Personalized Temporomandibular Joint Total Alloplastic Replacement as a Solution to Help Patients with Non-Osteosynthesizable Comminuted Mandibular Head Fractures
Abstract
1. Introduction
2. Materials and Methods
2.1. Study Group
- -
- A comminuted mandibular head fracture that could not be treated surgically due to too many miniscule bone particles (cases where significant areas of periosteum would have to be detached in order to reposition the bone fragments and insert screws).
- -
- Failure of previous closed treatment (e.g., temporomandibular joint disorder (TMD) or craniomandibular dysfunction (CMD), osteoarthrosis, pain or ankylosis [29], malocclusion due to mandibular ramus height reduction, lack of stability of previous fixation).
- -
- Incomplete medical records;
- -
- Tumors;
- -
- Lack of follow-up (patients who did not present at the second appointment and did not undergo a control CT scan after 3 months);
- -
- Patients suffering from osteometabolic disorders.
- Eighteen patients underwent total TMJ reconstruction with custom-made TMJ implants under general anesthesia. This group consisted of the most recent patients.
- The reference group consisted of eleven previous patients who were treated with open and internal fixation with mandible head osteosynthesis using long screws according to Kermer [33].
2.2. Hospital Procedures
2.3. CAD/CAM Procedure for TMJ Implants
2.4. Evaluation of Treatment
3. Results
3.1. The Proposed Protocol to Treat Nonfixable Fractures of the Mandibular Head
- Clinical and radiological examinations—the clinical diagnosis is always verified via computed tomography (CT) scans.
- Diagnosis—after the patient’s CT scans and general condition are evaluated, the possible treatment options are discussed. When comminuted mandibular head fractures that cannot be treated surgically are found, the authors begin the endoprosthesis design.
- Preoperative physiotherapy—taking into consideration that designing and manufacturing takes time, patients undergo preoperative physiotherapy for the short-term maintenance of joint mobility.
- Surgery—the surgical procedure consists of free bone fragment removal and the implantation of a temporomandibular joint substitute.
- Postoperative follow-up—all of the patients remain under the care of the outpatient department, where their functional results are being evaluated.
- Postoperative physiotherapy—patients remain under physiotherapist care to stimulate facial nerve regeneration and improve joint mobility.
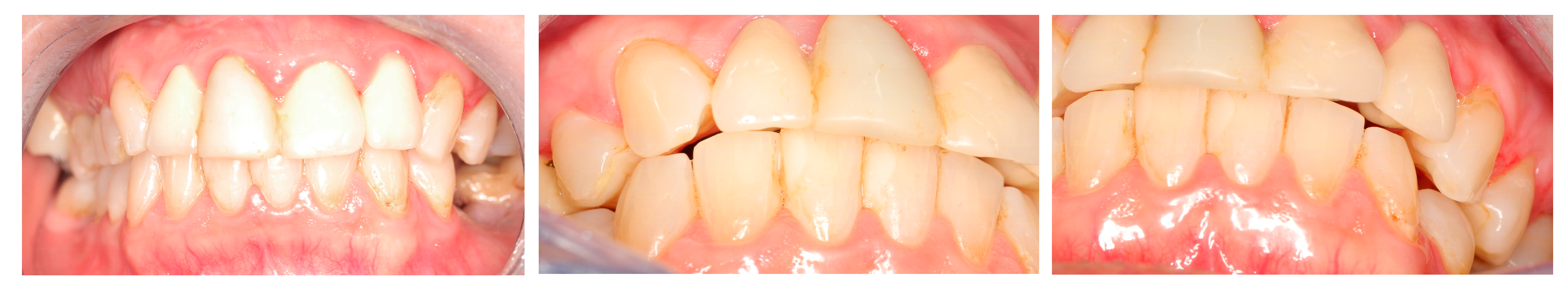
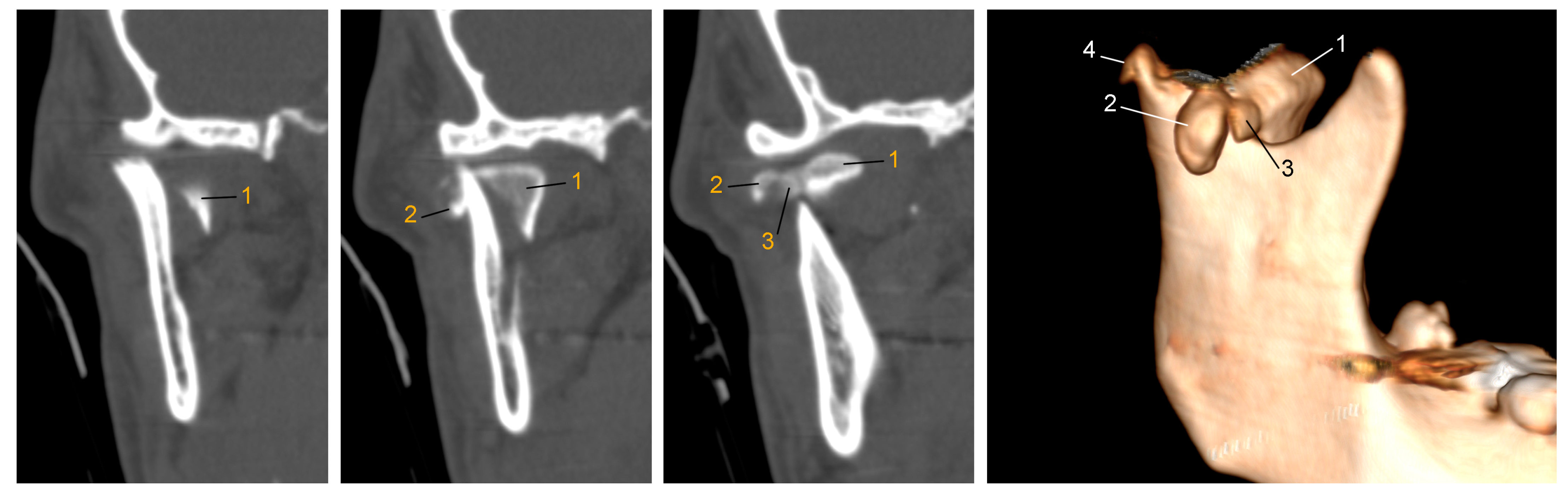
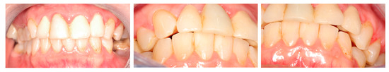
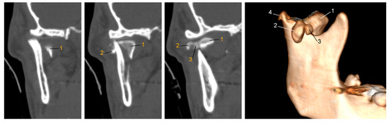
3.2. An Example of a Clinical Situation
3.3. Further Results
4. Discussion
- a decrease in the height of the mandibular ramus,
- the loss of joint surface contact between the condylar head and the glenoid fossa and
