid Carcinoma in Lateral Neck Masses without Identifiable Primary Thyroid Carcinoma" Journal of Clinical Medicine 13, no. 19: 5819. https://doi.org/10.3390/jcm13195819
APA StyleShim, H.-k., & Kim, M. R. (2024). Comparative Analysis of Metastatic Thyroid Carcinoma versus Ectopic Thyroid Carcinoma in Lateral Neck Masses without Identifiable Primary Thyroid Carcinoma. Journal of Clinical Medicine, 13(19), 5819. https://doi.org/10.3390/jcm13195819