- the dislocation of the articular disc in the medial–anterior direction.
5. Conclusions
Author Contributions
Funding
Institutional Review Board Statement
Informed Consent Statement
Data Availability Statement
Conflicts of Interest
References
- Lee, K.; Yoon, K.; Park, K.S.; Cheong, J.; Shin, J.; Bae, J.; Ko, I.; Park, H. Treatment of extensive comminuted mandibular fracture between both mandibular angles with bilateral condylar fractures using a reconstruction plate: A case report. J. Korean Assoc. Oral Maxillofac. Surg. 2014, 40, 135–139. [Google Scholar] [CrossRef] [PubMed]
- Finn, R.A. Treatment of comminuted mandibular fractures by closed reduction. J. Oral Maxillofac. Surg. 1996, 54, 320–327. [Google Scholar] [CrossRef] [PubMed]
- Kelly, D.E.; Harrigan, W.F. A survey of facial fractures: Bellevue Hospital, 1948–1974. J. Oral Surg. 1975, 33, 146–149. [Google Scholar] [PubMed]
- Chen, C.-T.; Feng, C.-H.; Tsay, P.-K.; Lai, J.-P.; Chen, Y.-R. Functional outcomes following surgical treatment of bilateral mandibular condylar fractures. Int. J. Oral Maxillofac. Surg. 2011, 40, 38–44. [Google Scholar] [CrossRef]
- Niezen, E.T.; Bos, R.R.M.; de Bont, L.G.M.; Stegenga, B.; Dijkstra, P.U. Complaints related to mandibular function impairment after closed treatment of fractures of the mandibular condyle. Int. J. Oral Maxillofac. Surg. 2010, 39, 660–665. [Google Scholar] [CrossRef]
- Villarreal, P.M.; Monje, F.; Junquera, L.M.; Mateo, J.; Morillo, A.J.; González, C. Mandibular condyle fractures. J. Oral Maxillofac. Surg. 2004, 62, 155–163. [Google Scholar] [CrossRef]
- Korzon, T.; Kruk, J. Ocena odległych wyników zachowawczego leczenia złamań wyrostka kłykciowego żuchwy [Evaluation of late results of conservative treatment of fractures of the mandibular condyle]. Czas. Stomatol. 1971, 24, 157–161. [Google Scholar]
- Korzon, T. Issues of Advisability of Surgical Treatment of Condylar Mandibular Fractures in Light of Clinical and Experimental Studies. Ph.D. Thesis, Medical University of Lodz, Lodz, Poland, 1966; p. 49. [Google Scholar]
- Worsaae, N.; Thorn, J.J. Kirurgisk versus ikkekirurgisk behandling af unilaterale dislocerede lave collum mandibulae-frakturer [Surgical versus non-surgical treatment of unilateral dislocated fractures of the lower mandibular condyle]. Ugeskr. Laeger. 1995, 157, 3472–3475. [Google Scholar]
- Ellis, E.; Walker, R.V. Treatment of Malocclusion and TMJ Dysfunction Secondary to Condylar Fractures. Craniomaxillofac Trauma Reconstr. 2009, 2, 1–18. [Google Scholar] [CrossRef]
- Neff, A. Open reduction and internal fixation in temporomandibular joint traumatology: Current concepts and future perspectives. Stomatol. Dis. Sci. 2019, 3, 2. [Google Scholar] [CrossRef]
- Kozakiewicz, M.; Swiniarski, J. Finite element analysis of newly introduced plates for mandibular condyle neck fracture treatment by open reduction and rigid fixation. Dent. Med. Probl. 2017, 54, 319–326. [Google Scholar] [CrossRef]
- Xin, P.; Jiang, B.; Dai, J.; Hu, G.; Wang, X.; Xu, B.; Shen, S.G.F. Finite element analysis of type B condylar head fractures and osteosynthesis using two positional screws. J. Cranio-Maxillofac. Surg. 2014, 42, 482–488. [Google Scholar] [CrossRef] [PubMed]
- McLeod, N.M.; Saeed, N.R. Treatment of fractures of the mandibular condylar head with ultrasound-activated resorbable pins: Early clinical experience. Br. J. Oral Maxillofac. Surg. 2016, 54, 872–877. [Google Scholar] [CrossRef] [PubMed]
- Kozakiewicz, M. Small-diameter compression screws completely embedded in bone for rigid internal fixation of the condylar head of the mandible. Br. J. Oral Maxillofac. Surg. 2018, 56, 74–76. [Google Scholar] [CrossRef]
- Neff, A.; Kolk, A.; Meschke, F.; Deppe, H.; Horch, H.H. Small fragment screws vs. plate osteosynthesis in condylar head fractures. Mund. Kiefer Gesichtschir. 2005, 9, 80–88. [Google Scholar] [CrossRef] [PubMed]
- Neff, A.; Muhlberger, G.; Karoglan, M.; Kolk, A.; Mittelmeier, W.; Scheruhn, D.; Horch, H.H.; Kock, S.; Schieferstein, H. Stability of osteosyntheses for condylar head fractures in the clinic and biomechanical simulation. Mund. Kiefer Gesichtschir. 2004, 8, 63–74. [Google Scholar] [CrossRef]
- Pilling, E.; Schneider, M.; Mai, R.; Loukota, R.A.; Eckelt, U. Minimally invasive fracture treatment with cannulated lag screws in intracapsular fractures of the condyle. J. Oral Maxillofac. Surg. 2006, 64, 868–872. [Google Scholar] [CrossRef]
- Kozakiewicz, M.; Sołtysiak, P. Pullout force comparison of selected screws for rigid fixation in maxillofacial surgery. Dent. Med. Probl. 2017, 5, 129–133. [Google Scholar] [CrossRef]
- Lee, J.H.; Han, H.S.; Kim, Y.C.; Lee, J.Y.; Lee, B.K. Stability of biodegradable metal (Mg-Ca-Zn alloy) screws compared with absorbable polymer and titanium screws for sagittal split ramus osteotomy of the mandible using the finite element analysis model. J. Cranio-Maxillofac. Surg. 2017, 45, 1639–1646. [Google Scholar] [CrossRef]
- Leonhardt, H.; Franke, A.; McLeod, N.M.H.; Lauer, G.; Nowak, A. Fixation of fractures of the condylar head of the mandible with a new magnesium-alloy biodegradable cannulated headless bone screw. Br. J. Oral Maxillofac. Surg. 2017, 55, 623–625. [Google Scholar] [CrossRef]
- Zhang, E.; Xu, L.; Yu, G.; Pan, F.; Yang, K. In vivo evaluation of biodegradable magnesium alloy bone implant in the first 6 months implantation. J. Biomed. Mater. Res. A 2009, 90, 882–893. [Google Scholar] [CrossRef]
- Han, C.; Dilxat, D.; Zhang, X.; Li, H.; Chen, J.; Liu, L. Does Intra-operative Navigation Improve the Anatomical Reduction of Intracapsular Condylar Fractures? J. Oral Maxillofac. Surg. 2018, 76, 2583–2591. [Google Scholar] [CrossRef] [PubMed]
- Stypulkowski, R.P.; Santos, A.G.; de Paula, E.S.E.; da Costa, M.C.A.; da Rosa, E.L.S. Unilateral mandibular condylar process fractures: A retrospective clinical comparison of open versus closed treatment. J. Oral Maxillofac. Surg. 2019, 23, 209–214. [Google Scholar] [CrossRef] [PubMed]
- Mathog, R.H.; Toma, V.; Clayman, L.; Wolf, S. Nonunion of the mandible: An analysis of contributing factors. J. Oral Maxillofac. Surg. 2000, 58, 746–753. [Google Scholar] [CrossRef]
- Ghasemzadeh, A.; Mundinger, G.S.; Swanson, E.W.; Utria, A.F.; Dorafshar, A.H. Treatment of pediatric condylar fractures: A 20-year experience. Plast. Reconstr. Surg. 2015, 136, 1279–1288. [Google Scholar] [CrossRef]
- Eckelt, U.; Schneider, M.; Erasmus, F.; Gerlach, K.L.; Kuhlisch, E.; Loukota, R.; Rasse, M.; Schubert, J.; Terheyden, H. Open versus closed treatment of fractures of the mandibular condylar process—A prospective randomized multi-Centre study. J. Cranio-Maxillofac Surg. 2006, 34, 306–314. [Google Scholar] [CrossRef]
- Hlawitschka, M.; Loukota, R.; Eckelt, U. Functional and radiological results of open and closed treatment of intracapsular (diacapitular) condylar fractures of the mandible. Int. J. Oral Maxillofac. Surg. 2005, 34, 597–604. [Google Scholar] [CrossRef] [PubMed]
- Kolk, A.; Neff, A. Long-term results of ORIF of condylar head fractures of the mandible: A prospective 5-year follow-up study of small-fragment positional-screw osteosynthesis (SFPSO). J. Cranio-Maxillofac. Surg. 2015, 43, 452–461. [Google Scholar] [CrossRef] [PubMed]
- Pavlychuk, T.; Chernogorskyi, D.; Chepurnyi, Y.; Neff, A.; Kopchak, A. Application of CAD/CAM technology for surgical treatment of condylar head fractures: A preliminary study. J. Oral Biol. Craniofac Res. 2020, 10, 608–614. [Google Scholar] [CrossRef]
- Pavlychuk, T.; Chernogorskyi, D.; Chepurnyi, Y.; Neff, A.; Kopchak, A. Biomechanical evaluation of type p condylar head osteosynthesis using conventional small-fragment screws reinforced by a patient specific two-component plate. Head Face Med. 2020, 16, 25. [Google Scholar] [CrossRef]
- Kozakiewicz, M.; Wach, T.; Szymor, P.; Zieliński, R. Two different techniques of manufacturing TMJ replacements—A technical report. J. Cranio-Maxillofac. Surg. 2017, 45, 1432–1437. [Google Scholar] [CrossRef] [PubMed]
- Kermer, C.H.; Undt, G.; Rasse, M. Surgical reduction and fixation of intracapsular condylar fractures. A follow up study. Int. J. Oral Maxillofac. Surg. 1998, 27, 191–194. [Google Scholar] [CrossRef] [PubMed]
- Kozakiewicz, M.; Gabryelczak, I.; Bielecki-Kowalski, B. Clinical Evaluation of Magnesium Alloy Osteosynthesis in the Mandibular Head. Materials 2022, 15, 711. [Google Scholar] [CrossRef]
- Boffano, P.; Benech, R.; Gallesio, C.; Arcuri, F.; Benech, A. Current opinions on surgical treatment of fractures of the condylar head. Cranio-Maxillofac. Trauma. Reconstr. 2014, 7, 92–100. [Google Scholar] [CrossRef]
- Karan, A.; Kedarnath, N.S.; Reddy, G.S.; Harish Kumar, T.V.S.; Neelima, C.; Bhavani, M.; Nayyar, A.S. Condylar Fractures: Surgical Versus Conservative Management. Ann. Maxillofac. Surg. 2019, 9, 15–22. [Google Scholar] [CrossRef] [PubMed]
- Montazem, A.H.; Anastassov, G. Management of condylar fractures. Atlas Oral Maxillofac. Surg. Clin. 2009, 17, 55–69. [Google Scholar] [CrossRef]
- Shakya, S.; Zhang, X.; Liu, L. Key points in surgical management of mandibular condylar fractures. Chin. J. Traumatol. 2020, 23, 63–70. [Google Scholar] [CrossRef]
- Takahiro, K.A.N.N. Shimane Surgical Approaches to Open Reduction and Internal Fixation of Mandibular Condylar Fractures. J. Med. Sci. 2020, 37, 83–94. [Google Scholar]
- Kozakiewicz, M. Fractures of the Condylar Process of Mandibula, 1st ed.; PZWL: Warsaw, Poland, 2019; p. 13. [Google Scholar]
- Sikora, M.; Chęciński, M.; Chlubek, D. Retro-Auricular Approach to the Fractures of the Mandibular Condyle: A Systematic Review. J. Clin. Med. 2021, 10, 230. [Google Scholar] [CrossRef]
- Kozakiewicz, M.; Gabryelczak, I. Bone Union Quality after Fracture Fixation of Mandibular Head with Compression Magnesium Screws. Materials 2022, 15, 2230. [Google Scholar] [CrossRef]
- Zalewska, A.; Antonowicz, B.; Szulimowska, J.; Zieniewska-Siemieńczuk, I.; Leśniewska, B.; Borys, J.; Zięba, S.; Kostecka-Sochoń, P.; Żendzian-Piotrowska, M.; Lo Giudice, R.; et al. Mitochondrial Redox Balance of Fibroblasts Exposed to Ti-6Al-4V Microplates Subjected to Different Types of Anodizing. Int. J. Mol. Sci. 2023, 24, 12896. [Google Scholar] [CrossRef] [PubMed]
- McLeod, N.M.; Saeed, N.R.; Gerber, B. Remodelling of mandibular condylar head after fixation of fractures with ultrasound activated resorbable pins: A retrospective case series. J. Cranio-Maxillofac. Surg. 2023, 51, 460–466. [Google Scholar] [CrossRef]
- Nagatani, T.; Mori, R.; Wang, Y.; Nakai, T.; Ozoe, N.; Uchio, Y. Optimum predrilled hole size for bone screws used in osteochondral fixation: In vitro biomechanical study and clinical case. J. Orthop. Sci. 2010, 15, 245–250. [Google Scholar] [CrossRef] [PubMed]
- Kono, M.; Mori, R.; Uchio, Y. Bone screws have advantages in repair of experimental osteochondral fragments. Clin. Orthop. Relat. Res. 2012, 470, 2043–2050. [Google Scholar] [CrossRef] [PubMed][Green Version]
- Johner, J.P.; Essig, H.; Neff, A.; Wagner, M.E.H.; Blumer, M.; Gander, T. Volumetric Evaluated Bone Resorption After Open Reduction and Internal Fixation of Condylar Head Fractures of the Mandible. J. Oral Maxillofac. Surg. 2021, 79, 1902–1913. [Google Scholar] [CrossRef]
- Skroch, L.; Fischer, I.; Meisgeier, A.; Kozolka, F.; Apitzsch, J.; Neff, A. Condylar remodeling after osteosynthesis of fractures of the condylar head or close to the temporomandibular joint. J. Cranio-Maxillofac. Surg. 2020, 48, 413–420. [Google Scholar] [CrossRef]
- Kozakiewicz, M.; Pruszyńska, P. Lateral Pterygoid Muscle Alteration in Patients Treated Surgically Due to Mandibular Head Fractures. J. Clin. Med. 2023, 12, 4789. [Google Scholar] [CrossRef]
- Mercuri, L.G.; Edibam, N.R.; Giobbie-Hurder, A. Fourteen-Year Follow-Up of a Patient-Fitted Total Temporomandibular Joint Reconstruction System. J. Oral Maxillofac. Surg. 2007, 65, 1140–1148. [Google Scholar] [CrossRef] [PubMed]
- Perez, D.; Ellis, E., 3rd. Complications of Mandibular Fracture Repair and Secondary Reconstruction. Semin. Plast. Surg. 2020, 34, 225–231. [Google Scholar] [CrossRef]
- Sinno, H.; Tahiri, Y.; Gilardino, M.; Bobyn, D. Engineering alloplastic temporomandibular joint replacements. Mcgill J. Med. 2010, 13, 63–72. [Google Scholar] [CrossRef]
- Hussain, O.T.; Sah, S.; Sidebottom, A.J. Prospective comparison study of one-year outcomes for all titanium total temporomandibular joint replacements in patients allergic to metal and cobalt-chromium replacement joints in patients not allergic to metal. Br. J. Oral Maxillofac. Surg. 2014, 52, 34–37. [Google Scholar] [CrossRef] [PubMed]
- Sidebottom, A.J.; Speculand, B.; Hensher, R. Foreign body response around total prosthetic metal-to-metal replacements of the temporomandibular joint in the UK. Br. J. Oral Maxillofac. Surg. 2008, 6, 288–292. [Google Scholar] [CrossRef] [PubMed]
- Sidebottom, A.J.; Mistry, K. Prospective analysis of the incidence of metal allergy in patients listed for total replacement of the temporomandibular joint. Br. J. Oral Maxillofac. Surg. 2014, 52, 85–86. [Google Scholar] [CrossRef] [PubMed]
- Da Rosa, E.L.; Oleskovicz, C.F.; Aragão, B.N. Rapid prototyping in maxillofacial surgery and traumatology: Case report. Braz. Dent. J. 2004, 15, 243–247. [Google Scholar] [CrossRef]
- Pienkohs, S.P.; Meisgeier, A.; Herrmann, J.; Graf, L.; Reichert, C.S.; Trento, G.; Neff, A. Factors Affecting the Duration of Surgery in the Management of Condylar Head Fractures. J. Clin. Med. 2023, 12, 7172. [Google Scholar] [CrossRef]
- Li, J.; Hsu, Y.; Luo, E.; Khadka, A.; Hu, J. Computer-aided design and manufacturing and rapid prototyped nanoscale hydroxyapatite/polyamide (n-HA/PA) construction for condylar defect caused by mandibular angle ostectomy. Aesthetic Plast. Surg. 2011, 35, 636–640. [Google Scholar] [CrossRef]
- Salash, J.R.; Hossameldin, R.H.; Almarza, A.J.; Chou, J.C.; McCain, J.P.; Mercuri, L.G.; Wolford, L.M.; Detamore, M.S. Potential indications for tissue engineering in temporomandibular joint surgery. J. Oral Maxillofac. 2016, 74, 705–711. [Google Scholar] [CrossRef]












| Parameter | Before Treatment | Immediately Postop | 3 Months Postop |
|---|---|---|---|
| Ramus Shortening [by mm] | 11 ± 11 | 0.0 ± 0.0 | 1.5 ± 1.8 |
| Maximal Interincisal Opening [mm] | 23 ± 13 | 19 ± 8 | 29 ± 7 |
| Ipsilaterotrusion [mm] | 4.5 ± 5.5 | 4.0 ± 3.2 | 5.3 ± 7.1 |
| Contralaterotrusion [mm] | 1.1 ± 2.3 | 2.5 ± 1.7 | 3.5 ± 2.9 |
| Parameter | Group | Before Treatment | Immediately Post-Op | 3 Months Post-Op | 00 M-03 M Improvement |
|---|---|---|---|---|---|
| Ramus Shortening [by mm] | Total Joint Replacement | 15.1 ± 13.5 | 0.0 ± 0.0 | 0.3 ± 0.4 # | p < 0.05 |
| Long Screw Fixation | 7.5 ± 5.4 | 0.0 ± 0.0 | 3.3 ± 1.5 # | p < 0.05 | |
| Maximal Interincisal Opening [mm] | Total Joint Replacement | 23.8 ± 15.9 | 17.1 ± 6.6 | 27.3. ± 7.8 | p < 0.05 |
| Long Screw Fixation | 22.1 ± 6.7 | 20.3 ± 8.8 | 31.9 ± 5.3 | p < 0.05 | |
| Ipsilaterotrusion [mm] | Total Joint Replacement | 5.3 ± 5.4 | 3.7 ± 3.3 | 5.3 ± 4.2 | n.s. |
| Long Screw Fixation | 3.0 ± 5.9 | 4.3 ± 3.3 | 5.2 ± 3.0 | n.s. | |
| Contralaterotrusion [mm] | Total Joint Replacement | 1.3 ± 2.6 | 1.7 ± 1.6 # | 2.3 ± 2.2 # | n.s. |
| Long Screw Fixation | 0.9 ± 1.5 | 3.3 ± 1.6 # | 5.1 ± 2.9 # | n.s. | |
| Facial Nerve Disfunction | Total Joint Replacement | 1.0 ± 0.0 | 3.5 ± 0.7 | 1.9 ± 0.9 # | p < 0.05 |
| Long Screw Fixation | 1.0 ± 0.0 | 2.9 ± 0.8 | 1.3 ± 0.6 # | p < 0.05 |
Disclaimer/Publisher’s Note: The statements, opinions and data contained in all publications are solely those of the individual author(s) and contributor(s) and not of MDPI and/or the editor(s). MDPI and/or the editor(s) disclaim responsibility for any injury to people or property resulting from any ideas, methods, instructions or products referred to in the content. |
© 2024 by the authors. Licensee MDPI, Basel, Switzerland. This article is an open access article distributed under the terms and conditions of the Creative Commons Attribution (CC BY) license (https://creativecommons.org/licenses/by/4.0/).
Share and Cite
Pruszyńska, P.; Kozakiewicz, M.; Szymor, P.; Wach, T. Personalized Temporomandibular Joint Total Alloplastic Replacement as a Solution to Help Patients with Non-Osteosynthesizable Comminuted Mandibular Head Fractures. J. Clin. Med. 2024, 13, 5257. https://doi.org/10.3390/jcm13175257
Pruszyńska P, Kozakiewicz M, Szymor P, Wach T. Personalized Temporomandibular Joint Total Alloplastic Replacement as a Solution to Help Patients with Non-Osteosynthesizable Comminuted Mandibular Head Fractures. Journal of Clinical Medicine. 2024; 13(17):5257. https://doi.org/10.3390/jcm13175257
Chicago/Turabian StylePruszyńska, Paulina, Marcin Kozakiewicz, Piotr Szymor, and Tomasz Wach. 2024. "Personalized Temporomandibular Joint Total Alloplastic Replacement as a Solution to Help Patients with Non-Osteosynthesizable Comminuted Mandibular Head Fractures" Journal of Clinical Medicine 13, no. 17: 5257. https://doi.org/10.3390/jcm13175257
APA StylePruszyńska, P., Kozakiewicz, M., Szymor, P., & Wach, T. (2024). Personalized Temporomandibular Joint Total Alloplastic Replacement as a Solution to Help Patients with Non-Osteosynthesizable Comminuted Mandibular Head Fractures. Journal of Clinical Medicine, 13(17), 5257. https://doi.org/10.3390/jcm13175257

